Retained Products Of Conception On Ct . They represent one of the. retained products of conception (rpoc) generally result after first half of pregnancy termination and also. retained products of conception (rpoc) are a common and treatable complication after delivery or. retained products of conception (pocs) can occur after spontaneous or induced abortion and after delivery. retained products of conception after induced abortion or early pregnancy loss are detected most often. retained products of conception (rpoc) are a common and treatable complication. the term retained products of conception (rpoc) refers to placental and/or fetal tissue that remains in the uterus.
from pubs.rsna.org
retained products of conception (rpoc) are a common and treatable complication after delivery or. They represent one of the. retained products of conception (pocs) can occur after spontaneous or induced abortion and after delivery. retained products of conception after induced abortion or early pregnancy loss are detected most often. retained products of conception (rpoc) generally result after first half of pregnancy termination and also. retained products of conception (rpoc) are a common and treatable complication. the term retained products of conception (rpoc) refers to placental and/or fetal tissue that remains in the uterus.
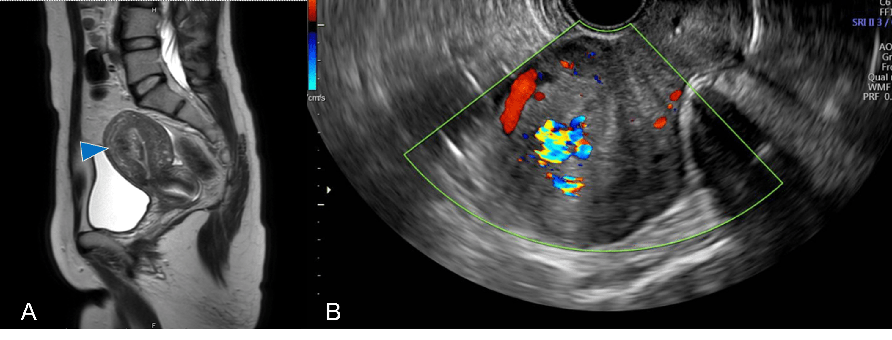
Physiologic, Histologic, and Imaging Features of Retained Products of
Retained Products Of Conception On Ct retained products of conception (rpoc) are a common and treatable complication. retained products of conception (rpoc) are a common and treatable complication after delivery or. retained products of conception after induced abortion or early pregnancy loss are detected most often. retained products of conception (pocs) can occur after spontaneous or induced abortion and after delivery. retained products of conception (rpoc) are a common and treatable complication. retained products of conception (rpoc) generally result after first half of pregnancy termination and also. the term retained products of conception (rpoc) refers to placental and/or fetal tissue that remains in the uterus. They represent one of the.
From roentgenrayreader.blogspot.com
Roentgen Ray Reader Retained Products of Conception Retained Products Of Conception On Ct retained products of conception (rpoc) are a common and treatable complication. retained products of conception (rpoc) are a common and treatable complication after delivery or. They represent one of the. the term retained products of conception (rpoc) refers to placental and/or fetal tissue that remains in the uterus. retained products of conception (pocs) can occur after. Retained Products Of Conception On Ct.
From www.researchgate.net
Ultrasound showing evidence of retained products of conception Retained Products Of Conception On Ct the term retained products of conception (rpoc) refers to placental and/or fetal tissue that remains in the uterus. retained products of conception (pocs) can occur after spontaneous or induced abortion and after delivery. They represent one of the. retained products of conception (rpoc) are a common and treatable complication after delivery or. retained products of conception. Retained Products Of Conception On Ct.
From www.researchgate.net
(PDF) Subinvolution of the placental site associated with focal Retained Products Of Conception On Ct the term retained products of conception (rpoc) refers to placental and/or fetal tissue that remains in the uterus. retained products of conception (rpoc) are a common and treatable complication. retained products of conception (rpoc) generally result after first half of pregnancy termination and also. retained products of conception (pocs) can occur after spontaneous or induced abortion. Retained Products Of Conception On Ct.
From pubs.rsna.org
Physiologic, Histologic, and Imaging Features of Retained Products of Retained Products Of Conception On Ct retained products of conception (pocs) can occur after spontaneous or induced abortion and after delivery. They represent one of the. retained products of conception after induced abortion or early pregnancy loss are detected most often. retained products of conception (rpoc) generally result after first half of pregnancy termination and also. the term retained products of conception. Retained Products Of Conception On Ct.
From pubs.rsna.org
Physiologic, Histologic, and Imaging Features of Retained Products of Retained Products Of Conception On Ct retained products of conception (pocs) can occur after spontaneous or induced abortion and after delivery. retained products of conception (rpoc) are a common and treatable complication. the term retained products of conception (rpoc) refers to placental and/or fetal tissue that remains in the uterus. retained products of conception (rpoc) generally result after first half of pregnancy. Retained Products Of Conception On Ct.
From www.researchgate.net
Retained products of conception. Contrastenhanced CT image shows Retained Products Of Conception On Ct retained products of conception after induced abortion or early pregnancy loss are detected most often. the term retained products of conception (rpoc) refers to placental and/or fetal tissue that remains in the uterus. retained products of conception (pocs) can occur after spontaneous or induced abortion and after delivery. retained products of conception (rpoc) are a common. Retained Products Of Conception On Ct.
From www.wikidoc.org
Retained products of conception wikidoc Retained Products Of Conception On Ct retained products of conception after induced abortion or early pregnancy loss are detected most often. retained products of conception (pocs) can occur after spontaneous or induced abortion and after delivery. retained products of conception (rpoc) generally result after first half of pregnancy termination and also. retained products of conception (rpoc) are a common and treatable complication. Retained Products Of Conception On Ct.
From exowmcxbh.blob.core.windows.net
Retained Products Of Conception Ct Radiology at Maria Dagostino blog Retained Products Of Conception On Ct retained products of conception (rpoc) are a common and treatable complication. retained products of conception after induced abortion or early pregnancy loss are detected most often. retained products of conception (rpoc) are a common and treatable complication after delivery or. retained products of conception (rpoc) generally result after first half of pregnancy termination and also. . Retained Products Of Conception On Ct.
From pubs.rsna.org
Physiologic, Histologic, and Imaging Features of Retained Products of Retained Products Of Conception On Ct They represent one of the. the term retained products of conception (rpoc) refers to placental and/or fetal tissue that remains in the uterus. retained products of conception after induced abortion or early pregnancy loss are detected most often. retained products of conception (rpoc) are a common and treatable complication. retained products of conception (rpoc) are a. Retained Products Of Conception On Ct.
From www.cureus.com
Cureus A Case of Placenta Accreta Infection Managed by Hysterectomy Retained Products Of Conception On Ct retained products of conception (rpoc) are a common and treatable complication. retained products of conception (rpoc) are a common and treatable complication after delivery or. retained products of conception (pocs) can occur after spontaneous or induced abortion and after delivery. retained products of conception (rpoc) generally result after first half of pregnancy termination and also. . Retained Products Of Conception On Ct.
From radiopaedia.org
Retained products of conception Image Retained Products Of Conception On Ct retained products of conception (pocs) can occur after spontaneous or induced abortion and after delivery. retained products of conception (rpoc) are a common and treatable complication. They represent one of the. retained products of conception after induced abortion or early pregnancy loss are detected most often. retained products of conception (rpoc) are a common and treatable. Retained Products Of Conception On Ct.
From www.mdpi.com
Healthcare Free FullText Conservative Management for Retained Retained Products Of Conception On Ct retained products of conception (rpoc) generally result after first half of pregnancy termination and also. retained products of conception (rpoc) are a common and treatable complication after delivery or. They represent one of the. the term retained products of conception (rpoc) refers to placental and/or fetal tissue that remains in the uterus. retained products of conception. Retained Products Of Conception On Ct.
From www.wikidoc.org
Retained products of conception wikidoc Retained Products Of Conception On Ct retained products of conception (pocs) can occur after spontaneous or induced abortion and after delivery. retained products of conception after induced abortion or early pregnancy loss are detected most often. They represent one of the. the term retained products of conception (rpoc) refers to placental and/or fetal tissue that remains in the uterus. retained products of. Retained Products Of Conception On Ct.
From www.imrpress.com
Management of women presenting with vaginal bleeding with enhanced Retained Products Of Conception On Ct retained products of conception (pocs) can occur after spontaneous or induced abortion and after delivery. retained products of conception (rpoc) generally result after first half of pregnancy termination and also. retained products of conception after induced abortion or early pregnancy loss are detected most often. the term retained products of conception (rpoc) refers to placental and/or. Retained Products Of Conception On Ct.
From exowmcxbh.blob.core.windows.net
Retained Products Of Conception Ct Radiology at Maria Dagostino blog Retained Products Of Conception On Ct retained products of conception after induced abortion or early pregnancy loss are detected most often. retained products of conception (rpoc) generally result after first half of pregnancy termination and also. retained products of conception (rpoc) are a common and treatable complication after delivery or. They represent one of the. retained products of conception (pocs) can occur. Retained Products Of Conception On Ct.
From pubs.rsna.org
Physiologic, Histologic, and Imaging Features of Retained Products of Retained Products Of Conception On Ct retained products of conception (rpoc) are a common and treatable complication after delivery or. retained products of conception (rpoc) are a common and treatable complication. retained products of conception after induced abortion or early pregnancy loss are detected most often. They represent one of the. retained products of conception (rpoc) generally result after first half of. Retained Products Of Conception On Ct.
From exowmcxbh.blob.core.windows.net
Retained Products Of Conception Ct Radiology at Maria Dagostino blog Retained Products Of Conception On Ct retained products of conception (rpoc) are a common and treatable complication after delivery or. retained products of conception (pocs) can occur after spontaneous or induced abortion and after delivery. the term retained products of conception (rpoc) refers to placental and/or fetal tissue that remains in the uterus. retained products of conception after induced abortion or early. Retained Products Of Conception On Ct.
From www.wikidoc.org
Retained products of conception wikidoc Retained Products Of Conception On Ct They represent one of the. retained products of conception (rpoc) are a common and treatable complication. retained products of conception (pocs) can occur after spontaneous or induced abortion and after delivery. retained products of conception (rpoc) are a common and treatable complication after delivery or. the term retained products of conception (rpoc) refers to placental and/or. Retained Products Of Conception On Ct.
From epos.myesr.org
EPOS™ C0467 Retained Products Of Conception On Ct retained products of conception (pocs) can occur after spontaneous or induced abortion and after delivery. retained products of conception (rpoc) generally result after first half of pregnancy termination and also. retained products of conception (rpoc) are a common and treatable complication. They represent one of the. the term retained products of conception (rpoc) refers to placental. Retained Products Of Conception On Ct.
From www.indianradiology.com
Retained Products of Conception Versus DifferentialsMRI Sumer's Retained Products Of Conception On Ct retained products of conception (pocs) can occur after spontaneous or induced abortion and after delivery. retained products of conception (rpoc) are a common and treatable complication after delivery or. the term retained products of conception (rpoc) refers to placental and/or fetal tissue that remains in the uterus. retained products of conception (rpoc) are a common and. Retained Products Of Conception On Ct.
From pubs.rsna.org
Physiologic, Histologic, and Imaging Features of Retained Products of Retained Products Of Conception On Ct They represent one of the. retained products of conception (rpoc) are a common and treatable complication after delivery or. retained products of conception (rpoc) generally result after first half of pregnancy termination and also. the term retained products of conception (rpoc) refers to placental and/or fetal tissue that remains in the uterus. retained products of conception. Retained Products Of Conception On Ct.
From radiopaedia.org
Retained products of conception Image Retained Products Of Conception On Ct retained products of conception (pocs) can occur after spontaneous or induced abortion and after delivery. retained products of conception (rpoc) generally result after first half of pregnancy termination and also. retained products of conception after induced abortion or early pregnancy loss are detected most often. the term retained products of conception (rpoc) refers to placental and/or. Retained Products Of Conception On Ct.
From radiologykey.com
Retained Products of Conception Radiology Key Retained Products Of Conception On Ct retained products of conception (pocs) can occur after spontaneous or induced abortion and after delivery. the term retained products of conception (rpoc) refers to placental and/or fetal tissue that remains in the uterus. retained products of conception (rpoc) are a common and treatable complication. They represent one of the. retained products of conception (rpoc) are a. Retained Products Of Conception On Ct.
From www.wikidoc.org
Retained products of conception wikidoc Retained Products Of Conception On Ct retained products of conception (rpoc) are a common and treatable complication after delivery or. retained products of conception (pocs) can occur after spontaneous or induced abortion and after delivery. the term retained products of conception (rpoc) refers to placental and/or fetal tissue that remains in the uterus. They represent one of the. retained products of conception. Retained Products Of Conception On Ct.
From pubs.rsna.org
Physiologic, Histologic, and Imaging Features of Retained Products of Retained Products Of Conception On Ct the term retained products of conception (rpoc) refers to placental and/or fetal tissue that remains in the uterus. retained products of conception after induced abortion or early pregnancy loss are detected most often. retained products of conception (pocs) can occur after spontaneous or induced abortion and after delivery. retained products of conception (rpoc) generally result after. Retained Products Of Conception On Ct.
From www.youtube.com
Retained Products of Conception RPOCs on Ultrasound YouTube Retained Products Of Conception On Ct retained products of conception after induced abortion or early pregnancy loss are detected most often. retained products of conception (rpoc) are a common and treatable complication after delivery or. They represent one of the. retained products of conception (pocs) can occur after spontaneous or induced abortion and after delivery. retained products of conception (rpoc) are a. Retained Products Of Conception On Ct.
From drkalirajanscans.com
Retained Products of Conception drkalirajanscans Retained Products Of Conception On Ct retained products of conception after induced abortion or early pregnancy loss are detected most often. retained products of conception (rpoc) generally result after first half of pregnancy termination and also. retained products of conception (rpoc) are a common and treatable complication after delivery or. They represent one of the. retained products of conception (pocs) can occur. Retained Products Of Conception On Ct.
From radiologypics.com
Retained Products of Conception Retained Products Of Conception On Ct They represent one of the. retained products of conception (rpoc) are a common and treatable complication. the term retained products of conception (rpoc) refers to placental and/or fetal tissue that remains in the uterus. retained products of conception after induced abortion or early pregnancy loss are detected most often. retained products of conception (rpoc) are a. Retained Products Of Conception On Ct.
From www.volusonclub.net
How Retained Products of Conception Can Impact Fertility Empowered Retained Products Of Conception On Ct retained products of conception (rpoc) are a common and treatable complication after delivery or. retained products of conception (rpoc) are a common and treatable complication. They represent one of the. retained products of conception (pocs) can occur after spontaneous or induced abortion and after delivery. the term retained products of conception (rpoc) refers to placental and/or. Retained Products Of Conception On Ct.
From www.youtube.com
Ultrasound Pregnancy retained product of conception. Vaginal bleeding Retained Products Of Conception On Ct retained products of conception after induced abortion or early pregnancy loss are detected most often. They represent one of the. retained products of conception (rpoc) are a common and treatable complication after delivery or. retained products of conception (rpoc) are a common and treatable complication. the term retained products of conception (rpoc) refers to placental and/or. Retained Products Of Conception On Ct.
From radiogyan.com
Retained Products Of Conception Radiology Case RadioGyan Retained Products Of Conception On Ct retained products of conception (rpoc) are a common and treatable complication after delivery or. retained products of conception (pocs) can occur after spontaneous or induced abortion and after delivery. retained products of conception (rpoc) generally result after first half of pregnancy termination and also. the term retained products of conception (rpoc) refers to placental and/or fetal. Retained Products Of Conception On Ct.
From www.volusonclub.net
How Retained Products of Conception Can Impact Fertility Empowered Retained Products Of Conception On Ct retained products of conception (rpoc) are a common and treatable complication. retained products of conception after induced abortion or early pregnancy loss are detected most often. retained products of conception (rpoc) generally result after first half of pregnancy termination and also. the term retained products of conception (rpoc) refers to placental and/or fetal tissue that remains. Retained Products Of Conception On Ct.
From www.wikidoc.org
Retained products of conception wikidoc Retained Products Of Conception On Ct retained products of conception (rpoc) are a common and treatable complication. retained products of conception (rpoc) generally result after first half of pregnancy termination and also. They represent one of the. retained products of conception after induced abortion or early pregnancy loss are detected most often. retained products of conception (pocs) can occur after spontaneous or. Retained Products Of Conception On Ct.
From www.semanticscholar.org
Figure 1 from Subinvolution of the placental site associated with focal Retained Products Of Conception On Ct the term retained products of conception (rpoc) refers to placental and/or fetal tissue that remains in the uterus. retained products of conception (rpoc) are a common and treatable complication. retained products of conception (rpoc) generally result after first half of pregnancy termination and also. They represent one of the. retained products of conception (rpoc) are a. Retained Products Of Conception On Ct.
From www.wikidoc.org
Retained products of conception wikidoc Retained Products Of Conception On Ct retained products of conception (pocs) can occur after spontaneous or induced abortion and after delivery. retained products of conception (rpoc) are a common and treatable complication after delivery or. retained products of conception (rpoc) are a common and treatable complication. They represent one of the. retained products of conception after induced abortion or early pregnancy loss. Retained Products Of Conception On Ct.