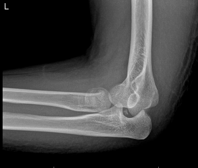
Elbow Dislocation Splint . Severe pain in the elbow. The elbow is one of the most commonly dislocated joints in the. simple elbow dislocations are a commonly seen joint dislocation involving a sequential disruption of the soft tissue. Noticeable deformity or irregular appearance to. once the elbow is relocated into the correct spot, a healthcare provider applies a splint (the most common is a posterior long arm splint) to keep the elbow in place. elbow dislocations constitute 10% to 25% of all injuries to the elbow. This protects the elbow to avoid further injury. after the elbow has been restored to the correct position (reduced), a splint is applied to keep the elbow still. elbow dislocations are common elbow injuries which can be characterized as simple or complex. the patient requires splinting after reduction, often with a posterior long arm splint that prevents extension of the elbow. The goal is to prevent elbow extension, which can cause it to dislocate again. The signs and symptoms of an elbow dislocation may include:
from www.epainassist.com
after the elbow has been restored to the correct position (reduced), a splint is applied to keep the elbow still. Noticeable deformity or irregular appearance to. Severe pain in the elbow. The goal is to prevent elbow extension, which can cause it to dislocate again. This protects the elbow to avoid further injury. The signs and symptoms of an elbow dislocation may include: elbow dislocations are common elbow injuries which can be characterized as simple or complex. elbow dislocations constitute 10% to 25% of all injuries to the elbow. simple elbow dislocations are a commonly seen joint dislocation involving a sequential disruption of the soft tissue. the patient requires splinting after reduction, often with a posterior long arm splint that prevents extension of the elbow.
Elbow Dislocation or Dislocated ElbowSymptomsCausesTreatment
Elbow Dislocation Splint The goal is to prevent elbow extension, which can cause it to dislocate again. elbow dislocations constitute 10% to 25% of all injuries to the elbow. after the elbow has been restored to the correct position (reduced), a splint is applied to keep the elbow still. elbow dislocations are common elbow injuries which can be characterized as simple or complex. the patient requires splinting after reduction, often with a posterior long arm splint that prevents extension of the elbow. Noticeable deformity or irregular appearance to. The goal is to prevent elbow extension, which can cause it to dislocate again. Severe pain in the elbow. The signs and symptoms of an elbow dislocation may include: This protects the elbow to avoid further injury. The elbow is one of the most commonly dislocated joints in the. simple elbow dislocations are a commonly seen joint dislocation involving a sequential disruption of the soft tissue. once the elbow is relocated into the correct spot, a healthcare provider applies a splint (the most common is a posterior long arm splint) to keep the elbow in place.
From www.youtube.com
How To Apply a Elbow Drop Out Splint YouTube Elbow Dislocation Splint Noticeable deformity or irregular appearance to. The elbow is one of the most commonly dislocated joints in the. after the elbow has been restored to the correct position (reduced), a splint is applied to keep the elbow still. elbow dislocations are common elbow injuries which can be characterized as simple or complex. The signs and symptoms of an. Elbow Dislocation Splint.
From www.epainassist.com
Elbow Dislocation or Dislocated ElbowSymptomsCausesTreatment Elbow Dislocation Splint Noticeable deformity or irregular appearance to. elbow dislocations constitute 10% to 25% of all injuries to the elbow. simple elbow dislocations are a commonly seen joint dislocation involving a sequential disruption of the soft tissue. This protects the elbow to avoid further injury. The goal is to prevent elbow extension, which can cause it to dislocate again. Severe. Elbow Dislocation Splint.
From www.slideserve.com
PPT Dislocation and Fracture Reductions PowerPoint Presentation, free Elbow Dislocation Splint The elbow is one of the most commonly dislocated joints in the. elbow dislocations are common elbow injuries which can be characterized as simple or complex. simple elbow dislocations are a commonly seen joint dislocation involving a sequential disruption of the soft tissue. once the elbow is relocated into the correct spot, a healthcare provider applies a. Elbow Dislocation Splint.
From www.orthobullets.com
Elbow Dislocation Trauma Orthobullets Elbow Dislocation Splint simple elbow dislocations are a commonly seen joint dislocation involving a sequential disruption of the soft tissue. the patient requires splinting after reduction, often with a posterior long arm splint that prevents extension of the elbow. elbow dislocations constitute 10% to 25% of all injuries to the elbow. once the elbow is relocated into the correct. Elbow Dislocation Splint.
From fyommrlvw.blob.core.windows.net
Why Does My Wrist Swell When I Wear A Watch at Robert Grasso blog Elbow Dislocation Splint The elbow is one of the most commonly dislocated joints in the. This protects the elbow to avoid further injury. simple elbow dislocations are a commonly seen joint dislocation involving a sequential disruption of the soft tissue. after the elbow has been restored to the correct position (reduced), a splint is applied to keep the elbow still. The. Elbow Dislocation Splint.
From orthofixar.com
Orthopedic Procedures In Orthopedic Surgery From A To Z Elbow Dislocation Splint Noticeable deformity or irregular appearance to. The signs and symptoms of an elbow dislocation may include: once the elbow is relocated into the correct spot, a healthcare provider applies a splint (the most common is a posterior long arm splint) to keep the elbow in place. elbow dislocations are common elbow injuries which can be characterized as simple. Elbow Dislocation Splint.
From www.desertcart.com.eg
Buy Elbow Splint, Night and Day Brace for Ulnar Nerve Entrapment Elbow Dislocation Splint elbow dislocations are common elbow injuries which can be characterized as simple or complex. Severe pain in the elbow. The elbow is one of the most commonly dislocated joints in the. This protects the elbow to avoid further injury. The signs and symptoms of an elbow dislocation may include: The goal is to prevent elbow extension, which can cause. Elbow Dislocation Splint.
From www.slideserve.com
PPT The Elbow PowerPoint Presentation, free download ID195044 Elbow Dislocation Splint simple elbow dislocations are a commonly seen joint dislocation involving a sequential disruption of the soft tissue. Severe pain in the elbow. The signs and symptoms of an elbow dislocation may include: This protects the elbow to avoid further injury. once the elbow is relocated into the correct spot, a healthcare provider applies a splint (the most common. Elbow Dislocation Splint.
From www.youtube.com
Pediatric Elbow Dislocation YouTube Elbow Dislocation Splint The goal is to prevent elbow extension, which can cause it to dislocate again. simple elbow dislocations are a commonly seen joint dislocation involving a sequential disruption of the soft tissue. elbow dislocations are common elbow injuries which can be characterized as simple or complex. once the elbow is relocated into the correct spot, a healthcare provider. Elbow Dislocation Splint.
From bahamas.desertcart.com
Buy Adjustable Elbow Splint Immobilizer, Elbow Brace Stabilizer with Elbow Dislocation Splint simple elbow dislocations are a commonly seen joint dislocation involving a sequential disruption of the soft tissue. elbow dislocations constitute 10% to 25% of all injuries to the elbow. elbow dislocations are common elbow injuries which can be characterized as simple or complex. The signs and symptoms of an elbow dislocation may include: Severe pain in the. Elbow Dislocation Splint.
From cayman.desertcart.com
Buy Hinged Elbow Brace, Adjustable Post OP ROM Elbow Brace with Sling Elbow Dislocation Splint The goal is to prevent elbow extension, which can cause it to dislocate again. the patient requires splinting after reduction, often with a posterior long arm splint that prevents extension of the elbow. once the elbow is relocated into the correct spot, a healthcare provider applies a splint (the most common is a posterior long arm splint) to. Elbow Dislocation Splint.
From www.inhand.net.au
elbowsplints InHand Occupational Therapy Elbow Dislocation Splint once the elbow is relocated into the correct spot, a healthcare provider applies a splint (the most common is a posterior long arm splint) to keep the elbow in place. elbow dislocations are common elbow injuries which can be characterized as simple or complex. simple elbow dislocations are a commonly seen joint dislocation involving a sequential disruption. Elbow Dislocation Splint.
From orthoactive.com
5860 Ultra Cubital Tunnel Elbow Splint Ortho Active Elbow Dislocation Splint elbow dislocations are common elbow injuries which can be characterized as simple or complex. simple elbow dislocations are a commonly seen joint dislocation involving a sequential disruption of the soft tissue. The elbow is one of the most commonly dislocated joints in the. the patient requires splinting after reduction, often with a posterior long arm splint that. Elbow Dislocation Splint.
From www.wingmed.com.tr
Adjustable Elbow Contracture Splint Wingmed Orthopedic Equipments Elbow Dislocation Splint The elbow is one of the most commonly dislocated joints in the. Noticeable deformity or irregular appearance to. the patient requires splinting after reduction, often with a posterior long arm splint that prevents extension of the elbow. The signs and symptoms of an elbow dislocation may include: elbow dislocations are common elbow injuries which can be characterized as. Elbow Dislocation Splint.
From bahamas.desertcart.com
Buy WILLQ Hinged ROM Elbow Brace for Dislocated Arm Adjustable Post Op Elbow Dislocation Splint after the elbow has been restored to the correct position (reduced), a splint is applied to keep the elbow still. the patient requires splinting after reduction, often with a posterior long arm splint that prevents extension of the elbow. Severe pain in the elbow. simple elbow dislocations are a commonly seen joint dislocation involving a sequential disruption. Elbow Dislocation Splint.
From www.hss.edu
Broken Elbows in Children and Teenagers An Overview HSS Elbow Dislocation Splint The signs and symptoms of an elbow dislocation may include: elbow dislocations constitute 10% to 25% of all injuries to the elbow. The goal is to prevent elbow extension, which can cause it to dislocate again. once the elbow is relocated into the correct spot, a healthcare provider applies a splint (the most common is a posterior long. Elbow Dislocation Splint.
From www.artofit.org
Braceability cubital tunnel syndrome elbow brace splint to treat pain Elbow Dislocation Splint once the elbow is relocated into the correct spot, a healthcare provider applies a splint (the most common is a posterior long arm splint) to keep the elbow in place. This protects the elbow to avoid further injury. The signs and symptoms of an elbow dislocation may include: The elbow is one of the most commonly dislocated joints in. Elbow Dislocation Splint.
From www.braceability.com
Elbow Fracture Splint Removable Long Arm Soft Cast Immobilizer Brace Elbow Dislocation Splint Severe pain in the elbow. elbow dislocations constitute 10% to 25% of all injuries to the elbow. The goal is to prevent elbow extension, which can cause it to dislocate again. This protects the elbow to avoid further injury. The elbow is one of the most commonly dislocated joints in the. The signs and symptoms of an elbow dislocation. Elbow Dislocation Splint.
From brunei.desertcart.com
Buy Hinged Elbow Brace, Adjustable Post OP ROM Elbow Brace with Sling Elbow Dislocation Splint Noticeable deformity or irregular appearance to. elbow dislocations constitute 10% to 25% of all injuries to the elbow. the patient requires splinting after reduction, often with a posterior long arm splint that prevents extension of the elbow. after the elbow has been restored to the correct position (reduced), a splint is applied to keep the elbow still.. Elbow Dislocation Splint.
From www.wingmed.com.tr
Adjustable Elbow Contracture Splint With Hand Support Wingmed Elbow Dislocation Splint once the elbow is relocated into the correct spot, a healthcare provider applies a splint (the most common is a posterior long arm splint) to keep the elbow in place. Severe pain in the elbow. the patient requires splinting after reduction, often with a posterior long arm splint that prevents extension of the elbow. Noticeable deformity or irregular. Elbow Dislocation Splint.
From www.youtube.com
Pediatric Elbow Dislocation Reduction Procedure YouTube Elbow Dislocation Splint once the elbow is relocated into the correct spot, a healthcare provider applies a splint (the most common is a posterior long arm splint) to keep the elbow in place. elbow dislocations constitute 10% to 25% of all injuries to the elbow. the patient requires splinting after reduction, often with a posterior long arm splint that prevents. Elbow Dislocation Splint.
From craft-uaoy.frb.io
How to Use a SAM Splint SAM Splint Uses & Applications Elbow Dislocation Splint Severe pain in the elbow. The elbow is one of the most commonly dislocated joints in the. The signs and symptoms of an elbow dislocation may include: once the elbow is relocated into the correct spot, a healthcare provider applies a splint (the most common is a posterior long arm splint) to keep the elbow in place. The goal. Elbow Dislocation Splint.
From www.cureus.com
Cureus Radial Head Dislocation with Elbow Subluxation in an Adult Elbow Dislocation Splint Severe pain in the elbow. the patient requires splinting after reduction, often with a posterior long arm splint that prevents extension of the elbow. Noticeable deformity or irregular appearance to. This protects the elbow to avoid further injury. The signs and symptoms of an elbow dislocation may include: elbow dislocations are common elbow injuries which can be characterized. Elbow Dislocation Splint.
From www.slideserve.com
PPT Dislocation and Fracture Reductions PowerPoint Presentation, free Elbow Dislocation Splint Noticeable deformity or irregular appearance to. This protects the elbow to avoid further injury. the patient requires splinting after reduction, often with a posterior long arm splint that prevents extension of the elbow. elbow dislocations constitute 10% to 25% of all injuries to the elbow. after the elbow has been restored to the correct position (reduced), a. Elbow Dislocation Splint.
From www.youtube.com
Elbow fracture and the AFrame Splint YouTube Elbow Dislocation Splint This protects the elbow to avoid further injury. elbow dislocations are common elbow injuries which can be characterized as simple or complex. after the elbow has been restored to the correct position (reduced), a splint is applied to keep the elbow still. once the elbow is relocated into the correct spot, a healthcare provider applies a splint. Elbow Dislocation Splint.
From www.desertcart.ae
Buy ZAYZ Post Op Elbow Fracture Immobilizer Brace, Arm Orthosis Splint Elbow Dislocation Splint once the elbow is relocated into the correct spot, a healthcare provider applies a splint (the most common is a posterior long arm splint) to keep the elbow in place. elbow dislocations constitute 10% to 25% of all injuries to the elbow. after the elbow has been restored to the correct position (reduced), a splint is applied. Elbow Dislocation Splint.
From www.orthobullets.com
Elbow Dislocation Trauma Orthobullets Elbow Dislocation Splint after the elbow has been restored to the correct position (reduced), a splint is applied to keep the elbow still. elbow dislocations are common elbow injuries which can be characterized as simple or complex. This protects the elbow to avoid further injury. The elbow is one of the most commonly dislocated joints in the. elbow dislocations constitute. Elbow Dislocation Splint.
From www.walmart.com
American Heritage Industries Elbow ROM Brace Hinged Elbow Brace for Elbow Dislocation Splint the patient requires splinting after reduction, often with a posterior long arm splint that prevents extension of the elbow. The elbow is one of the most commonly dislocated joints in the. once the elbow is relocated into the correct spot, a healthcare provider applies a splint (the most common is a posterior long arm splint) to keep the. Elbow Dislocation Splint.
From www.performancehealth.com
Rolyan PreFormed Posterior Elbow SplintTraditional Version Elbow Dislocation Splint Severe pain in the elbow. The elbow is one of the most commonly dislocated joints in the. elbow dislocations constitute 10% to 25% of all injuries to the elbow. once the elbow is relocated into the correct spot, a healthcare provider applies a splint (the most common is a posterior long arm splint) to keep the elbow in. Elbow Dislocation Splint.
From www.youtube.com
Plaster of Paris Elbow Splint Application YouTube Elbow Dislocation Splint The goal is to prevent elbow extension, which can cause it to dislocate again. elbow dislocations constitute 10% to 25% of all injuries to the elbow. elbow dislocations are common elbow injuries which can be characterized as simple or complex. Severe pain in the elbow. Noticeable deformity or irregular appearance to. after the elbow has been restored. Elbow Dislocation Splint.
From www.youtube.com
Elbow Dislocation How To Reduce A Dislocated Elbow YouTube Elbow Dislocation Splint the patient requires splinting after reduction, often with a posterior long arm splint that prevents extension of the elbow. Severe pain in the elbow. elbow dislocations constitute 10% to 25% of all injuries to the elbow. This protects the elbow to avoid further injury. The goal is to prevent elbow extension, which can cause it to dislocate again.. Elbow Dislocation Splint.
From www.wingmed.com.tr
Adjustable Elbow Contracture Splint With Hand Support Wingmed Elbow Dislocation Splint elbow dislocations are common elbow injuries which can be characterized as simple or complex. the patient requires splinting after reduction, often with a posterior long arm splint that prevents extension of the elbow. The elbow is one of the most commonly dislocated joints in the. elbow dislocations constitute 10% to 25% of all injuries to the elbow.. Elbow Dislocation Splint.
From www.ubuy.co.in
Buy BraceAbility Posterior Long Arm Splint Elbow Immobilizer Right or Elbow Dislocation Splint The signs and symptoms of an elbow dislocation may include: the patient requires splinting after reduction, often with a posterior long arm splint that prevents extension of the elbow. Severe pain in the elbow. The goal is to prevent elbow extension, which can cause it to dislocate again. simple elbow dislocations are a commonly seen joint dislocation involving. Elbow Dislocation Splint.
From www.alimed.com
DynaPro Flex Elbow Orthosis Elbow Dislocation Splint Severe pain in the elbow. elbow dislocations constitute 10% to 25% of all injuries to the elbow. The elbow is one of the most commonly dislocated joints in the. simple elbow dislocations are a commonly seen joint dislocation involving a sequential disruption of the soft tissue. This protects the elbow to avoid further injury. The signs and symptoms. Elbow Dislocation Splint.
From healthjade.com
Dislocated Elbow Causes, Signs, Symptoms, Recovery & Treatment Elbow Dislocation Splint This protects the elbow to avoid further injury. The goal is to prevent elbow extension, which can cause it to dislocate again. once the elbow is relocated into the correct spot, a healthcare provider applies a splint (the most common is a posterior long arm splint) to keep the elbow in place. simple elbow dislocations are a commonly. Elbow Dislocation Splint.