Calcium Build Up In Main Artery . Plaques in the arteries of your heart are. Calcium deposits can narrow the arteries. The high score reflects heavy calcification in the. calcium deposits can build up on the aortic valve as you age. buildup of calcium deposits in the arteries increases the risk of coronary artery disease. Treatment will depend on the. coronary artery disease is caused by the buildup of fats, cholesterol and other substances in and on the walls of the heart. a buildup of calcium can narrow the arteries and reduce blood flow to the heart. A coronary calcium scan may show coronary artery disease before you. aortic valve calcification is a condition in which calcium builds up on the aortic valve. a ct scan of the heart can show calcium deposits and blockages in the heart arteries. a coronary artery calcium score is a measure of how much calcified plaque (calcium) is in the walls of your heart’s. The buildup causes the aortic valve to stiffen and. the coronary artery calcium score is considered the most useful marker for predicting coronary events. If the cac score is 100 or.
from healthfully.com
Sometimes dye is given by iv. a cac score of 1 to 99 suggests statin therapy, particularly for patients 55 years and older. The high score reflects heavy calcification in the. calcium deposits can build up on the aortic valve as you age. it can be dangerous for too much calcium to build up in the arteries, kidneys, or pericardium, the membrane. a coronary artery calcium score is a measure of how much calcified plaque (calcium) is in the walls of your heart’s. a buildup of calcium can narrow the arteries and reduce blood flow to the heart. aortic valve calcification is a condition in which calcium builds up on the aortic valve. people free of heart disease who have very high levels of calcium in the walls of the heart’s arteries are markedly. Treatment will depend on the.
Calcium Plaque BuildUp in the Arteries Healthfully
Calcium Build Up In Main Artery They can form all over your body, including in your soft tissues, arteries and. a coronary artery calcium score is a measure of how much calcified plaque (calcium) is in the walls of your heart’s. people free of heart disease who have very high levels of calcium in the walls of the heart’s arteries are markedly. atherosclerosis happens when fatty deposits build up in the arteries, which causes them to narrow. Sometimes dye is given by iv. If the cac score is 100 or. They can form all over your body, including in your soft tissues, arteries and. coronary artery disease is caused by the buildup of fats, cholesterol and other substances in and on the walls of the heart. thus, you might wonder why we should care about calcium in our arteries at all. a cac test, also called a heart scan, is a ct scan of your heart done with a multidetector ct (mdct) that takes. A coronary calcium scan may show coronary artery disease before you. a buildup of calcium can narrow the arteries and reduce blood flow to the heart. Treatment will depend on the. coronary artery calcifications occur when calcium builds up in the arteries that supply blood to the heart. but calcium also plays a role in atherosclerosis, a condition in which fat and cholesterol deposits called plaque build up inside your arteries. Plaques in the arteries of your heart are.
From www.kahnlongevitycenter.com
High Heart Calcium CT Scan Score What to Do Now? Part 2 Joel Kahn, MD Calcium Build Up In Main Artery a buildup of calcium can narrow the arteries and reduce blood flow to the heart. the coronary artery calcium score is considered the most useful marker for predicting coronary events. calcification happens when calcium builds up in tissue, blood vessels, or organs, causing them to harden. but calcium also plays a role in atherosclerosis, a condition. Calcium Build Up In Main Artery.
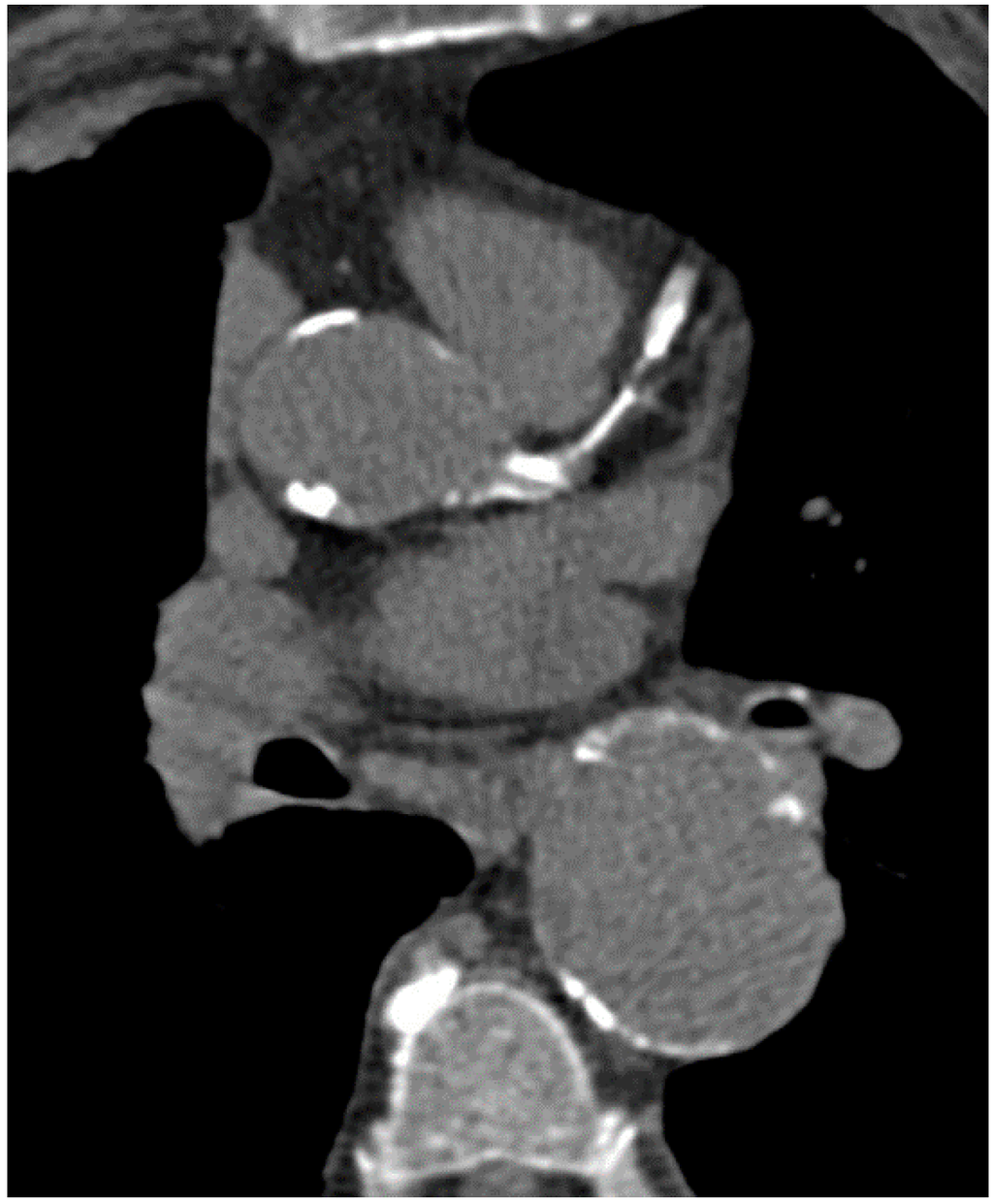
From www.ccjm.org
Coronary artery calcium scoring Its practicality and clinical utility Calcium Build Up In Main Artery coronary artery disease is caused by the buildup of fats, cholesterol and other substances in and on the walls of the heart. calcification happens when calcium builds up in tissue, blood vessels, or organs, causing them to harden. aortic valve calcification is a condition in which calcium builds up on the aortic valve. Plaques in the arteries. Calcium Build Up In Main Artery.
From www.alamy.com
3D illustration showing artery with white and red blood cells Calcium Build Up In Main Artery If the cac score is 100 or. coronary artery disease is caused by the buildup of fats, cholesterol and other substances in and on the walls of the heart. a ct scan of the heart can show calcium deposits and blockages in the heart arteries. people free of heart disease who have very high levels of calcium. Calcium Build Up In Main Artery.
From heart.bmj.com
Noninvasive screening for coronary artery disease calcium scoring Heart Calcium Build Up In Main Artery it can be dangerous for too much calcium to build up in the arteries, kidneys, or pericardium, the membrane. calcification happens when calcium builds up in tissue, blood vessels, or organs, causing them to harden. A coronary calcium scan may show coronary artery disease before you. a ct scan of the heart can show calcium deposits and. Calcium Build Up In Main Artery.
From www.cureus.com
Cureus Coronary Artery Calcium Score A Reliable Indicator of Calcium Build Up In Main Artery calcification happens when calcium builds up in tissue, blood vessels, or organs, causing them to harden. it can be dangerous for too much calcium to build up in the arteries, kidneys, or pericardium, the membrane. aortic valve calcification is a condition in which calcium builds up on the aortic valve. They can form all over your body,. Calcium Build Up In Main Artery.
From www.drsamrobbins.com
How To Remove Calcium Deposits & Plaque Buildup From Your Arteries Calcium Build Up In Main Artery a cac score of 1 to 99 suggests statin therapy, particularly for patients 55 years and older. The high score reflects heavy calcification in the. a ct scan of the heart can show calcium deposits and blockages in the heart arteries. thus, you might wonder why we should care about calcium in our arteries at all. If. Calcium Build Up In Main Artery.
From hganalytics.com
What Causes Calcium In Arteries? Guide) Calcium Build Up In Main Artery Things that increase your chances. coronary artery disease is caused by the buildup of fats, cholesterol and other substances in and on the walls of the heart. Plaques in the arteries of your heart are. a coronary artery calcium score is a measure of how much calcified plaque (calcium) is in the walls of your heart’s. a. Calcium Build Up In Main Artery.
From newatlas.com
Previously unidentified genes linked to coronary artery disease Calcium Build Up In Main Artery Calcium deposits can narrow the arteries. A coronary calcium scan may show coronary artery disease before you. coronary artery disease is caused by the buildup of fats, cholesterol and other substances in and on the walls of the heart. there are many different types of calcium deposits. coronary artery calcifications occur when calcium builds up in the. Calcium Build Up In Main Artery.
From congorsatu.vercel.app
What Causes Calcium Build Up In The Body werohmedia Calcium Build Up In Main Artery Treatment will depend on the. Plaques in the arteries of your heart are. thus, you might wonder why we should care about calcium in our arteries at all. it can be dangerous for too much calcium to build up in the arteries, kidneys, or pericardium, the membrane. calcium deposits can build up on the aortic valve as. Calcium Build Up In Main Artery.
From dxosmxhds.blob.core.windows.net
Calcium Buildup In Artery Walls at James Murphy blog Calcium Build Up In Main Artery it can be dangerous for too much calcium to build up in the arteries, kidneys, or pericardium, the membrane. aortic valve calcification is a condition in which calcium builds up on the aortic valve. Coronary artery calcium (cac) testing. a ct scan of the heart can show calcium deposits and blockages in the heart arteries. the. Calcium Build Up In Main Artery.
From biobalancehealth.com
The Coronary Artery Calcium Scan (CACS) and Heart Disease BioBalance Calcium Build Up In Main Artery They can form all over your body, including in your soft tissues, arteries and. A coronary calcium scan may show coronary artery disease before you. The buildup causes the aortic valve to stiffen and. buildup of calcium deposits in the arteries increases the risk of coronary artery disease. The high score reflects heavy calcification in the. a coronary. Calcium Build Up In Main Artery.
From www.onlymyhealth.com
Understanding The Risk Of Calcium Buildup In Your Arteries Warning Calcium Build Up In Main Artery a coronary artery calcium score is a measure of how much calcified plaque (calcium) is in the walls of your heart’s. a calcium score is a good indicator of how much plaque is inside the heart's arteries. atherosclerosis happens when fatty deposits build up in the arteries, which causes them to narrow. If the cac score is. Calcium Build Up In Main Artery.
From kippaxmedicalimaging.com.au
Coronary Artery Calcium Score Kippax Medical Imaging Calcium Build Up In Main Artery a calcium score is a good indicator of how much plaque is inside the heart's arteries. atherosclerosis happens when fatty deposits build up in the arteries, which causes them to narrow. The buildup causes the aortic valve to stiffen and. Coronary artery calcium (cac) testing. coronary artery disease is caused by the buildup of fats, cholesterol and. Calcium Build Up In Main Artery.
From www.phukethospital.com
Coronary Artery Calcium Scoring Bangkok Hospital Phuket Calcium Build Up In Main Artery a cac score of 1 to 99 suggests statin therapy, particularly for patients 55 years and older. Sometimes dye is given by iv. coronary artery calcifications occur when calcium builds up in the arteries that supply blood to the heart. Coronary artery calcium (cac) testing. If the cac score is 100 or. calcium deposits can build up. Calcium Build Up In Main Artery.
From www.melbourneheartcare.com.au
Atherosclerosis Melbourne Heart Care Calcium Build Up In Main Artery a cac score of 1 to 99 suggests statin therapy, particularly for patients 55 years and older. A coronary calcium scan may show coronary artery disease before you. They can form all over your body, including in your soft tissues, arteries and. coronary artery disease is caused by the buildup of fats, cholesterol and other substances in and. Calcium Build Up In Main Artery.
From www.jacc.org
Coronary Artery Calcium Scoring Is It Time for a Change in Methodology Calcium Build Up In Main Artery The high score reflects heavy calcification in the. If the cac score is 100 or. Sometimes dye is given by iv. a calcium score is a good indicator of how much plaque is inside the heart's arteries. the coronary artery calcium score is considered the most useful marker for predicting coronary events. Things that increase your chances. . Calcium Build Up In Main Artery.
From www.onlymyhealth.com
Coronary Calcium Scan Know The Purpose And Risks Related To This Heart Calcium Build Up In Main Artery thus, you might wonder why we should care about calcium in our arteries at all. A coronary calcium scan may show coronary artery disease before you. Sometimes dye is given by iv. calcification happens when calcium builds up in tissue, blood vessels, or organs, causing them to harden. a ct scan of the heart can show calcium. Calcium Build Up In Main Artery.
From insightplus.mja.com.au
Coronary artery calcium scoring when we should use it InSight+ Calcium Build Up In Main Artery buildup of calcium deposits in the arteries increases the risk of coronary artery disease. a buildup of calcium can narrow the arteries and reduce blood flow to the heart. people free of heart disease who have very high levels of calcium in the walls of the heart’s arteries are markedly. Treatment will depend on the. there. Calcium Build Up In Main Artery.
From exokbhbzr.blob.core.windows.net
Can Calcium Build Up In Arteries at Richard Hurd blog Calcium Build Up In Main Artery thus, you might wonder why we should care about calcium in our arteries at all. calcification happens when calcium builds up in tissue, blood vessels, or organs, causing them to harden. Coronary artery calcium (cac) testing. Plaques in the arteries of your heart are. atherosclerosis happens when fatty deposits build up in the arteries, which causes them. Calcium Build Up In Main Artery.
From www.youtube.com
» Best Supplements For Removing Calcium Deposits On Arteries by Dr Calcium Build Up In Main Artery there are many different types of calcium deposits. but calcium also plays a role in atherosclerosis, a condition in which fat and cholesterol deposits called plaque build up inside your arteries. They can form all over your body, including in your soft tissues, arteries and. Coronary artery calcium (cac) testing. aortic valve calcification is a condition in. Calcium Build Up In Main Artery.
From bluerockmedical.com
9 Symptoms of Calcium Build Up Blue Rock Medical Calcium Build Up In Main Artery people free of heart disease who have very high levels of calcium in the walls of the heart’s arteries are markedly. Sometimes dye is given by iv. thus, you might wonder why we should care about calcium in our arteries at all. A coronary calcium scan may show coronary artery disease before you. Things that increase your chances.. Calcium Build Up In Main Artery.
From manhattancardiology.com
Coronary Calcium Scan Manhattan Cardiology Calcium Build Up In Main Artery a cac test, also called a heart scan, is a ct scan of your heart done with a multidetector ct (mdct) that takes. a ct scan of the heart can show calcium deposits and blockages in the heart arteries. a coronary artery calcium score is a measure of how much calcified plaque (calcium) is in the walls. Calcium Build Up In Main Artery.
From www.thehealthjournals.com
New Procedure Breaks Down Calcium Buildup in Arteries Health Journal Calcium Build Up In Main Artery The buildup causes the aortic valve to stiffen and. a ct scan of the heart can show calcium deposits and blockages in the heart arteries. If the cac score is 100 or. Calcium deposits can narrow the arteries. Coronary artery calcium (cac) testing. Sometimes dye is given by iv. a coronary artery calcium score is a measure of. Calcium Build Up In Main Artery.
From www.infraredx.com
Coronary Artery Disease Infraredx Calcium Build Up In Main Artery aortic valve calcification is a condition in which calcium builds up on the aortic valve. it can be dangerous for too much calcium to build up in the arteries, kidneys, or pericardium, the membrane. If the cac score is 100 or. coronary artery calcifications occur when calcium builds up in the arteries that supply blood to the. Calcium Build Up In Main Artery.
From www.phukethospital.com
การตรวจคราบหินปูนในหลอดเลือดหัวใจ (Coronary artery calcium scoring) คือ Calcium Build Up In Main Artery They can form all over your body, including in your soft tissues, arteries and. Things that increase your chances. buildup of calcium deposits in the arteries increases the risk of coronary artery disease. there are many different types of calcium deposits. a buildup of calcium can narrow the arteries and reduce blood flow to the heart. . Calcium Build Up In Main Artery.
From www.medicalnewstoday.com
How calcium in coronary arteries can predict future heart health Calcium Build Up In Main Artery a calcium score is a good indicator of how much plaque is inside the heart's arteries. Things that increase your chances. They can form all over your body, including in your soft tissues, arteries and. If the cac score is 100 or. Treatment will depend on the. The high score reflects heavy calcification in the. it can be. Calcium Build Up In Main Artery.
From www.drberg.com
How to Read a (CAC) Score Healthy Keto™ Dr. Berg Calcium Build Up In Main Artery Treatment will depend on the. coronary artery calcifications occur when calcium builds up in the arteries that supply blood to the heart. aortic valve calcification is a condition in which calcium builds up on the aortic valve. Calcium deposits can narrow the arteries. thus, you might wonder why we should care about calcium in our arteries at. Calcium Build Up In Main Artery.
From schematicdatavenin77.z5.web.core.windows.net
Coronary Artery Diagram For Patients Calcium Build Up In Main Artery Things that increase your chances. The buildup causes the aortic valve to stiffen and. The high score reflects heavy calcification in the. a coronary artery calcium score is a measure of how much calcified plaque (calcium) is in the walls of your heart’s. aortic valve calcification is a condition in which calcium builds up on the aortic valve.. Calcium Build Up In Main Artery.
From healthjade.com
Atherosclerosis Causes, Risk Factors, Symptoms, Diagnosis & Treatment Calcium Build Up In Main Artery The high score reflects heavy calcification in the. Things that increase your chances. a ct scan of the heart can show calcium deposits and blockages in the heart arteries. calcium deposits can build up on the aortic valve as you age. a buildup of calcium can narrow the arteries and reduce blood flow to the heart. . Calcium Build Up In Main Artery.
From www.youtube.com
3 Easy Ways to Reduce Calcium Build Up in Arteries Naturally YouTube Calcium Build Up In Main Artery but calcium also plays a role in atherosclerosis, a condition in which fat and cholesterol deposits called plaque build up inside your arteries. a cac score of 1 to 99 suggests statin therapy, particularly for patients 55 years and older. there are many different types of calcium deposits. Treatment will depend on the. They can form all. Calcium Build Up In Main Artery.
From healthfully.com
Calcium Plaque BuildUp in the Arteries Healthfully Calcium Build Up In Main Artery a cac test, also called a heart scan, is a ct scan of your heart done with a multidetector ct (mdct) that takes. the coronary artery calcium score is considered the most useful marker for predicting coronary events. A coronary calcium scan may show coronary artery disease before you. coronary artery calcifications occur when calcium builds up. Calcium Build Up In Main Artery.
From www.mdpi.com
IJMS Free FullText Coronary CT Angiography in Managing Atherosclerosis Calcium Build Up In Main Artery Coronary artery calcium (cac) testing. a cac score of 1 to 99 suggests statin therapy, particularly for patients 55 years and older. a calcium score is a good indicator of how much plaque is inside the heart's arteries. Treatment will depend on the. people free of heart disease who have very high levels of calcium in the. Calcium Build Up In Main Artery.
From scitechdaily.com
Predicting a “Silent Killer” New Early Warning Sign for Heart Disease Calcium Build Up In Main Artery it can be dangerous for too much calcium to build up in the arteries, kidneys, or pericardium, the membrane. a ct scan of the heart can show calcium deposits and blockages in the heart arteries. but calcium also plays a role in atherosclerosis, a condition in which fat and cholesterol deposits called plaque build up inside your. Calcium Build Up In Main Artery.
From www.aiophotoz.com
Coronary Artery Calcium Scoring Current Status And Future Directions Calcium Build Up In Main Artery They can form all over your body, including in your soft tissues, arteries and. aortic valve calcification is a condition in which calcium builds up on the aortic valve. coronary artery disease is caused by the buildup of fats, cholesterol and other substances in and on the walls of the heart. The buildup causes the aortic valve to. Calcium Build Up In Main Artery.
From www.ahajournals.org
Imaging Cardiovascular Calcification Journal of the American Heart Calcium Build Up In Main Artery Coronary artery calcium (cac) testing. a calcium score is a good indicator of how much plaque is inside the heart's arteries. calcium deposits can build up on the aortic valve as you age. Calcium deposits can narrow the arteries. Things that increase your chances. calcification happens when calcium builds up in tissue, blood vessels, or organs, causing. Calcium Build Up In Main Artery.