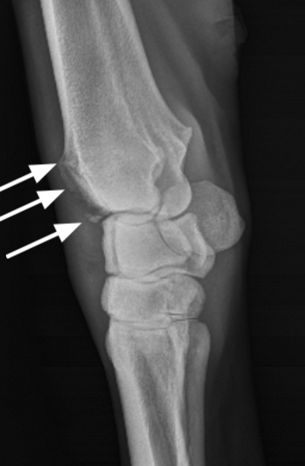
Equine Knee Bone Spurs . He believes the spurs could be rubbing against our gelding's tendon, causing pain. This can result in the formation of bony protrusions, called osteophytes or bone spurs, around the affected joint. Equine bone spur management is vital in resolving horse bone spurs naturally. Bone spur is a term used to describe sharp bony projections that are visible on x rays at the joint margins of affected horses. The cannon bone and splint bones make up the metacarpus in the horse. Our gelding's broken hock has healed with what the veterinarian calls bone spurs. Bone spurs in horses are bony outgrowths that form on joints and bones, often due to trauma or degenerative joint diseases. One common affliction that causes. The joint may also produce excessive synovial fluid, known as joint. A bone spur forms near the edge of a joint surface. The carpus (knee) actually involves 3 joints, any of which could be. If you are curious about the actual appearance and origins of these spurs, read on. Equine athletes — those beautiful horses who compete in races, rodeos and other events — can suffer any number of medical issues.
from www.pinterest.com
Our gelding's broken hock has healed with what the veterinarian calls bone spurs. If you are curious about the actual appearance and origins of these spurs, read on. The joint may also produce excessive synovial fluid, known as joint. Bone spur is a term used to describe sharp bony projections that are visible on x rays at the joint margins of affected horses. He believes the spurs could be rubbing against our gelding's tendon, causing pain. Equine athletes — those beautiful horses who compete in races, rodeos and other events — can suffer any number of medical issues. A bone spur forms near the edge of a joint surface. One common affliction that causes. This can result in the formation of bony protrusions, called osteophytes or bone spurs, around the affected joint. Equine bone spur management is vital in resolving horse bone spurs naturally.
Pin on self help
Equine Knee Bone Spurs Bone spur is a term used to describe sharp bony projections that are visible on x rays at the joint margins of affected horses. Our gelding's broken hock has healed with what the veterinarian calls bone spurs. Equine bone spur management is vital in resolving horse bone spurs naturally. Bone spurs in horses are bony outgrowths that form on joints and bones, often due to trauma or degenerative joint diseases. Bone spur is a term used to describe sharp bony projections that are visible on x rays at the joint margins of affected horses. Equine athletes — those beautiful horses who compete in races, rodeos and other events — can suffer any number of medical issues. He believes the spurs could be rubbing against our gelding's tendon, causing pain. The carpus (knee) actually involves 3 joints, any of which could be. This can result in the formation of bony protrusions, called osteophytes or bone spurs, around the affected joint. A bone spur forms near the edge of a joint surface. The joint may also produce excessive synovial fluid, known as joint. One common affliction that causes. The cannon bone and splint bones make up the metacarpus in the horse. If you are curious about the actual appearance and origins of these spurs, read on.
From healthjade.net
Bone Spur Osteophytes, Causes, Signs, Symptoms & Treatment Equine Knee Bone Spurs He believes the spurs could be rubbing against our gelding's tendon, causing pain. The cannon bone and splint bones make up the metacarpus in the horse. Equine athletes — those beautiful horses who compete in races, rodeos and other events — can suffer any number of medical issues. Bone spur is a term used to describe sharp bony projections that. Equine Knee Bone Spurs.
From www.justanswer.com
I have an xray of my 2 year old filly's right knee that has some pointy Equine Knee Bone Spurs The carpus (knee) actually involves 3 joints, any of which could be. Equine bone spur management is vital in resolving horse bone spurs naturally. A bone spur forms near the edge of a joint surface. One common affliction that causes. If you are curious about the actual appearance and origins of these spurs, read on. Bone spur is a term. Equine Knee Bone Spurs.
From www.bannerhealth.com
What You Should Know About Bone Spurs Banner Health Equine Knee Bone Spurs A bone spur forms near the edge of a joint surface. The joint may also produce excessive synovial fluid, known as joint. One common affliction that causes. The cannon bone and splint bones make up the metacarpus in the horse. If you are curious about the actual appearance and origins of these spurs, read on. Our gelding's broken hock has. Equine Knee Bone Spurs.
From www.mykneeguide.com
Harriet Large bone spurs were removed from the back of Harriet’s Equine Knee Bone Spurs Equine bone spur management is vital in resolving horse bone spurs naturally. If you are curious about the actual appearance and origins of these spurs, read on. One common affliction that causes. A bone spur forms near the edge of a joint surface. The carpus (knee) actually involves 3 joints, any of which could be. Equine athletes — those beautiful. Equine Knee Bone Spurs.
From www.justanswer.com
Expert Answers on Bone Spur Knee Xrays and Pointy Knees Equine Knee Bone Spurs A bone spur forms near the edge of a joint surface. One common affliction that causes. Bone spurs in horses are bony outgrowths that form on joints and bones, often due to trauma or degenerative joint diseases. Equine bone spur management is vital in resolving horse bone spurs naturally. If you are curious about the actual appearance and origins of. Equine Knee Bone Spurs.
From thehorse.com
Managing Your Performance Horse’s Joints The Horse Equine Knee Bone Spurs If you are curious about the actual appearance and origins of these spurs, read on. Our gelding's broken hock has healed with what the veterinarian calls bone spurs. Equine bone spur management is vital in resolving horse bone spurs naturally. The carpus (knee) actually involves 3 joints, any of which could be. One common affliction that causes. A bone spur. Equine Knee Bone Spurs.
From albigears.blogspot.com
Wet Reins Vet report and... knees are strange. Equine Knee Bone Spurs Our gelding's broken hock has healed with what the veterinarian calls bone spurs. The joint may also produce excessive synovial fluid, known as joint. A bone spur forms near the edge of a joint surface. One common affliction that causes. The cannon bone and splint bones make up the metacarpus in the horse. This can result in the formation of. Equine Knee Bone Spurs.
From www.alamy.com
Osteoarthritis both knee . film xray AP ( anterior posterior ) of Equine Knee Bone Spurs Bone spur is a term used to describe sharp bony projections that are visible on x rays at the joint margins of affected horses. A bone spur forms near the edge of a joint surface. The cannon bone and splint bones make up the metacarpus in the horse. The carpus (knee) actually involves 3 joints, any of which could be.. Equine Knee Bone Spurs.
From www.willsmerehealth.com
My Knee is Bone on Bone!!! Equine Knee Bone Spurs He believes the spurs could be rubbing against our gelding's tendon, causing pain. A bone spur forms near the edge of a joint surface. If you are curious about the actual appearance and origins of these spurs, read on. Equine athletes — those beautiful horses who compete in races, rodeos and other events — can suffer any number of medical. Equine Knee Bone Spurs.
From hipandkneehandbook.com
Arthritic Hips & Knees Images Hip and Knee Handbook of Joint Equine Knee Bone Spurs A bone spur forms near the edge of a joint surface. The cannon bone and splint bones make up the metacarpus in the horse. Equine bone spur management is vital in resolving horse bone spurs naturally. He believes the spurs could be rubbing against our gelding's tendon, causing pain. The carpus (knee) actually involves 3 joints, any of which could. Equine Knee Bone Spurs.
From diaryofanottb.com
10 Most Common Injuries for ExRacehorses Diary of an OTTB Equine Knee Bone Spurs The joint may also produce excessive synovial fluid, known as joint. Bone spur is a term used to describe sharp bony projections that are visible on x rays at the joint margins of affected horses. Equine bone spur management is vital in resolving horse bone spurs naturally. One common affliction that causes. Bone spurs in horses are bony outgrowths that. Equine Knee Bone Spurs.
From plafonddecoratie.blogspot.com
Anterior Tibial Plafond Spur Equine Knee Bone Spurs The joint may also produce excessive synovial fluid, known as joint. Our gelding's broken hock has healed with what the veterinarian calls bone spurs. This can result in the formation of bony protrusions, called osteophytes or bone spurs, around the affected joint. A bone spur forms near the edge of a joint surface. One common affliction that causes. The cannon. Equine Knee Bone Spurs.
From www.istockphoto.com
Best Bone Spurs Stock Photos, Pictures & RoyaltyFree Images iStock Equine Knee Bone Spurs Equine bone spur management is vital in resolving horse bone spurs naturally. One common affliction that causes. The joint may also produce excessive synovial fluid, known as joint. If you are curious about the actual appearance and origins of these spurs, read on. Equine athletes — those beautiful horses who compete in races, rodeos and other events — can suffer. Equine Knee Bone Spurs.
From www.pinterest.com
What causes bone spurs in knees? whatcausesarthritis Bone spurs Equine Knee Bone Spurs Bone spurs in horses are bony outgrowths that form on joints and bones, often due to trauma or degenerative joint diseases. Bone spur is a term used to describe sharp bony projections that are visible on x rays at the joint margins of affected horses. A bone spur forms near the edge of a joint surface. Our gelding's broken hock. Equine Knee Bone Spurs.
From www.coastalorthoteam.com
What are bone spurs? Corpus Christi, Texas Equine Knee Bone Spurs If you are curious about the actual appearance and origins of these spurs, read on. Our gelding's broken hock has healed with what the veterinarian calls bone spurs. A bone spur forms near the edge of a joint surface. The joint may also produce excessive synovial fluid, known as joint. He believes the spurs could be rubbing against our gelding's. Equine Knee Bone Spurs.
From ntfronline.com
Healthy Hocks North Texas Farm and Ranch Equine Knee Bone Spurs This can result in the formation of bony protrusions, called osteophytes or bone spurs, around the affected joint. Bone spur is a term used to describe sharp bony projections that are visible on x rays at the joint margins of affected horses. He believes the spurs could be rubbing against our gelding's tendon, causing pain. Equine athletes — those beautiful. Equine Knee Bone Spurs.
From ddvh.com.au
New Solutions for Old Joints Darling Downs Vets Equine Knee Bone Spurs Bone spur is a term used to describe sharp bony projections that are visible on x rays at the joint margins of affected horses. This can result in the formation of bony protrusions, called osteophytes or bone spurs, around the affected joint. He believes the spurs could be rubbing against our gelding's tendon, causing pain. The cannon bone and splint. Equine Knee Bone Spurs.
From www.trainerroad.com
Has Anyone Dealt With a Knee Cap Bone Spur? Training TrainerRoad Equine Knee Bone Spurs He believes the spurs could be rubbing against our gelding's tendon, causing pain. If you are curious about the actual appearance and origins of these spurs, read on. Equine athletes — those beautiful horses who compete in races, rodeos and other events — can suffer any number of medical issues. Bone spurs in horses are bony outgrowths that form on. Equine Knee Bone Spurs.
From treatment-faq.com
What Is A Bone Spur And Treatment Equine Knee Bone Spurs Equine athletes — those beautiful horses who compete in races, rodeos and other events — can suffer any number of medical issues. The carpus (knee) actually involves 3 joints, any of which could be. One common affliction that causes. Bone spurs in horses are bony outgrowths that form on joints and bones, often due to trauma or degenerative joint diseases.. Equine Knee Bone Spurs.
From paultaylorsaddlecompany.com
Knee Boot Equine Knee Bone Spurs Equine bone spur management is vital in resolving horse bone spurs naturally. This can result in the formation of bony protrusions, called osteophytes or bone spurs, around the affected joint. The cannon bone and splint bones make up the metacarpus in the horse. Bone spurs in horses are bony outgrowths that form on joints and bones, often due to trauma. Equine Knee Bone Spurs.
From finwise.edu.vn
List 93+ Pictures Knee Cap Knee Bone Spur Pictures Superb Equine Knee Bone Spurs A bone spur forms near the edge of a joint surface. Equine bone spur management is vital in resolving horse bone spurs naturally. If you are curious about the actual appearance and origins of these spurs, read on. The joint may also produce excessive synovial fluid, known as joint. The carpus (knee) actually involves 3 joints, any of which could. Equine Knee Bone Spurs.
From www.sciencesource.com
Bone Spurs in Knee Stock Image Science Source Images Equine Knee Bone Spurs If you are curious about the actual appearance and origins of these spurs, read on. Equine bone spur management is vital in resolving horse bone spurs naturally. A bone spur forms near the edge of a joint surface. Our gelding's broken hock has healed with what the veterinarian calls bone spurs. He believes the spurs could be rubbing against our. Equine Knee Bone Spurs.
From www.horsehealthprogramme.co.uk
Splints Horse Health Programme Equine Knee Bone Spurs He believes the spurs could be rubbing against our gelding's tendon, causing pain. If you are curious about the actual appearance and origins of these spurs, read on. Our gelding's broken hock has healed with what the veterinarian calls bone spurs. Equine athletes — those beautiful horses who compete in races, rodeos and other events — can suffer any number. Equine Knee Bone Spurs.
From www.youtube.com
What causes bone spurs in knees? YouTube Equine Knee Bone Spurs Bone spur is a term used to describe sharp bony projections that are visible on x rays at the joint margins of affected horses. Our gelding's broken hock has healed with what the veterinarian calls bone spurs. If you are curious about the actual appearance and origins of these spurs, read on. Bone spurs in horses are bony outgrowths that. Equine Knee Bone Spurs.
From www.epainassist.com
Bone Spurs or Osteophytes Treatment, Causes, Symptoms Equine Knee Bone Spurs Equine athletes — those beautiful horses who compete in races, rodeos and other events — can suffer any number of medical issues. One common affliction that causes. Bone spur is a term used to describe sharp bony projections that are visible on x rays at the joint margins of affected horses. Our gelding's broken hock has healed with what the. Equine Knee Bone Spurs.
From www.pinterest.com
15 Bone Spurs (Neck And Knee) Natural Treatments That Work Bone spurs Equine Knee Bone Spurs The joint may also produce excessive synovial fluid, known as joint. The carpus (knee) actually involves 3 joints, any of which could be. This can result in the formation of bony protrusions, called osteophytes or bone spurs, around the affected joint. If you are curious about the actual appearance and origins of these spurs, read on. One common affliction that. Equine Knee Bone Spurs.
From www.pinterest.com
Pin on self help Equine Knee Bone Spurs This can result in the formation of bony protrusions, called osteophytes or bone spurs, around the affected joint. Equine bone spur management is vital in resolving horse bone spurs naturally. Bone spur is a term used to describe sharp bony projections that are visible on x rays at the joint margins of affected horses. Equine athletes — those beautiful horses. Equine Knee Bone Spurs.
From www.sciencephoto.com
Bone Spurs in Knee Stock Image C003/4559 Science Photo Library Equine Knee Bone Spurs A bone spur forms near the edge of a joint surface. The cannon bone and splint bones make up the metacarpus in the horse. Bone spur is a term used to describe sharp bony projections that are visible on x rays at the joint margins of affected horses. The carpus (knee) actually involves 3 joints, any of which could be.. Equine Knee Bone Spurs.
From dxofhuxpt.blob.core.windows.net
Hip Arthritis Secondary To Knee Injury at Jerry Lowe blog Equine Knee Bone Spurs Bone spurs in horses are bony outgrowths that form on joints and bones, often due to trauma or degenerative joint diseases. Equine bone spur management is vital in resolving horse bone spurs naturally. One common affliction that causes. Equine athletes — those beautiful horses who compete in races, rodeos and other events — can suffer any number of medical issues.. Equine Knee Bone Spurs.
From www.verywellhealth.com
Bone Spurs in the Knee Causes and Treatment Equine Knee Bone Spurs The cannon bone and splint bones make up the metacarpus in the horse. This can result in the formation of bony protrusions, called osteophytes or bone spurs, around the affected joint. Bone spurs in horses are bony outgrowths that form on joints and bones, often due to trauma or degenerative joint diseases. Bone spur is a term used to describe. Equine Knee Bone Spurs.
From finwise.edu.vn
List 93+ Pictures Knee Cap Knee Bone Spur Pictures Superb Equine Knee Bone Spurs Equine athletes — those beautiful horses who compete in races, rodeos and other events — can suffer any number of medical issues. Bone spur is a term used to describe sharp bony projections that are visible on x rays at the joint margins of affected horses. A bone spur forms near the edge of a joint surface. Our gelding's broken. Equine Knee Bone Spurs.
From www.mcdowellsherbal.com
Equine Hoof Bone Spur McDowell's Herbal Treatments Equine Knee Bone Spurs One common affliction that causes. The carpus (knee) actually involves 3 joints, any of which could be. This can result in the formation of bony protrusions, called osteophytes or bone spurs, around the affected joint. He believes the spurs could be rubbing against our gelding's tendon, causing pain. Our gelding's broken hock has healed with what the veterinarian calls bone. Equine Knee Bone Spurs.
From www.youtube.com
Dr. Patel LIVE What Causes Bone Spurs in Knee Osteoarthritis? YouTube Equine Knee Bone Spurs He believes the spurs could be rubbing against our gelding's tendon, causing pain. Equine athletes — those beautiful horses who compete in races, rodeos and other events — can suffer any number of medical issues. The carpus (knee) actually involves 3 joints, any of which could be. Bone spurs in horses are bony outgrowths that form on joints and bones,. Equine Knee Bone Spurs.
From healthjade.net
Bone Spur Osteophytes, Causes, Signs, Symptoms & Treatment Equine Knee Bone Spurs Our gelding's broken hock has healed with what the veterinarian calls bone spurs. A bone spur forms near the edge of a joint surface. The carpus (knee) actually involves 3 joints, any of which could be. Equine athletes — those beautiful horses who compete in races, rodeos and other events — can suffer any number of medical issues. The joint. Equine Knee Bone Spurs.
From finwise.edu.vn
List 93+ Pictures Knee Cap Knee Bone Spur Pictures Superb Equine Knee Bone Spurs Equine athletes — those beautiful horses who compete in races, rodeos and other events — can suffer any number of medical issues. A bone spur forms near the edge of a joint surface. Equine bone spur management is vital in resolving horse bone spurs naturally. The joint may also produce excessive synovial fluid, known as joint. Bone spur is a. Equine Knee Bone Spurs.