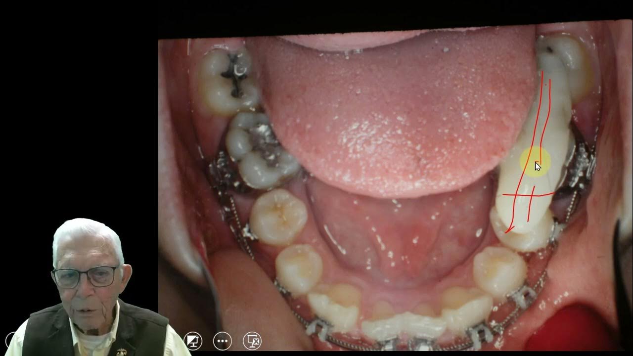
Bite Blocks Causing Pain . They play a vital role in. Bite blocks, or ramps or turbos, are small devices attached to the teeth to prevent contact between the upper and lower teeth during biting. Bite blocks for braces may cause some initial discomfort as they are designed to separate your upper and lower teeth to correct your bite alignment. It is usually made of soft material and fits comfortably over the teeth. Although bite turbos can feel uncomfortable, they shouldn’t cause any pain. Bite problems, or malocclusions, are one of the most common dental issues — worldwide, nearly 60% of adults and children experience a bad bite. Braces can cause temporary pain, and adding bite blocks may intensify over the short term. A bite block is a device that is used to stabilize the jaw during dental procedures. This is because you are chewing in. However, you may have some issues chewing food and speaking at first. A bite block helps you during braces treatment by preventing breakage of the brackets or popping them off when you bite.
from ids-deutschland.de
Although bite turbos can feel uncomfortable, they shouldn’t cause any pain. However, you may have some issues chewing food and speaking at first. They play a vital role in. This is because you are chewing in. A bite block helps you during braces treatment by preventing breakage of the brackets or popping them off when you bite. Bite blocks for braces may cause some initial discomfort as they are designed to separate your upper and lower teeth to correct your bite alignment. Bite problems, or malocclusions, are one of the most common dental issues — worldwide, nearly 60% of adults and children experience a bad bite. Braces can cause temporary pain, and adding bite blocks may intensify over the short term. A bite block is a device that is used to stabilize the jaw during dental procedures. Bite blocks, or ramps or turbos, are small devices attached to the teeth to prevent contact between the upper and lower teeth during biting.
Waldent Blue BiteBlock, 51 OFF idsdeutschland.de
Bite Blocks Causing Pain Bite blocks, or ramps or turbos, are small devices attached to the teeth to prevent contact between the upper and lower teeth during biting. A bite block is a device that is used to stabilize the jaw during dental procedures. Bite problems, or malocclusions, are one of the most common dental issues — worldwide, nearly 60% of adults and children experience a bad bite. It is usually made of soft material and fits comfortably over the teeth. However, you may have some issues chewing food and speaking at first. They play a vital role in. Although bite turbos can feel uncomfortable, they shouldn’t cause any pain. Braces can cause temporary pain, and adding bite blocks may intensify over the short term. Bite blocks for braces may cause some initial discomfort as they are designed to separate your upper and lower teeth to correct your bite alignment. Bite blocks, or ramps or turbos, are small devices attached to the teeth to prevent contact between the upper and lower teeth during biting. This is because you are chewing in. A bite block helps you during braces treatment by preventing breakage of the brackets or popping them off when you bite.
From www.youtube.com
2. I Got Braces Today! PICS + Eating, Bite Block, & Pain YouTube Bite Blocks Causing Pain This is because you are chewing in. A bite block helps you during braces treatment by preventing breakage of the brackets or popping them off when you bite. It is usually made of soft material and fits comfortably over the teeth. Braces can cause temporary pain, and adding bite blocks may intensify over the short term. Although bite turbos can. Bite Blocks Causing Pain.
From www.reddit.com
dental bite blocks wherecanibuythis Bite Blocks Causing Pain Bite blocks for braces may cause some initial discomfort as they are designed to separate your upper and lower teeth to correct your bite alignment. However, you may have some issues chewing food and speaking at first. A bite block helps you during braces treatment by preventing breakage of the brackets or popping them off when you bite. They play. Bite Blocks Causing Pain.
From www.duomed.com
Bite Blocks Duomed Bite Blocks Causing Pain Although bite turbos can feel uncomfortable, they shouldn’t cause any pain. It is usually made of soft material and fits comfortably over the teeth. Braces can cause temporary pain, and adding bite blocks may intensify over the short term. A bite block helps you during braces treatment by preventing breakage of the brackets or popping them off when you bite.. Bite Blocks Causing Pain.
From www.casemasters.com
Bite Block Centric Bite Blocks Causing Pain Bite blocks, or ramps or turbos, are small devices attached to the teeth to prevent contact between the upper and lower teeth during biting. Braces can cause temporary pain, and adding bite blocks may intensify over the short term. However, you may have some issues chewing food and speaking at first. It is usually made of soft material and fits. Bite Blocks Causing Pain.
From www.researchgate.net
Simulated conditions of a malpositioned bite block causing pilot tube Bite Blocks Causing Pain A bite block is a device that is used to stabilize the jaw during dental procedures. However, you may have some issues chewing food and speaking at first. It is usually made of soft material and fits comfortably over the teeth. Although bite turbos can feel uncomfortable, they shouldn’t cause any pain. Bite problems, or malocclusions, are one of the. Bite Blocks Causing Pain.
From www.researchgate.net
Occlusal biteblock to correct the cant and open bite in case of Bite Blocks Causing Pain Bite blocks, or ramps or turbos, are small devices attached to the teeth to prevent contact between the upper and lower teeth during biting. A bite block is a device that is used to stabilize the jaw during dental procedures. It is usually made of soft material and fits comfortably over the teeth. Braces can cause temporary pain, and adding. Bite Blocks Causing Pain.
From www.slideserve.com
PPT The new way to straighten teeth Bite Blocks explained PowerPoint Bite Blocks Causing Pain However, you may have some issues chewing food and speaking at first. A bite block is a device that is used to stabilize the jaw during dental procedures. It is usually made of soft material and fits comfortably over the teeth. This is because you are chewing in. They play a vital role in. Bite problems, or malocclusions, are one. Bite Blocks Causing Pain.
From davejohnsondentallab.com
Bite Blocks Everything you need to know. Blog Implants Bite Blocks Causing Pain Braces can cause temporary pain, and adding bite blocks may intensify over the short term. Bite blocks, or ramps or turbos, are small devices attached to the teeth to prevent contact between the upper and lower teeth during biting. A bite block is a device that is used to stabilize the jaw during dental procedures. They play a vital role. Bite Blocks Causing Pain.
From isdent.org
A new bite block for panoramic radiographs of anterior edentulous Bite Blocks Causing Pain This is because you are chewing in. They play a vital role in. Bite blocks for braces may cause some initial discomfort as they are designed to separate your upper and lower teeth to correct your bite alignment. Although bite turbos can feel uncomfortable, they shouldn’t cause any pain. Braces can cause temporary pain, and adding bite blocks may intensify. Bite Blocks Causing Pain.
From www.youtube.com
Bonded Blocks Correcting Cross Bites YouTube Bite Blocks Causing Pain A bite block is a device that is used to stabilize the jaw during dental procedures. It is usually made of soft material and fits comfortably over the teeth. Braces can cause temporary pain, and adding bite blocks may intensify over the short term. However, you may have some issues chewing food and speaking at first. A bite block helps. Bite Blocks Causing Pain.
From www.prominent-dental.com
Bite Blocks prominentdental Bite Blocks Causing Pain Bite blocks, or ramps or turbos, are small devices attached to the teeth to prevent contact between the upper and lower teeth during biting. It is usually made of soft material and fits comfortably over the teeth. Braces can cause temporary pain, and adding bite blocks may intensify over the short term. Bite blocks for braces may cause some initial. Bite Blocks Causing Pain.
From avaorthodontics.com
OrthoDictionary in Spring, League City, & Cypress TX Bite Blocks Causing Pain A bite block is a device that is used to stabilize the jaw during dental procedures. Although bite turbos can feel uncomfortable, they shouldn’t cause any pain. Bite blocks for braces may cause some initial discomfort as they are designed to separate your upper and lower teeth to correct your bite alignment. Bite blocks, or ramps or turbos, are small. Bite Blocks Causing Pain.
From www.researchgate.net
Bite block traction for reduction of bilateral temporomandibular joint Bite Blocks Causing Pain Bite blocks, or ramps or turbos, are small devices attached to the teeth to prevent contact between the upper and lower teeth during biting. It is usually made of soft material and fits comfortably over the teeth. Bite problems, or malocclusions, are one of the most common dental issues — worldwide, nearly 60% of adults and children experience a bad. Bite Blocks Causing Pain.
From www.semanticscholar.org
Figure 1 from ImplantSupported Bite Blocks for Open Bite Correction in Bite Blocks Causing Pain Although bite turbos can feel uncomfortable, they shouldn’t cause any pain. A bite block helps you during braces treatment by preventing breakage of the brackets or popping them off when you bite. Bite blocks, or ramps or turbos, are small devices attached to the teeth to prevent contact between the upper and lower teeth during biting. It is usually made. Bite Blocks Causing Pain.
From ids-deutschland.de
Waldent Blue BiteBlock, 51 OFF idsdeutschland.de Bite Blocks Causing Pain Although bite turbos can feel uncomfortable, they shouldn’t cause any pain. Braces can cause temporary pain, and adding bite blocks may intensify over the short term. They play a vital role in. This is because you are chewing in. It is usually made of soft material and fits comfortably over the teeth. Bite blocks for braces may cause some initial. Bite Blocks Causing Pain.
From removemania.com
Effortlessly Remove Bite Blocks with These Simple Steps Removemania Bite Blocks Causing Pain Braces can cause temporary pain, and adding bite blocks may intensify over the short term. They play a vital role in. However, you may have some issues chewing food and speaking at first. A bite block is a device that is used to stabilize the jaw during dental procedures. Although bite turbos can feel uncomfortable, they shouldn’t cause any pain.. Bite Blocks Causing Pain.
From www.helpthemshine.com
Bite BlockJaw GradingRed Bite Blocks Causing Pain Although bite turbos can feel uncomfortable, they shouldn’t cause any pain. A bite block is a device that is used to stabilize the jaw during dental procedures. A bite block helps you during braces treatment by preventing breakage of the brackets or popping them off when you bite. Bite problems, or malocclusions, are one of the most common dental issues. Bite Blocks Causing Pain.
From davejohnsondentallab.com
Bite Blocks for braces Blog Dave Johnson Dental lab Bite Blocks Causing Pain However, you may have some issues chewing food and speaking at first. A bite block is a device that is used to stabilize the jaw during dental procedures. Although bite turbos can feel uncomfortable, they shouldn’t cause any pain. A bite block helps you during braces treatment by preventing breakage of the brackets or popping them off when you bite.. Bite Blocks Causing Pain.
From www.putnamorthodontics.com
Bite Blocks for Braces Everything You Need to Know Bite Blocks Causing Pain Bite blocks, or ramps or turbos, are small devices attached to the teeth to prevent contact between the upper and lower teeth during biting. However, you may have some issues chewing food and speaking at first. Although bite turbos can feel uncomfortable, they shouldn’t cause any pain. A bite block is a device that is used to stabilize the jaw. Bite Blocks Causing Pain.
From breathesafe.uk.com
BreatheSafe Bite Block Patient Airway Protection Bite Blocks Causing Pain They play a vital role in. A bite block is a device that is used to stabilize the jaw during dental procedures. Braces can cause temporary pain, and adding bite blocks may intensify over the short term. This is because you are chewing in. However, you may have some issues chewing food and speaking at first. It is usually made. Bite Blocks Causing Pain.
From remingtonsmiles.com
All About Bite Blocks Bite Blocks Causing Pain Bite blocks, or ramps or turbos, are small devices attached to the teeth to prevent contact between the upper and lower teeth during biting. However, you may have some issues chewing food and speaking at first. Although bite turbos can feel uncomfortable, they shouldn’t cause any pain. A bite block is a device that is used to stabilize the jaw. Bite Blocks Causing Pain.
From dentistmiami.com
What are bite blocks and why should know about them? Bite Blocks Causing Pain A bite block is a device that is used to stabilize the jaw during dental procedures. Although bite turbos can feel uncomfortable, they shouldn’t cause any pain. However, you may have some issues chewing food and speaking at first. Bite blocks, or ramps or turbos, are small devices attached to the teeth to prevent contact between the upper and lower. Bite Blocks Causing Pain.
From healthybiteguide.tumblr.com
Healthy Bite Guide Bite Blocks Causing Pain Braces can cause temporary pain, and adding bite blocks may intensify over the short term. They play a vital role in. Bite blocks, or ramps or turbos, are small devices attached to the teeth to prevent contact between the upper and lower teeth during biting. This is because you are chewing in. A bite block is a device that is. Bite Blocks Causing Pain.
From surdiacahealthcare.com
BATRIK BiteStrong Bite Blocks Leading Medical Distributor in the Bite Blocks Causing Pain Braces can cause temporary pain, and adding bite blocks may intensify over the short term. They play a vital role in. Bite problems, or malocclusions, are one of the most common dental issues — worldwide, nearly 60% of adults and children experience a bad bite. It is usually made of soft material and fits comfortably over the teeth. This is. Bite Blocks Causing Pain.
From www.youtube.com
Braces Update Last Leg of the journey, Bite Block, Frenectomy and Gum Bite Blocks Causing Pain Braces can cause temporary pain, and adding bite blocks may intensify over the short term. Although bite turbos can feel uncomfortable, they shouldn’t cause any pain. A bite block is a device that is used to stabilize the jaw during dental procedures. However, you may have some issues chewing food and speaking at first. Bite blocks for braces may cause. Bite Blocks Causing Pain.
From davejohnsondentallab.com
What are bite blocks for braces? Blog Dental braces Bite Blocks Causing Pain They play a vital role in. A bite block is a device that is used to stabilize the jaw during dental procedures. Although bite turbos can feel uncomfortable, they shouldn’t cause any pain. However, you may have some issues chewing food and speaking at first. Bite blocks, or ramps or turbos, are small devices attached to the teeth to prevent. Bite Blocks Causing Pain.
From davejohnsondentallab.com
The Ins and Outs of Bite Blocks in Orthodontics. Blog Bite Blocks Causing Pain Although bite turbos can feel uncomfortable, they shouldn’t cause any pain. Bite blocks, or ramps or turbos, are small devices attached to the teeth to prevent contact between the upper and lower teeth during biting. It is usually made of soft material and fits comfortably over the teeth. However, you may have some issues chewing food and speaking at first.. Bite Blocks Causing Pain.
From www.briteorthodontics.com
Bite Blocks for Braces Definition, Uses, Side Effects and More Bite Blocks Causing Pain It is usually made of soft material and fits comfortably over the teeth. Braces can cause temporary pain, and adding bite blocks may intensify over the short term. Bite blocks for braces may cause some initial discomfort as they are designed to separate your upper and lower teeth to correct your bite alignment. A bite block helps you during braces. Bite Blocks Causing Pain.
From www.scribd.com
Bite Block Tooth Orthodontics Bite Blocks Causing Pain Although bite turbos can feel uncomfortable, they shouldn’t cause any pain. Braces can cause temporary pain, and adding bite blocks may intensify over the short term. A bite block is a device that is used to stabilize the jaw during dental procedures. This is because you are chewing in. They play a vital role in. Bite blocks for braces may. Bite Blocks Causing Pain.
From www.semanticscholar.org
Figure 1 from The effect of treatment of skeletal open bite with two Bite Blocks Causing Pain It is usually made of soft material and fits comfortably over the teeth. However, you may have some issues chewing food and speaking at first. Although bite turbos can feel uncomfortable, they shouldn’t cause any pain. This is because you are chewing in. Bite problems, or malocclusions, are one of the most common dental issues — worldwide, nearly 60% of. Bite Blocks Causing Pain.
From www.researchgate.net
a, b Rapid Maxillary Expander and Bite Block treatment Download Bite Blocks Causing Pain However, you may have some issues chewing food and speaking at first. Braces can cause temporary pain, and adding bite blocks may intensify over the short term. A bite block is a device that is used to stabilize the jaw during dental procedures. Bite blocks for braces may cause some initial discomfort as they are designed to separate your upper. Bite Blocks Causing Pain.
From www.cantelmedical.eu
Single Use Bite Blocks adult and child sizes Cantel Medical Bite Blocks Causing Pain Bite problems, or malocclusions, are one of the most common dental issues — worldwide, nearly 60% of adults and children experience a bad bite. Although bite turbos can feel uncomfortable, they shouldn’t cause any pain. Bite blocks, or ramps or turbos, are small devices attached to the teeth to prevent contact between the upper and lower teeth during biting. Braces. Bite Blocks Causing Pain.
From bosarmy.weebly.com
Pediatric bite block Bosarmy Bite Blocks Causing Pain It is usually made of soft material and fits comfortably over the teeth. A bite block is a device that is used to stabilize the jaw during dental procedures. However, you may have some issues chewing food and speaking at first. This is because you are chewing in. Bite blocks for braces may cause some initial discomfort as they are. Bite Blocks Causing Pain.
From www.researchgate.net
Fullcoverage ARS in the therapeutic protrusive jaw position. (A) the Bite Blocks Causing Pain Although bite turbos can feel uncomfortable, they shouldn’t cause any pain. This is because you are chewing in. A bite block helps you during braces treatment by preventing breakage of the brackets or popping them off when you bite. Bite blocks, or ramps or turbos, are small devices attached to the teeth to prevent contact between the upper and lower. Bite Blocks Causing Pain.
From davejohnsondentallab.com
What are bite blocks for braces? Blog Dental braces Bite Blocks Causing Pain Bite blocks, or ramps or turbos, are small devices attached to the teeth to prevent contact between the upper and lower teeth during biting. This is because you are chewing in. It is usually made of soft material and fits comfortably over the teeth. Braces can cause temporary pain, and adding bite blocks may intensify over the short term. Although. Bite Blocks Causing Pain.