Nutcracker Syndrome Congenital . Nutcracker syndrome is a vascular compression disorder that refers to the compression of the left renal vein, most. Nutcracker syndrome, whose prevalence and natural history are still poorly known, is a clinical syndrome caused by left. It can be divided into two subtypes: It occurs when arteries, most often the abdomen’s aorta and superior mesenteric. Due to its rarity in pediatric patients,. Nutcracker syndrome is a rare vein compression disorder. The nutcracker syndrome (ncs) is defined by compression of the left renal vein (lvr) and may present with a wide variety of symptoms. Caused by the compression of the left renal vein (lrv).
from sonographictendencies.com
Caused by the compression of the left renal vein (lrv). It can be divided into two subtypes: Nutcracker syndrome is a rare vein compression disorder. It occurs when arteries, most often the abdomen’s aorta and superior mesenteric. The nutcracker syndrome (ncs) is defined by compression of the left renal vein (lvr) and may present with a wide variety of symptoms. Due to its rarity in pediatric patients,. Nutcracker syndrome is a vascular compression disorder that refers to the compression of the left renal vein, most. Nutcracker syndrome, whose prevalence and natural history are still poorly known, is a clinical syndrome caused by left.
Nutcracker Phenomenon/Syndrome Sonographic Tendencies
Nutcracker Syndrome Congenital Caused by the compression of the left renal vein (lrv). It occurs when arteries, most often the abdomen’s aorta and superior mesenteric. Nutcracker syndrome, whose prevalence and natural history are still poorly known, is a clinical syndrome caused by left. Nutcracker syndrome is a vascular compression disorder that refers to the compression of the left renal vein, most. The nutcracker syndrome (ncs) is defined by compression of the left renal vein (lvr) and may present with a wide variety of symptoms. It can be divided into two subtypes: Nutcracker syndrome is a rare vein compression disorder. Caused by the compression of the left renal vein (lrv). Due to its rarity in pediatric patients,.
From radiopaedia.org
Nutcracker syndrome Image Nutcracker Syndrome Congenital Due to its rarity in pediatric patients,. Caused by the compression of the left renal vein (lrv). The nutcracker syndrome (ncs) is defined by compression of the left renal vein (lvr) and may present with a wide variety of symptoms. Nutcracker syndrome is a rare vein compression disorder. Nutcracker syndrome is a vascular compression disorder that refers to the compression. Nutcracker Syndrome Congenital.
From www.scgvs.com
Nutcracker Syndrome Charlotte, NC South Charlotte General and Nutcracker Syndrome Congenital Due to its rarity in pediatric patients,. Nutcracker syndrome is a vascular compression disorder that refers to the compression of the left renal vein, most. Caused by the compression of the left renal vein (lrv). It can be divided into two subtypes: Nutcracker syndrome is a rare vein compression disorder. The nutcracker syndrome (ncs) is defined by compression of the. Nutcracker Syndrome Congenital.
From sonographictendencies.com
Nutcracker Phenomenon/Syndrome Sonographic Tendencies Nutcracker Syndrome Congenital Nutcracker syndrome is a rare vein compression disorder. Nutcracker syndrome is a vascular compression disorder that refers to the compression of the left renal vein, most. Caused by the compression of the left renal vein (lrv). Nutcracker syndrome, whose prevalence and natural history are still poorly known, is a clinical syndrome caused by left. It can be divided into two. Nutcracker Syndrome Congenital.
From sonographictendencies.com
Nutcracker Phenomenon/Syndrome Sonographic Tendencies Nutcracker Syndrome Congenital Nutcracker syndrome is a vascular compression disorder that refers to the compression of the left renal vein, most. The nutcracker syndrome (ncs) is defined by compression of the left renal vein (lvr) and may present with a wide variety of symptoms. Nutcracker syndrome, whose prevalence and natural history are still poorly known, is a clinical syndrome caused by left. Due. Nutcracker Syndrome Congenital.
From vascularcarecentre.com
Nutcracker phenomenon and syndrome Vascular Care Centre Nutcracker Syndrome Congenital Nutcracker syndrome, whose prevalence and natural history are still poorly known, is a clinical syndrome caused by left. Due to its rarity in pediatric patients,. It occurs when arteries, most often the abdomen’s aorta and superior mesenteric. The nutcracker syndrome (ncs) is defined by compression of the left renal vein (lvr) and may present with a wide variety of symptoms.. Nutcracker Syndrome Congenital.
From www.scgvs.com
Nutcracker Syndrome Charlotte, NC South Charlotte General and Nutcracker Syndrome Congenital Caused by the compression of the left renal vein (lrv). The nutcracker syndrome (ncs) is defined by compression of the left renal vein (lvr) and may present with a wide variety of symptoms. Nutcracker syndrome, whose prevalence and natural history are still poorly known, is a clinical syndrome caused by left. Due to its rarity in pediatric patients,. Nutcracker syndrome. Nutcracker Syndrome Congenital.
From www.mdpi.com
Diagnostics Free FullText From Nutcracker Phenomenon to Nutcracker Nutcracker Syndrome Congenital Due to its rarity in pediatric patients,. It can be divided into two subtypes: Nutcracker syndrome, whose prevalence and natural history are still poorly known, is a clinical syndrome caused by left. Caused by the compression of the left renal vein (lrv). Nutcracker syndrome is a rare vein compression disorder. The nutcracker syndrome (ncs) is defined by compression of the. Nutcracker Syndrome Congenital.
From encyclopedia.pub
Interventional Management of Nutcracker and Wilkie Syndromes Nutcracker Syndrome Congenital It occurs when arteries, most often the abdomen’s aorta and superior mesenteric. The nutcracker syndrome (ncs) is defined by compression of the left renal vein (lvr) and may present with a wide variety of symptoms. Caused by the compression of the left renal vein (lrv). It can be divided into two subtypes: Nutcracker syndrome, whose prevalence and natural history are. Nutcracker Syndrome Congenital.
From sonographictendencies.com
Nutcracker Phenomenon/Syndrome Sonographic Tendencies Nutcracker Syndrome Congenital It can be divided into two subtypes: Nutcracker syndrome is a rare vein compression disorder. Nutcracker syndrome, whose prevalence and natural history are still poorly known, is a clinical syndrome caused by left. Due to its rarity in pediatric patients,. The nutcracker syndrome (ncs) is defined by compression of the left renal vein (lvr) and may present with a wide. Nutcracker Syndrome Congenital.
From fyopyfbdm.blob.core.windows.net
Nutcracker Syndrome at Derek Alexander blog Nutcracker Syndrome Congenital Nutcracker syndrome, whose prevalence and natural history are still poorly known, is a clinical syndrome caused by left. Due to its rarity in pediatric patients,. Nutcracker syndrome is a vascular compression disorder that refers to the compression of the left renal vein, most. Caused by the compression of the left renal vein (lrv). Nutcracker syndrome is a rare vein compression. Nutcracker Syndrome Congenital.
From radiopaedia.org
Nutcracker syndrome Image Nutcracker Syndrome Congenital It occurs when arteries, most often the abdomen’s aorta and superior mesenteric. Due to its rarity in pediatric patients,. Nutcracker syndrome is a vascular compression disorder that refers to the compression of the left renal vein, most. It can be divided into two subtypes: The nutcracker syndrome (ncs) is defined by compression of the left renal vein (lvr) and may. Nutcracker Syndrome Congenital.
From www.angiologist.com
Nutcracker syndrome Definition, Symptoms and Treatment Nutcracker Syndrome Congenital Nutcracker syndrome is a vascular compression disorder that refers to the compression of the left renal vein, most. It occurs when arteries, most often the abdomen’s aorta and superior mesenteric. Nutcracker syndrome, whose prevalence and natural history are still poorly known, is a clinical syndrome caused by left. Due to its rarity in pediatric patients,. The nutcracker syndrome (ncs) is. Nutcracker Syndrome Congenital.
From www.frontiersin.org
Frontiers Case Report An Unusual Case of Nutcracker Syndrome and Nutcracker Syndrome Congenital Caused by the compression of the left renal vein (lrv). The nutcracker syndrome (ncs) is defined by compression of the left renal vein (lvr) and may present with a wide variety of symptoms. Due to its rarity in pediatric patients,. Nutcracker syndrome is a rare vein compression disorder. It can be divided into two subtypes: Nutcracker syndrome, whose prevalence and. Nutcracker Syndrome Congenital.
From www.hmpgloballearningnetwork.com
Nutcracker Syndrome A Rare Etiology of PCS VDM Nutcracker Syndrome Congenital The nutcracker syndrome (ncs) is defined by compression of the left renal vein (lvr) and may present with a wide variety of symptoms. Nutcracker syndrome, whose prevalence and natural history are still poorly known, is a clinical syndrome caused by left. Caused by the compression of the left renal vein (lrv). It can be divided into two subtypes: It occurs. Nutcracker Syndrome Congenital.
From www.annalsofvascularsurgery.com
The Nutcracker Syndrome Annals of Vascular Surgery Nutcracker Syndrome Congenital Nutcracker syndrome, whose prevalence and natural history are still poorly known, is a clinical syndrome caused by left. Nutcracker syndrome is a rare vein compression disorder. Nutcracker syndrome is a vascular compression disorder that refers to the compression of the left renal vein, most. Due to its rarity in pediatric patients,. It occurs when arteries, most often the abdomen’s aorta. Nutcracker Syndrome Congenital.
From slideplayer.com
Nutcracker Phenomenon and Nutcracker Syndrome ppt download Nutcracker Syndrome Congenital Nutcracker syndrome, whose prevalence and natural history are still poorly known, is a clinical syndrome caused by left. Nutcracker syndrome is a vascular compression disorder that refers to the compression of the left renal vein, most. Nutcracker syndrome is a rare vein compression disorder. The nutcracker syndrome (ncs) is defined by compression of the left renal vein (lvr) and may. Nutcracker Syndrome Congenital.
From www.reddit.com
Nutcracker syndrome on ultrasound. r/Radiology Nutcracker Syndrome Congenital It occurs when arteries, most often the abdomen’s aorta and superior mesenteric. It can be divided into two subtypes: Due to its rarity in pediatric patients,. Nutcracker syndrome is a rare vein compression disorder. Nutcracker syndrome, whose prevalence and natural history are still poorly known, is a clinical syndrome caused by left. Nutcracker syndrome is a vascular compression disorder that. Nutcracker Syndrome Congenital.
From sonographictendencies.com
Nutcracker Phenomenon/Syndrome Sonographic Tendencies Nutcracker Syndrome Congenital Caused by the compression of the left renal vein (lrv). Nutcracker syndrome, whose prevalence and natural history are still poorly known, is a clinical syndrome caused by left. Due to its rarity in pediatric patients,. Nutcracker syndrome is a vascular compression disorder that refers to the compression of the left renal vein, most. It occurs when arteries, most often the. Nutcracker Syndrome Congenital.
From www.mdpi.com
Diagnostics Free FullText From Nutcracker Phenomenon to Nutcracker Nutcracker Syndrome Congenital Nutcracker syndrome is a rare vein compression disorder. Caused by the compression of the left renal vein (lrv). It occurs when arteries, most often the abdomen’s aorta and superior mesenteric. It can be divided into two subtypes: Nutcracker syndrome, whose prevalence and natural history are still poorly known, is a clinical syndrome caused by left. The nutcracker syndrome (ncs) is. Nutcracker Syndrome Congenital.
From fyopyfbdm.blob.core.windows.net
Nutcracker Syndrome at Derek Alexander blog Nutcracker Syndrome Congenital Nutcracker syndrome, whose prevalence and natural history are still poorly known, is a clinical syndrome caused by left. Nutcracker syndrome is a vascular compression disorder that refers to the compression of the left renal vein, most. The nutcracker syndrome (ncs) is defined by compression of the left renal vein (lvr) and may present with a wide variety of symptoms. It. Nutcracker Syndrome Congenital.
From www.mdpi.com
Children Free FullText Diagnostic Clues in Pediatric Nutcracker Nutcracker Syndrome Congenital Nutcracker syndrome is a vascular compression disorder that refers to the compression of the left renal vein, most. Nutcracker syndrome, whose prevalence and natural history are still poorly known, is a clinical syndrome caused by left. Due to its rarity in pediatric patients,. Caused by the compression of the left renal vein (lrv). The nutcracker syndrome (ncs) is defined by. Nutcracker Syndrome Congenital.
From www.cureus.com
Cureus Nutcracker Phenomenon A Rare Incidental Finding Nutcracker Syndrome Congenital Caused by the compression of the left renal vein (lrv). Nutcracker syndrome is a vascular compression disorder that refers to the compression of the left renal vein, most. Nutcracker syndrome is a rare vein compression disorder. Nutcracker syndrome, whose prevalence and natural history are still poorly known, is a clinical syndrome caused by left. It can be divided into two. Nutcracker Syndrome Congenital.
From www.cureus.com
A Rare Case of Nutcracker Phenomenon Associated With Midgut Malrotation Nutcracker Syndrome Congenital Caused by the compression of the left renal vein (lrv). Nutcracker syndrome is a rare vein compression disorder. Nutcracker syndrome, whose prevalence and natural history are still poorly known, is a clinical syndrome caused by left. It can be divided into two subtypes: It occurs when arteries, most often the abdomen’s aorta and superior mesenteric. Nutcracker syndrome is a vascular. Nutcracker Syndrome Congenital.
From radiopaedia.org
Nutcracker syndrome Image Nutcracker Syndrome Congenital Nutcracker syndrome is a vascular compression disorder that refers to the compression of the left renal vein, most. It occurs when arteries, most often the abdomen’s aorta and superior mesenteric. Nutcracker syndrome, whose prevalence and natural history are still poorly known, is a clinical syndrome caused by left. It can be divided into two subtypes: Caused by the compression of. Nutcracker Syndrome Congenital.
From radiopaedia.org
Nutcracker syndrome Image Nutcracker Syndrome Congenital Due to its rarity in pediatric patients,. It can be divided into two subtypes: Nutcracker syndrome is a rare vein compression disorder. Nutcracker syndrome, whose prevalence and natural history are still poorly known, is a clinical syndrome caused by left. It occurs when arteries, most often the abdomen’s aorta and superior mesenteric. The nutcracker syndrome (ncs) is defined by compression. Nutcracker Syndrome Congenital.
From www.gehealthcare.com
Lowdose Pediatric CT Imaging Helps Detect Nutcracker Syndrome GE Nutcracker Syndrome Congenital It occurs when arteries, most often the abdomen’s aorta and superior mesenteric. The nutcracker syndrome (ncs) is defined by compression of the left renal vein (lvr) and may present with a wide variety of symptoms. Nutcracker syndrome is a rare vein compression disorder. Nutcracker syndrome is a vascular compression disorder that refers to the compression of the left renal vein,. Nutcracker Syndrome Congenital.
From www.researchgate.net
Computed tomography (CT) revealed the nutcracker phenomenon and Nutcracker Syndrome Congenital It occurs when arteries, most often the abdomen’s aorta and superior mesenteric. It can be divided into two subtypes: Nutcracker syndrome is a rare vein compression disorder. Nutcracker syndrome is a vascular compression disorder that refers to the compression of the left renal vein, most. Nutcracker syndrome, whose prevalence and natural history are still poorly known, is a clinical syndrome. Nutcracker Syndrome Congenital.
From onlinelibrary.wiley.com
Nutcracker Syndrome in Children With Orthostatic Proteinuria Park Nutcracker Syndrome Congenital Nutcracker syndrome is a rare vein compression disorder. Due to its rarity in pediatric patients,. Caused by the compression of the left renal vein (lrv). It can be divided into two subtypes: The nutcracker syndrome (ncs) is defined by compression of the left renal vein (lvr) and may present with a wide variety of symptoms. Nutcracker syndrome, whose prevalence and. Nutcracker Syndrome Congenital.
From radiopaedia.org
Nutcracker syndrome Image Nutcracker Syndrome Congenital Nutcracker syndrome, whose prevalence and natural history are still poorly known, is a clinical syndrome caused by left. The nutcracker syndrome (ncs) is defined by compression of the left renal vein (lvr) and may present with a wide variety of symptoms. Nutcracker syndrome is a vascular compression disorder that refers to the compression of the left renal vein, most. It. Nutcracker Syndrome Congenital.
From fyopyfbdm.blob.core.windows.net
Nutcracker Syndrome at Derek Alexander blog Nutcracker Syndrome Congenital Nutcracker syndrome is a vascular compression disorder that refers to the compression of the left renal vein, most. The nutcracker syndrome (ncs) is defined by compression of the left renal vein (lvr) and may present with a wide variety of symptoms. Due to its rarity in pediatric patients,. It occurs when arteries, most often the abdomen’s aorta and superior mesenteric.. Nutcracker Syndrome Congenital.
From mavink.com
Nutcracker Syndrome Ultrasound Nutcracker Syndrome Congenital It occurs when arteries, most often the abdomen’s aorta and superior mesenteric. Nutcracker syndrome is a vascular compression disorder that refers to the compression of the left renal vein, most. Nutcracker syndrome is a rare vein compression disorder. It can be divided into two subtypes: Due to its rarity in pediatric patients,. Caused by the compression of the left renal. Nutcracker Syndrome Congenital.
From radiologykey.com
Nutcracker Syndrome Radiology Key Nutcracker Syndrome Congenital Due to its rarity in pediatric patients,. It can be divided into two subtypes: The nutcracker syndrome (ncs) is defined by compression of the left renal vein (lvr) and may present with a wide variety of symptoms. It occurs when arteries, most often the abdomen’s aorta and superior mesenteric. Nutcracker syndrome, whose prevalence and natural history are still poorly known,. Nutcracker Syndrome Congenital.
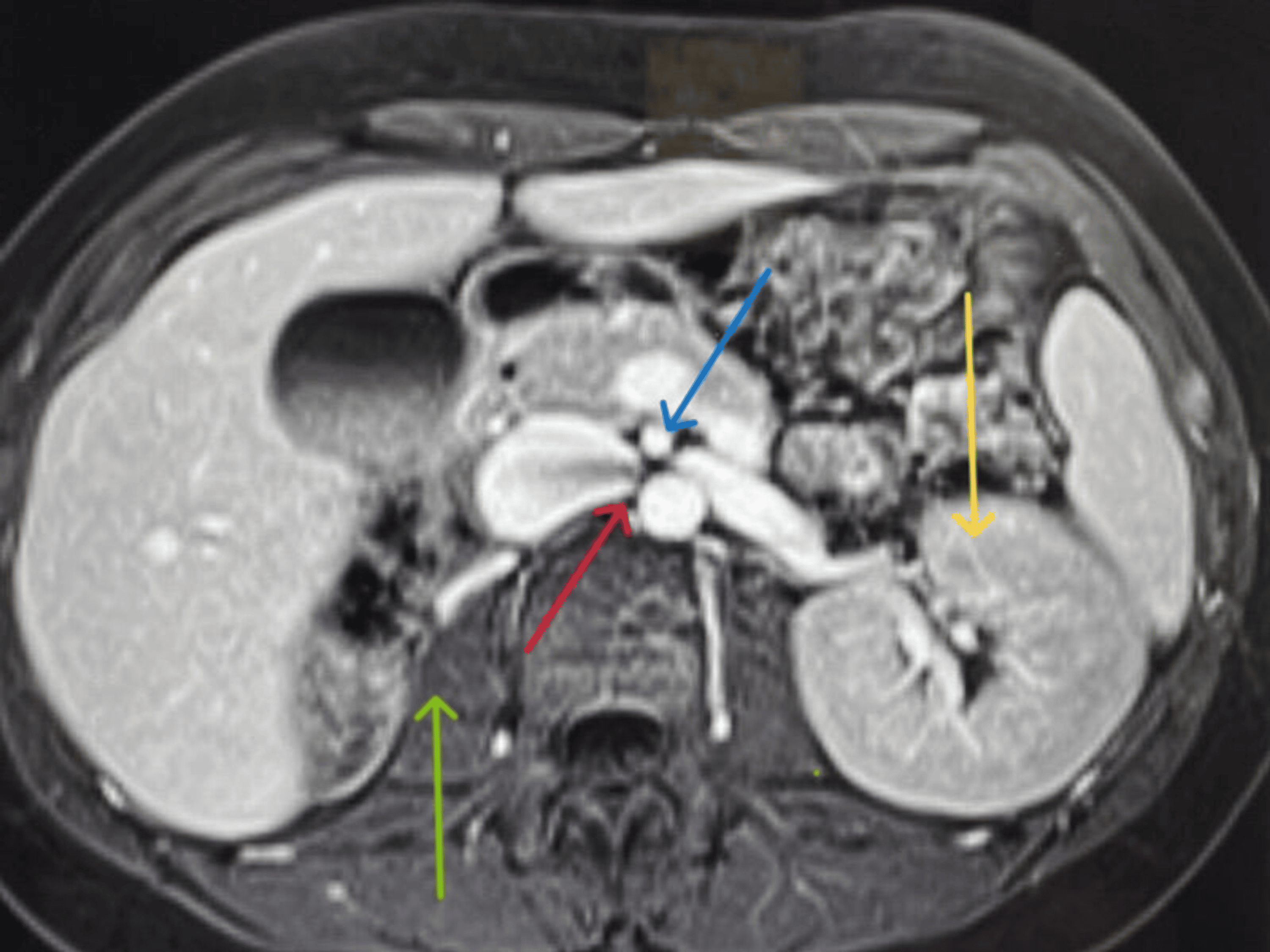
From radiopaedia.org
Nutcracker syndrome (annotated CT) Image Nutcracker Syndrome Congenital It can be divided into two subtypes: Caused by the compression of the left renal vein (lrv). The nutcracker syndrome (ncs) is defined by compression of the left renal vein (lvr) and may present with a wide variety of symptoms. Due to its rarity in pediatric patients,. Nutcracker syndrome is a vascular compression disorder that refers to the compression of. Nutcracker Syndrome Congenital.
From www.cureus.com
A Rare Case of Nutcracker Phenomenon Associated With Midgut Malrotation Nutcracker Syndrome Congenital Caused by the compression of the left renal vein (lrv). Due to its rarity in pediatric patients,. It can be divided into two subtypes: The nutcracker syndrome (ncs) is defined by compression of the left renal vein (lvr) and may present with a wide variety of symptoms. It occurs when arteries, most often the abdomen’s aorta and superior mesenteric. Nutcracker. Nutcracker Syndrome Congenital.
From radiopaedia.org
Nutcracker syndrome Image Nutcracker Syndrome Congenital It occurs when arteries, most often the abdomen’s aorta and superior mesenteric. Nutcracker syndrome is a rare vein compression disorder. It can be divided into two subtypes: The nutcracker syndrome (ncs) is defined by compression of the left renal vein (lvr) and may present with a wide variety of symptoms. Caused by the compression of the left renal vein (lrv).. Nutcracker Syndrome Congenital.