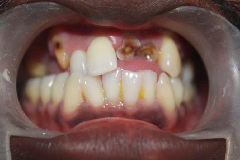
Front Tooth Extraction And Temporary Bridge Same Day . This temporary dental bridge helps. Next, a temporary bridge is placed that helps protect any exposed teeth or gums. Removable partial dentures offer a temporary solution for restoring functionality and aesthetics while awaiting bridge placement. You must endure the temporary bridges for about three weeks before scheduling another appointment with the dentist to receive. At your second visit, we will remove your temporary, and place and adjust your new bridge. Tooth extraction and temporary bridge are commonly applied respectively after one another. Yes, you can get a temporary bridge almost immediately after extraction.
from www.youtube.com
Next, a temporary bridge is placed that helps protect any exposed teeth or gums. This temporary dental bridge helps. Tooth extraction and temporary bridge are commonly applied respectively after one another. Yes, you can get a temporary bridge almost immediately after extraction. You must endure the temporary bridges for about three weeks before scheduling another appointment with the dentist to receive. Removable partial dentures offer a temporary solution for restoring functionality and aesthetics while awaiting bridge placement. At your second visit, we will remove your temporary, and place and adjust your new bridge.
Dental Bridge Procedure Step by Step YouTube
Front Tooth Extraction And Temporary Bridge Same Day Tooth extraction and temporary bridge are commonly applied respectively after one another. This temporary dental bridge helps. Removable partial dentures offer a temporary solution for restoring functionality and aesthetics while awaiting bridge placement. At your second visit, we will remove your temporary, and place and adjust your new bridge. Next, a temporary bridge is placed that helps protect any exposed teeth or gums. Yes, you can get a temporary bridge almost immediately after extraction. You must endure the temporary bridges for about three weeks before scheduling another appointment with the dentist to receive. Tooth extraction and temporary bridge are commonly applied respectively after one another.
From www.youtube.com
Painless and Easiest method for tooth extraction YouTube Front Tooth Extraction And Temporary Bridge Same Day At your second visit, we will remove your temporary, and place and adjust your new bridge. Tooth extraction and temporary bridge are commonly applied respectively after one another. Yes, you can get a temporary bridge almost immediately after extraction. Removable partial dentures offer a temporary solution for restoring functionality and aesthetics while awaiting bridge placement. Next, a temporary bridge is. Front Tooth Extraction And Temporary Bridge Same Day.
From www.njcenteros.com
Life transforming same day treatment extractions, placement of dental Front Tooth Extraction And Temporary Bridge Same Day This temporary dental bridge helps. Yes, you can get a temporary bridge almost immediately after extraction. You must endure the temporary bridges for about three weeks before scheduling another appointment with the dentist to receive. Tooth extraction and temporary bridge are commonly applied respectively after one another. Next, a temporary bridge is placed that helps protect any exposed teeth or. Front Tooth Extraction And Temporary Bridge Same Day.
From www.youtube.com
Front Tooth Extraction with Bone graft by Dr. Mark YouTube Front Tooth Extraction And Temporary Bridge Same Day At your second visit, we will remove your temporary, and place and adjust your new bridge. This temporary dental bridge helps. Yes, you can get a temporary bridge almost immediately after extraction. Tooth extraction and temporary bridge are commonly applied respectively after one another. Next, a temporary bridge is placed that helps protect any exposed teeth or gums. Removable partial. Front Tooth Extraction And Temporary Bridge Same Day.
From www.jawimplant.com
Immediate New Tooth Alpharetta Replace Broken or Missing Tooth Front Tooth Extraction And Temporary Bridge Same Day This temporary dental bridge helps. At your second visit, we will remove your temporary, and place and adjust your new bridge. Tooth extraction and temporary bridge are commonly applied respectively after one another. Next, a temporary bridge is placed that helps protect any exposed teeth or gums. Removable partial dentures offer a temporary solution for restoring functionality and aesthetics while. Front Tooth Extraction And Temporary Bridge Same Day.
From burbankdentalimplants.com
Immediate Implant Bridge Lower Jaw Front Teeth Front Tooth Extraction And Temporary Bridge Same Day Yes, you can get a temporary bridge almost immediately after extraction. Next, a temporary bridge is placed that helps protect any exposed teeth or gums. You must endure the temporary bridges for about three weeks before scheduling another appointment with the dentist to receive. This temporary dental bridge helps. Removable partial dentures offer a temporary solution for restoring functionality and. Front Tooth Extraction And Temporary Bridge Same Day.
From www.youtube.com
Tooth Extraction Explained Wisdom Teeth Extraction Aftercare YouTube Front Tooth Extraction And Temporary Bridge Same Day At your second visit, we will remove your temporary, and place and adjust your new bridge. Yes, you can get a temporary bridge almost immediately after extraction. Removable partial dentures offer a temporary solution for restoring functionality and aesthetics while awaiting bridge placement. This temporary dental bridge helps. Next, a temporary bridge is placed that helps protect any exposed teeth. Front Tooth Extraction And Temporary Bridge Same Day.
From www.daasdentistry.com
Here Are The Main Benefits of a Temporary Dental Bridge Front Tooth Extraction And Temporary Bridge Same Day At your second visit, we will remove your temporary, and place and adjust your new bridge. Yes, you can get a temporary bridge almost immediately after extraction. Tooth extraction and temporary bridge are commonly applied respectively after one another. You must endure the temporary bridges for about three weeks before scheduling another appointment with the dentist to receive. Removable partial. Front Tooth Extraction And Temporary Bridge Same Day.
From www.medicalnewstoday.com
Dental bridge Uses, types, recovery, and more Front Tooth Extraction And Temporary Bridge Same Day Next, a temporary bridge is placed that helps protect any exposed teeth or gums. You must endure the temporary bridges for about three weeks before scheduling another appointment with the dentist to receive. Yes, you can get a temporary bridge almost immediately after extraction. Removable partial dentures offer a temporary solution for restoring functionality and aesthetics while awaiting bridge placement.. Front Tooth Extraction And Temporary Bridge Same Day.
From www.pathwaydentists.co.nz
Dental Bridges Dentist Christchurch Pathway Dentists Front Tooth Extraction And Temporary Bridge Same Day Yes, you can get a temporary bridge almost immediately after extraction. At your second visit, we will remove your temporary, and place and adjust your new bridge. Next, a temporary bridge is placed that helps protect any exposed teeth or gums. This temporary dental bridge helps. Tooth extraction and temporary bridge are commonly applied respectively after one another. You must. Front Tooth Extraction And Temporary Bridge Same Day.
From www.youtube.com
Tooth extraction with immediate placement of a temporary bridge. đŸ¦· Front Tooth Extraction And Temporary Bridge Same Day Yes, you can get a temporary bridge almost immediately after extraction. At your second visit, we will remove your temporary, and place and adjust your new bridge. Next, a temporary bridge is placed that helps protect any exposed teeth or gums. Tooth extraction and temporary bridge are commonly applied respectively after one another. You must endure the temporary bridges for. Front Tooth Extraction And Temporary Bridge Same Day.
From www.unionroaddental.com.au
Dental Extractions Union Road Dental Front Tooth Extraction And Temporary Bridge Same Day Next, a temporary bridge is placed that helps protect any exposed teeth or gums. Removable partial dentures offer a temporary solution for restoring functionality and aesthetics while awaiting bridge placement. Yes, you can get a temporary bridge almost immediately after extraction. You must endure the temporary bridges for about three weeks before scheduling another appointment with the dentist to receive.. Front Tooth Extraction And Temporary Bridge Same Day.
From www.caringdentists.com
bridges to replace missing teeth Dr. Gentry Front Tooth Extraction And Temporary Bridge Same Day Removable partial dentures offer a temporary solution for restoring functionality and aesthetics while awaiting bridge placement. This temporary dental bridge helps. At your second visit, we will remove your temporary, and place and adjust your new bridge. Yes, you can get a temporary bridge almost immediately after extraction. You must endure the temporary bridges for about three weeks before scheduling. Front Tooth Extraction And Temporary Bridge Same Day.
From bestlaserdentalclinic.blogspot.com
Severely decayed upper front teeth , extraction and immediate implant Front Tooth Extraction And Temporary Bridge Same Day Next, a temporary bridge is placed that helps protect any exposed teeth or gums. You must endure the temporary bridges for about three weeks before scheduling another appointment with the dentist to receive. At your second visit, we will remove your temporary, and place and adjust your new bridge. Tooth extraction and temporary bridge are commonly applied respectively after one. Front Tooth Extraction And Temporary Bridge Same Day.
From arlington-dentistry.com
Dental Bridges Arlington Dentistry Front Tooth Extraction And Temporary Bridge Same Day Removable partial dentures offer a temporary solution for restoring functionality and aesthetics while awaiting bridge placement. Yes, you can get a temporary bridge almost immediately after extraction. Next, a temporary bridge is placed that helps protect any exposed teeth or gums. This temporary dental bridge helps. You must endure the temporary bridges for about three weeks before scheduling another appointment. Front Tooth Extraction And Temporary Bridge Same Day.
From www.goochdental.com
Dental Bridge Aftercare Birmingham, AL Front Tooth Extraction And Temporary Bridge Same Day At your second visit, we will remove your temporary, and place and adjust your new bridge. Tooth extraction and temporary bridge are commonly applied respectively after one another. Removable partial dentures offer a temporary solution for restoring functionality and aesthetics while awaiting bridge placement. Next, a temporary bridge is placed that helps protect any exposed teeth or gums. You must. Front Tooth Extraction And Temporary Bridge Same Day.
From www.orilliasmilecentre.com
Dental Bridges Orillia ON Replacement Teeth Front Tooth Extraction And Temporary Bridge Same Day Yes, you can get a temporary bridge almost immediately after extraction. Removable partial dentures offer a temporary solution for restoring functionality and aesthetics while awaiting bridge placement. Tooth extraction and temporary bridge are commonly applied respectively after one another. This temporary dental bridge helps. Next, a temporary bridge is placed that helps protect any exposed teeth or gums. You must. Front Tooth Extraction And Temporary Bridge Same Day.
From dentalpickup.com
Temporary Bridge Immediately After Tooth Extraction Benifits Front Tooth Extraction And Temporary Bridge Same Day Tooth extraction and temporary bridge are commonly applied respectively after one another. At your second visit, we will remove your temporary, and place and adjust your new bridge. Next, a temporary bridge is placed that helps protect any exposed teeth or gums. Yes, you can get a temporary bridge almost immediately after extraction. This temporary dental bridge helps. Removable partial. Front Tooth Extraction And Temporary Bridge Same Day.
From dentistforlife.net
The Pros and Cons of a Dental Bridge Dentist For Life Front Tooth Extraction And Temporary Bridge Same Day Next, a temporary bridge is placed that helps protect any exposed teeth or gums. Tooth extraction and temporary bridge are commonly applied respectively after one another. This temporary dental bridge helps. You must endure the temporary bridges for about three weeks before scheduling another appointment with the dentist to receive. Removable partial dentures offer a temporary solution for restoring functionality. Front Tooth Extraction And Temporary Bridge Same Day.
From burbankdentalimplants.com
Immediate Front Tooth Dental Implant Example (Difficult Case) Front Tooth Extraction And Temporary Bridge Same Day You must endure the temporary bridges for about three weeks before scheduling another appointment with the dentist to receive. This temporary dental bridge helps. Removable partial dentures offer a temporary solution for restoring functionality and aesthetics while awaiting bridge placement. At your second visit, we will remove your temporary, and place and adjust your new bridge. Yes, you can get. Front Tooth Extraction And Temporary Bridge Same Day.
From burbankdentalimplants.com
Temporary Full Implant Teeth. Why Do This Step? Front Tooth Extraction And Temporary Bridge Same Day Tooth extraction and temporary bridge are commonly applied respectively after one another. This temporary dental bridge helps. Removable partial dentures offer a temporary solution for restoring functionality and aesthetics while awaiting bridge placement. At your second visit, we will remove your temporary, and place and adjust your new bridge. Yes, you can get a temporary bridge almost immediately after extraction.. Front Tooth Extraction And Temporary Bridge Same Day.
From www.youtube.com
Extraction and immediate implant for shaking lower front teeth YouTube Front Tooth Extraction And Temporary Bridge Same Day Next, a temporary bridge is placed that helps protect any exposed teeth or gums. At your second visit, we will remove your temporary, and place and adjust your new bridge. You must endure the temporary bridges for about three weeks before scheduling another appointment with the dentist to receive. This temporary dental bridge helps. Removable partial dentures offer a temporary. Front Tooth Extraction And Temporary Bridge Same Day.
From www.youtube.com
Dental Bridge Procedure Step by Step YouTube Front Tooth Extraction And Temporary Bridge Same Day Tooth extraction and temporary bridge are commonly applied respectively after one another. Yes, you can get a temporary bridge almost immediately after extraction. You must endure the temporary bridges for about three weeks before scheduling another appointment with the dentist to receive. At your second visit, we will remove your temporary, and place and adjust your new bridge. Removable partial. Front Tooth Extraction And Temporary Bridge Same Day.
From www.cosmodentalgroup.com
Dental Implants Allon4 TeethinaDayâ„¢ Cosmo Dental Front Tooth Extraction And Temporary Bridge Same Day At your second visit, we will remove your temporary, and place and adjust your new bridge. Next, a temporary bridge is placed that helps protect any exposed teeth or gums. You must endure the temporary bridges for about three weeks before scheduling another appointment with the dentist to receive. Yes, you can get a temporary bridge almost immediately after extraction.. Front Tooth Extraction And Temporary Bridge Same Day.
From burbankdentalimplants.com
Immediate Implant Bridge Lower Jaw Front Teeth Front Tooth Extraction And Temporary Bridge Same Day You must endure the temporary bridges for about three weeks before scheduling another appointment with the dentist to receive. This temporary dental bridge helps. Yes, you can get a temporary bridge almost immediately after extraction. At your second visit, we will remove your temporary, and place and adjust your new bridge. Next, a temporary bridge is placed that helps protect. Front Tooth Extraction And Temporary Bridge Same Day.
From www.busselldental.com
Dentures Wellington FL New Front Teeth with Dentures Front Tooth Extraction And Temporary Bridge Same Day You must endure the temporary bridges for about three weeks before scheduling another appointment with the dentist to receive. Tooth extraction and temporary bridge are commonly applied respectively after one another. This temporary dental bridge helps. Yes, you can get a temporary bridge almost immediately after extraction. Removable partial dentures offer a temporary solution for restoring functionality and aesthetics while. Front Tooth Extraction And Temporary Bridge Same Day.
From www.youtube.com
Dental Bridge Preparation after Tooth Extraction YouTube Front Tooth Extraction And Temporary Bridge Same Day Tooth extraction and temporary bridge are commonly applied respectively after one another. Yes, you can get a temporary bridge almost immediately after extraction. Next, a temporary bridge is placed that helps protect any exposed teeth or gums. This temporary dental bridge helps. You must endure the temporary bridges for about three weeks before scheduling another appointment with the dentist to. Front Tooth Extraction And Temporary Bridge Same Day.
From ventanafamilydental.com
Quick and painless tooth extractions in Katy, TX Ventana Dental Front Tooth Extraction And Temporary Bridge Same Day At your second visit, we will remove your temporary, and place and adjust your new bridge. This temporary dental bridge helps. Tooth extraction and temporary bridge are commonly applied respectively after one another. Removable partial dentures offer a temporary solution for restoring functionality and aesthetics while awaiting bridge placement. You must endure the temporary bridges for about three weeks before. Front Tooth Extraction And Temporary Bridge Same Day.
From tulsaprecisiondental.com
The 2 Types of Tooth Extractions Tulsa Precision Dental Front Tooth Extraction And Temporary Bridge Same Day At your second visit, we will remove your temporary, and place and adjust your new bridge. You must endure the temporary bridges for about three weeks before scheduling another appointment with the dentist to receive. Tooth extraction and temporary bridge are commonly applied respectively after one another. This temporary dental bridge helps. Next, a temporary bridge is placed that helps. Front Tooth Extraction And Temporary Bridge Same Day.
From www.youtube.com
Lower front teeth extraction and immediate implant planning with single Front Tooth Extraction And Temporary Bridge Same Day Next, a temporary bridge is placed that helps protect any exposed teeth or gums. This temporary dental bridge helps. Yes, you can get a temporary bridge almost immediately after extraction. Removable partial dentures offer a temporary solution for restoring functionality and aesthetics while awaiting bridge placement. You must endure the temporary bridges for about three weeks before scheduling another appointment. Front Tooth Extraction And Temporary Bridge Same Day.
From www.njcenteros.com
Life transforming same day treatment extractions, placement of dental Front Tooth Extraction And Temporary Bridge Same Day This temporary dental bridge helps. Removable partial dentures offer a temporary solution for restoring functionality and aesthetics while awaiting bridge placement. Yes, you can get a temporary bridge almost immediately after extraction. At your second visit, we will remove your temporary, and place and adjust your new bridge. Next, a temporary bridge is placed that helps protect any exposed teeth. Front Tooth Extraction And Temporary Bridge Same Day.
From www.myfamilydentist.com
Dental BridgeBridge DentistrySedona AZ Dentist Front Tooth Extraction And Temporary Bridge Same Day This temporary dental bridge helps. You must endure the temporary bridges for about three weeks before scheduling another appointment with the dentist to receive. Tooth extraction and temporary bridge are commonly applied respectively after one another. Next, a temporary bridge is placed that helps protect any exposed teeth or gums. Removable partial dentures offer a temporary solution for restoring functionality. Front Tooth Extraction And Temporary Bridge Same Day.
From ludhianadentalcentre.com
What are the benefits and types of undergoing temporary tooth bridges? Front Tooth Extraction And Temporary Bridge Same Day At your second visit, we will remove your temporary, and place and adjust your new bridge. You must endure the temporary bridges for about three weeks before scheduling another appointment with the dentist to receive. Tooth extraction and temporary bridge are commonly applied respectively after one another. Removable partial dentures offer a temporary solution for restoring functionality and aesthetics while. Front Tooth Extraction And Temporary Bridge Same Day.
From burbankdentalimplants.com
Immediate Implant Bridge Lower Jaw Front Teeth Front Tooth Extraction And Temporary Bridge Same Day Next, a temporary bridge is placed that helps protect any exposed teeth or gums. You must endure the temporary bridges for about three weeks before scheduling another appointment with the dentist to receive. At your second visit, we will remove your temporary, and place and adjust your new bridge. Yes, you can get a temporary bridge almost immediately after extraction.. Front Tooth Extraction And Temporary Bridge Same Day.
From burbankdentalimplants.com
Immediate Implant Bridge Lower Jaw Front Teeth Ramsey Amin, DDS Front Tooth Extraction And Temporary Bridge Same Day At your second visit, we will remove your temporary, and place and adjust your new bridge. Removable partial dentures offer a temporary solution for restoring functionality and aesthetics while awaiting bridge placement. Yes, you can get a temporary bridge almost immediately after extraction. You must endure the temporary bridges for about three weeks before scheduling another appointment with the dentist. Front Tooth Extraction And Temporary Bridge Same Day.
From normandylakewooddentistry.com
Tooth Extractions Jacksonville, FL Normandy Lake Dentistry Front Tooth Extraction And Temporary Bridge Same Day You must endure the temporary bridges for about three weeks before scheduling another appointment with the dentist to receive. Yes, you can get a temporary bridge almost immediately after extraction. Tooth extraction and temporary bridge are commonly applied respectively after one another. At your second visit, we will remove your temporary, and place and adjust your new bridge. This temporary. Front Tooth Extraction And Temporary Bridge Same Day.