Nutcracker Syndrome In The Abdomen . nutcracker syndrome (ncs) is an extrinsic compression of the left renal. when it comes to the surgical management of ncs three main pathways exist: nutcracker syndrome (ns) is a condition in which two arteries compress the left renal vein (lrv), interfering with blood flow out of the left kidney. nutcracker syndrome (ncs) describes left renal vein compression between the superior mesenteric artery and the aorta. Open surgery, laparoscopic surgery and. The condition has this name because the. nutcracker syndrome, or left renal vein entrapment, describes an uncommon condition involving compression of. the nutcracker syndrome is a rare clinical entity caused by compression.
from vascularcarecentre.com
the nutcracker syndrome is a rare clinical entity caused by compression. Open surgery, laparoscopic surgery and. when it comes to the surgical management of ncs three main pathways exist: The condition has this name because the. nutcracker syndrome (ncs) is an extrinsic compression of the left renal. nutcracker syndrome (ns) is a condition in which two arteries compress the left renal vein (lrv), interfering with blood flow out of the left kidney. nutcracker syndrome, or left renal vein entrapment, describes an uncommon condition involving compression of. nutcracker syndrome (ncs) describes left renal vein compression between the superior mesenteric artery and the aorta.
Nutcracker phenomenon and syndrome Vascular Care Centre
Nutcracker Syndrome In The Abdomen the nutcracker syndrome is a rare clinical entity caused by compression. when it comes to the surgical management of ncs three main pathways exist: nutcracker syndrome (ncs) describes left renal vein compression between the superior mesenteric artery and the aorta. nutcracker syndrome (ns) is a condition in which two arteries compress the left renal vein (lrv), interfering with blood flow out of the left kidney. nutcracker syndrome, or left renal vein entrapment, describes an uncommon condition involving compression of. nutcracker syndrome (ncs) is an extrinsic compression of the left renal. Open surgery, laparoscopic surgery and. The condition has this name because the. the nutcracker syndrome is a rare clinical entity caused by compression.
From ar.inspiredpencil.com
Nutcracker Syndrome Ultrasound Nutcracker Syndrome In The Abdomen nutcracker syndrome (ncs) is an extrinsic compression of the left renal. nutcracker syndrome, or left renal vein entrapment, describes an uncommon condition involving compression of. The condition has this name because the. nutcracker syndrome (ns) is a condition in which two arteries compress the left renal vein (lrv), interfering with blood flow out of the left kidney.. Nutcracker Syndrome In The Abdomen.
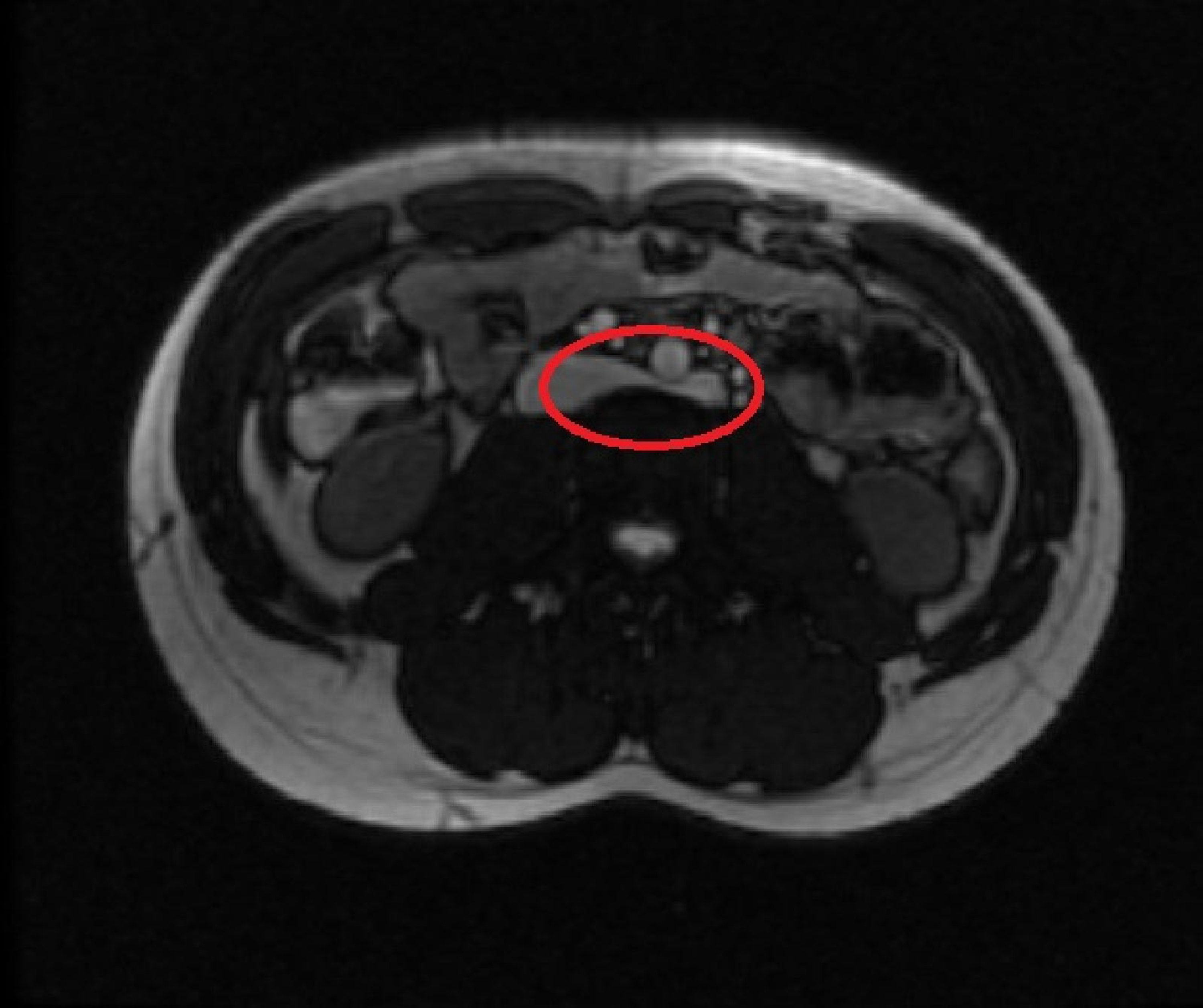
From www.researchgate.net
Abdominal MRA images of a patient with nutcracker syndrome. a) axial Nutcracker Syndrome In The Abdomen The condition has this name because the. nutcracker syndrome (ncs) describes left renal vein compression between the superior mesenteric artery and the aorta. nutcracker syndrome, or left renal vein entrapment, describes an uncommon condition involving compression of. nutcracker syndrome (ncs) is an extrinsic compression of the left renal. Open surgery, laparoscopic surgery and. the nutcracker syndrome. Nutcracker Syndrome In The Abdomen.
From www.goldjournal.net
Diagnosis and Surgical Treatment of Nutcracker Syndrome A Single Nutcracker Syndrome In The Abdomen Open surgery, laparoscopic surgery and. The condition has this name because the. nutcracker syndrome, or left renal vein entrapment, describes an uncommon condition involving compression of. nutcracker syndrome (ncs) is an extrinsic compression of the left renal. nutcracker syndrome (ncs) describes left renal vein compression between the superior mesenteric artery and the aorta. the nutcracker syndrome. Nutcracker Syndrome In The Abdomen.
From sonographictendencies.com
Nutcracker Phenomenon/Syndrome Sonographic Tendencies Nutcracker Syndrome In The Abdomen the nutcracker syndrome is a rare clinical entity caused by compression. nutcracker syndrome, or left renal vein entrapment, describes an uncommon condition involving compression of. nutcracker syndrome (ncs) describes left renal vein compression between the superior mesenteric artery and the aorta. nutcracker syndrome (ns) is a condition in which two arteries compress the left renal vein. Nutcracker Syndrome In The Abdomen.
From vascularcarecentre.com
Nutcracker phenomenon and syndrome Vascular Care Centre Nutcracker Syndrome In The Abdomen nutcracker syndrome (ns) is a condition in which two arteries compress the left renal vein (lrv), interfering with blood flow out of the left kidney. The condition has this name because the. nutcracker syndrome (ncs) is an extrinsic compression of the left renal. when it comes to the surgical management of ncs three main pathways exist: . Nutcracker Syndrome In The Abdomen.
From en-academic.com
Nutcracker syndrome Nutcracker Syndrome In The Abdomen nutcracker syndrome (ns) is a condition in which two arteries compress the left renal vein (lrv), interfering with blood flow out of the left kidney. nutcracker syndrome (ncs) is an extrinsic compression of the left renal. Open surgery, laparoscopic surgery and. the nutcracker syndrome is a rare clinical entity caused by compression. The condition has this name. Nutcracker Syndrome In The Abdomen.
From www.cureus.com
Cureus Atypical Posterior Nutcracker Syndrome in a 17YearOld Male Nutcracker Syndrome In The Abdomen the nutcracker syndrome is a rare clinical entity caused by compression. nutcracker syndrome (ns) is a condition in which two arteries compress the left renal vein (lrv), interfering with blood flow out of the left kidney. The condition has this name because the. when it comes to the surgical management of ncs three main pathways exist: . Nutcracker Syndrome In The Abdomen.
From in.pinterest.com
Anterior nutcracker syndrome Sonography, Pelvis, Abdomen Nutcracker Syndrome In The Abdomen when it comes to the surgical management of ncs three main pathways exist: The condition has this name because the. nutcracker syndrome (ncs) describes left renal vein compression between the superior mesenteric artery and the aorta. nutcracker syndrome, or left renal vein entrapment, describes an uncommon condition involving compression of. nutcracker syndrome (ns) is a condition. Nutcracker Syndrome In The Abdomen.
From www.cureus.com
Cureus A Rare Cause of Abdominal and Flank Pain in Children Nutcracker Syndrome In The Abdomen Open surgery, laparoscopic surgery and. nutcracker syndrome, or left renal vein entrapment, describes an uncommon condition involving compression of. The condition has this name because the. nutcracker syndrome (ncs) is an extrinsic compression of the left renal. nutcracker syndrome (ncs) describes left renal vein compression between the superior mesenteric artery and the aorta. nutcracker syndrome (ns). Nutcracker Syndrome In The Abdomen.
From www.frontiersin.org
Frontiers Nutcracker syndrome A case report and review of the literature Nutcracker Syndrome In The Abdomen nutcracker syndrome, or left renal vein entrapment, describes an uncommon condition involving compression of. The condition has this name because the. nutcracker syndrome (ncs) is an extrinsic compression of the left renal. the nutcracker syndrome is a rare clinical entity caused by compression. nutcracker syndrome (ns) is a condition in which two arteries compress the left. Nutcracker Syndrome In The Abdomen.
From pubs.rsna.org
CT Angiography of Posterior Nutcracker Syndrome Radiology Nutcracker Syndrome In The Abdomen nutcracker syndrome (ncs) describes left renal vein compression between the superior mesenteric artery and the aorta. nutcracker syndrome, or left renal vein entrapment, describes an uncommon condition involving compression of. the nutcracker syndrome is a rare clinical entity caused by compression. nutcracker syndrome (ncs) is an extrinsic compression of the left renal. nutcracker syndrome (ns). Nutcracker Syndrome In The Abdomen.
From www.cureus.com
Cureus An Unusual Cause of Abdominal Pain in a MiddleAged Female Nutcracker Syndrome In The Abdomen nutcracker syndrome, or left renal vein entrapment, describes an uncommon condition involving compression of. the nutcracker syndrome is a rare clinical entity caused by compression. The condition has this name because the. nutcracker syndrome (ns) is a condition in which two arteries compress the left renal vein (lrv), interfering with blood flow out of the left kidney.. Nutcracker Syndrome In The Abdomen.
From www.researchgate.net
Main clinical features of the Nutcracker Syndrome. Abbreviations LRV Nutcracker Syndrome In The Abdomen The condition has this name because the. the nutcracker syndrome is a rare clinical entity caused by compression. nutcracker syndrome (ncs) describes left renal vein compression between the superior mesenteric artery and the aorta. nutcracker syndrome (ns) is a condition in which two arteries compress the left renal vein (lrv), interfering with blood flow out of the. Nutcracker Syndrome In The Abdomen.
From www.researchgate.net
(PDF) A Case of Nutcracker Syndrome Combined with Wilkie Syndrome with Nutcracker Syndrome In The Abdomen nutcracker syndrome, or left renal vein entrapment, describes an uncommon condition involving compression of. Open surgery, laparoscopic surgery and. nutcracker syndrome (ns) is a condition in which two arteries compress the left renal vein (lrv), interfering with blood flow out of the left kidney. when it comes to the surgical management of ncs three main pathways exist:. Nutcracker Syndrome In The Abdomen.
From www.annalsofvascularsurgery.com
Nutcracker Syndrome Challenges in Diagnosis and Surgical Treatment Nutcracker Syndrome In The Abdomen The condition has this name because the. Open surgery, laparoscopic surgery and. nutcracker syndrome (ns) is a condition in which two arteries compress the left renal vein (lrv), interfering with blood flow out of the left kidney. nutcracker syndrome, or left renal vein entrapment, describes an uncommon condition involving compression of. nutcracker syndrome (ncs) is an extrinsic. Nutcracker Syndrome In The Abdomen.
From www.scgvs.com
Nutcracker Syndrome Charlotte, NC South Charlotte General and Nutcracker Syndrome In The Abdomen nutcracker syndrome (ncs) describes left renal vein compression between the superior mesenteric artery and the aorta. nutcracker syndrome (ns) is a condition in which two arteries compress the left renal vein (lrv), interfering with blood flow out of the left kidney. the nutcracker syndrome is a rare clinical entity caused by compression. when it comes to. Nutcracker Syndrome In The Abdomen.
From www.cureus.com
Cureus A Rare Cause of Abdominal and Flank Pain in Children Nutcracker Syndrome In The Abdomen nutcracker syndrome (ncs) is an extrinsic compression of the left renal. nutcracker syndrome (ncs) describes left renal vein compression between the superior mesenteric artery and the aorta. nutcracker syndrome, or left renal vein entrapment, describes an uncommon condition involving compression of. Open surgery, laparoscopic surgery and. The condition has this name because the. nutcracker syndrome (ns). Nutcracker Syndrome In The Abdomen.
From www.angiologist.com
Nutcracker syndrome Definition, Symptoms and Treatment Nutcracker Syndrome In The Abdomen Open surgery, laparoscopic surgery and. nutcracker syndrome, or left renal vein entrapment, describes an uncommon condition involving compression of. when it comes to the surgical management of ncs three main pathways exist: nutcracker syndrome (ncs) is an extrinsic compression of the left renal. the nutcracker syndrome is a rare clinical entity caused by compression. nutcracker. Nutcracker Syndrome In The Abdomen.
From www.cureus.com
Cureus An Unusual Cause of Abdominal Pain in a MiddleAged Female Nutcracker Syndrome In The Abdomen the nutcracker syndrome is a rare clinical entity caused by compression. nutcracker syndrome (ncs) describes left renal vein compression between the superior mesenteric artery and the aorta. The condition has this name because the. nutcracker syndrome (ncs) is an extrinsic compression of the left renal. when it comes to the surgical management of ncs three main. Nutcracker Syndrome In The Abdomen.
From www.cureus.com
Cureus Nutcracker Phenomenon A Rare Incidental Finding Nutcracker Syndrome In The Abdomen nutcracker syndrome (ncs) describes left renal vein compression between the superior mesenteric artery and the aorta. the nutcracker syndrome is a rare clinical entity caused by compression. nutcracker syndrome (ns) is a condition in which two arteries compress the left renal vein (lrv), interfering with blood flow out of the left kidney. Open surgery, laparoscopic surgery and.. Nutcracker Syndrome In The Abdomen.
From sonographictendencies.com
Nutcracker Phenomenon/Syndrome Sonographic Tendencies Nutcracker Syndrome In The Abdomen nutcracker syndrome (ncs) describes left renal vein compression between the superior mesenteric artery and the aorta. Open surgery, laparoscopic surgery and. nutcracker syndrome, or left renal vein entrapment, describes an uncommon condition involving compression of. The condition has this name because the. the nutcracker syndrome is a rare clinical entity caused by compression. when it comes. Nutcracker Syndrome In The Abdomen.
From radiopaedia.org
Nutcracker syndrome Image Nutcracker Syndrome In The Abdomen nutcracker syndrome (ncs) is an extrinsic compression of the left renal. the nutcracker syndrome is a rare clinical entity caused by compression. Open surgery, laparoscopic surgery and. when it comes to the surgical management of ncs three main pathways exist: nutcracker syndrome (ns) is a condition in which two arteries compress the left renal vein (lrv),. Nutcracker Syndrome In The Abdomen.
From www.researchgate.net
Nutcracker syndrome. a Abdominal duplex showing compression of the left Nutcracker Syndrome In The Abdomen nutcracker syndrome (ns) is a condition in which two arteries compress the left renal vein (lrv), interfering with blood flow out of the left kidney. when it comes to the surgical management of ncs three main pathways exist: nutcracker syndrome, or left renal vein entrapment, describes an uncommon condition involving compression of. nutcracker syndrome (ncs) is. Nutcracker Syndrome In The Abdomen.
From casereports.bmj.com
Nutcracker syndrome complicated with intestinal malrotation BMJ Case Nutcracker Syndrome In The Abdomen The condition has this name because the. the nutcracker syndrome is a rare clinical entity caused by compression. nutcracker syndrome (ncs) is an extrinsic compression of the left renal. when it comes to the surgical management of ncs three main pathways exist: nutcracker syndrome (ncs) describes left renal vein compression between the superior mesenteric artery and. Nutcracker Syndrome In The Abdomen.
From radiopaedia.org
Nutcracker syndrome Image Nutcracker Syndrome In The Abdomen when it comes to the surgical management of ncs three main pathways exist: The condition has this name because the. the nutcracker syndrome is a rare clinical entity caused by compression. Open surgery, laparoscopic surgery and. nutcracker syndrome, or left renal vein entrapment, describes an uncommon condition involving compression of. nutcracker syndrome (ncs) is an extrinsic. Nutcracker Syndrome In The Abdomen.
From radiopaedia.org
Nutcracker syndrome Image Nutcracker Syndrome In The Abdomen nutcracker syndrome (ncs) describes left renal vein compression between the superior mesenteric artery and the aorta. when it comes to the surgical management of ncs three main pathways exist: nutcracker syndrome (ns) is a condition in which two arteries compress the left renal vein (lrv), interfering with blood flow out of the left kidney. The condition has. Nutcracker Syndrome In The Abdomen.
From www.researchgate.net
Abdominal MRA images of a patient with nutcracker syndrome. a) axial Nutcracker Syndrome In The Abdomen when it comes to the surgical management of ncs three main pathways exist: nutcracker syndrome (ncs) is an extrinsic compression of the left renal. nutcracker syndrome, or left renal vein entrapment, describes an uncommon condition involving compression of. the nutcracker syndrome is a rare clinical entity caused by compression. nutcracker syndrome (ncs) describes left renal. Nutcracker Syndrome In The Abdomen.
From www.researchgate.net
(PDF) A Case of Nutcracker Syndrome Combined with Wilkie Syndrome with Nutcracker Syndrome In The Abdomen when it comes to the surgical management of ncs three main pathways exist: nutcracker syndrome (ncs) is an extrinsic compression of the left renal. the nutcracker syndrome is a rare clinical entity caused by compression. nutcracker syndrome (ncs) describes left renal vein compression between the superior mesenteric artery and the aorta. nutcracker syndrome (ns) is. Nutcracker Syndrome In The Abdomen.
From radiopaedia.org
Nutcracker syndrome Image Nutcracker Syndrome In The Abdomen nutcracker syndrome (ncs) describes left renal vein compression between the superior mesenteric artery and the aorta. Open surgery, laparoscopic surgery and. when it comes to the surgical management of ncs three main pathways exist: nutcracker syndrome (ncs) is an extrinsic compression of the left renal. nutcracker syndrome (ns) is a condition in which two arteries compress. Nutcracker Syndrome In The Abdomen.
From pubs.rsna.org
CT Angiography of Posterior Nutcracker Syndrome Radiology Nutcracker Syndrome In The Abdomen nutcracker syndrome (ncs) is an extrinsic compression of the left renal. when it comes to the surgical management of ncs three main pathways exist: the nutcracker syndrome is a rare clinical entity caused by compression. nutcracker syndrome, or left renal vein entrapment, describes an uncommon condition involving compression of. nutcracker syndrome (ns) is a condition. Nutcracker Syndrome In The Abdomen.
From ar.inspiredpencil.com
Nutcracker Syndrome Ultrasound Nutcracker Syndrome In The Abdomen The condition has this name because the. nutcracker syndrome (ncs) is an extrinsic compression of the left renal. nutcracker syndrome, or left renal vein entrapment, describes an uncommon condition involving compression of. Open surgery, laparoscopic surgery and. when it comes to the surgical management of ncs three main pathways exist: nutcracker syndrome (ncs) describes left renal. Nutcracker Syndrome In The Abdomen.
From www.scgvs.com
Nutcracker Syndrome Charlotte, NC South Charlotte General and Nutcracker Syndrome In The Abdomen nutcracker syndrome (ncs) describes left renal vein compression between the superior mesenteric artery and the aorta. The condition has this name because the. nutcracker syndrome, or left renal vein entrapment, describes an uncommon condition involving compression of. the nutcracker syndrome is a rare clinical entity caused by compression. nutcracker syndrome (ns) is a condition in which. Nutcracker Syndrome In The Abdomen.
From casereports.bmj.com
Superior mesenteric artery syndrome and the ‘nutcracker phenomenon Nutcracker Syndrome In The Abdomen Open surgery, laparoscopic surgery and. nutcracker syndrome (ncs) is an extrinsic compression of the left renal. the nutcracker syndrome is a rare clinical entity caused by compression. The condition has this name because the. when it comes to the surgical management of ncs three main pathways exist: nutcracker syndrome (ns) is a condition in which two. Nutcracker Syndrome In The Abdomen.
From www.ejves.com
Nutcracker Syndrome An Update on Current Diagnostic Criteria and Nutcracker Syndrome In The Abdomen nutcracker syndrome (ncs) describes left renal vein compression between the superior mesenteric artery and the aorta. The condition has this name because the. Open surgery, laparoscopic surgery and. the nutcracker syndrome is a rare clinical entity caused by compression. nutcracker syndrome, or left renal vein entrapment, describes an uncommon condition involving compression of. nutcracker syndrome (ncs). Nutcracker Syndrome In The Abdomen.
From www.cureus.com
Cureus Atypical Posterior Nutcracker Syndrome in a 17YearOld Male Nutcracker Syndrome In The Abdomen nutcracker syndrome (ncs) is an extrinsic compression of the left renal. when it comes to the surgical management of ncs three main pathways exist: Open surgery, laparoscopic surgery and. nutcracker syndrome (ns) is a condition in which two arteries compress the left renal vein (lrv), interfering with blood flow out of the left kidney. The condition has. Nutcracker Syndrome In The Abdomen.