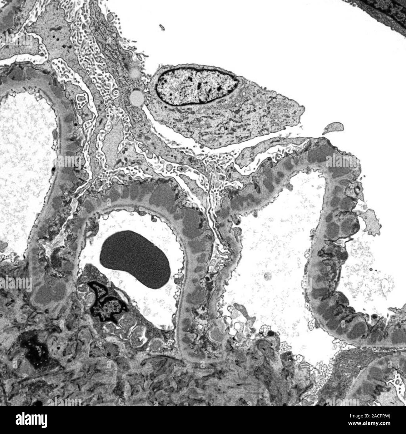
Transmission Electron Microscopy Glomerulus . Ultrastructural studies of the glomerulus by transmission electron microscopy (tem) and conventional scanning electron. Sections were examined using a fei tecnai 12g2 biotwin transmission electron microscope. Diabetic nephropathy (dn), the single strongest predictor of mortality in patients with type 2 diabetes, is characterized by initial. Transmission em (tem), commonly used in diagnosis and research, focuses high energy (100 kv and higher) electrons with lenses to form images in a way similar to. Transmission electron microscopy of a perfusion fixed rat glomerulus with addition of lady gaga stain (section 80 nm thick). In response to this issue, the renal pathology society organized a working group to identify the most frequently identified glomerular lesions observed by light microscopy and electron microscopy, review the literature to capture the published definitions most often used for each, and determine consensus terms and definitions for each lesion in. We have used a new approach involving serial section electron microscopy to fully reconstruct 12 mouse glomeruli. Advanced forms of transmission and scanning electron microscopy have revealed the detailed spatial relationships of the glomerular.
from www.researchgate.net
We have used a new approach involving serial section electron microscopy to fully reconstruct 12 mouse glomeruli. Sections were examined using a fei tecnai 12g2 biotwin transmission electron microscope. In response to this issue, the renal pathology society organized a working group to identify the most frequently identified glomerular lesions observed by light microscopy and electron microscopy, review the literature to capture the published definitions most often used for each, and determine consensus terms and definitions for each lesion in. Advanced forms of transmission and scanning electron microscopy have revealed the detailed spatial relationships of the glomerular. Transmission electron microscopy of a perfusion fixed rat glomerulus with addition of lady gaga stain (section 80 nm thick). Ultrastructural studies of the glomerulus by transmission electron microscopy (tem) and conventional scanning electron. Diabetic nephropathy (dn), the single strongest predictor of mortality in patients with type 2 diabetes, is characterized by initial. Transmission em (tem), commonly used in diagnosis and research, focuses high energy (100 kv and higher) electrons with lenses to form images in a way similar to.
Morphology change in glomerulus under light microscopy. Transmission
Transmission Electron Microscopy Glomerulus Sections were examined using a fei tecnai 12g2 biotwin transmission electron microscope. In response to this issue, the renal pathology society organized a working group to identify the most frequently identified glomerular lesions observed by light microscopy and electron microscopy, review the literature to capture the published definitions most often used for each, and determine consensus terms and definitions for each lesion in. We have used a new approach involving serial section electron microscopy to fully reconstruct 12 mouse glomeruli. Advanced forms of transmission and scanning electron microscopy have revealed the detailed spatial relationships of the glomerular. Sections were examined using a fei tecnai 12g2 biotwin transmission electron microscope. Ultrastructural studies of the glomerulus by transmission electron microscopy (tem) and conventional scanning electron. Transmission electron microscopy of a perfusion fixed rat glomerulus with addition of lady gaga stain (section 80 nm thick). Diabetic nephropathy (dn), the single strongest predictor of mortality in patients with type 2 diabetes, is characterized by initial. Transmission em (tem), commonly used in diagnosis and research, focuses high energy (100 kv and higher) electrons with lenses to form images in a way similar to.
From www.alamy.com
Transmission electron microscopy cells hires stock photography and Transmission Electron Microscopy Glomerulus In response to this issue, the renal pathology society organized a working group to identify the most frequently identified glomerular lesions observed by light microscopy and electron microscopy, review the literature to capture the published definitions most often used for each, and determine consensus terms and definitions for each lesion in. Sections were examined using a fei tecnai 12g2 biotwin. Transmission Electron Microscopy Glomerulus.
From www.researchgate.net
Transmission electron microscopy showing glycocalyx in glomerular Transmission Electron Microscopy Glomerulus Transmission electron microscopy of a perfusion fixed rat glomerulus with addition of lady gaga stain (section 80 nm thick). Diabetic nephropathy (dn), the single strongest predictor of mortality in patients with type 2 diabetes, is characterized by initial. Advanced forms of transmission and scanning electron microscopy have revealed the detailed spatial relationships of the glomerular. Sections were examined using a. Transmission Electron Microscopy Glomerulus.
From www.researchgate.net
Transmission electron microscopy of glomerular podocytes.... Download Transmission Electron Microscopy Glomerulus Advanced forms of transmission and scanning electron microscopy have revealed the detailed spatial relationships of the glomerular. Transmission electron microscopy of a perfusion fixed rat glomerulus with addition of lady gaga stain (section 80 nm thick). We have used a new approach involving serial section electron microscopy to fully reconstruct 12 mouse glomeruli. Ultrastructural studies of the glomerulus by transmission. Transmission Electron Microscopy Glomerulus.
From www.researchgate.net
Structure of the glomerular filtration barrier. Transmission electron Transmission Electron Microscopy Glomerulus Transmission em (tem), commonly used in diagnosis and research, focuses high energy (100 kv and higher) electrons with lenses to form images in a way similar to. In response to this issue, the renal pathology society organized a working group to identify the most frequently identified glomerular lesions observed by light microscopy and electron microscopy, review the literature to capture. Transmission Electron Microscopy Glomerulus.
From www.researchgate.net
Representative transmission electron micrographs in the glomeruli Transmission Electron Microscopy Glomerulus Ultrastructural studies of the glomerulus by transmission electron microscopy (tem) and conventional scanning electron. Transmission em (tem), commonly used in diagnosis and research, focuses high energy (100 kv and higher) electrons with lenses to form images in a way similar to. Transmission electron microscopy of a perfusion fixed rat glomerulus with addition of lady gaga stain (section 80 nm thick).. Transmission Electron Microscopy Glomerulus.
From www.researchgate.net
Scanning and transmission electron microscopic images of the glomerular Transmission Electron Microscopy Glomerulus In response to this issue, the renal pathology society organized a working group to identify the most frequently identified glomerular lesions observed by light microscopy and electron microscopy, review the literature to capture the published definitions most often used for each, and determine consensus terms and definitions for each lesion in. Advanced forms of transmission and scanning electron microscopy have. Transmission Electron Microscopy Glomerulus.
From www.researchgate.net
Morphology change in glomerulus under light microscopy. Transmission Transmission Electron Microscopy Glomerulus Sections were examined using a fei tecnai 12g2 biotwin transmission electron microscope. In response to this issue, the renal pathology society organized a working group to identify the most frequently identified glomerular lesions observed by light microscopy and electron microscopy, review the literature to capture the published definitions most often used for each, and determine consensus terms and definitions for. Transmission Electron Microscopy Glomerulus.
From www.alamy.com
Glomerulus. Transmission electron micrograph (TEM) of a section through Transmission Electron Microscopy Glomerulus Transmission em (tem), commonly used in diagnosis and research, focuses high energy (100 kv and higher) electrons with lenses to form images in a way similar to. Diabetic nephropathy (dn), the single strongest predictor of mortality in patients with type 2 diabetes, is characterized by initial. We have used a new approach involving serial section electron microscopy to fully reconstruct. Transmission Electron Microscopy Glomerulus.
From www.researchgate.net
Transmission electron microscopy of isolated acellular glomerulus of Transmission Electron Microscopy Glomerulus In response to this issue, the renal pathology society organized a working group to identify the most frequently identified glomerular lesions observed by light microscopy and electron microscopy, review the literature to capture the published definitions most often used for each, and determine consensus terms and definitions for each lesion in. Advanced forms of transmission and scanning electron microscopy have. Transmission Electron Microscopy Glomerulus.
From www.southampton.ac.uk
TEM Image Gallery Biomedical Imaging Unit University of Southampton Transmission Electron Microscopy Glomerulus We have used a new approach involving serial section electron microscopy to fully reconstruct 12 mouse glomeruli. Diabetic nephropathy (dn), the single strongest predictor of mortality in patients with type 2 diabetes, is characterized by initial. Transmission electron microscopy of a perfusion fixed rat glomerulus with addition of lady gaga stain (section 80 nm thick). Ultrastructural studies of the glomerulus. Transmission Electron Microscopy Glomerulus.
From www.researchgate.net
Electron microscopy of a glomerulus A (original magnification 1000x Transmission Electron Microscopy Glomerulus Transmission electron microscopy of a perfusion fixed rat glomerulus with addition of lady gaga stain (section 80 nm thick). Advanced forms of transmission and scanning electron microscopy have revealed the detailed spatial relationships of the glomerular. Sections were examined using a fei tecnai 12g2 biotwin transmission electron microscope. Transmission em (tem), commonly used in diagnosis and research, focuses high energy. Transmission Electron Microscopy Glomerulus.
From www.researchgate.net
Transmission electron microscopy of glomerular basement membrane with Transmission Electron Microscopy Glomerulus Sections were examined using a fei tecnai 12g2 biotwin transmission electron microscope. Diabetic nephropathy (dn), the single strongest predictor of mortality in patients with type 2 diabetes, is characterized by initial. Advanced forms of transmission and scanning electron microscopy have revealed the detailed spatial relationships of the glomerular. We have used a new approach involving serial section electron microscopy to. Transmission Electron Microscopy Glomerulus.
From www.researchgate.net
Transmission electron microscopic image of the glomerulus from an adult Transmission Electron Microscopy Glomerulus Advanced forms of transmission and scanning electron microscopy have revealed the detailed spatial relationships of the glomerular. In response to this issue, the renal pathology society organized a working group to identify the most frequently identified glomerular lesions observed by light microscopy and electron microscopy, review the literature to capture the published definitions most often used for each, and determine. Transmission Electron Microscopy Glomerulus.
From www.researchgate.net
Transmission electron microscopy of glomeruli of wild type (WT), left Transmission Electron Microscopy Glomerulus We have used a new approach involving serial section electron microscopy to fully reconstruct 12 mouse glomeruli. Advanced forms of transmission and scanning electron microscopy have revealed the detailed spatial relationships of the glomerular. Transmission em (tem), commonly used in diagnosis and research, focuses high energy (100 kv and higher) electrons with lenses to form images in a way similar. Transmission Electron Microscopy Glomerulus.
From www.alamy.com
Kidney glomerulus. Transmission electron micrograph (TEM) of a section Transmission Electron Microscopy Glomerulus Diabetic nephropathy (dn), the single strongest predictor of mortality in patients with type 2 diabetes, is characterized by initial. We have used a new approach involving serial section electron microscopy to fully reconstruct 12 mouse glomeruli. Transmission electron microscopy of a perfusion fixed rat glomerulus with addition of lady gaga stain (section 80 nm thick). Transmission em (tem), commonly used. Transmission Electron Microscopy Glomerulus.
From www.researchgate.net
Transmission electron micrographs of representative glomerular Transmission Electron Microscopy Glomerulus Sections were examined using a fei tecnai 12g2 biotwin transmission electron microscope. Ultrastructural studies of the glomerulus by transmission electron microscopy (tem) and conventional scanning electron. In response to this issue, the renal pathology society organized a working group to identify the most frequently identified glomerular lesions observed by light microscopy and electron microscopy, review the literature to capture the. Transmission Electron Microscopy Glomerulus.
From www.researchgate.net
Morphology change in glomerulus under light microscopy. Transmission Transmission Electron Microscopy Glomerulus In response to this issue, the renal pathology society organized a working group to identify the most frequently identified glomerular lesions observed by light microscopy and electron microscopy, review the literature to capture the published definitions most often used for each, and determine consensus terms and definitions for each lesion in. We have used a new approach involving serial section. Transmission Electron Microscopy Glomerulus.
From www.researchgate.net
Morphology change in glomerulus under light microscopy. Transmission Transmission Electron Microscopy Glomerulus In response to this issue, the renal pathology society organized a working group to identify the most frequently identified glomerular lesions observed by light microscopy and electron microscopy, review the literature to capture the published definitions most often used for each, and determine consensus terms and definitions for each lesion in. Advanced forms of transmission and scanning electron microscopy have. Transmission Electron Microscopy Glomerulus.
From www.researchgate.net
Transmission electron microscopy of glomerular capillary in intact Transmission Electron Microscopy Glomerulus Advanced forms of transmission and scanning electron microscopy have revealed the detailed spatial relationships of the glomerular. In response to this issue, the renal pathology society organized a working group to identify the most frequently identified glomerular lesions observed by light microscopy and electron microscopy, review the literature to capture the published definitions most often used for each, and determine. Transmission Electron Microscopy Glomerulus.
From www.researchgate.net
Glomerulus with extensive subendothelial electrondense deposits Transmission Electron Microscopy Glomerulus Transmission em (tem), commonly used in diagnosis and research, focuses high energy (100 kv and higher) electrons with lenses to form images in a way similar to. Sections were examined using a fei tecnai 12g2 biotwin transmission electron microscope. In response to this issue, the renal pathology society organized a working group to identify the most frequently identified glomerular lesions. Transmission Electron Microscopy Glomerulus.
From www.researchgate.net
The most beautiful electron micrograph of the renal glomerulus in the Transmission Electron Microscopy Glomerulus Diabetic nephropathy (dn), the single strongest predictor of mortality in patients with type 2 diabetes, is characterized by initial. We have used a new approach involving serial section electron microscopy to fully reconstruct 12 mouse glomeruli. Sections were examined using a fei tecnai 12g2 biotwin transmission electron microscope. In response to this issue, the renal pathology society organized a working. Transmission Electron Microscopy Glomerulus.
From www.researchgate.net
a Transmission electron microscopy micrographs of the glomerular Transmission Electron Microscopy Glomerulus We have used a new approach involving serial section electron microscopy to fully reconstruct 12 mouse glomeruli. Transmission electron microscopy of a perfusion fixed rat glomerulus with addition of lady gaga stain (section 80 nm thick). Diabetic nephropathy (dn), the single strongest predictor of mortality in patients with type 2 diabetes, is characterized by initial. Ultrastructural studies of the glomerulus. Transmission Electron Microscopy Glomerulus.
From www.researchgate.net
Morphology change in glomerulus under light microscopy. Transmission Transmission Electron Microscopy Glomerulus Transmission electron microscopy of a perfusion fixed rat glomerulus with addition of lady gaga stain (section 80 nm thick). In response to this issue, the renal pathology society organized a working group to identify the most frequently identified glomerular lesions observed by light microscopy and electron microscopy, review the literature to capture the published definitions most often used for each,. Transmission Electron Microscopy Glomerulus.
From www.researchgate.net
Electron microscopic photographs of a glomerulus from Tau+/+ and Transmission Electron Microscopy Glomerulus We have used a new approach involving serial section electron microscopy to fully reconstruct 12 mouse glomeruli. Transmission electron microscopy of a perfusion fixed rat glomerulus with addition of lady gaga stain (section 80 nm thick). Transmission em (tem), commonly used in diagnosis and research, focuses high energy (100 kv and higher) electrons with lenses to form images in a. Transmission Electron Microscopy Glomerulus.
From www.researchgate.net
Light and electron microscopy of the glomerular filtration barrier in Transmission Electron Microscopy Glomerulus Ultrastructural studies of the glomerulus by transmission electron microscopy (tem) and conventional scanning electron. We have used a new approach involving serial section electron microscopy to fully reconstruct 12 mouse glomeruli. Transmission em (tem), commonly used in diagnosis and research, focuses high energy (100 kv and higher) electrons with lenses to form images in a way similar to. Diabetic nephropathy. Transmission Electron Microscopy Glomerulus.
From www.researchgate.net
Low magnification transmission electron micrograph of a glomerulus Transmission Electron Microscopy Glomerulus Transmission em (tem), commonly used in diagnosis and research, focuses high energy (100 kv and higher) electrons with lenses to form images in a way similar to. Sections were examined using a fei tecnai 12g2 biotwin transmission electron microscope. We have used a new approach involving serial section electron microscopy to fully reconstruct 12 mouse glomeruli. In response to this. Transmission Electron Microscopy Glomerulus.
From www.researchgate.net
Morphology change in glomerulus under light microscopy. Transmission Transmission Electron Microscopy Glomerulus We have used a new approach involving serial section electron microscopy to fully reconstruct 12 mouse glomeruli. Diabetic nephropathy (dn), the single strongest predictor of mortality in patients with type 2 diabetes, is characterized by initial. In response to this issue, the renal pathology society organized a working group to identify the most frequently identified glomerular lesions observed by light. Transmission Electron Microscopy Glomerulus.
From www.researchgate.net
Transmission electron microscopy images of the glomeruli.... Download Transmission Electron Microscopy Glomerulus In response to this issue, the renal pathology society organized a working group to identify the most frequently identified glomerular lesions observed by light microscopy and electron microscopy, review the literature to capture the published definitions most often used for each, and determine consensus terms and definitions for each lesion in. Diabetic nephropathy (dn), the single strongest predictor of mortality. Transmission Electron Microscopy Glomerulus.
From www.researchgate.net
Transmission electron microscopy of glomerular basement membrane with Transmission Electron Microscopy Glomerulus Transmission electron microscopy of a perfusion fixed rat glomerulus with addition of lady gaga stain (section 80 nm thick). Sections were examined using a fei tecnai 12g2 biotwin transmission electron microscope. We have used a new approach involving serial section electron microscopy to fully reconstruct 12 mouse glomeruli. In response to this issue, the renal pathology society organized a working. Transmission Electron Microscopy Glomerulus.
From www.researchgate.net
Transmission electron micrograph of a glomerulus. In the glomerular Transmission Electron Microscopy Glomerulus Transmission em (tem), commonly used in diagnosis and research, focuses high energy (100 kv and higher) electrons with lenses to form images in a way similar to. Diabetic nephropathy (dn), the single strongest predictor of mortality in patients with type 2 diabetes, is characterized by initial. Advanced forms of transmission and scanning electron microscopy have revealed the detailed spatial relationships. Transmission Electron Microscopy Glomerulus.
From www.researchgate.net
Transmission electron microscopy of the glomerulus. Note diffuse severe Transmission Electron Microscopy Glomerulus Transmission electron microscopy of a perfusion fixed rat glomerulus with addition of lady gaga stain (section 80 nm thick). Transmission em (tem), commonly used in diagnosis and research, focuses high energy (100 kv and higher) electrons with lenses to form images in a way similar to. Sections were examined using a fei tecnai 12g2 biotwin transmission electron microscope. Ultrastructural studies. Transmission Electron Microscopy Glomerulus.
From www.researchgate.net
Transmission electron microscopy (1800) of a representative glomerular Transmission Electron Microscopy Glomerulus We have used a new approach involving serial section electron microscopy to fully reconstruct 12 mouse glomeruli. Ultrastructural studies of the glomerulus by transmission electron microscopy (tem) and conventional scanning electron. Diabetic nephropathy (dn), the single strongest predictor of mortality in patients with type 2 diabetes, is characterized by initial. Transmission electron microscopy of a perfusion fixed rat glomerulus with. Transmission Electron Microscopy Glomerulus.
From www.researchgate.net
Transmission electron microscopy of human glomerular endothelial cells Transmission Electron Microscopy Glomerulus We have used a new approach involving serial section electron microscopy to fully reconstruct 12 mouse glomeruli. Advanced forms of transmission and scanning electron microscopy have revealed the detailed spatial relationships of the glomerular. Transmission electron microscopy of a perfusion fixed rat glomerulus with addition of lady gaga stain (section 80 nm thick). Sections were examined using a fei tecnai. Transmission Electron Microscopy Glomerulus.
From www.researchgate.net
Transmission electron microscopy of the kidney biopsy of subject III3 Transmission Electron Microscopy Glomerulus Diabetic nephropathy (dn), the single strongest predictor of mortality in patients with type 2 diabetes, is characterized by initial. Transmission electron microscopy of a perfusion fixed rat glomerulus with addition of lady gaga stain (section 80 nm thick). Ultrastructural studies of the glomerulus by transmission electron microscopy (tem) and conventional scanning electron. Transmission em (tem), commonly used in diagnosis and. Transmission Electron Microscopy Glomerulus.
From www.gettyimages.co.uk
Photo Of A Kidney Glomerulus Taken Using A Transmission Electron Transmission Electron Microscopy Glomerulus Advanced forms of transmission and scanning electron microscopy have revealed the detailed spatial relationships of the glomerular. Transmission em (tem), commonly used in diagnosis and research, focuses high energy (100 kv and higher) electrons with lenses to form images in a way similar to. We have used a new approach involving serial section electron microscopy to fully reconstruct 12 mouse. Transmission Electron Microscopy Glomerulus.