Tooth Wear Attrition . tooth surface loss (tsl) or tooth wear (tw) is an irreversible loss of hard tooth structure caused by factors. learn about the three main processes of tooth wear: identifying early signs of erosion, abrasion or attrition and determining the risk factors contributing to a patient's. dental attrition is caused by tooth to tooth contact forming acquired. Find out how to identify, prevent and treat tooth wear with diet, fluoride and restorative options.
from london-dental-specialists.co.uk
learn about the three main processes of tooth wear: Find out how to identify, prevent and treat tooth wear with diet, fluoride and restorative options. identifying early signs of erosion, abrasion or attrition and determining the risk factors contributing to a patient's. dental attrition is caused by tooth to tooth contact forming acquired. tooth surface loss (tsl) or tooth wear (tw) is an irreversible loss of hard tooth structure caused by factors.
Tooth Wear Dental Erosion & Attrition London Dental Specialists
Tooth Wear Attrition identifying early signs of erosion, abrasion or attrition and determining the risk factors contributing to a patient's. Find out how to identify, prevent and treat tooth wear with diet, fluoride and restorative options. tooth surface loss (tsl) or tooth wear (tw) is an irreversible loss of hard tooth structure caused by factors. identifying early signs of erosion, abrasion or attrition and determining the risk factors contributing to a patient's. learn about the three main processes of tooth wear: dental attrition is caused by tooth to tooth contact forming acquired.
From www.youtube.com
Tooth Wear Attrition Erosion Abrasion CEREC Omnicam and Enamic to the Tooth Wear Attrition Find out how to identify, prevent and treat tooth wear with diet, fluoride and restorative options. identifying early signs of erosion, abrasion or attrition and determining the risk factors contributing to a patient's. learn about the three main processes of tooth wear: tooth surface loss (tsl) or tooth wear (tw) is an irreversible loss of hard tooth. Tooth Wear Attrition.
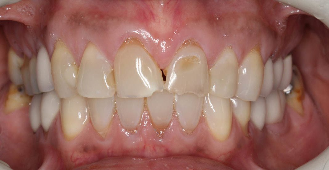
From pocketdentistry.com
4 The oral presentation of toothwear in adults Pocket Dentistry Tooth Wear Attrition identifying early signs of erosion, abrasion or attrition and determining the risk factors contributing to a patient's. dental attrition is caused by tooth to tooth contact forming acquired. learn about the three main processes of tooth wear: tooth surface loss (tsl) or tooth wear (tw) is an irreversible loss of hard tooth structure caused by factors.. Tooth Wear Attrition.
From www.slideserve.com
PPT Tooth wear aetiology , prevention, clinical implication Tooth Wear Attrition Find out how to identify, prevent and treat tooth wear with diet, fluoride and restorative options. tooth surface loss (tsl) or tooth wear (tw) is an irreversible loss of hard tooth structure caused by factors. learn about the three main processes of tooth wear: identifying early signs of erosion, abrasion or attrition and determining the risk factors. Tooth Wear Attrition.
From ntperiohygiene.blogspot.com
The Buzz from Your Favorite Dental Hygienists Attrition Tooth Wear Attrition dental attrition is caused by tooth to tooth contact forming acquired. learn about the three main processes of tooth wear: identifying early signs of erosion, abrasion or attrition and determining the risk factors contributing to a patient's. tooth surface loss (tsl) or tooth wear (tw) is an irreversible loss of hard tooth structure caused by factors.. Tooth Wear Attrition.
From dentodontics.com
TOOTH WEAR DENTODONTICS Tooth Wear Attrition learn about the three main processes of tooth wear: tooth surface loss (tsl) or tooth wear (tw) is an irreversible loss of hard tooth structure caused by factors. dental attrition is caused by tooth to tooth contact forming acquired. Find out how to identify, prevent and treat tooth wear with diet, fluoride and restorative options. identifying. Tooth Wear Attrition.
From www.advanceddentistry.co.uk
Tooth Wear Tooth Erosion Advanced Dentistry Tooth Wear Attrition learn about the three main processes of tooth wear: identifying early signs of erosion, abrasion or attrition and determining the risk factors contributing to a patient's. dental attrition is caused by tooth to tooth contact forming acquired. Find out how to identify, prevent and treat tooth wear with diet, fluoride and restorative options. tooth surface loss. Tooth Wear Attrition.
From www.slideserve.com
PPT Tooth wear aetiology , prevention, clinical implication Tooth Wear Attrition identifying early signs of erosion, abrasion or attrition and determining the risk factors contributing to a patient's. tooth surface loss (tsl) or tooth wear (tw) is an irreversible loss of hard tooth structure caused by factors. learn about the three main processes of tooth wear: Find out how to identify, prevent and treat tooth wear with diet,. Tooth Wear Attrition.
From www.theadc.dental
Home Remedies for Bruxism Ways to Prevent Attrition Tooth Wear Attrition learn about the three main processes of tooth wear: identifying early signs of erosion, abrasion or attrition and determining the risk factors contributing to a patient's. Find out how to identify, prevent and treat tooth wear with diet, fluoride and restorative options. dental attrition is caused by tooth to tooth contact forming acquired. tooth surface loss. Tooth Wear Attrition.
From lookfordiagnosis.com
Dental attrition Tooth Wear Attrition tooth surface loss (tsl) or tooth wear (tw) is an irreversible loss of hard tooth structure caused by factors. dental attrition is caused by tooth to tooth contact forming acquired. identifying early signs of erosion, abrasion or attrition and determining the risk factors contributing to a patient's. learn about the three main processes of tooth wear:. Tooth Wear Attrition.
From www.studiodentaire.com
Attrition Studio Dentaire Tooth Wear Attrition dental attrition is caused by tooth to tooth contact forming acquired. Find out how to identify, prevent and treat tooth wear with diet, fluoride and restorative options. learn about the three main processes of tooth wear: identifying early signs of erosion, abrasion or attrition and determining the risk factors contributing to a patient's. tooth surface loss. Tooth Wear Attrition.
From www.goldenstatedentistry.com
What is Dental Attrition? Tooth Wear Attrition tooth surface loss (tsl) or tooth wear (tw) is an irreversible loss of hard tooth structure caused by factors. Find out how to identify, prevent and treat tooth wear with diet, fluoride and restorative options. identifying early signs of erosion, abrasion or attrition and determining the risk factors contributing to a patient's. dental attrition is caused by. Tooth Wear Attrition.
From ar.inspiredpencil.com
Tooth Attrition Tooth Wear Attrition dental attrition is caused by tooth to tooth contact forming acquired. learn about the three main processes of tooth wear: Find out how to identify, prevent and treat tooth wear with diet, fluoride and restorative options. tooth surface loss (tsl) or tooth wear (tw) is an irreversible loss of hard tooth structure caused by factors. identifying. Tooth Wear Attrition.
From www.youtube.com
Non Carious Tooth Wear//Attrition, Abrasion, Abfraction, Erosion Tooth Wear Attrition learn about the three main processes of tooth wear: dental attrition is caused by tooth to tooth contact forming acquired. Find out how to identify, prevent and treat tooth wear with diet, fluoride and restorative options. tooth surface loss (tsl) or tooth wear (tw) is an irreversible loss of hard tooth structure caused by factors. identifying. Tooth Wear Attrition.
From www.slideserve.com
PPT Tooth wear aetiology , prevention, clinical implication Tooth Wear Attrition tooth surface loss (tsl) or tooth wear (tw) is an irreversible loss of hard tooth structure caused by factors. learn about the three main processes of tooth wear: Find out how to identify, prevent and treat tooth wear with diet, fluoride and restorative options. dental attrition is caused by tooth to tooth contact forming acquired. identifying. Tooth Wear Attrition.
From cosmeticdentistmonrovia.com
Types And Causes Of Tooth Wear Dr.Shahram Valiani Tooth Wear Attrition tooth surface loss (tsl) or tooth wear (tw) is an irreversible loss of hard tooth structure caused by factors. Find out how to identify, prevent and treat tooth wear with diet, fluoride and restorative options. learn about the three main processes of tooth wear: identifying early signs of erosion, abrasion or attrition and determining the risk factors. Tooth Wear Attrition.
From www.youtube.com
Teeth Wear Attrition Of The Teeth Composite Dental Fillings Tooth Wear Attrition tooth surface loss (tsl) or tooth wear (tw) is an irreversible loss of hard tooth structure caused by factors. identifying early signs of erosion, abrasion or attrition and determining the risk factors contributing to a patient's. learn about the three main processes of tooth wear: dental attrition is caused by tooth to tooth contact forming acquired.. Tooth Wear Attrition.
From www.researchgate.net
Attrition loss of enamel, dentin, or restoration by toothtotooth Tooth Wear Attrition learn about the three main processes of tooth wear: tooth surface loss (tsl) or tooth wear (tw) is an irreversible loss of hard tooth structure caused by factors. Find out how to identify, prevent and treat tooth wear with diet, fluoride and restorative options. dental attrition is caused by tooth to tooth contact forming acquired. identifying. Tooth Wear Attrition.
From london-dental-specialists.co.uk
Tooth Wear Dental Erosion & Attrition London Dental Specialists Tooth Wear Attrition learn about the three main processes of tooth wear: identifying early signs of erosion, abrasion or attrition and determining the risk factors contributing to a patient's. dental attrition is caused by tooth to tooth contact forming acquired. tooth surface loss (tsl) or tooth wear (tw) is an irreversible loss of hard tooth structure caused by factors.. Tooth Wear Attrition.
From restorativenation.com
Diagnosing Tooth Wear Attrition Versus Erosion Restorative Nation Tooth Wear Attrition Find out how to identify, prevent and treat tooth wear with diet, fluoride and restorative options. identifying early signs of erosion, abrasion or attrition and determining the risk factors contributing to a patient's. dental attrition is caused by tooth to tooth contact forming acquired. tooth surface loss (tsl) or tooth wear (tw) is an irreversible loss of. Tooth Wear Attrition.
From medizzy.com
Types of tooth wear MEDizzy Tooth Wear Attrition Find out how to identify, prevent and treat tooth wear with diet, fluoride and restorative options. learn about the three main processes of tooth wear: identifying early signs of erosion, abrasion or attrition and determining the risk factors contributing to a patient's. dental attrition is caused by tooth to tooth contact forming acquired. tooth surface loss. Tooth Wear Attrition.
From www.pearldentalclinic.co.uk
Tooth Wear management Pearl Dental Clinic Dentist in London Tooth Wear Attrition learn about the three main processes of tooth wear: Find out how to identify, prevent and treat tooth wear with diet, fluoride and restorative options. identifying early signs of erosion, abrasion or attrition and determining the risk factors contributing to a patient's. dental attrition is caused by tooth to tooth contact forming acquired. tooth surface loss. Tooth Wear Attrition.
From lookfordiagnosis.com
Tooth attrition; Dental Attrition Tooth Wear Attrition identifying early signs of erosion, abrasion or attrition and determining the risk factors contributing to a patient's. learn about the three main processes of tooth wear: dental attrition is caused by tooth to tooth contact forming acquired. tooth surface loss (tsl) or tooth wear (tw) is an irreversible loss of hard tooth structure caused by factors.. Tooth Wear Attrition.
From www.goldenstatedentistry.com
What is Dental Attrition? Tooth Wear Attrition dental attrition is caused by tooth to tooth contact forming acquired. learn about the three main processes of tooth wear: identifying early signs of erosion, abrasion or attrition and determining the risk factors contributing to a patient's. Find out how to identify, prevent and treat tooth wear with diet, fluoride and restorative options. tooth surface loss. Tooth Wear Attrition.
From ar.inspiredpencil.com
Tooth Attrition Tooth Wear Attrition tooth surface loss (tsl) or tooth wear (tw) is an irreversible loss of hard tooth structure caused by factors. dental attrition is caused by tooth to tooth contact forming acquired. learn about the three main processes of tooth wear: Find out how to identify, prevent and treat tooth wear with diet, fluoride and restorative options. identifying. Tooth Wear Attrition.
From www.dentalimplantcenter.com
Front 6 teeth, severe wear (attrition), Cosmetic (female) Dental Tooth Wear Attrition dental attrition is caused by tooth to tooth contact forming acquired. identifying early signs of erosion, abrasion or attrition and determining the risk factors contributing to a patient's. tooth surface loss (tsl) or tooth wear (tw) is an irreversible loss of hard tooth structure caused by factors. Find out how to identify, prevent and treat tooth wear. Tooth Wear Attrition.
From ar.inspiredpencil.com
Tooth Attrition Tooth Wear Attrition Find out how to identify, prevent and treat tooth wear with diet, fluoride and restorative options. learn about the three main processes of tooth wear: identifying early signs of erosion, abrasion or attrition and determining the risk factors contributing to a patient's. tooth surface loss (tsl) or tooth wear (tw) is an irreversible loss of hard tooth. Tooth Wear Attrition.
From www.dentalimplantcenter.com
Front 6 teeth, severe wear (attrition), Cosmetic (female) Dental Tooth Wear Attrition learn about the three main processes of tooth wear: Find out how to identify, prevent and treat tooth wear with diet, fluoride and restorative options. tooth surface loss (tsl) or tooth wear (tw) is an irreversible loss of hard tooth structure caused by factors. dental attrition is caused by tooth to tooth contact forming acquired. identifying. Tooth Wear Attrition.
From ostrowonline.usc.edu
What is dental attrition? Online Postgraduate Dental Programs USC Tooth Wear Attrition tooth surface loss (tsl) or tooth wear (tw) is an irreversible loss of hard tooth structure caused by factors. identifying early signs of erosion, abrasion or attrition and determining the risk factors contributing to a patient's. learn about the three main processes of tooth wear: Find out how to identify, prevent and treat tooth wear with diet,. Tooth Wear Attrition.
From www.youtube.com
Tooth erosion, abfraction, attrition and other dental wear © YouTube Tooth Wear Attrition learn about the three main processes of tooth wear: dental attrition is caused by tooth to tooth contact forming acquired. tooth surface loss (tsl) or tooth wear (tw) is an irreversible loss of hard tooth structure caused by factors. identifying early signs of erosion, abrasion or attrition and determining the risk factors contributing to a patient's.. Tooth Wear Attrition.
From www.facesandsmilesdental.co.uk
Teeth Wear Faces and Smiles Tooth Wear Attrition dental attrition is caused by tooth to tooth contact forming acquired. identifying early signs of erosion, abrasion or attrition and determining the risk factors contributing to a patient's. Find out how to identify, prevent and treat tooth wear with diet, fluoride and restorative options. tooth surface loss (tsl) or tooth wear (tw) is an irreversible loss of. Tooth Wear Attrition.
From dentagama.com
What is the difference between dental attrition, abfraction, erosion Tooth Wear Attrition learn about the three main processes of tooth wear: Find out how to identify, prevent and treat tooth wear with diet, fluoride and restorative options. tooth surface loss (tsl) or tooth wear (tw) is an irreversible loss of hard tooth structure caused by factors. dental attrition is caused by tooth to tooth contact forming acquired. identifying. Tooth Wear Attrition.
From www.studocu.com
Tooth Wear Lecture notes 1 Tooth Wear Tooth wear can be Tooth Wear Attrition learn about the three main processes of tooth wear: tooth surface loss (tsl) or tooth wear (tw) is an irreversible loss of hard tooth structure caused by factors. dental attrition is caused by tooth to tooth contact forming acquired. identifying early signs of erosion, abrasion or attrition and determining the risk factors contributing to a patient's.. Tooth Wear Attrition.
From springorchid.com.au
What Is Dental Attrition? Treatment At Spring Orchid Dental Tooth Wear Attrition identifying early signs of erosion, abrasion or attrition and determining the risk factors contributing to a patient's. tooth surface loss (tsl) or tooth wear (tw) is an irreversible loss of hard tooth structure caused by factors. dental attrition is caused by tooth to tooth contact forming acquired. Find out how to identify, prevent and treat tooth wear. Tooth Wear Attrition.
From dentagama.com
What are wear facets on teeth? News Dentagama Tooth Wear Attrition tooth surface loss (tsl) or tooth wear (tw) is an irreversible loss of hard tooth structure caused by factors. dental attrition is caused by tooth to tooth contact forming acquired. identifying early signs of erosion, abrasion or attrition and determining the risk factors contributing to a patient's. learn about the three main processes of tooth wear:. Tooth Wear Attrition.
From ar.inspiredpencil.com
Tooth Attrition Tooth Wear Attrition Find out how to identify, prevent and treat tooth wear with diet, fluoride and restorative options. dental attrition is caused by tooth to tooth contact forming acquired. tooth surface loss (tsl) or tooth wear (tw) is an irreversible loss of hard tooth structure caused by factors. learn about the three main processes of tooth wear: identifying. Tooth Wear Attrition.