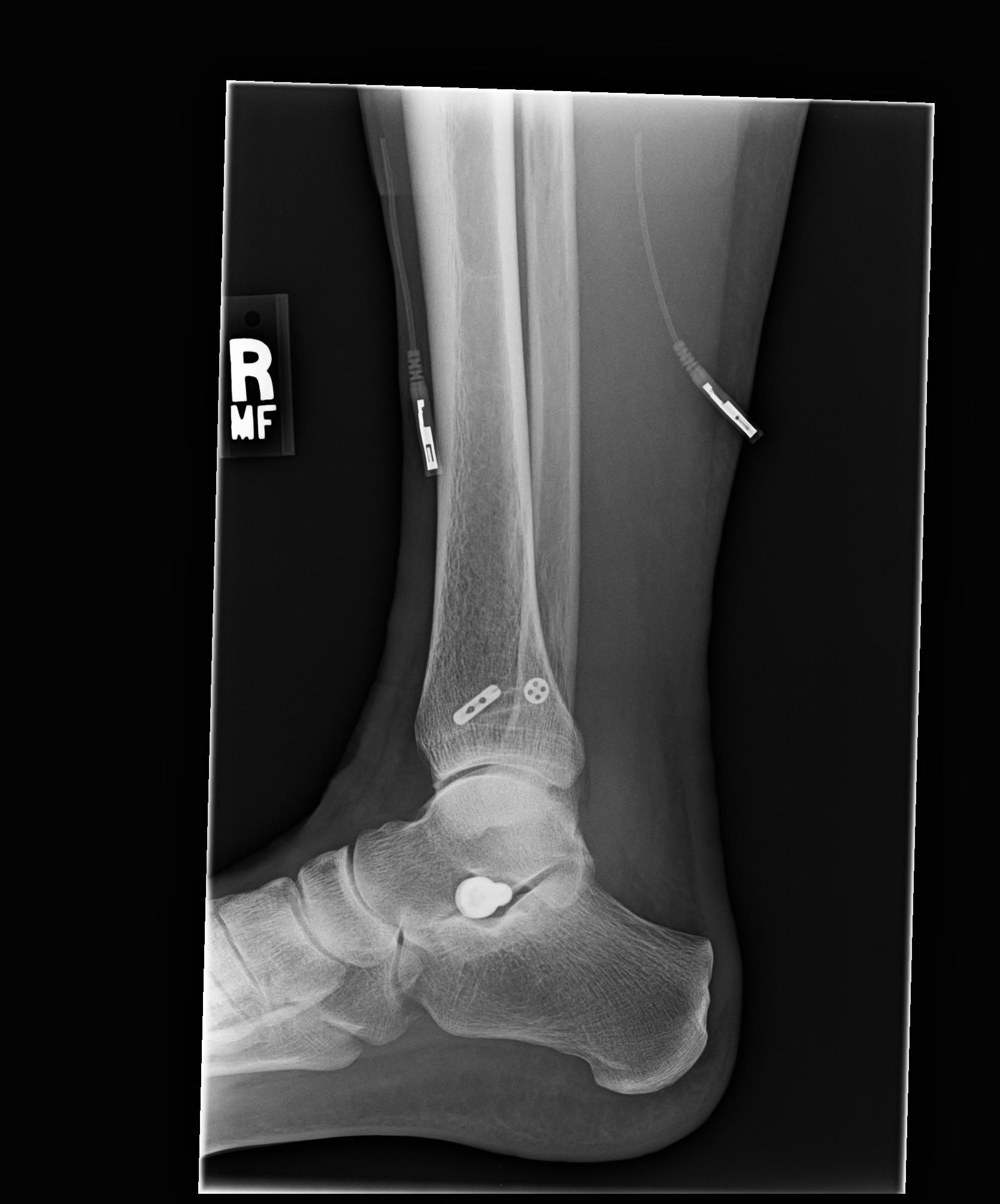
Tightrope Plate . The syndesmosis plate improves reduction and fixation by. [1] tightrope® is a viable alternative to screw fixation for syndesmosis. Tightrope™ fixation for ankle syndesmosis. It can be used to repair a high ankle sprain, which. It can be used to repair a high ankle sprain, which damages the soft tissue. Syndesmosis surgery with tightrope fixation uses a wire, which when tensioned and positioned against the tibia and fibula, correctly aligns and stabilizes. This technique is used to stabilize an ankle after injury. The syndesmosis tightrope® xp implant system features a unique delivery mechanism that allows surgeons to insert the implant without pulling a. Tightrope™ fixation for ankle syndesmosis. This technique is used to stabilize an ankle after injury. Hole fibular buttress plate with two knotless syndesmosis tightrope implants.
from www.arthrex.com
It can be used to repair a high ankle sprain, which. This technique is used to stabilize an ankle after injury. This technique is used to stabilize an ankle after injury. The syndesmosis plate improves reduction and fixation by. Syndesmosis surgery with tightrope fixation uses a wire, which when tensioned and positioned against the tibia and fibula, correctly aligns and stabilizes. Tightrope™ fixation for ankle syndesmosis. Tightrope™ fixation for ankle syndesmosis. The syndesmosis tightrope® xp implant system features a unique delivery mechanism that allows surgeons to insert the implant without pulling a. [1] tightrope® is a viable alternative to screw fixation for syndesmosis. Hole fibular buttress plate with two knotless syndesmosis tightrope implants.
Arthrex CMC Mini TightRope® Fixation System
Tightrope Plate Hole fibular buttress plate with two knotless syndesmosis tightrope implants. The syndesmosis tightrope® xp implant system features a unique delivery mechanism that allows surgeons to insert the implant without pulling a. Syndesmosis surgery with tightrope fixation uses a wire, which when tensioned and positioned against the tibia and fibula, correctly aligns and stabilizes. Tightrope™ fixation for ankle syndesmosis. This technique is used to stabilize an ankle after injury. The syndesmosis plate improves reduction and fixation by. It can be used to repair a high ankle sprain, which. This technique is used to stabilize an ankle after injury. Hole fibular buttress plate with two knotless syndesmosis tightrope implants. Tightrope™ fixation for ankle syndesmosis. [1] tightrope® is a viable alternative to screw fixation for syndesmosis. It can be used to repair a high ankle sprain, which damages the soft tissue.
From www.youtube.com
Distal Clavicle Fracture Repair Using Coracoid Fixation YouTube Tightrope Plate It can be used to repair a high ankle sprain, which damages the soft tissue. This technique is used to stabilize an ankle after injury. Hole fibular buttress plate with two knotless syndesmosis tightrope implants. Tightrope™ fixation for ankle syndesmosis. The syndesmosis tightrope® xp implant system features a unique delivery mechanism that allows surgeons to insert the implant without pulling. Tightrope Plate.
From www.arthrex.com
Arthrex Stainless Steel Locking Distal Fibula Plate Tightrope Plate This technique is used to stabilize an ankle after injury. It can be used to repair a high ankle sprain, which. This technique is used to stabilize an ankle after injury. Tightrope™ fixation for ankle syndesmosis. The syndesmosis tightrope® xp implant system features a unique delivery mechanism that allows surgeons to insert the implant without pulling a. Hole fibular buttress. Tightrope Plate.
From www.medicaldevice-network.com
Arthrex’s TightRope Implant, USA Tightrope Plate Hole fibular buttress plate with two knotless syndesmosis tightrope implants. Tightrope™ fixation for ankle syndesmosis. This technique is used to stabilize an ankle after injury. It can be used to repair a high ankle sprain, which damages the soft tissue. Tightrope™ fixation for ankle syndesmosis. It can be used to repair a high ankle sprain, which. The syndesmosis tightrope® xp. Tightrope Plate.
From www.researchgate.net
Type V ACJ injury operated with single TightRope device (Arthrex,... Download Scientific Diagram Tightrope Plate Hole fibular buttress plate with two knotless syndesmosis tightrope implants. It can be used to repair a high ankle sprain, which damages the soft tissue. This technique is used to stabilize an ankle after injury. This technique is used to stabilize an ankle after injury. [1] tightrope® is a viable alternative to screw fixation for syndesmosis. The syndesmosis tightrope® xp. Tightrope Plate.
From www.researchgate.net
AP view of left shoulder postremoval of the hook plate and TightRope®... Download Scientific Tightrope Plate It can be used to repair a high ankle sprain, which damages the soft tissue. It can be used to repair a high ankle sprain, which. Syndesmosis surgery with tightrope fixation uses a wire, which when tensioned and positioned against the tibia and fibula, correctly aligns and stabilizes. Tightrope™ fixation for ankle syndesmosis. This technique is used to stabilize an. Tightrope Plate.
From www.arthrex.com
Arthrex Clavicle Plates Technique Tightrope Plate Tightrope™ fixation for ankle syndesmosis. [1] tightrope® is a viable alternative to screw fixation for syndesmosis. This technique is used to stabilize an ankle after injury. The syndesmosis tightrope® xp implant system features a unique delivery mechanism that allows surgeons to insert the implant without pulling a. It can be used to repair a high ankle sprain, which damages the. Tightrope Plate.
From www.arthrex.com
Arthrex Implant System, Dual TightRope Syndesmosis 2 Hole Buttress Plate, with one 2 Hole Tightrope Plate Tightrope™ fixation for ankle syndesmosis. This technique is used to stabilize an ankle after injury. It can be used to repair a high ankle sprain, which. It can be used to repair a high ankle sprain, which damages the soft tissue. [1] tightrope® is a viable alternative to screw fixation for syndesmosis. Syndesmosis surgery with tightrope fixation uses a wire,. Tightrope Plate.
From www.arthrex.com
Arthrex TightRope® Tightrope Plate This technique is used to stabilize an ankle after injury. [1] tightrope® is a viable alternative to screw fixation for syndesmosis. The syndesmosis tightrope® xp implant system features a unique delivery mechanism that allows surgeons to insert the implant without pulling a. It can be used to repair a high ankle sprain, which. Tightrope™ fixation for ankle syndesmosis. Hole fibular. Tightrope Plate.
From www.injuryjournal.com
Tightrope fixation of ankle syndesmosis injuries Clinical complications and technique Tightrope Plate It can be used to repair a high ankle sprain, which damages the soft tissue. The syndesmosis plate improves reduction and fixation by. Hole fibular buttress plate with two knotless syndesmosis tightrope implants. Syndesmosis surgery with tightrope fixation uses a wire, which when tensioned and positioned against the tibia and fibula, correctly aligns and stabilizes. Tightrope™ fixation for ankle syndesmosis.. Tightrope Plate.
From www.arthrex.com
Arthrex Trauma Tightrope Plate It can be used to repair a high ankle sprain, which damages the soft tissue. Tightrope™ fixation for ankle syndesmosis. Hole fibular buttress plate with two knotless syndesmosis tightrope implants. This technique is used to stabilize an ankle after injury. Tightrope™ fixation for ankle syndesmosis. [1] tightrope® is a viable alternative to screw fixation for syndesmosis. This technique is used. Tightrope Plate.
From www.arthrex.com
Arthrex Syndesmosis TightRope XP Buttress Plate Implant System, Syndesmosis 2 Hole Buttress Tightrope Plate Hole fibular buttress plate with two knotless syndesmosis tightrope implants. It can be used to repair a high ankle sprain, which damages the soft tissue. Tightrope™ fixation for ankle syndesmosis. Syndesmosis surgery with tightrope fixation uses a wire, which when tensioned and positioned against the tibia and fibula, correctly aligns and stabilizes. This technique is used to stabilize an ankle. Tightrope Plate.
From www.arthrex.com
Arthrex Syndesmosis TightRope® XP Implant System Tightrope Plate Tightrope™ fixation for ankle syndesmosis. This technique is used to stabilize an ankle after injury. Tightrope™ fixation for ankle syndesmosis. It can be used to repair a high ankle sprain, which damages the soft tissue. This technique is used to stabilize an ankle after injury. The syndesmosis tightrope® xp implant system features a unique delivery mechanism that allows surgeons to. Tightrope Plate.
From www.researchgate.net
(PDF) TightRope versus hook plate fixation for Neer type IIB distal clavicular fractures Tightrope Plate It can be used to repair a high ankle sprain, which. It can be used to repair a high ankle sprain, which damages the soft tissue. The syndesmosis plate improves reduction and fixation by. This technique is used to stabilize an ankle after injury. This technique is used to stabilize an ankle after injury. Syndesmosis surgery with tightrope fixation uses. Tightrope Plate.
From www.arthrex.com
Arthrex Mini TightRope Buttress Plate AR8914P Tightrope Plate The syndesmosis tightrope® xp implant system features a unique delivery mechanism that allows surgeons to insert the implant without pulling a. The syndesmosis plate improves reduction and fixation by. This technique is used to stabilize an ankle after injury. Tightrope™ fixation for ankle syndesmosis. Tightrope™ fixation for ankle syndesmosis. Syndesmosis surgery with tightrope fixation uses a wire, which when tensioned. Tightrope Plate.
From surgishop.com
AR8959TDS Arthrex Syndesmosis Tightrope Xp Buttress Plate Implant 1.5mm Titanium Tightrope Plate Syndesmosis surgery with tightrope fixation uses a wire, which when tensioned and positioned against the tibia and fibula, correctly aligns and stabilizes. It can be used to repair a high ankle sprain, which damages the soft tissue. Hole fibular buttress plate with two knotless syndesmosis tightrope implants. This technique is used to stabilize an ankle after injury. The syndesmosis plate. Tightrope Plate.
From www.opnews.com
Arthrex Product Features Orthopaedic Product News Tightrope Plate Hole fibular buttress plate with two knotless syndesmosis tightrope implants. It can be used to repair a high ankle sprain, which. The syndesmosis tightrope® xp implant system features a unique delivery mechanism that allows surgeons to insert the implant without pulling a. The syndesmosis plate improves reduction and fixation by. This technique is used to stabilize an ankle after injury.. Tightrope Plate.
From www.arthrex.com
Arthrex Syndesmosis TightRope® XP Implant System Tightrope Plate The syndesmosis tightrope® xp implant system features a unique delivery mechanism that allows surgeons to insert the implant without pulling a. It can be used to repair a high ankle sprain, which. This technique is used to stabilize an ankle after injury. Syndesmosis surgery with tightrope fixation uses a wire, which when tensioned and positioned against the tibia and fibula,. Tightrope Plate.
From www.arthrex.com
Arthrex Knotless Distal Clavicle Plate Button TightRope (Knotless Distal Clavicle Plate Button Tightrope Plate This technique is used to stabilize an ankle after injury. The syndesmosis tightrope® xp implant system features a unique delivery mechanism that allows surgeons to insert the implant without pulling a. Tightrope™ fixation for ankle syndesmosis. The syndesmosis plate improves reduction and fixation by. This technique is used to stabilize an ankle after injury. Hole fibular buttress plate with two. Tightrope Plate.
From si-instability.com
Arthrex TightRope Ankle Fixation with Prior HyProCure Subtalar Joint Stent Tightrope Plate Hole fibular buttress plate with two knotless syndesmosis tightrope implants. It can be used to repair a high ankle sprain, which. The syndesmosis plate improves reduction and fixation by. [1] tightrope® is a viable alternative to screw fixation for syndesmosis. Syndesmosis surgery with tightrope fixation uses a wire, which when tensioned and positioned against the tibia and fibula, correctly aligns. Tightrope Plate.
From www.arthrex.com
Arthrex CMC Mini TightRope® Fixation System Tightrope Plate Hole fibular buttress plate with two knotless syndesmosis tightrope implants. The syndesmosis tightrope® xp implant system features a unique delivery mechanism that allows surgeons to insert the implant without pulling a. The syndesmosis plate improves reduction and fixation by. [1] tightrope® is a viable alternative to screw fixation for syndesmosis. Tightrope™ fixation for ankle syndesmosis. This technique is used to. Tightrope Plate.
From www.arthrex.com
Arthrex The 1.1 mm Mini TightRope® Implant for Hallux Valgus Correction Tightrope Plate It can be used to repair a high ankle sprain, which. Hole fibular buttress plate with two knotless syndesmosis tightrope implants. This technique is used to stabilize an ankle after injury. [1] tightrope® is a viable alternative to screw fixation for syndesmosis. It can be used to repair a high ankle sprain, which damages the soft tissue. The syndesmosis plate. Tightrope Plate.
From www.medicaldevice-network.com
Arthrex’s TightRope Implant, USA Tightrope Plate It can be used to repair a high ankle sprain, which damages the soft tissue. The syndesmosis tightrope® xp implant system features a unique delivery mechanism that allows surgeons to insert the implant without pulling a. Tightrope™ fixation for ankle syndesmosis. Hole fibular buttress plate with two knotless syndesmosis tightrope implants. Syndesmosis surgery with tightrope fixation uses a wire, which. Tightrope Plate.
From www.arthrex.com
Arthrex Syndesmosis Repair With TightRope® Fixation and AITFL Ligament Repair With Tightrope Plate It can be used to repair a high ankle sprain, which damages the soft tissue. The syndesmosis tightrope® xp implant system features a unique delivery mechanism that allows surgeons to insert the implant without pulling a. Tightrope™ fixation for ankle syndesmosis. It can be used to repair a high ankle sprain, which. Syndesmosis surgery with tightrope fixation uses a wire,. Tightrope Plate.
From www.arthrex.com
Arthrex Hand and Wrist Tightrope Plate [1] tightrope® is a viable alternative to screw fixation for syndesmosis. This technique is used to stabilize an ankle after injury. Tightrope™ fixation for ankle syndesmosis. Hole fibular buttress plate with two knotless syndesmosis tightrope implants. The syndesmosis tightrope® xp implant system features a unique delivery mechanism that allows surgeons to insert the implant without pulling a. This technique is. Tightrope Plate.
From www.arthrex.com
Arthrex Distal Clavicle ORIF with Precontoured Plate and Coracoclavicular Augmentation using a Tightrope Plate Tightrope™ fixation for ankle syndesmosis. This technique is used to stabilize an ankle after injury. It can be used to repair a high ankle sprain, which damages the soft tissue. The syndesmosis plate improves reduction and fixation by. This technique is used to stabilize an ankle after injury. Tightrope™ fixation for ankle syndesmosis. Syndesmosis surgery with tightrope fixation uses a. Tightrope Plate.
From www.arthrex.com
Arthrex AC TightRope® Technique Tightrope Plate [1] tightrope® is a viable alternative to screw fixation for syndesmosis. This technique is used to stabilize an ankle after injury. Tightrope™ fixation for ankle syndesmosis. It can be used to repair a high ankle sprain, which damages the soft tissue. It can be used to repair a high ankle sprain, which. Syndesmosis surgery with tightrope fixation uses a wire,. Tightrope Plate.
From www.arthrex.com
Arthrex Dual Syndesmosis TightRope® Implant System Tightrope Plate [1] tightrope® is a viable alternative to screw fixation for syndesmosis. The syndesmosis tightrope® xp implant system features a unique delivery mechanism that allows surgeons to insert the implant without pulling a. Hole fibular buttress plate with two knotless syndesmosis tightrope implants. The syndesmosis plate improves reduction and fixation by. This technique is used to stabilize an ankle after injury.. Tightrope Plate.
From www.arthrex.com
Arthrex Syndesmosis TightRope® XP Implant System Tightrope Plate It can be used to repair a high ankle sprain, which. It can be used to repair a high ankle sprain, which damages the soft tissue. The syndesmosis plate improves reduction and fixation by. Tightrope™ fixation for ankle syndesmosis. This technique is used to stabilize an ankle after injury. The syndesmosis tightrope® xp implant system features a unique delivery mechanism. Tightrope Plate.
From www.reddit.com
Ankle syndesmosis w/fractured fibula and ripped deltoid. Have tightrope and plate and screws Tightrope Plate Hole fibular buttress plate with two knotless syndesmosis tightrope implants. [1] tightrope® is a viable alternative to screw fixation for syndesmosis. The syndesmosis plate improves reduction and fixation by. Tightrope™ fixation for ankle syndesmosis. Syndesmosis surgery with tightrope fixation uses a wire, which when tensioned and positioned against the tibia and fibula, correctly aligns and stabilizes. It can be used. Tightrope Plate.
From www.researchgate.net
Photo showing the Tightrope button going through the oblongshaped hole... Download Scientific Tightrope Plate This technique is used to stabilize an ankle after injury. It can be used to repair a high ankle sprain, which. Syndesmosis surgery with tightrope fixation uses a wire, which when tensioned and positioned against the tibia and fibula, correctly aligns and stabilizes. Tightrope™ fixation for ankle syndesmosis. This technique is used to stabilize an ankle after injury. The syndesmosis. Tightrope Plate.
From www.arthrex.com
Arthrex Syndesmosis AITFL Repair Using the InternalBrace™ Procedure Tightrope Plate This technique is used to stabilize an ankle after injury. Tightrope™ fixation for ankle syndesmosis. This technique is used to stabilize an ankle after injury. Tightrope™ fixation for ankle syndesmosis. It can be used to repair a high ankle sprain, which damages the soft tissue. The syndesmosis plate improves reduction and fixation by. It can be used to repair a. Tightrope Plate.
From www.opnews.com
Arthrex Product Features Orthopaedic Product News Tightrope Plate Hole fibular buttress plate with two knotless syndesmosis tightrope implants. [1] tightrope® is a viable alternative to screw fixation for syndesmosis. This technique is used to stabilize an ankle after injury. The syndesmosis tightrope® xp implant system features a unique delivery mechanism that allows surgeons to insert the implant without pulling a. It can be used to repair a high. Tightrope Plate.
From www.arthrex.com
Arthrex Distal Clavicle Open Reduction Internal Fixation With a Distal Clavicle Plate and a Tightrope Plate The syndesmosis plate improves reduction and fixation by. [1] tightrope® is a viable alternative to screw fixation for syndesmosis. Tightrope™ fixation for ankle syndesmosis. This technique is used to stabilize an ankle after injury. The syndesmosis tightrope® xp implant system features a unique delivery mechanism that allows surgeons to insert the implant without pulling a. It can be used to. Tightrope Plate.
From www.arthrex.com
Arthrex Mini TightRope® Fixation System Tightrope Plate Tightrope™ fixation for ankle syndesmosis. [1] tightrope® is a viable alternative to screw fixation for syndesmosis. This technique is used to stabilize an ankle after injury. Tightrope™ fixation for ankle syndesmosis. It can be used to repair a high ankle sprain, which damages the soft tissue. Syndesmosis surgery with tightrope fixation uses a wire, which when tensioned and positioned against. Tightrope Plate.
From www.arthrex.com
Arthrex CMC Mini TightRope® Alternate Two Step Passing Technique Tightrope Plate It can be used to repair a high ankle sprain, which. Tightrope™ fixation for ankle syndesmosis. [1] tightrope® is a viable alternative to screw fixation for syndesmosis. Hole fibular buttress plate with two knotless syndesmosis tightrope implants. This technique is used to stabilize an ankle after injury. Tightrope™ fixation for ankle syndesmosis. It can be used to repair a high. Tightrope Plate.