Damon Braces With Power Chain . Brackets, wires, and ligatures are no mystery to you. Do damon braces need power chains? Unlike conventional braces, the damon system uses gentle forces designed to protect the health of your teeth and gums while in treatment. A power chain is a rubber band that’s stretched across multiple teeth to apply additional forces to move your teeth. While they are more expensive than traditional metal braces, private insurance may help cover the treatment costs. Damon braces typically cost between $3,800 and $8,000, with the price depending on the severity of your malocclusion and the extent of correction required. They’re most commonly used to help close spaces, rotate teeth, or make space for a tooth that doesn’t have enough room to straighten out. Orthodontists or dentists use power chains to hold and connect the brackets, but sometimes they. Do damon braces need power chains? But suddenly, you’re hearing a brand new term—“power chains.” what exactly are these power chains, and why does. The damon system achieves a smile that.
from damonclearbraces.blogspot.com
But suddenly, you’re hearing a brand new term—“power chains.” what exactly are these power chains, and why does. The damon system achieves a smile that. Orthodontists or dentists use power chains to hold and connect the brackets, but sometimes they. Do damon braces need power chains? Brackets, wires, and ligatures are no mystery to you. Unlike conventional braces, the damon system uses gentle forces designed to protect the health of your teeth and gums while in treatment. Damon braces typically cost between $3,800 and $8,000, with the price depending on the severity of your malocclusion and the extent of correction required. They’re most commonly used to help close spaces, rotate teeth, or make space for a tooth that doesn’t have enough room to straighten out. A power chain is a rubber band that’s stretched across multiple teeth to apply additional forces to move your teeth. While they are more expensive than traditional metal braces, private insurance may help cover the treatment costs.
My Damon Clear Braces Week 37
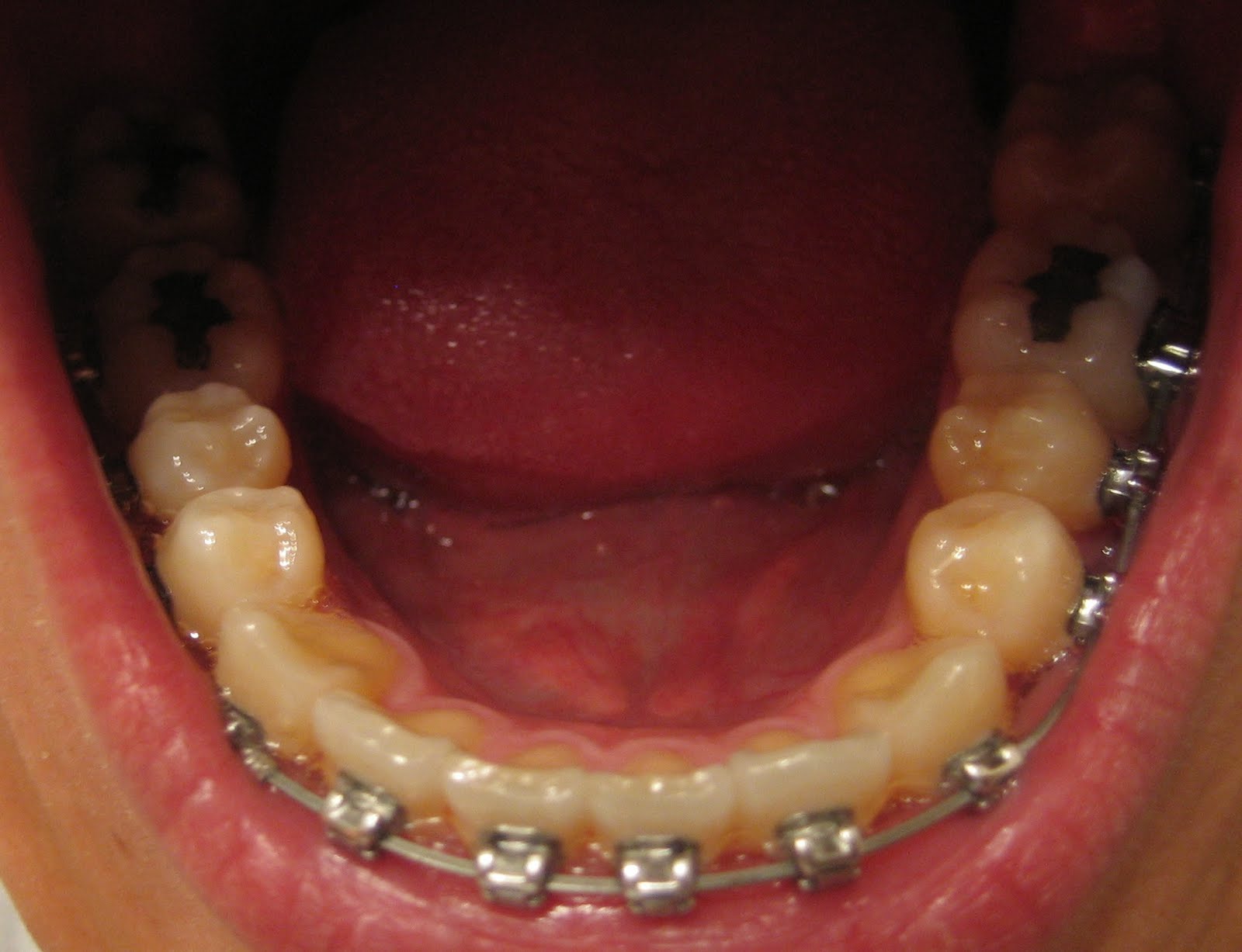
Damon Braces With Power Chain But suddenly, you’re hearing a brand new term—“power chains.” what exactly are these power chains, and why does. Unlike conventional braces, the damon system uses gentle forces designed to protect the health of your teeth and gums while in treatment. A power chain is a rubber band that’s stretched across multiple teeth to apply additional forces to move your teeth. The damon system achieves a smile that. They’re most commonly used to help close spaces, rotate teeth, or make space for a tooth that doesn’t have enough room to straighten out. Do damon braces need power chains? Damon braces typically cost between $3,800 and $8,000, with the price depending on the severity of your malocclusion and the extent of correction required. While they are more expensive than traditional metal braces, private insurance may help cover the treatment costs. Brackets, wires, and ligatures are no mystery to you. Do damon braces need power chains? But suddenly, you’re hearing a brand new term—“power chains.” what exactly are these power chains, and why does. Orthodontists or dentists use power chains to hold and connect the brackets, but sometimes they.
From www.orthodontistwilmington.com
Why Choose Damon Braces? Wilmington Orthodontic Center Damon Braces With Power Chain Orthodontists or dentists use power chains to hold and connect the brackets, but sometimes they. Damon braces typically cost between $3,800 and $8,000, with the price depending on the severity of your malocclusion and the extent of correction required. Brackets, wires, and ligatures are no mystery to you. They’re most commonly used to help close spaces, rotate teeth, or make. Damon Braces With Power Chain.
From orthodontic-braces.com
Power Chain Braces Benefits, Types, Quick Guide Damon Braces With Power Chain Orthodontists or dentists use power chains to hold and connect the brackets, but sometimes they. The damon system achieves a smile that. Do damon braces need power chains? Unlike conventional braces, the damon system uses gentle forces designed to protect the health of your teeth and gums while in treatment. Do damon braces need power chains? Damon braces typically cost. Damon Braces With Power Chain.
From www.animalia-life.club
Clear Damon Braces Damon Braces With Power Chain They’re most commonly used to help close spaces, rotate teeth, or make space for a tooth that doesn’t have enough room to straighten out. While they are more expensive than traditional metal braces, private insurance may help cover the treatment costs. Damon braces typically cost between $3,800 and $8,000, with the price depending on the severity of your malocclusion and. Damon Braces With Power Chain.
From damonclearbraces.blogspot.com
My Damon Clear Braces Week 15 Third wire change and power chains! Damon Braces With Power Chain Damon braces typically cost between $3,800 and $8,000, with the price depending on the severity of your malocclusion and the extent of correction required. While they are more expensive than traditional metal braces, private insurance may help cover the treatment costs. A power chain is a rubber band that’s stretched across multiple teeth to apply additional forces to move your. Damon Braces With Power Chain.
From www.gibbsortho.com
Braces And Power Chains Gibbs Orthodontic Associates Damon Braces With Power Chain Do damon braces need power chains? Brackets, wires, and ligatures are no mystery to you. Damon braces typically cost between $3,800 and $8,000, with the price depending on the severity of your malocclusion and the extent of correction required. Unlike conventional braces, the damon system uses gentle forces designed to protect the health of your teeth and gums while in. Damon Braces With Power Chain.
From www.gosupps.com
Annhua Dental Orthodontic Elastic Chain Light Blue Size 2 15ft Damon Braces With Power Chain Damon braces typically cost between $3,800 and $8,000, with the price depending on the severity of your malocclusion and the extent of correction required. Do damon braces need power chains? A power chain is a rubber band that’s stretched across multiple teeth to apply additional forces to move your teeth. They’re most commonly used to help close spaces, rotate teeth,. Damon Braces With Power Chain.
From www.youtube.com
BRACES UPDATE VLOG FIRST TIME GETTING COLORED ELASTICS FOR MY DAMON Damon Braces With Power Chain Brackets, wires, and ligatures are no mystery to you. Orthodontists or dentists use power chains to hold and connect the brackets, but sometimes they. Do damon braces need power chains? The damon system achieves a smile that. They’re most commonly used to help close spaces, rotate teeth, or make space for a tooth that doesn’t have enough room to straighten. Damon Braces With Power Chain.
From orthodontictreatmenthq.com
What Are Braces Power Chains? Orthrodontic Damon Braces With Power Chain Do damon braces need power chains? They’re most commonly used to help close spaces, rotate teeth, or make space for a tooth that doesn’t have enough room to straighten out. Brackets, wires, and ligatures are no mystery to you. Damon braces typically cost between $3,800 and $8,000, with the price depending on the severity of your malocclusion and the extent. Damon Braces With Power Chain.
From damonclearbraces.blogspot.com
My Damon Clear Braces Week 37 Damon Braces With Power Chain But suddenly, you’re hearing a brand new term—“power chains.” what exactly are these power chains, and why does. Do damon braces need power chains? Unlike conventional braces, the damon system uses gentle forces designed to protect the health of your teeth and gums while in treatment. Orthodontists or dentists use power chains to hold and connect the brackets, but sometimes. Damon Braces With Power Chain.
From damonclearbraces.blogspot.com
My Damon Clear Braces Week 17 (Progress picture) Damon Braces With Power Chain But suddenly, you’re hearing a brand new term—“power chains.” what exactly are these power chains, and why does. Do damon braces need power chains? They’re most commonly used to help close spaces, rotate teeth, or make space for a tooth that doesn’t have enough room to straighten out. Orthodontists or dentists use power chains to hold and connect the brackets,. Damon Braces With Power Chain.
From damon-braces.blogspot.com
My Journey with the Damon Braces Week 33 Ortho Follow up & New wires Damon Braces With Power Chain Brackets, wires, and ligatures are no mystery to you. But suddenly, you’re hearing a brand new term—“power chains.” what exactly are these power chains, and why does. Damon braces typically cost between $3,800 and $8,000, with the price depending on the severity of your malocclusion and the extent of correction required. Do damon braces need power chains? Orthodontists or dentists. Damon Braces With Power Chain.
From www.youtube.com
Braces Power Chains Explained Shorts YouTube Damon Braces With Power Chain Damon braces typically cost between $3,800 and $8,000, with the price depending on the severity of your malocclusion and the extent of correction required. But suddenly, you’re hearing a brand new term—“power chains.” what exactly are these power chains, and why does. Unlike conventional braces, the damon system uses gentle forces designed to protect the health of your teeth and. Damon Braces With Power Chain.
From damonclearbraces.blogspot.com
My Damon Clear Braces Week 15 Third wire change and power chains! Damon Braces With Power Chain They’re most commonly used to help close spaces, rotate teeth, or make space for a tooth that doesn’t have enough room to straighten out. A power chain is a rubber band that’s stretched across multiple teeth to apply additional forces to move your teeth. While they are more expensive than traditional metal braces, private insurance may help cover the treatment. Damon Braces With Power Chain.
From pamelaribeiro59.blogspot.com
how to get power chain braces Screech Owl Journal Gallery Of Photos Damon Braces With Power Chain The damon system achieves a smile that. They’re most commonly used to help close spaces, rotate teeth, or make space for a tooth that doesn’t have enough room to straighten out. A power chain is a rubber band that’s stretched across multiple teeth to apply additional forces to move your teeth. Unlike conventional braces, the damon system uses gentle forces. Damon Braces With Power Chain.
From www.healthspiritbody.com
What Are Power Chain Braces? Damon Braces With Power Chain Unlike conventional braces, the damon system uses gentle forces designed to protect the health of your teeth and gums while in treatment. Orthodontists or dentists use power chains to hold and connect the brackets, but sometimes they. A power chain is a rubber band that’s stretched across multiple teeth to apply additional forces to move your teeth. They’re most commonly. Damon Braces With Power Chain.
From little-devil-forever.blogspot.com
are power chains the last stage of braces Jayson Hanes Damon Braces With Power Chain Brackets, wires, and ligatures are no mystery to you. A power chain is a rubber band that’s stretched across multiple teeth to apply additional forces to move your teeth. Do damon braces need power chains? They’re most commonly used to help close spaces, rotate teeth, or make space for a tooth that doesn’t have enough room to straighten out. Orthodontists. Damon Braces With Power Chain.
From www.youtube.com
Adult Damon Braces Experience 4th Adjustment and Power Chain YouTube Damon Braces With Power Chain Damon braces typically cost between $3,800 and $8,000, with the price depending on the severity of your malocclusion and the extent of correction required. Do damon braces need power chains? The damon system achieves a smile that. Unlike conventional braces, the damon system uses gentle forces designed to protect the health of your teeth and gums while in treatment. Orthodontists. Damon Braces With Power Chain.
From plantationsmiles.com
What Are Power Chain Braces? [Ultimate Guide 2024] Damon Braces With Power Chain Unlike conventional braces, the damon system uses gentle forces designed to protect the health of your teeth and gums while in treatment. Damon braces typically cost between $3,800 and $8,000, with the price depending on the severity of your malocclusion and the extent of correction required. Do damon braces need power chains? A power chain is a rubber band that’s. Damon Braces With Power Chain.
From www.reddit.com
Damon clear with light blue power chains 🙂 braces Damon Braces With Power Chain A power chain is a rubber band that’s stretched across multiple teeth to apply additional forces to move your teeth. Unlike conventional braces, the damon system uses gentle forces designed to protect the health of your teeth and gums while in treatment. But suddenly, you’re hearing a brand new term—“power chains.” what exactly are these power chains, and why does.. Damon Braces With Power Chain.
From vistaconcepts.com.au
Lake Basin Orthodontic Centre Power Chains Are Very, 57 OFF Damon Braces With Power Chain They’re most commonly used to help close spaces, rotate teeth, or make space for a tooth that doesn’t have enough room to straighten out. Unlike conventional braces, the damon system uses gentle forces designed to protect the health of your teeth and gums while in treatment. The damon system achieves a smile that. Do damon braces need power chains? But. Damon Braces With Power Chain.
From www.parkorthodontics.co.uk
Damon Braces SelfLigating Brace Park Orthodontics Glasgow Damon Braces With Power Chain A power chain is a rubber band that’s stretched across multiple teeth to apply additional forces to move your teeth. Damon braces typically cost between $3,800 and $8,000, with the price depending on the severity of your malocclusion and the extent of correction required. Unlike conventional braces, the damon system uses gentle forces designed to protect the health of your. Damon Braces With Power Chain.
From www.youtube.com
Braces checkups Power chains & Bite plate off Tooth Time Family Damon Braces With Power Chain Do damon braces need power chains? The damon system achieves a smile that. Damon braces typically cost between $3,800 and $8,000, with the price depending on the severity of your malocclusion and the extent of correction required. While they are more expensive than traditional metal braces, private insurance may help cover the treatment costs. But suddenly, you’re hearing a brand. Damon Braces With Power Chain.
From www.reddit.com
Damon clear with light blue power chains 🙂 r/braces Damon Braces With Power Chain Do damon braces need power chains? But suddenly, you’re hearing a brand new term—“power chains.” what exactly are these power chains, and why does. Unlike conventional braces, the damon system uses gentle forces designed to protect the health of your teeth and gums while in treatment. While they are more expensive than traditional metal braces, private insurance may help cover. Damon Braces With Power Chain.
From kumraortho.com
A Complete Guide on Power Chain Braces Kumra Orthodontics Damon Braces With Power Chain They’re most commonly used to help close spaces, rotate teeth, or make space for a tooth that doesn’t have enough room to straighten out. While they are more expensive than traditional metal braces, private insurance may help cover the treatment costs. Damon braces typically cost between $3,800 and $8,000, with the price depending on the severity of your malocclusion and. Damon Braces With Power Chain.
From www.youtube.com
Comprehensive Damon Braces Video (Full TwoYear Process w/ Updates Damon Braces With Power Chain Damon braces typically cost between $3,800 and $8,000, with the price depending on the severity of your malocclusion and the extent of correction required. A power chain is a rubber band that’s stretched across multiple teeth to apply additional forces to move your teeth. They’re most commonly used to help close spaces, rotate teeth, or make space for a tooth. Damon Braces With Power Chain.
From damonclearbraces.blogspot.com
My Damon Clear Braces March 2014 Damon Braces With Power Chain Unlike conventional braces, the damon system uses gentle forces designed to protect the health of your teeth and gums while in treatment. A power chain is a rubber band that’s stretched across multiple teeth to apply additional forces to move your teeth. But suddenly, you’re hearing a brand new term—“power chains.” what exactly are these power chains, and why does.. Damon Braces With Power Chain.
From www.youtube.com
{94} POWER CHAIN REPLACEMENT ON MY BRACES AT THE ORTHODONTIST OFFICE Damon Braces With Power Chain Orthodontists or dentists use power chains to hold and connect the brackets, but sometimes they. Brackets, wires, and ligatures are no mystery to you. They’re most commonly used to help close spaces, rotate teeth, or make space for a tooth that doesn’t have enough room to straighten out. While they are more expensive than traditional metal braces, private insurance may. Damon Braces With Power Chain.
From orthodonticassoc.com
Braces and Power Chains Orthodontic Associates Damon Braces With Power Chain Damon braces typically cost between $3,800 and $8,000, with the price depending on the severity of your malocclusion and the extent of correction required. But suddenly, you’re hearing a brand new term—“power chains.” what exactly are these power chains, and why does. They’re most commonly used to help close spaces, rotate teeth, or make space for a tooth that doesn’t. Damon Braces With Power Chain.
From damon-braces.blogspot.com
My Journey with the Damon Braces Week 33 Ortho Follow up & New wires Damon Braces With Power Chain Orthodontists or dentists use power chains to hold and connect the brackets, but sometimes they. Do damon braces need power chains? While they are more expensive than traditional metal braces, private insurance may help cover the treatment costs. Damon braces typically cost between $3,800 and $8,000, with the price depending on the severity of your malocclusion and the extent of. Damon Braces With Power Chain.
From www.pro-sys.com
How to Care for and Maintain Power Chain Braces Damon Braces With Power Chain Unlike conventional braces, the damon system uses gentle forces designed to protect the health of your teeth and gums while in treatment. Damon braces typically cost between $3,800 and $8,000, with the price depending on the severity of your malocclusion and the extent of correction required. A power chain is a rubber band that’s stretched across multiple teeth to apply. Damon Braces With Power Chain.
From damon-braces.blogspot.com
My Journey with the Damon Braces Week 33 Ortho Follow up & New wires Damon Braces With Power Chain A power chain is a rubber band that’s stretched across multiple teeth to apply additional forces to move your teeth. Unlike conventional braces, the damon system uses gentle forces designed to protect the health of your teeth and gums while in treatment. Damon braces typically cost between $3,800 and $8,000, with the price depending on the severity of your malocclusion. Damon Braces With Power Chain.
From www.pinterest.com.au
Damon System braces are fast, comfortable, east to clean and available Damon Braces With Power Chain A power chain is a rubber band that’s stretched across multiple teeth to apply additional forces to move your teeth. Do damon braces need power chains? Do damon braces need power chains? But suddenly, you’re hearing a brand new term—“power chains.” what exactly are these power chains, and why does. They’re most commonly used to help close spaces, rotate teeth,. Damon Braces With Power Chain.
From www.youtube.com
{98} TEETH UP CLOSE BRACES ON ALL DRESSED IN RED POWER CHAINS Damon Braces With Power Chain While they are more expensive than traditional metal braces, private insurance may help cover the treatment costs. Do damon braces need power chains? Orthodontists or dentists use power chains to hold and connect the brackets, but sometimes they. Damon braces typically cost between $3,800 and $8,000, with the price depending on the severity of your malocclusion and the extent of. Damon Braces With Power Chain.
From www.pinterest.co.uk
Orthodontics Braces Power Chains จัดฟัน Damon Braces With Power Chain A power chain is a rubber band that’s stretched across multiple teeth to apply additional forces to move your teeth. While they are more expensive than traditional metal braces, private insurance may help cover the treatment costs. Damon braces typically cost between $3,800 and $8,000, with the price depending on the severity of your malocclusion and the extent of correction. Damon Braces With Power Chain.
From www.youtube.com
CORONA!?STAINED POWER CHAINS! ADULT DAMON CLEAR BRACES!UPDATE 4 Damon Braces With Power Chain While they are more expensive than traditional metal braces, private insurance may help cover the treatment costs. Brackets, wires, and ligatures are no mystery to you. The damon system achieves a smile that. Orthodontists or dentists use power chains to hold and connect the brackets, but sometimes they. Do damon braces need power chains? Damon braces typically cost between $3,800. Damon Braces With Power Chain.