Other Options Instead Of Veneers . Each alternative offers unique benefits and considerations, with factors. Alternatives include teeth bonding, dental crowns, teeth whitening, orthodontics, and tooth contouring. While veneers might seem like the perfect fit for anyone that wants to improve their smiles, it isn’t always right for everyone. This is particularly true if you do not. In terms of veneer alternatives in dentistry, other options you can try out include; Finding the right solution for a patient’s needs. In addition to composite veneers, there are other affordable alternatives to veneers that you can explore. There are plenty of good alternatives to veneers. If you only want to whiten your teeth, you may decide to go with a teeth whitening procedure instead of dental veneers. Dental bonding, teeth whitening, dental crowns, orthodontic treatments like invisalign and. One such option is enamel shaping, which involves contouring and. These are 4 of the most popular dental veneer alternatives:
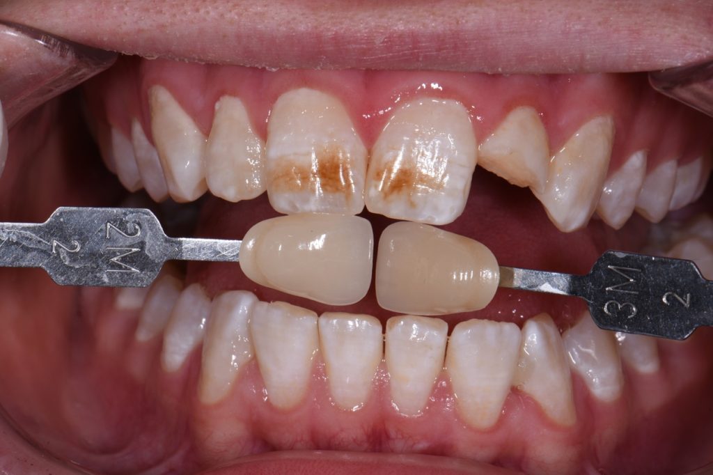
from emeraldcoastdentistry.com
Dental bonding, teeth whitening, dental crowns, orthodontic treatments like invisalign and. There are plenty of good alternatives to veneers. If you only want to whiten your teeth, you may decide to go with a teeth whitening procedure instead of dental veneers. Each alternative offers unique benefits and considerations, with factors. In terms of veneer alternatives in dentistry, other options you can try out include; While veneers might seem like the perfect fit for anyone that wants to improve their smiles, it isn’t always right for everyone. These are 4 of the most popular dental veneer alternatives: This is particularly true if you do not. Alternatives include teeth bonding, dental crowns, teeth whitening, orthodontics, and tooth contouring. Finding the right solution for a patient’s needs.
Front Teeth Crowns Vs. Veneers Emerald Coast Dentistry
Other Options Instead Of Veneers In terms of veneer alternatives in dentistry, other options you can try out include; This is particularly true if you do not. In addition to composite veneers, there are other affordable alternatives to veneers that you can explore. While veneers might seem like the perfect fit for anyone that wants to improve their smiles, it isn’t always right for everyone. In terms of veneer alternatives in dentistry, other options you can try out include; If you only want to whiten your teeth, you may decide to go with a teeth whitening procedure instead of dental veneers. There are plenty of good alternatives to veneers. One such option is enamel shaping, which involves contouring and. These are 4 of the most popular dental veneer alternatives: Each alternative offers unique benefits and considerations, with factors. Finding the right solution for a patient’s needs. Alternatives include teeth bonding, dental crowns, teeth whitening, orthodontics, and tooth contouring. Dental bonding, teeth whitening, dental crowns, orthodontic treatments like invisalign and.
From blog.enlightensmiles.com
Composite Bonding vs Porcelain Veneers which is better? Enlighten Smiles Blog Other Options Instead Of Veneers One such option is enamel shaping, which involves contouring and. Finding the right solution for a patient’s needs. Dental bonding, teeth whitening, dental crowns, orthodontic treatments like invisalign and. While veneers might seem like the perfect fit for anyone that wants to improve their smiles, it isn’t always right for everyone. Each alternative offers unique benefits and considerations, with factors.. Other Options Instead Of Veneers.
From www.nationaldentalcare.com.au
Invisalign vs. Veneers Which is Best to Get a Straighter Smile? National Dental Care / DB Dental Other Options Instead Of Veneers There are plenty of good alternatives to veneers. In terms of veneer alternatives in dentistry, other options you can try out include; If you only want to whiten your teeth, you may decide to go with a teeth whitening procedure instead of dental veneers. In addition to composite veneers, there are other affordable alternatives to veneers that you can explore.. Other Options Instead Of Veneers.
From www.smileinfluencers.com
Crowns vs. Veneers 5 Reasons to Place a Dental Crown on Front Teeth Other Options Instead Of Veneers If you only want to whiten your teeth, you may decide to go with a teeth whitening procedure instead of dental veneers. In addition to composite veneers, there are other affordable alternatives to veneers that you can explore. Dental bonding, teeth whitening, dental crowns, orthodontic treatments like invisalign and. While veneers might seem like the perfect fit for anyone that. Other Options Instead Of Veneers.
From www.thedentalroom.com.au
Porcelain Veneers Before and After The Dental Room Other Options Instead Of Veneers In addition to composite veneers, there are other affordable alternatives to veneers that you can explore. Each alternative offers unique benefits and considerations, with factors. These are 4 of the most popular dental veneer alternatives: Dental bonding, teeth whitening, dental crowns, orthodontic treatments like invisalign and. In terms of veneer alternatives in dentistry, other options you can try out include;. Other Options Instead Of Veneers.
From www.clarencetam.co.nz
Whitening Instead of Veneers Other Options Instead Of Veneers There are plenty of good alternatives to veneers. Each alternative offers unique benefits and considerations, with factors. In addition to composite veneers, there are other affordable alternatives to veneers that you can explore. If you only want to whiten your teeth, you may decide to go with a teeth whitening procedure instead of dental veneers. While veneers might seem like. Other Options Instead Of Veneers.
From empiredental.ca
Crowns Vs Veneers Which Is Right For You? Empire Dental Other Options Instead Of Veneers These are 4 of the most popular dental veneer alternatives: Alternatives include teeth bonding, dental crowns, teeth whitening, orthodontics, and tooth contouring. Each alternative offers unique benefits and considerations, with factors. There are plenty of good alternatives to veneers. While veneers might seem like the perfect fit for anyone that wants to improve their smiles, it isn’t always right for. Other Options Instead Of Veneers.
From www.mermaidsmiles.com.au
Composite VS Porcelain Veneers You Need Everything Other Options Instead Of Veneers One such option is enamel shaping, which involves contouring and. If you only want to whiten your teeth, you may decide to go with a teeth whitening procedure instead of dental veneers. In addition to composite veneers, there are other affordable alternatives to veneers that you can explore. These are 4 of the most popular dental veneer alternatives: Dental bonding,. Other Options Instead Of Veneers.
From toorakdentalstudio.com.au
Veneers & Alternatives for a Radiant Smile Toorak Dental Studio Other Options Instead Of Veneers In terms of veneer alternatives in dentistry, other options you can try out include; Dental bonding, teeth whitening, dental crowns, orthodontic treatments like invisalign and. Finding the right solution for a patient’s needs. These are 4 of the most popular dental veneer alternatives: This is particularly true if you do not. While veneers might seem like the perfect fit for. Other Options Instead Of Veneers.
From www.thedentalboutique.com.au
Veneers vs Crowns What's the Best Option? Gold Coast Other Options Instead Of Veneers Alternatives include teeth bonding, dental crowns, teeth whitening, orthodontics, and tooth contouring. Each alternative offers unique benefits and considerations, with factors. This is particularly true if you do not. Dental bonding, teeth whitening, dental crowns, orthodontic treatments like invisalign and. While veneers might seem like the perfect fit for anyone that wants to improve their smiles, it isn’t always right. Other Options Instead Of Veneers.
From www.maltepedentalclinic.com
Veneers Vs. Lumineers Which Option Is Better? Maltepe Dental Clinic Other Options Instead Of Veneers These are 4 of the most popular dental veneer alternatives: There are plenty of good alternatives to veneers. Dental bonding, teeth whitening, dental crowns, orthodontic treatments like invisalign and. If you only want to whiten your teeth, you may decide to go with a teeth whitening procedure instead of dental veneers. Finding the right solution for a patient’s needs. In. Other Options Instead Of Veneers.
From adelaidecosmeticdentistry.com.au
Veneers Treatment Adelaide Adelaide Cosmetic Dentistry Other Options Instead Of Veneers These are 4 of the most popular dental veneer alternatives: While veneers might seem like the perfect fit for anyone that wants to improve their smiles, it isn’t always right for everyone. There are plenty of good alternatives to veneers. If you only want to whiten your teeth, you may decide to go with a teeth whitening procedure instead of. Other Options Instead Of Veneers.
From wiring04.blogspot.com
Is There A Cheaper Alternative To Veneers Cheap Veneers from less than £200! Order today from Other Options Instead Of Veneers One such option is enamel shaping, which involves contouring and. Finding the right solution for a patient’s needs. In addition to composite veneers, there are other affordable alternatives to veneers that you can explore. Dental bonding, teeth whitening, dental crowns, orthodontic treatments like invisalign and. Alternatives include teeth bonding, dental crowns, teeth whitening, orthodontics, and tooth contouring. This is particularly. Other Options Instead Of Veneers.
From www.msn.com
Veneers vs cosmetic options How to improve the appearance of your teeth? Other Options Instead Of Veneers Each alternative offers unique benefits and considerations, with factors. While veneers might seem like the perfect fit for anyone that wants to improve their smiles, it isn’t always right for everyone. Finding the right solution for a patient’s needs. In terms of veneer alternatives in dentistry, other options you can try out include; If you only want to whiten your. Other Options Instead Of Veneers.
From www.vrogue.co
The Difference Between Dental Crowns And Veneers vrogue.co Other Options Instead Of Veneers In terms of veneer alternatives in dentistry, other options you can try out include; Each alternative offers unique benefits and considerations, with factors. Finding the right solution for a patient’s needs. If you only want to whiten your teeth, you may decide to go with a teeth whitening procedure instead of dental veneers. One such option is enamel shaping, which. Other Options Instead Of Veneers.
From smayatedentalclinic.com
Crown vs Veneer Which is the better fit for front teeth? Smayate Dental Clinic Other Options Instead Of Veneers These are 4 of the most popular dental veneer alternatives: Finding the right solution for a patient’s needs. There are plenty of good alternatives to veneers. Dental bonding, teeth whitening, dental crowns, orthodontic treatments like invisalign and. One such option is enamel shaping, which involves contouring and. This is particularly true if you do not. Each alternative offers unique benefits. Other Options Instead Of Veneers.
From www.jacobsondental.com.au
Uveneers An Affordable & Less Invasive Alternative to Porcelain Veneers Other Options Instead Of Veneers These are 4 of the most popular dental veneer alternatives: Each alternative offers unique benefits and considerations, with factors. There are plenty of good alternatives to veneers. If you only want to whiten your teeth, you may decide to go with a teeth whitening procedure instead of dental veneers. In addition to composite veneers, there are other affordable alternatives to. Other Options Instead Of Veneers.
From chicagobeautifulsmiles.com
Before & After Composite Veneers 6 Other Options Instead Of Veneers Finding the right solution for a patient’s needs. Alternatives include teeth bonding, dental crowns, teeth whitening, orthodontics, and tooth contouring. Dental bonding, teeth whitening, dental crowns, orthodontic treatments like invisalign and. One such option is enamel shaping, which involves contouring and. These are 4 of the most popular dental veneer alternatives: In addition to composite veneers, there are other affordable. Other Options Instead Of Veneers.
From arthurglosmandds.com
Alternatives to Veneers Other Options Besides Dental Veneers Other Options Instead Of Veneers Finding the right solution for a patient’s needs. This is particularly true if you do not. Alternatives include teeth bonding, dental crowns, teeth whitening, orthodontics, and tooth contouring. One such option is enamel shaping, which involves contouring and. Each alternative offers unique benefits and considerations, with factors. Dental bonding, teeth whitening, dental crowns, orthodontic treatments like invisalign and. While veneers. Other Options Instead Of Veneers.
From www.tmprosthodontics.com
Crowns Vs. Porcelain Veneers Vs. Dental Implants and When to Use Which Other Options Instead Of Veneers In terms of veneer alternatives in dentistry, other options you can try out include; One such option is enamel shaping, which involves contouring and. In addition to composite veneers, there are other affordable alternatives to veneers that you can explore. Each alternative offers unique benefits and considerations, with factors. There are plenty of good alternatives to veneers. This is particularly. Other Options Instead Of Veneers.
From adelaidecosmeticdentistry.com.au
Veneers Treatment Adelaide Adelaide Cosmetic Dentistry Other Options Instead Of Veneers Each alternative offers unique benefits and considerations, with factors. In addition to composite veneers, there are other affordable alternatives to veneers that you can explore. One such option is enamel shaping, which involves contouring and. There are plenty of good alternatives to veneers. This is particularly true if you do not. If you only want to whiten your teeth, you. Other Options Instead Of Veneers.
From www.pinterest.com
DENTURES VS VENEERS THE DIFFERENCES WHAT’S THE BETTER CHOICE? And a dive into Permanent Other Options Instead Of Veneers Each alternative offers unique benefits and considerations, with factors. While veneers might seem like the perfect fit for anyone that wants to improve their smiles, it isn’t always right for everyone. This is particularly true if you do not. There are plenty of good alternatives to veneers. One such option is enamel shaping, which involves contouring and. These are 4. Other Options Instead Of Veneers.
From tidatabase.org
Bonding Vs Veneers Which Dental Restoration Is Better? Other Options Instead Of Veneers There are plenty of good alternatives to veneers. If you only want to whiten your teeth, you may decide to go with a teeth whitening procedure instead of dental veneers. Finding the right solution for a patient’s needs. One such option is enamel shaping, which involves contouring and. Each alternative offers unique benefits and considerations, with factors. Alternatives include teeth. Other Options Instead Of Veneers.
From ventsmagazine.co.uk
Veneers vs. Other Cosmetic Dentistry Options Vents Magazine Other Options Instead Of Veneers This is particularly true if you do not. Finding the right solution for a patient’s needs. There are plenty of good alternatives to veneers. While veneers might seem like the perfect fit for anyone that wants to improve their smiles, it isn’t always right for everyone. Each alternative offers unique benefits and considerations, with factors. One such option is enamel. Other Options Instead Of Veneers.
From tribecanydentistoffice.com
Veneers vs. Crowns Which Option is Best For Me? Tribeca Dental Care Other Options Instead Of Veneers Dental bonding, teeth whitening, dental crowns, orthodontic treatments like invisalign and. Each alternative offers unique benefits and considerations, with factors. Finding the right solution for a patient’s needs. There are plenty of good alternatives to veneers. In addition to composite veneers, there are other affordable alternatives to veneers that you can explore. One such option is enamel shaping, which involves. Other Options Instead Of Veneers.
From www.thedentalguide.net
Alternatives to Veneers The Dental Guide Other Options Instead Of Veneers Finding the right solution for a patient’s needs. These are 4 of the most popular dental veneer alternatives: In addition to composite veneers, there are other affordable alternatives to veneers that you can explore. One such option is enamel shaping, which involves contouring and. There are plenty of good alternatives to veneers. Alternatives include teeth bonding, dental crowns, teeth whitening,. Other Options Instead Of Veneers.
From www.lighthousedentalcentre.com
Veneers vs Crowns Which Dental Treatment is Best for You? Other Options Instead Of Veneers If you only want to whiten your teeth, you may decide to go with a teeth whitening procedure instead of dental veneers. This is particularly true if you do not. Dental bonding, teeth whitening, dental crowns, orthodontic treatments like invisalign and. One such option is enamel shaping, which involves contouring and. In addition to composite veneers, there are other affordable. Other Options Instead Of Veneers.
From adelaidecosmeticdentistry.com.au
Veneers Treatment Adelaide Adelaide Cosmetic Dentistry Other Options Instead Of Veneers Alternatives include teeth bonding, dental crowns, teeth whitening, orthodontics, and tooth contouring. There are plenty of good alternatives to veneers. Dental bonding, teeth whitening, dental crowns, orthodontic treatments like invisalign and. In terms of veneer alternatives in dentistry, other options you can try out include; Each alternative offers unique benefits and considerations, with factors. If you only want to whiten. Other Options Instead Of Veneers.
From www.maltepedentalclinic.com
Veneers Vs. Lumineers Which Option Is Better? Pros & Cons Maltepe Dental Clinic Other Options Instead Of Veneers Alternatives include teeth bonding, dental crowns, teeth whitening, orthodontics, and tooth contouring. One such option is enamel shaping, which involves contouring and. Finding the right solution for a patient’s needs. In terms of veneer alternatives in dentistry, other options you can try out include; This is particularly true if you do not. Dental bonding, teeth whitening, dental crowns, orthodontic treatments. Other Options Instead Of Veneers.
From www.pvsmiles.com
No Prep Dental Veneers Great Option For Your Smile Makeover Other Options Instead Of Veneers While veneers might seem like the perfect fit for anyone that wants to improve their smiles, it isn’t always right for everyone. In terms of veneer alternatives in dentistry, other options you can try out include; Finding the right solution for a patient’s needs. If you only want to whiten your teeth, you may decide to go with a teeth. Other Options Instead Of Veneers.
From emeraldcoastdentistry.com
Front Teeth Crowns Vs. Veneers Emerald Coast Dentistry Other Options Instead Of Veneers While veneers might seem like the perfect fit for anyone that wants to improve their smiles, it isn’t always right for everyone. In addition to composite veneers, there are other affordable alternatives to veneers that you can explore. These are 4 of the most popular dental veneer alternatives: In terms of veneer alternatives in dentistry, other options you can try. Other Options Instead Of Veneers.
From sohodental.ca
When do we consider veneers instead of bonding? Soho Dental Toronto Dentist Other Options Instead Of Veneers If you only want to whiten your teeth, you may decide to go with a teeth whitening procedure instead of dental veneers. Dental bonding, teeth whitening, dental crowns, orthodontic treatments like invisalign and. One such option is enamel shaping, which involves contouring and. Each alternative offers unique benefits and considerations, with factors. This is particularly true if you do not.. Other Options Instead Of Veneers.
From www.robustdental.com
Dentures vs. Veneers Which is the Best Option Other Options Instead Of Veneers In addition to composite veneers, there are other affordable alternatives to veneers that you can explore. One such option is enamel shaping, which involves contouring and. These are 4 of the most popular dental veneer alternatives: There are plenty of good alternatives to veneers. Dental bonding, teeth whitening, dental crowns, orthodontic treatments like invisalign and. Each alternative offers unique benefits. Other Options Instead Of Veneers.
From nohofamilydental.com
Top 5 Dentistry Alternatives to Veneers NoHo Family Dental Other Options Instead Of Veneers One such option is enamel shaping, which involves contouring and. These are 4 of the most popular dental veneer alternatives: In addition to composite veneers, there are other affordable alternatives to veneers that you can explore. Finding the right solution for a patient’s needs. There are plenty of good alternatives to veneers. Alternatives include teeth bonding, dental crowns, teeth whitening,. Other Options Instead Of Veneers.
From duthie.dental
Composite Veneers VS Porcelain Veneers What Are They? Other Options Instead Of Veneers In addition to composite veneers, there are other affordable alternatives to veneers that you can explore. Each alternative offers unique benefits and considerations, with factors. There are plenty of good alternatives to veneers. Dental bonding, teeth whitening, dental crowns, orthodontic treatments like invisalign and. While veneers might seem like the perfect fit for anyone that wants to improve their smiles,. Other Options Instead Of Veneers.
From newburydentalgroup.com
A Complete Guide to the Different Types of Veneers Newbury Dental Group Other Options Instead Of Veneers Dental bonding, teeth whitening, dental crowns, orthodontic treatments like invisalign and. These are 4 of the most popular dental veneer alternatives: In terms of veneer alternatives in dentistry, other options you can try out include; While veneers might seem like the perfect fit for anyone that wants to improve their smiles, it isn’t always right for everyone. This is particularly. Other Options Instead Of Veneers.