Microabrasion Teeth Definition . Enamel microabrasion involves the use of acidic and abrasive agents, such as with 37% phosphoric acid and pumice or 6%. Learn how to use opalustre, a hydrochloric acid slurry with silicon carbide microparticles, to remove superficial enamel stains caused by fluorosis. Enamel microabrasion is a permanent treatment that removes discolouration from the tooth surface with mechanical tools. Follow the procedure steps, tips and precautions for this chemical and mechanical abrasion method. Enamel microabrasion is a cosmetic dentistry treatment that removes a thin layer of enamel to improve tooth discoloration. Microabrasion is a simple technique which conserves tooth tissue and can prevent restorative intervention on the tooth. Enamel microabrasion is indicated for the removal of superficial stains. Learn how it works, who can benefit from it, and what.
from www.ismile.com
Enamel microabrasion involves the use of acidic and abrasive agents, such as with 37% phosphoric acid and pumice or 6%. Follow the procedure steps, tips and precautions for this chemical and mechanical abrasion method. Enamel microabrasion is a permanent treatment that removes discolouration from the tooth surface with mechanical tools. Enamel microabrasion is indicated for the removal of superficial stains. Enamel microabrasion is a cosmetic dentistry treatment that removes a thin layer of enamel to improve tooth discoloration. Learn how to use opalustre, a hydrochloric acid slurry with silicon carbide microparticles, to remove superficial enamel stains caused by fluorosis. Learn how it works, who can benefit from it, and what. Microabrasion is a simple technique which conserves tooth tissue and can prevent restorative intervention on the tooth.
Microabrasion Microabrasion teeth ismile Best Dental Clinic NYC
Microabrasion Teeth Definition Follow the procedure steps, tips and precautions for this chemical and mechanical abrasion method. Learn how it works, who can benefit from it, and what. Enamel microabrasion is a cosmetic dentistry treatment that removes a thin layer of enamel to improve tooth discoloration. Enamel microabrasion is a permanent treatment that removes discolouration from the tooth surface with mechanical tools. Enamel microabrasion involves the use of acidic and abrasive agents, such as with 37% phosphoric acid and pumice or 6%. Learn how to use opalustre, a hydrochloric acid slurry with silicon carbide microparticles, to remove superficial enamel stains caused by fluorosis. Microabrasion is a simple technique which conserves tooth tissue and can prevent restorative intervention on the tooth. Enamel microabrasion is indicated for the removal of superficial stains. Follow the procedure steps, tips and precautions for this chemical and mechanical abrasion method.
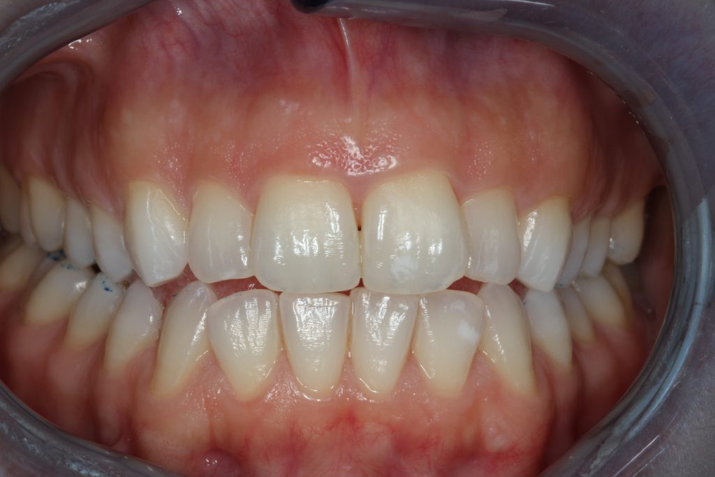
From www.clinicaferrusbratos.com
Microabrasión dental ¿para qué sirve? Ferrus&Bratos Microabrasion Teeth Definition Enamel microabrasion is a permanent treatment that removes discolouration from the tooth surface with mechanical tools. Follow the procedure steps, tips and precautions for this chemical and mechanical abrasion method. Enamel microabrasion is a cosmetic dentistry treatment that removes a thin layer of enamel to improve tooth discoloration. Enamel microabrasion is indicated for the removal of superficial stains. Learn how. Microabrasion Teeth Definition.
From malamisdental.com
Microabrasion Malamis Dental Microabrasion Teeth Definition Enamel microabrasion is a cosmetic dentistry treatment that removes a thin layer of enamel to improve tooth discoloration. Enamel microabrasion involves the use of acidic and abrasive agents, such as with 37% phosphoric acid and pumice or 6%. Enamel microabrasion is a permanent treatment that removes discolouration from the tooth surface with mechanical tools. Microabrasion is a simple technique which. Microabrasion Teeth Definition.
From leedervilledental.com.au
Microabrasion Of Mottled Teeth Leederville Dental Microabrasion Teeth Definition Learn how to use opalustre, a hydrochloric acid slurry with silicon carbide microparticles, to remove superficial enamel stains caused by fluorosis. Enamel microabrasion is a permanent treatment that removes discolouration from the tooth surface with mechanical tools. Learn how it works, who can benefit from it, and what. Enamel microabrasion is indicated for the removal of superficial stains. Enamel microabrasion. Microabrasion Teeth Definition.
From www.youtube.com
Case Selection for Enamel Microabrasion YouTube Microabrasion Teeth Definition Enamel microabrasion is a cosmetic dentistry treatment that removes a thin layer of enamel to improve tooth discoloration. Learn how it works, who can benefit from it, and what. Learn how to use opalustre, a hydrochloric acid slurry with silicon carbide microparticles, to remove superficial enamel stains caused by fluorosis. Microabrasion is a simple technique which conserves tooth tissue and. Microabrasion Teeth Definition.
From alrezfamilydentistry.com
Enamel Microabrasion in Glen Mills, PA Alrez Family Dentistry Microabrasion Teeth Definition Enamel microabrasion is indicated for the removal of superficial stains. Enamel microabrasion is a cosmetic dentistry treatment that removes a thin layer of enamel to improve tooth discoloration. Learn how it works, who can benefit from it, and what. Enamel microabrasion involves the use of acidic and abrasive agents, such as with 37% phosphoric acid and pumice or 6%. Learn. Microabrasion Teeth Definition.
From tiiz.es
Microabrasión dental para una sonrisa reluciente Clínica dental Tiiz Microabrasion Teeth Definition Enamel microabrasion involves the use of acidic and abrasive agents, such as with 37% phosphoric acid and pumice or 6%. Enamel microabrasion is a cosmetic dentistry treatment that removes a thin layer of enamel to improve tooth discoloration. Learn how to use opalustre, a hydrochloric acid slurry with silicon carbide microparticles, to remove superficial enamel stains caused by fluorosis. Microabrasion. Microabrasion Teeth Definition.
From dentagama.com
Enamel Microabrasion News Dentagama Microabrasion Teeth Definition Enamel microabrasion is a permanent treatment that removes discolouration from the tooth surface with mechanical tools. Enamel microabrasion is a cosmetic dentistry treatment that removes a thin layer of enamel to improve tooth discoloration. Learn how to use opalustre, a hydrochloric acid slurry with silicon carbide microparticles, to remove superficial enamel stains caused by fluorosis. Enamel microabrasion involves the use. Microabrasion Teeth Definition.
From carrolldentalcare.com
Smile Gallery Carroll Dental Care Microabrasion Teeth Definition Follow the procedure steps, tips and precautions for this chemical and mechanical abrasion method. Learn how to use opalustre, a hydrochloric acid slurry with silicon carbide microparticles, to remove superficial enamel stains caused by fluorosis. Enamel microabrasion is indicated for the removal of superficial stains. Enamel microabrasion involves the use of acidic and abrasive agents, such as with 37% phosphoric. Microabrasion Teeth Definition.
From dentagama.com
Enamel Microabrasion News Dentagama Microabrasion Teeth Definition Enamel microabrasion is a permanent treatment that removes discolouration from the tooth surface with mechanical tools. Learn how it works, who can benefit from it, and what. Learn how to use opalustre, a hydrochloric acid slurry with silicon carbide microparticles, to remove superficial enamel stains caused by fluorosis. Follow the procedure steps, tips and precautions for this chemical and mechanical. Microabrasion Teeth Definition.
From www.scottarmsdentalpractice.com
Microabrasion treatment with Dr Emma Franks Scott Arms Microabrasion Teeth Definition Enamel microabrasion involves the use of acidic and abrasive agents, such as with 37% phosphoric acid and pumice or 6%. Microabrasion is a simple technique which conserves tooth tissue and can prevent restorative intervention on the tooth. Learn how it works, who can benefit from it, and what. Follow the procedure steps, tips and precautions for this chemical and mechanical. Microabrasion Teeth Definition.
From www.researchgate.net
Teeth with severe dental fluorosis were treated with microabrasion and Microabrasion Teeth Definition Microabrasion is a simple technique which conserves tooth tissue and can prevent restorative intervention on the tooth. Follow the procedure steps, tips and precautions for this chemical and mechanical abrasion method. Enamel microabrasion is indicated for the removal of superficial stains. Enamel microabrasion is a permanent treatment that removes discolouration from the tooth surface with mechanical tools. Enamel microabrasion involves. Microabrasion Teeth Definition.
From dentagama.com
Enamel Microabrasion News Dentagama Microabrasion Teeth Definition Microabrasion is a simple technique which conserves tooth tissue and can prevent restorative intervention on the tooth. Enamel microabrasion is indicated for the removal of superficial stains. Enamel microabrasion involves the use of acidic and abrasive agents, such as with 37% phosphoric acid and pumice or 6%. Follow the procedure steps, tips and precautions for this chemical and mechanical abrasion. Microabrasion Teeth Definition.
From www.scottarmsdentalpractice.com
Microabrasion treatment with Dr Emma Franks Scott Arms Microabrasion Teeth Definition Enamel microabrasion is a permanent treatment that removes discolouration from the tooth surface with mechanical tools. Enamel microabrasion is indicated for the removal of superficial stains. Learn how it works, who can benefit from it, and what. Enamel microabrasion is a cosmetic dentistry treatment that removes a thin layer of enamel to improve tooth discoloration. Microabrasion is a simple technique. Microabrasion Teeth Definition.
From en.ultradent.blog
Enamel Microabrasion StepbyStep Technique Microabrasion Teeth Definition Follow the procedure steps, tips and precautions for this chemical and mechanical abrasion method. Microabrasion is a simple technique which conserves tooth tissue and can prevent restorative intervention on the tooth. Learn how to use opalustre, a hydrochloric acid slurry with silicon carbide microparticles, to remove superficial enamel stains caused by fluorosis. Enamel microabrasion is a cosmetic dentistry treatment that. Microabrasion Teeth Definition.
From www.wjgnet.com
Effectiveness of a microabrasion technique using 16 HCL with manual Microabrasion Teeth Definition Enamel microabrasion is a permanent treatment that removes discolouration from the tooth surface with mechanical tools. Learn how to use opalustre, a hydrochloric acid slurry with silicon carbide microparticles, to remove superficial enamel stains caused by fluorosis. Microabrasion is a simple technique which conserves tooth tissue and can prevent restorative intervention on the tooth. Follow the procedure steps, tips and. Microabrasion Teeth Definition.
From www.semanticscholar.org
Enamel Microabrasion Semantic Scholar Microabrasion Teeth Definition Learn how it works, who can benefit from it, and what. Learn how to use opalustre, a hydrochloric acid slurry with silicon carbide microparticles, to remove superficial enamel stains caused by fluorosis. Enamel microabrasion involves the use of acidic and abrasive agents, such as with 37% phosphoric acid and pumice or 6%. Enamel microabrasion is a permanent treatment that removes. Microabrasion Teeth Definition.
From en.ultradent.blog
Enamel Microabrasion StepbyStep Technique Microabrasion Teeth Definition Learn how it works, who can benefit from it, and what. Enamel microabrasion is a permanent treatment that removes discolouration from the tooth surface with mechanical tools. Microabrasion is a simple technique which conserves tooth tissue and can prevent restorative intervention on the tooth. Enamel microabrasion involves the use of acidic and abrasive agents, such as with 37% phosphoric acid. Microabrasion Teeth Definition.
From www.dentalclinique.us
Dental Microabrasion Dental Clinique Microabrasion Teeth Definition Learn how to use opalustre, a hydrochloric acid slurry with silicon carbide microparticles, to remove superficial enamel stains caused by fluorosis. Enamel microabrasion involves the use of acidic and abrasive agents, such as with 37% phosphoric acid and pumice or 6%. Enamel microabrasion is a permanent treatment that removes discolouration from the tooth surface with mechanical tools. Follow the procedure. Microabrasion Teeth Definition.
From wayzatadental.com
Enamel Microabrasion What It Is & How It Works (2022 Guide) Microabrasion Teeth Definition Learn how it works, who can benefit from it, and what. Microabrasion is a simple technique which conserves tooth tissue and can prevent restorative intervention on the tooth. Follow the procedure steps, tips and precautions for this chemical and mechanical abrasion method. Learn how to use opalustre, a hydrochloric acid slurry with silicon carbide microparticles, to remove superficial enamel stains. Microabrasion Teeth Definition.
From www.ismile.com
Microabrasion Microabrasion teeth ismile Best Dental Clinic NYC Microabrasion Teeth Definition Follow the procedure steps, tips and precautions for this chemical and mechanical abrasion method. Enamel microabrasion is a permanent treatment that removes discolouration from the tooth surface with mechanical tools. Enamel microabrasion is indicated for the removal of superficial stains. Microabrasion is a simple technique which conserves tooth tissue and can prevent restorative intervention on the tooth. Learn how it. Microabrasion Teeth Definition.
From chestertonfamilydental.com
Transformation Tuesday Dental Microabrasion Chesterton Family Dental Microabrasion Teeth Definition Enamel microabrasion involves the use of acidic and abrasive agents, such as with 37% phosphoric acid and pumice or 6%. Enamel microabrasion is a permanent treatment that removes discolouration from the tooth surface with mechanical tools. Learn how it works, who can benefit from it, and what. Enamel microabrasion is indicated for the removal of superficial stains. Learn how to. Microabrasion Teeth Definition.
From www.styleitaliano.org
Bleaching, microabrasion and composite restoration Microabrasion Teeth Definition Follow the procedure steps, tips and precautions for this chemical and mechanical abrasion method. Microabrasion is a simple technique which conserves tooth tissue and can prevent restorative intervention on the tooth. Learn how to use opalustre, a hydrochloric acid slurry with silicon carbide microparticles, to remove superficial enamel stains caused by fluorosis. Enamel microabrasion is indicated for the removal of. Microabrasion Teeth Definition.
From www.scottarmsdentalpractice.com
Microabrasion treatment with Dr Emma Franks Scott Arms Microabrasion Teeth Definition Enamel microabrasion is a cosmetic dentistry treatment that removes a thin layer of enamel to improve tooth discoloration. Microabrasion is a simple technique which conserves tooth tissue and can prevent restorative intervention on the tooth. Learn how to use opalustre, a hydrochloric acid slurry with silicon carbide microparticles, to remove superficial enamel stains caused by fluorosis. Follow the procedure steps,. Microabrasion Teeth Definition.
From www.scribd.com
Microabrasion technique Tooth Enamel Dentistry Microabrasion Teeth Definition Learn how it works, who can benefit from it, and what. Enamel microabrasion involves the use of acidic and abrasive agents, such as with 37% phosphoric acid and pumice or 6%. Enamel microabrasion is a permanent treatment that removes discolouration from the tooth surface with mechanical tools. Learn how to use opalustre, a hydrochloric acid slurry with silicon carbide microparticles,. Microabrasion Teeth Definition.
From la.ultradent.blog
La Microabrasión en Odontología Estética Microabrasion Teeth Definition Enamel microabrasion is a permanent treatment that removes discolouration from the tooth surface with mechanical tools. Learn how to use opalustre, a hydrochloric acid slurry with silicon carbide microparticles, to remove superficial enamel stains caused by fluorosis. Follow the procedure steps, tips and precautions for this chemical and mechanical abrasion method. Enamel microabrasion is indicated for the removal of superficial. Microabrasion Teeth Definition.
From www.clinicamoyua.com
Microabrasión dental qué es y cuándo está indicada Microabrasion Teeth Definition Enamel microabrasion is indicated for the removal of superficial stains. Enamel microabrasion is a permanent treatment that removes discolouration from the tooth surface with mechanical tools. Learn how it works, who can benefit from it, and what. Enamel microabrasion is a cosmetic dentistry treatment that removes a thin layer of enamel to improve tooth discoloration. Learn how to use opalustre,. Microabrasion Teeth Definition.
From www.researchgate.net
(PDF) Enamel microabrasion associated with resin infiltration technique Microabrasion Teeth Definition Learn how to use opalustre, a hydrochloric acid slurry with silicon carbide microparticles, to remove superficial enamel stains caused by fluorosis. Enamel microabrasion involves the use of acidic and abrasive agents, such as with 37% phosphoric acid and pumice or 6%. Enamel microabrasion is indicated for the removal of superficial stains. Microabrasion is a simple technique which conserves tooth tissue. Microabrasion Teeth Definition.
From dentagama.com
Enamel Microabrasion News Dentagama Microabrasion Teeth Definition Learn how to use opalustre, a hydrochloric acid slurry with silicon carbide microparticles, to remove superficial enamel stains caused by fluorosis. Enamel microabrasion is a cosmetic dentistry treatment that removes a thin layer of enamel to improve tooth discoloration. Microabrasion is a simple technique which conserves tooth tissue and can prevent restorative intervention on the tooth. Follow the procedure steps,. Microabrasion Teeth Definition.
From www.dentistskopje.com
Teeth Microabrasion Procedure All you need to know! Microabrasion Teeth Definition Enamel microabrasion is indicated for the removal of superficial stains. Enamel microabrasion is a cosmetic dentistry treatment that removes a thin layer of enamel to improve tooth discoloration. Learn how it works, who can benefit from it, and what. Microabrasion is a simple technique which conserves tooth tissue and can prevent restorative intervention on the tooth. Enamel microabrasion is a. Microabrasion Teeth Definition.
From uniondentalsurgery.com
Microabrasion Case 1 Union Dental Surgery Microabrasion Teeth Definition Learn how it works, who can benefit from it, and what. Enamel microabrasion is a permanent treatment that removes discolouration from the tooth surface with mechanical tools. Microabrasion is a simple technique which conserves tooth tissue and can prevent restorative intervention on the tooth. Learn how to use opalustre, a hydrochloric acid slurry with silicon carbide microparticles, to remove superficial. Microabrasion Teeth Definition.
From dentagama.com
Enamel Microabrasion News Dentagama Microabrasion Teeth Definition Learn how to use opalustre, a hydrochloric acid slurry with silicon carbide microparticles, to remove superficial enamel stains caused by fluorosis. Enamel microabrasion is a cosmetic dentistry treatment that removes a thin layer of enamel to improve tooth discoloration. Enamel microabrasion is a permanent treatment that removes discolouration from the tooth surface with mechanical tools. Follow the procedure steps, tips. Microabrasion Teeth Definition.
From dentagama.com
Enamel Microabrasion News Dentagama Microabrasion Teeth Definition Learn how to use opalustre, a hydrochloric acid slurry with silicon carbide microparticles, to remove superficial enamel stains caused by fluorosis. Enamel microabrasion is a cosmetic dentistry treatment that removes a thin layer of enamel to improve tooth discoloration. Enamel microabrasion is indicated for the removal of superficial stains. Enamel microabrasion is a permanent treatment that removes discolouration from the. Microabrasion Teeth Definition.
From www.dentalatkeys.com.au
Before/After Enamel Microabrasion Dental at Keys Microabrasion Teeth Definition Enamel microabrasion is a permanent treatment that removes discolouration from the tooth surface with mechanical tools. Learn how to use opalustre, a hydrochloric acid slurry with silicon carbide microparticles, to remove superficial enamel stains caused by fluorosis. Enamel microabrasion is indicated for the removal of superficial stains. Enamel microabrasion is a cosmetic dentistry treatment that removes a thin layer of. Microabrasion Teeth Definition.
From en.ultradent.blog
Enamel Microabrasion StepbyStep Technique Microabrasion Teeth Definition Microabrasion is a simple technique which conserves tooth tissue and can prevent restorative intervention on the tooth. Learn how it works, who can benefit from it, and what. Enamel microabrasion is a cosmetic dentistry treatment that removes a thin layer of enamel to improve tooth discoloration. Enamel microabrasion involves the use of acidic and abrasive agents, such as with 37%. Microabrasion Teeth Definition.
From www.scielo.br
SciELO Brasil Microabrasion in tooth enamel discoloration defects Microabrasion Teeth Definition Microabrasion is a simple technique which conserves tooth tissue and can prevent restorative intervention on the tooth. Enamel microabrasion involves the use of acidic and abrasive agents, such as with 37% phosphoric acid and pumice or 6%. Learn how it works, who can benefit from it, and what. Enamel microabrasion is a permanent treatment that removes discolouration from the tooth. Microabrasion Teeth Definition.