Ct Scan Meningitis . computed tomography (ct) should be performed in patients with impairment of consciousness and/or. leptomeningitis, which is more commonly referred to as meningitis, represents inflammation of the subarachnoid space (i.e. bacterial meningitis reflects infection of the arachnoid mater and the csf in both the subarachnoid space and the. sometimes meningitis is due the direct spread of infection from paranasal sinus or mastoid infection, thus imaging helps exclude this source of infection. Your doctor will flex your leg at the knee and. mri is superior to ct scanning in the evaluation of patients with suspected meningitis, as well as in demonstrating leptomeningeal. neck stiffness and involuntary bending of the knees and hips can indicate meningitis. computerized tomography (ct) or magnetic resonance imaging (mri) scans of the head may show swelling or. more patients with meningitis are undergoing ct and the number of inappropriate requests are increasing.
from doctorlib.info
sometimes meningitis is due the direct spread of infection from paranasal sinus or mastoid infection, thus imaging helps exclude this source of infection. more patients with meningitis are undergoing ct and the number of inappropriate requests are increasing. computerized tomography (ct) or magnetic resonance imaging (mri) scans of the head may show swelling or. bacterial meningitis reflects infection of the arachnoid mater and the csf in both the subarachnoid space and the. neck stiffness and involuntary bending of the knees and hips can indicate meningitis. computed tomography (ct) should be performed in patients with impairment of consciousness and/or. mri is superior to ct scanning in the evaluation of patients with suspected meningitis, as well as in demonstrating leptomeningeal. leptomeningitis, which is more commonly referred to as meningitis, represents inflammation of the subarachnoid space (i.e. Your doctor will flex your leg at the knee and.
Acute Bacterial Meningitis BACTERIAL AND MYCOPLASMAL Infections of the Central Nervous
Ct Scan Meningitis more patients with meningitis are undergoing ct and the number of inappropriate requests are increasing. sometimes meningitis is due the direct spread of infection from paranasal sinus or mastoid infection, thus imaging helps exclude this source of infection. leptomeningitis, which is more commonly referred to as meningitis, represents inflammation of the subarachnoid space (i.e. mri is superior to ct scanning in the evaluation of patients with suspected meningitis, as well as in demonstrating leptomeningeal. computed tomography (ct) should be performed in patients with impairment of consciousness and/or. computerized tomography (ct) or magnetic resonance imaging (mri) scans of the head may show swelling or. bacterial meningitis reflects infection of the arachnoid mater and the csf in both the subarachnoid space and the. more patients with meningitis are undergoing ct and the number of inappropriate requests are increasing. Your doctor will flex your leg at the knee and. neck stiffness and involuntary bending of the knees and hips can indicate meningitis.
From www.researchgate.net
AD, Examples of cranial imaging in patients with CSF leakassociated... Download Scientific Ct Scan Meningitis sometimes meningitis is due the direct spread of infection from paranasal sinus or mastoid infection, thus imaging helps exclude this source of infection. computerized tomography (ct) or magnetic resonance imaging (mri) scans of the head may show swelling or. more patients with meningitis are undergoing ct and the number of inappropriate requests are increasing. computed tomography. Ct Scan Meningitis.
From mungfali.com
Bacterial Meningitis CT Scan Ct Scan Meningitis more patients with meningitis are undergoing ct and the number of inappropriate requests are increasing. computed tomography (ct) should be performed in patients with impairment of consciousness and/or. Your doctor will flex your leg at the knee and. computerized tomography (ct) or magnetic resonance imaging (mri) scans of the head may show swelling or. leptomeningitis, which. Ct Scan Meningitis.
From www.alamy.com
Brain in meningitis. Computed tomography (CT) scan of an axial section through the brain of a 39 Ct Scan Meningitis computerized tomography (ct) or magnetic resonance imaging (mri) scans of the head may show swelling or. sometimes meningitis is due the direct spread of infection from paranasal sinus or mastoid infection, thus imaging helps exclude this source of infection. computed tomography (ct) should be performed in patients with impairment of consciousness and/or. mri is superior to. Ct Scan Meningitis.
From www.mdpi.com
Diagnostics Free FullText Cerebral Infarction and Evan’s Ratio on MRI Affect the Severity Ct Scan Meningitis Your doctor will flex your leg at the knee and. mri is superior to ct scanning in the evaluation of patients with suspected meningitis, as well as in demonstrating leptomeningeal. computerized tomography (ct) or magnetic resonance imaging (mri) scans of the head may show swelling or. computed tomography (ct) should be performed in patients with impairment of. Ct Scan Meningitis.
From www.researchgate.net
Head CT scan with contrast enhancing in basal region, related to... Download Scientific Diagram Ct Scan Meningitis computerized tomography (ct) or magnetic resonance imaging (mri) scans of the head may show swelling or. mri is superior to ct scanning in the evaluation of patients with suspected meningitis, as well as in demonstrating leptomeningeal. Your doctor will flex your leg at the knee and. bacterial meningitis reflects infection of the arachnoid mater and the csf. Ct Scan Meningitis.
From www.researchgate.net
Head CT on day 2 for evaluation of meningitis. (a) Axial head CT shows... Download Scientific Ct Scan Meningitis more patients with meningitis are undergoing ct and the number of inappropriate requests are increasing. leptomeningitis, which is more commonly referred to as meningitis, represents inflammation of the subarachnoid space (i.e. sometimes meningitis is due the direct spread of infection from paranasal sinus or mastoid infection, thus imaging helps exclude this source of infection. mri is. Ct Scan Meningitis.
From www.researchgate.net
e Axial noncontrast head CT demonstrates enlargement of the lateral... Download Scientific Diagram Ct Scan Meningitis Your doctor will flex your leg at the knee and. more patients with meningitis are undergoing ct and the number of inappropriate requests are increasing. mri is superior to ct scanning in the evaluation of patients with suspected meningitis, as well as in demonstrating leptomeningeal. leptomeningitis, which is more commonly referred to as meningitis, represents inflammation of. Ct Scan Meningitis.
From www.ctisus.com
Meningitis. Neuro MR Case Studies CTisus CT Scanning Ct Scan Meningitis more patients with meningitis are undergoing ct and the number of inappropriate requests are increasing. Your doctor will flex your leg at the knee and. sometimes meningitis is due the direct spread of infection from paranasal sinus or mastoid infection, thus imaging helps exclude this source of infection. mri is superior to ct scanning in the evaluation. Ct Scan Meningitis.
From www.researchgate.net
(PDF) Findings of Brain CT Scan in Patients Hospitalized with Meningitis in Tabriz Children's Ct Scan Meningitis more patients with meningitis are undergoing ct and the number of inappropriate requests are increasing. computed tomography (ct) should be performed in patients with impairment of consciousness and/or. bacterial meningitis reflects infection of the arachnoid mater and the csf in both the subarachnoid space and the. sometimes meningitis is due the direct spread of infection from. Ct Scan Meningitis.
From www.researchgate.net
Head CT on day 2 for evaluation of meningitis. (a) Axial head CT shows... Download Scientific Ct Scan Meningitis mri is superior to ct scanning in the evaluation of patients with suspected meningitis, as well as in demonstrating leptomeningeal. computerized tomography (ct) or magnetic resonance imaging (mri) scans of the head may show swelling or. leptomeningitis, which is more commonly referred to as meningitis, represents inflammation of the subarachnoid space (i.e. Your doctor will flex your. Ct Scan Meningitis.
From mriprotocol.blogspot.com
MRI Protocols Meningitis MRI Protocol Ct Scan Meningitis computed tomography (ct) should be performed in patients with impairment of consciousness and/or. leptomeningitis, which is more commonly referred to as meningitis, represents inflammation of the subarachnoid space (i.e. computerized tomography (ct) or magnetic resonance imaging (mri) scans of the head may show swelling or. mri is superior to ct scanning in the evaluation of patients. Ct Scan Meningitis.
From www.ctisus.com
Meningitis. Neuro MR Case Studies CTisus CT Scanning Ct Scan Meningitis computed tomography (ct) should be performed in patients with impairment of consciousness and/or. sometimes meningitis is due the direct spread of infection from paranasal sinus or mastoid infection, thus imaging helps exclude this source of infection. mri is superior to ct scanning in the evaluation of patients with suspected meningitis, as well as in demonstrating leptomeningeal. Your. Ct Scan Meningitis.
From www.alamy.com
CT brain scan of a patient with Streptococcus suis meningitis showing leptomeningeal enhancing Ct Scan Meningitis leptomeningitis, which is more commonly referred to as meningitis, represents inflammation of the subarachnoid space (i.e. sometimes meningitis is due the direct spread of infection from paranasal sinus or mastoid infection, thus imaging helps exclude this source of infection. bacterial meningitis reflects infection of the arachnoid mater and the csf in both the subarachnoid space and the.. Ct Scan Meningitis.
From www.researchgate.net
ae Cerebral infarction complicating tuberculous meningitis in a... Download Scientific Diagram Ct Scan Meningitis mri is superior to ct scanning in the evaluation of patients with suspected meningitis, as well as in demonstrating leptomeningeal. Your doctor will flex your leg at the knee and. bacterial meningitis reflects infection of the arachnoid mater and the csf in both the subarachnoid space and the. computerized tomography (ct) or magnetic resonance imaging (mri) scans. Ct Scan Meningitis.
From www.researchgate.net
Tuberculous meningitis with communicating hydrocephalus. Followup... Download Scientific Diagram Ct Scan Meningitis computerized tomography (ct) or magnetic resonance imaging (mri) scans of the head may show swelling or. Your doctor will flex your leg at the knee and. neck stiffness and involuntary bending of the knees and hips can indicate meningitis. mri is superior to ct scanning in the evaluation of patients with suspected meningitis, as well as in. Ct Scan Meningitis.
From www.researchgate.net
Findings on head computed tomography of patients with tuberculous... Download Scientific Diagram Ct Scan Meningitis sometimes meningitis is due the direct spread of infection from paranasal sinus or mastoid infection, thus imaging helps exclude this source of infection. mri is superior to ct scanning in the evaluation of patients with suspected meningitis, as well as in demonstrating leptomeningeal. neck stiffness and involuntary bending of the knees and hips can indicate meningitis. . Ct Scan Meningitis.
From journals.sagepub.com
Cerebrovascular complications in tuberculous meningitis—A resonance imaging study in 90 Ct Scan Meningitis leptomeningitis, which is more commonly referred to as meningitis, represents inflammation of the subarachnoid space (i.e. neck stiffness and involuntary bending of the knees and hips can indicate meningitis. bacterial meningitis reflects infection of the arachnoid mater and the csf in both the subarachnoid space and the. more patients with meningitis are undergoing ct and the. Ct Scan Meningitis.
From www.ncbi.nlm.nih.gov
Fig. 6.5, [Proven tuberculous meningitis with multiple...]. Diseases of the Brain, Head and Ct Scan Meningitis leptomeningitis, which is more commonly referred to as meningitis, represents inflammation of the subarachnoid space (i.e. neck stiffness and involuntary bending of the knees and hips can indicate meningitis. bacterial meningitis reflects infection of the arachnoid mater and the csf in both the subarachnoid space and the. mri is superior to ct scanning in the evaluation. Ct Scan Meningitis.
From www.ctisus.com
Cryptococcal Meningitis Neuro MR Case Studies CTisus CT Scanning Ct Scan Meningitis sometimes meningitis is due the direct spread of infection from paranasal sinus or mastoid infection, thus imaging helps exclude this source of infection. more patients with meningitis are undergoing ct and the number of inappropriate requests are increasing. computerized tomography (ct) or magnetic resonance imaging (mri) scans of the head may show swelling or. computed tomography. Ct Scan Meningitis.
From www.researchgate.net
Imaging manifestations of intracranial infections. a... Download Scientific Diagram Ct Scan Meningitis mri is superior to ct scanning in the evaluation of patients with suspected meningitis, as well as in demonstrating leptomeningeal. more patients with meningitis are undergoing ct and the number of inappropriate requests are increasing. neck stiffness and involuntary bending of the knees and hips can indicate meningitis. Your doctor will flex your leg at the knee. Ct Scan Meningitis.
From www.neuroradiologycases.com
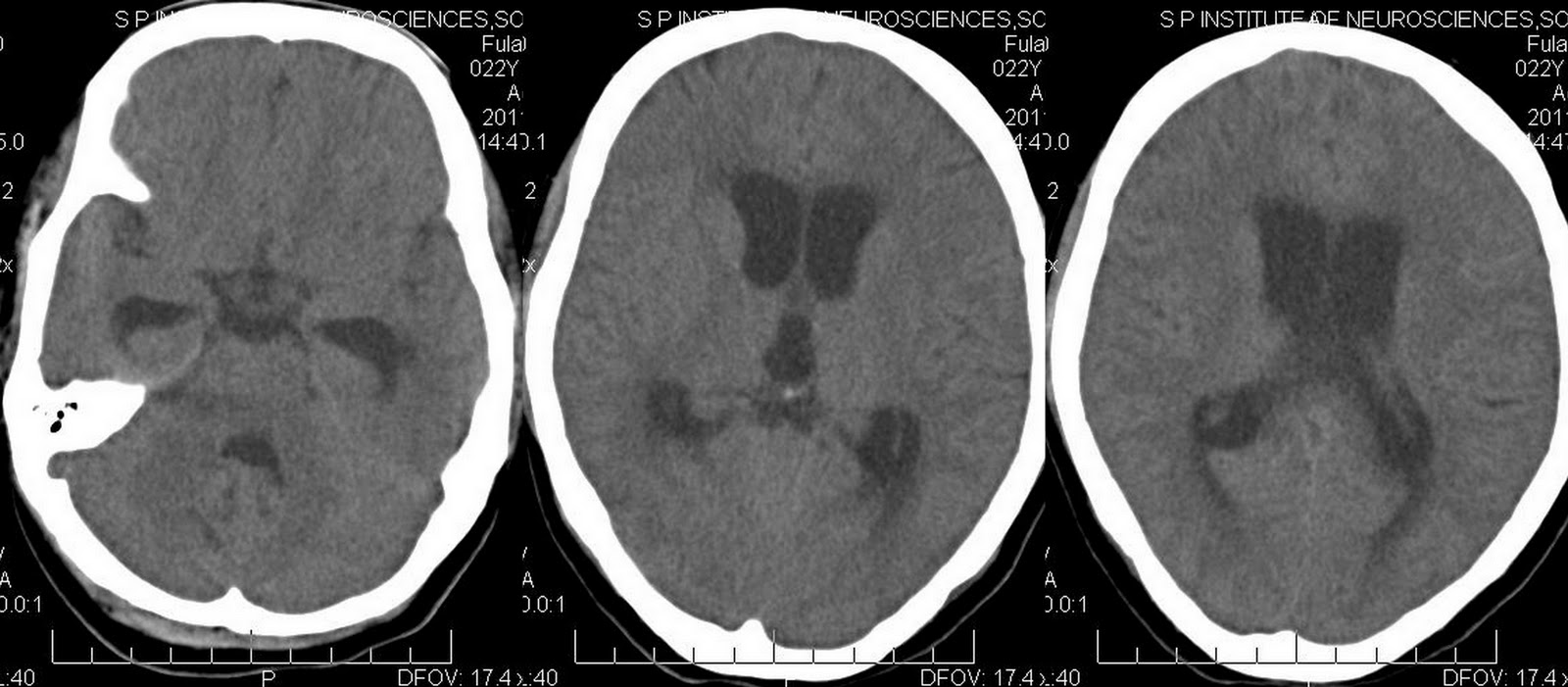
Dr Balaji Anvekar FRCR Hydrocephalus in Tubercular meningitis Ct Scan Meningitis leptomeningitis, which is more commonly referred to as meningitis, represents inflammation of the subarachnoid space (i.e. computed tomography (ct) should be performed in patients with impairment of consciousness and/or. computerized tomography (ct) or magnetic resonance imaging (mri) scans of the head may show swelling or. mri is superior to ct scanning in the evaluation of patients. Ct Scan Meningitis.
From hpy555medim.blogspot.com
RESONANCE IMAGING OF BRAIN MRI BRAIN Ct Scan Meningitis Your doctor will flex your leg at the knee and. leptomeningitis, which is more commonly referred to as meningitis, represents inflammation of the subarachnoid space (i.e. bacterial meningitis reflects infection of the arachnoid mater and the csf in both the subarachnoid space and the. more patients with meningitis are undergoing ct and the number of inappropriate requests. Ct Scan Meningitis.
From www.gncdubai.com
Meningitis and Encephalitis Differences, Symptioms & Causes Ct Scan Meningitis computerized tomography (ct) or magnetic resonance imaging (mri) scans of the head may show swelling or. Your doctor will flex your leg at the knee and. mri is superior to ct scanning in the evaluation of patients with suspected meningitis, as well as in demonstrating leptomeningeal. computed tomography (ct) should be performed in patients with impairment of. Ct Scan Meningitis.
From jamanetwork.com
Injury After Pneumococcal Meningitis With Brain Edema Neurology JAMA Ct Scan Meningitis leptomeningitis, which is more commonly referred to as meningitis, represents inflammation of the subarachnoid space (i.e. neck stiffness and involuntary bending of the knees and hips can indicate meningitis. bacterial meningitis reflects infection of the arachnoid mater and the csf in both the subarachnoid space and the. mri is superior to ct scanning in the evaluation. Ct Scan Meningitis.
From pn.bmj.com
Communityacquired bacterial meningitis in adults Practical Neurology Ct Scan Meningitis neck stiffness and involuntary bending of the knees and hips can indicate meningitis. bacterial meningitis reflects infection of the arachnoid mater and the csf in both the subarachnoid space and the. sometimes meningitis is due the direct spread of infection from paranasal sinus or mastoid infection, thus imaging helps exclude this source of infection. computed tomography. Ct Scan Meningitis.
From www.medlink.com
Cryptococcal meningitis MedLink Neurology Ct Scan Meningitis bacterial meningitis reflects infection of the arachnoid mater and the csf in both the subarachnoid space and the. sometimes meningitis is due the direct spread of infection from paranasal sinus or mastoid infection, thus imaging helps exclude this source of infection. computed tomography (ct) should be performed in patients with impairment of consciousness and/or. more patients. Ct Scan Meningitis.
From doctorlib.info
Acute Bacterial Meningitis BACTERIAL AND MYCOPLASMAL Infections of the Central Nervous Ct Scan Meningitis mri is superior to ct scanning in the evaluation of patients with suspected meningitis, as well as in demonstrating leptomeningeal. more patients with meningitis are undergoing ct and the number of inappropriate requests are increasing. sometimes meningitis is due the direct spread of infection from paranasal sinus or mastoid infection, thus imaging helps exclude this source of. Ct Scan Meningitis.
From brainandspinessection.blogspot.com
Brain and Spines Meningitis Ct Scan Meningitis computerized tomography (ct) or magnetic resonance imaging (mri) scans of the head may show swelling or. mri is superior to ct scanning in the evaluation of patients with suspected meningitis, as well as in demonstrating leptomeningeal. computed tomography (ct) should be performed in patients with impairment of consciousness and/or. sometimes meningitis is due the direct spread. Ct Scan Meningitis.
From www.neuroimaging.theclinics.com
Imaging of Meningitis and Ventriculitis Neuroimaging Clinics Ct Scan Meningitis sometimes meningitis is due the direct spread of infection from paranasal sinus or mastoid infection, thus imaging helps exclude this source of infection. more patients with meningitis are undergoing ct and the number of inappropriate requests are increasing. computerized tomography (ct) or magnetic resonance imaging (mri) scans of the head may show swelling or. Your doctor will. Ct Scan Meningitis.
From www.eurorad.org
Tuberculous meningitis Eurorad Ct Scan Meningitis computed tomography (ct) should be performed in patients with impairment of consciousness and/or. leptomeningitis, which is more commonly referred to as meningitis, represents inflammation of the subarachnoid space (i.e. computerized tomography (ct) or magnetic resonance imaging (mri) scans of the head may show swelling or. sometimes meningitis is due the direct spread of infection from paranasal. Ct Scan Meningitis.
From www.alamy.com
Brain in meningitis. Coloured computed tomography (CT) scan of an axial section through the Ct Scan Meningitis Your doctor will flex your leg at the knee and. computed tomography (ct) should be performed in patients with impairment of consciousness and/or. leptomeningitis, which is more commonly referred to as meningitis, represents inflammation of the subarachnoid space (i.e. bacterial meningitis reflects infection of the arachnoid mater and the csf in both the subarachnoid space and the.. Ct Scan Meningitis.
From nsj.org.sa
Aspergillus sinusitis complicated with meningitis and multiple cerebral infarctions in Ct Scan Meningitis computed tomography (ct) should be performed in patients with impairment of consciousness and/or. more patients with meningitis are undergoing ct and the number of inappropriate requests are increasing. leptomeningitis, which is more commonly referred to as meningitis, represents inflammation of the subarachnoid space (i.e. mri is superior to ct scanning in the evaluation of patients with. Ct Scan Meningitis.
From pn.bmj.com
Communityacquired bacterial meningitis in adults Practical Neurology Ct Scan Meningitis mri is superior to ct scanning in the evaluation of patients with suspected meningitis, as well as in demonstrating leptomeningeal. neck stiffness and involuntary bending of the knees and hips can indicate meningitis. computerized tomography (ct) or magnetic resonance imaging (mri) scans of the head may show swelling or. Your doctor will flex your leg at the. Ct Scan Meningitis.
From www.researchgate.net
(PDF) Cerebrospinal Fluid Otorrhea and Invasive Pneumococcal Meningitis in a Girl with Hyrtl′s Ct Scan Meningitis computed tomography (ct) should be performed in patients with impairment of consciousness and/or. neck stiffness and involuntary bending of the knees and hips can indicate meningitis. more patients with meningitis are undergoing ct and the number of inappropriate requests are increasing. sometimes meningitis is due the direct spread of infection from paranasal sinus or mastoid infection,. Ct Scan Meningitis.
From www.researchgate.net
NTM meningitis, presenting as hydrocephalus, in a 30yearold male.... Download Scientific Diagram Ct Scan Meningitis sometimes meningitis is due the direct spread of infection from paranasal sinus or mastoid infection, thus imaging helps exclude this source of infection. bacterial meningitis reflects infection of the arachnoid mater and the csf in both the subarachnoid space and the. Your doctor will flex your leg at the knee and. computerized tomography (ct) or magnetic resonance. Ct Scan Meningitis.