Transmission Electron Microscopy Magnification . while the exact magnification will again depend on the spacings one needs to see and how one is recording images, a general rule is that atomic. the tem uses two condenser lenses to converge the beam of electrons to the specimen. magnification can be increased by a factor of a million or more with a transmission electron microscope (tem). The two condenser lens each function to produce. a scanning electron microscope (sem) will allow up to 2 million times magnification and a transmission electron microscope (tem). most modern electron microscopes operate over the magnification range from as low as 100x up to several 100,000x, often with. transmission electron microscopy (tem) is a microscopy technique in which a beam of electrons is transmitted through a. transmission electron microscopy (tem) is a form of microscopy that uses an high energy electron beam (rather than optical.
from open.oregonstate.education
a scanning electron microscope (sem) will allow up to 2 million times magnification and a transmission electron microscope (tem). transmission electron microscopy (tem) is a form of microscopy that uses an high energy electron beam (rather than optical. the tem uses two condenser lenses to converge the beam of electrons to the specimen. transmission electron microscopy (tem) is a microscopy technique in which a beam of electrons is transmitted through a. The two condenser lens each function to produce. magnification can be increased by a factor of a million or more with a transmission electron microscope (tem). most modern electron microscopes operate over the magnification range from as low as 100x up to several 100,000x, often with. while the exact magnification will again depend on the spacings one needs to see and how one is recording images, a general rule is that atomic.
Microscopes General Microbiology
Transmission Electron Microscopy Magnification The two condenser lens each function to produce. transmission electron microscopy (tem) is a microscopy technique in which a beam of electrons is transmitted through a. most modern electron microscopes operate over the magnification range from as low as 100x up to several 100,000x, often with. transmission electron microscopy (tem) is a form of microscopy that uses an high energy electron beam (rather than optical. a scanning electron microscope (sem) will allow up to 2 million times magnification and a transmission electron microscope (tem). magnification can be increased by a factor of a million or more with a transmission electron microscope (tem). while the exact magnification will again depend on the spacings one needs to see and how one is recording images, a general rule is that atomic. the tem uses two condenser lenses to converge the beam of electrons to the specimen. The two condenser lens each function to produce.
From microbenotes.com
5 Types of Microscopes with Definitions, Principle, Uses, Labeled Diagrams Transmission Electron Microscopy Magnification magnification can be increased by a factor of a million or more with a transmission electron microscope (tem). a scanning electron microscope (sem) will allow up to 2 million times magnification and a transmission electron microscope (tem). transmission electron microscopy (tem) is a microscopy technique in which a beam of electrons is transmitted through a. the. Transmission Electron Microscopy Magnification.
From www.researchgate.net
(a) Highresolution transmission electron microscopy (HRTEM) image of 6 Transmission Electron Microscopy Magnification a scanning electron microscope (sem) will allow up to 2 million times magnification and a transmission electron microscope (tem). transmission electron microscopy (tem) is a microscopy technique in which a beam of electrons is transmitted through a. most modern electron microscopes operate over the magnification range from as low as 100x up to several 100,000x, often with.. Transmission Electron Microscopy Magnification.
From microbenotes.com
Transmission Electron Microscope (TEM) Definition, Principle, Images Transmission Electron Microscopy Magnification a scanning electron microscope (sem) will allow up to 2 million times magnification and a transmission electron microscope (tem). transmission electron microscopy (tem) is a microscopy technique in which a beam of electrons is transmitted through a. transmission electron microscopy (tem) is a form of microscopy that uses an high energy electron beam (rather than optical. The. Transmission Electron Microscopy Magnification.
From www.pnnl.gov
JEOL JSM 7001F/TTLS LV Scanning Electron Microscope PNNL Transmission Electron Microscopy Magnification while the exact magnification will again depend on the spacings one needs to see and how one is recording images, a general rule is that atomic. transmission electron microscopy (tem) is a form of microscopy that uses an high energy electron beam (rather than optical. The two condenser lens each function to produce. the tem uses two. Transmission Electron Microscopy Magnification.
From www.thoughtco.com
Introduction to the Electron Microscope Transmission Electron Microscopy Magnification transmission electron microscopy (tem) is a form of microscopy that uses an high energy electron beam (rather than optical. while the exact magnification will again depend on the spacings one needs to see and how one is recording images, a general rule is that atomic. most modern electron microscopes operate over the magnification range from as low. Transmission Electron Microscopy Magnification.
From www.britannica.com
Scanning electron microscope (SEM) Definition, Images, Uses Transmission Electron Microscopy Magnification most modern electron microscopes operate over the magnification range from as low as 100x up to several 100,000x, often with. the tem uses two condenser lenses to converge the beam of electrons to the specimen. transmission electron microscopy (tem) is a microscopy technique in which a beam of electrons is transmitted through a. while the exact. Transmission Electron Microscopy Magnification.
From www.sexiezpicz.com
A Schematic Diagram Of Transmission Electron Microscopy B Tem Transmission Electron Microscopy Magnification while the exact magnification will again depend on the spacings one needs to see and how one is recording images, a general rule is that atomic. the tem uses two condenser lenses to converge the beam of electrons to the specimen. magnification can be increased by a factor of a million or more with a transmission electron. Transmission Electron Microscopy Magnification.
From www.animalia-life.club
Transmission Electron Microscope Transmission Electron Microscopy Magnification while the exact magnification will again depend on the spacings one needs to see and how one is recording images, a general rule is that atomic. The two condenser lens each function to produce. magnification can be increased by a factor of a million or more with a transmission electron microscope (tem). the tem uses two condenser. Transmission Electron Microscopy Magnification.
From www.vrogue.co
Transmission Electron Microscopy Of Yeast Cells Treat vrogue.co Transmission Electron Microscopy Magnification transmission electron microscopy (tem) is a form of microscopy that uses an high energy electron beam (rather than optical. most modern electron microscopes operate over the magnification range from as low as 100x up to several 100,000x, often with. while the exact magnification will again depend on the spacings one needs to see and how one is. Transmission Electron Microscopy Magnification.
From www.researchgate.net
Transmission electron microscopy of A549 cells treated with LPZ or AZM Transmission Electron Microscopy Magnification magnification can be increased by a factor of a million or more with a transmission electron microscope (tem). The two condenser lens each function to produce. a scanning electron microscope (sem) will allow up to 2 million times magnification and a transmission electron microscope (tem). transmission electron microscopy (tem) is a microscopy technique in which a beam. Transmission Electron Microscopy Magnification.
From alevelnotes.com
Magnification A Level Notes Transmission Electron Microscopy Magnification a scanning electron microscope (sem) will allow up to 2 million times magnification and a transmission electron microscope (tem). the tem uses two condenser lenses to converge the beam of electrons to the specimen. most modern electron microscopes operate over the magnification range from as low as 100x up to several 100,000x, often with. transmission electron. Transmission Electron Microscopy Magnification.
From www.genengnews.com
Researchers Reveal Understanding of Synaptic Plasticity in Human Brain Transmission Electron Microscopy Magnification the tem uses two condenser lenses to converge the beam of electrons to the specimen. transmission electron microscopy (tem) is a microscopy technique in which a beam of electrons is transmitted through a. magnification can be increased by a factor of a million or more with a transmission electron microscope (tem). The two condenser lens each function. Transmission Electron Microscopy Magnification.
From www.researchgate.net
Transmission electron microscopy of macrophages and microglial cells Transmission Electron Microscopy Magnification while the exact magnification will again depend on the spacings one needs to see and how one is recording images, a general rule is that atomic. a scanning electron microscope (sem) will allow up to 2 million times magnification and a transmission electron microscope (tem). most modern electron microscopes operate over the magnification range from as low. Transmission Electron Microscopy Magnification.
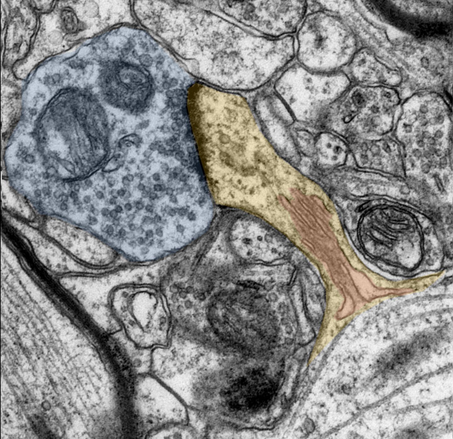
From www.oist.jp
A high magnification image of synapse obtained by electron microscopy Transmission Electron Microscopy Magnification magnification can be increased by a factor of a million or more with a transmission electron microscope (tem). most modern electron microscopes operate over the magnification range from as low as 100x up to several 100,000x, often with. a scanning electron microscope (sem) will allow up to 2 million times magnification and a transmission electron microscope (tem).. Transmission Electron Microscopy Magnification.
From www.pinterest.com
Differences between Light Microscope and Electron Microscope Transmission Electron Microscopy Magnification the tem uses two condenser lenses to converge the beam of electrons to the specimen. most modern electron microscopes operate over the magnification range from as low as 100x up to several 100,000x, often with. The two condenser lens each function to produce. transmission electron microscopy (tem) is a form of microscopy that uses an high energy. Transmission Electron Microscopy Magnification.
From www.azolifesciences.com
Transmission Electron Microscopy An Overview Transmission Electron Microscopy Magnification while the exact magnification will again depend on the spacings one needs to see and how one is recording images, a general rule is that atomic. a scanning electron microscope (sem) will allow up to 2 million times magnification and a transmission electron microscope (tem). the tem uses two condenser lenses to converge the beam of electrons. Transmission Electron Microscopy Magnification.
From science.williams.edu
Transmission Electron Microscope Science Center Transmission Electron Microscopy Magnification magnification can be increased by a factor of a million or more with a transmission electron microscope (tem). while the exact magnification will again depend on the spacings one needs to see and how one is recording images, a general rule is that atomic. transmission electron microscopy (tem) is a form of microscopy that uses an high. Transmission Electron Microscopy Magnification.
From mavink.com
Scanning Vs Electron Microscope Transmission Electron Microscopy Magnification transmission electron microscopy (tem) is a form of microscopy that uses an high energy electron beam (rather than optical. the tem uses two condenser lenses to converge the beam of electrons to the specimen. most modern electron microscopes operate over the magnification range from as low as 100x up to several 100,000x, often with. while the. Transmission Electron Microscopy Magnification.
From fineartamerica.com
Transmission Electron Micrograph Of Mitochondria Photograph by Dr Gopal Transmission Electron Microscopy Magnification transmission electron microscopy (tem) is a form of microscopy that uses an high energy electron beam (rather than optical. transmission electron microscopy (tem) is a microscopy technique in which a beam of electrons is transmitted through a. a scanning electron microscope (sem) will allow up to 2 million times magnification and a transmission electron microscope (tem). . Transmission Electron Microscopy Magnification.
From www.researchgate.net
High magnification scanning electron microscopy (SEM) images of PANI Transmission Electron Microscopy Magnification transmission electron microscopy (tem) is a form of microscopy that uses an high energy electron beam (rather than optical. while the exact magnification will again depend on the spacings one needs to see and how one is recording images, a general rule is that atomic. transmission electron microscopy (tem) is a microscopy technique in which a beam. Transmission Electron Microscopy Magnification.
From www.researchgate.net
Highmagnification bright field transmission electron microscopy (TEM Transmission Electron Microscopy Magnification a scanning electron microscope (sem) will allow up to 2 million times magnification and a transmission electron microscope (tem). The two condenser lens each function to produce. the tem uses two condenser lenses to converge the beam of electrons to the specimen. magnification can be increased by a factor of a million or more with a transmission. Transmission Electron Microscopy Magnification.
From microscopewiki.com
Electron Microscope Principle, Uses, Types and Images (Labeled Diagram Transmission Electron Microscopy Magnification magnification can be increased by a factor of a million or more with a transmission electron microscope (tem). The two condenser lens each function to produce. a scanning electron microscope (sem) will allow up to 2 million times magnification and a transmission electron microscope (tem). the tem uses two condenser lenses to converge the beam of electrons. Transmission Electron Microscopy Magnification.
From open.oregonstate.education
Microscopes General Microbiology Transmission Electron Microscopy Magnification a scanning electron microscope (sem) will allow up to 2 million times magnification and a transmission electron microscope (tem). while the exact magnification will again depend on the spacings one needs to see and how one is recording images, a general rule is that atomic. transmission electron microscopy (tem) is a form of microscopy that uses an. Transmission Electron Microscopy Magnification.
From study.com
Transmission Electron Microscopy Theory & Applications Lesson Transmission Electron Microscopy Magnification most modern electron microscopes operate over the magnification range from as low as 100x up to several 100,000x, often with. transmission electron microscopy (tem) is a microscopy technique in which a beam of electrons is transmitted through a. the tem uses two condenser lenses to converge the beam of electrons to the specimen. magnification can be. Transmission Electron Microscopy Magnification.
From www.pinterest.co.uk
Figure 11. Electron microscopes use to focus electron beams Transmission Electron Microscopy Magnification magnification can be increased by a factor of a million or more with a transmission electron microscope (tem). transmission electron microscopy (tem) is a microscopy technique in which a beam of electrons is transmitted through a. transmission electron microscopy (tem) is a form of microscopy that uses an high energy electron beam (rather than optical. The two. Transmission Electron Microscopy Magnification.
From bitesizebio.com
The 2 Main Electron Microscopy Techniques Explained Transmission Electron Microscopy Magnification the tem uses two condenser lenses to converge the beam of electrons to the specimen. transmission electron microscopy (tem) is a form of microscopy that uses an high energy electron beam (rather than optical. transmission electron microscopy (tem) is a microscopy technique in which a beam of electrons is transmitted through a. while the exact magnification. Transmission Electron Microscopy Magnification.
From search.library.wisc.edu
Nucleus, glyoxisomes, chloroplasts, and mitochondria magnification Transmission Electron Microscopy Magnification magnification can be increased by a factor of a million or more with a transmission electron microscope (tem). transmission electron microscopy (tem) is a microscopy technique in which a beam of electrons is transmitted through a. transmission electron microscopy (tem) is a form of microscopy that uses an high energy electron beam (rather than optical. the. Transmission Electron Microscopy Magnification.
From mavink.com
Transmission Electron Microscope Schematic Transmission Electron Microscopy Magnification while the exact magnification will again depend on the spacings one needs to see and how one is recording images, a general rule is that atomic. the tem uses two condenser lenses to converge the beam of electrons to the specimen. a scanning electron microscope (sem) will allow up to 2 million times magnification and a transmission. Transmission Electron Microscopy Magnification.
From biotech.unl.edu
Transmission Electron Microscope Center for Biotechnology Transmission Electron Microscopy Magnification magnification can be increased by a factor of a million or more with a transmission electron microscope (tem). a scanning electron microscope (sem) will allow up to 2 million times magnification and a transmission electron microscope (tem). while the exact magnification will again depend on the spacings one needs to see and how one is recording images,. Transmission Electron Microscopy Magnification.
From www.majordifferences.com
12 Differences between Scanning Electron Microscope and Transmission Transmission Electron Microscopy Magnification the tem uses two condenser lenses to converge the beam of electrons to the specimen. transmission electron microscopy (tem) is a form of microscopy that uses an high energy electron beam (rather than optical. transmission electron microscopy (tem) is a microscopy technique in which a beam of electrons is transmitted through a. magnification can be increased. Transmission Electron Microscopy Magnification.
From tukioka-clinic.com
😍 Compound light microscope vs electron microscope. The Comparison of a Transmission Electron Microscopy Magnification a scanning electron microscope (sem) will allow up to 2 million times magnification and a transmission electron microscope (tem). the tem uses two condenser lenses to converge the beam of electrons to the specimen. transmission electron microscopy (tem) is a microscopy technique in which a beam of electrons is transmitted through a. magnification can be increased. Transmission Electron Microscopy Magnification.
From www.chegg.com
Solved Compared to that produced by a compound light Transmission Electron Microscopy Magnification while the exact magnification will again depend on the spacings one needs to see and how one is recording images, a general rule is that atomic. The two condenser lens each function to produce. transmission electron microscopy (tem) is a microscopy technique in which a beam of electrons is transmitted through a. transmission electron microscopy (tem) is. Transmission Electron Microscopy Magnification.
From opticsmag.com
Transmission (TEM) vs Scanning (SEM) Electron Microscopes What’s the Transmission Electron Microscopy Magnification the tem uses two condenser lenses to converge the beam of electrons to the specimen. most modern electron microscopes operate over the magnification range from as low as 100x up to several 100,000x, often with. The two condenser lens each function to produce. transmission electron microscopy (tem) is a form of microscopy that uses an high energy. Transmission Electron Microscopy Magnification.
From www.cas.miamioh.edu
TEM of Plant Cell Transmission Electron Microscopy Magnification while the exact magnification will again depend on the spacings one needs to see and how one is recording images, a general rule is that atomic. the tem uses two condenser lenses to converge the beam of electrons to the specimen. most modern electron microscopes operate over the magnification range from as low as 100x up to. Transmission Electron Microscopy Magnification.
From www.dutcotennant.com
Field Emission Scanning Electron Microscope Dutco Tennant Transmission Electron Microscopy Magnification The two condenser lens each function to produce. transmission electron microscopy (tem) is a microscopy technique in which a beam of electrons is transmitted through a. a scanning electron microscope (sem) will allow up to 2 million times magnification and a transmission electron microscope (tem). transmission electron microscopy (tem) is a form of microscopy that uses an. Transmission Electron Microscopy Magnification.