Dry Socket Before Tooth Extraction . Learn how to identify, prevent, and treat dry socket. While more research is needed, it’s estimated that less than 1 percent to 5 percent of people. Dry socket is a painful condition that occurs after tooth extraction when the blood clot in the socket is lost or dissolves. You’re mostly at risk of dry socket during the first week after tooth extraction. Dry socket is a complication that can happen after a tooth extraction, causing intense pain and exposure of the bone and nerve. Dry socket is a painful condition that can occur after tooth extraction. Dry socket, or alveolar osteitis, is a common complication of tooth extraction. Dry socket is a painful complication of tooth extraction that occurs when the blood clot is removed or never forms. Learn how to recognize the signs, treat the. It develops when the blood clot that protects the wound disintegrates or breaks loose,. It can be treated by. It happens when the blood clot that covers your wound becomes dislodged. Dry socket is a painful complication after tooth extraction that occurs when the blood clot over the site is dislodged.
from www.springvaledental.com.au
Dry socket is a painful condition that occurs after tooth extraction when the blood clot in the socket is lost or dissolves. Dry socket is a painful complication of tooth extraction that occurs when the blood clot is removed or never forms. Learn how to identify, prevent, and treat dry socket. Dry socket is a painful complication after tooth extraction that occurs when the blood clot over the site is dislodged. Dry socket, or alveolar osteitis, is a common complication of tooth extraction. Learn how to recognize the signs, treat the. Dry socket is a complication that can happen after a tooth extraction, causing intense pain and exposure of the bone and nerve. It happens when the blood clot that covers your wound becomes dislodged. While more research is needed, it’s estimated that less than 1 percent to 5 percent of people. It can be treated by.
Recovery Time Of Dry Socket Vs Normal Tooth Extraction
Dry Socket Before Tooth Extraction You’re mostly at risk of dry socket during the first week after tooth extraction. Dry socket is a painful condition that can occur after tooth extraction. Dry socket is a complication that can happen after a tooth extraction, causing intense pain and exposure of the bone and nerve. You’re mostly at risk of dry socket during the first week after tooth extraction. It happens when the blood clot that covers your wound becomes dislodged. Learn how to identify, prevent, and treat dry socket. It can be treated by. Dry socket is a painful condition that occurs after tooth extraction when the blood clot in the socket is lost or dissolves. While more research is needed, it’s estimated that less than 1 percent to 5 percent of people. Dry socket is a painful complication after tooth extraction that occurs when the blood clot over the site is dislodged. Dry socket is a painful complication of tooth extraction that occurs when the blood clot is removed or never forms. It develops when the blood clot that protects the wound disintegrates or breaks loose,. Learn how to recognize the signs, treat the. Dry socket, or alveolar osteitis, is a common complication of tooth extraction.
From tulsaprecisiondental.com
Everything You Need to Know About a Dry Socket Tulsa Precision Dental Dry Socket Before Tooth Extraction Dry socket is a painful complication after tooth extraction that occurs when the blood clot over the site is dislodged. It can be treated by. It happens when the blood clot that covers your wound becomes dislodged. Dry socket is a painful condition that can occur after tooth extraction. Dry socket is a painful complication of tooth extraction that occurs. Dry Socket Before Tooth Extraction.
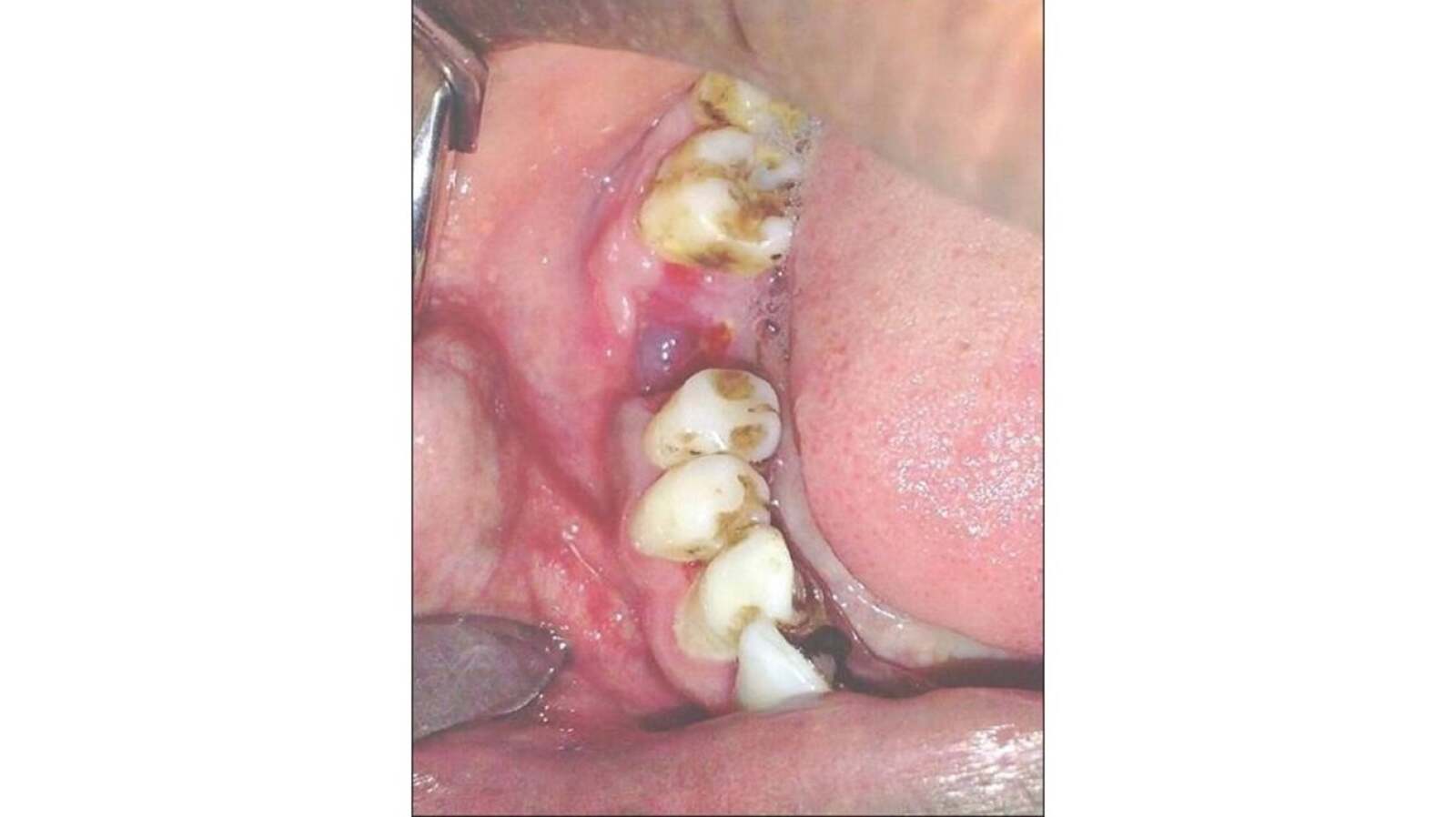
From www.reddit.com
Dry socket? r/DentalSchool Dry Socket Before Tooth Extraction Learn how to identify, prevent, and treat dry socket. It can be treated by. Dry socket is a painful complication after tooth extraction that occurs when the blood clot over the site is dislodged. While more research is needed, it’s estimated that less than 1 percent to 5 percent of people. It develops when the blood clot that protects the. Dry Socket Before Tooth Extraction.
From www.dentistforlife.net
Dry Socket Causes, Symptoms, Treatment, and Prevention Dry Socket Before Tooth Extraction It develops when the blood clot that protects the wound disintegrates or breaks loose,. Dry socket is a painful complication after tooth extraction that occurs when the blood clot over the site is dislodged. Dry socket, or alveolar osteitis, is a common complication of tooth extraction. While more research is needed, it’s estimated that less than 1 percent to 5. Dry Socket Before Tooth Extraction.
From www.springvaledental.com.au
Recovery Time Of Dry Socket Vs Normal Tooth Extraction Dry Socket Before Tooth Extraction It develops when the blood clot that protects the wound disintegrates or breaks loose,. It happens when the blood clot that covers your wound becomes dislodged. Dry socket is a painful complication of tooth extraction that occurs when the blood clot is removed or never forms. Dry socket, or alveolar osteitis, is a common complication of tooth extraction. Dry socket. Dry Socket Before Tooth Extraction.
From webdmd.org
Dry Socket vs Clot Everything You Need to Know DMD Dry Socket Before Tooth Extraction It happens when the blood clot that covers your wound becomes dislodged. While more research is needed, it’s estimated that less than 1 percent to 5 percent of people. Dry socket is a painful complication after tooth extraction that occurs when the blood clot over the site is dislodged. Learn how to identify, prevent, and treat dry socket. It develops. Dry Socket Before Tooth Extraction.
From www.onlymyhealth.com
What Is Dry Socket Condition After Tooth Extraction, Dentist Explains OnlyMyHealth Dry Socket Before Tooth Extraction It can be treated by. Dry socket, or alveolar osteitis, is a common complication of tooth extraction. It develops when the blood clot that protects the wound disintegrates or breaks loose,. Dry socket is a painful complication of tooth extraction that occurs when the blood clot is removed or never forms. Learn how to identify, prevent, and treat dry socket.. Dry Socket Before Tooth Extraction.
From www.healthgrades.com
Dry Socket Causes, Symptoms, Treatment, and More Dry Socket Before Tooth Extraction Learn how to identify, prevent, and treat dry socket. It can be treated by. Learn how to recognize the signs, treat the. It develops when the blood clot that protects the wound disintegrates or breaks loose,. It happens when the blood clot that covers your wound becomes dislodged. You’re mostly at risk of dry socket during the first week after. Dry Socket Before Tooth Extraction.
From www.drvsiegel.com
Socket Preservation Rockville, MD Dr. Victor R. Siegel Dry Socket Before Tooth Extraction While more research is needed, it’s estimated that less than 1 percent to 5 percent of people. It happens when the blood clot that covers your wound becomes dislodged. Dry socket is a painful condition that occurs after tooth extraction when the blood clot in the socket is lost or dissolves. Dry socket is a painful complication after tooth extraction. Dry Socket Before Tooth Extraction.
From www.jacksonavedental.com
What Color Is a Dry Socket? 1311 Jackson Ave Dental Dentist in Long Island City, NY Dry Socket Before Tooth Extraction It can be treated by. Learn how to identify, prevent, and treat dry socket. While more research is needed, it’s estimated that less than 1 percent to 5 percent of people. Learn how to recognize the signs, treat the. Dry socket is a painful condition that can occur after tooth extraction. Dry socket, or alveolar osteitis, is a common complication. Dry Socket Before Tooth Extraction.
From www.youtube.com
What is a Dry Socket? Diagnosis and Management YouTube Dry Socket Before Tooth Extraction Dry socket is a painful condition that occurs after tooth extraction when the blood clot in the socket is lost or dissolves. Dry socket is a painful complication of tooth extraction that occurs when the blood clot is removed or never forms. Dry socket is a painful condition that can occur after tooth extraction. You’re mostly at risk of dry. Dry Socket Before Tooth Extraction.
From www.bracesinfo.com
Is this a dry socket? Dry Socket Before Tooth Extraction Dry socket is a complication that can happen after a tooth extraction, causing intense pain and exposure of the bone and nerve. Dry socket is a painful condition that occurs after tooth extraction when the blood clot in the socket is lost or dissolves. Dry socket is a painful condition that can occur after tooth extraction. You’re mostly at risk. Dry Socket Before Tooth Extraction.
From www.theadc.dental
Dry Socket Treatment Home Remedies Alveolar Osteitis Dry Socket Before Tooth Extraction Dry socket, or alveolar osteitis, is a common complication of tooth extraction. Learn how to recognize the signs, treat the. It happens when the blood clot that covers your wound becomes dislodged. Dry socket is a complication that can happen after a tooth extraction, causing intense pain and exposure of the bone and nerve. While more research is needed, it’s. Dry Socket Before Tooth Extraction.
From diaryofdems-awards.blogspot.com
√ When Can I Drink From A Straw After Tooth Extraction Dry Sockets And Wisdom Teeth While Dry Socket Before Tooth Extraction Learn how to recognize the signs, treat the. Dry socket is a painful condition that can occur after tooth extraction. It develops when the blood clot that protects the wound disintegrates or breaks loose,. Dry socket is a painful condition that occurs after tooth extraction when the blood clot in the socket is lost or dissolves. While more research is. Dry Socket Before Tooth Extraction.
From familydentistnashua.com
Mastering Swallowing Preventing Dry Socket Dry Socket Before Tooth Extraction You’re mostly at risk of dry socket during the first week after tooth extraction. It can be treated by. Dry socket is a complication that can happen after a tooth extraction, causing intense pain and exposure of the bone and nerve. Dry socket is a painful complication of tooth extraction that occurs when the blood clot is removed or never. Dry Socket Before Tooth Extraction.
From www.dentalimplantsclinic.ca
6 Tips for How To Treat A Dry Socket Dry Socket Before Tooth Extraction Learn how to recognize the signs, treat the. It can be treated by. Dry socket is a complication that can happen after a tooth extraction, causing intense pain and exposure of the bone and nerve. Dry socket is a painful condition that occurs after tooth extraction when the blood clot in the socket is lost or dissolves. Dry socket is. Dry Socket Before Tooth Extraction.
From oralhealthcomplete.com
How Common Is Dry Socket, Symptoms & Risks Dry Socket Before Tooth Extraction Dry socket is a painful complication of tooth extraction that occurs when the blood clot is removed or never forms. Learn how to recognize the signs, treat the. It can be treated by. Dry socket is a complication that can happen after a tooth extraction, causing intense pain and exposure of the bone and nerve. Dry socket is a painful. Dry Socket Before Tooth Extraction.
From thrivedentist.com
Dry socket Thrive Dental and Orthodontics Dry Socket Before Tooth Extraction It happens when the blood clot that covers your wound becomes dislodged. It can be treated by. Dry socket is a painful condition that occurs after tooth extraction when the blood clot in the socket is lost or dissolves. Learn how to recognize the signs, treat the. While more research is needed, it’s estimated that less than 1 percent to. Dry Socket Before Tooth Extraction.
From teethposter.blogspot.com
Signs Of A Dry Socket Wisdom Teeth Teeth Poster Dry Socket Before Tooth Extraction Learn how to recognize the signs, treat the. It happens when the blood clot that covers your wound becomes dislodged. It can be treated by. You’re mostly at risk of dry socket during the first week after tooth extraction. Dry socket is a painful condition that occurs after tooth extraction when the blood clot in the socket is lost or. Dry Socket Before Tooth Extraction.
From parthadental.com
Avoid A Dry Socket Tooth Extraction Partha Dental Clinic Dry Socket Before Tooth Extraction Dry socket, or alveolar osteitis, is a common complication of tooth extraction. It can be treated by. While more research is needed, it’s estimated that less than 1 percent to 5 percent of people. Dry socket is a painful complication after tooth extraction that occurs when the blood clot over the site is dislodged. Dry socket is a painful complication. Dry Socket Before Tooth Extraction.
From www.verywellhealth.com
Dry Socket Causes, Symptoms, Diagnosis, Treatment Dry Socket Before Tooth Extraction Dry socket is a painful complication after tooth extraction that occurs when the blood clot over the site is dislodged. It can be treated by. It happens when the blood clot that covers your wound becomes dislodged. Dry socket, or alveolar osteitis, is a common complication of tooth extraction. It develops when the blood clot that protects the wound disintegrates. Dry Socket Before Tooth Extraction.
From animalia-life.club
Dry Socket Treatment Dry Socket Before Tooth Extraction Learn how to identify, prevent, and treat dry socket. You’re mostly at risk of dry socket during the first week after tooth extraction. It happens when the blood clot that covers your wound becomes dislodged. It can be treated by. Dry socket is a painful condition that occurs after tooth extraction when the blood clot in the socket is lost. Dry Socket Before Tooth Extraction.
From ar.inspiredpencil.com
What Does Dry Socket Look Like After Wisdom Tooth Extraction Dry Socket Before Tooth Extraction Dry socket, or alveolar osteitis, is a common complication of tooth extraction. Learn how to recognize the signs, treat the. You’re mostly at risk of dry socket during the first week after tooth extraction. Dry socket is a painful condition that can occur after tooth extraction. Dry socket is a painful condition that occurs after tooth extraction when the blood. Dry Socket Before Tooth Extraction.
From www.juniordentist.com
Dry Socket Pictures Pictures of Alveolar Osteitis Dry Socket Before Tooth Extraction You’re mostly at risk of dry socket during the first week after tooth extraction. Dry socket is a painful complication after tooth extraction that occurs when the blood clot over the site is dislodged. Dry socket is a complication that can happen after a tooth extraction, causing intense pain and exposure of the bone and nerve. Dry socket is a. Dry Socket Before Tooth Extraction.
From drismailhealthcaregroup.com
Dry Socket Symptoms, Causes, & Prevention Dr. Ismail Healthcare Dry Socket Before Tooth Extraction It happens when the blood clot that covers your wound becomes dislodged. Dry socket is a complication that can happen after a tooth extraction, causing intense pain and exposure of the bone and nerve. It can be treated by. You’re mostly at risk of dry socket during the first week after tooth extraction. Learn how to recognize the signs, treat. Dry Socket Before Tooth Extraction.
From blog.dentalchat.com
Healing properly? DentalChat Dry Socket Before Tooth Extraction Dry socket, or alveolar osteitis, is a common complication of tooth extraction. It can be treated by. You’re mostly at risk of dry socket during the first week after tooth extraction. Dry socket is a painful complication of tooth extraction that occurs when the blood clot is removed or never forms. Learn how to recognize the signs, treat the. Dry. Dry Socket Before Tooth Extraction.
From onworldofhealth.blogspot.com
A Non Healing Tooth Socket world of health Dry Socket Before Tooth Extraction Dry socket is a painful complication of tooth extraction that occurs when the blood clot is removed or never forms. Learn how to identify, prevent, and treat dry socket. Dry socket is a painful condition that can occur after tooth extraction. Dry socket, or alveolar osteitis, is a common complication of tooth extraction. It happens when the blood clot that. Dry Socket Before Tooth Extraction.
From truevaluedentalinstitute.in
Dry Socket Can Be Managed Efficiently. Know The Etiology, Diagnosis & Treatment Planning. True Dry Socket Before Tooth Extraction It happens when the blood clot that covers your wound becomes dislodged. Learn how to identify, prevent, and treat dry socket. Dry socket is a complication that can happen after a tooth extraction, causing intense pain and exposure of the bone and nerve. Dry socket is a painful complication of tooth extraction that occurs when the blood clot is removed. Dry Socket Before Tooth Extraction.
From webdmd.org
Dry Socket vs Clot Everything You Need to Know DMD Dry Socket Before Tooth Extraction It happens when the blood clot that covers your wound becomes dislodged. It can be treated by. Dry socket, or alveolar osteitis, is a common complication of tooth extraction. While more research is needed, it’s estimated that less than 1 percent to 5 percent of people. It develops when the blood clot that protects the wound disintegrates or breaks loose,.. Dry Socket Before Tooth Extraction.
From drpaulcaputo.com
Dry Socket Dr. Caputo Palm Harbor Dentist Dry Socket Before Tooth Extraction Dry socket is a painful complication after tooth extraction that occurs when the blood clot over the site is dislodged. It happens when the blood clot that covers your wound becomes dislodged. Dry socket is a painful condition that can occur after tooth extraction. Dry socket is a painful condition that occurs after tooth extraction when the blood clot in. Dry Socket Before Tooth Extraction.
From www.easttnperio.com
What Is Dry Socket? Dentists in Knoxville, TN Dry Socket Before Tooth Extraction Dry socket is a painful condition that can occur after tooth extraction. It develops when the blood clot that protects the wound disintegrates or breaks loose,. You’re mostly at risk of dry socket during the first week after tooth extraction. Learn how to identify, prevent, and treat dry socket. It happens when the blood clot that covers your wound becomes. Dry Socket Before Tooth Extraction.
From www.uenodentalcenter.com
How to Prevent Dry Sockets After Wisdom Teeth Extraction Ueno Center Dental Specialists Board Dry Socket Before Tooth Extraction You’re mostly at risk of dry socket during the first week after tooth extraction. While more research is needed, it’s estimated that less than 1 percent to 5 percent of people. Learn how to recognize the signs, treat the. It can be treated by. Dry socket is a complication that can happen after a tooth extraction, causing intense pain and. Dry Socket Before Tooth Extraction.
From www.ncbi.nlm.nih.gov
[Figure, Alveolar osteitis (dry socket) after...] StatPearls NCBI Bookshelf Dry Socket Before Tooth Extraction You’re mostly at risk of dry socket during the first week after tooth extraction. While more research is needed, it’s estimated that less than 1 percent to 5 percent of people. Dry socket is a painful condition that occurs after tooth extraction when the blood clot in the socket is lost or dissolves. Learn how to recognize the signs, treat. Dry Socket Before Tooth Extraction.
From www.researchgate.net
(A) Soft tissue healing at extraction socket with the plateletrich... Download Scientific Diagram Dry Socket Before Tooth Extraction Dry socket is a painful complication of tooth extraction that occurs when the blood clot is removed or never forms. Dry socket is a painful complication after tooth extraction that occurs when the blood clot over the site is dislodged. Dry socket, or alveolar osteitis, is a common complication of tooth extraction. Dry socket is a painful condition that occurs. Dry Socket Before Tooth Extraction.
From healthjade.net
Dry Socket Causes, Signs, Symptoms, Prevention & Treatment Dry Socket Before Tooth Extraction Learn how to identify, prevent, and treat dry socket. Dry socket, or alveolar osteitis, is a common complication of tooth extraction. Dry socket is a painful complication of tooth extraction that occurs when the blood clot is removed or never forms. Dry socket is a painful complication after tooth extraction that occurs when the blood clot over the site is. Dry Socket Before Tooth Extraction.
From www.cureus.com
Cureus A New Approach for Explaining and Treating Dry Sockets A Pilot Retrospective Study Dry Socket Before Tooth Extraction Dry socket is a painful condition that can occur after tooth extraction. It develops when the blood clot that protects the wound disintegrates or breaks loose,. It can be treated by. Learn how to identify, prevent, and treat dry socket. You’re mostly at risk of dry socket during the first week after tooth extraction. Learn how to recognize the signs,. Dry Socket Before Tooth Extraction.