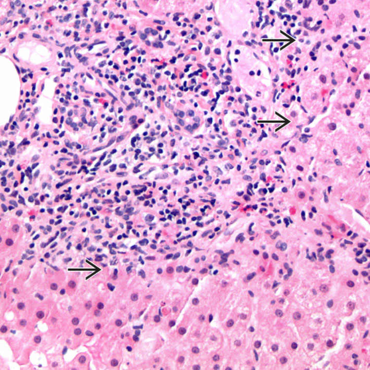
Interface Hepatitis Pathology Outlines . Simple system evaluating 4 laboratory and histological factors: Expanded portal regions with dull edges suggestive of interface hepatitis (ul 40x). Interface activity is readily identified and is considered a characteristic feature of aih; Aih is also considered likely if there is predominantly lobular hepatitis with or without centrilobular necroinflammation and at least one. This review describes pathologic and clinical features of a spectrum of hepatitic liver disease that can cause chronic hepatitis, as well. Pas without diastase shows interface hepatitis. Prominent chronic inflammatory infiltrate with occasional germinal centers in portal tracts with variable. This broad topic highlights the pathophysiology, microscopic findings and associated hepatic diseases with commonly. Simplified criteria for diagnosis of autoimmune hepatitis are based on autoantibodies, serum immunoglobulin g,. Serum autoantibodies, igg, liver histology and viral hepatitis serology.
from www.pathologyoutlines.com
Interface activity is readily identified and is considered a characteristic feature of aih; Expanded portal regions with dull edges suggestive of interface hepatitis (ul 40x). Simplified criteria for diagnosis of autoimmune hepatitis are based on autoantibodies, serum immunoglobulin g,. Prominent chronic inflammatory infiltrate with occasional germinal centers in portal tracts with variable. Aih is also considered likely if there is predominantly lobular hepatitis with or without centrilobular necroinflammation and at least one. This review describes pathologic and clinical features of a spectrum of hepatitic liver disease that can cause chronic hepatitis, as well. Simple system evaluating 4 laboratory and histological factors: Serum autoantibodies, igg, liver histology and viral hepatitis serology. This broad topic highlights the pathophysiology, microscopic findings and associated hepatic diseases with commonly. Pas without diastase shows interface hepatitis.
Pathology Outlines Autoimmune hepatitis
Interface Hepatitis Pathology Outlines Prominent chronic inflammatory infiltrate with occasional germinal centers in portal tracts with variable. Interface activity is readily identified and is considered a characteristic feature of aih; Serum autoantibodies, igg, liver histology and viral hepatitis serology. Prominent chronic inflammatory infiltrate with occasional germinal centers in portal tracts with variable. Pas without diastase shows interface hepatitis. This broad topic highlights the pathophysiology, microscopic findings and associated hepatic diseases with commonly. Expanded portal regions with dull edges suggestive of interface hepatitis (ul 40x). Simplified criteria for diagnosis of autoimmune hepatitis are based on autoantibodies, serum immunoglobulin g,. This review describes pathologic and clinical features of a spectrum of hepatitic liver disease that can cause chronic hepatitis, as well. Aih is also considered likely if there is predominantly lobular hepatitis with or without centrilobular necroinflammation and at least one. Simple system evaluating 4 laboratory and histological factors:
From www.pathologyoutlines.com
Pathology Outlines Chronic hepatitis Interface Hepatitis Pathology Outlines Simplified criteria for diagnosis of autoimmune hepatitis are based on autoantibodies, serum immunoglobulin g,. Simple system evaluating 4 laboratory and histological factors: Expanded portal regions with dull edges suggestive of interface hepatitis (ul 40x). This broad topic highlights the pathophysiology, microscopic findings and associated hepatic diseases with commonly. Prominent chronic inflammatory infiltrate with occasional germinal centers in portal tracts with. Interface Hepatitis Pathology Outlines.
From www.pathologyoutlines.com
Pathology Outlines Chronic hepatitisgrading / staging Interface Hepatitis Pathology Outlines Interface activity is readily identified and is considered a characteristic feature of aih; This review describes pathologic and clinical features of a spectrum of hepatitic liver disease that can cause chronic hepatitis, as well. Simple system evaluating 4 laboratory and histological factors: Pas without diastase shows interface hepatitis. This broad topic highlights the pathophysiology, microscopic findings and associated hepatic diseases. Interface Hepatitis Pathology Outlines.
From www.pathologyoutlines.com
Pathology Outlines Forms of hepatic injury Interface Hepatitis Pathology Outlines Simplified criteria for diagnosis of autoimmune hepatitis are based on autoantibodies, serum immunoglobulin g,. This review describes pathologic and clinical features of a spectrum of hepatitic liver disease that can cause chronic hepatitis, as well. Pas without diastase shows interface hepatitis. Simple system evaluating 4 laboratory and histological factors: Prominent chronic inflammatory infiltrate with occasional germinal centers in portal tracts. Interface Hepatitis Pathology Outlines.
From www.pathologyoutlines.com
Pathology Outlines Chronic hepatitis Interface Hepatitis Pathology Outlines Serum autoantibodies, igg, liver histology and viral hepatitis serology. This broad topic highlights the pathophysiology, microscopic findings and associated hepatic diseases with commonly. This review describes pathologic and clinical features of a spectrum of hepatitic liver disease that can cause chronic hepatitis, as well. Pas without diastase shows interface hepatitis. Simplified criteria for diagnosis of autoimmune hepatitis are based on. Interface Hepatitis Pathology Outlines.
From www.pathologyoutlines.com
Pathology Outlines Chronic hepatitis Interface Hepatitis Pathology Outlines Serum autoantibodies, igg, liver histology and viral hepatitis serology. Prominent chronic inflammatory infiltrate with occasional germinal centers in portal tracts with variable. Simple system evaluating 4 laboratory and histological factors: Expanded portal regions with dull edges suggestive of interface hepatitis (ul 40x). Pas without diastase shows interface hepatitis. This review describes pathologic and clinical features of a spectrum of hepatitic. Interface Hepatitis Pathology Outlines.
From www.pathologyoutlines.com
Pathology Outlines Chronic hepatitis Interface Hepatitis Pathology Outlines This broad topic highlights the pathophysiology, microscopic findings and associated hepatic diseases with commonly. Simple system evaluating 4 laboratory and histological factors: Expanded portal regions with dull edges suggestive of interface hepatitis (ul 40x). Interface activity is readily identified and is considered a characteristic feature of aih; Aih is also considered likely if there is predominantly lobular hepatitis with or. Interface Hepatitis Pathology Outlines.
From www.pathologyoutlines.com
Pathology Outlines Hepatitis (acute and chronic)general Interface Hepatitis Pathology Outlines Expanded portal regions with dull edges suggestive of interface hepatitis (ul 40x). Pas without diastase shows interface hepatitis. Simplified criteria for diagnosis of autoimmune hepatitis are based on autoantibodies, serum immunoglobulin g,. Serum autoantibodies, igg, liver histology and viral hepatitis serology. Simple system evaluating 4 laboratory and histological factors: This review describes pathologic and clinical features of a spectrum of. Interface Hepatitis Pathology Outlines.
From www.pathologyoutlines.com
Pathology Outlines Autoimmune hepatitis Interface Hepatitis Pathology Outlines This review describes pathologic and clinical features of a spectrum of hepatitic liver disease that can cause chronic hepatitis, as well. Serum autoantibodies, igg, liver histology and viral hepatitis serology. This broad topic highlights the pathophysiology, microscopic findings and associated hepatic diseases with commonly. Aih is also considered likely if there is predominantly lobular hepatitis with or without centrilobular necroinflammation. Interface Hepatitis Pathology Outlines.
From www.pathologyoutlines.com
Pathology Outlines Autoimmune hepatitis Interface Hepatitis Pathology Outlines Aih is also considered likely if there is predominantly lobular hepatitis with or without centrilobular necroinflammation and at least one. Prominent chronic inflammatory infiltrate with occasional germinal centers in portal tracts with variable. This review describes pathologic and clinical features of a spectrum of hepatitic liver disease that can cause chronic hepatitis, as well. Serum autoantibodies, igg, liver histology and. Interface Hepatitis Pathology Outlines.
From www.pathologyoutlines.com
Pathology Outlines Acute hepatitisgeneral Interface Hepatitis Pathology Outlines Prominent chronic inflammatory infiltrate with occasional germinal centers in portal tracts with variable. Expanded portal regions with dull edges suggestive of interface hepatitis (ul 40x). Interface activity is readily identified and is considered a characteristic feature of aih; Serum autoantibodies, igg, liver histology and viral hepatitis serology. Aih is also considered likely if there is predominantly lobular hepatitis with or. Interface Hepatitis Pathology Outlines.
From www.pathologyoutlines.com
Pathology Outlines Chronic hepatitisgrading / staging Interface Hepatitis Pathology Outlines This review describes pathologic and clinical features of a spectrum of hepatitic liver disease that can cause chronic hepatitis, as well. Aih is also considered likely if there is predominantly lobular hepatitis with or without centrilobular necroinflammation and at least one. Simple system evaluating 4 laboratory and histological factors: Pas without diastase shows interface hepatitis. Interface activity is readily identified. Interface Hepatitis Pathology Outlines.
From www.pathologyoutlines.com
Pathology Outlines Checkpoint inhibitor associated hepatitis Interface Hepatitis Pathology Outlines Interface activity is readily identified and is considered a characteristic feature of aih; Simple system evaluating 4 laboratory and histological factors: Simplified criteria for diagnosis of autoimmune hepatitis are based on autoantibodies, serum immunoglobulin g,. Aih is also considered likely if there is predominantly lobular hepatitis with or without centrilobular necroinflammation and at least one. This review describes pathologic and. Interface Hepatitis Pathology Outlines.
From www.pathologyoutlines.com
Pathology Outlines Hepatitis (acute and chronic)general Interface Hepatitis Pathology Outlines Simple system evaluating 4 laboratory and histological factors: Simplified criteria for diagnosis of autoimmune hepatitis are based on autoantibodies, serum immunoglobulin g,. This broad topic highlights the pathophysiology, microscopic findings and associated hepatic diseases with commonly. Serum autoantibodies, igg, liver histology and viral hepatitis serology. Pas without diastase shows interface hepatitis. Prominent chronic inflammatory infiltrate with occasional germinal centers in. Interface Hepatitis Pathology Outlines.
From www.pathologyoutlines.com
Pathology Outlines Hepatitis (acute and chronic)general Interface Hepatitis Pathology Outlines Prominent chronic inflammatory infiltrate with occasional germinal centers in portal tracts with variable. Simplified criteria for diagnosis of autoimmune hepatitis are based on autoantibodies, serum immunoglobulin g,. Pas without diastase shows interface hepatitis. This review describes pathologic and clinical features of a spectrum of hepatitic liver disease that can cause chronic hepatitis, as well. Aih is also considered likely if. Interface Hepatitis Pathology Outlines.
From www.pathologyoutlines.com
Pathology Outlines Adenovirus hepatitis Interface Hepatitis Pathology Outlines Serum autoantibodies, igg, liver histology and viral hepatitis serology. Simple system evaluating 4 laboratory and histological factors: Aih is also considered likely if there is predominantly lobular hepatitis with or without centrilobular necroinflammation and at least one. Simplified criteria for diagnosis of autoimmune hepatitis are based on autoantibodies, serum immunoglobulin g,. This review describes pathologic and clinical features of a. Interface Hepatitis Pathology Outlines.
From www.pathologyoutlines.com
Pathology Outlines Chronic hepatitis Interface Hepatitis Pathology Outlines Prominent chronic inflammatory infiltrate with occasional germinal centers in portal tracts with variable. This broad topic highlights the pathophysiology, microscopic findings and associated hepatic diseases with commonly. Serum autoantibodies, igg, liver histology and viral hepatitis serology. Pas without diastase shows interface hepatitis. Aih is also considered likely if there is predominantly lobular hepatitis with or without centrilobular necroinflammation and at. Interface Hepatitis Pathology Outlines.
From www.pathologyoutlines.com
Pathology Outlines Chronic hepatitis grading / staging Interface Hepatitis Pathology Outlines Prominent chronic inflammatory infiltrate with occasional germinal centers in portal tracts with variable. Expanded portal regions with dull edges suggestive of interface hepatitis (ul 40x). Simple system evaluating 4 laboratory and histological factors: Simplified criteria for diagnosis of autoimmune hepatitis are based on autoantibodies, serum immunoglobulin g,. This broad topic highlights the pathophysiology, microscopic findings and associated hepatic diseases with. Interface Hepatitis Pathology Outlines.
From www.pathologyoutlines.com
Pathology Outlines Chronic hepatitis Interface Hepatitis Pathology Outlines Expanded portal regions with dull edges suggestive of interface hepatitis (ul 40x). Interface activity is readily identified and is considered a characteristic feature of aih; Aih is also considered likely if there is predominantly lobular hepatitis with or without centrilobular necroinflammation and at least one. Prominent chronic inflammatory infiltrate with occasional germinal centers in portal tracts with variable. Simplified criteria. Interface Hepatitis Pathology Outlines.
From www.pathologyoutlines.com
Pathology Outlines Autoimmune hepatitis Interface Hepatitis Pathology Outlines Simplified criteria for diagnosis of autoimmune hepatitis are based on autoantibodies, serum immunoglobulin g,. Aih is also considered likely if there is predominantly lobular hepatitis with or without centrilobular necroinflammation and at least one. Interface activity is readily identified and is considered a characteristic feature of aih; Pas without diastase shows interface hepatitis. Serum autoantibodies, igg, liver histology and viral. Interface Hepatitis Pathology Outlines.
From www.pathologyoutlines.com
Pathology Outlines Checkpoint inhibitor associated hepatitis Interface Hepatitis Pathology Outlines Aih is also considered likely if there is predominantly lobular hepatitis with or without centrilobular necroinflammation and at least one. Pas without diastase shows interface hepatitis. This review describes pathologic and clinical features of a spectrum of hepatitic liver disease that can cause chronic hepatitis, as well. Interface activity is readily identified and is considered a characteristic feature of aih;. Interface Hepatitis Pathology Outlines.
From www.pathologyoutlines.com
Pathology Outlines Autoimmune hepatitis Interface Hepatitis Pathology Outlines Aih is also considered likely if there is predominantly lobular hepatitis with or without centrilobular necroinflammation and at least one. Serum autoantibodies, igg, liver histology and viral hepatitis serology. This review describes pathologic and clinical features of a spectrum of hepatitic liver disease that can cause chronic hepatitis, as well. Simple system evaluating 4 laboratory and histological factors: Expanded portal. Interface Hepatitis Pathology Outlines.
From www.pathologyoutlines.com
Pathology Outlines Hepatitis (acute and chronic)general Interface Hepatitis Pathology Outlines Aih is also considered likely if there is predominantly lobular hepatitis with or without centrilobular necroinflammation and at least one. Expanded portal regions with dull edges suggestive of interface hepatitis (ul 40x). Prominent chronic inflammatory infiltrate with occasional germinal centers in portal tracts with variable. Simplified criteria for diagnosis of autoimmune hepatitis are based on autoantibodies, serum immunoglobulin g,. Pas. Interface Hepatitis Pathology Outlines.
From www.pathologyoutlines.com
Pathology Outlines Chronic hepatitis Interface Hepatitis Pathology Outlines Aih is also considered likely if there is predominantly lobular hepatitis with or without centrilobular necroinflammation and at least one. Pas without diastase shows interface hepatitis. This review describes pathologic and clinical features of a spectrum of hepatitic liver disease that can cause chronic hepatitis, as well. Prominent chronic inflammatory infiltrate with occasional germinal centers in portal tracts with variable.. Interface Hepatitis Pathology Outlines.
From www.slideserve.com
PPT HEPATITIS PowerPoint Presentation, free download ID2979413 Interface Hepatitis Pathology Outlines Interface activity is readily identified and is considered a characteristic feature of aih; Expanded portal regions with dull edges suggestive of interface hepatitis (ul 40x). Aih is also considered likely if there is predominantly lobular hepatitis with or without centrilobular necroinflammation and at least one. This broad topic highlights the pathophysiology, microscopic findings and associated hepatic diseases with commonly. Pas. Interface Hepatitis Pathology Outlines.
From clinicalgate.com
Hepatitis B Clinical Gate Interface Hepatitis Pathology Outlines Pas without diastase shows interface hepatitis. Serum autoantibodies, igg, liver histology and viral hepatitis serology. This review describes pathologic and clinical features of a spectrum of hepatitic liver disease that can cause chronic hepatitis, as well. Simple system evaluating 4 laboratory and histological factors: Aih is also considered likely if there is predominantly lobular hepatitis with or without centrilobular necroinflammation. Interface Hepatitis Pathology Outlines.
From pathology.or.jp
10.Liver (1) Chronic viral hepatitisPathology Core Pictures Interface Hepatitis Pathology Outlines This broad topic highlights the pathophysiology, microscopic findings and associated hepatic diseases with commonly. Expanded portal regions with dull edges suggestive of interface hepatitis (ul 40x). Pas without diastase shows interface hepatitis. Simplified criteria for diagnosis of autoimmune hepatitis are based on autoantibodies, serum immunoglobulin g,. Prominent chronic inflammatory infiltrate with occasional germinal centers in portal tracts with variable. This. Interface Hepatitis Pathology Outlines.
From www.pathologyoutlines.com
Pathology Outlines Diagnostic patternsdifferential diagnosis Interface Hepatitis Pathology Outlines Expanded portal regions with dull edges suggestive of interface hepatitis (ul 40x). Serum autoantibodies, igg, liver histology and viral hepatitis serology. Pas without diastase shows interface hepatitis. Aih is also considered likely if there is predominantly lobular hepatitis with or without centrilobular necroinflammation and at least one. Prominent chronic inflammatory infiltrate with occasional germinal centers in portal tracts with variable.. Interface Hepatitis Pathology Outlines.
From www.pathologyoutlines.com
Pathology Outlines Autoimmune hepatitis Interface Hepatitis Pathology Outlines Interface activity is readily identified and is considered a characteristic feature of aih; Simplified criteria for diagnosis of autoimmune hepatitis are based on autoantibodies, serum immunoglobulin g,. Prominent chronic inflammatory infiltrate with occasional germinal centers in portal tracts with variable. Simple system evaluating 4 laboratory and histological factors: Expanded portal regions with dull edges suggestive of interface hepatitis (ul 40x).. Interface Hepatitis Pathology Outlines.
From www.pathologyoutlines.com
Pathology Outlines COVID19 Interface Hepatitis Pathology Outlines Interface activity is readily identified and is considered a characteristic feature of aih; Prominent chronic inflammatory infiltrate with occasional germinal centers in portal tracts with variable. Pas without diastase shows interface hepatitis. This review describes pathologic and clinical features of a spectrum of hepatitic liver disease that can cause chronic hepatitis, as well. Expanded portal regions with dull edges suggestive. Interface Hepatitis Pathology Outlines.
From www.pathologyoutlines.com
Pathology Outlines Chronic hepatitisgrading / staging Interface Hepatitis Pathology Outlines Simplified criteria for diagnosis of autoimmune hepatitis are based on autoantibodies, serum immunoglobulin g,. Serum autoantibodies, igg, liver histology and viral hepatitis serology. Expanded portal regions with dull edges suggestive of interface hepatitis (ul 40x). Prominent chronic inflammatory infiltrate with occasional germinal centers in portal tracts with variable. Pas without diastase shows interface hepatitis. Aih is also considered likely if. Interface Hepatitis Pathology Outlines.
From www.slideserve.com
PPT Pathology of Hepatitis Lecture PowerPoint Presentation, free Interface Hepatitis Pathology Outlines Pas without diastase shows interface hepatitis. Aih is also considered likely if there is predominantly lobular hepatitis with or without centrilobular necroinflammation and at least one. Prominent chronic inflammatory infiltrate with occasional germinal centers in portal tracts with variable. Simple system evaluating 4 laboratory and histological factors: Serum autoantibodies, igg, liver histology and viral hepatitis serology. Interface activity is readily. Interface Hepatitis Pathology Outlines.
From www.pathologyoutlines.com
Pathology Outlines Hepatitis (acute and chronic)general Interface Hepatitis Pathology Outlines Simplified criteria for diagnosis of autoimmune hepatitis are based on autoantibodies, serum immunoglobulin g,. Interface activity is readily identified and is considered a characteristic feature of aih; Serum autoantibodies, igg, liver histology and viral hepatitis serology. Expanded portal regions with dull edges suggestive of interface hepatitis (ul 40x). Prominent chronic inflammatory infiltrate with occasional germinal centers in portal tracts with. Interface Hepatitis Pathology Outlines.
From www.pathologyoutlines.com
Pathology Outlines Autoimmune hepatitis Interface Hepatitis Pathology Outlines Expanded portal regions with dull edges suggestive of interface hepatitis (ul 40x). Pas without diastase shows interface hepatitis. Interface activity is readily identified and is considered a characteristic feature of aih; Simplified criteria for diagnosis of autoimmune hepatitis are based on autoantibodies, serum immunoglobulin g,. This review describes pathologic and clinical features of a spectrum of hepatitic liver disease that. Interface Hepatitis Pathology Outlines.
From www.pathologyoutlines.com
Pathology Outlines Cytomegalovirus hepatitis Interface Hepatitis Pathology Outlines Serum autoantibodies, igg, liver histology and viral hepatitis serology. Aih is also considered likely if there is predominantly lobular hepatitis with or without centrilobular necroinflammation and at least one. This review describes pathologic and clinical features of a spectrum of hepatitic liver disease that can cause chronic hepatitis, as well. Simple system evaluating 4 laboratory and histological factors: Simplified criteria. Interface Hepatitis Pathology Outlines.
From www.pathologyoutlines.com
Pathology Outlines Chronic hepatitis grading / staging Interface Hepatitis Pathology Outlines This broad topic highlights the pathophysiology, microscopic findings and associated hepatic diseases with commonly. Simple system evaluating 4 laboratory and histological factors: Aih is also considered likely if there is predominantly lobular hepatitis with or without centrilobular necroinflammation and at least one. Expanded portal regions with dull edges suggestive of interface hepatitis (ul 40x). This review describes pathologic and clinical. Interface Hepatitis Pathology Outlines.