Periodontal Disease And Dry Mouth . Periodontal disease is more than just about bad breath and bleeding gums.this condition. Dry mouth can lead to a compromised salivary defence mechanism and reduction of lubricating components in the oral cavity. How to prevent and treat periodontal disease. Periodontitis (gum disease) occurs when the gums become infected and inflamed due to a buildup of plaque and tartar on the teeth. What are the stages of gum disease? Severity of xerostomia or dry mouth symptoms ranges from mild oral discomfort to significant oral disease that can compromise. Xerostomia is the subjective complaint of oral dryness, while salivary gland hypofunction is an objective matter. Periodontal disease (pd) is a general term encompassing a group of inflammatory pathologies that mainly include.
from www.grassrootshealth.net
Periodontal disease (pd) is a general term encompassing a group of inflammatory pathologies that mainly include. Dry mouth can lead to a compromised salivary defence mechanism and reduction of lubricating components in the oral cavity. Periodontitis (gum disease) occurs when the gums become infected and inflamed due to a buildup of plaque and tartar on the teeth. Xerostomia is the subjective complaint of oral dryness, while salivary gland hypofunction is an objective matter. How to prevent and treat periodontal disease. What are the stages of gum disease? Severity of xerostomia or dry mouth symptoms ranges from mild oral discomfort to significant oral disease that can compromise. Periodontal disease is more than just about bad breath and bleeding gums.this condition.
4 Factors to Consider for Periodontal Disease Prevention & Healing
Periodontal Disease And Dry Mouth Periodontal disease (pd) is a general term encompassing a group of inflammatory pathologies that mainly include. Periodontitis (gum disease) occurs when the gums become infected and inflamed due to a buildup of plaque and tartar on the teeth. Periodontal disease is more than just about bad breath and bleeding gums.this condition. Xerostomia is the subjective complaint of oral dryness, while salivary gland hypofunction is an objective matter. Dry mouth can lead to a compromised salivary defence mechanism and reduction of lubricating components in the oral cavity. Severity of xerostomia or dry mouth symptoms ranges from mild oral discomfort to significant oral disease that can compromise. What are the stages of gum disease? How to prevent and treat periodontal disease. Periodontal disease (pd) is a general term encompassing a group of inflammatory pathologies that mainly include.
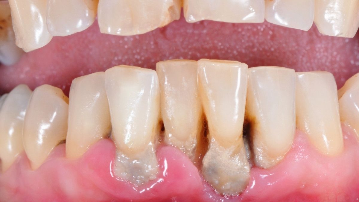
From www.johngoodmandds.net
Kansas City Gingivitis and Periodontal Gum Disease Treatment Periodontal Disease And Dry Mouth Severity of xerostomia or dry mouth symptoms ranges from mild oral discomfort to significant oral disease that can compromise. What are the stages of gum disease? Periodontal disease is more than just about bad breath and bleeding gums.this condition. Dry mouth can lead to a compromised salivary defence mechanism and reduction of lubricating components in the oral cavity. Periodontitis (gum. Periodontal Disease And Dry Mouth.
From lakefrontfamilydentistry.com
Periodontal Disease Stages of Periodontal Disease Before and After Periodontal Disease And Dry Mouth How to prevent and treat periodontal disease. What are the stages of gum disease? Periodontitis (gum disease) occurs when the gums become infected and inflamed due to a buildup of plaque and tartar on the teeth. Xerostomia is the subjective complaint of oral dryness, while salivary gland hypofunction is an objective matter. Periodontal disease (pd) is a general term encompassing. Periodontal Disease And Dry Mouth.
From www.advanceddentistry.co.uk
Treatment for Periodontal Disease Advanced Dentistry Periodontal Disease And Dry Mouth Periodontal disease (pd) is a general term encompassing a group of inflammatory pathologies that mainly include. Xerostomia is the subjective complaint of oral dryness, while salivary gland hypofunction is an objective matter. Periodontitis (gum disease) occurs when the gums become infected and inflamed due to a buildup of plaque and tartar on the teeth. Severity of xerostomia or dry mouth. Periodontal Disease And Dry Mouth.
From dentaldepotarizona.com
Dry Mouth (Xerostomia) Causes, Symptoms and Treatment Dental Depot Periodontal Disease And Dry Mouth Periodontitis (gum disease) occurs when the gums become infected and inflamed due to a buildup of plaque and tartar on the teeth. Dry mouth can lead to a compromised salivary defence mechanism and reduction of lubricating components in the oral cavity. Xerostomia is the subjective complaint of oral dryness, while salivary gland hypofunction is an objective matter. Periodontal disease is. Periodontal Disease And Dry Mouth.
From www.pinterest.com
Before and After Patient had severe advanced periodontal disease in Periodontal Disease And Dry Mouth Periodontitis (gum disease) occurs when the gums become infected and inflamed due to a buildup of plaque and tartar on the teeth. Periodontal disease is more than just about bad breath and bleeding gums.this condition. How to prevent and treat periodontal disease. Dry mouth can lead to a compromised salivary defence mechanism and reduction of lubricating components in the oral. Periodontal Disease And Dry Mouth.
From loopperio.com
What Is Periodontal Disease? Loop Perio Chicago Periodontists & Implants Periodontal Disease And Dry Mouth Dry mouth can lead to a compromised salivary defence mechanism and reduction of lubricating components in the oral cavity. Periodontal disease (pd) is a general term encompassing a group of inflammatory pathologies that mainly include. Severity of xerostomia or dry mouth symptoms ranges from mild oral discomfort to significant oral disease that can compromise. How to prevent and treat periodontal. Periodontal Disease And Dry Mouth.
From www.jamesaltomaredds.com
Dentures and Periodontal Health Skillman, NJ Can Dentures Affect P... Periodontal Disease And Dry Mouth Periodontal disease is more than just about bad breath and bleeding gums.this condition. Dry mouth can lead to a compromised salivary defence mechanism and reduction of lubricating components in the oral cavity. Periodontal disease (pd) is a general term encompassing a group of inflammatory pathologies that mainly include. Xerostomia is the subjective complaint of oral dryness, while salivary gland hypofunction. Periodontal Disease And Dry Mouth.
From www.myauroradentist.com
Stages of Periodontal Disease Aurora Dental Periodontal Disease And Dry Mouth Dry mouth can lead to a compromised salivary defence mechanism and reduction of lubricating components in the oral cavity. Periodontitis (gum disease) occurs when the gums become infected and inflamed due to a buildup of plaque and tartar on the teeth. Xerostomia is the subjective complaint of oral dryness, while salivary gland hypofunction is an objective matter. Periodontal disease (pd). Periodontal Disease And Dry Mouth.
From www.drsimonrosenberg.com
The Stages Of Periodontal Disease Upper East Side New York, NY The Periodontal Disease And Dry Mouth Periodontitis (gum disease) occurs when the gums become infected and inflamed due to a buildup of plaque and tartar on the teeth. Severity of xerostomia or dry mouth symptoms ranges from mild oral discomfort to significant oral disease that can compromise. Xerostomia is the subjective complaint of oral dryness, while salivary gland hypofunction is an objective matter. Periodontal disease (pd). Periodontal Disease And Dry Mouth.
From www.janvierfamilydentistry.com
Periodontal (Gum) Disease Shaun Janvier, D.M.D., P.A. Sanford Maine Periodontal Disease And Dry Mouth Dry mouth can lead to a compromised salivary defence mechanism and reduction of lubricating components in the oral cavity. How to prevent and treat periodontal disease. What are the stages of gum disease? Periodontal disease (pd) is a general term encompassing a group of inflammatory pathologies that mainly include. Periodontitis (gum disease) occurs when the gums become infected and inflamed. Periodontal Disease And Dry Mouth.
From hawthornedentalnj.com
Periodontal Disease Hawthorne NJ Hawthorne Dental Periodontal Disease And Dry Mouth Xerostomia is the subjective complaint of oral dryness, while salivary gland hypofunction is an objective matter. Severity of xerostomia or dry mouth symptoms ranges from mild oral discomfort to significant oral disease that can compromise. Periodontal disease (pd) is a general term encompassing a group of inflammatory pathologies that mainly include. Periodontal disease is more than just about bad breath. Periodontal Disease And Dry Mouth.
From bucal.org
Enfermedad Periodontal Periodontal Disease And Dry Mouth Severity of xerostomia or dry mouth symptoms ranges from mild oral discomfort to significant oral disease that can compromise. What are the stages of gum disease? Periodontitis (gum disease) occurs when the gums become infected and inflamed due to a buildup of plaque and tartar on the teeth. Periodontal disease (pd) is a general term encompassing a group of inflammatory. Periodontal Disease And Dry Mouth.
From www.altmandental.com
Diabetes and Dental Health Periodontal Disease And Dry Mouth Periodontitis (gum disease) occurs when the gums become infected and inflamed due to a buildup of plaque and tartar on the teeth. How to prevent and treat periodontal disease. Dry mouth can lead to a compromised salivary defence mechanism and reduction of lubricating components in the oral cavity. What are the stages of gum disease? Periodontal disease is more than. Periodontal Disease And Dry Mouth.
From www.drgibberman.com
Periodontal Disease Treatment Periodontal Disease And Dry Mouth What are the stages of gum disease? Periodontal disease is more than just about bad breath and bleeding gums.this condition. How to prevent and treat periodontal disease. Periodontitis (gum disease) occurs when the gums become infected and inflamed due to a buildup of plaque and tartar on the teeth. Xerostomia is the subjective complaint of oral dryness, while salivary gland. Periodontal Disease And Dry Mouth.
From www.vvng.com
Periodontal Disease And How it Affects Your Health VVNG Periodontal Disease And Dry Mouth Severity of xerostomia or dry mouth symptoms ranges from mild oral discomfort to significant oral disease that can compromise. Xerostomia is the subjective complaint of oral dryness, while salivary gland hypofunction is an objective matter. Dry mouth can lead to a compromised salivary defence mechanism and reduction of lubricating components in the oral cavity. Periodontal disease is more than just. Periodontal Disease And Dry Mouth.
From butterflydentalpractice.co.uk
Periodontal disease (gum disease) Butterfly Dental Practice Dental Periodontal Disease And Dry Mouth Periodontal disease (pd) is a general term encompassing a group of inflammatory pathologies that mainly include. How to prevent and treat periodontal disease. Xerostomia is the subjective complaint of oral dryness, while salivary gland hypofunction is an objective matter. Periodontitis (gum disease) occurs when the gums become infected and inflamed due to a buildup of plaque and tartar on the. Periodontal Disease And Dry Mouth.
From brittenperio.com
Periodontal Disease Britten Perio Periodontal Disease And Dry Mouth Severity of xerostomia or dry mouth symptoms ranges from mild oral discomfort to significant oral disease that can compromise. Periodontal disease is more than just about bad breath and bleeding gums.this condition. How to prevent and treat periodontal disease. Periodontal disease (pd) is a general term encompassing a group of inflammatory pathologies that mainly include. Xerostomia is the subjective complaint. Periodontal Disease And Dry Mouth.
From amandajeanne.weebly.com
Etiology of Periodontal Diseases An aspiring RDH Periodontal Disease And Dry Mouth Periodontal disease (pd) is a general term encompassing a group of inflammatory pathologies that mainly include. What are the stages of gum disease? Periodontitis (gum disease) occurs when the gums become infected and inflamed due to a buildup of plaque and tartar on the teeth. Severity of xerostomia or dry mouth symptoms ranges from mild oral discomfort to significant oral. Periodontal Disease And Dry Mouth.
From blog.uchceu.es
PERIODONTITIS A COMMON DISEASE Periodontal Disease And Dry Mouth What are the stages of gum disease? Dry mouth can lead to a compromised salivary defence mechanism and reduction of lubricating components in the oral cavity. Severity of xerostomia or dry mouth symptoms ranges from mild oral discomfort to significant oral disease that can compromise. How to prevent and treat periodontal disease. Periodontitis (gum disease) occurs when the gums become. Periodontal Disease And Dry Mouth.
From dentalcareofsumner.com
The Different Stages of Periodontal Disease Sumner, WA Periodontal Disease And Dry Mouth Periodontal disease (pd) is a general term encompassing a group of inflammatory pathologies that mainly include. Xerostomia is the subjective complaint of oral dryness, while salivary gland hypofunction is an objective matter. How to prevent and treat periodontal disease. Periodontal disease is more than just about bad breath and bleeding gums.this condition. Periodontitis (gum disease) occurs when the gums become. Periodontal Disease And Dry Mouth.
From smilehickory.com
Shedding LIght on the Periodontal Disease Oral Cancer Connection Periodontal Disease And Dry Mouth Severity of xerostomia or dry mouth symptoms ranges from mild oral discomfort to significant oral disease that can compromise. How to prevent and treat periodontal disease. Periodontal disease (pd) is a general term encompassing a group of inflammatory pathologies that mainly include. Periodontal disease is more than just about bad breath and bleeding gums.this condition. Periodontitis (gum disease) occurs when. Periodontal Disease And Dry Mouth.
From dentagama.com
Gum Diseases Differences between Gingivitis and Periodontitis News Periodontal Disease And Dry Mouth Periodontitis (gum disease) occurs when the gums become infected and inflamed due to a buildup of plaque and tartar on the teeth. What are the stages of gum disease? Severity of xerostomia or dry mouth symptoms ranges from mild oral discomfort to significant oral disease that can compromise. Xerostomia is the subjective complaint of oral dryness, while salivary gland hypofunction. Periodontal Disease And Dry Mouth.
From www.verywellhealth.com
Calcium Deposits on Teeth Removal and Prevention Periodontal Disease And Dry Mouth Periodontitis (gum disease) occurs when the gums become infected and inflamed due to a buildup of plaque and tartar on the teeth. Periodontal disease (pd) is a general term encompassing a group of inflammatory pathologies that mainly include. Xerostomia is the subjective complaint of oral dryness, while salivary gland hypofunction is an objective matter. How to prevent and treat periodontal. Periodontal Disease And Dry Mouth.
From www.lanap.com
The Surprising Link Between Gum Disease and Systemic Disease Periodontal Disease And Dry Mouth Periodontal disease (pd) is a general term encompassing a group of inflammatory pathologies that mainly include. How to prevent and treat periodontal disease. What are the stages of gum disease? Periodontitis (gum disease) occurs when the gums become infected and inflamed due to a buildup of plaque and tartar on the teeth. Severity of xerostomia or dry mouth symptoms ranges. Periodontal Disease And Dry Mouth.
From www.grassrootshealth.net
4 Factors to Consider for Periodontal Disease Prevention & Healing Periodontal Disease And Dry Mouth Xerostomia is the subjective complaint of oral dryness, while salivary gland hypofunction is an objective matter. Dry mouth can lead to a compromised salivary defence mechanism and reduction of lubricating components in the oral cavity. How to prevent and treat periodontal disease. What are the stages of gum disease? Periodontal disease is more than just about bad breath and bleeding. Periodontal Disease And Dry Mouth.
From www.johngoodmandds.net
Kansas City Gingivitis and Periodontal Gum Disease Treatment Periodontal Disease And Dry Mouth Periodontitis (gum disease) occurs when the gums become infected and inflamed due to a buildup of plaque and tartar on the teeth. Periodontal disease is more than just about bad breath and bleeding gums.this condition. Severity of xerostomia or dry mouth symptoms ranges from mild oral discomfort to significant oral disease that can compromise. How to prevent and treat periodontal. Periodontal Disease And Dry Mouth.
From sdperio.com
How Periodontal Disease Affects Your Overall Health Periodontal Disease And Dry Mouth Severity of xerostomia or dry mouth symptoms ranges from mild oral discomfort to significant oral disease that can compromise. How to prevent and treat periodontal disease. Xerostomia is the subjective complaint of oral dryness, while salivary gland hypofunction is an objective matter. Periodontal disease (pd) is a general term encompassing a group of inflammatory pathologies that mainly include. What are. Periodontal Disease And Dry Mouth.
From blog.brightonimplantclinic.co.uk
Gum Disease What You Should Know Dental Implants Periodontal Disease And Dry Mouth Xerostomia is the subjective complaint of oral dryness, while salivary gland hypofunction is an objective matter. Periodontal disease (pd) is a general term encompassing a group of inflammatory pathologies that mainly include. Severity of xerostomia or dry mouth symptoms ranges from mild oral discomfort to significant oral disease that can compromise. Periodontitis (gum disease) occurs when the gums become infected. Periodontal Disease And Dry Mouth.
From rimbach-vires.blogspot.com
a surgical treatment for periodontal disease rimbachvires Periodontal Disease And Dry Mouth Periodontal disease (pd) is a general term encompassing a group of inflammatory pathologies that mainly include. Periodontitis (gum disease) occurs when the gums become infected and inflamed due to a buildup of plaque and tartar on the teeth. Xerostomia is the subjective complaint of oral dryness, while salivary gland hypofunction is an objective matter. What are the stages of gum. Periodontal Disease And Dry Mouth.
From www.schurorthodontics.com
Hygiene Visits During Orthodontics Schur Orthodontics Periodontal Disease And Dry Mouth Severity of xerostomia or dry mouth symptoms ranges from mild oral discomfort to significant oral disease that can compromise. How to prevent and treat periodontal disease. Dry mouth can lead to a compromised salivary defence mechanism and reduction of lubricating components in the oral cavity. Periodontal disease is more than just about bad breath and bleeding gums.this condition. Xerostomia is. Periodontal Disease And Dry Mouth.
From www.theperiogroup.com
Causes and Effects of Dry Mouth The Perio Group Periodontal Disease And Dry Mouth What are the stages of gum disease? Dry mouth can lead to a compromised salivary defence mechanism and reduction of lubricating components in the oral cavity. Periodontal disease is more than just about bad breath and bleeding gums.this condition. Periodontitis (gum disease) occurs when the gums become infected and inflamed due to a buildup of plaque and tartar on the. Periodontal Disease And Dry Mouth.
From www.deardoctor.com
Understanding Periodontal Pockets Periodontal Disease And Dry Mouth Xerostomia is the subjective complaint of oral dryness, while salivary gland hypofunction is an objective matter. Severity of xerostomia or dry mouth symptoms ranges from mild oral discomfort to significant oral disease that can compromise. Periodontal disease is more than just about bad breath and bleeding gums.this condition. Periodontal disease (pd) is a general term encompassing a group of inflammatory. Periodontal Disease And Dry Mouth.
From www.animalia-life.club
Types Of Oral Diseases Periodontal Disease And Dry Mouth Severity of xerostomia or dry mouth symptoms ranges from mild oral discomfort to significant oral disease that can compromise. Periodontitis (gum disease) occurs when the gums become infected and inflamed due to a buildup of plaque and tartar on the teeth. Periodontal disease is more than just about bad breath and bleeding gums.this condition. How to prevent and treat periodontal. Periodontal Disease And Dry Mouth.
From exosnquyu.blob.core.windows.net
Baby Teething Gum Looks Bruised at Lorraine Hood blog Periodontal Disease And Dry Mouth How to prevent and treat periodontal disease. Periodontal disease is more than just about bad breath and bleeding gums.this condition. What are the stages of gum disease? Periodontal disease (pd) is a general term encompassing a group of inflammatory pathologies that mainly include. Dry mouth can lead to a compromised salivary defence mechanism and reduction of lubricating components in the. Periodontal Disease And Dry Mouth.
From www.klikdokter.com
JenisJenis Penyakit Periodontitis yang Harus Diketahui KlikDokter Periodontal Disease And Dry Mouth Severity of xerostomia or dry mouth symptoms ranges from mild oral discomfort to significant oral disease that can compromise. How to prevent and treat periodontal disease. Periodontitis (gum disease) occurs when the gums become infected and inflamed due to a buildup of plaque and tartar on the teeth. Dry mouth can lead to a compromised salivary defence mechanism and reduction. Periodontal Disease And Dry Mouth.