What Is A Brain Laceration . Traumatic brain injury usually results from a violent blow or jolt to the head or body. Cerebral contusion and laceration represent types of direct, focal damage to the brain. Cerebral contusions are bruises of the brain, usually caused by a direct, strong blow to the head. Cerebral lacerations are tears in brain. Traumatic brain injury (tbi) is an injury to the brain from an external mechanical force. Tbi can be caused by a forceful bump, blow, or. Cerebral lacerations are tears in brain. Cerebral contusions are bruises of the brain, usually caused by a direct, strong blow to the head. These injuries are less common in children than in adults. An object that goes through brain tissue, such as a bullet or shattered piece of skull, also. The brain contusions are lesions with a hemorrhagic character that begins in the brain cortical. A traumatic brain injury (tbi) refers to a brain injury that is caused by an outside force. Tbi can generally be classified as either closed or penetrating, with the.
from www.icuanswers.com
Cerebral contusions are bruises of the brain, usually caused by a direct, strong blow to the head. Tbi can be caused by a forceful bump, blow, or. Cerebral contusions are bruises of the brain, usually caused by a direct, strong blow to the head. The brain contusions are lesions with a hemorrhagic character that begins in the brain cortical. Cerebral lacerations are tears in brain. Cerebral lacerations are tears in brain. An object that goes through brain tissue, such as a bullet or shattered piece of skull, also. Tbi can generally be classified as either closed or penetrating, with the. Traumatic brain injury usually results from a violent blow or jolt to the head or body. Cerebral contusion and laceration represent types of direct, focal damage to the brain.
Traumatic Brain Injury
What Is A Brain Laceration Cerebral lacerations are tears in brain. Cerebral contusion and laceration represent types of direct, focal damage to the brain. Cerebral contusions are bruises of the brain, usually caused by a direct, strong blow to the head. Cerebral contusions are bruises of the brain, usually caused by a direct, strong blow to the head. Tbi can be caused by a forceful bump, blow, or. These injuries are less common in children than in adults. A traumatic brain injury (tbi) refers to a brain injury that is caused by an outside force. Cerebral lacerations are tears in brain. Tbi can generally be classified as either closed or penetrating, with the. Cerebral lacerations are tears in brain. The brain contusions are lesions with a hemorrhagic character that begins in the brain cortical. Traumatic brain injury usually results from a violent blow or jolt to the head or body. An object that goes through brain tissue, such as a bullet or shattered piece of skull, also. Traumatic brain injury (tbi) is an injury to the brain from an external mechanical force.
From medizzy.com
Cerebral laceration causes MEDizzy What Is A Brain Laceration Tbi can generally be classified as either closed or penetrating, with the. These injuries are less common in children than in adults. An object that goes through brain tissue, such as a bullet or shattered piece of skull, also. Traumatic brain injury usually results from a violent blow or jolt to the head or body. Tbi can be caused by. What Is A Brain Laceration.
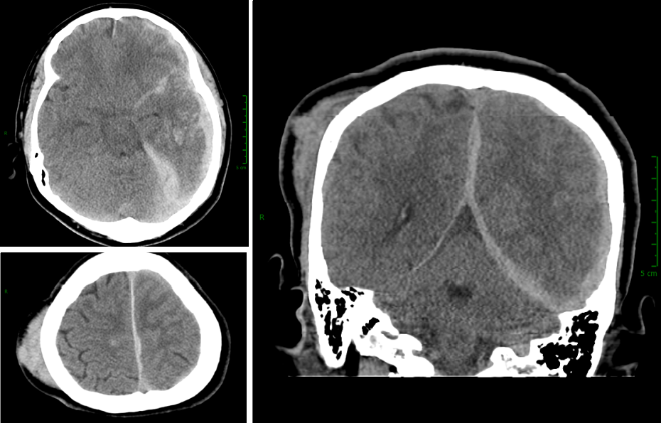
From www.ajnr.org
Parenchymal Brain Laceration as a Predictor of Abusive Head Trauma What Is A Brain Laceration These injuries are less common in children than in adults. Cerebral contusion and laceration represent types of direct, focal damage to the brain. A traumatic brain injury (tbi) refers to a brain injury that is caused by an outside force. Cerebral contusions are bruises of the brain, usually caused by a direct, strong blow to the head. Cerebral contusions are. What Is A Brain Laceration.
From www.youtube.com
Overview of Traumatic Brain Injury (TBI) YouTube What Is A Brain Laceration Traumatic brain injury (tbi) is an injury to the brain from an external mechanical force. A traumatic brain injury (tbi) refers to a brain injury that is caused by an outside force. These injuries are less common in children than in adults. Cerebral contusions are bruises of the brain, usually caused by a direct, strong blow to the head. Cerebral. What Is A Brain Laceration.
From www.rnpedia.com
Traumatic Brain Injury Nursing Management RNpedia What Is A Brain Laceration Cerebral contusions are bruises of the brain, usually caused by a direct, strong blow to the head. The brain contusions are lesions with a hemorrhagic character that begins in the brain cortical. Cerebral contusion and laceration represent types of direct, focal damage to the brain. Tbi can generally be classified as either closed or penetrating, with the. Cerebral contusions are. What Is A Brain Laceration.
From www.abi-rehab.co.nz
What are the different types of brain injuries? ABI Rehabilitation What Is A Brain Laceration Traumatic brain injury (tbi) is an injury to the brain from an external mechanical force. Tbi can generally be classified as either closed or penetrating, with the. An object that goes through brain tissue, such as a bullet or shattered piece of skull, also. Cerebral lacerations are tears in brain. A traumatic brain injury (tbi) refers to a brain injury. What Is A Brain Laceration.
From www.alamy.es
Las lesiones de la cabeza fracturas de cráneo y hematomas en el cerebro What Is A Brain Laceration An object that goes through brain tissue, such as a bullet or shattered piece of skull, also. Tbi can generally be classified as either closed or penetrating, with the. Cerebral lacerations are tears in brain. Tbi can be caused by a forceful bump, blow, or. The brain contusions are lesions with a hemorrhagic character that begins in the brain cortical.. What Is A Brain Laceration.
From www.ajnr.org
Parenchymal Brain Laceration as a Predictor of Abusive Head Trauma What Is A Brain Laceration Cerebral contusions are bruises of the brain, usually caused by a direct, strong blow to the head. Cerebral contusion and laceration represent types of direct, focal damage to the brain. Cerebral lacerations are tears in brain. Cerebral lacerations are tears in brain. Cerebral contusions are bruises of the brain, usually caused by a direct, strong blow to the head. Tbi. What Is A Brain Laceration.
From www.slpinjury.com
Traumatic Brain Injury & Concussion Lawsuits SLP Law What Is A Brain Laceration An object that goes through brain tissue, such as a bullet or shattered piece of skull, also. Traumatic brain injury (tbi) is an injury to the brain from an external mechanical force. The brain contusions are lesions with a hemorrhagic character that begins in the brain cortical. Traumatic brain injury usually results from a violent blow or jolt to the. What Is A Brain Laceration.
From medizzy.com
Primary and Secondary Brain Injury MEDizzy What Is A Brain Laceration These injuries are less common in children than in adults. The brain contusions are lesions with a hemorrhagic character that begins in the brain cortical. Traumatic brain injury usually results from a violent blow or jolt to the head or body. An object that goes through brain tissue, such as a bullet or shattered piece of skull, also. Cerebral lacerations. What Is A Brain Laceration.
From pubs.rsna.org
Traumatic Brain Injury Imaging Patterns and Complications RadioGraphics What Is A Brain Laceration Cerebral contusions are bruises of the brain, usually caused by a direct, strong blow to the head. Cerebral contusions are bruises of the brain, usually caused by a direct, strong blow to the head. Cerebral lacerations are tears in brain. An object that goes through brain tissue, such as a bullet or shattered piece of skull, also. Traumatic brain injury. What Is A Brain Laceration.
From www.slideserve.com
PPT NCLEX RN Preparation Program PowerPoint Presentation, free What Is A Brain Laceration Cerebral lacerations are tears in brain. Traumatic brain injury (tbi) is an injury to the brain from an external mechanical force. Cerebral contusions are bruises of the brain, usually caused by a direct, strong blow to the head. A traumatic brain injury (tbi) refers to a brain injury that is caused by an outside force. An object that goes through. What Is A Brain Laceration.
From www.trialexhibitsinc.com
Traumatic Brain Injury TrialExhibits Inc. What Is A Brain Laceration Tbi can generally be classified as either closed or penetrating, with the. A traumatic brain injury (tbi) refers to a brain injury that is caused by an outside force. Traumatic brain injury (tbi) is an injury to the brain from an external mechanical force. Cerebral contusion and laceration represent types of direct, focal damage to the brain. Cerebral contusions are. What Is A Brain Laceration.
From jeopardylabs.com
BBB IQ Case 7 Intracranial Hemorrhage What Is A Brain Laceration Tbi can be caused by a forceful bump, blow, or. Cerebral contusion and laceration represent types of direct, focal damage to the brain. Cerebral contusions are bruises of the brain, usually caused by a direct, strong blow to the head. Cerebral lacerations are tears in brain. Traumatic brain injury usually results from a violent blow or jolt to the head. What Is A Brain Laceration.
From www.researchgate.net
weeks postophaemorrhagic transformation of right frontal brain What Is A Brain Laceration Traumatic brain injury (tbi) is an injury to the brain from an external mechanical force. Cerebral lacerations are tears in brain. Tbi can generally be classified as either closed or penetrating, with the. The brain contusions are lesions with a hemorrhagic character that begins in the brain cortical. Cerebral contusions are bruises of the brain, usually caused by a direct,. What Is A Brain Laceration.
From www.scribd.com
Cerebral Contusions and Laceration Traumatic Brain Injury Human What Is A Brain Laceration Tbi can generally be classified as either closed or penetrating, with the. The brain contusions are lesions with a hemorrhagic character that begins in the brain cortical. Tbi can be caused by a forceful bump, blow, or. Traumatic brain injury usually results from a violent blow or jolt to the head or body. These injuries are less common in children. What Is A Brain Laceration.
From present5.com
Craniocerebral Injury Jaroslav Plas Dept. of Neurosurgery, 1st What Is A Brain Laceration A traumatic brain injury (tbi) refers to a brain injury that is caused by an outside force. Tbi can be caused by a forceful bump, blow, or. Traumatic brain injury (tbi) is an injury to the brain from an external mechanical force. Traumatic brain injury usually results from a violent blow or jolt to the head or body. The brain. What Is A Brain Laceration.
From www.mdpi.com
Medical Sciences Free FullText Neuroimaging of Traumatic Brain Injury What Is A Brain Laceration Tbi can generally be classified as either closed or penetrating, with the. Cerebral lacerations are tears in brain. Cerebral lacerations are tears in brain. Cerebral contusion and laceration represent types of direct, focal damage to the brain. The brain contusions are lesions with a hemorrhagic character that begins in the brain cortical. Tbi can be caused by a forceful bump,. What Is A Brain Laceration.
From www.slideshare.net
Brain Injury What Is A Brain Laceration These injuries are less common in children than in adults. Cerebral contusions are bruises of the brain, usually caused by a direct, strong blow to the head. Cerebral contusion and laceration represent types of direct, focal damage to the brain. The brain contusions are lesions with a hemorrhagic character that begins in the brain cortical. Traumatic brain injury usually results. What Is A Brain Laceration.
From narainhospital.com
Brain Haemorrhage Narain Hospital What Is A Brain Laceration A traumatic brain injury (tbi) refers to a brain injury that is caused by an outside force. Cerebral contusions are bruises of the brain, usually caused by a direct, strong blow to the head. Cerebral contusion and laceration represent types of direct, focal damage to the brain. These injuries are less common in children than in adults. Traumatic brain injury. What Is A Brain Laceration.
From www.slideserve.com
PPT Head injuries PowerPoint Presentation, free download ID2409979 What Is A Brain Laceration Traumatic brain injury usually results from a violent blow or jolt to the head or body. Cerebral lacerations are tears in brain. The brain contusions are lesions with a hemorrhagic character that begins in the brain cortical. Tbi can be caused by a forceful bump, blow, or. These injuries are less common in children than in adults. Cerebral contusions are. What Is A Brain Laceration.
From radiologyassistant.nl
The Radiology Assistant Traumatic Intracranial Hemorrhage What Is A Brain Laceration Cerebral lacerations are tears in brain. Cerebral lacerations are tears in brain. Cerebral contusions are bruises of the brain, usually caused by a direct, strong blow to the head. These injuries are less common in children than in adults. Traumatic brain injury (tbi) is an injury to the brain from an external mechanical force. An object that goes through brain. What Is A Brain Laceration.
From www.icuanswers.com
Traumatic Brain Injury What Is A Brain Laceration Cerebral lacerations are tears in brain. Cerebral contusion and laceration represent types of direct, focal damage to the brain. The brain contusions are lesions with a hemorrhagic character that begins in the brain cortical. Tbi can be caused by a forceful bump, blow, or. An object that goes through brain tissue, such as a bullet or shattered piece of skull,. What Is A Brain Laceration.
From www.globalradiologycme.com
Contrecoup Brain Injury What Is A Brain Laceration Cerebral lacerations are tears in brain. An object that goes through brain tissue, such as a bullet or shattered piece of skull, also. Traumatic brain injury usually results from a violent blow or jolt to the head or body. Cerebral lacerations are tears in brain. These injuries are less common in children than in adults. Tbi can be caused by. What Is A Brain Laceration.
From pubs.rsna.org
Traumatic Brain Injury Imaging Patterns and Complications RadioGraphics What Is A Brain Laceration Cerebral contusions are bruises of the brain, usually caused by a direct, strong blow to the head. Cerebral lacerations are tears in brain. Tbi can be caused by a forceful bump, blow, or. Cerebral lacerations are tears in brain. A traumatic brain injury (tbi) refers to a brain injury that is caused by an outside force. Cerebral contusion and laceration. What Is A Brain Laceration.
From www.slideshare.net
Diagnostic Neuroradiology What Is A Brain Laceration Cerebral contusion and laceration represent types of direct, focal damage to the brain. An object that goes through brain tissue, such as a bullet or shattered piece of skull, also. Cerebral lacerations are tears in brain. Cerebral contusions are bruises of the brain, usually caused by a direct, strong blow to the head. Traumatic brain injury usually results from a. What Is A Brain Laceration.
From www.youtube.com
What is a Cerebral Contusion? YouTube What Is A Brain Laceration Cerebral contusions are bruises of the brain, usually caused by a direct, strong blow to the head. Cerebral contusions are bruises of the brain, usually caused by a direct, strong blow to the head. These injuries are less common in children than in adults. An object that goes through brain tissue, such as a bullet or shattered piece of skull,. What Is A Brain Laceration.
From www.scientificanimations.com
Understanding Hematomas and Traumatic Brain Injury Scientific Animations What Is A Brain Laceration An object that goes through brain tissue, such as a bullet or shattered piece of skull, also. These injuries are less common in children than in adults. Tbi can be caused by a forceful bump, blow, or. Tbi can generally be classified as either closed or penetrating, with the. Cerebral contusions are bruises of the brain, usually caused by a. What Is A Brain Laceration.
From www.ajronline.org
CNS Injuries in Abusive Head Trauma AJR What Is A Brain Laceration A traumatic brain injury (tbi) refers to a brain injury that is caused by an outside force. Cerebral lacerations are tears in brain. These injuries are less common in children than in adults. Tbi can be caused by a forceful bump, blow, or. The brain contusions are lesions with a hemorrhagic character that begins in the brain cortical. Traumatic brain. What Is A Brain Laceration.
From www.researchgate.net
Parenchymal brain laceration with a fluid level. Case 18. A, Axial NCCT What Is A Brain Laceration Cerebral contusions are bruises of the brain, usually caused by a direct, strong blow to the head. Cerebral contusions are bruises of the brain, usually caused by a direct, strong blow to the head. Traumatic brain injury (tbi) is an injury to the brain from an external mechanical force. An object that goes through brain tissue, such as a bullet. What Is A Brain Laceration.
From www.osmosis.org
Traumatic brain injury Clinical Video & Anatomy Osmosis What Is A Brain Laceration Cerebral lacerations are tears in brain. Tbi can be caused by a forceful bump, blow, or. Tbi can generally be classified as either closed or penetrating, with the. Traumatic brain injury usually results from a violent blow or jolt to the head or body. Cerebral contusions are bruises of the brain, usually caused by a direct, strong blow to the. What Is A Brain Laceration.
From www.omtrial.com
Traumatic Brain Injury No Symptoms Ogborn Mihm, LLP What Is A Brain Laceration Cerebral lacerations are tears in brain. These injuries are less common in children than in adults. Traumatic brain injury (tbi) is an injury to the brain from an external mechanical force. Tbi can be caused by a forceful bump, blow, or. Cerebral contusion and laceration represent types of direct, focal damage to the brain. The brain contusions are lesions with. What Is A Brain Laceration.
From www.flickr.com
SKULL FRACTURE WITH BRAIN LACERATION AND SUBSEQUENT CYSTIC… Flickr What Is A Brain Laceration Traumatic brain injury usually results from a violent blow or jolt to the head or body. Cerebral lacerations are tears in brain. An object that goes through brain tissue, such as a bullet or shattered piece of skull, also. A traumatic brain injury (tbi) refers to a brain injury that is caused by an outside force. Traumatic brain injury (tbi). What Is A Brain Laceration.
From neurosciencenews.com
Brain Still Injured from Concussion After Symptoms Fade Neuroscience News What Is A Brain Laceration Cerebral lacerations are tears in brain. These injuries are less common in children than in adults. Traumatic brain injury (tbi) is an injury to the brain from an external mechanical force. Tbi can be caused by a forceful bump, blow, or. The brain contusions are lesions with a hemorrhagic character that begins in the brain cortical. Cerebral contusions are bruises. What Is A Brain Laceration.
From www.fosterwallace.com
Why Do Brain Injuries Have So Many Different Symptoms? Foster Wallace What Is A Brain Laceration An object that goes through brain tissue, such as a bullet or shattered piece of skull, also. The brain contusions are lesions with a hemorrhagic character that begins in the brain cortical. Cerebral contusions are bruises of the brain, usually caused by a direct, strong blow to the head. Cerebral contusion and laceration represent types of direct, focal damage to. What Is A Brain Laceration.
From www.researchgate.net
(A) Head CT shows nasal bone and occipital bone fracture. (B) Brain CT What Is A Brain Laceration Cerebral contusion and laceration represent types of direct, focal damage to the brain. Tbi can be caused by a forceful bump, blow, or. These injuries are less common in children than in adults. An object that goes through brain tissue, such as a bullet or shattered piece of skull, also. Cerebral lacerations are tears in brain. Traumatic brain injury (tbi). What Is A Brain Laceration.