Medicine For Brain Malaria . Ensure prompt diagnosis followed by immediate treatment. Cerebral malaria is a medical emergency. Researchers at the national institutes of health found evidence that specific immune cells may play a key role in the devastating effects of cerebral malaria, a severe form of malaria that mainly affects young. Malaria can be a severe, potentially fatal disease, especially when caused by plasmodium falciparum. It’s essential to seek treatment right away if you think you have malaria or have visited an area where it is common. Cerebral malaria may cause seizures and coma. Treatment of severe and cerebral malaria. All patients with plasmodium falciparum malaria with neurologic. Treatment is with parenteral artemisinin derivatives and electrolyte correction, usually in the setting of an intensive care unit, as well as symptomatic treatment (e.g. The right medication and correct dose can treat malaria. Treatment is much more effective when it’s started early.
from www.frontiersin.org
Treatment is much more effective when it’s started early. Malaria can be a severe, potentially fatal disease, especially when caused by plasmodium falciparum. Treatment is with parenteral artemisinin derivatives and electrolyte correction, usually in the setting of an intensive care unit, as well as symptomatic treatment (e.g. Cerebral malaria is a medical emergency. Researchers at the national institutes of health found evidence that specific immune cells may play a key role in the devastating effects of cerebral malaria, a severe form of malaria that mainly affects young. All patients with plasmodium falciparum malaria with neurologic. Treatment of severe and cerebral malaria. Cerebral malaria may cause seizures and coma. It’s essential to seek treatment right away if you think you have malaria or have visited an area where it is common. The right medication and correct dose can treat malaria.
Frontiers Malaria Related Neurocognitive Deficits and Behavioral Alterations
Medicine For Brain Malaria Cerebral malaria is a medical emergency. Treatment is much more effective when it’s started early. Cerebral malaria is a medical emergency. Cerebral malaria may cause seizures and coma. The right medication and correct dose can treat malaria. Researchers at the national institutes of health found evidence that specific immune cells may play a key role in the devastating effects of cerebral malaria, a severe form of malaria that mainly affects young. Treatment of severe and cerebral malaria. Ensure prompt diagnosis followed by immediate treatment. It’s essential to seek treatment right away if you think you have malaria or have visited an area where it is common. All patients with plasmodium falciparum malaria with neurologic. Treatment is with parenteral artemisinin derivatives and electrolyte correction, usually in the setting of an intensive care unit, as well as symptomatic treatment (e.g. Malaria can be a severe, potentially fatal disease, especially when caused by plasmodium falciparum.
From www.bmj.com
Rectal artemether versus intravenous quinine for the treatment of cerebral malaria in children Medicine For Brain Malaria Cerebral malaria is a medical emergency. Malaria can be a severe, potentially fatal disease, especially when caused by plasmodium falciparum. Ensure prompt diagnosis followed by immediate treatment. Treatment of severe and cerebral malaria. It’s essential to seek treatment right away if you think you have malaria or have visited an area where it is common. Researchers at the national institutes. Medicine For Brain Malaria.
From www.publichealth.com.ng
WHO Definition of Cerebral Malaria Public Health Medicine For Brain Malaria Ensure prompt diagnosis followed by immediate treatment. Malaria can be a severe, potentially fatal disease, especially when caused by plasmodium falciparum. Treatment is with parenteral artemisinin derivatives and electrolyte correction, usually in the setting of an intensive care unit, as well as symptomatic treatment (e.g. Cerebral malaria is a medical emergency. It’s essential to seek treatment right away if you. Medicine For Brain Malaria.
From www.nature.com
Cerebral malaria—using the retina to study the brain Eye Medicine For Brain Malaria Malaria can be a severe, potentially fatal disease, especially when caused by plasmodium falciparum. Treatment is with parenteral artemisinin derivatives and electrolyte correction, usually in the setting of an intensive care unit, as well as symptomatic treatment (e.g. Ensure prompt diagnosis followed by immediate treatment. Treatment is much more effective when it’s started early. The right medication and correct dose. Medicine For Brain Malaria.
From www.canada.ca
Chapter 7 Treatment of malaria Canadian for the prevention and treatment of Medicine For Brain Malaria All patients with plasmodium falciparum malaria with neurologic. Researchers at the national institutes of health found evidence that specific immune cells may play a key role in the devastating effects of cerebral malaria, a severe form of malaria that mainly affects young. It’s essential to seek treatment right away if you think you have malaria or have visited an area. Medicine For Brain Malaria.
From unair.ac.id
Infografik Malaria Cerebral Universitas Airlangga Official site Medicine For Brain Malaria Treatment of severe and cerebral malaria. The right medication and correct dose can treat malaria. Researchers at the national institutes of health found evidence that specific immune cells may play a key role in the devastating effects of cerebral malaria, a severe form of malaria that mainly affects young. All patients with plasmodium falciparum malaria with neurologic. Ensure prompt diagnosis. Medicine For Brain Malaria.
From www.nejm.org
Brain Swelling and Death in Children with Cerebral Malaria NEJM Medicine For Brain Malaria Treatment is with parenteral artemisinin derivatives and electrolyte correction, usually in the setting of an intensive care unit, as well as symptomatic treatment (e.g. Cerebral malaria may cause seizures and coma. Treatment is much more effective when it’s started early. Researchers at the national institutes of health found evidence that specific immune cells may play a key role in the. Medicine For Brain Malaria.
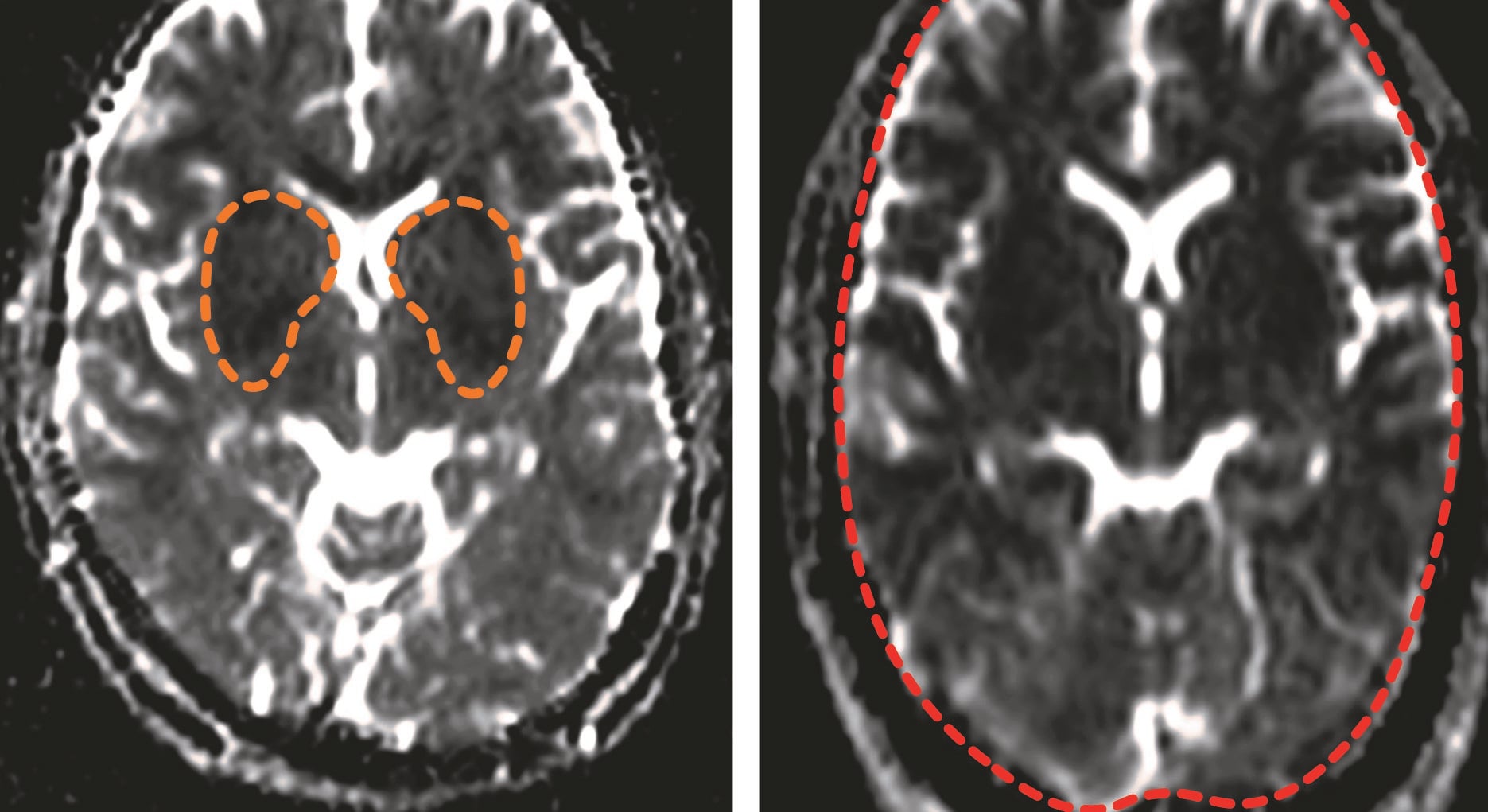
From www.ajnr.org
DiffusionWeighted MR Imaging in a Prospective Cohort of Children with Cerebral Malaria Offers Medicine For Brain Malaria It’s essential to seek treatment right away if you think you have malaria or have visited an area where it is common. Treatment of severe and cerebral malaria. All patients with plasmodium falciparum malaria with neurologic. Treatment is with parenteral artemisinin derivatives and electrolyte correction, usually in the setting of an intensive care unit, as well as symptomatic treatment (e.g.. Medicine For Brain Malaria.
From www.ajnr.org
Imaging Cerebral Malaria with a SusceptibilityWeighted MR Sequence American Journal of Medicine For Brain Malaria All patients with plasmodium falciparum malaria with neurologic. The right medication and correct dose can treat malaria. It’s essential to seek treatment right away if you think you have malaria or have visited an area where it is common. Ensure prompt diagnosis followed by immediate treatment. Treatment of severe and cerebral malaria. Treatment is much more effective when it’s started. Medicine For Brain Malaria.
From www.lshtm.ac.uk
Malaria and the brain what longterm impact does malaria have on brain function? LSHTM Medicine For Brain Malaria Cerebral malaria is a medical emergency. All patients with plasmodium falciparum malaria with neurologic. Researchers at the national institutes of health found evidence that specific immune cells may play a key role in the devastating effects of cerebral malaria, a severe form of malaria that mainly affects young. Ensure prompt diagnosis followed by immediate treatment. Treatment is with parenteral artemisinin. Medicine For Brain Malaria.
From www.who.int
Treating malaria Medicine For Brain Malaria Researchers at the national institutes of health found evidence that specific immune cells may play a key role in the devastating effects of cerebral malaria, a severe form of malaria that mainly affects young. It’s essential to seek treatment right away if you think you have malaria or have visited an area where it is common. Ensure prompt diagnosis followed. Medicine For Brain Malaria.
From www.mdpi.com
IJMS Free FullText The IL33/ST2 Pathway in Cerebral Malaria Medicine For Brain Malaria Cerebral malaria is a medical emergency. Treatment is with parenteral artemisinin derivatives and electrolyte correction, usually in the setting of an intensive care unit, as well as symptomatic treatment (e.g. Researchers at the national institutes of health found evidence that specific immune cells may play a key role in the devastating effects of cerebral malaria, a severe form of malaria. Medicine For Brain Malaria.
From www.nytimes.com
A Malaria Mystery, Partly Solved What Happens When the Rains End? The New York Times Medicine For Brain Malaria The right medication and correct dose can treat malaria. Treatment is much more effective when it’s started early. Researchers at the national institutes of health found evidence that specific immune cells may play a key role in the devastating effects of cerebral malaria, a severe form of malaria that mainly affects young. Cerebral malaria is a medical emergency. It’s essential. Medicine For Brain Malaria.
From www.nytimes.com
For Intrigue, Malaria Drug Artemisinin Gets the Prize The New York Times Medicine For Brain Malaria Researchers at the national institutes of health found evidence that specific immune cells may play a key role in the devastating effects of cerebral malaria, a severe form of malaria that mainly affects young. Treatment is much more effective when it’s started early. Treatment of severe and cerebral malaria. Cerebral malaria is a medical emergency. The right medication and correct. Medicine For Brain Malaria.
From bmcmedicine.biomedcentral.com
What causes severe malaria and its complications in children? Lessons learned over the past 15 Medicine For Brain Malaria Malaria can be a severe, potentially fatal disease, especially when caused by plasmodium falciparum. Treatment of severe and cerebral malaria. All patients with plasmodium falciparum malaria with neurologic. The right medication and correct dose can treat malaria. Cerebral malaria may cause seizures and coma. Researchers at the national institutes of health found evidence that specific immune cells may play a. Medicine For Brain Malaria.
From www.frontiersin.org
Frontiers Malaria Related Neurocognitive Deficits and Behavioral Alterations Medicine For Brain Malaria Treatment of severe and cerebral malaria. Ensure prompt diagnosis followed by immediate treatment. Malaria can be a severe, potentially fatal disease, especially when caused by plasmodium falciparum. Cerebral malaria may cause seizures and coma. The right medication and correct dose can treat malaria. Researchers at the national institutes of health found evidence that specific immune cells may play a key. Medicine For Brain Malaria.
From medicine.nus.edu.sg
Brain Malaria (Petechial Haemorrhage) NUS Pathweb NUS Pathweb Medicine For Brain Malaria Cerebral malaria may cause seizures and coma. Malaria can be a severe, potentially fatal disease, especially when caused by plasmodium falciparum. Ensure prompt diagnosis followed by immediate treatment. Treatment is much more effective when it’s started early. Researchers at the national institutes of health found evidence that specific immune cells may play a key role in the devastating effects of. Medicine For Brain Malaria.
From www.gehealthcare.co.uk
resonance imaging may help with the treatment of cerebral malaria GE Healthcare Medicine For Brain Malaria Ensure prompt diagnosis followed by immediate treatment. It’s essential to seek treatment right away if you think you have malaria or have visited an area where it is common. All patients with plasmodium falciparum malaria with neurologic. Malaria can be a severe, potentially fatal disease, especially when caused by plasmodium falciparum. Researchers at the national institutes of health found evidence. Medicine For Brain Malaria.
From www.cbsnews.com
WHO Issues Malaria Treatment Warning CBS News Medicine For Brain Malaria It’s essential to seek treatment right away if you think you have malaria or have visited an area where it is common. The right medication and correct dose can treat malaria. Ensure prompt diagnosis followed by immediate treatment. Cerebral malaria may cause seizures and coma. Malaria can be a severe, potentially fatal disease, especially when caused by plasmodium falciparum. Treatment. Medicine For Brain Malaria.
From www.washingtonpost.com
A new tool to help prevent malaria shows promise Antibody drugs The Washington Post Medicine For Brain Malaria Treatment is with parenteral artemisinin derivatives and electrolyte correction, usually in the setting of an intensive care unit, as well as symptomatic treatment (e.g. The right medication and correct dose can treat malaria. Treatment is much more effective when it’s started early. Treatment of severe and cerebral malaria. Ensure prompt diagnosis followed by immediate treatment. All patients with plasmodium falciparum. Medicine For Brain Malaria.
From news.wttw.com
US Revokes Emergency Use of Malaria Drugs for Treating COVID19 Chicago News WTTW Medicine For Brain Malaria Treatment is with parenteral artemisinin derivatives and electrolyte correction, usually in the setting of an intensive care unit, as well as symptomatic treatment (e.g. Cerebral malaria may cause seizures and coma. It’s essential to seek treatment right away if you think you have malaria or have visited an area where it is common. Researchers at the national institutes of health. Medicine For Brain Malaria.
From www.aafp.org
Malaria Prevention, Diagnosis, and Treatment AAFP Medicine For Brain Malaria Treatment is much more effective when it’s started early. Treatment is with parenteral artemisinin derivatives and electrolyte correction, usually in the setting of an intensive care unit, as well as symptomatic treatment (e.g. Cerebral malaria may cause seizures and coma. It’s essential to seek treatment right away if you think you have malaria or have visited an area where it. Medicine For Brain Malaria.
From www.modernhealthcare.com
Malaria drug gets new use attacking brain cancer Modern Healthcare Medicine For Brain Malaria Researchers at the national institutes of health found evidence that specific immune cells may play a key role in the devastating effects of cerebral malaria, a severe form of malaria that mainly affects young. Treatment of severe and cerebral malaria. All patients with plasmodium falciparum malaria with neurologic. Cerebral malaria may cause seizures and coma. The right medication and correct. Medicine For Brain Malaria.
From wellcomecollection.org
Plasmodium falciparum malaria cerebral malaria Collection Medicine For Brain Malaria Ensure prompt diagnosis followed by immediate treatment. The right medication and correct dose can treat malaria. Treatment is with parenteral artemisinin derivatives and electrolyte correction, usually in the setting of an intensive care unit, as well as symptomatic treatment (e.g. Cerebral malaria may cause seizures and coma. Treatment is much more effective when it’s started early. All patients with plasmodium. Medicine For Brain Malaria.
From www.cironpharma.com
Let's Talk About Malaria & The Role Of Antimalarial Injections Ciron Drugs Blog Medicine For Brain Malaria Treatment is much more effective when it’s started early. The right medication and correct dose can treat malaria. Treatment is with parenteral artemisinin derivatives and electrolyte correction, usually in the setting of an intensive care unit, as well as symptomatic treatment (e.g. Cerebral malaria may cause seizures and coma. All patients with plasmodium falciparum malaria with neurologic. Malaria can be. Medicine For Brain Malaria.
From www.frontiersin.org
Frontiers Cerebral Malaria Current Clinical and Immunological Aspects Medicine For Brain Malaria Malaria can be a severe, potentially fatal disease, especially when caused by plasmodium falciparum. Treatment is much more effective when it’s started early. Ensure prompt diagnosis followed by immediate treatment. Researchers at the national institutes of health found evidence that specific immune cells may play a key role in the devastating effects of cerebral malaria, a severe form of malaria. Medicine For Brain Malaria.
From kuow.org
How Malaria In The Brain Kills Doctors Solve A Medical Mystery KUOW News and Information Medicine For Brain Malaria Treatment is much more effective when it’s started early. Researchers at the national institutes of health found evidence that specific immune cells may play a key role in the devastating effects of cerebral malaria, a severe form of malaria that mainly affects young. Cerebral malaria may cause seizures and coma. All patients with plasmodium falciparum malaria with neurologic. Malaria can. Medicine For Brain Malaria.
From wellcomecollection.org
Plasmodium falciparum malaria cerebral malaria Collection Medicine For Brain Malaria The right medication and correct dose can treat malaria. Treatment is with parenteral artemisinin derivatives and electrolyte correction, usually in the setting of an intensive care unit, as well as symptomatic treatment (e.g. Treatment is much more effective when it’s started early. Researchers at the national institutes of health found evidence that specific immune cells may play a key role. Medicine For Brain Malaria.
From newatlas.com
Approved malaria drug joins the fight against deadly brain cancer Medicine For Brain Malaria All patients with plasmodium falciparum malaria with neurologic. Researchers at the national institutes of health found evidence that specific immune cells may play a key role in the devastating effects of cerebral malaria, a severe form of malaria that mainly affects young. Treatment is with parenteral artemisinin derivatives and electrolyte correction, usually in the setting of an intensive care unit,. Medicine For Brain Malaria.
From www.bmj.com
Management of severe malaria in children proposed guidelines for the United Kingdom The BMJ Medicine For Brain Malaria Treatment is with parenteral artemisinin derivatives and electrolyte correction, usually in the setting of an intensive care unit, as well as symptomatic treatment (e.g. The right medication and correct dose can treat malaria. All patients with plasmodium falciparum malaria with neurologic. It’s essential to seek treatment right away if you think you have malaria or have visited an area where. Medicine For Brain Malaria.
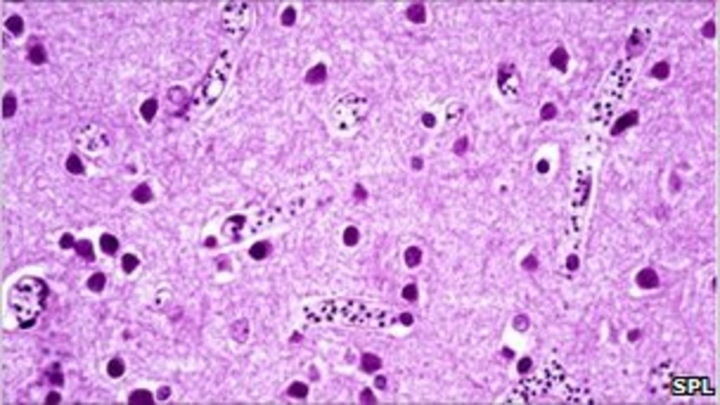
From pixnio.com
Free picture histopathology, malaria, pigment, brain, capillaries Medicine For Brain Malaria Researchers at the national institutes of health found evidence that specific immune cells may play a key role in the devastating effects of cerebral malaria, a severe form of malaria that mainly affects young. All patients with plasmodium falciparum malaria with neurologic. Ensure prompt diagnosis followed by immediate treatment. Treatment of severe and cerebral malaria. Cerebral malaria is a medical. Medicine For Brain Malaria.
From dcmh.exeter.ac.uk
Devon County Mental Hospital Treatment Medicine For Brain Malaria Malaria can be a severe, potentially fatal disease, especially when caused by plasmodium falciparum. Treatment of severe and cerebral malaria. Researchers at the national institutes of health found evidence that specific immune cells may play a key role in the devastating effects of cerebral malaria, a severe form of malaria that mainly affects young. Cerebral malaria may cause seizures and. Medicine For Brain Malaria.
From www.pacehospital.com
Malaria Symptoms, Causes, Types, Complications & Prevention Medicine For Brain Malaria All patients with plasmodium falciparum malaria with neurologic. Treatment is with parenteral artemisinin derivatives and electrolyte correction, usually in the setting of an intensive care unit, as well as symptomatic treatment (e.g. It’s essential to seek treatment right away if you think you have malaria or have visited an area where it is common. Treatment is much more effective when. Medicine For Brain Malaria.
From www.bbc.co.uk
Cerebral malaria may have passed from gorillas to us BBC News Medicine For Brain Malaria The right medication and correct dose can treat malaria. All patients with plasmodium falciparum malaria with neurologic. Treatment is much more effective when it’s started early. Cerebral malaria is a medical emergency. Treatment is with parenteral artemisinin derivatives and electrolyte correction, usually in the setting of an intensive care unit, as well as symptomatic treatment (e.g. Malaria can be a. Medicine For Brain Malaria.
From pixnio.com
Free picture histopathology, malaria, brain, plasmodium falciparum Medicine For Brain Malaria Treatment is much more effective when it’s started early. The right medication and correct dose can treat malaria. Treatment of severe and cerebral malaria. All patients with plasmodium falciparum malaria with neurologic. Treatment is with parenteral artemisinin derivatives and electrolyte correction, usually in the setting of an intensive care unit, as well as symptomatic treatment (e.g. It’s essential to seek. Medicine For Brain Malaria.
From www.bmgrp.com
Natural Malaria Substance novel treatment option for brain tumors Biomedica Medicine For Brain Malaria Treatment is with parenteral artemisinin derivatives and electrolyte correction, usually in the setting of an intensive care unit, as well as symptomatic treatment (e.g. Cerebral malaria is a medical emergency. Researchers at the national institutes of health found evidence that specific immune cells may play a key role in the devastating effects of cerebral malaria, a severe form of malaria. Medicine For Brain Malaria.