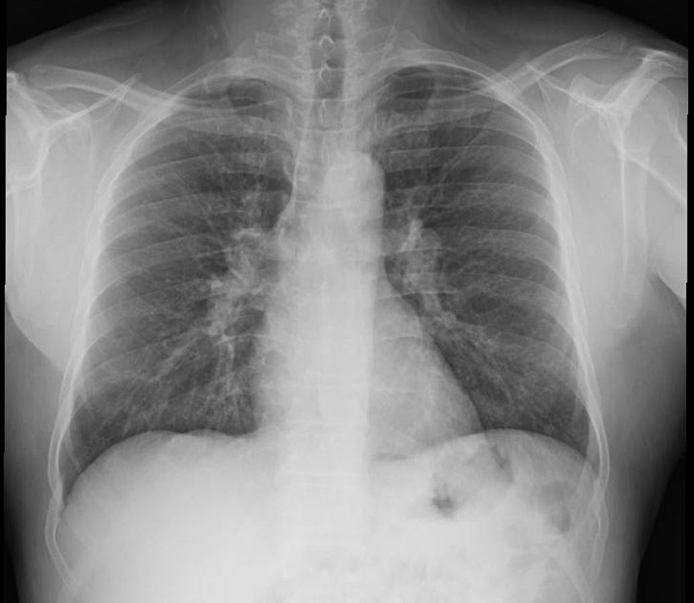
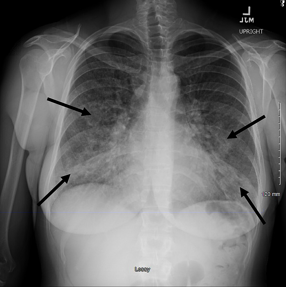
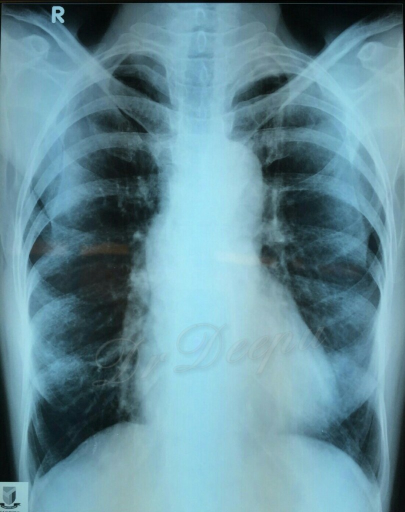
Chest X Ray Eosinophilic Pneumonia . The integration of clinical, radiologic, and. Characteristic imaging findings are often detected with chest radiography, and ct best shows parenchymal abnormalities. Diagnosis of eosinophilic pulmonary diseases. Response to therapy may be assessed based on the following parameters: Eosinophilic lung diseases are a heterogeneous group of disorders that are characterized by excess infiltration of. Eosinophilic pneumonia represents a heterogeneous group of lung disorders characterized by the presence of peripheral blood eosinophilia (defined as an.
from www.cureus.com
Response to therapy may be assessed based on the following parameters: Characteristic imaging findings are often detected with chest radiography, and ct best shows parenchymal abnormalities. The integration of clinical, radiologic, and. Diagnosis of eosinophilic pulmonary diseases. Eosinophilic lung diseases are a heterogeneous group of disorders that are characterized by excess infiltration of. Eosinophilic pneumonia represents a heterogeneous group of lung disorders characterized by the presence of peripheral blood eosinophilia (defined as an.
Idiopathic Chronic Eosinophilic Pneumonia Cureus
Chest X Ray Eosinophilic Pneumonia Response to therapy may be assessed based on the following parameters: Characteristic imaging findings are often detected with chest radiography, and ct best shows parenchymal abnormalities. Eosinophilic pneumonia represents a heterogeneous group of lung disorders characterized by the presence of peripheral blood eosinophilia (defined as an. Eosinophilic lung diseases are a heterogeneous group of disorders that are characterized by excess infiltration of. Response to therapy may be assessed based on the following parameters: Diagnosis of eosinophilic pulmonary diseases. The integration of clinical, radiologic, and.
From pubs.rsna.org
Radiographic and CT Features of Viral Pneumonia RadioGraphics Chest X Ray Eosinophilic Pneumonia Response to therapy may be assessed based on the following parameters: Eosinophilic pneumonia represents a heterogeneous group of lung disorders characterized by the presence of peripheral blood eosinophilia (defined as an. Diagnosis of eosinophilic pulmonary diseases. The integration of clinical, radiologic, and. Eosinophilic lung diseases are a heterogeneous group of disorders that are characterized by excess infiltration of. Characteristic imaging. Chest X Ray Eosinophilic Pneumonia.
From www.mdpi.com
Medicina Free FullText Acute Eosinophilic Pneumonia after Combined Chest X Ray Eosinophilic Pneumonia Response to therapy may be assessed based on the following parameters: Eosinophilic pneumonia represents a heterogeneous group of lung disorders characterized by the presence of peripheral blood eosinophilia (defined as an. Diagnosis of eosinophilic pulmonary diseases. Characteristic imaging findings are often detected with chest radiography, and ct best shows parenchymal abnormalities. The integration of clinical, radiologic, and. Eosinophilic lung diseases. Chest X Ray Eosinophilic Pneumonia.
From s-imoni.medium.com
Detecting Pneumonia in Chest XRays Using Various Deep Neural Nets by Chest X Ray Eosinophilic Pneumonia Response to therapy may be assessed based on the following parameters: Eosinophilic pneumonia represents a heterogeneous group of lung disorders characterized by the presence of peripheral blood eosinophilia (defined as an. The integration of clinical, radiologic, and. Eosinophilic lung diseases are a heterogeneous group of disorders that are characterized by excess infiltration of. Characteristic imaging findings are often detected with. Chest X Ray Eosinophilic Pneumonia.
From asparrow.homes
Chest X Ray Pneumonia Vs Lung Cancer Chest X Ray Eosinophilic Pneumonia Characteristic imaging findings are often detected with chest radiography, and ct best shows parenchymal abnormalities. The integration of clinical, radiologic, and. Eosinophilic lung diseases are a heterogeneous group of disorders that are characterized by excess infiltration of. Diagnosis of eosinophilic pulmonary diseases. Response to therapy may be assessed based on the following parameters: Eosinophilic pneumonia represents a heterogeneous group of. Chest X Ray Eosinophilic Pneumonia.
From www.cureus.com
Cureus Idiopathic Chronic Eosinophilic Pneumonia Chest X Ray Eosinophilic Pneumonia Characteristic imaging findings are often detected with chest radiography, and ct best shows parenchymal abnormalities. Response to therapy may be assessed based on the following parameters: Eosinophilic lung diseases are a heterogeneous group of disorders that are characterized by excess infiltration of. Eosinophilic pneumonia represents a heterogeneous group of lung disorders characterized by the presence of peripheral blood eosinophilia (defined. Chest X Ray Eosinophilic Pneumonia.
From www.cureus.com
A Case for Biopsy Injectable NaltrexoneInduced Acute Eosinophilic Chest X Ray Eosinophilic Pneumonia Eosinophilic lung diseases are a heterogeneous group of disorders that are characterized by excess infiltration of. The integration of clinical, radiologic, and. Diagnosis of eosinophilic pulmonary diseases. Response to therapy may be assessed based on the following parameters: Eosinophilic pneumonia represents a heterogeneous group of lung disorders characterized by the presence of peripheral blood eosinophilia (defined as an. Characteristic imaging. Chest X Ray Eosinophilic Pneumonia.
From www.researchgate.net
(PDF) Eosinophilic Pneumonia Associated With Natalizumab In A Patient Chest X Ray Eosinophilic Pneumonia Characteristic imaging findings are often detected with chest radiography, and ct best shows parenchymal abnormalities. The integration of clinical, radiologic, and. Response to therapy may be assessed based on the following parameters: Eosinophilic lung diseases are a heterogeneous group of disorders that are characterized by excess infiltration of. Eosinophilic pneumonia represents a heterogeneous group of lung disorders characterized by the. Chest X Ray Eosinophilic Pneumonia.
From www.cureus.com
Chronic Eosinophilic Pneumonia Unraveling Recurrent Chest Infections Chest X Ray Eosinophilic Pneumonia Characteristic imaging findings are often detected with chest radiography, and ct best shows parenchymal abnormalities. Eosinophilic pneumonia represents a heterogeneous group of lung disorders characterized by the presence of peripheral blood eosinophilia (defined as an. Diagnosis of eosinophilic pulmonary diseases. Response to therapy may be assessed based on the following parameters: Eosinophilic lung diseases are a heterogeneous group of disorders. Chest X Ray Eosinophilic Pneumonia.
From www.nejm.org
Chronic Eosinophilic Pneumonia NEJM Chest X Ray Eosinophilic Pneumonia Eosinophilic lung diseases are a heterogeneous group of disorders that are characterized by excess infiltration of. Eosinophilic pneumonia represents a heterogeneous group of lung disorders characterized by the presence of peripheral blood eosinophilia (defined as an. The integration of clinical, radiologic, and. Diagnosis of eosinophilic pulmonary diseases. Characteristic imaging findings are often detected with chest radiography, and ct best shows. Chest X Ray Eosinophilic Pneumonia.
From www.medintensiva.org
SARSCoV2 bilateral pneumonia Chest Xray evolution Medicina Intensiva Chest X Ray Eosinophilic Pneumonia The integration of clinical, radiologic, and. Eosinophilic lung diseases are a heterogeneous group of disorders that are characterized by excess infiltration of. Diagnosis of eosinophilic pulmonary diseases. Characteristic imaging findings are often detected with chest radiography, and ct best shows parenchymal abnormalities. Response to therapy may be assessed based on the following parameters: Eosinophilic pneumonia represents a heterogeneous group of. Chest X Ray Eosinophilic Pneumonia.
From www.researchgate.net
Posteroanterior chest Xray of acute idiopathic eosinophilic pneumonia Chest X Ray Eosinophilic Pneumonia Characteristic imaging findings are often detected with chest radiography, and ct best shows parenchymal abnormalities. Eosinophilic lung diseases are a heterogeneous group of disorders that are characterized by excess infiltration of. The integration of clinical, radiologic, and. Diagnosis of eosinophilic pulmonary diseases. Eosinophilic pneumonia represents a heterogeneous group of lung disorders characterized by the presence of peripheral blood eosinophilia (defined. Chest X Ray Eosinophilic Pneumonia.
From www.cureus.com
Cureus DaptomycinInduced Acute Eosinophilic Pneumonia Chest X Ray Eosinophilic Pneumonia Eosinophilic lung diseases are a heterogeneous group of disorders that are characterized by excess infiltration of. Diagnosis of eosinophilic pulmonary diseases. Characteristic imaging findings are often detected with chest radiography, and ct best shows parenchymal abnormalities. The integration of clinical, radiologic, and. Eosinophilic pneumonia represents a heterogeneous group of lung disorders characterized by the presence of peripheral blood eosinophilia (defined. Chest X Ray Eosinophilic Pneumonia.
From www.cureus.com
Cureus Unexpected of Daptomycininduced Eosinophilic Chest X Ray Eosinophilic Pneumonia Eosinophilic pneumonia represents a heterogeneous group of lung disorders characterized by the presence of peripheral blood eosinophilia (defined as an. Eosinophilic lung diseases are a heterogeneous group of disorders that are characterized by excess infiltration of. The integration of clinical, radiologic, and. Response to therapy may be assessed based on the following parameters: Diagnosis of eosinophilic pulmonary diseases. Characteristic imaging. Chest X Ray Eosinophilic Pneumonia.
From www.researchgate.net
Chest Xray showing an interstitial pattern suggestive of eosinophilic Chest X Ray Eosinophilic Pneumonia Eosinophilic lung diseases are a heterogeneous group of disorders that are characterized by excess infiltration of. Eosinophilic pneumonia represents a heterogeneous group of lung disorders characterized by the presence of peripheral blood eosinophilia (defined as an. Characteristic imaging findings are often detected with chest radiography, and ct best shows parenchymal abnormalities. The integration of clinical, radiologic, and. Response to therapy. Chest X Ray Eosinophilic Pneumonia.
From www.researchgate.net
Clinical presentation of Wells syndrome (eosinophilic cellulitis) with Chest X Ray Eosinophilic Pneumonia Eosinophilic pneumonia represents a heterogeneous group of lung disorders characterized by the presence of peripheral blood eosinophilia (defined as an. Diagnosis of eosinophilic pulmonary diseases. Response to therapy may be assessed based on the following parameters: Eosinophilic lung diseases are a heterogeneous group of disorders that are characterized by excess infiltration of. The integration of clinical, radiologic, and. Characteristic imaging. Chest X Ray Eosinophilic Pneumonia.
From amjmed.org
MentholFlavored Cigarettes Potentially a Strong Trigger of Acute Chest X Ray Eosinophilic Pneumonia Eosinophilic lung diseases are a heterogeneous group of disorders that are characterized by excess infiltration of. Diagnosis of eosinophilic pulmonary diseases. Eosinophilic pneumonia represents a heterogeneous group of lung disorders characterized by the presence of peripheral blood eosinophilia (defined as an. Characteristic imaging findings are often detected with chest radiography, and ct best shows parenchymal abnormalities. Response to therapy may. Chest X Ray Eosinophilic Pneumonia.
From jkms.org
Successful Treatment of Chronic Eosinophilic Pneumonia with AntiIgE Chest X Ray Eosinophilic Pneumonia Diagnosis of eosinophilic pulmonary diseases. Eosinophilic lung diseases are a heterogeneous group of disorders that are characterized by excess infiltration of. Response to therapy may be assessed based on the following parameters: Characteristic imaging findings are often detected with chest radiography, and ct best shows parenchymal abnormalities. Eosinophilic pneumonia represents a heterogeneous group of lung disorders characterized by the presence. Chest X Ray Eosinophilic Pneumonia.
From www.cureus.com
Cureus Acute Eosinophilic Pneumonia Secondary to Daptomycin Chest X Ray Eosinophilic Pneumonia The integration of clinical, radiologic, and. Eosinophilic pneumonia represents a heterogeneous group of lung disorders characterized by the presence of peripheral blood eosinophilia (defined as an. Eosinophilic lung diseases are a heterogeneous group of disorders that are characterized by excess infiltration of. Diagnosis of eosinophilic pulmonary diseases. Characteristic imaging findings are often detected with chest radiography, and ct best shows. Chest X Ray Eosinophilic Pneumonia.
From www.vrogue.co
Chest X Ray Walking Pneumonia vrogue.co Chest X Ray Eosinophilic Pneumonia Eosinophilic lung diseases are a heterogeneous group of disorders that are characterized by excess infiltration of. Response to therapy may be assessed based on the following parameters: Eosinophilic pneumonia represents a heterogeneous group of lung disorders characterized by the presence of peripheral blood eosinophilia (defined as an. The integration of clinical, radiologic, and. Characteristic imaging findings are often detected with. Chest X Ray Eosinophilic Pneumonia.
From www.semanticscholar.org
[PDF] Idiopathic Acute Eosinophilic Pneumonia An Cause of Chest X Ray Eosinophilic Pneumonia Response to therapy may be assessed based on the following parameters: Diagnosis of eosinophilic pulmonary diseases. The integration of clinical, radiologic, and. Characteristic imaging findings are often detected with chest radiography, and ct best shows parenchymal abnormalities. Eosinophilic lung diseases are a heterogeneous group of disorders that are characterized by excess infiltration of. Eosinophilic pneumonia represents a heterogeneous group of. Chest X Ray Eosinophilic Pneumonia.
From www.cureus.com
Idiopathic Chronic Eosinophilic Pneumonia Cureus Chest X Ray Eosinophilic Pneumonia Eosinophilic pneumonia represents a heterogeneous group of lung disorders characterized by the presence of peripheral blood eosinophilia (defined as an. Response to therapy may be assessed based on the following parameters: Characteristic imaging findings are often detected with chest radiography, and ct best shows parenchymal abnormalities. Diagnosis of eosinophilic pulmonary diseases. Eosinophilic lung diseases are a heterogeneous group of disorders. Chest X Ray Eosinophilic Pneumonia.
From radiologyinthai.blogspot.com
RiT radiology DrugInduced Eosinophilic Pneumonia Chest X Ray Eosinophilic Pneumonia Eosinophilic lung diseases are a heterogeneous group of disorders that are characterized by excess infiltration of. Diagnosis of eosinophilic pulmonary diseases. Characteristic imaging findings are often detected with chest radiography, and ct best shows parenchymal abnormalities. Eosinophilic pneumonia represents a heterogeneous group of lung disorders characterized by the presence of peripheral blood eosinophilia (defined as an. The integration of clinical,. Chest X Ray Eosinophilic Pneumonia.
From medschool.co
Pulmonary Consolidation Chest XRay MedSchool Chest X Ray Eosinophilic Pneumonia Diagnosis of eosinophilic pulmonary diseases. Eosinophilic pneumonia represents a heterogeneous group of lung disorders characterized by the presence of peripheral blood eosinophilia (defined as an. Characteristic imaging findings are often detected with chest radiography, and ct best shows parenchymal abnormalities. Eosinophilic lung diseases are a heterogeneous group of disorders that are characterized by excess infiltration of. Response to therapy may. Chest X Ray Eosinophilic Pneumonia.
From www.pinterest.nz
Case 41 Chronic Eosinophilic Pneumonia (Cough, Fever, Raised Chest X Ray Eosinophilic Pneumonia The integration of clinical, radiologic, and. Response to therapy may be assessed based on the following parameters: Eosinophilic lung diseases are a heterogeneous group of disorders that are characterized by excess infiltration of. Eosinophilic pneumonia represents a heterogeneous group of lung disorders characterized by the presence of peripheral blood eosinophilia (defined as an. Diagnosis of eosinophilic pulmonary diseases. Characteristic imaging. Chest X Ray Eosinophilic Pneumonia.
From www.animalia-life.club
Chest X Ray Pneumonia Chest X Ray Eosinophilic Pneumonia Eosinophilic lung diseases are a heterogeneous group of disorders that are characterized by excess infiltration of. Response to therapy may be assessed based on the following parameters: Diagnosis of eosinophilic pulmonary diseases. The integration of clinical, radiologic, and. Characteristic imaging findings are often detected with chest radiography, and ct best shows parenchymal abnormalities. Eosinophilic pneumonia represents a heterogeneous group of. Chest X Ray Eosinophilic Pneumonia.
From rc.rcjournal.com
Chronic Eosinophilic Pneumonia in a Breast Cancer Patient Post Chest X Ray Eosinophilic Pneumonia Eosinophilic lung diseases are a heterogeneous group of disorders that are characterized by excess infiltration of. Diagnosis of eosinophilic pulmonary diseases. Characteristic imaging findings are often detected with chest radiography, and ct best shows parenchymal abnormalities. The integration of clinical, radiologic, and. Eosinophilic pneumonia represents a heterogeneous group of lung disorders characterized by the presence of peripheral blood eosinophilia (defined. Chest X Ray Eosinophilic Pneumonia.
From www.ijidonline.com
Daptomycininduced eosinophilic pneumonia International Journal of Chest X Ray Eosinophilic Pneumonia Eosinophilic pneumonia represents a heterogeneous group of lung disorders characterized by the presence of peripheral blood eosinophilia (defined as an. Eosinophilic lung diseases are a heterogeneous group of disorders that are characterized by excess infiltration of. Characteristic imaging findings are often detected with chest radiography, and ct best shows parenchymal abnormalities. Response to therapy may be assessed based on the. Chest X Ray Eosinophilic Pneumonia.
From www.cureus.com
Cureus Acute Eosinophilic Pneumonia Secondary to Daptomycin Chest X Ray Eosinophilic Pneumonia Response to therapy may be assessed based on the following parameters: The integration of clinical, radiologic, and. Eosinophilic pneumonia represents a heterogeneous group of lung disorders characterized by the presence of peripheral blood eosinophilia (defined as an. Eosinophilic lung diseases are a heterogeneous group of disorders that are characterized by excess infiltration of. Characteristic imaging findings are often detected with. Chest X Ray Eosinophilic Pneumonia.
From www.thoracic.org
The Mighty Eosinophil Chest X Ray Eosinophilic Pneumonia The integration of clinical, radiologic, and. Characteristic imaging findings are often detected with chest radiography, and ct best shows parenchymal abnormalities. Eosinophilic pneumonia represents a heterogeneous group of lung disorders characterized by the presence of peripheral blood eosinophilia (defined as an. Diagnosis of eosinophilic pulmonary diseases. Eosinophilic lung diseases are a heterogeneous group of disorders that are characterized by excess. Chest X Ray Eosinophilic Pneumonia.
From www.youtube.com
Chest XRay Lung Normal Vs Abnormal Image Appearances Part 1 TB Chest X Ray Eosinophilic Pneumonia Response to therapy may be assessed based on the following parameters: Diagnosis of eosinophilic pulmonary diseases. Eosinophilic lung diseases are a heterogeneous group of disorders that are characterized by excess infiltration of. Characteristic imaging findings are often detected with chest radiography, and ct best shows parenchymal abnormalities. The integration of clinical, radiologic, and. Eosinophilic pneumonia represents a heterogeneous group of. Chest X Ray Eosinophilic Pneumonia.
From www.cancertherapyadvisor.com
Acute eosinophilic pneumonia Cancer Therapy Advisor Chest X Ray Eosinophilic Pneumonia Characteristic imaging findings are often detected with chest radiography, and ct best shows parenchymal abnormalities. Eosinophilic lung diseases are a heterogeneous group of disorders that are characterized by excess infiltration of. Response to therapy may be assessed based on the following parameters: Eosinophilic pneumonia represents a heterogeneous group of lung disorders characterized by the presence of peripheral blood eosinophilia (defined. Chest X Ray Eosinophilic Pneumonia.
From www.kaggle.com
Pneumonia Chest X ray Kaggle Chest X Ray Eosinophilic Pneumonia The integration of clinical, radiologic, and. Characteristic imaging findings are often detected with chest radiography, and ct best shows parenchymal abnormalities. Eosinophilic lung diseases are a heterogeneous group of disorders that are characterized by excess infiltration of. Diagnosis of eosinophilic pulmonary diseases. Eosinophilic pneumonia represents a heterogeneous group of lung disorders characterized by the presence of peripheral blood eosinophilia (defined. Chest X Ray Eosinophilic Pneumonia.
From www.jaci-inpractice.org
Chronic Eosinophilic Pneumonia A Diagnostic Challenge The Journal of Chest X Ray Eosinophilic Pneumonia Characteristic imaging findings are often detected with chest radiography, and ct best shows parenchymal abnormalities. Diagnosis of eosinophilic pulmonary diseases. Response to therapy may be assessed based on the following parameters: Eosinophilic pneumonia represents a heterogeneous group of lung disorders characterized by the presence of peripheral blood eosinophilia (defined as an. The integration of clinical, radiologic, and. Eosinophilic lung diseases. Chest X Ray Eosinophilic Pneumonia.
From chestarchives.blogspot.com
Chest Archives Chest X Ray chronic eosinophilic pneumoniae Chest X Ray Eosinophilic Pneumonia Characteristic imaging findings are often detected with chest radiography, and ct best shows parenchymal abnormalities. Eosinophilic lung diseases are a heterogeneous group of disorders that are characterized by excess infiltration of. Response to therapy may be assessed based on the following parameters: Diagnosis of eosinophilic pulmonary diseases. Eosinophilic pneumonia represents a heterogeneous group of lung disorders characterized by the presence. Chest X Ray Eosinophilic Pneumonia.
From ar.inspiredpencil.com
Bacterial Pneumonia Lung X Ray Chest X Ray Eosinophilic Pneumonia Eosinophilic pneumonia represents a heterogeneous group of lung disorders characterized by the presence of peripheral blood eosinophilia (defined as an. Eosinophilic lung diseases are a heterogeneous group of disorders that are characterized by excess infiltration of. Characteristic imaging findings are often detected with chest radiography, and ct best shows parenchymal abnormalities. Response to therapy may be assessed based on the. Chest X Ray Eosinophilic Pneumonia.