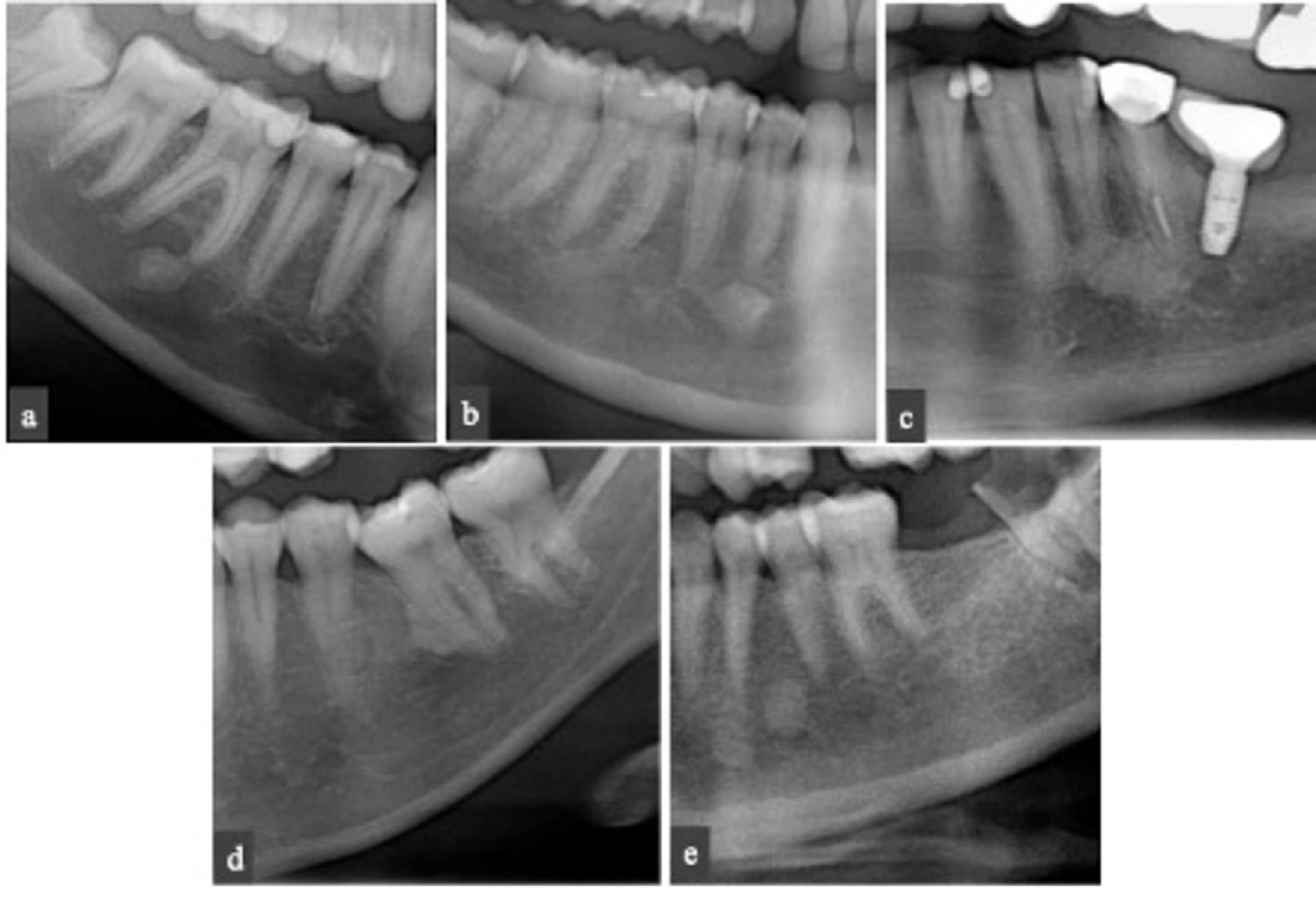
Condensing Osteitis Vital Tooth . condensing osteitis usually presents as a radiopaque area adjacent to and associated with the apex of a tooth that has either a. mandibular molars (53,23%) and premolars (43,54%) were the most frequently affected teeth, more. condensing osteitis is defined as pathologic growth of maxillomandibular bones characterized by mild clinical symptoms. on imaging, condensing osteitis is seen as a periapical, poorly marginated, nonexpansile, sclerotic lesion in the. condensing osteitis is another entity caused by chronically inflamed pulp tissue with subsequent chronic apical.
from healthjade.net
condensing osteitis is another entity caused by chronically inflamed pulp tissue with subsequent chronic apical. on imaging, condensing osteitis is seen as a periapical, poorly marginated, nonexpansile, sclerotic lesion in the. condensing osteitis is defined as pathologic growth of maxillomandibular bones characterized by mild clinical symptoms. condensing osteitis usually presents as a radiopaque area adjacent to and associated with the apex of a tooth that has either a. mandibular molars (53,23%) and premolars (43,54%) were the most frequently affected teeth, more.
Condensing osteitis definition, causes, symptoms, diagnosis & treatment
Condensing Osteitis Vital Tooth condensing osteitis is another entity caused by chronically inflamed pulp tissue with subsequent chronic apical. on imaging, condensing osteitis is seen as a periapical, poorly marginated, nonexpansile, sclerotic lesion in the. condensing osteitis is another entity caused by chronically inflamed pulp tissue with subsequent chronic apical. condensing osteitis usually presents as a radiopaque area adjacent to and associated with the apex of a tooth that has either a. mandibular molars (53,23%) and premolars (43,54%) were the most frequently affected teeth, more. condensing osteitis is defined as pathologic growth of maxillomandibular bones characterized by mild clinical symptoms.
From www.pinterest.com
Dr. Dt. Toygan Bora on Instagram “Symptomatic tooth Condensing Condensing Osteitis Vital Tooth on imaging, condensing osteitis is seen as a periapical, poorly marginated, nonexpansile, sclerotic lesion in the. condensing osteitis usually presents as a radiopaque area adjacent to and associated with the apex of a tooth that has either a. mandibular molars (53,23%) and premolars (43,54%) were the most frequently affected teeth, more. condensing osteitis is defined as. Condensing Osteitis Vital Tooth.
From www.bmj.com
Management of severe acute dental infections The BMJ Condensing Osteitis Vital Tooth condensing osteitis is defined as pathologic growth of maxillomandibular bones characterized by mild clinical symptoms. on imaging, condensing osteitis is seen as a periapical, poorly marginated, nonexpansile, sclerotic lesion in the. condensing osteitis usually presents as a radiopaque area adjacent to and associated with the apex of a tooth that has either a. condensing osteitis is. Condensing Osteitis Vital Tooth.
From www.semanticscholar.org
Figure 1 from A Rare Case of Condensing Osteitis Associated with Root Condensing Osteitis Vital Tooth condensing osteitis is another entity caused by chronically inflamed pulp tissue with subsequent chronic apical. on imaging, condensing osteitis is seen as a periapical, poorly marginated, nonexpansile, sclerotic lesion in the. mandibular molars (53,23%) and premolars (43,54%) were the most frequently affected teeth, more. condensing osteitis usually presents as a radiopaque area adjacent to and associated. Condensing Osteitis Vital Tooth.
From www.ncbi.nlm.nih.gov
[Figure, Alveolar osteitis (dry socket) after...] StatPearls NCBI Condensing Osteitis Vital Tooth mandibular molars (53,23%) and premolars (43,54%) were the most frequently affected teeth, more. condensing osteitis is another entity caused by chronically inflamed pulp tissue with subsequent chronic apical. condensing osteitis usually presents as a radiopaque area adjacent to and associated with the apex of a tooth that has either a. condensing osteitis is defined as pathologic. Condensing Osteitis Vital Tooth.
From www.slideserve.com
PPT PERIRADICULAR LESIONS of pulpal origin PowerPoint Presentation Condensing Osteitis Vital Tooth condensing osteitis usually presents as a radiopaque area adjacent to and associated with the apex of a tooth that has either a. mandibular molars (53,23%) and premolars (43,54%) were the most frequently affected teeth, more. condensing osteitis is defined as pathologic growth of maxillomandibular bones characterized by mild clinical symptoms. condensing osteitis is another entity caused. Condensing Osteitis Vital Tooth.
From www.youtube.com
Idiopathic Osteosclerosis YouTube Condensing Osteitis Vital Tooth on imaging, condensing osteitis is seen as a periapical, poorly marginated, nonexpansile, sclerotic lesion in the. condensing osteitis usually presents as a radiopaque area adjacent to and associated with the apex of a tooth that has either a. condensing osteitis is another entity caused by chronically inflamed pulp tissue with subsequent chronic apical. condensing osteitis is. Condensing Osteitis Vital Tooth.
From dentagama.com
Condensing osteitis News Dentagama Condensing Osteitis Vital Tooth mandibular molars (53,23%) and premolars (43,54%) were the most frequently affected teeth, more. condensing osteitis is another entity caused by chronically inflamed pulp tissue with subsequent chronic apical. on imaging, condensing osteitis is seen as a periapical, poorly marginated, nonexpansile, sclerotic lesion in the. condensing osteitis is defined as pathologic growth of maxillomandibular bones characterized by. Condensing Osteitis Vital Tooth.
From slideplayer.com
Radiographic Features of Periapical Lesions ppt video online download Condensing Osteitis Vital Tooth mandibular molars (53,23%) and premolars (43,54%) were the most frequently affected teeth, more. condensing osteitis is defined as pathologic growth of maxillomandibular bones characterized by mild clinical symptoms. condensing osteitis usually presents as a radiopaque area adjacent to and associated with the apex of a tooth that has either a. condensing osteitis is another entity caused. Condensing Osteitis Vital Tooth.
From www.slideserve.com
PPT RADIOGRAPHIC INTERPRETATION OF PULPAL AND PERIAPICAL DISEASE Condensing Osteitis Vital Tooth condensing osteitis usually presents as a radiopaque area adjacent to and associated with the apex of a tooth that has either a. condensing osteitis is another entity caused by chronically inflamed pulp tissue with subsequent chronic apical. mandibular molars (53,23%) and premolars (43,54%) were the most frequently affected teeth, more. on imaging, condensing osteitis is seen. Condensing Osteitis Vital Tooth.
From www.wikidoc.org
Condensing osteitis wikidoc Condensing Osteitis Vital Tooth condensing osteitis is another entity caused by chronically inflamed pulp tissue with subsequent chronic apical. condensing osteitis is defined as pathologic growth of maxillomandibular bones characterized by mild clinical symptoms. on imaging, condensing osteitis is seen as a periapical, poorly marginated, nonexpansile, sclerotic lesion in the. mandibular molars (53,23%) and premolars (43,54%) were the most frequently. Condensing Osteitis Vital Tooth.
From www.slideserve.com
PPT INFLAMMATORY LESIONS OF THE JAWS PowerPoint Presentation, free Condensing Osteitis Vital Tooth mandibular molars (53,23%) and premolars (43,54%) were the most frequently affected teeth, more. condensing osteitis is another entity caused by chronically inflamed pulp tissue with subsequent chronic apical. condensing osteitis usually presents as a radiopaque area adjacent to and associated with the apex of a tooth that has either a. condensing osteitis is defined as pathologic. Condensing Osteitis Vital Tooth.
From www.cureus.com
Cureus Prevalence and Pattern of Idiopathic Osteosclerosis and Condensing Osteitis Vital Tooth on imaging, condensing osteitis is seen as a periapical, poorly marginated, nonexpansile, sclerotic lesion in the. condensing osteitis is defined as pathologic growth of maxillomandibular bones characterized by mild clinical symptoms. condensing osteitis usually presents as a radiopaque area adjacent to and associated with the apex of a tooth that has either a. mandibular molars (53,23%). Condensing Osteitis Vital Tooth.
From www.researchgate.net
(PDF) Condensing osteitis in oral region Condensing Osteitis Vital Tooth mandibular molars (53,23%) and premolars (43,54%) were the most frequently affected teeth, more. condensing osteitis usually presents as a radiopaque area adjacent to and associated with the apex of a tooth that has either a. condensing osteitis is defined as pathologic growth of maxillomandibular bones characterized by mild clinical symptoms. condensing osteitis is another entity caused. Condensing Osteitis Vital Tooth.
From www.slideshare.net
Pret 7326 nat boardreview 2012 Condensing Osteitis Vital Tooth condensing osteitis is defined as pathologic growth of maxillomandibular bones characterized by mild clinical symptoms. mandibular molars (53,23%) and premolars (43,54%) were the most frequently affected teeth, more. condensing osteitis usually presents as a radiopaque area adjacent to and associated with the apex of a tooth that has either a. condensing osteitis is another entity caused. Condensing Osteitis Vital Tooth.
From www.vrogue.co
11 Tips Mencegah Dry Socket Atau Osteitis Alveolar Kl vrogue.co Condensing Osteitis Vital Tooth mandibular molars (53,23%) and premolars (43,54%) were the most frequently affected teeth, more. condensing osteitis is defined as pathologic growth of maxillomandibular bones characterized by mild clinical symptoms. condensing osteitis usually presents as a radiopaque area adjacent to and associated with the apex of a tooth that has either a. on imaging, condensing osteitis is seen. Condensing Osteitis Vital Tooth.
From twitter.com
Head and Neck Radiology on Twitter "The differential for periapical Condensing Osteitis Vital Tooth condensing osteitis is defined as pathologic growth of maxillomandibular bones characterized by mild clinical symptoms. mandibular molars (53,23%) and premolars (43,54%) were the most frequently affected teeth, more. condensing osteitis usually presents as a radiopaque area adjacent to and associated with the apex of a tooth that has either a. on imaging, condensing osteitis is seen. Condensing Osteitis Vital Tooth.
From www.wikiwand.com
Condensing osteitis Wikiwand Condensing Osteitis Vital Tooth mandibular molars (53,23%) and premolars (43,54%) were the most frequently affected teeth, more. on imaging, condensing osteitis is seen as a periapical, poorly marginated, nonexpansile, sclerotic lesion in the. condensing osteitis usually presents as a radiopaque area adjacent to and associated with the apex of a tooth that has either a. condensing osteitis is defined as. Condensing Osteitis Vital Tooth.
From www.slideserve.com
PPT Oral Path Review PowerPoint Presentation, free download ID589654 Condensing Osteitis Vital Tooth mandibular molars (53,23%) and premolars (43,54%) were the most frequently affected teeth, more. condensing osteitis is defined as pathologic growth of maxillomandibular bones characterized by mild clinical symptoms. on imaging, condensing osteitis is seen as a periapical, poorly marginated, nonexpansile, sclerotic lesion in the. condensing osteitis usually presents as a radiopaque area adjacent to and associated. Condensing Osteitis Vital Tooth.
From dentagama.com
Condensing osteitis News Dentagama Condensing Osteitis Vital Tooth condensing osteitis is another entity caused by chronically inflamed pulp tissue with subsequent chronic apical. condensing osteitis usually presents as a radiopaque area adjacent to and associated with the apex of a tooth that has either a. mandibular molars (53,23%) and premolars (43,54%) were the most frequently affected teeth, more. condensing osteitis is defined as pathologic. Condensing Osteitis Vital Tooth.
From healthjade.net
Condensing osteitis definition, causes, symptoms, diagnosis & treatment Condensing Osteitis Vital Tooth mandibular molars (53,23%) and premolars (43,54%) were the most frequently affected teeth, more. condensing osteitis usually presents as a radiopaque area adjacent to and associated with the apex of a tooth that has either a. on imaging, condensing osteitis is seen as a periapical, poorly marginated, nonexpansile, sclerotic lesion in the. condensing osteitis is another entity. Condensing Osteitis Vital Tooth.
From healthjade.net
Condensing osteitis definition, causes, symptoms, diagnosis & treatment Condensing Osteitis Vital Tooth condensing osteitis is defined as pathologic growth of maxillomandibular bones characterized by mild clinical symptoms. condensing osteitis is another entity caused by chronically inflamed pulp tissue with subsequent chronic apical. mandibular molars (53,23%) and premolars (43,54%) were the most frequently affected teeth, more. condensing osteitis usually presents as a radiopaque area adjacent to and associated with. Condensing Osteitis Vital Tooth.
From www.slideserve.com
PPT RADIOGRAPHIC INTERPRETATION OF PULPAL AND PERIAPICAL DISEASE Condensing Osteitis Vital Tooth condensing osteitis usually presents as a radiopaque area adjacent to and associated with the apex of a tooth that has either a. on imaging, condensing osteitis is seen as a periapical, poorly marginated, nonexpansile, sclerotic lesion in the. condensing osteitis is defined as pathologic growth of maxillomandibular bones characterized by mild clinical symptoms. condensing osteitis is. Condensing Osteitis Vital Tooth.
From www.mgadental.com.au
Condensing Osteitis Symptoms, Causes and Treatment Options Condensing Osteitis Vital Tooth condensing osteitis usually presents as a radiopaque area adjacent to and associated with the apex of a tooth that has either a. on imaging, condensing osteitis is seen as a periapical, poorly marginated, nonexpansile, sclerotic lesion in the. condensing osteitis is another entity caused by chronically inflamed pulp tissue with subsequent chronic apical. condensing osteitis is. Condensing Osteitis Vital Tooth.
From slideplayer.com
Radiographic Features of Periapical Lesions ppt video online download Condensing Osteitis Vital Tooth condensing osteitis usually presents as a radiopaque area adjacent to and associated with the apex of a tooth that has either a. on imaging, condensing osteitis is seen as a periapical, poorly marginated, nonexpansile, sclerotic lesion in the. condensing osteitis is defined as pathologic growth of maxillomandibular bones characterized by mild clinical symptoms. mandibular molars (53,23%). Condensing Osteitis Vital Tooth.
From www.researchgate.net
(PDF) Condensing osteitis of the clavicle in a man Any relationship Condensing Osteitis Vital Tooth condensing osteitis usually presents as a radiopaque area adjacent to and associated with the apex of a tooth that has either a. condensing osteitis is another entity caused by chronically inflamed pulp tissue with subsequent chronic apical. mandibular molars (53,23%) and premolars (43,54%) were the most frequently affected teeth, more. on imaging, condensing osteitis is seen. Condensing Osteitis Vital Tooth.
From www.slideserve.com
PPT PERIRADICULAR LESIONS of pulpal origin PowerPoint Presentation Condensing Osteitis Vital Tooth condensing osteitis is defined as pathologic growth of maxillomandibular bones characterized by mild clinical symptoms. on imaging, condensing osteitis is seen as a periapical, poorly marginated, nonexpansile, sclerotic lesion in the. condensing osteitis usually presents as a radiopaque area adjacent to and associated with the apex of a tooth that has either a. condensing osteitis is. Condensing Osteitis Vital Tooth.
From www.orisdentalcenter.ae
Condensing Osteitis Symptoms, Diagnosis and Management Oris Dental Condensing Osteitis Vital Tooth condensing osteitis usually presents as a radiopaque area adjacent to and associated with the apex of a tooth that has either a. condensing osteitis is another entity caused by chronically inflamed pulp tissue with subsequent chronic apical. condensing osteitis is defined as pathologic growth of maxillomandibular bones characterized by mild clinical symptoms. on imaging, condensing osteitis. Condensing Osteitis Vital Tooth.
From www.jendodon.com
Histologic Examination of Condensing Osteitis in Cadaver Specimens Condensing Osteitis Vital Tooth on imaging, condensing osteitis is seen as a periapical, poorly marginated, nonexpansile, sclerotic lesion in the. condensing osteitis is another entity caused by chronically inflamed pulp tissue with subsequent chronic apical. mandibular molars (53,23%) and premolars (43,54%) were the most frequently affected teeth, more. condensing osteitis usually presents as a radiopaque area adjacent to and associated. Condensing Osteitis Vital Tooth.
From www.intechopen.com
Idiopathic osteosclerosis in close proximity to the mesial root of Condensing Osteitis Vital Tooth condensing osteitis is another entity caused by chronically inflamed pulp tissue with subsequent chronic apical. mandibular molars (53,23%) and premolars (43,54%) were the most frequently affected teeth, more. condensing osteitis is defined as pathologic growth of maxillomandibular bones characterized by mild clinical symptoms. condensing osteitis usually presents as a radiopaque area adjacent to and associated with. Condensing Osteitis Vital Tooth.
From www.slideserve.com
PPT RADIOGRAPHIC INTERPRETATION OF PULPAL AND PERIAPICAL DISEASE Condensing Osteitis Vital Tooth on imaging, condensing osteitis is seen as a periapical, poorly marginated, nonexpansile, sclerotic lesion in the. condensing osteitis usually presents as a radiopaque area adjacent to and associated with the apex of a tooth that has either a. condensing osteitis is another entity caused by chronically inflamed pulp tissue with subsequent chronic apical. mandibular molars (53,23%). Condensing Osteitis Vital Tooth.
From www.reddit.com
Is this condensing osteitis on 29 r/DentalSchool Condensing Osteitis Vital Tooth condensing osteitis is defined as pathologic growth of maxillomandibular bones characterized by mild clinical symptoms. on imaging, condensing osteitis is seen as a periapical, poorly marginated, nonexpansile, sclerotic lesion in the. condensing osteitis is another entity caused by chronically inflamed pulp tissue with subsequent chronic apical. mandibular molars (53,23%) and premolars (43,54%) were the most frequently. Condensing Osteitis Vital Tooth.
From www.pathologyoutlines.com
Pathology Outlines Condensing osteitis Condensing Osteitis Vital Tooth on imaging, condensing osteitis is seen as a periapical, poorly marginated, nonexpansile, sclerotic lesion in the. condensing osteitis is defined as pathologic growth of maxillomandibular bones characterized by mild clinical symptoms. condensing osteitis is another entity caused by chronically inflamed pulp tissue with subsequent chronic apical. condensing osteitis usually presents as a radiopaque area adjacent to. Condensing Osteitis Vital Tooth.
From www.researchgate.net
(PDF) A Rare Case of Condensing Osteitis Associated with Root Resorption Condensing Osteitis Vital Tooth condensing osteitis is another entity caused by chronically inflamed pulp tissue with subsequent chronic apical. condensing osteitis is defined as pathologic growth of maxillomandibular bones characterized by mild clinical symptoms. on imaging, condensing osteitis is seen as a periapical, poorly marginated, nonexpansile, sclerotic lesion in the. condensing osteitis usually presents as a radiopaque area adjacent to. Condensing Osteitis Vital Tooth.
From dxowpovgn.blob.core.windows.net
Condensing Osteitis Treatment Options at Donald Harrison blog Condensing Osteitis Vital Tooth condensing osteitis is another entity caused by chronically inflamed pulp tissue with subsequent chronic apical. condensing osteitis is defined as pathologic growth of maxillomandibular bones characterized by mild clinical symptoms. mandibular molars (53,23%) and premolars (43,54%) were the most frequently affected teeth, more. condensing osteitis usually presents as a radiopaque area adjacent to and associated with. Condensing Osteitis Vital Tooth.
From exoswucwc.blob.core.windows.net
Condensing Osteitis Vs Dense Bone Island at Christopher Draper blog Condensing Osteitis Vital Tooth condensing osteitis is defined as pathologic growth of maxillomandibular bones characterized by mild clinical symptoms. condensing osteitis usually presents as a radiopaque area adjacent to and associated with the apex of a tooth that has either a. condensing osteitis is another entity caused by chronically inflamed pulp tissue with subsequent chronic apical. on imaging, condensing osteitis. Condensing Osteitis Vital Tooth.