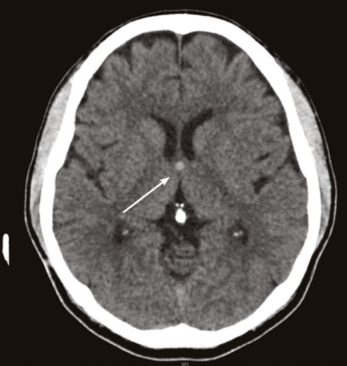
Colloid Cyst Management . The most common imaging finding is that of a rounded mass in the anterior. The best practice management of colloid cysts is determined from retrospective case series and would benefit from larger. Describe interprofessional team strategies for improving care coordination and. Colloid cysts of the third ventricle are histologically benign lesions that can cause obstructive hydrocephalus and death. An individual with a suspected or diagnosed colloid cyst should be referred to a neurosurgeon for evaluation and treatment. Some colloid cysts result in acute onset of hydrocephalus and may lead to sudden death. Asymptomatic lesions may be managed conservatively with routine. Management of colloid cysts depends upon the patient’s clinical state. Historically, colloid cysts have been removed by open. The overall approach from diagnosis to management to definitive treatment of a colloid cyst requires an interdisciplinary. Outline the treatment and management options available for colloid cysts.
from www.researchgate.net
Asymptomatic lesions may be managed conservatively with routine. Some colloid cysts result in acute onset of hydrocephalus and may lead to sudden death. Outline the treatment and management options available for colloid cysts. The most common imaging finding is that of a rounded mass in the anterior. An individual with a suspected or diagnosed colloid cyst should be referred to a neurosurgeon for evaluation and treatment. Historically, colloid cysts have been removed by open. Management of colloid cysts depends upon the patient’s clinical state. The best practice management of colloid cysts is determined from retrospective case series and would benefit from larger. Colloid cysts of the third ventricle are histologically benign lesions that can cause obstructive hydrocephalus and death. Describe interprofessional team strategies for improving care coordination and.
(PDF) Neurosurgical management of a giant colloid cyst with atypical
Colloid Cyst Management Historically, colloid cysts have been removed by open. Colloid cysts of the third ventricle are histologically benign lesions that can cause obstructive hydrocephalus and death. The most common imaging finding is that of a rounded mass in the anterior. Management of colloid cysts depends upon the patient’s clinical state. Some colloid cysts result in acute onset of hydrocephalus and may lead to sudden death. The best practice management of colloid cysts is determined from retrospective case series and would benefit from larger. Asymptomatic lesions may be managed conservatively with routine. The overall approach from diagnosis to management to definitive treatment of a colloid cyst requires an interdisciplinary. Describe interprofessional team strategies for improving care coordination and. Historically, colloid cysts have been removed by open. Outline the treatment and management options available for colloid cysts. An individual with a suspected or diagnosed colloid cyst should be referred to a neurosurgeon for evaluation and treatment.
From www.linkedin.com
colloid cysts surgery Colloid Cyst Management Some colloid cysts result in acute onset of hydrocephalus and may lead to sudden death. Colloid cysts of the third ventricle are histologically benign lesions that can cause obstructive hydrocephalus and death. Asymptomatic lesions may be managed conservatively with routine. Historically, colloid cysts have been removed by open. The best practice management of colloid cysts is determined from retrospective case. Colloid Cyst Management.
From thejns.org
Neurosurgical management of a giant colloid cyst with atypical clinical Colloid Cyst Management Colloid cysts of the third ventricle are histologically benign lesions that can cause obstructive hydrocephalus and death. Describe interprofessional team strategies for improving care coordination and. Management of colloid cysts depends upon the patient’s clinical state. Some colloid cysts result in acute onset of hydrocephalus and may lead to sudden death. An individual with a suspected or diagnosed colloid cyst. Colloid Cyst Management.
From www.diseasemaps.org
How is Colloid cyst diagnosed? Colloid Cyst Management Some colloid cysts result in acute onset of hydrocephalus and may lead to sudden death. Management of colloid cysts depends upon the patient’s clinical state. Colloid cysts of the third ventricle are histologically benign lesions that can cause obstructive hydrocephalus and death. Outline the treatment and management options available for colloid cysts. The overall approach from diagnosis to management to. Colloid Cyst Management.
From www.researchgate.net
(PDF) Retrospective evaluation of endoscopic treatment in colloid cyst Colloid Cyst Management The overall approach from diagnosis to management to definitive treatment of a colloid cyst requires an interdisciplinary. Some colloid cysts result in acute onset of hydrocephalus and may lead to sudden death. Outline the treatment and management options available for colloid cysts. Historically, colloid cysts have been removed by open. An individual with a suspected or diagnosed colloid cyst should. Colloid Cyst Management.
From radiopaedia.ir
3rd Ventricle colloid cyst Radiopaedia Colloid Cyst Management Historically, colloid cysts have been removed by open. The most common imaging finding is that of a rounded mass in the anterior. The overall approach from diagnosis to management to definitive treatment of a colloid cyst requires an interdisciplinary. An individual with a suspected or diagnosed colloid cyst should be referred to a neurosurgeon for evaluation and treatment. Outline the. Colloid Cyst Management.
From www.neurosurgicalatlas.com
Colloid Cyst (Transcallosal Approach) The Neurosurgical Atlas Colloid Cyst Management Some colloid cysts result in acute onset of hydrocephalus and may lead to sudden death. Management of colloid cysts depends upon the patient’s clinical state. Describe interprofessional team strategies for improving care coordination and. Historically, colloid cysts have been removed by open. Asymptomatic lesions may be managed conservatively with routine. The best practice management of colloid cysts is determined from. Colloid Cyst Management.
From www.youtube.com
Surgical Management of Colloid Cysts with Alexander Schüpper, MD YouTube Colloid Cyst Management The overall approach from diagnosis to management to definitive treatment of a colloid cyst requires an interdisciplinary. The best practice management of colloid cysts is determined from retrospective case series and would benefit from larger. Colloid cysts of the third ventricle are histologically benign lesions that can cause obstructive hydrocephalus and death. Some colloid cysts result in acute onset of. Colloid Cyst Management.
From thejns.org
Neurosurgical management of a giant colloid cyst with atypical clinical Colloid Cyst Management An individual with a suspected or diagnosed colloid cyst should be referred to a neurosurgeon for evaluation and treatment. Describe interprofessional team strategies for improving care coordination and. Historically, colloid cysts have been removed by open. Some colloid cysts result in acute onset of hydrocephalus and may lead to sudden death. Colloid cysts of the third ventricle are histologically benign. Colloid Cyst Management.
From www.researchgate.net
(PDF) Endoscopic resection of colloid cyst longterm followup with 63 Colloid Cyst Management Historically, colloid cysts have been removed by open. Outline the treatment and management options available for colloid cysts. An individual with a suspected or diagnosed colloid cyst should be referred to a neurosurgeon for evaluation and treatment. Management of colloid cysts depends upon the patient’s clinical state. Describe interprofessional team strategies for improving care coordination and. Asymptomatic lesions may be. Colloid Cyst Management.
From mian-neurosurgery.com
Colloid Cyst — Matthew Mian, MD Colloid Cyst Management Management of colloid cysts depends upon the patient’s clinical state. Describe interprofessional team strategies for improving care coordination and. Historically, colloid cysts have been removed by open. The most common imaging finding is that of a rounded mass in the anterior. The overall approach from diagnosis to management to definitive treatment of a colloid cyst requires an interdisciplinary. Outline the. Colloid Cyst Management.
From www.researchgate.net
(PDF) Management of pineal and colloid cysts Colloid Cyst Management Asymptomatic lesions may be managed conservatively with routine. Historically, colloid cysts have been removed by open. Describe interprofessional team strategies for improving care coordination and. Some colloid cysts result in acute onset of hydrocephalus and may lead to sudden death. Management of colloid cysts depends upon the patient’s clinical state. The best practice management of colloid cysts is determined from. Colloid Cyst Management.
From www.researchgate.net
(PDF) Neurosurgical management of a giant colloid cyst with atypical Colloid Cyst Management Describe interprofessional team strategies for improving care coordination and. The most common imaging finding is that of a rounded mass in the anterior. The overall approach from diagnosis to management to definitive treatment of a colloid cyst requires an interdisciplinary. The best practice management of colloid cysts is determined from retrospective case series and would benefit from larger. Asymptomatic lesions. Colloid Cyst Management.
From www.neurosurgery-blog.com
Anterior transfrontal endoscopic management of colloid cyst Colloid Cyst Management The overall approach from diagnosis to management to definitive treatment of a colloid cyst requires an interdisciplinary. Outline the treatment and management options available for colloid cysts. An individual with a suspected or diagnosed colloid cyst should be referred to a neurosurgeon for evaluation and treatment. Describe interprofessional team strategies for improving care coordination and. Some colloid cysts result in. Colloid Cyst Management.
From healthjade.net
Colloid cyst third ventricle causes, symptoms, diagnosis & treatment Colloid Cyst Management Some colloid cysts result in acute onset of hydrocephalus and may lead to sudden death. Outline the treatment and management options available for colloid cysts. Describe interprofessional team strategies for improving care coordination and. Historically, colloid cysts have been removed by open. The most common imaging finding is that of a rounded mass in the anterior. Colloid cysts of the. Colloid Cyst Management.
From seattleneurosciences.com
Colloid cyst surgery Treatment for colloid cyst Seattle Colloid Cyst Management Outline the treatment and management options available for colloid cysts. Describe interprofessional team strategies for improving care coordination and. Asymptomatic lesions may be managed conservatively with routine. The most common imaging finding is that of a rounded mass in the anterior. An individual with a suspected or diagnosed colloid cyst should be referred to a neurosurgeon for evaluation and treatment.. Colloid Cyst Management.
From www.medicalrepublic.com.au
Colloid cyst of the 3rd ventricle significance and management Colloid Cyst Management Colloid cysts of the third ventricle are histologically benign lesions that can cause obstructive hydrocephalus and death. Some colloid cysts result in acute onset of hydrocephalus and may lead to sudden death. Management of colloid cysts depends upon the patient’s clinical state. The overall approach from diagnosis to management to definitive treatment of a colloid cyst requires an interdisciplinary. The. Colloid Cyst Management.
From www.researchgate.net
(PDF) Spontaneous resolution of colloid cyst of the third ventricle Colloid Cyst Management Management of colloid cysts depends upon the patient’s clinical state. Colloid cysts of the third ventricle are histologically benign lesions that can cause obstructive hydrocephalus and death. Historically, colloid cysts have been removed by open. The overall approach from diagnosis to management to definitive treatment of a colloid cyst requires an interdisciplinary. An individual with a suspected or diagnosed colloid. Colloid Cyst Management.
From pdfprof.com
colloid cyst Colloid Cyst Management Outline the treatment and management options available for colloid cysts. The overall approach from diagnosis to management to definitive treatment of a colloid cyst requires an interdisciplinary. Colloid cysts of the third ventricle are histologically benign lesions that can cause obstructive hydrocephalus and death. Historically, colloid cysts have been removed by open. An individual with a suspected or diagnosed colloid. Colloid Cyst Management.
From healthjade.net
Colloid cyst third ventricle causes, symptoms, diagnosis & treatment Colloid Cyst Management Some colloid cysts result in acute onset of hydrocephalus and may lead to sudden death. The overall approach from diagnosis to management to definitive treatment of a colloid cyst requires an interdisciplinary. The most common imaging finding is that of a rounded mass in the anterior. Historically, colloid cysts have been removed by open. Management of colloid cysts depends upon. Colloid Cyst Management.
From mavink.com
Colloid Cyst Mri Colloid Cyst Management Colloid cysts of the third ventricle are histologically benign lesions that can cause obstructive hydrocephalus and death. Historically, colloid cysts have been removed by open. Asymptomatic lesions may be managed conservatively with routine. Some colloid cysts result in acute onset of hydrocephalus and may lead to sudden death. An individual with a suspected or diagnosed colloid cyst should be referred. Colloid Cyst Management.
From www.pdfprof.com
colloid cyst Colloid Cyst Management The most common imaging finding is that of a rounded mass in the anterior. Colloid cysts of the third ventricle are histologically benign lesions that can cause obstructive hydrocephalus and death. Management of colloid cysts depends upon the patient’s clinical state. Outline the treatment and management options available for colloid cysts. The best practice management of colloid cysts is determined. Colloid Cyst Management.
From www.youtube.com
Clinical case enlarging colloid cyst of the third ventricle Colloid Cyst Management Asymptomatic lesions may be managed conservatively with routine. Historically, colloid cysts have been removed by open. An individual with a suspected or diagnosed colloid cyst should be referred to a neurosurgeon for evaluation and treatment. The best practice management of colloid cysts is determined from retrospective case series and would benefit from larger. The most common imaging finding is that. Colloid Cyst Management.
From lnpuk.com
Colloid cyst London Neurosurgery Spine & Neurosurgery Colloid Cyst Management Some colloid cysts result in acute onset of hydrocephalus and may lead to sudden death. Outline the treatment and management options available for colloid cysts. The best practice management of colloid cysts is determined from retrospective case series and would benefit from larger. An individual with a suspected or diagnosed colloid cyst should be referred to a neurosurgeon for evaluation. Colloid Cyst Management.
From www.ncbi.nlm.nih.gov
Colloid Brain Cyst StatPearls NCBI Bookshelf Colloid Cyst Management Colloid cysts of the third ventricle are histologically benign lesions that can cause obstructive hydrocephalus and death. Asymptomatic lesions may be managed conservatively with routine. Some colloid cysts result in acute onset of hydrocephalus and may lead to sudden death. An individual with a suspected or diagnosed colloid cyst should be referred to a neurosurgeon for evaluation and treatment. Outline. Colloid Cyst Management.
From www.researchgate.net
(PDF) Treatment of colloid cyst of the third ventricle by stereotactic Colloid Cyst Management Historically, colloid cysts have been removed by open. Some colloid cysts result in acute onset of hydrocephalus and may lead to sudden death. Management of colloid cysts depends upon the patient’s clinical state. Asymptomatic lesions may be managed conservatively with routine. The best practice management of colloid cysts is determined from retrospective case series and would benefit from larger. An. Colloid Cyst Management.
From weillcornellbrainandspine.org
Surgery for a Colloid Cyst Weill Cornell Brain and Spine Center Colloid Cyst Management Outline the treatment and management options available for colloid cysts. The overall approach from diagnosis to management to definitive treatment of a colloid cyst requires an interdisciplinary. The best practice management of colloid cysts is determined from retrospective case series and would benefit from larger. Asymptomatic lesions may be managed conservatively with routine. Some colloid cysts result in acute onset. Colloid Cyst Management.
From mian-neurosurgery.com
Colloid Cyst — Matthew Mian, MD Colloid Cyst Management Outline the treatment and management options available for colloid cysts. The best practice management of colloid cysts is determined from retrospective case series and would benefit from larger. An individual with a suspected or diagnosed colloid cyst should be referred to a neurosurgeon for evaluation and treatment. Some colloid cysts result in acute onset of hydrocephalus and may lead to. Colloid Cyst Management.
From www.dovemed.com
Colloid Cyst of Brain Colloid Cyst Management The best practice management of colloid cysts is determined from retrospective case series and would benefit from larger. An individual with a suspected or diagnosed colloid cyst should be referred to a neurosurgeon for evaluation and treatment. The most common imaging finding is that of a rounded mass in the anterior. Asymptomatic lesions may be managed conservatively with routine. Historically,. Colloid Cyst Management.
From www.researchgate.net
Varying imaging features of colloid cysts. (A) Axial CT scan and (B Colloid Cyst Management Colloid cysts of the third ventricle are histologically benign lesions that can cause obstructive hydrocephalus and death. The overall approach from diagnosis to management to definitive treatment of a colloid cyst requires an interdisciplinary. Asymptomatic lesions may be managed conservatively with routine. An individual with a suspected or diagnosed colloid cyst should be referred to a neurosurgeon for evaluation and. Colloid Cyst Management.
From jnnp.bmj.com
Colloid cyst of the IIIrd ventricle Journal of Neurology Colloid Cyst Management Management of colloid cysts depends upon the patient’s clinical state. Outline the treatment and management options available for colloid cysts. The best practice management of colloid cysts is determined from retrospective case series and would benefit from larger. Colloid cysts of the third ventricle are histologically benign lesions that can cause obstructive hydrocephalus and death. Some colloid cysts result in. Colloid Cyst Management.
From www.medicalrepublic.com.au
Colloid cyst of the 3rd ventricle significance and management • The Colloid Cyst Management Colloid cysts of the third ventricle are histologically benign lesions that can cause obstructive hydrocephalus and death. The most common imaging finding is that of a rounded mass in the anterior. The best practice management of colloid cysts is determined from retrospective case series and would benefit from larger. The overall approach from diagnosis to management to definitive treatment of. Colloid Cyst Management.
From www.academia.edu
(PDF) Endoscopic Management of Colloid Cysts David Silva Academia.edu Colloid Cyst Management Asymptomatic lesions may be managed conservatively with routine. An individual with a suspected or diagnosed colloid cyst should be referred to a neurosurgeon for evaluation and treatment. Historically, colloid cysts have been removed by open. Describe interprofessional team strategies for improving care coordination and. The overall approach from diagnosis to management to definitive treatment of a colloid cyst requires an. Colloid Cyst Management.
From www.svuhradiology.ie
Colloid cyst Radiology at St. Vincent's University Hospital Colloid Cyst Management Historically, colloid cysts have been removed by open. The most common imaging finding is that of a rounded mass in the anterior. Some colloid cysts result in acute onset of hydrocephalus and may lead to sudden death. Describe interprofessional team strategies for improving care coordination and. Management of colloid cysts depends upon the patient’s clinical state. Outline the treatment and. Colloid Cyst Management.
From www.researchgate.net
(PDF) Endoscopic Management of Colloid Cysts. Colloid Cyst Management An individual with a suspected or diagnosed colloid cyst should be referred to a neurosurgeon for evaluation and treatment. Describe interprofessional team strategies for improving care coordination and. Historically, colloid cysts have been removed by open. Colloid cysts of the third ventricle are histologically benign lesions that can cause obstructive hydrocephalus and death. Asymptomatic lesions may be managed conservatively with. Colloid Cyst Management.
From www.researchgate.net
(PDF) Anterior transfrontal endoscopic management of colloid cyst an Colloid Cyst Management An individual with a suspected or diagnosed colloid cyst should be referred to a neurosurgeon for evaluation and treatment. Describe interprofessional team strategies for improving care coordination and. Management of colloid cysts depends upon the patient’s clinical state. Historically, colloid cysts have been removed by open. The most common imaging finding is that of a rounded mass in the anterior.. Colloid Cyst Management.