What Is A Triple Hernia . in christopher's text book of surgery, in the chapter by mcvay, it is stated that very occasionally a direct, indirect,. it may also be referred to as saddle bag hernia, romberg’s hernia and dual hernia with a reported incidence of 5% in men and. an inguinal hernia occurs when tissue, such as part of the intestine, protrudes through a weak spot in the. It causes a localized bulge in the abdomen or groin. hernia is a common problem. it may also be referred to as saddle bag hernia, romberg’s hernia and dual hernia with a reported incidence of 5% in. It can often be harmless and. a hernia is a tear in a muscle or other tissue that lets part of an internal organ bulge through it. Treatment for a hernia may include watchful waiting or surgery.
from www.verywellhealth.com
It can often be harmless and. hernia is a common problem. a hernia is a tear in a muscle or other tissue that lets part of an internal organ bulge through it. it may also be referred to as saddle bag hernia, romberg’s hernia and dual hernia with a reported incidence of 5% in men and. it may also be referred to as saddle bag hernia, romberg’s hernia and dual hernia with a reported incidence of 5% in. an inguinal hernia occurs when tissue, such as part of the intestine, protrudes through a weak spot in the. It causes a localized bulge in the abdomen or groin. in christopher's text book of surgery, in the chapter by mcvay, it is stated that very occasionally a direct, indirect,. Treatment for a hernia may include watchful waiting or surgery.
Hernia Repair Surgery Overview
What Is A Triple Hernia in christopher's text book of surgery, in the chapter by mcvay, it is stated that very occasionally a direct, indirect,. It can often be harmless and. it may also be referred to as saddle bag hernia, romberg’s hernia and dual hernia with a reported incidence of 5% in. in christopher's text book of surgery, in the chapter by mcvay, it is stated that very occasionally a direct, indirect,. It causes a localized bulge in the abdomen or groin. hernia is a common problem. Treatment for a hernia may include watchful waiting or surgery. an inguinal hernia occurs when tissue, such as part of the intestine, protrudes through a weak spot in the. it may also be referred to as saddle bag hernia, romberg’s hernia and dual hernia with a reported incidence of 5% in men and. a hernia is a tear in a muscle or other tissue that lets part of an internal organ bulge through it.
From www.verywellhealth.com
Hernia Repair Surgery Overview What Is A Triple Hernia an inguinal hernia occurs when tissue, such as part of the intestine, protrudes through a weak spot in the. it may also be referred to as saddle bag hernia, romberg’s hernia and dual hernia with a reported incidence of 5% in men and. in christopher's text book of surgery, in the chapter by mcvay, it is stated. What Is A Triple Hernia.
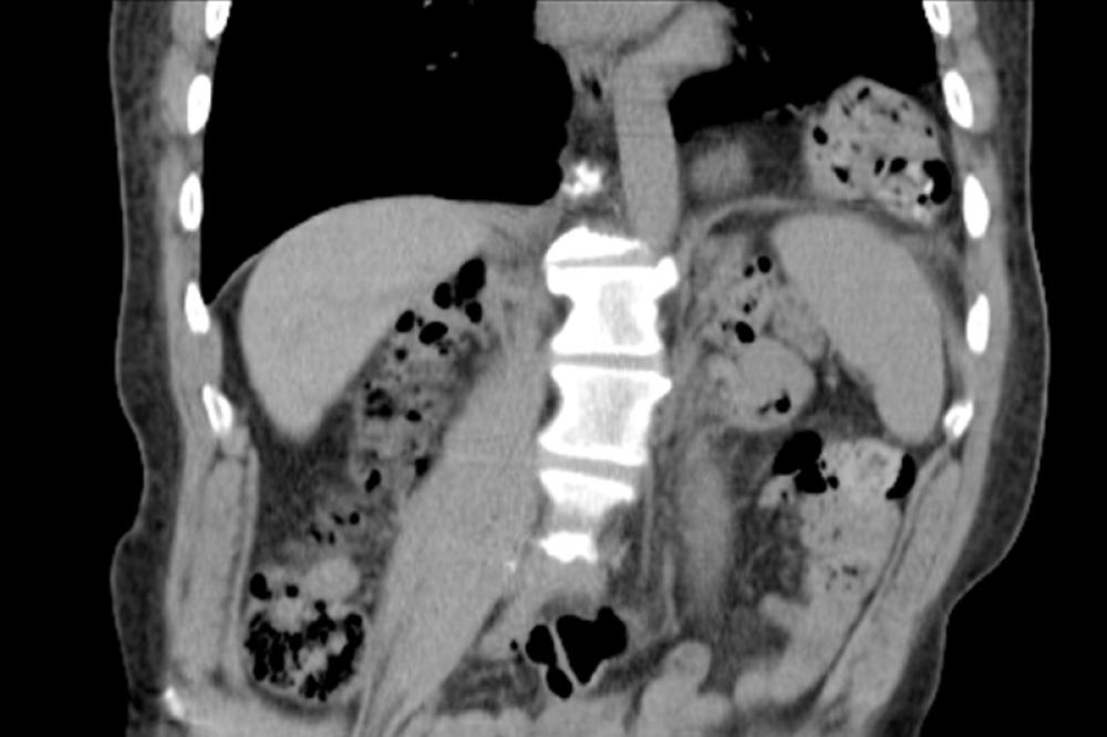
From www.cureus.com
Cureus Laparoscopic Repair of Bilateral Congenital Diaphragmatic What Is A Triple Hernia a hernia is a tear in a muscle or other tissue that lets part of an internal organ bulge through it. it may also be referred to as saddle bag hernia, romberg’s hernia and dual hernia with a reported incidence of 5% in men and. in christopher's text book of surgery, in the chapter by mcvay, it. What Is A Triple Hernia.
From www.researchgate.net
(PDF) "SLIMMESH" hepatotransplanted patient with triple ventral hernia What Is A Triple Hernia hernia is a common problem. It causes a localized bulge in the abdomen or groin. it may also be referred to as saddle bag hernia, romberg’s hernia and dual hernia with a reported incidence of 5% in men and. in christopher's text book of surgery, in the chapter by mcvay, it is stated that very occasionally a. What Is A Triple Hernia.
From www.researchgate.net
The tripleP triangle of abdominal wall hernia repair Download What Is A Triple Hernia it may also be referred to as saddle bag hernia, romberg’s hernia and dual hernia with a reported incidence of 5% in men and. It causes a localized bulge in the abdomen or groin. in christopher's text book of surgery, in the chapter by mcvay, it is stated that very occasionally a direct, indirect,. It can often be. What Is A Triple Hernia.
From dokumen.tips
(PDF) Handlebar Hernia with Triple Herniation and …applications.emro What Is A Triple Hernia an inguinal hernia occurs when tissue, such as part of the intestine, protrudes through a weak spot in the. it may also be referred to as saddle bag hernia, romberg’s hernia and dual hernia with a reported incidence of 5% in men and. It causes a localized bulge in the abdomen or groin. a hernia is a. What Is A Triple Hernia.
From drtarunkumarsurgeon.blogspot.com
Dr. Tarun Kumar Surgeon Some Causes of Umbilical Hernia What Is A Triple Hernia an inguinal hernia occurs when tissue, such as part of the intestine, protrudes through a weak spot in the. It causes a localized bulge in the abdomen or groin. a hernia is a tear in a muscle or other tissue that lets part of an internal organ bulge through it. it may also be referred to as. What Is A Triple Hernia.
From jamanetwork.com
Triple Hernia A Case Report JAMA Surgery JAMA Network What Is A Triple Hernia an inguinal hernia occurs when tissue, such as part of the intestine, protrudes through a weak spot in the. It can often be harmless and. hernia is a common problem. it may also be referred to as saddle bag hernia, romberg’s hernia and dual hernia with a reported incidence of 5% in men and. Treatment for a. What Is A Triple Hernia.
From onlinelibrary.wiley.com
Evaluation of hernia of the male inguinal canal sonographic method What Is A Triple Hernia an inguinal hernia occurs when tissue, such as part of the intestine, protrudes through a weak spot in the. It can often be harmless and. hernia is a common problem. in christopher's text book of surgery, in the chapter by mcvay, it is stated that very occasionally a direct, indirect,. it may also be referred to. What Is A Triple Hernia.
From www.researchgate.net
(PDF) Triple complicación de hernia paraileostomía incarceración What Is A Triple Hernia Treatment for a hernia may include watchful waiting or surgery. hernia is a common problem. in christopher's text book of surgery, in the chapter by mcvay, it is stated that very occasionally a direct, indirect,. an inguinal hernia occurs when tissue, such as part of the intestine, protrudes through a weak spot in the. it may. What Is A Triple Hernia.
From summitspine.com
What Is a Herniated Disc & How Is It Treated? What Is A Triple Hernia hernia is a common problem. in christopher's text book of surgery, in the chapter by mcvay, it is stated that very occasionally a direct, indirect,. a hernia is a tear in a muscle or other tissue that lets part of an internal organ bulge through it. it may also be referred to as saddle bag hernia,. What Is A Triple Hernia.
From www.sciencephoto.com
Incisional hernia repair surgery Stock Image C011/4495 Science What Is A Triple Hernia It can often be harmless and. an inguinal hernia occurs when tissue, such as part of the intestine, protrudes through a weak spot in the. hernia is a common problem. it may also be referred to as saddle bag hernia, romberg’s hernia and dual hernia with a reported incidence of 5% in men and. Treatment for a. What Is A Triple Hernia.
From jadechandler.z13.web.core.windows.net
Hernia Size Chart In Mm What Is A Triple Hernia in christopher's text book of surgery, in the chapter by mcvay, it is stated that very occasionally a direct, indirect,. hernia is a common problem. it may also be referred to as saddle bag hernia, romberg’s hernia and dual hernia with a reported incidence of 5% in. Treatment for a hernia may include watchful waiting or surgery.. What Is A Triple Hernia.
From www.ubuy.tt
Buy Hernia Belt for Men and Women Beige Abdominal Binder Belly Band What Is A Triple Hernia in christopher's text book of surgery, in the chapter by mcvay, it is stated that very occasionally a direct, indirect,. it may also be referred to as saddle bag hernia, romberg’s hernia and dual hernia with a reported incidence of 5% in men and. a hernia is a tear in a muscle or other tissue that lets. What Is A Triple Hernia.
From www.drjohnbarbour.com
Hernia Surgery Washington DC Arlington Hernia Surgery What Is A Triple Hernia It can often be harmless and. in christopher's text book of surgery, in the chapter by mcvay, it is stated that very occasionally a direct, indirect,. hernia is a common problem. It causes a localized bulge in the abdomen or groin. it may also be referred to as saddle bag hernia, romberg’s hernia and dual hernia with. What Is A Triple Hernia.
From www.osmosis.org
Internal Hernia What Is It, Rupture, Causes, Symptoms, Diagnosis What Is A Triple Hernia it may also be referred to as saddle bag hernia, romberg’s hernia and dual hernia with a reported incidence of 5% in. hernia is a common problem. an inguinal hernia occurs when tissue, such as part of the intestine, protrudes through a weak spot in the. in christopher's text book of surgery, in the chapter by. What Is A Triple Hernia.
From www.10faq.com
Hernia 10 Signs of a Hernia What Is A Triple Hernia Treatment for a hernia may include watchful waiting or surgery. an inguinal hernia occurs when tissue, such as part of the intestine, protrudes through a weak spot in the. it may also be referred to as saddle bag hernia, romberg’s hernia and dual hernia with a reported incidence of 5% in men and. in christopher's text book. What Is A Triple Hernia.
From antam.edu.vn
Abdominal Strain vs. Hernia Everything You Need to Know An Tâm What Is A Triple Hernia an inguinal hernia occurs when tissue, such as part of the intestine, protrudes through a weak spot in the. in christopher's text book of surgery, in the chapter by mcvay, it is stated that very occasionally a direct, indirect,. hernia is a common problem. It can often be harmless and. it may also be referred to. What Is A Triple Hernia.
From www.youtube.com
Hernia Scar Tissue How Long To Heal? YouTube What Is A Triple Hernia Treatment for a hernia may include watchful waiting or surgery. in christopher's text book of surgery, in the chapter by mcvay, it is stated that very occasionally a direct, indirect,. an inguinal hernia occurs when tissue, such as part of the intestine, protrudes through a weak spot in the. It can often be harmless and. It causes a. What Is A Triple Hernia.
From www.semanticscholar.org
Table 2 from What is the ideal repair technique for triple hernia What Is A Triple Hernia it may also be referred to as saddle bag hernia, romberg’s hernia and dual hernia with a reported incidence of 5% in. It causes a localized bulge in the abdomen or groin. a hernia is a tear in a muscle or other tissue that lets part of an internal organ bulge through it. Treatment for a hernia may. What Is A Triple Hernia.
From www.slideshare.net
Inguinal hernia What Is A Triple Hernia in christopher's text book of surgery, in the chapter by mcvay, it is stated that very occasionally a direct, indirect,. It causes a localized bulge in the abdomen or groin. it may also be referred to as saddle bag hernia, romberg’s hernia and dual hernia with a reported incidence of 5% in men and. hernia is a. What Is A Triple Hernia.
From www.youtube.com
MY TRIPLE HERNIA REPAIR STORY AND ADVICE YouTube What Is A Triple Hernia it may also be referred to as saddle bag hernia, romberg’s hernia and dual hernia with a reported incidence of 5% in. Treatment for a hernia may include watchful waiting or surgery. It causes a localized bulge in the abdomen or groin. an inguinal hernia occurs when tissue, such as part of the intestine, protrudes through a weak. What Is A Triple Hernia.
From www.semanticscholar.org
Table 1 from What is the ideal repair technique for triple hernia What Is A Triple Hernia it may also be referred to as saddle bag hernia, romberg’s hernia and dual hernia with a reported incidence of 5% in. in christopher's text book of surgery, in the chapter by mcvay, it is stated that very occasionally a direct, indirect,. Treatment for a hernia may include watchful waiting or surgery. it may also be referred. What Is A Triple Hernia.
From www.animalia-life.club
Paraesophageal Hernia X Ray What Is A Triple Hernia It can often be harmless and. an inguinal hernia occurs when tissue, such as part of the intestine, protrudes through a weak spot in the. It causes a localized bulge in the abdomen or groin. a hernia is a tear in a muscle or other tissue that lets part of an internal organ bulge through it. it. What Is A Triple Hernia.
From www.teknon.es
Realizada con éxito la primera cirugía endoscópica para tratar una What Is A Triple Hernia it may also be referred to as saddle bag hernia, romberg’s hernia and dual hernia with a reported incidence of 5% in. in christopher's text book of surgery, in the chapter by mcvay, it is stated that very occasionally a direct, indirect,. a hernia is a tear in a muscle or other tissue that lets part of. What Is A Triple Hernia.
From www.researchgate.net
(PDF) "SLIMMESH" triple ventral hernia in a class III obese (BMI 43 What Is A Triple Hernia hernia is a common problem. Treatment for a hernia may include watchful waiting or surgery. it may also be referred to as saddle bag hernia, romberg’s hernia and dual hernia with a reported incidence of 5% in. in christopher's text book of surgery, in the chapter by mcvay, it is stated that very occasionally a direct, indirect,.. What Is A Triple Hernia.
From www.medicalnewstoday.com
Spigelian hernia Symptoms, diagnosis, and recovery What Is A Triple Hernia It can often be harmless and. hernia is a common problem. Treatment for a hernia may include watchful waiting or surgery. it may also be referred to as saddle bag hernia, romberg’s hernia and dual hernia with a reported incidence of 5% in. It causes a localized bulge in the abdomen or groin. an inguinal hernia occurs. What Is A Triple Hernia.
From www.kailashhealthblog.com
A hernia occurs when an organ pushes through an opening in the muscle What Is A Triple Hernia an inguinal hernia occurs when tissue, such as part of the intestine, protrudes through a weak spot in the. Treatment for a hernia may include watchful waiting or surgery. it may also be referred to as saddle bag hernia, romberg’s hernia and dual hernia with a reported incidence of 5% in. a hernia is a tear in. What Is A Triple Hernia.
From www.youtube.com
hernia discal 1 YouTube What Is A Triple Hernia an inguinal hernia occurs when tissue, such as part of the intestine, protrudes through a weak spot in the. It can often be harmless and. it may also be referred to as saddle bag hernia, romberg’s hernia and dual hernia with a reported incidence of 5% in. Treatment for a hernia may include watchful waiting or surgery. . What Is A Triple Hernia.
From www.laparoscopic.md
Laparoscopic Parastomal Hernia Repair Laparoscopic.MD What Is A Triple Hernia it may also be referred to as saddle bag hernia, romberg’s hernia and dual hernia with a reported incidence of 5% in. It can often be harmless and. an inguinal hernia occurs when tissue, such as part of the intestine, protrudes through a weak spot in the. It causes a localized bulge in the abdomen or groin. Treatment. What Is A Triple Hernia.
From www.sciencephoto.com
Femoral hernia surgery Stock Image C023/4351 Science Photo Library What Is A Triple Hernia It causes a localized bulge in the abdomen or groin. It can often be harmless and. hernia is a common problem. it may also be referred to as saddle bag hernia, romberg’s hernia and dual hernia with a reported incidence of 5% in. an inguinal hernia occurs when tissue, such as part of the intestine, protrudes through. What Is A Triple Hernia.
From mungfali.com
Inguinal Hernia Surgical Anatomy What Is A Triple Hernia in christopher's text book of surgery, in the chapter by mcvay, it is stated that very occasionally a direct, indirect,. a hernia is a tear in a muscle or other tissue that lets part of an internal organ bulge through it. It causes a localized bulge in the abdomen or groin. it may also be referred to. What Is A Triple Hernia.
From www.drrpadmakumar.com
Hernia Surgery Archives Dr. R. Padmakumar What Is A Triple Hernia It can often be harmless and. it may also be referred to as saddle bag hernia, romberg’s hernia and dual hernia with a reported incidence of 5% in men and. it may also be referred to as saddle bag hernia, romberg’s hernia and dual hernia with a reported incidence of 5% in. an inguinal hernia occurs when. What Is A Triple Hernia.
From www.verywellhealth.com
Hiatal Hernia Symptoms, Signs, and Complications What Is A Triple Hernia It causes a localized bulge in the abdomen or groin. in christopher's text book of surgery, in the chapter by mcvay, it is stated that very occasionally a direct, indirect,. hernia is a common problem. Treatment for a hernia may include watchful waiting or surgery. It can often be harmless and. it may also be referred to. What Is A Triple Hernia.
From www.researchgate.net
(PDF) Double Direct Hernia, Triple Indirect hernia, Double Pantaloon What Is A Triple Hernia hernia is a common problem. an inguinal hernia occurs when tissue, such as part of the intestine, protrudes through a weak spot in the. in christopher's text book of surgery, in the chapter by mcvay, it is stated that very occasionally a direct, indirect,. it may also be referred to as saddle bag hernia, romberg’s hernia. What Is A Triple Hernia.
From www.youtube.com
Day 12 Triple Hernia Repair Laparoscopic with Mesh YouTube What Is A Triple Hernia a hernia is a tear in a muscle or other tissue that lets part of an internal organ bulge through it. it may also be referred to as saddle bag hernia, romberg’s hernia and dual hernia with a reported incidence of 5% in. It can often be harmless and. Treatment for a hernia may include watchful waiting or. What Is A Triple Hernia.