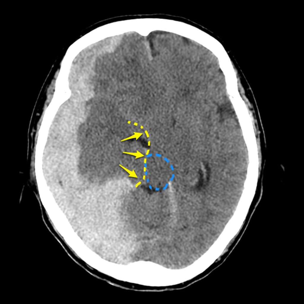
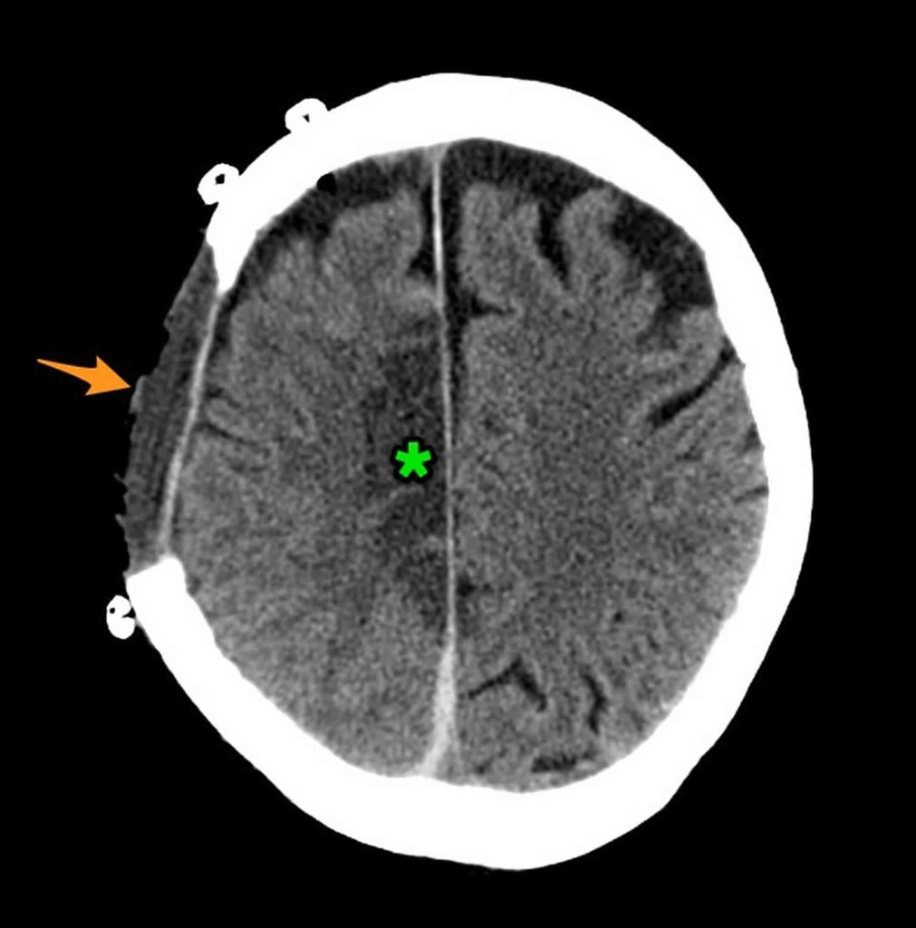
What Is A Midline Shift Of The Brain . That’s essentially what happens during a midline shift. Especially for operating on a mass or lesion or evacuating brain hematoma. It may occur following traumatic brain injury in association with raised. Midline shift describes the situation where the midline of the intracranial anatomy is no longer in the midline and is the result of pushing or pulling forces within. Often described as a midline shift, this is the most common type of brain herniation. Midline shift refers to a shift (displacement) of brain tissue across the centre line of the brain. This type of brain herniation can be further broken down into two. A midline shift of 5 mm or more is significant and is an indication for surgery; But what exactly is this midline, and why is it so crucial to our brain’s.
from canadiem.org
Midline shift refers to a shift (displacement) of brain tissue across the centre line of the brain. A midline shift of 5 mm or more is significant and is an indication for surgery; But what exactly is this midline, and why is it so crucial to our brain’s. Often described as a midline shift, this is the most common type of brain herniation. This type of brain herniation can be further broken down into two. Midline shift describes the situation where the midline of the intracranial anatomy is no longer in the midline and is the result of pushing or pulling forces within. Especially for operating on a mass or lesion or evacuating brain hematoma. It may occur following traumatic brain injury in association with raised. That’s essentially what happens during a midline shift.
Tiny Tips ICH for ICH Brain Herniation CanadiEM
What Is A Midline Shift Of The Brain That’s essentially what happens during a midline shift. This type of brain herniation can be further broken down into two. It may occur following traumatic brain injury in association with raised. A midline shift of 5 mm or more is significant and is an indication for surgery; That’s essentially what happens during a midline shift. Often described as a midline shift, this is the most common type of brain herniation. Especially for operating on a mass or lesion or evacuating brain hematoma. Midline shift refers to a shift (displacement) of brain tissue across the centre line of the brain. But what exactly is this midline, and why is it so crucial to our brain’s. Midline shift describes the situation where the midline of the intracranial anatomy is no longer in the midline and is the result of pushing or pulling forces within.
From www.youtube.com
Brain Injury and Vision Visual Midline Shift Syndrome and Post What Is A Midline Shift Of The Brain That’s essentially what happens during a midline shift. Often described as a midline shift, this is the most common type of brain herniation. Midline shift refers to a shift (displacement) of brain tissue across the centre line of the brain. Especially for operating on a mass or lesion or evacuating brain hematoma. It may occur following traumatic brain injury in. What Is A Midline Shift Of The Brain.
From epos.myesr.org
EPOS™ C10298 What Is A Midline Shift Of The Brain Especially for operating on a mass or lesion or evacuating brain hematoma. It may occur following traumatic brain injury in association with raised. Often described as a midline shift, this is the most common type of brain herniation. A midline shift of 5 mm or more is significant and is an indication for surgery; This type of brain herniation can. What Is A Midline Shift Of The Brain.
From ujjwal9.com
Ujjwal Upadhyay How to read HeadCT What Is A Midline Shift Of The Brain Often described as a midline shift, this is the most common type of brain herniation. But what exactly is this midline, and why is it so crucial to our brain’s. It may occur following traumatic brain injury in association with raised. Midline shift describes the situation where the midline of the intracranial anatomy is no longer in the midline and. What Is A Midline Shift Of The Brain.
From tsaco.bmj.com
Mismatch between midline shift and hematoma thickness as a prognostic What Is A Midline Shift Of The Brain It may occur following traumatic brain injury in association with raised. A midline shift of 5 mm or more is significant and is an indication for surgery; Midline shift refers to a shift (displacement) of brain tissue across the centre line of the brain. Especially for operating on a mass or lesion or evacuating brain hematoma. But what exactly is. What Is A Midline Shift Of The Brain.
From healthjade.net
Midline shift brain causes, symptoms, diagnosis & treatment What Is A Midline Shift Of The Brain But what exactly is this midline, and why is it so crucial to our brain’s. That’s essentially what happens during a midline shift. Often described as a midline shift, this is the most common type of brain herniation. A midline shift of 5 mm or more is significant and is an indication for surgery; This type of brain herniation can. What Is A Midline Shift Of The Brain.
From www.youtube.com
How to measure midline shift on CT scan YouTube What Is A Midline Shift Of The Brain It may occur following traumatic brain injury in association with raised. Midline shift refers to a shift (displacement) of brain tissue across the centre line of the brain. Often described as a midline shift, this is the most common type of brain herniation. That’s essentially what happens during a midline shift. But what exactly is this midline, and why is. What Is A Midline Shift Of The Brain.
From leafspringschool.com
What is "crossing the midline" all about? LeafSpring School What Is A Midline Shift Of The Brain A midline shift of 5 mm or more is significant and is an indication for surgery; Often described as a midline shift, this is the most common type of brain herniation. But what exactly is this midline, and why is it so crucial to our brain’s. That’s essentially what happens during a midline shift. Especially for operating on a mass. What Is A Midline Shift Of The Brain.
From www.verywellhealth.com
Midline Shift After Head Trauma What Is A Midline Shift Of The Brain That’s essentially what happens during a midline shift. Midline shift describes the situation where the midline of the intracranial anatomy is no longer in the midline and is the result of pushing or pulling forces within. Especially for operating on a mass or lesion or evacuating brain hematoma. A midline shift of 5 mm or more is significant and is. What Is A Midline Shift Of The Brain.
From ar.inspiredpencil.com
Intraparenchymal Hemorrhage With Midline Shift What Is A Midline Shift Of The Brain This type of brain herniation can be further broken down into two. A midline shift of 5 mm or more is significant and is an indication for surgery; Midline shift refers to a shift (displacement) of brain tissue across the centre line of the brain. Often described as a midline shift, this is the most common type of brain herniation.. What Is A Midline Shift Of The Brain.
From yourindicatinfo.blogspot.com
Midline shift What Is A Midline Shift Of The Brain Especially for operating on a mass or lesion or evacuating brain hematoma. Often described as a midline shift, this is the most common type of brain herniation. That’s essentially what happens during a midline shift. But what exactly is this midline, and why is it so crucial to our brain’s. Midline shift refers to a shift (displacement) of brain tissue. What Is A Midline Shift Of The Brain.
From www.briteorthodontics.com
What is Teeth Midline Shift and How Do You Fix It? What Is A Midline Shift Of The Brain Midline shift describes the situation where the midline of the intracranial anatomy is no longer in the midline and is the result of pushing or pulling forces within. It may occur following traumatic brain injury in association with raised. Especially for operating on a mass or lesion or evacuating brain hematoma. A midline shift of 5 mm or more is. What Is A Midline Shift Of The Brain.
From healthjade.net
Midline shift brain causes, symptoms, diagnosis & treatment What Is A Midline Shift Of The Brain Often described as a midline shift, this is the most common type of brain herniation. Especially for operating on a mass or lesion or evacuating brain hematoma. But what exactly is this midline, and why is it so crucial to our brain’s. It may occur following traumatic brain injury in association with raised. Midline shift describes the situation where the. What Is A Midline Shift Of The Brain.
From www.reddit.com
Bleed with a midline shift….s/p fall on thinners r/Radiology What Is A Midline Shift Of The Brain Midline shift describes the situation where the midline of the intracranial anatomy is no longer in the midline and is the result of pushing or pulling forces within. But what exactly is this midline, and why is it so crucial to our brain’s. Midline shift refers to a shift (displacement) of brain tissue across the centre line of the brain.. What Is A Midline Shift Of The Brain.
From www.radiology.expert
CT brain hemorrhage What Is A Midline Shift Of The Brain Especially for operating on a mass or lesion or evacuating brain hematoma. Midline shift refers to a shift (displacement) of brain tissue across the centre line of the brain. Midline shift describes the situation where the midline of the intracranial anatomy is no longer in the midline and is the result of pushing or pulling forces within. It may occur. What Is A Midline Shift Of The Brain.
From mrionline.com
Midline Shift Radiology video What Is A Midline Shift Of The Brain But what exactly is this midline, and why is it so crucial to our brain’s. A midline shift of 5 mm or more is significant and is an indication for surgery; Often described as a midline shift, this is the most common type of brain herniation. This type of brain herniation can be further broken down into two. Especially for. What Is A Midline Shift Of The Brain.
From www.centreofmovement.com.au
What is ‘midline’ and why is ‘crossing the midline’ important for your What Is A Midline Shift Of The Brain That’s essentially what happens during a midline shift. Often described as a midline shift, this is the most common type of brain herniation. But what exactly is this midline, and why is it so crucial to our brain’s. A midline shift of 5 mm or more is significant and is an indication for surgery; This type of brain herniation can. What Is A Midline Shift Of The Brain.
From healthjade.net
Midline shift brain causes, symptoms, diagnosis & treatment What Is A Midline Shift Of The Brain Midline shift describes the situation where the midline of the intracranial anatomy is no longer in the midline and is the result of pushing or pulling forces within. Midline shift refers to a shift (displacement) of brain tissue across the centre line of the brain. It may occur following traumatic brain injury in association with raised. Especially for operating on. What Is A Midline Shift Of The Brain.
From mungfali.com
Subdural Hemorrhage CT Scan What Is A Midline Shift Of The Brain Especially for operating on a mass or lesion or evacuating brain hematoma. But what exactly is this midline, and why is it so crucial to our brain’s. It may occur following traumatic brain injury in association with raised. That’s essentially what happens during a midline shift. A midline shift of 5 mm or more is significant and is an indication. What Is A Midline Shift Of The Brain.
From www.researchgate.net
Noncontrast CT scan of the brain revealing a mild midline shift to the What Is A Midline Shift Of The Brain But what exactly is this midline, and why is it so crucial to our brain’s. A midline shift of 5 mm or more is significant and is an indication for surgery; Often described as a midline shift, this is the most common type of brain herniation. Especially for operating on a mass or lesion or evacuating brain hematoma. This type. What Is A Midline Shift Of The Brain.
From www.youtube.com
Visual Midline Shift What You Should Know Vision Therapy YouTube What Is A Midline Shift Of The Brain That’s essentially what happens during a midline shift. Often described as a midline shift, this is the most common type of brain herniation. A midline shift of 5 mm or more is significant and is an indication for surgery; Especially for operating on a mass or lesion or evacuating brain hematoma. Midline shift describes the situation where the midline of. What Is A Midline Shift Of The Brain.
From www.cureus.com
Cureus Listerial Meningitis and Brain Abscess With Coexisting COVID What Is A Midline Shift Of The Brain That’s essentially what happens during a midline shift. Especially for operating on a mass or lesion or evacuating brain hematoma. Often described as a midline shift, this is the most common type of brain herniation. A midline shift of 5 mm or more is significant and is an indication for surgery; It may occur following traumatic brain injury in association. What Is A Midline Shift Of The Brain.
From brainbleedzokuchin.blogspot.com
Brain Bleed Brain Bleed Midline Shift What Is A Midline Shift Of The Brain Midline shift describes the situation where the midline of the intracranial anatomy is no longer in the midline and is the result of pushing or pulling forces within. This type of brain herniation can be further broken down into two. Especially for operating on a mass or lesion or evacuating brain hematoma. That’s essentially what happens during a midline shift.. What Is A Midline Shift Of The Brain.
From www.semanticscholar.org
Figure 1 from Automated assessment of midline shift in head injury What Is A Midline Shift Of The Brain Especially for operating on a mass or lesion or evacuating brain hematoma. It may occur following traumatic brain injury in association with raised. This type of brain herniation can be further broken down into two. Midline shift describes the situation where the midline of the intracranial anatomy is no longer in the midline and is the result of pushing or. What Is A Midline Shift Of The Brain.
From healthjade.net
Midline shift brain causes, symptoms, diagnosis & treatment What Is A Midline Shift Of The Brain This type of brain herniation can be further broken down into two. That’s essentially what happens during a midline shift. Midline shift describes the situation where the midline of the intracranial anatomy is no longer in the midline and is the result of pushing or pulling forces within. Midline shift refers to a shift (displacement) of brain tissue across the. What Is A Midline Shift Of The Brain.
From www.youtube.com
Large Subdural Hematoma with Midline Shift on MRI of Brain. YouTube What Is A Midline Shift Of The Brain Midline shift describes the situation where the midline of the intracranial anatomy is no longer in the midline and is the result of pushing or pulling forces within. Especially for operating on a mass or lesion or evacuating brain hematoma. Often described as a midline shift, this is the most common type of brain herniation. Midline shift refers to a. What Is A Midline Shift Of The Brain.
From www.slideserve.com
PPT Neuron Structure PowerPoint Presentation ID5402152 What Is A Midline Shift Of The Brain Especially for operating on a mass or lesion or evacuating brain hematoma. A midline shift of 5 mm or more is significant and is an indication for surgery; It may occur following traumatic brain injury in association with raised. Often described as a midline shift, this is the most common type of brain herniation. Midline shift refers to a shift. What Is A Midline Shift Of The Brain.
From www.semanticscholar.org
Automatic detection and quantification of brain midline shift using What Is A Midline Shift Of The Brain A midline shift of 5 mm or more is significant and is an indication for surgery; But what exactly is this midline, and why is it so crucial to our brain’s. This type of brain herniation can be further broken down into two. That’s essentially what happens during a midline shift. Especially for operating on a mass or lesion or. What Is A Midline Shift Of The Brain.
From docslib.org
Prediction in Patients of Traumatic Brain Injury Based on What Is A Midline Shift Of The Brain It may occur following traumatic brain injury in association with raised. But what exactly is this midline, and why is it so crucial to our brain’s. That’s essentially what happens during a midline shift. Often described as a midline shift, this is the most common type of brain herniation. Midline shift refers to a shift (displacement) of brain tissue across. What Is A Midline Shift Of The Brain.
From www.researchgate.net
Midline structures of brain highlighted in red rectangular box [18 What Is A Midline Shift Of The Brain Midline shift refers to a shift (displacement) of brain tissue across the centre line of the brain. Especially for operating on a mass or lesion or evacuating brain hematoma. Often described as a midline shift, this is the most common type of brain herniation. But what exactly is this midline, and why is it so crucial to our brain’s. It. What Is A Midline Shift Of The Brain.
From canadiem.org
Tiny Tips ICH for ICH Brain Herniation CanadiEM What Is A Midline Shift Of The Brain Often described as a midline shift, this is the most common type of brain herniation. This type of brain herniation can be further broken down into two. Midline shift describes the situation where the midline of the intracranial anatomy is no longer in the midline and is the result of pushing or pulling forces within. Especially for operating on a. What Is A Midline Shift Of The Brain.
From threadreaderapp.com
Thread by teachplaygrub on Thread Reader App Thread Reader App What Is A Midline Shift Of The Brain Midline shift refers to a shift (displacement) of brain tissue across the centre line of the brain. This type of brain herniation can be further broken down into two. A midline shift of 5 mm or more is significant and is an indication for surgery; That’s essentially what happens during a midline shift. Midline shift describes the situation where the. What Is A Midline Shift Of The Brain.
From quizlet.com
Chapter 3 Midline View of the Brain Diagram Diagram Quizlet What Is A Midline Shift Of The Brain Midline shift describes the situation where the midline of the intracranial anatomy is no longer in the midline and is the result of pushing or pulling forces within. It may occur following traumatic brain injury in association with raised. Midline shift refers to a shift (displacement) of brain tissue across the centre line of the brain. But what exactly is. What Is A Midline Shift Of The Brain.
From www.slideserve.com
PPT Integrative Function of the Nervous System PowerPoint What Is A Midline Shift Of The Brain Midline shift refers to a shift (displacement) of brain tissue across the centre line of the brain. Especially for operating on a mass or lesion or evacuating brain hematoma. But what exactly is this midline, and why is it so crucial to our brain’s. That’s essentially what happens during a midline shift. A midline shift of 5 mm or more. What Is A Midline Shift Of The Brain.
From www.semanticscholar.org
Figure 1 from Automatic detection and quantification of brain midline What Is A Midline Shift Of The Brain It may occur following traumatic brain injury in association with raised. Especially for operating on a mass or lesion or evacuating brain hematoma. Midline shift describes the situation where the midline of the intracranial anatomy is no longer in the midline and is the result of pushing or pulling forces within. Midline shift refers to a shift (displacement) of brain. What Is A Midline Shift Of The Brain.
From case.edu
Midline Shift SDH What Is A Midline Shift Of The Brain Midline shift refers to a shift (displacement) of brain tissue across the centre line of the brain. It may occur following traumatic brain injury in association with raised. Midline shift describes the situation where the midline of the intracranial anatomy is no longer in the midline and is the result of pushing or pulling forces within. Especially for operating on. What Is A Midline Shift Of The Brain.