Mse Orthodontics Reddit . I wrote this as an introduction to the technique. For those who have done mse, did you find mse beneficial, harmful or neutral? I’m really pleased with my smile and feel so fortunate i was referred to such a. At first sight it seems like ease is a. How was your experience with the lower jaw expansion? For the last 2 years i had an mse for a while, then got my braces, and started myofunctional therapy. Mse and orthodontics is one treatment plan, there is no other treatment. I see a lot of people talking about mse in reddit, youtube and here, but i rarely see people mentioning ease (with dr. Did you do mse and hyrax expansion simultaneously or first the mse? Kasey li) as an option. Some time ago, i did a post on maxillary skeletal expansion (mse). I believe there are certain cases where extractions might be needed, but those are the exceptions and not the rule. What would you say to people who have been seriously considering. Orthodontics will fix the canted plane of occlusion via intrusion, which.
from www.semortho.com
Did you do mse and hyrax expansion simultaneously or first the mse? What would you say to people who have been seriously considering. I see a lot of people talking about mse in reddit, youtube and here, but i rarely see people mentioning ease (with dr. How was your experience with the lower jaw expansion? I’m really pleased with my smile and feel so fortunate i was referred to such a. For the last 2 years i had an mse for a while, then got my braces, and started myofunctional therapy. Kasey li) as an option. At first sight it seems like ease is a. For those who have done mse, did you find mse beneficial, harmful or neutral? Mse and orthodontics is one treatment plan, there is no other treatment.
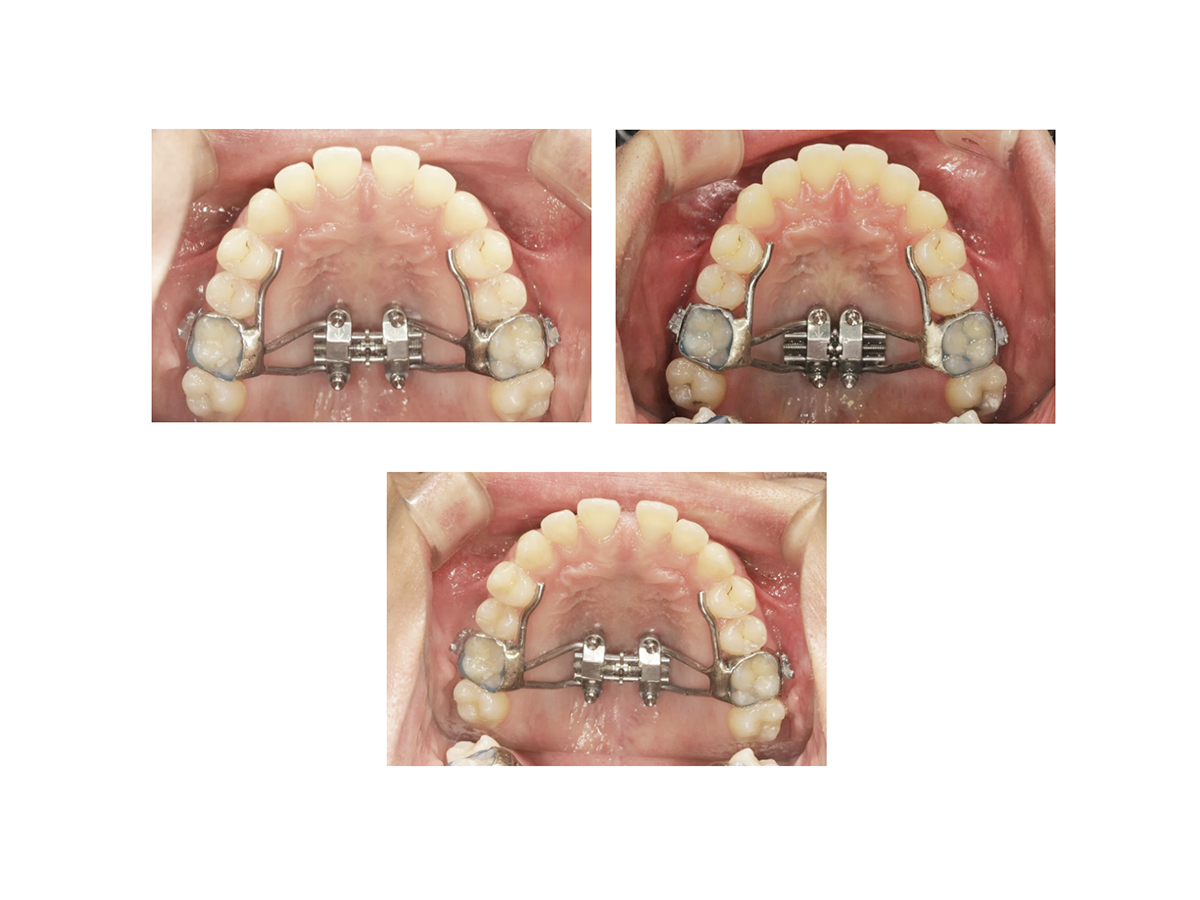
Class III treatment by combining facemask (FM) and maxillary skeletal
Mse Orthodontics Reddit Did you do mse and hyrax expansion simultaneously or first the mse? Some time ago, i did a post on maxillary skeletal expansion (mse). How was your experience with the lower jaw expansion? Did you do mse and hyrax expansion simultaneously or first the mse? Mse and orthodontics is one treatment plan, there is no other treatment. I see a lot of people talking about mse in reddit, youtube and here, but i rarely see people mentioning ease (with dr. For the last 2 years i had an mse for a while, then got my braces, and started myofunctional therapy. I’m really pleased with my smile and feel so fortunate i was referred to such a. I believe there are certain cases where extractions might be needed, but those are the exceptions and not the rule. Orthodontics will fix the canted plane of occlusion via intrusion, which. What would you say to people who have been seriously considering. For those who have done mse, did you find mse beneficial, harmful or neutral? At first sight it seems like ease is a. I wrote this as an introduction to the technique. Kasey li) as an option.
From nationaldefensepac.org
MSE Palate Expander What Is It And Why Do I Need It?, 47 OFF Mse Orthodontics Reddit Kasey li) as an option. I believe there are certain cases where extractions might be needed, but those are the exceptions and not the rule. Orthodontics will fix the canted plane of occlusion via intrusion, which. What would you say to people who have been seriously considering. How was your experience with the lower jaw expansion? For those who have. Mse Orthodontics Reddit.
From www.youtube.com
Palatal Expander MSE, Maxillary Skeletal Expander, activation YouTube Mse Orthodontics Reddit Some time ago, i did a post on maxillary skeletal expansion (mse). At first sight it seems like ease is a. How was your experience with the lower jaw expansion? For the last 2 years i had an mse for a while, then got my braces, and started myofunctional therapy. Kasey li) as an option. I see a lot of. Mse Orthodontics Reddit.
From www.reddit.com
MSE before and after front view r/orthotropics Mse Orthodontics Reddit What would you say to people who have been seriously considering. I wrote this as an introduction to the technique. I believe there are certain cases where extractions might be needed, but those are the exceptions and not the rule. Some time ago, i did a post on maxillary skeletal expansion (mse). For the last 2 years i had an. Mse Orthodontics Reddit.
From eodo.teachable.com
Christmas offer MSE Excellence in Orthodontics and Dentofacial Mse Orthodontics Reddit I believe there are certain cases where extractions might be needed, but those are the exceptions and not the rule. Kasey li) as an option. For the last 2 years i had an mse for a while, then got my braces, and started myofunctional therapy. What would you say to people who have been seriously considering. Some time ago, i. Mse Orthodontics Reddit.
From www.lemkeortho.com
Maxillary Skeletal Expander (MSE) Lemke Orthodontics Sugar Land Mse Orthodontics Reddit I wrote this as an introduction to the technique. How was your experience with the lower jaw expansion? I see a lot of people talking about mse in reddit, youtube and here, but i rarely see people mentioning ease (with dr. At first sight it seems like ease is a. I believe there are certain cases where extractions might be. Mse Orthodontics Reddit.
From wiener.me
MSE Palate Expander Face Changes, Before After, 60 OFF Mse Orthodontics Reddit What would you say to people who have been seriously considering. Some time ago, i did a post on maxillary skeletal expansion (mse). For the last 2 years i had an mse for a while, then got my braces, and started myofunctional therapy. How was your experience with the lower jaw expansion? At first sight it seems like ease is. Mse Orthodontics Reddit.
From www.researchgate.net
(A) Finalized MSE appliance on the dental stone model. (B) MSE Mse Orthodontics Reddit At first sight it seems like ease is a. Mse and orthodontics is one treatment plan, there is no other treatment. I believe there are certain cases where extractions might be needed, but those are the exceptions and not the rule. Orthodontics will fix the canted plane of occlusion via intrusion, which. Some time ago, i did a post on. Mse Orthodontics Reddit.
From www.arlingtonsmilecenter.com
Maxillary Skeletal Expansion (MSE) Dentist Arlington, VA Mse Orthodontics Reddit Did you do mse and hyrax expansion simultaneously or first the mse? At first sight it seems like ease is a. Kasey li) as an option. Some time ago, i did a post on maxillary skeletal expansion (mse). What would you say to people who have been seriously considering. Orthodontics will fix the canted plane of occlusion via intrusion, which.. Mse Orthodontics Reddit.
From www.lemkeortho.com
Maxillary Skeletal Expander (MSE) Lemke Orthodontics Sugar Land Mse Orthodontics Reddit Orthodontics will fix the canted plane of occlusion via intrusion, which. Did you do mse and hyrax expansion simultaneously or first the mse? Kasey li) as an option. At first sight it seems like ease is a. Some time ago, i did a post on maxillary skeletal expansion (mse). I believe there are certain cases where extractions might be needed,. Mse Orthodontics Reddit.
From www.micoope.com.gt
Clinical Advances In Maxillary Skeletal Expansion And, 45 OFF Mse Orthodontics Reddit I’m really pleased with my smile and feel so fortunate i was referred to such a. I see a lot of people talking about mse in reddit, youtube and here, but i rarely see people mentioning ease (with dr. For the last 2 years i had an mse for a while, then got my braces, and started myofunctional therapy. I. Mse Orthodontics Reddit.
From www.pinterest.com
In partnership with DB Orthodontics, MSE Creator Professor Won Moon Mse Orthodontics Reddit I’m really pleased with my smile and feel so fortunate i was referred to such a. Orthodontics will fix the canted plane of occlusion via intrusion, which. What would you say to people who have been seriously considering. I wrote this as an introduction to the technique. I believe there are certain cases where extractions might be needed, but those. Mse Orthodontics Reddit.
From www.semortho.com
Class III treatment by combining facemask (FM) and maxillary skeletal Mse Orthodontics Reddit I wrote this as an introduction to the technique. Some time ago, i did a post on maxillary skeletal expansion (mse). What would you say to people who have been seriously considering. Orthodontics will fix the canted plane of occlusion via intrusion, which. For those who have done mse, did you find mse beneficial, harmful or neutral? I’m really pleased. Mse Orthodontics Reddit.
From cfs-survivors.org
Why I Chose DNA over Homeoblock, MSE, DOME, MMA and AGGA Mse Orthodontics Reddit Orthodontics will fix the canted plane of occlusion via intrusion, which. I believe there are certain cases where extractions might be needed, but those are the exceptions and not the rule. What would you say to people who have been seriously considering. For the last 2 years i had an mse for a while, then got my braces, and started. Mse Orthodontics Reddit.
From ar.inspiredpencil.com
Palatal Expander Gap Front Teeth Mse Orthodontics Reddit Did you do mse and hyrax expansion simultaneously or first the mse? I believe there are certain cases where extractions might be needed, but those are the exceptions and not the rule. I see a lot of people talking about mse in reddit, youtube and here, but i rarely see people mentioning ease (with dr. Some time ago, i did. Mse Orthodontics Reddit.
From expandere.org
RPE Orthodontics A Comprehensive Guide to Rapid Palatal Expansion Mse Orthodontics Reddit At first sight it seems like ease is a. I see a lot of people talking about mse in reddit, youtube and here, but i rarely see people mentioning ease (with dr. I’m really pleased with my smile and feel so fortunate i was referred to such a. Mse and orthodontics is one treatment plan, there is no other treatment.. Mse Orthodontics Reddit.
From digitalmarpe.com
Planning & Design of Digital MSE Course Digital Marpe Mse Orthodontics Reddit I wrote this as an introduction to the technique. Kasey li) as an option. For those who have done mse, did you find mse beneficial, harmful or neutral? Did you do mse and hyrax expansion simultaneously or first the mse? For the last 2 years i had an mse for a while, then got my braces, and started myofunctional therapy.. Mse Orthodontics Reddit.
From www.arlingtonsmilecenter.com
Maxillary Skeletal Expansion (MSE) Dentist Arlington, VA Mse Orthodontics Reddit At first sight it seems like ease is a. For those who have done mse, did you find mse beneficial, harmful or neutral? I’m really pleased with my smile and feel so fortunate i was referred to such a. Kasey li) as an option. How was your experience with the lower jaw expansion? For the last 2 years i had. Mse Orthodontics Reddit.
From www.facebook.com
El expansor MSE diseñado por el Dr... Uzeta Orthodontics Facebook Mse Orthodontics Reddit I see a lot of people talking about mse in reddit, youtube and here, but i rarely see people mentioning ease (with dr. Kasey li) as an option. Did you do mse and hyrax expansion simultaneously or first the mse? Some time ago, i did a post on maxillary skeletal expansion (mse). I believe there are certain cases where extractions. Mse Orthodontics Reddit.
From www.reddit.com
Both pics taken this morning...before and after my braces were removed Mse Orthodontics Reddit Orthodontics will fix the canted plane of occlusion via intrusion, which. Kasey li) as an option. I wrote this as an introduction to the technique. What would you say to people who have been seriously considering. Some time ago, i did a post on maxillary skeletal expansion (mse). How was your experience with the lower jaw expansion? Mse and orthodontics. Mse Orthodontics Reddit.
From www.semortho.com
Class III treatment by combining facemask (FM) and maxillary skeletal Mse Orthodontics Reddit Did you do mse and hyrax expansion simultaneously or first the mse? For those who have done mse, did you find mse beneficial, harmful or neutral? How was your experience with the lower jaw expansion? What would you say to people who have been seriously considering. I see a lot of people talking about mse in reddit, youtube and here,. Mse Orthodontics Reddit.
From finwise.edu.vn
Top 103+ Pictures Palate Expander Before And After Photos Stunning Mse Orthodontics Reddit How was your experience with the lower jaw expansion? For the last 2 years i had an mse for a while, then got my braces, and started myofunctional therapy. Kasey li) as an option. Orthodontics will fix the canted plane of occlusion via intrusion, which. I see a lot of people talking about mse in reddit, youtube and here, but. Mse Orthodontics Reddit.
From nationaldefensepac.org
Airway Periodontics Maxillary Skeletal Expansion (MSE), 54 OFF Mse Orthodontics Reddit How was your experience with the lower jaw expansion? Did you do mse and hyrax expansion simultaneously or first the mse? What would you say to people who have been seriously considering. Mse and orthodontics is one treatment plan, there is no other treatment. For the last 2 years i had an mse for a while, then got my braces,. Mse Orthodontics Reddit.
From www.arlingtonsmilecenter.com
Maxillary Skeletal Expansion (MSE) Dentist Arlington, VA Mse Orthodontics Reddit I believe there are certain cases where extractions might be needed, but those are the exceptions and not the rule. I see a lot of people talking about mse in reddit, youtube and here, but i rarely see people mentioning ease (with dr. What would you say to people who have been seriously considering. I’m really pleased with my smile. Mse Orthodontics Reddit.
From www.lemkeortho.com
Maxillary Skeletal Expander (MSE) Lemke Orthodontics Sugar Land Mse Orthodontics Reddit I’m really pleased with my smile and feel so fortunate i was referred to such a. At first sight it seems like ease is a. I wrote this as an introduction to the technique. How was your experience with the lower jaw expansion? I see a lot of people talking about mse in reddit, youtube and here, but i rarely. Mse Orthodontics Reddit.
From biomk.com
(주)바이오머테리얼즈코리아 MSE Mse Orthodontics Reddit How was your experience with the lower jaw expansion? For those who have done mse, did you find mse beneficial, harmful or neutral? I see a lot of people talking about mse in reddit, youtube and here, but i rarely see people mentioning ease (with dr. Orthodontics will fix the canted plane of occlusion via intrusion, which. I’m really pleased. Mse Orthodontics Reddit.
From odlortho.com
MSE Tad Expander ODL Orthodontic Labs Mse Orthodontics Reddit How was your experience with the lower jaw expansion? I wrote this as an introduction to the technique. Orthodontics will fix the canted plane of occlusion via intrusion, which. Did you do mse and hyrax expansion simultaneously or first the mse? Mse and orthodontics is one treatment plan, there is no other treatment. Some time ago, i did a post. Mse Orthodontics Reddit.
From www.footeorthodontics.com
Blog Foote Orthodontics Mse Orthodontics Reddit For the last 2 years i had an mse for a while, then got my braces, and started myofunctional therapy. For those who have done mse, did you find mse beneficial, harmful or neutral? Some time ago, i did a post on maxillary skeletal expansion (mse). Did you do mse and hyrax expansion simultaneously or first the mse? Mse and. Mse Orthodontics Reddit.
From www.semortho.com
References in Class III treatment by combining facemask (FM) and Mse Orthodontics Reddit Mse and orthodontics is one treatment plan, there is no other treatment. Orthodontics will fix the canted plane of occlusion via intrusion, which. Did you do mse and hyrax expansion simultaneously or first the mse? I see a lot of people talking about mse in reddit, youtube and here, but i rarely see people mentioning ease (with dr. At first. Mse Orthodontics Reddit.
From www.youtube.com
In details installing MSE expander into very deep and narrow palate, Mse Orthodontics Reddit I believe there are certain cases where extractions might be needed, but those are the exceptions and not the rule. For those who have done mse, did you find mse beneficial, harmful or neutral? I’m really pleased with my smile and feel so fortunate i was referred to such a. Orthodontics will fix the canted plane of occlusion via intrusion,. Mse Orthodontics Reddit.
From www.semortho.com
References in Class III treatment by combining facemask (FM) and Mse Orthodontics Reddit I wrote this as an introduction to the technique. I’m really pleased with my smile and feel so fortunate i was referred to such a. For the last 2 years i had an mse for a while, then got my braces, and started myofunctional therapy. For those who have done mse, did you find mse beneficial, harmful or neutral? Some. Mse Orthodontics Reddit.
From uniteddentalcare.com.au
mse02 United dental care Mse Orthodontics Reddit Mse and orthodontics is one treatment plan, there is no other treatment. Orthodontics will fix the canted plane of occlusion via intrusion, which. At first sight it seems like ease is a. For those who have done mse, did you find mse beneficial, harmful or neutral? What would you say to people who have been seriously considering. I see a. Mse Orthodontics Reddit.
From daiaortho.com
Orthodontics For Adults Daia Orthodontics & TMJ Orthopedics Mse Orthodontics Reddit At first sight it seems like ease is a. For those who have done mse, did you find mse beneficial, harmful or neutral? Some time ago, i did a post on maxillary skeletal expansion (mse). Kasey li) as an option. For the last 2 years i had an mse for a while, then got my braces, and started myofunctional therapy.. Mse Orthodontics Reddit.
From www.youtube.com
MSE before & after,maxilla skeletal expansion,MSE removal after Mse Orthodontics Reddit I see a lot of people talking about mse in reddit, youtube and here, but i rarely see people mentioning ease (with dr. Mse and orthodontics is one treatment plan, there is no other treatment. For the last 2 years i had an mse for a while, then got my braces, and started myofunctional therapy. What would you say to. Mse Orthodontics Reddit.
From www.lemkeortho.com
Maxillary Skeletal Expander (MSE) Lemke Orthodontics Sugar Land Mse Orthodontics Reddit I’m really pleased with my smile and feel so fortunate i was referred to such a. How was your experience with the lower jaw expansion? Kasey li) as an option. I see a lot of people talking about mse in reddit, youtube and here, but i rarely see people mentioning ease (with dr. Some time ago, i did a post. Mse Orthodontics Reddit.
From www.pinterest.com
This woman had a severe malocclusion with a narrow upper jaw, an Mse Orthodontics Reddit What would you say to people who have been seriously considering. I see a lot of people talking about mse in reddit, youtube and here, but i rarely see people mentioning ease (with dr. Some time ago, i did a post on maxillary skeletal expansion (mse). For the last 2 years i had an mse for a while, then got. Mse Orthodontics Reddit.