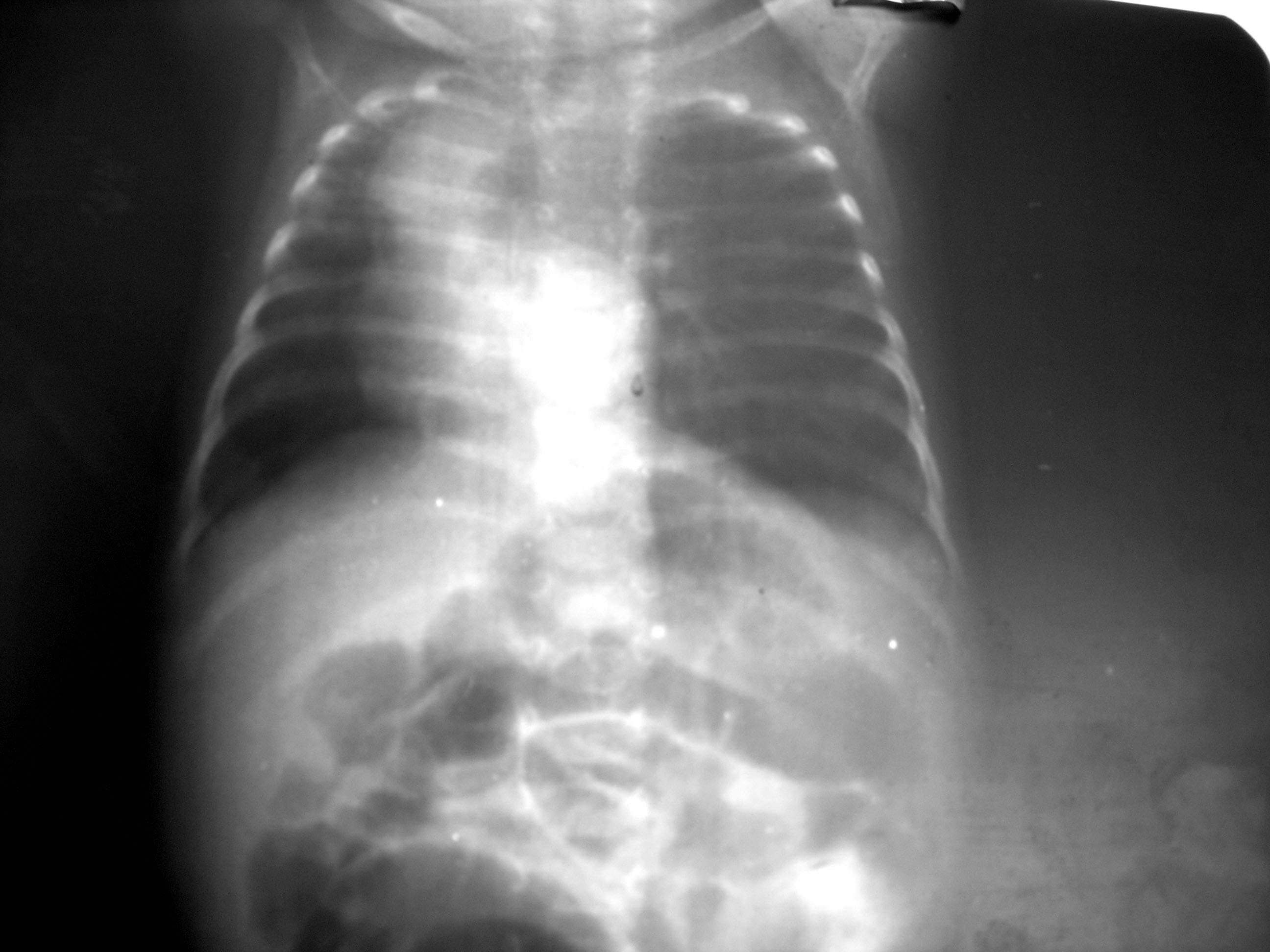
Congenital Lobar Emphysema Chest X Ray . Congenital lobar overinflation may be first diagnosed at antenatal imaging or on chest radiographs obtained in a neonate. Congenital lobar emphysema (cle) is the overinflation of one or more lung lobes, present from birth with a lung histologically normal. Initial frontal radiograph at birth demonstrate a hazy opacity occupying left upper lobe with mass effect and shifting of mediastinal structures to the right. Congenital lung anomalies, including congenital lobar emphysema, should be considered differential diagnoses.
from www.cureus.com
Congenital lobar emphysema (cle) is the overinflation of one or more lung lobes, present from birth with a lung histologically normal. Congenital lobar overinflation may be first diagnosed at antenatal imaging or on chest radiographs obtained in a neonate. Initial frontal radiograph at birth demonstrate a hazy opacity occupying left upper lobe with mass effect and shifting of mediastinal structures to the right. Congenital lung anomalies, including congenital lobar emphysema, should be considered differential diagnoses.
Cureus A Novel Approach to Facilitate an Ideal Surgical Correction of
Congenital Lobar Emphysema Chest X Ray Congenital lobar emphysema (cle) is the overinflation of one or more lung lobes, present from birth with a lung histologically normal. Congenital lobar overinflation may be first diagnosed at antenatal imaging or on chest radiographs obtained in a neonate. Congenital lung anomalies, including congenital lobar emphysema, should be considered differential diagnoses. Initial frontal radiograph at birth demonstrate a hazy opacity occupying left upper lobe with mass effect and shifting of mediastinal structures to the right. Congenital lobar emphysema (cle) is the overinflation of one or more lung lobes, present from birth with a lung histologically normal.
From radiologycases.my
Congenital lobar hyperinflation Radiology Cases Congenital Lobar Emphysema Chest X Ray Initial frontal radiograph at birth demonstrate a hazy opacity occupying left upper lobe with mass effect and shifting of mediastinal structures to the right. Congenital lung anomalies, including congenital lobar emphysema, should be considered differential diagnoses. Congenital lobar overinflation may be first diagnosed at antenatal imaging or on chest radiographs obtained in a neonate. Congenital lobar emphysema (cle) is the. Congenital Lobar Emphysema Chest X Ray.
From www.scielo.br
SciELO Brasil Congenital lobar emphysema Congenital lobar emphysema Congenital Lobar Emphysema Chest X Ray Congenital lobar emphysema (cle) is the overinflation of one or more lung lobes, present from birth with a lung histologically normal. Initial frontal radiograph at birth demonstrate a hazy opacity occupying left upper lobe with mass effect and shifting of mediastinal structures to the right. Congenital lung anomalies, including congenital lobar emphysema, should be considered differential diagnoses. Congenital lobar overinflation. Congenital Lobar Emphysema Chest X Ray.
From learningradiology.com
LearningRadiology congenital lobar emphysema, cle Congenital Lobar Emphysema Chest X Ray Congenital lung anomalies, including congenital lobar emphysema, should be considered differential diagnoses. Congenital lobar overinflation may be first diagnosed at antenatal imaging or on chest radiographs obtained in a neonate. Initial frontal radiograph at birth demonstrate a hazy opacity occupying left upper lobe with mass effect and shifting of mediastinal structures to the right. Congenital lobar emphysema (cle) is the. Congenital Lobar Emphysema Chest X Ray.
From www.researchgate.net
Chest computed tomography showing congenital lobar emphysema with Congenital Lobar Emphysema Chest X Ray Congenital lobar overinflation may be first diagnosed at antenatal imaging or on chest radiographs obtained in a neonate. Congenital lobar emphysema (cle) is the overinflation of one or more lung lobes, present from birth with a lung histologically normal. Initial frontal radiograph at birth demonstrate a hazy opacity occupying left upper lobe with mass effect and shifting of mediastinal structures. Congenital Lobar Emphysema Chest X Ray.
From www.cancertherapyadvisor.com
Congenital Lobar Emphysema Cancer Therapy Advisor Congenital Lobar Emphysema Chest X Ray Congenital lung anomalies, including congenital lobar emphysema, should be considered differential diagnoses. Initial frontal radiograph at birth demonstrate a hazy opacity occupying left upper lobe with mass effect and shifting of mediastinal structures to the right. Congenital lobar emphysema (cle) is the overinflation of one or more lung lobes, present from birth with a lung histologically normal. Congenital lobar overinflation. Congenital Lobar Emphysema Chest X Ray.
From www.researchgate.net
Congenital lobar emphysema (CLE). Chest radiograph of a 4monthold boy Congenital Lobar Emphysema Chest X Ray Congenital lung anomalies, including congenital lobar emphysema, should be considered differential diagnoses. Congenital lobar emphysema (cle) is the overinflation of one or more lung lobes, present from birth with a lung histologically normal. Congenital lobar overinflation may be first diagnosed at antenatal imaging or on chest radiographs obtained in a neonate. Initial frontal radiograph at birth demonstrate a hazy opacity. Congenital Lobar Emphysema Chest X Ray.
From www.eurorad.org
Congenital lobar emphysema/Congenital lobar overinflation Eurorad Congenital Lobar Emphysema Chest X Ray Initial frontal radiograph at birth demonstrate a hazy opacity occupying left upper lobe with mass effect and shifting of mediastinal structures to the right. Congenital lobar emphysema (cle) is the overinflation of one or more lung lobes, present from birth with a lung histologically normal. Congenital lobar overinflation may be first diagnosed at antenatal imaging or on chest radiographs obtained. Congenital Lobar Emphysema Chest X Ray.
From embryology.med.unsw.edu.au
FileCongenital lobar emphysema.jpg Embryology Congenital Lobar Emphysema Chest X Ray Congenital lobar overinflation may be first diagnosed at antenatal imaging or on chest radiographs obtained in a neonate. Congenital lung anomalies, including congenital lobar emphysema, should be considered differential diagnoses. Initial frontal radiograph at birth demonstrate a hazy opacity occupying left upper lobe with mass effect and shifting of mediastinal structures to the right. Congenital lobar emphysema (cle) is the. Congenital Lobar Emphysema Chest X Ray.
From smj.org.sa
Congenital lobar emphysema Saudi Medical Journal Congenital Lobar Emphysema Chest X Ray Congenital lobar emphysema (cle) is the overinflation of one or more lung lobes, present from birth with a lung histologically normal. Congenital lobar overinflation may be first diagnosed at antenatal imaging or on chest radiographs obtained in a neonate. Initial frontal radiograph at birth demonstrate a hazy opacity occupying left upper lobe with mass effect and shifting of mediastinal structures. Congenital Lobar Emphysema Chest X Ray.
From smj.org.sa
Congenital lobar emphysema Saudi Medical Journal Congenital Lobar Emphysema Chest X Ray Initial frontal radiograph at birth demonstrate a hazy opacity occupying left upper lobe with mass effect and shifting of mediastinal structures to the right. Congenital lung anomalies, including congenital lobar emphysema, should be considered differential diagnoses. Congenital lobar overinflation may be first diagnosed at antenatal imaging or on chest radiographs obtained in a neonate. Congenital lobar emphysema (cle) is the. Congenital Lobar Emphysema Chest X Ray.
From www.semanticscholar.org
CONGENITAL LOBAR EMPHYSEMA ( CLE ) RADIOLOGIC AND IMAGISTIC ( CT Congenital Lobar Emphysema Chest X Ray Initial frontal radiograph at birth demonstrate a hazy opacity occupying left upper lobe with mass effect and shifting of mediastinal structures to the right. Congenital lobar emphysema (cle) is the overinflation of one or more lung lobes, present from birth with a lung histologically normal. Congenital lobar overinflation may be first diagnosed at antenatal imaging or on chest radiographs obtained. Congenital Lobar Emphysema Chest X Ray.
From www.researchgate.net
Chest Xray showing hyperinflation of the left upper lobe, with Congenital Lobar Emphysema Chest X Ray Congenital lobar overinflation may be first diagnosed at antenatal imaging or on chest radiographs obtained in a neonate. Congenital lobar emphysema (cle) is the overinflation of one or more lung lobes, present from birth with a lung histologically normal. Initial frontal radiograph at birth demonstrate a hazy opacity occupying left upper lobe with mass effect and shifting of mediastinal structures. Congenital Lobar Emphysema Chest X Ray.
From ar.inspiredpencil.com
Emphysema Chest X Ray Congenital Lobar Emphysema Chest X Ray Congenital lobar emphysema (cle) is the overinflation of one or more lung lobes, present from birth with a lung histologically normal. Initial frontal radiograph at birth demonstrate a hazy opacity occupying left upper lobe with mass effect and shifting of mediastinal structures to the right. Congenital lobar overinflation may be first diagnosed at antenatal imaging or on chest radiographs obtained. Congenital Lobar Emphysema Chest X Ray.
From roentgenrayreader.blogspot.com
Roentgen Ray Reader Congenital Lobar Emphysema Congenital Lobar Emphysema Chest X Ray Congenital lobar emphysema (cle) is the overinflation of one or more lung lobes, present from birth with a lung histologically normal. Congenital lobar overinflation may be first diagnosed at antenatal imaging or on chest radiographs obtained in a neonate. Initial frontal radiograph at birth demonstrate a hazy opacity occupying left upper lobe with mass effect and shifting of mediastinal structures. Congenital Lobar Emphysema Chest X Ray.
From www.cureus.com
Cureus Congenital Lobar Emphysema in Early Adulthood Congenital Lobar Emphysema Chest X Ray Initial frontal radiograph at birth demonstrate a hazy opacity occupying left upper lobe with mass effect and shifting of mediastinal structures to the right. Congenital lobar emphysema (cle) is the overinflation of one or more lung lobes, present from birth with a lung histologically normal. Congenital lung anomalies, including congenital lobar emphysema, should be considered differential diagnoses. Congenital lobar overinflation. Congenital Lobar Emphysema Chest X Ray.
From www.mdpi.com
Children Free FullText Managing Congenital Lobar Overinflation Congenital Lobar Emphysema Chest X Ray Initial frontal radiograph at birth demonstrate a hazy opacity occupying left upper lobe with mass effect and shifting of mediastinal structures to the right. Congenital lobar emphysema (cle) is the overinflation of one or more lung lobes, present from birth with a lung histologically normal. Congenital lung anomalies, including congenital lobar emphysema, should be considered differential diagnoses. Congenital lobar overinflation. Congenital Lobar Emphysema Chest X Ray.
From www.sciencephoto.com
Congenital lobar emphysema, lung Xray Stock Image C037/3064 Congenital Lobar Emphysema Chest X Ray Congenital lobar emphysema (cle) is the overinflation of one or more lung lobes, present from birth with a lung histologically normal. Initial frontal radiograph at birth demonstrate a hazy opacity occupying left upper lobe with mass effect and shifting of mediastinal structures to the right. Congenital lung anomalies, including congenital lobar emphysema, should be considered differential diagnoses. Congenital lobar overinflation. Congenital Lobar Emphysema Chest X Ray.
From www.cureus.com
Cureus Congenital Lobar Emphysema in Early Adulthood Congenital Lobar Emphysema Chest X Ray Initial frontal radiograph at birth demonstrate a hazy opacity occupying left upper lobe with mass effect and shifting of mediastinal structures to the right. Congenital lobar overinflation may be first diagnosed at antenatal imaging or on chest radiographs obtained in a neonate. Congenital lung anomalies, including congenital lobar emphysema, should be considered differential diagnoses. Congenital lobar emphysema (cle) is the. Congenital Lobar Emphysema Chest X Ray.
From dradaletdemir.com
What is Congenital Lobar Emphysema? Prof. Dr. Adalet Demir Congenital Lobar Emphysema Chest X Ray Congenital lobar overinflation may be first diagnosed at antenatal imaging or on chest radiographs obtained in a neonate. Congenital lung anomalies, including congenital lobar emphysema, should be considered differential diagnoses. Congenital lobar emphysema (cle) is the overinflation of one or more lung lobes, present from birth with a lung histologically normal. Initial frontal radiograph at birth demonstrate a hazy opacity. Congenital Lobar Emphysema Chest X Ray.
From www.pediatriconcall.com
A case of unusual combination of dandy walker syndrome with congenital Congenital Lobar Emphysema Chest X Ray Congenital lobar overinflation may be first diagnosed at antenatal imaging or on chest radiographs obtained in a neonate. Initial frontal radiograph at birth demonstrate a hazy opacity occupying left upper lobe with mass effect and shifting of mediastinal structures to the right. Congenital lobar emphysema (cle) is the overinflation of one or more lung lobes, present from birth with a. Congenital Lobar Emphysema Chest X Ray.
From www.researchgate.net
(PDF) Flexible Bronchoscopy in the Management of Congenital Lobar Congenital Lobar Emphysema Chest X Ray Congenital lobar overinflation may be first diagnosed at antenatal imaging or on chest radiographs obtained in a neonate. Congenital lobar emphysema (cle) is the overinflation of one or more lung lobes, present from birth with a lung histologically normal. Initial frontal radiograph at birth demonstrate a hazy opacity occupying left upper lobe with mass effect and shifting of mediastinal structures. Congenital Lobar Emphysema Chest X Ray.
From radiopaedia.org
Congenital lobar emphysema Image Congenital Lobar Emphysema Chest X Ray Congenital lung anomalies, including congenital lobar emphysema, should be considered differential diagnoses. Initial frontal radiograph at birth demonstrate a hazy opacity occupying left upper lobe with mass effect and shifting of mediastinal structures to the right. Congenital lobar emphysema (cle) is the overinflation of one or more lung lobes, present from birth with a lung histologically normal. Congenital lobar overinflation. Congenital Lobar Emphysema Chest X Ray.
From ctsnet.freelock.com
Emergency Lobectomy for Congenital Lobar Emphysema Congenital Lobar Emphysema Chest X Ray Initial frontal radiograph at birth demonstrate a hazy opacity occupying left upper lobe with mass effect and shifting of mediastinal structures to the right. Congenital lobar overinflation may be first diagnosed at antenatal imaging or on chest radiographs obtained in a neonate. Congenital lobar emphysema (cle) is the overinflation of one or more lung lobes, present from birth with a. Congenital Lobar Emphysema Chest X Ray.
From www.annsaudimed.net
Congenital lobar emphysema Annals of Saudi Medicine Congenital Lobar Emphysema Chest X Ray Congenital lobar emphysema (cle) is the overinflation of one or more lung lobes, present from birth with a lung histologically normal. Congenital lobar overinflation may be first diagnosed at antenatal imaging or on chest radiographs obtained in a neonate. Congenital lung anomalies, including congenital lobar emphysema, should be considered differential diagnoses. Initial frontal radiograph at birth demonstrate a hazy opacity. Congenital Lobar Emphysema Chest X Ray.
From www.fetalultrasound.com
Congenital Lobar Emphysema (CLE) Congenital Lobar Emphysema Chest X Ray Congenital lung anomalies, including congenital lobar emphysema, should be considered differential diagnoses. Initial frontal radiograph at birth demonstrate a hazy opacity occupying left upper lobe with mass effect and shifting of mediastinal structures to the right. Congenital lobar emphysema (cle) is the overinflation of one or more lung lobes, present from birth with a lung histologically normal. Congenital lobar overinflation. Congenital Lobar Emphysema Chest X Ray.
From radiologykey.com
39 Congenital Lobar Emphysema Radiology Key Congenital Lobar Emphysema Chest X Ray Congenital lung anomalies, including congenital lobar emphysema, should be considered differential diagnoses. Initial frontal radiograph at birth demonstrate a hazy opacity occupying left upper lobe with mass effect and shifting of mediastinal structures to the right. Congenital lobar overinflation may be first diagnosed at antenatal imaging or on chest radiographs obtained in a neonate. Congenital lobar emphysema (cle) is the. Congenital Lobar Emphysema Chest X Ray.
From www.researchgate.net
CT Thorax showing Left Upper Lobe Congenital Lobar Emphysema (CLE) with Congenital Lobar Emphysema Chest X Ray Congenital lobar overinflation may be first diagnosed at antenatal imaging or on chest radiographs obtained in a neonate. Initial frontal radiograph at birth demonstrate a hazy opacity occupying left upper lobe with mass effect and shifting of mediastinal structures to the right. Congenital lobar emphysema (cle) is the overinflation of one or more lung lobes, present from birth with a. Congenital Lobar Emphysema Chest X Ray.
From ar.inspiredpencil.com
Emphysema Chest X Ray Congenital Lobar Emphysema Chest X Ray Congenital lobar overinflation may be first diagnosed at antenatal imaging or on chest radiographs obtained in a neonate. Congenital lobar emphysema (cle) is the overinflation of one or more lung lobes, present from birth with a lung histologically normal. Congenital lung anomalies, including congenital lobar emphysema, should be considered differential diagnoses. Initial frontal radiograph at birth demonstrate a hazy opacity. Congenital Lobar Emphysema Chest X Ray.
From www.cureus.com
Cureus A Novel Approach to Facilitate an Ideal Surgical Correction of Congenital Lobar Emphysema Chest X Ray Congenital lung anomalies, including congenital lobar emphysema, should be considered differential diagnoses. Congenital lobar emphysema (cle) is the overinflation of one or more lung lobes, present from birth with a lung histologically normal. Initial frontal radiograph at birth demonstrate a hazy opacity occupying left upper lobe with mass effect and shifting of mediastinal structures to the right. Congenital lobar overinflation. Congenital Lobar Emphysema Chest X Ray.
From mungfali.com
Emphysema Chest X Ray Congenital Lobar Emphysema Chest X Ray Congenital lobar overinflation may be first diagnosed at antenatal imaging or on chest radiographs obtained in a neonate. Congenital lung anomalies, including congenital lobar emphysema, should be considered differential diagnoses. Congenital lobar emphysema (cle) is the overinflation of one or more lung lobes, present from birth with a lung histologically normal. Initial frontal radiograph at birth demonstrate a hazy opacity. Congenital Lobar Emphysema Chest X Ray.
From www.healthline.com
Congenital Emphysema Understanding this Respiratory Condition Congenital Lobar Emphysema Chest X Ray Congenital lung anomalies, including congenital lobar emphysema, should be considered differential diagnoses. Congenital lobar emphysema (cle) is the overinflation of one or more lung lobes, present from birth with a lung histologically normal. Initial frontal radiograph at birth demonstrate a hazy opacity occupying left upper lobe with mass effect and shifting of mediastinal structures to the right. Congenital lobar overinflation. Congenital Lobar Emphysema Chest X Ray.
From www.cureus.com
Cureus Congenital Lobar Emphysema in Children Case Series Congenital Lobar Emphysema Chest X Ray Initial frontal radiograph at birth demonstrate a hazy opacity occupying left upper lobe with mass effect and shifting of mediastinal structures to the right. Congenital lobar overinflation may be first diagnosed at antenatal imaging or on chest radiographs obtained in a neonate. Congenital lobar emphysema (cle) is the overinflation of one or more lung lobes, present from birth with a. Congenital Lobar Emphysema Chest X Ray.
From www.eurorad.org
Neonatal respiratory distress due to congenital lobar emphysema Eurorad Congenital Lobar Emphysema Chest X Ray Congenital lobar emphysema (cle) is the overinflation of one or more lung lobes, present from birth with a lung histologically normal. Congenital lobar overinflation may be first diagnosed at antenatal imaging or on chest radiographs obtained in a neonate. Congenital lung anomalies, including congenital lobar emphysema, should be considered differential diagnoses. Initial frontal radiograph at birth demonstrate a hazy opacity. Congenital Lobar Emphysema Chest X Ray.
From www.researchgate.net
Chest XRay of a child with CLE. CLE, congenital lobar emphysema Congenital Lobar Emphysema Chest X Ray Congenital lobar emphysema (cle) is the overinflation of one or more lung lobes, present from birth with a lung histologically normal. Congenital lung anomalies, including congenital lobar emphysema, should be considered differential diagnoses. Initial frontal radiograph at birth demonstrate a hazy opacity occupying left upper lobe with mass effect and shifting of mediastinal structures to the right. Congenital lobar overinflation. Congenital Lobar Emphysema Chest X Ray.
From casesjournal.biomedcentral.com
Congenital lobar emphysema a case report Cases Journal Full Text Congenital Lobar Emphysema Chest X Ray Congenital lung anomalies, including congenital lobar emphysema, should be considered differential diagnoses. Congenital lobar overinflation may be first diagnosed at antenatal imaging or on chest radiographs obtained in a neonate. Congenital lobar emphysema (cle) is the overinflation of one or more lung lobes, present from birth with a lung histologically normal. Initial frontal radiograph at birth demonstrate a hazy opacity. Congenital Lobar Emphysema Chest X Ray.