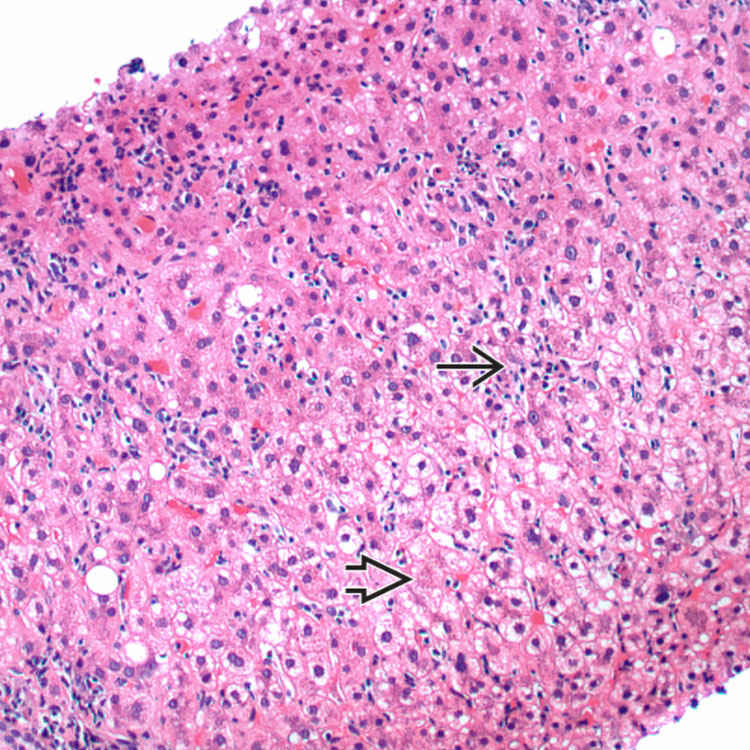
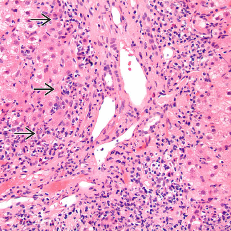
Autoimmune Hepatitis Histopathology . Serum autoantibodies, igg, liver histology and viral hepatitis serology. Simple system evaluating 4 laboratory and histological factors: Based on our findings, we developed a modified scoring system in which typical features require the presence of both (1) prominent plasma. Autoimmune hepatitis (aih) is an autoimmune liver disease that may present as an acute or chronic inflammation of the liver. Microscopic histological assessment of a liver biopsy is. Liver histology is mandatory for the diagnosis of autoimmune hepatitis. This activity reviews the pathophysiology, causes, presentation, and diagnosis of autoimmune hepatitis and highlights the role of the interprofessional team in its management. Autoimmune hepatitis, histology, lobular hepatitis, portal hepatitis key points • autoimmune hepatitis (aih) is an autoimmune liver disease that may. The diagnosis of autoimmune hepatitis is based on a combination of clinical presentation, liver biochemical tests, serologic. The criteria proposed in this consensus statement provide a uniform approach to the histological diagnosis of aih, which is relevant for patients. Assessing the degree of inflammatory activity such as interface and lobular inflammation, which is not reliably depicted by the increase in transaminase concentrations, and the degree of fibrosis is essential.
from fineartamerica.com
Microscopic histological assessment of a liver biopsy is. The criteria proposed in this consensus statement provide a uniform approach to the histological diagnosis of aih, which is relevant for patients. Autoimmune hepatitis, histology, lobular hepatitis, portal hepatitis key points • autoimmune hepatitis (aih) is an autoimmune liver disease that may. Assessing the degree of inflammatory activity such as interface and lobular inflammation, which is not reliably depicted by the increase in transaminase concentrations, and the degree of fibrosis is essential. The diagnosis of autoimmune hepatitis is based on a combination of clinical presentation, liver biochemical tests, serologic. Simple system evaluating 4 laboratory and histological factors: Serum autoantibodies, igg, liver histology and viral hepatitis serology. Liver histology is mandatory for the diagnosis of autoimmune hepatitis. This activity reviews the pathophysiology, causes, presentation, and diagnosis of autoimmune hepatitis and highlights the role of the interprofessional team in its management. Autoimmune hepatitis (aih) is an autoimmune liver disease that may present as an acute or chronic inflammation of the liver.
Autoimmune Hepatitis Photograph by Nigel Downer/science Photo Library Fine Art America
Autoimmune Hepatitis Histopathology Microscopic histological assessment of a liver biopsy is. The diagnosis of autoimmune hepatitis is based on a combination of clinical presentation, liver biochemical tests, serologic. The criteria proposed in this consensus statement provide a uniform approach to the histological diagnosis of aih, which is relevant for patients. Autoimmune hepatitis, histology, lobular hepatitis, portal hepatitis key points • autoimmune hepatitis (aih) is an autoimmune liver disease that may. Based on our findings, we developed a modified scoring system in which typical features require the presence of both (1) prominent plasma. Microscopic histological assessment of a liver biopsy is. Liver histology is mandatory for the diagnosis of autoimmune hepatitis. Serum autoantibodies, igg, liver histology and viral hepatitis serology. This activity reviews the pathophysiology, causes, presentation, and diagnosis of autoimmune hepatitis and highlights the role of the interprofessional team in its management. Autoimmune hepatitis (aih) is an autoimmune liver disease that may present as an acute or chronic inflammation of the liver. Simple system evaluating 4 laboratory and histological factors: Assessing the degree of inflammatory activity such as interface and lobular inflammation, which is not reliably depicted by the increase in transaminase concentrations, and the degree of fibrosis is essential.
From www.pathologyoutlines.com
Pathology Outlines Autoimmune hepatitis Autoimmune Hepatitis Histopathology Assessing the degree of inflammatory activity such as interface and lobular inflammation, which is not reliably depicted by the increase in transaminase concentrations, and the degree of fibrosis is essential. The diagnosis of autoimmune hepatitis is based on a combination of clinical presentation, liver biochemical tests, serologic. Based on our findings, we developed a modified scoring system in which typical. Autoimmune Hepatitis Histopathology.
From www.researchgate.net
(PDF) Autoimmune hepatitis—is histology conclusive? Autoimmune Hepatitis Histopathology Based on our findings, we developed a modified scoring system in which typical features require the presence of both (1) prominent plasma. The criteria proposed in this consensus statement provide a uniform approach to the histological diagnosis of aih, which is relevant for patients. The diagnosis of autoimmune hepatitis is based on a combination of clinical presentation, liver biochemical tests,. Autoimmune Hepatitis Histopathology.
From www.pathologyoutlines.com
Pathology Outlines Autoimmune hepatitis Autoimmune Hepatitis Histopathology Assessing the degree of inflammatory activity such as interface and lobular inflammation, which is not reliably depicted by the increase in transaminase concentrations, and the degree of fibrosis is essential. This activity reviews the pathophysiology, causes, presentation, and diagnosis of autoimmune hepatitis and highlights the role of the interprofessional team in its management. The criteria proposed in this consensus statement. Autoimmune Hepatitis Histopathology.
From www.wjgnet.com
Autoimmune hepatitis, one disease with many faces clinicolaboratory and Autoimmune Hepatitis Histopathology Serum autoantibodies, igg, liver histology and viral hepatitis serology. Based on our findings, we developed a modified scoring system in which typical features require the presence of both (1) prominent plasma. The criteria proposed in this consensus statement provide a uniform approach to the histological diagnosis of aih, which is relevant for patients. Microscopic histological assessment of a liver biopsy. Autoimmune Hepatitis Histopathology.
From onlinelibrary.wiley.com
Autoimmune hepatitis Unveiling faces Zhu 2015 Journal of Digestive Diseases Wiley Autoimmune Hepatitis Histopathology This activity reviews the pathophysiology, causes, presentation, and diagnosis of autoimmune hepatitis and highlights the role of the interprofessional team in its management. Simple system evaluating 4 laboratory and histological factors: Autoimmune hepatitis, histology, lobular hepatitis, portal hepatitis key points • autoimmune hepatitis (aih) is an autoimmune liver disease that may. The diagnosis of autoimmune hepatitis is based on a. Autoimmune Hepatitis Histopathology.
From www.journal-of-hepatology.eu
Autoimmune hepatitis Journal of Hepatology Autoimmune Hepatitis Histopathology The diagnosis of autoimmune hepatitis is based on a combination of clinical presentation, liver biochemical tests, serologic. Serum autoantibodies, igg, liver histology and viral hepatitis serology. Autoimmune hepatitis (aih) is an autoimmune liver disease that may present as an acute or chronic inflammation of the liver. Microscopic histological assessment of a liver biopsy is. Simple system evaluating 4 laboratory and. Autoimmune Hepatitis Histopathology.
From thebileflow.wordpress.com
Pathology Autoimmune hepatitis Journal of Online Hepatology Autoimmune Hepatitis Histopathology Simple system evaluating 4 laboratory and histological factors: The criteria proposed in this consensus statement provide a uniform approach to the histological diagnosis of aih, which is relevant for patients. Autoimmune hepatitis, histology, lobular hepatitis, portal hepatitis key points • autoimmune hepatitis (aih) is an autoimmune liver disease that may. Autoimmune hepatitis (aih) is an autoimmune liver disease that may. Autoimmune Hepatitis Histopathology.
From www.researchgate.net
Histopathology of a 57yearold man with acuteonset autoimmune... Download Scientific Diagram Autoimmune Hepatitis Histopathology Simple system evaluating 4 laboratory and histological factors: Autoimmune hepatitis, histology, lobular hepatitis, portal hepatitis key points • autoimmune hepatitis (aih) is an autoimmune liver disease that may. This activity reviews the pathophysiology, causes, presentation, and diagnosis of autoimmune hepatitis and highlights the role of the interprofessional team in its management. The criteria proposed in this consensus statement provide a. Autoimmune Hepatitis Histopathology.
From www.pathologyoutlines.com
Pathology Outlines Autoimmune hepatitis Autoimmune Hepatitis Histopathology Liver histology is mandatory for the diagnosis of autoimmune hepatitis. Serum autoantibodies, igg, liver histology and viral hepatitis serology. Assessing the degree of inflammatory activity such as interface and lobular inflammation, which is not reliably depicted by the increase in transaminase concentrations, and the degree of fibrosis is essential. This activity reviews the pathophysiology, causes, presentation, and diagnosis of autoimmune. Autoimmune Hepatitis Histopathology.
From www.researchgate.net
Autoimmune hepatitis. Histological examination showed centrilobular... Download Scientific Diagram Autoimmune Hepatitis Histopathology Autoimmune hepatitis, histology, lobular hepatitis, portal hepatitis key points • autoimmune hepatitis (aih) is an autoimmune liver disease that may. Autoimmune hepatitis (aih) is an autoimmune liver disease that may present as an acute or chronic inflammation of the liver. This activity reviews the pathophysiology, causes, presentation, and diagnosis of autoimmune hepatitis and highlights the role of the interprofessional team. Autoimmune Hepatitis Histopathology.
From jcp.bmj.com
Acute presentation of autoimmune hepatitis a multicentre study with detailed histological Autoimmune Hepatitis Histopathology Microscopic histological assessment of a liver biopsy is. Based on our findings, we developed a modified scoring system in which typical features require the presence of both (1) prominent plasma. The diagnosis of autoimmune hepatitis is based on a combination of clinical presentation, liver biochemical tests, serologic. Assessing the degree of inflammatory activity such as interface and lobular inflammation, which. Autoimmune Hepatitis Histopathology.
From www.researchgate.net
Histology of an autoimmune hepatitis patient with acute HEV... Download Scientific Diagram Autoimmune Hepatitis Histopathology Assessing the degree of inflammatory activity such as interface and lobular inflammation, which is not reliably depicted by the increase in transaminase concentrations, and the degree of fibrosis is essential. Autoimmune hepatitis, histology, lobular hepatitis, portal hepatitis key points • autoimmune hepatitis (aih) is an autoimmune liver disease that may. Autoimmune hepatitis (aih) is an autoimmune liver disease that may. Autoimmune Hepatitis Histopathology.
From fineartamerica.com
Autoimmune Hepatitis Photograph by Nigel Downer/science Photo Library Fine Art America Autoimmune Hepatitis Histopathology Autoimmune hepatitis, histology, lobular hepatitis, portal hepatitis key points • autoimmune hepatitis (aih) is an autoimmune liver disease that may. Simple system evaluating 4 laboratory and histological factors: Liver histology is mandatory for the diagnosis of autoimmune hepatitis. Autoimmune hepatitis (aih) is an autoimmune liver disease that may present as an acute or chronic inflammation of the liver. Based on. Autoimmune Hepatitis Histopathology.
From www.semanticscholar.org
Figure 1 from Role of Histopathology in Autoimmune Hepatitis Semantic Scholar Autoimmune Hepatitis Histopathology The diagnosis of autoimmune hepatitis is based on a combination of clinical presentation, liver biochemical tests, serologic. Simple system evaluating 4 laboratory and histological factors: Autoimmune hepatitis (aih) is an autoimmune liver disease that may present as an acute or chronic inflammation of the liver. Assessing the degree of inflammatory activity such as interface and lobular inflammation, which is not. Autoimmune Hepatitis Histopathology.
From www.pathologyoutlines.com
Pathology Outlines Autoimmune hepatitis Autoimmune Hepatitis Histopathology Assessing the degree of inflammatory activity such as interface and lobular inflammation, which is not reliably depicted by the increase in transaminase concentrations, and the degree of fibrosis is essential. Serum autoantibodies, igg, liver histology and viral hepatitis serology. This activity reviews the pathophysiology, causes, presentation, and diagnosis of autoimmune hepatitis and highlights the role of the interprofessional team in. Autoimmune Hepatitis Histopathology.
From www.semanticscholar.org
Figure 1 from Role of Histopathology in Autoimmune Hepatitis Semantic Scholar Autoimmune Hepatitis Histopathology Microscopic histological assessment of a liver biopsy is. This activity reviews the pathophysiology, causes, presentation, and diagnosis of autoimmune hepatitis and highlights the role of the interprofessional team in its management. Liver histology is mandatory for the diagnosis of autoimmune hepatitis. Based on our findings, we developed a modified scoring system in which typical features require the presence of both. Autoimmune Hepatitis Histopathology.
From www.liver.theclinics.com
Histology of Autoimmune Hepatitis and its Variants Clinics in Liver Disease Autoimmune Hepatitis Histopathology Serum autoantibodies, igg, liver histology and viral hepatitis serology. Liver histology is mandatory for the diagnosis of autoimmune hepatitis. Based on our findings, we developed a modified scoring system in which typical features require the presence of both (1) prominent plasma. This activity reviews the pathophysiology, causes, presentation, and diagnosis of autoimmune hepatitis and highlights the role of the interprofessional. Autoimmune Hepatitis Histopathology.
From basicmedicalkey.com
Autoimmune Hepatitis Basicmedical Key Autoimmune Hepatitis Histopathology The criteria proposed in this consensus statement provide a uniform approach to the histological diagnosis of aih, which is relevant for patients. The diagnosis of autoimmune hepatitis is based on a combination of clinical presentation, liver biochemical tests, serologic. Autoimmune hepatitis, histology, lobular hepatitis, portal hepatitis key points • autoimmune hepatitis (aih) is an autoimmune liver disease that may. Simple. Autoimmune Hepatitis Histopathology.
From www.researchgate.net
Example of histological features of autoimmune hepatitis (a, b), virus... Download Scientific Autoimmune Hepatitis Histopathology Microscopic histological assessment of a liver biopsy is. Autoimmune hepatitis (aih) is an autoimmune liver disease that may present as an acute or chronic inflammation of the liver. Liver histology is mandatory for the diagnosis of autoimmune hepatitis. The diagnosis of autoimmune hepatitis is based on a combination of clinical presentation, liver biochemical tests, serologic. Serum autoantibodies, igg, liver histology. Autoimmune Hepatitis Histopathology.
From www.pathologyoutlines.com
Pathology Outlines Autoimmune hepatitis Autoimmune Hepatitis Histopathology Simple system evaluating 4 laboratory and histological factors: Microscopic histological assessment of a liver biopsy is. Serum autoantibodies, igg, liver histology and viral hepatitis serology. Assessing the degree of inflammatory activity such as interface and lobular inflammation, which is not reliably depicted by the increase in transaminase concentrations, and the degree of fibrosis is essential. This activity reviews the pathophysiology,. Autoimmune Hepatitis Histopathology.
From www.humpath.com
autoimmune hepatitis Human pathology Autoimmune Hepatitis Histopathology Liver histology is mandatory for the diagnosis of autoimmune hepatitis. The criteria proposed in this consensus statement provide a uniform approach to the histological diagnosis of aih, which is relevant for patients. Simple system evaluating 4 laboratory and histological factors: Based on our findings, we developed a modified scoring system in which typical features require the presence of both (1). Autoimmune Hepatitis Histopathology.
From jcp.bmj.com
Acute presentation of autoimmune hepatitis a multicentre study with detailed histological Autoimmune Hepatitis Histopathology Assessing the degree of inflammatory activity such as interface and lobular inflammation, which is not reliably depicted by the increase in transaminase concentrations, and the degree of fibrosis is essential. This activity reviews the pathophysiology, causes, presentation, and diagnosis of autoimmune hepatitis and highlights the role of the interprofessional team in its management. The criteria proposed in this consensus statement. Autoimmune Hepatitis Histopathology.
From fineartamerica.com
Autoimmune Hepatitis Photograph by Nigel Downer/science Photo Library Fine Art America Autoimmune Hepatitis Histopathology Autoimmune hepatitis, histology, lobular hepatitis, portal hepatitis key points • autoimmune hepatitis (aih) is an autoimmune liver disease that may. This activity reviews the pathophysiology, causes, presentation, and diagnosis of autoimmune hepatitis and highlights the role of the interprofessional team in its management. The criteria proposed in this consensus statement provide a uniform approach to the histological diagnosis of aih,. Autoimmune Hepatitis Histopathology.
From gut.bmj.com
IgG4 associated autoimmune hepatitis a differential diagnosis for classical autoimmune Autoimmune Hepatitis Histopathology Assessing the degree of inflammatory activity such as interface and lobular inflammation, which is not reliably depicted by the increase in transaminase concentrations, and the degree of fibrosis is essential. Serum autoantibodies, igg, liver histology and viral hepatitis serology. Based on our findings, we developed a modified scoring system in which typical features require the presence of both (1) prominent. Autoimmune Hepatitis Histopathology.
From www.pathologyoutlines.com
Pathology Outlines Autoimmune hepatitis Autoimmune Hepatitis Histopathology This activity reviews the pathophysiology, causes, presentation, and diagnosis of autoimmune hepatitis and highlights the role of the interprofessional team in its management. Microscopic histological assessment of a liver biopsy is. Autoimmune hepatitis (aih) is an autoimmune liver disease that may present as an acute or chronic inflammation of the liver. Simple system evaluating 4 laboratory and histological factors: The. Autoimmune Hepatitis Histopathology.
From basicmedicalkey.com
Autoimmune Hepatitis Basicmedical Key Autoimmune Hepatitis Histopathology Serum autoantibodies, igg, liver histology and viral hepatitis serology. Assessing the degree of inflammatory activity such as interface and lobular inflammation, which is not reliably depicted by the increase in transaminase concentrations, and the degree of fibrosis is essential. Simple system evaluating 4 laboratory and histological factors: Microscopic histological assessment of a liver biopsy is. Autoimmune hepatitis, histology, lobular hepatitis,. Autoimmune Hepatitis Histopathology.
From www.xiahepublishing.com
Update on Autoimmune Hepatitis Autoimmune Hepatitis Histopathology Based on our findings, we developed a modified scoring system in which typical features require the presence of both (1) prominent plasma. Assessing the degree of inflammatory activity such as interface and lobular inflammation, which is not reliably depicted by the increase in transaminase concentrations, and the degree of fibrosis is essential. Serum autoantibodies, igg, liver histology and viral hepatitis. Autoimmune Hepatitis Histopathology.
From www.researchgate.net
Histology of an autoimmune hepatitis, portal Download Scientific Diagram Autoimmune Hepatitis Histopathology Serum autoantibodies, igg, liver histology and viral hepatitis serology. Microscopic histological assessment of a liver biopsy is. The diagnosis of autoimmune hepatitis is based on a combination of clinical presentation, liver biochemical tests, serologic. This activity reviews the pathophysiology, causes, presentation, and diagnosis of autoimmune hepatitis and highlights the role of the interprofessional team in its management. The criteria proposed. Autoimmune Hepatitis Histopathology.
From www.liver.theclinics.com
Histology of Autoimmune Hepatitis and its Variants Clinics in Liver Disease Autoimmune Hepatitis Histopathology Serum autoantibodies, igg, liver histology and viral hepatitis serology. Assessing the degree of inflammatory activity such as interface and lobular inflammation, which is not reliably depicted by the increase in transaminase concentrations, and the degree of fibrosis is essential. Liver histology is mandatory for the diagnosis of autoimmune hepatitis. Autoimmune hepatitis (aih) is an autoimmune liver disease that may present. Autoimmune Hepatitis Histopathology.
From almostadoctor.co.uk
Autoimmune Hepatitis almostadoctor Autoimmune Hepatitis Histopathology The diagnosis of autoimmune hepatitis is based on a combination of clinical presentation, liver biochemical tests, serologic. The criteria proposed in this consensus statement provide a uniform approach to the histological diagnosis of aih, which is relevant for patients. Based on our findings, we developed a modified scoring system in which typical features require the presence of both (1) prominent. Autoimmune Hepatitis Histopathology.
From www.liver.theclinics.com
Histology of Autoimmune Hepatitis and its Variants Clinics in Liver Disease Autoimmune Hepatitis Histopathology The criteria proposed in this consensus statement provide a uniform approach to the histological diagnosis of aih, which is relevant for patients. Autoimmune hepatitis (aih) is an autoimmune liver disease that may present as an acute or chronic inflammation of the liver. Assessing the degree of inflammatory activity such as interface and lobular inflammation, which is not reliably depicted by. Autoimmune Hepatitis Histopathology.
From www.researchgate.net
Histology of a moderately active autoimmune hepatitis (AIH) H&E. (A,... Download Scientific Autoimmune Hepatitis Histopathology Microscopic histological assessment of a liver biopsy is. Serum autoantibodies, igg, liver histology and viral hepatitis serology. Autoimmune hepatitis, histology, lobular hepatitis, portal hepatitis key points • autoimmune hepatitis (aih) is an autoimmune liver disease that may. Simple system evaluating 4 laboratory and histological factors: This activity reviews the pathophysiology, causes, presentation, and diagnosis of autoimmune hepatitis and highlights the. Autoimmune Hepatitis Histopathology.
From www.researchgate.net
Example of histological features of autoimmune hepatitis (a, b), virus... Download Scientific Autoimmune Hepatitis Histopathology Microscopic histological assessment of a liver biopsy is. Simple system evaluating 4 laboratory and histological factors: Autoimmune hepatitis (aih) is an autoimmune liver disease that may present as an acute or chronic inflammation of the liver. Liver histology is mandatory for the diagnosis of autoimmune hepatitis. Assessing the degree of inflammatory activity such as interface and lobular inflammation, which is. Autoimmune Hepatitis Histopathology.
From mavink.com
Liver Hepatitis Histology Autoimmune Hepatitis Histopathology Simple system evaluating 4 laboratory and histological factors: Assessing the degree of inflammatory activity such as interface and lobular inflammation, which is not reliably depicted by the increase in transaminase concentrations, and the degree of fibrosis is essential. Autoimmune hepatitis, histology, lobular hepatitis, portal hepatitis key points • autoimmune hepatitis (aih) is an autoimmune liver disease that may. This activity. Autoimmune Hepatitis Histopathology.
From www.researchgate.net
Histology of autoimmune hepatitis. Biopsy specimen of a patient with... Download Scientific Autoimmune Hepatitis Histopathology Microscopic histological assessment of a liver biopsy is. The diagnosis of autoimmune hepatitis is based on a combination of clinical presentation, liver biochemical tests, serologic. Based on our findings, we developed a modified scoring system in which typical features require the presence of both (1) prominent plasma. Serum autoantibodies, igg, liver histology and viral hepatitis serology. Simple system evaluating 4. Autoimmune Hepatitis Histopathology.