Why Does My Leg Keep Dislocating . What is a dislocated knee? a dislocation is the medical term for bones in one of your joints being pushed out of their usual place. — a knee dislocation is an uncommon but extremely serious injury in which the thigh bone (femur) and shin. — patellar instability means the patella (kneecap) slips out of the femoral groove in the thighbone. a dislocated knee occurs when the bones that form your knee are out of place. Your knee contains four bones—the thigh. They can affect any joint in. an untreated dislocation could cause damage to your ligaments, nerves, or blood vessels. Symptoms of a dislocated knee are. — a dislocated kneecap is a common injury when a person changes direction suddenly with their feet planted.
from www.medicalnewstoday.com
— patellar instability means the patella (kneecap) slips out of the femoral groove in the thighbone. a dislocated knee occurs when the bones that form your knee are out of place. a dislocation is the medical term for bones in one of your joints being pushed out of their usual place. an untreated dislocation could cause damage to your ligaments, nerves, or blood vessels. Your knee contains four bones—the thigh. — a knee dislocation is an uncommon but extremely serious injury in which the thigh bone (femur) and shin. They can affect any joint in. What is a dislocated knee? Symptoms of a dislocated knee are. — a dislocated kneecap is a common injury when a person changes direction suddenly with their feet planted.
10 causes of leg shaking
Why Does My Leg Keep Dislocating a dislocation is the medical term for bones in one of your joints being pushed out of their usual place. Symptoms of a dislocated knee are. a dislocated knee occurs when the bones that form your knee are out of place. — a knee dislocation is an uncommon but extremely serious injury in which the thigh bone (femur) and shin. What is a dislocated knee? Your knee contains four bones—the thigh. — patellar instability means the patella (kneecap) slips out of the femoral groove in the thighbone. They can affect any joint in. a dislocation is the medical term for bones in one of your joints being pushed out of their usual place. — a dislocated kneecap is a common injury when a person changes direction suddenly with their feet planted. an untreated dislocation could cause damage to your ligaments, nerves, or blood vessels.
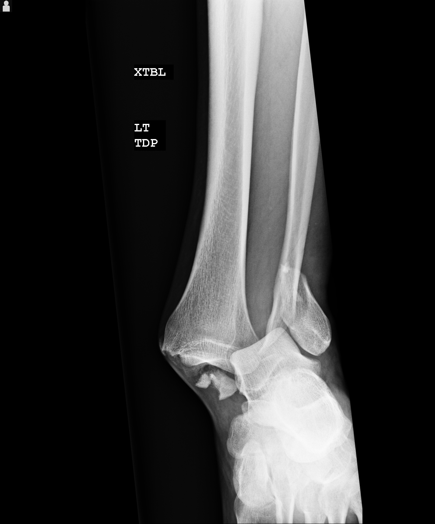
From www.digitalsanctuary.com
My Broken Leg part 1 Devon Hillard's Personal Blog Why Does My Leg Keep Dislocating Symptoms of a dislocated knee are. a dislocated knee occurs when the bones that form your knee are out of place. They can affect any joint in. a dislocation is the medical term for bones in one of your joints being pushed out of their usual place. What is a dislocated knee? — a dislocated kneecap is. Why Does My Leg Keep Dislocating.
From www.maimonidesem.org
Hip Dislocations POD — Maimonides Emergency Medicine Residency Why Does My Leg Keep Dislocating a dislocated knee occurs when the bones that form your knee are out of place. Your knee contains four bones—the thigh. What is a dislocated knee? a dislocation is the medical term for bones in one of your joints being pushed out of their usual place. an untreated dislocation could cause damage to your ligaments, nerves, or. Why Does My Leg Keep Dislocating.
From www.rusticaly.com
Leg Buckles When Walking Here's What You Should Know About It Why Does My Leg Keep Dislocating a dislocation is the medical term for bones in one of your joints being pushed out of their usual place. They can affect any joint in. Your knee contains four bones—the thigh. What is a dislocated knee? — patellar instability means the patella (kneecap) slips out of the femoral groove in the thighbone. an untreated dislocation could. Why Does My Leg Keep Dislocating.
From www.verywellhealth.com
Acute Patellar (Kneecap) Injuries Overview and More Why Does My Leg Keep Dislocating What is a dislocated knee? They can affect any joint in. — a knee dislocation is an uncommon but extremely serious injury in which the thigh bone (femur) and shin. an untreated dislocation could cause damage to your ligaments, nerves, or blood vessels. Your knee contains four bones—the thigh. a dislocated knee occurs when the bones that. Why Does My Leg Keep Dislocating.
From www.alamy.com
Partially dislocated fibula. Legs of a child showing a partial dislocation (subluxation) of the Why Does My Leg Keep Dislocating They can affect any joint in. Your knee contains four bones—the thigh. a dislocated knee occurs when the bones that form your knee are out of place. — a dislocated kneecap is a common injury when a person changes direction suddenly with their feet planted. — a knee dislocation is an uncommon but extremely serious injury in. Why Does My Leg Keep Dislocating.
From www.youtube.com
Why Your Legs Cramp At Night And How To Stop It From Happening Again YouTube Why Does My Leg Keep Dislocating a dislocated knee occurs when the bones that form your knee are out of place. — a dislocated kneecap is a common injury when a person changes direction suddenly with their feet planted. a dislocation is the medical term for bones in one of your joints being pushed out of their usual place. Symptoms of a dislocated. Why Does My Leg Keep Dislocating.
From ar.inspiredpencil.com
Posterior Hip Dislocation Presentation Why Does My Leg Keep Dislocating — patellar instability means the patella (kneecap) slips out of the femoral groove in the thighbone. Symptoms of a dislocated knee are. What is a dislocated knee? — a dislocated kneecap is a common injury when a person changes direction suddenly with their feet planted. an untreated dislocation could cause damage to your ligaments, nerves, or blood. Why Does My Leg Keep Dislocating.
From www.verywellhealth.com
Causes and Treatment of Knee Popping or Snapping Why Does My Leg Keep Dislocating — a knee dislocation is an uncommon but extremely serious injury in which the thigh bone (femur) and shin. — patellar instability means the patella (kneecap) slips out of the femoral groove in the thighbone. Symptoms of a dislocated knee are. — a dislocated kneecap is a common injury when a person changes direction suddenly with their. Why Does My Leg Keep Dislocating.
From www.medicalnewstoday.com
10 causes of leg shaking Why Does My Leg Keep Dislocating They can affect any joint in. — a dislocated kneecap is a common injury when a person changes direction suddenly with their feet planted. a dislocation is the medical term for bones in one of your joints being pushed out of their usual place. an untreated dislocation could cause damage to your ligaments, nerves, or blood vessels.. Why Does My Leg Keep Dislocating.
From www.pinterest.com
Pin on "Κnee dislocation" Why Does My Leg Keep Dislocating Symptoms of a dislocated knee are. — a dislocated kneecap is a common injury when a person changes direction suddenly with their feet planted. Your knee contains four bones—the thigh. a dislocated knee occurs when the bones that form your knee are out of place. a dislocation is the medical term for bones in one of your. Why Does My Leg Keep Dislocating.
From www.tffn.net
Why Do My Legs Itch When I Exercise? Exploring Common Causes and Solutions The Enlightened Mindset Why Does My Leg Keep Dislocating a dislocation is the medical term for bones in one of your joints being pushed out of their usual place. They can affect any joint in. an untreated dislocation could cause damage to your ligaments, nerves, or blood vessels. Symptoms of a dislocated knee are. — a dislocated kneecap is a common injury when a person changes. Why Does My Leg Keep Dislocating.
From faoj.org
Subtalar dislocation The Foot and Ankle Online Journal Why Does My Leg Keep Dislocating Symptoms of a dislocated knee are. What is a dislocated knee? a dislocation is the medical term for bones in one of your joints being pushed out of their usual place. Your knee contains four bones—the thigh. — a knee dislocation is an uncommon but extremely serious injury in which the thigh bone (femur) and shin. They can. Why Does My Leg Keep Dislocating.
From www.pinterest.com
4 Reasons Why Your Legs Cramp up at Night and How to Fix It Leg cramps, Alternative medicine Why Does My Leg Keep Dislocating an untreated dislocation could cause damage to your ligaments, nerves, or blood vessels. — a knee dislocation is an uncommon but extremely serious injury in which the thigh bone (femur) and shin. Your knee contains four bones—the thigh. — a dislocated kneecap is a common injury when a person changes direction suddenly with their feet planted. . Why Does My Leg Keep Dislocating.
From coreem.net
True Knee + Patellar Dislocations Core EM Why Does My Leg Keep Dislocating an untreated dislocation could cause damage to your ligaments, nerves, or blood vessels. a dislocated knee occurs when the bones that form your knee are out of place. Symptoms of a dislocated knee are. What is a dislocated knee? They can affect any joint in. — patellar instability means the patella (kneecap) slips out of the femoral. Why Does My Leg Keep Dislocating.
From www.verywellhealth.com
Lower Leg Pain Symptoms, Causes, and Treatment Why Does My Leg Keep Dislocating — patellar instability means the patella (kneecap) slips out of the femoral groove in the thighbone. Your knee contains four bones—the thigh. They can affect any joint in. — a dislocated kneecap is a common injury when a person changes direction suddenly with their feet planted. — a knee dislocation is an uncommon but extremely serious injury. Why Does My Leg Keep Dislocating.
From dxoajgxkz.blob.core.windows.net
Why Does My Leg Keep Popping When I Walk at Isaiah Gonzalez blog Why Does My Leg Keep Dislocating What is a dislocated knee? They can affect any joint in. — patellar instability means the patella (kneecap) slips out of the femoral groove in the thighbone. a dislocated knee occurs when the bones that form your knee are out of place. Symptoms of a dislocated knee are. a dislocation is the medical term for bones in. Why Does My Leg Keep Dislocating.
From dxoajgxkz.blob.core.windows.net
Why Does My Leg Keep Popping When I Walk at Isaiah Gonzalez blog Why Does My Leg Keep Dislocating a dislocated knee occurs when the bones that form your knee are out of place. a dislocation is the medical term for bones in one of your joints being pushed out of their usual place. What is a dislocated knee? Symptoms of a dislocated knee are. — patellar instability means the patella (kneecap) slips out of the. Why Does My Leg Keep Dislocating.
From www.epainassist.com
What Can Cause Leg Cramps and Treatment To Stop Cramping of Leg Muscles Why Does My Leg Keep Dislocating They can affect any joint in. Your knee contains four bones—the thigh. a dislocation is the medical term for bones in one of your joints being pushed out of their usual place. — a dislocated kneecap is a common injury when a person changes direction suddenly with their feet planted. a dislocated knee occurs when the bones. Why Does My Leg Keep Dislocating.
From www.journaloforthopaedicscience.com
Recurrent patellar dislocation with spontaneous valgus knee deformity treated by distal femoral Why Does My Leg Keep Dislocating Symptoms of a dislocated knee are. Your knee contains four bones—the thigh. They can affect any joint in. — patellar instability means the patella (kneecap) slips out of the femoral groove in the thighbone. a dislocation is the medical term for bones in one of your joints being pushed out of their usual place. What is a dislocated. Why Does My Leg Keep Dislocating.
From www.canyonoaksfootankle.com
Why Does My Toe Keep Dislocating? Canyon Oaks Fresno Podiatrist Why Does My Leg Keep Dislocating an untreated dislocation could cause damage to your ligaments, nerves, or blood vessels. — a dislocated kneecap is a common injury when a person changes direction suddenly with their feet planted. a dislocated knee occurs when the bones that form your knee are out of place. — patellar instability means the patella (kneecap) slips out of. Why Does My Leg Keep Dislocating.
From www.pinterest.com
Reasons Why Your Legs Cramp Up at Night and How to Fix It Health And Healthy Living Leg Why Does My Leg Keep Dislocating a dislocation is the medical term for bones in one of your joints being pushed out of their usual place. Your knee contains four bones—the thigh. Symptoms of a dislocated knee are. They can affect any joint in. — a dislocated kneecap is a common injury when a person changes direction suddenly with their feet planted. What is. Why Does My Leg Keep Dislocating.
From www.youtube.com
How To Unf*ck Your Knees in 10 Minutes/Day (CORRECTIVE ROUTINE) YouTube Why Does My Leg Keep Dislocating What is a dislocated knee? — patellar instability means the patella (kneecap) slips out of the femoral groove in the thighbone. a dislocation is the medical term for bones in one of your joints being pushed out of their usual place. — a knee dislocation is an uncommon but extremely serious injury in which the thigh bone. Why Does My Leg Keep Dislocating.
From dxoajgxkz.blob.core.windows.net
Why Does My Leg Keep Popping When I Walk at Isaiah Gonzalez blog Why Does My Leg Keep Dislocating — patellar instability means the patella (kneecap) slips out of the femoral groove in the thighbone. an untreated dislocation could cause damage to your ligaments, nerves, or blood vessels. Symptoms of a dislocated knee are. a dislocated knee occurs when the bones that form your knee are out of place. — a knee dislocation is an. Why Does My Leg Keep Dislocating.
From www.youtube.com
Why do hip replacements dislocate? YouTube Why Does My Leg Keep Dislocating a dislocation is the medical term for bones in one of your joints being pushed out of their usual place. They can affect any joint in. an untreated dislocation could cause damage to your ligaments, nerves, or blood vessels. Symptoms of a dislocated knee are. — patellar instability means the patella (kneecap) slips out of the femoral. Why Does My Leg Keep Dislocating.
From dxoajgxkz.blob.core.windows.net
Why Does My Leg Keep Popping When I Walk at Isaiah Gonzalez blog Why Does My Leg Keep Dislocating — a dislocated kneecap is a common injury when a person changes direction suddenly with their feet planted. a dislocation is the medical term for bones in one of your joints being pushed out of their usual place. a dislocated knee occurs when the bones that form your knee are out of place. an untreated dislocation. Why Does My Leg Keep Dislocating.
From healthjade.net
Patellar dislocation causes, symptoms, diagnosis, treatment & prognosis Why Does My Leg Keep Dislocating — patellar instability means the patella (kneecap) slips out of the femoral groove in the thighbone. What is a dislocated knee? a dislocation is the medical term for bones in one of your joints being pushed out of their usual place. They can affect any joint in. Symptoms of a dislocated knee are. — a knee dislocation. Why Does My Leg Keep Dislocating.
From www.youtube.com
Hip Dislocations Everything You Need To Know Dr. Nabil Ebraheim YouTube Why Does My Leg Keep Dislocating What is a dislocated knee? — a dislocated kneecap is a common injury when a person changes direction suddenly with their feet planted. — a knee dislocation is an uncommon but extremely serious injury in which the thigh bone (femur) and shin. Your knee contains four bones—the thigh. an untreated dislocation could cause damage to your ligaments,. Why Does My Leg Keep Dislocating.
From exojxxyja.blob.core.windows.net
What Causes Restless Leg Syndrome Remedies at Sybil Johnson blog Why Does My Leg Keep Dislocating — a knee dislocation is an uncommon but extremely serious injury in which the thigh bone (femur) and shin. a dislocation is the medical term for bones in one of your joints being pushed out of their usual place. They can affect any joint in. — a dislocated kneecap is a common injury when a person changes. Why Does My Leg Keep Dislocating.
From www.braceability.com
Kneecap Instability Medial vs Lateral Patellar Dislocation Why Does My Leg Keep Dislocating a dislocated knee occurs when the bones that form your knee are out of place. What is a dislocated knee? Your knee contains four bones—the thigh. — a dislocated kneecap is a common injury when a person changes direction suddenly with their feet planted. Symptoms of a dislocated knee are. — a knee dislocation is an uncommon. Why Does My Leg Keep Dislocating.
From theveincenterofmaryland.com
Why Do My Legs Feel Heavy and How to Fix It The Vein Center of Maryland Why Does My Leg Keep Dislocating — a dislocated kneecap is a common injury when a person changes direction suddenly with their feet planted. — a knee dislocation is an uncommon but extremely serious injury in which the thigh bone (femur) and shin. Your knee contains four bones—the thigh. — patellar instability means the patella (kneecap) slips out of the femoral groove in. Why Does My Leg Keep Dislocating.
From physioheal.com
Leg Cramps at night ! Anyone? PhysioHeal Why Does My Leg Keep Dislocating What is a dislocated knee? a dislocation is the medical term for bones in one of your joints being pushed out of their usual place. They can affect any joint in. — a knee dislocation is an uncommon but extremely serious injury in which the thigh bone (femur) and shin. Symptoms of a dislocated knee are. —. Why Does My Leg Keep Dislocating.
From rileywilliamsmd.com
Knee Dislocation Knee Dislocation Injury Orthopedic Knee Specialist Manhattan, Brooklyn Why Does My Leg Keep Dislocating a dislocated knee occurs when the bones that form your knee are out of place. an untreated dislocation could cause damage to your ligaments, nerves, or blood vessels. Your knee contains four bones—the thigh. What is a dislocated knee? — a knee dislocation is an uncommon but extremely serious injury in which the thigh bone (femur) and. Why Does My Leg Keep Dislocating.
From nhsfractureclinic.microsoftcrmportals.com
Midshaft fibula fracture · Virtual Fracture Clinic Why Does My Leg Keep Dislocating a dislocated knee occurs when the bones that form your knee are out of place. Your knee contains four bones—the thigh. Symptoms of a dislocated knee are. a dislocation is the medical term for bones in one of your joints being pushed out of their usual place. They can affect any joint in. What is a dislocated knee?. Why Does My Leg Keep Dislocating.
From www.veinstreatment.com
Restless Leg Syndrome Doctor in Manhattan, Brooklyn, and NYC Why Does My Leg Keep Dislocating a dislocated knee occurs when the bones that form your knee are out of place. What is a dislocated knee? an untreated dislocation could cause damage to your ligaments, nerves, or blood vessels. — a dislocated kneecap is a common injury when a person changes direction suddenly with their feet planted. — patellar instability means the. Why Does My Leg Keep Dislocating.
From www.ptsmi.org
ACE Physical Therapy and Sports Medicine Institute in Falls Church, Herndon, Alexandria, Fairfax Why Does My Leg Keep Dislocating Your knee contains four bones—the thigh. Symptoms of a dislocated knee are. a dislocated knee occurs when the bones that form your knee are out of place. What is a dislocated knee? They can affect any joint in. — patellar instability means the patella (kneecap) slips out of the femoral groove in the thighbone. an untreated dislocation. Why Does My Leg Keep Dislocating.