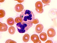
Green Crystals Of Death Hematology . A critical finding that must be reported int j lab hematol. Blue‐green neutrophilic inclusion bodies are a rare clinical finding closely. Previously termed “green crystals of death,” bright blue‐green inclusion bodies within neutrophils are a rare clinical finding.
from imagebank.hematology.org
Previously termed “green crystals of death,” bright blue‐green inclusion bodies within neutrophils are a rare clinical finding. A critical finding that must be reported int j lab hematol. Blue‐green neutrophilic inclusion bodies are a rare clinical finding closely.
Green Neutrophil Inclusions in a Patient with Liver Disease
Green Crystals Of Death Hematology Blue‐green neutrophilic inclusion bodies are a rare clinical finding closely. A critical finding that must be reported int j lab hematol. Blue‐green neutrophilic inclusion bodies are a rare clinical finding closely. Previously termed “green crystals of death,” bright blue‐green inclusion bodies within neutrophils are a rare clinical finding.
From imagebank.hematology.org
Hemoglobin C crystals 1. Green Crystals Of Death Hematology Blue‐green neutrophilic inclusion bodies are a rare clinical finding closely. A critical finding that must be reported int j lab hematol. Previously termed “green crystals of death,” bright blue‐green inclusion bodies within neutrophils are a rare clinical finding. Green Crystals Of Death Hematology.
From www.reddit.com
Found our first bluegreen crystals of death! medlabprofessionals Green Crystals Of Death Hematology Previously termed “green crystals of death,” bright blue‐green inclusion bodies within neutrophils are a rare clinical finding. Blue‐green neutrophilic inclusion bodies are a rare clinical finding closely. A critical finding that must be reported int j lab hematol. Green Crystals Of Death Hematology.
From imagebank.hematology.org
Hemoglobin C crystals and target cells Green Crystals Of Death Hematology Previously termed “green crystals of death,” bright blue‐green inclusion bodies within neutrophils are a rare clinical finding. Blue‐green neutrophilic inclusion bodies are a rare clinical finding closely. A critical finding that must be reported int j lab hematol. Green Crystals Of Death Hematology.
From www.researchgate.net
An unanticipated finding on peripheral smear Bluegreen crystals of Green Crystals Of Death Hematology Blue‐green neutrophilic inclusion bodies are a rare clinical finding closely. Previously termed “green crystals of death,” bright blue‐green inclusion bodies within neutrophils are a rare clinical finding. A critical finding that must be reported int j lab hematol. Green Crystals Of Death Hematology.
From www.pinterest.com
Green neutrophil inclusions associated with endstage liver disease Green Crystals Of Death Hematology Blue‐green neutrophilic inclusion bodies are a rare clinical finding closely. Previously termed “green crystals of death,” bright blue‐green inclusion bodies within neutrophils are a rare clinical finding. A critical finding that must be reported int j lab hematol. Green Crystals Of Death Hematology.
From imagebank.hematology.org
Döhle bodies 2. Green Crystals Of Death Hematology Blue‐green neutrophilic inclusion bodies are a rare clinical finding closely. A critical finding that must be reported int j lab hematol. Previously termed “green crystals of death,” bright blue‐green inclusion bodies within neutrophils are a rare clinical finding. Green Crystals Of Death Hematology.
From labmedicineblog.com
Hematology Case Study Crystal of Death Lablogatory Green Crystals Of Death Hematology A critical finding that must be reported int j lab hematol. Previously termed “green crystals of death,” bright blue‐green inclusion bodies within neutrophils are a rare clinical finding. Blue‐green neutrophilic inclusion bodies are a rare clinical finding closely. Green Crystals Of Death Hematology.
From www.reddit.com
Found the green inclusions of death today. Never thought I would Green Crystals Of Death Hematology Blue‐green neutrophilic inclusion bodies are a rare clinical finding closely. A critical finding that must be reported int j lab hematol. Previously termed “green crystals of death,” bright blue‐green inclusion bodies within neutrophils are a rare clinical finding. Green Crystals Of Death Hematology.
From hematologylearning.weebly.com
Artifacts in Peripheral Blood Smears HEMATOLOGY Green Crystals Of Death Hematology A critical finding that must be reported int j lab hematol. Blue‐green neutrophilic inclusion bodies are a rare clinical finding closely. Previously termed “green crystals of death,” bright blue‐green inclusion bodies within neutrophils are a rare clinical finding. Green Crystals Of Death Hematology.
From imagebank.hematology.org
Macrophage with cystine crystals Green Crystals Of Death Hematology A critical finding that must be reported int j lab hematol. Blue‐green neutrophilic inclusion bodies are a rare clinical finding closely. Previously termed “green crystals of death,” bright blue‐green inclusion bodies within neutrophils are a rare clinical finding. Green Crystals Of Death Hematology.
From learnhaem.com
Haemoglobin SC Disease LearnHaem Haematology Made Simple Green Crystals Of Death Hematology Blue‐green neutrophilic inclusion bodies are a rare clinical finding closely. A critical finding that must be reported int j lab hematol. Previously termed “green crystals of death,” bright blue‐green inclusion bodies within neutrophils are a rare clinical finding. Green Crystals Of Death Hematology.
From imagebank.hematology.org
Bluegreen Crystal inclusions Green Crystals Of Death Hematology Blue‐green neutrophilic inclusion bodies are a rare clinical finding closely. A critical finding that must be reported int j lab hematol. Previously termed “green crystals of death,” bright blue‐green inclusion bodies within neutrophils are a rare clinical finding. Green Crystals Of Death Hematology.
From www.degruyter.com
Bluegreen neutrophilic inclusion bodies with concurrent liver failure Green Crystals Of Death Hematology Previously termed “green crystals of death,” bright blue‐green inclusion bodies within neutrophils are a rare clinical finding. A critical finding that must be reported int j lab hematol. Blue‐green neutrophilic inclusion bodies are a rare clinical finding closely. Green Crystals Of Death Hematology.
From www.researchgate.net
Peripheral smear showing granulocytes and a monocyte with bright Green Crystals Of Death Hematology A critical finding that must be reported int j lab hematol. Previously termed “green crystals of death,” bright blue‐green inclusion bodies within neutrophils are a rare clinical finding. Blue‐green neutrophilic inclusion bodies are a rare clinical finding closely. Green Crystals Of Death Hematology.
From www.reddit.com
The most death crystals I've ever seen in one patient 👀 r Green Crystals Of Death Hematology Blue‐green neutrophilic inclusion bodies are a rare clinical finding closely. Previously termed “green crystals of death,” bright blue‐green inclusion bodies within neutrophils are a rare clinical finding. A critical finding that must be reported int j lab hematol. Green Crystals Of Death Hematology.
From www.dreamstime.com
Critical Green Inclusions in a Neutrophil. Stock Image Image of Green Crystals Of Death Hematology A critical finding that must be reported int j lab hematol. Previously termed “green crystals of death,” bright blue‐green inclusion bodies within neutrophils are a rare clinical finding. Blue‐green neutrophilic inclusion bodies are a rare clinical finding closely. Green Crystals Of Death Hematology.
From imagebank.hematology.org
Hemoglobin SC Crystals 4. Green Crystals Of Death Hematology A critical finding that must be reported int j lab hematol. Blue‐green neutrophilic inclusion bodies are a rare clinical finding closely. Previously termed “green crystals of death,” bright blue‐green inclusion bodies within neutrophils are a rare clinical finding. Green Crystals Of Death Hematology.
From imagebank.hematology.org
Cryoglobulinemia presenting with crystals in peripheral blood Green Crystals Of Death Hematology Blue‐green neutrophilic inclusion bodies are a rare clinical finding closely. Previously termed “green crystals of death,” bright blue‐green inclusion bodies within neutrophils are a rare clinical finding. A critical finding that must be reported int j lab hematol. Green Crystals Of Death Hematology.
From labmedicineblog.com
Hematology Case Study Crystal of Death Lablogatory Green Crystals Of Death Hematology A critical finding that must be reported int j lab hematol. Previously termed “green crystals of death,” bright blue‐green inclusion bodies within neutrophils are a rare clinical finding. Blue‐green neutrophilic inclusion bodies are a rare clinical finding closely. Green Crystals Of Death Hematology.
From www.reddit.com
Green crystal of Death? r/pathology Green Crystals Of Death Hematology Blue‐green neutrophilic inclusion bodies are a rare clinical finding closely. A critical finding that must be reported int j lab hematol. Previously termed “green crystals of death,” bright blue‐green inclusion bodies within neutrophils are a rare clinical finding. Green Crystals Of Death Hematology.
From kikoxp.com
"Green Crystals/Granules of Death" (BlueGreen Neutrophil Inclusions Green Crystals Of Death Hematology A critical finding that must be reported int j lab hematol. Previously termed “green crystals of death,” bright blue‐green inclusion bodies within neutrophils are a rare clinical finding. Blue‐green neutrophilic inclusion bodies are a rare clinical finding closely. Green Crystals Of Death Hematology.
From imagebank.hematology.org
Green Neutrophil Inclusions in a Patient with Liver Disease Green Crystals Of Death Hematology A critical finding that must be reported int j lab hematol. Blue‐green neutrophilic inclusion bodies are a rare clinical finding closely. Previously termed “green crystals of death,” bright blue‐green inclusion bodies within neutrophils are a rare clinical finding. Green Crystals Of Death Hematology.
From onlinelibrary.wiley.com
Blue‐green neutrophilic inclusion bodies in the critically ill patient Green Crystals Of Death Hematology Blue‐green neutrophilic inclusion bodies are a rare clinical finding closely. Previously termed “green crystals of death,” bright blue‐green inclusion bodies within neutrophils are a rare clinical finding. A critical finding that must be reported int j lab hematol. Green Crystals Of Death Hematology.
From onlinelibrary.wiley.com
British Journal of Haematology Wiley Online Library Green Crystals Of Death Hematology Previously termed “green crystals of death,” bright blue‐green inclusion bodies within neutrophils are a rare clinical finding. A critical finding that must be reported int j lab hematol. Blue‐green neutrophilic inclusion bodies are a rare clinical finding closely. Green Crystals Of Death Hematology.
From medlabstudyhall.com
BlueGreen Crystals of Death? Med Lab Study Hall Green Crystals Of Death Hematology A critical finding that must be reported int j lab hematol. Previously termed “green crystals of death,” bright blue‐green inclusion bodies within neutrophils are a rare clinical finding. Blue‐green neutrophilic inclusion bodies are a rare clinical finding closely. Green Crystals Of Death Hematology.
From www.reddit.com
"Green crystals of death" inclusions in a patient's CBC. r Green Crystals Of Death Hematology Blue‐green neutrophilic inclusion bodies are a rare clinical finding closely. A critical finding that must be reported int j lab hematol. Previously termed “green crystals of death,” bright blue‐green inclusion bodies within neutrophils are a rare clinical finding. Green Crystals Of Death Hematology.
From www.pinterest.com
Pin by D Alinejad on Hematology (With images) Medical laboratory Green Crystals Of Death Hematology Blue‐green neutrophilic inclusion bodies are a rare clinical finding closely. A critical finding that must be reported int j lab hematol. Previously termed “green crystals of death,” bright blue‐green inclusion bodies within neutrophils are a rare clinical finding. Green Crystals Of Death Hematology.
From www.youtube.com
"Green Crystals/Granules of Death" (BlueGreen Neutrophil Inclusions Green Crystals Of Death Hematology A critical finding that must be reported int j lab hematol. Blue‐green neutrophilic inclusion bodies are a rare clinical finding closely. Previously termed “green crystals of death,” bright blue‐green inclusion bodies within neutrophils are a rare clinical finding. Green Crystals Of Death Hematology.
From hematologyoutlines.com
HematologyOutlines Atlas Green Crystals Of Death Hematology Blue‐green neutrophilic inclusion bodies are a rare clinical finding closely. Previously termed “green crystals of death,” bright blue‐green inclusion bodies within neutrophils are a rare clinical finding. A critical finding that must be reported int j lab hematol. Green Crystals Of Death Hematology.
From onlinelibrary.wiley.com
Green neutrophil and monocyte inclusions time to acknowledge and Green Crystals Of Death Hematology Blue‐green neutrophilic inclusion bodies are a rare clinical finding closely. Previously termed “green crystals of death,” bright blue‐green inclusion bodies within neutrophils are a rare clinical finding. A critical finding that must be reported int j lab hematol. Green Crystals Of Death Hematology.
From www.htct.com.br
Critical bluegreen inclusions in neutrophil and monocyte cytoplasm in Green Crystals Of Death Hematology A critical finding that must be reported int j lab hematol. Blue‐green neutrophilic inclusion bodies are a rare clinical finding closely. Previously termed “green crystals of death,” bright blue‐green inclusion bodies within neutrophils are a rare clinical finding. Green Crystals Of Death Hematology.
From www.reddit.com
I thought these were a myth. Today was the first time I’ve seen this Green Crystals Of Death Hematology Previously termed “green crystals of death,” bright blue‐green inclusion bodies within neutrophils are a rare clinical finding. A critical finding that must be reported int j lab hematol. Blue‐green neutrophilic inclusion bodies are a rare clinical finding closely. Green Crystals Of Death Hematology.
From imagebank.hematology.org
Hemoglobin C crystals 2. Green Crystals Of Death Hematology Previously termed “green crystals of death,” bright blue‐green inclusion bodies within neutrophils are a rare clinical finding. Blue‐green neutrophilic inclusion bodies are a rare clinical finding closely. A critical finding that must be reported int j lab hematol. Green Crystals Of Death Hematology.
From imagebank.hematology.org
BLUE GREEN CRYSTALS OF DEATH IN COVID 19 2 Green Crystals Of Death Hematology Previously termed “green crystals of death,” bright blue‐green inclusion bodies within neutrophils are a rare clinical finding. A critical finding that must be reported int j lab hematol. Blue‐green neutrophilic inclusion bodies are a rare clinical finding closely. Green Crystals Of Death Hematology.
From www.youtube.com
MayHegglin Anomaly (Döhle bodylike inclusions & giant platelets Green Crystals Of Death Hematology A critical finding that must be reported int j lab hematol. Previously termed “green crystals of death,” bright blue‐green inclusion bodies within neutrophils are a rare clinical finding. Blue‐green neutrophilic inclusion bodies are a rare clinical finding closely. Green Crystals Of Death Hematology.