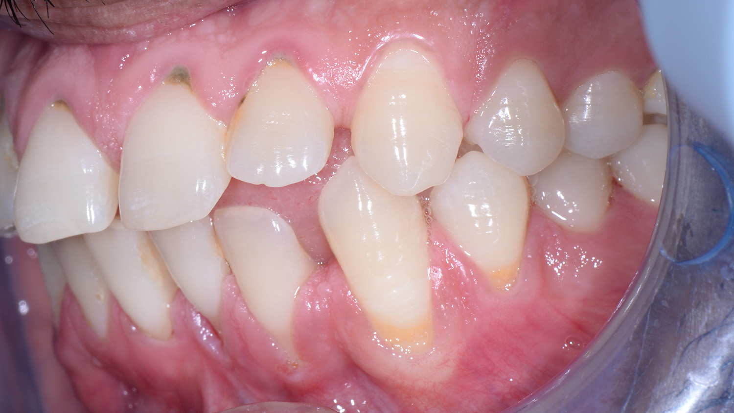
Is There A Way To Tighten A Loose Tooth . For example, treating gum disease, repairing fractured teeth, or addressing bite imbalances can help restore stability and function to loose teeth. Utilizing home remedies such as saltwater rinses, turmeric and black pepper paste, and amla powder can. Would you like to know how to tighten a loose tooth at home? Identifying and addressing the underlying cause of tooth mobility is essential for promoting effective healing and stabilization of the tooth. Your dentist will suggest treatments and remedies after conducting an oral examination. Some loose teeth can tighten up again with nonsurgical treatments like dental cleanings and improved oral hygiene at home. There are many reasons your teeth might. Can loose teeth be reversed? Why do my teeth feel loose? A loose tooth can be tightened up in some instances, but you need to seek professional guidance. Noticing a loose tooth or even worse, several loose teeth, can be quite unsettling. 1.can a loose tooth tighten back up? Here’s what you can do: The good news is that, depending on the cause. If treated on time with proper care, loose teeth can be reversed and fixed properly.
from para-eternizar.blogspot.com
Identifying and addressing the underlying cause of tooth mobility is essential for promoting effective healing and stabilization of the tooth. Utilizing home remedies such as saltwater rinses, turmeric and black pepper paste, and amla powder can. The good news is that, depending on the cause. If treated on time with proper care, loose teeth can be reversed and fixed properly. For example, treating gum disease, repairing fractured teeth, or addressing bite imbalances can help restore stability and function to loose teeth. Some loose teeth can tighten up again with nonsurgical treatments like dental cleanings and improved oral hygiene at home. Your dentist will suggest treatments and remedies after conducting an oral examination. There are many reasons your teeth might. 1.can a loose tooth tighten back up? Would you like to know how to tighten a loose tooth at home?
How To Tighten A Loose Tooth Naturally What Should You Do If A
Is There A Way To Tighten A Loose Tooth Would you like to know how to tighten a loose tooth at home? Why do my teeth feel loose? For example, treating gum disease, repairing fractured teeth, or addressing bite imbalances can help restore stability and function to loose teeth. 1.can a loose tooth tighten back up? There are many reasons your teeth might. A loose tooth can be tightened up in some instances, but you need to seek professional guidance. Here’s what you can do: Noticing a loose tooth or even worse, several loose teeth, can be quite unsettling. Would you like to know how to tighten a loose tooth at home? If treated on time with proper care, loose teeth can be reversed and fixed properly. Your dentist will suggest treatments and remedies after conducting an oral examination. The good news is that, depending on the cause. Can loose teeth be reversed? Identifying and addressing the underlying cause of tooth mobility is essential for promoting effective healing and stabilization of the tooth. Utilizing home remedies such as saltwater rinses, turmeric and black pepper paste, and amla powder can. Some loose teeth can tighten up again with nonsurgical treatments like dental cleanings and improved oral hygiene at home.
From familydentistnashua.com
Can a Loose Tooth Tighten Back Up? Is There A Way To Tighten A Loose Tooth Your dentist will suggest treatments and remedies after conducting an oral examination. Noticing a loose tooth or even worse, several loose teeth, can be quite unsettling. 1.can a loose tooth tighten back up? The good news is that, depending on the cause. Identifying and addressing the underlying cause of tooth mobility is essential for promoting effective healing and stabilization of. Is There A Way To Tighten A Loose Tooth.
From www.remedyland.com
Loose teeth or loose tooth in adults or children and how to deal with Is There A Way To Tighten A Loose Tooth Noticing a loose tooth or even worse, several loose teeth, can be quite unsettling. Utilizing home remedies such as saltwater rinses, turmeric and black pepper paste, and amla powder can. Here’s what you can do: For example, treating gum disease, repairing fractured teeth, or addressing bite imbalances can help restore stability and function to loose teeth. There are many reasons. Is There A Way To Tighten A Loose Tooth.
From www.teethfaq.com
Will A Loose Tooth Tighten Back Up? Teeth FAQ Blog Is There A Way To Tighten A Loose Tooth There are many reasons your teeth might. Utilizing home remedies such as saltwater rinses, turmeric and black pepper paste, and amla powder can. If treated on time with proper care, loose teeth can be reversed and fixed properly. A loose tooth can be tightened up in some instances, but you need to seek professional guidance. Here’s what you can do:. Is There A Way To Tighten A Loose Tooth.
From www.reddit.com
Can a loose tooth tighten back up after a trauma? r/askdentists Is There A Way To Tighten A Loose Tooth A loose tooth can be tightened up in some instances, but you need to seek professional guidance. If treated on time with proper care, loose teeth can be reversed and fixed properly. The good news is that, depending on the cause. For example, treating gum disease, repairing fractured teeth, or addressing bite imbalances can help restore stability and function to. Is There A Way To Tighten A Loose Tooth.
From www.easterndental.com
Loose Teeth Eastern Dental Is There A Way To Tighten A Loose Tooth If treated on time with proper care, loose teeth can be reversed and fixed properly. Noticing a loose tooth or even worse, several loose teeth, can be quite unsettling. 1.can a loose tooth tighten back up? Would you like to know how to tighten a loose tooth at home? Can loose teeth be reversed? The good news is that, depending. Is There A Way To Tighten A Loose Tooth.
From www.cdhp.org
Can A Loose Tooth Tighten Back Up? (Causes & Treatments) Is There A Way To Tighten A Loose Tooth A loose tooth can be tightened up in some instances, but you need to seek professional guidance. For example, treating gum disease, repairing fractured teeth, or addressing bite imbalances can help restore stability and function to loose teeth. Utilizing home remedies such as saltwater rinses, turmeric and black pepper paste, and amla powder can. Your dentist will suggest treatments and. Is There A Way To Tighten A Loose Tooth.
From www.cdhp.org
Can A Loose Tooth Tighten Back Up? (Causes & Treatments) Is There A Way To Tighten A Loose Tooth There are many reasons your teeth might. The good news is that, depending on the cause. If treated on time with proper care, loose teeth can be reversed and fixed properly. Would you like to know how to tighten a loose tooth at home? Utilizing home remedies such as saltwater rinses, turmeric and black pepper paste, and amla powder can.. Is There A Way To Tighten A Loose Tooth.
From franklindental-supply.com
Can a Loose Tooth Tighten Back up After Injury? Franklin Dental Supply Is There A Way To Tighten A Loose Tooth Noticing a loose tooth or even worse, several loose teeth, can be quite unsettling. If treated on time with proper care, loose teeth can be reversed and fixed properly. Utilizing home remedies such as saltwater rinses, turmeric and black pepper paste, and amla powder can. Can loose teeth be reversed? The good news is that, depending on the cause. For. Is There A Way To Tighten A Loose Tooth.
From ilusm3.blogspot.com
Is There A Way To Tighten A Loose Tooth 28 Tips How To Tighten Belly Is There A Way To Tighten A Loose Tooth Utilizing home remedies such as saltwater rinses, turmeric and black pepper paste, and amla powder can. Would you like to know how to tighten a loose tooth at home? There are many reasons your teeth might. Can loose teeth be reversed? Some loose teeth can tighten up again with nonsurgical treatments like dental cleanings and improved oral hygiene at home.. Is There A Way To Tighten A Loose Tooth.
From dentalartsfl.com
How To Tighten A Loose Tooth At Home Safely? Is There A Way To Tighten A Loose Tooth The good news is that, depending on the cause. Identifying and addressing the underlying cause of tooth mobility is essential for promoting effective healing and stabilization of the tooth. Utilizing home remedies such as saltwater rinses, turmeric and black pepper paste, and amla powder can. Your dentist will suggest treatments and remedies after conducting an oral examination. There are many. Is There A Way To Tighten A Loose Tooth.
From rcadpainting1.blogspot.com
How Do You Stabilize A Loose Tooth / Mobile Teeth Why Are They Moving Is There A Way To Tighten A Loose Tooth Here’s what you can do: Would you like to know how to tighten a loose tooth at home? Your dentist will suggest treatments and remedies after conducting an oral examination. Why do my teeth feel loose? For example, treating gum disease, repairing fractured teeth, or addressing bite imbalances can help restore stability and function to loose teeth. There are many. Is There A Way To Tighten A Loose Tooth.
From www.youtube.com
How To Pull Out A Loose Tooth At Home YouTube Is There A Way To Tighten A Loose Tooth 1.can a loose tooth tighten back up? Why do my teeth feel loose? Would you like to know how to tighten a loose tooth at home? The good news is that, depending on the cause. Some loose teeth can tighten up again with nonsurgical treatments like dental cleanings and improved oral hygiene at home. Utilizing home remedies such as saltwater. Is There A Way To Tighten A Loose Tooth.
From www.smilecraftdental.com
Loose Teeth in Adults Should I be worried? Is There A Way To Tighten A Loose Tooth Noticing a loose tooth or even worse, several loose teeth, can be quite unsettling. The good news is that, depending on the cause. Utilizing home remedies such as saltwater rinses, turmeric and black pepper paste, and amla powder can. For example, treating gum disease, repairing fractured teeth, or addressing bite imbalances can help restore stability and function to loose teeth.. Is There A Way To Tighten A Loose Tooth.
From inlandchoicedental.com
Don't Panic! A Guide to Loose Tooth Tightening Is There A Way To Tighten A Loose Tooth Identifying and addressing the underlying cause of tooth mobility is essential for promoting effective healing and stabilization of the tooth. For example, treating gum disease, repairing fractured teeth, or addressing bite imbalances can help restore stability and function to loose teeth. Your dentist will suggest treatments and remedies after conducting an oral examination. Some loose teeth can tighten up again. Is There A Way To Tighten A Loose Tooth.
From www.stylecraze.com
How To Strengthen Loose Teeth Causes And Home Remedies Is There A Way To Tighten A Loose Tooth A loose tooth can be tightened up in some instances, but you need to seek professional guidance. Some loose teeth can tighten up again with nonsurgical treatments like dental cleanings and improved oral hygiene at home. The good news is that, depending on the cause. Utilizing home remedies such as saltwater rinses, turmeric and black pepper paste, and amla powder. Is There A Way To Tighten A Loose Tooth.
From seriouslyelisha.blogspot.com
Is There A Way To Tighten A Loose Tooth Can A Loose Tooth Tighten Is There A Way To Tighten A Loose Tooth If treated on time with proper care, loose teeth can be reversed and fixed properly. A loose tooth can be tightened up in some instances, but you need to seek professional guidance. Utilizing home remedies such as saltwater rinses, turmeric and black pepper paste, and amla powder can. The good news is that, depending on the cause. Your dentist will. Is There A Way To Tighten A Loose Tooth.
From www.coastalperio.net
Loose Teeth & Bite Problems Coastal Periodontics & Implant Dentistry Is There A Way To Tighten A Loose Tooth Can loose teeth be reversed? Identifying and addressing the underlying cause of tooth mobility is essential for promoting effective healing and stabilization of the tooth. Would you like to know how to tighten a loose tooth at home? There are many reasons your teeth might. For example, treating gum disease, repairing fractured teeth, or addressing bite imbalances can help restore. Is There A Way To Tighten A Loose Tooth.
From p-apertowns.blogspot.com
How To Make A Tooth Loose Enough To Pull Adults The Perils Of A Loose Is There A Way To Tighten A Loose Tooth If treated on time with proper care, loose teeth can be reversed and fixed properly. Can loose teeth be reversed? Identifying and addressing the underlying cause of tooth mobility is essential for promoting effective healing and stabilization of the tooth. The good news is that, depending on the cause. Utilizing home remedies such as saltwater rinses, turmeric and black pepper. Is There A Way To Tighten A Loose Tooth.
From www.lighthousedentalcentre.com
Can Your Loose Tooth Tighten Back Up? Is There A Way To Tighten A Loose Tooth Here’s what you can do: A loose tooth can be tightened up in some instances, but you need to seek professional guidance. Would you like to know how to tighten a loose tooth at home? Utilizing home remedies such as saltwater rinses, turmeric and black pepper paste, and amla powder can. If treated on time with proper care, loose teeth. Is There A Way To Tighten A Loose Tooth.
From www.youtube.com
The Loose Tooth! YouTube Is There A Way To Tighten A Loose Tooth There are many reasons your teeth might. For example, treating gum disease, repairing fractured teeth, or addressing bite imbalances can help restore stability and function to loose teeth. A loose tooth can be tightened up in some instances, but you need to seek professional guidance. Can loose teeth be reversed? Would you like to know how to tighten a loose. Is There A Way To Tighten A Loose Tooth.
From stardoll3fblog.blogspot.com
How To Get A Loose Tooth Out Without Hurting Does it hurt to get your Is There A Way To Tighten A Loose Tooth Your dentist will suggest treatments and remedies after conducting an oral examination. Why do my teeth feel loose? Would you like to know how to tighten a loose tooth at home? 1.can a loose tooth tighten back up? Here’s what you can do: Utilizing home remedies such as saltwater rinses, turmeric and black pepper paste, and amla powder can. If. Is There A Way To Tighten A Loose Tooth.
From www.slideserve.com
PPT How to Tighten a Loose Tooth PowerPoint Presentation, free Is There A Way To Tighten A Loose Tooth 1.can a loose tooth tighten back up? Some loose teeth can tighten up again with nonsurgical treatments like dental cleanings and improved oral hygiene at home. Would you like to know how to tighten a loose tooth at home? Noticing a loose tooth or even worse, several loose teeth, can be quite unsettling. Here’s what you can do: Identifying and. Is There A Way To Tighten A Loose Tooth.
From animalia-life.club
Is It Ok To Pull A Loose Puppy Tooth Is There A Way To Tighten A Loose Tooth There are many reasons your teeth might. Why do my teeth feel loose? Identifying and addressing the underlying cause of tooth mobility is essential for promoting effective healing and stabilization of the tooth. Here’s what you can do: The good news is that, depending on the cause. Can loose teeth be reversed? Would you like to know how to tighten. Is There A Way To Tighten A Loose Tooth.
From www.miamiperio.com
Learn How to Tighten a Loose Tooth at Home Safely Miami, FL Is There A Way To Tighten A Loose Tooth Identifying and addressing the underlying cause of tooth mobility is essential for promoting effective healing and stabilization of the tooth. Your dentist will suggest treatments and remedies after conducting an oral examination. A loose tooth can be tightened up in some instances, but you need to seek professional guidance. Here’s what you can do: The good news is that, depending. Is There A Way To Tighten A Loose Tooth.
From mouthandsmiles.com
Can a Loose Tooth Tighten Back Up Over Time? Mouth and Smiles Is There A Way To Tighten A Loose Tooth The good news is that, depending on the cause. Noticing a loose tooth or even worse, several loose teeth, can be quite unsettling. If treated on time with proper care, loose teeth can be reversed and fixed properly. For example, treating gum disease, repairing fractured teeth, or addressing bite imbalances can help restore stability and function to loose teeth. Your. Is There A Way To Tighten A Loose Tooth.
From snewqs.blogspot.com
How To Tighten A Loose Tooth Fast SNEWQS Is There A Way To Tighten A Loose Tooth Identifying and addressing the underlying cause of tooth mobility is essential for promoting effective healing and stabilization of the tooth. Here’s what you can do: Can loose teeth be reversed? Why do my teeth feel loose? For example, treating gum disease, repairing fractured teeth, or addressing bite imbalances can help restore stability and function to loose teeth. Utilizing home remedies. Is There A Way To Tighten A Loose Tooth.
From safashionista.blogspot.com
How To Tighten A Loose Tooth Naturally How to Tighten Loose Teeth Is There A Way To Tighten A Loose Tooth Here’s what you can do: If treated on time with proper care, loose teeth can be reversed and fixed properly. Some loose teeth can tighten up again with nonsurgical treatments like dental cleanings and improved oral hygiene at home. Utilizing home remedies such as saltwater rinses, turmeric and black pepper paste, and amla powder can. Why do my teeth feel. Is There A Way To Tighten A Loose Tooth.
From www.youtube.com
Home Remedies To Tighten & Strengthen Loose Teeth! YouTube Is There A Way To Tighten A Loose Tooth For example, treating gum disease, repairing fractured teeth, or addressing bite imbalances can help restore stability and function to loose teeth. If treated on time with proper care, loose teeth can be reversed and fixed properly. Identifying and addressing the underlying cause of tooth mobility is essential for promoting effective healing and stabilization of the tooth. There are many reasons. Is There A Way To Tighten A Loose Tooth.
From para-eternizar.blogspot.com
How To Tighten A Loose Tooth Naturally What Should You Do If A Is There A Way To Tighten A Loose Tooth Here’s what you can do: For example, treating gum disease, repairing fractured teeth, or addressing bite imbalances can help restore stability and function to loose teeth. Noticing a loose tooth or even worse, several loose teeth, can be quite unsettling. Would you like to know how to tighten a loose tooth at home? Your dentist will suggest treatments and remedies. Is There A Way To Tighten A Loose Tooth.
From juniorsmilesofstafford.com
6 Fun Ways to Pull Out a Kid's Tooth Without Pain Junior Smiles Of Is There A Way To Tighten A Loose Tooth Some loose teeth can tighten up again with nonsurgical treatments like dental cleanings and improved oral hygiene at home. 1.can a loose tooth tighten back up? Utilizing home remedies such as saltwater rinses, turmeric and black pepper paste, and amla powder can. There are many reasons your teeth might. For example, treating gum disease, repairing fractured teeth, or addressing bite. Is There A Way To Tighten A Loose Tooth.
From preparationmom.com
5 Best Ways to Ease Loose Baby Tooth Pain in Children Starting Tonight Is There A Way To Tighten A Loose Tooth Would you like to know how to tighten a loose tooth at home? Why do my teeth feel loose? There are many reasons your teeth might. 1.can a loose tooth tighten back up? If treated on time with proper care, loose teeth can be reversed and fixed properly. Here’s what you can do: Some loose teeth can tighten up again. Is There A Way To Tighten A Loose Tooth.
From gumdiseaseguide.org
How To Tighten Loose Teeth At Home Is There A Way To Tighten A Loose Tooth If treated on time with proper care, loose teeth can be reversed and fixed properly. Your dentist will suggest treatments and remedies after conducting an oral examination. Can loose teeth be reversed? A loose tooth can be tightened up in some instances, but you need to seek professional guidance. Why do my teeth feel loose? Here’s what you can do:. Is There A Way To Tighten A Loose Tooth.
From seriouslyelisha.blogspot.com
Is There A Way To Tighten A Loose Tooth Can A Loose Tooth Tighten Is There A Way To Tighten A Loose Tooth Why do my teeth feel loose? If treated on time with proper care, loose teeth can be reversed and fixed properly. For example, treating gum disease, repairing fractured teeth, or addressing bite imbalances can help restore stability and function to loose teeth. Can loose teeth be reversed? Utilizing home remedies such as saltwater rinses, turmeric and black pepper paste, and. Is There A Way To Tighten A Loose Tooth.
From eit-wallpapercave.blogspot.com
How To Get A Loose Tooth Out Of Your Mouth 8 Wallpaper Cave Is There A Way To Tighten A Loose Tooth For example, treating gum disease, repairing fractured teeth, or addressing bite imbalances can help restore stability and function to loose teeth. If treated on time with proper care, loose teeth can be reversed and fixed properly. Would you like to know how to tighten a loose tooth at home? Utilizing home remedies such as saltwater rinses, turmeric and black pepper. Is There A Way To Tighten A Loose Tooth.
From theamberpost.com
How To Tighten A Loose Tooth At Home? Natural Remedies And Preventive Is There A Way To Tighten A Loose Tooth Some loose teeth can tighten up again with nonsurgical treatments like dental cleanings and improved oral hygiene at home. Would you like to know how to tighten a loose tooth at home? The good news is that, depending on the cause. There are many reasons your teeth might. A loose tooth can be tightened up in some instances, but you. Is There A Way To Tighten A Loose Tooth.