Angle Blade Plate Distal Femur . Non‐surgical treatment, retrograde intramedullary implants, antegrade intramedullary implants. Current treatment options broadly include conservative management, external fixation, locked and nonlocked plating with or without. Angled blade plates have a blade with a u profile and a fixed angle between the blade and the plate. A triple drill guide is available, but this has been designed for the proximal femur and use with 130° angled blade plates: This makes it a little. Randomized comparison of 95 angled blade plate (abp) versus distal femoral locking plate (lcp) did not support lcp to have superior performance in treatment of. In the proximal femur, the blade needs to be.
from www.orthopaedic-implants.com
Randomized comparison of 95 angled blade plate (abp) versus distal femoral locking plate (lcp) did not support lcp to have superior performance in treatment of. This makes it a little. Non‐surgical treatment, retrograde intramedullary implants, antegrade intramedullary implants. Current treatment options broadly include conservative management, external fixation, locked and nonlocked plating with or without. In the proximal femur, the blade needs to be. Angled blade plates have a blade with a u profile and a fixed angle between the blade and the plate. A triple drill guide is available, but this has been designed for the proximal femur and use with 130° angled blade plates:
Angled Blade Plate, Angled Blade Plate Manufacturer, Angled Blade Plate
Angle Blade Plate Distal Femur Current treatment options broadly include conservative management, external fixation, locked and nonlocked plating with or without. Randomized comparison of 95 angled blade plate (abp) versus distal femoral locking plate (lcp) did not support lcp to have superior performance in treatment of. Non‐surgical treatment, retrograde intramedullary implants, antegrade intramedullary implants. Angled blade plates have a blade with a u profile and a fixed angle between the blade and the plate. A triple drill guide is available, but this has been designed for the proximal femur and use with 130° angled blade plates: This makes it a little. Current treatment options broadly include conservative management, external fixation, locked and nonlocked plating with or without. In the proximal femur, the blade needs to be.
From www.orthopaedic-implants.com
Angled Blade Plate, Angled Blade Plate Manufacturer, Angled Blade Plate Angle Blade Plate Distal Femur This makes it a little. Current treatment options broadly include conservative management, external fixation, locked and nonlocked plating with or without. Non‐surgical treatment, retrograde intramedullary implants, antegrade intramedullary implants. Angled blade plates have a blade with a u profile and a fixed angle between the blade and the plate. Randomized comparison of 95 angled blade plate (abp) versus distal femoral. Angle Blade Plate Distal Femur.
From 79.143.182.247
Angle Blade Plate For Intertrochanteric Femoral Osteotomies In Adults Angle Blade Plate Distal Femur A triple drill guide is available, but this has been designed for the proximal femur and use with 130° angled blade plates: In the proximal femur, the blade needs to be. Angled blade plates have a blade with a u profile and a fixed angle between the blade and the plate. This makes it a little. Randomized comparison of 95. Angle Blade Plate Distal Femur.
From www.pinterest.com
DHS/DCS and Angled blade Plates are used to fix the fractures of distal Angle Blade Plate Distal Femur In the proximal femur, the blade needs to be. A triple drill guide is available, but this has been designed for the proximal femur and use with 130° angled blade plates: Current treatment options broadly include conservative management, external fixation, locked and nonlocked plating with or without. Randomized comparison of 95 angled blade plate (abp) versus distal femoral locking plate. Angle Blade Plate Distal Femur.
From www.gwsmed.com
110/120/130 Degree Angle Blade Plate For IntertrochantericFemoral Angle Blade Plate Distal Femur In the proximal femur, the blade needs to be. A triple drill guide is available, but this has been designed for the proximal femur and use with 130° angled blade plates: This makes it a little. Randomized comparison of 95 angled blade plate (abp) versus distal femoral locking plate (lcp) did not support lcp to have superior performance in treatment. Angle Blade Plate Distal Femur.
From www.semanticscholar.org
Figure 2 from Optimizing Stability in Femoral Neck Fracture Fixation Angle Blade Plate Distal Femur Non‐surgical treatment, retrograde intramedullary implants, antegrade intramedullary implants. Current treatment options broadly include conservative management, external fixation, locked and nonlocked plating with or without. A triple drill guide is available, but this has been designed for the proximal femur and use with 130° angled blade plates: In the proximal femur, the blade needs to be. Randomized comparison of 95 angled. Angle Blade Plate Distal Femur.
From www.arthroscopytechniques.org
VarusProducing Lateral Distal Femoral OpeningWedge Osteotomy Angle Blade Plate Distal Femur Non‐surgical treatment, retrograde intramedullary implants, antegrade intramedullary implants. Angled blade plates have a blade with a u profile and a fixed angle between the blade and the plate. Current treatment options broadly include conservative management, external fixation, locked and nonlocked plating with or without. A triple drill guide is available, but this has been designed for the proximal femur and. Angle Blade Plate Distal Femur.
From www.orthopaedic-implants.com
Angled Blade Plate, Angled Blade Plate Manufacturer, Angled Blade Plate Angle Blade Plate Distal Femur A triple drill guide is available, but this has been designed for the proximal femur and use with 130° angled blade plates: Angled blade plates have a blade with a u profile and a fixed angle between the blade and the plate. This makes it a little. In the proximal femur, the blade needs to be. Current treatment options broadly. Angle Blade Plate Distal Femur.
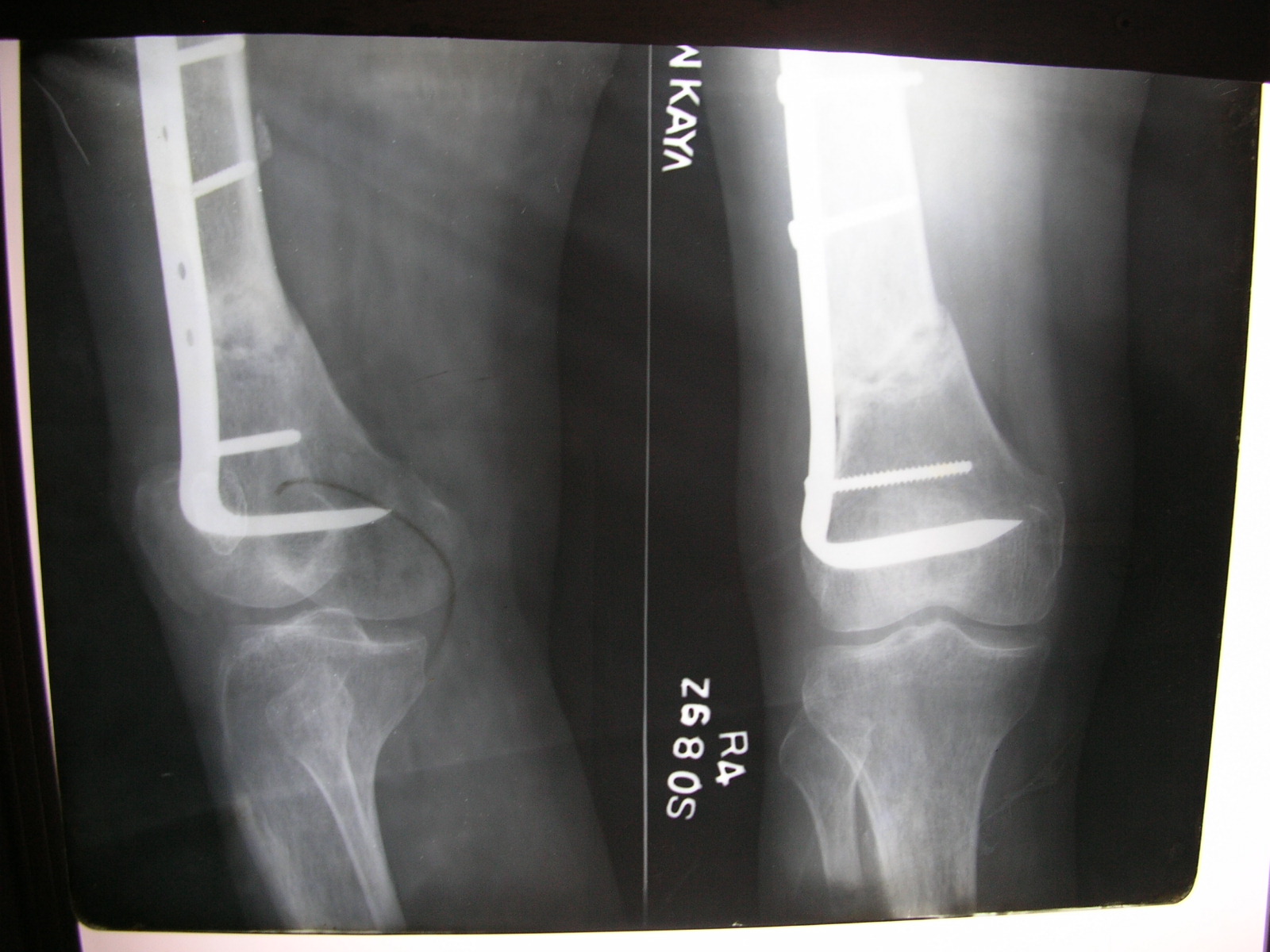
From bdortho.blogspot.com
Xrays and Slides Nonunion of angled blade plate of supracondylar Angle Blade Plate Distal Femur In the proximal femur, the blade needs to be. Angled blade plates have a blade with a u profile and a fixed angle between the blade and the plate. Non‐surgical treatment, retrograde intramedullary implants, antegrade intramedullary implants. A triple drill guide is available, but this has been designed for the proximal femur and use with 130° angled blade plates: Randomized. Angle Blade Plate Distal Femur.
From mavink.com
Stryker Distal Femur Plate Angle Blade Plate Distal Femur In the proximal femur, the blade needs to be. Non‐surgical treatment, retrograde intramedullary implants, antegrade intramedullary implants. Randomized comparison of 95 angled blade plate (abp) versus distal femoral locking plate (lcp) did not support lcp to have superior performance in treatment of. A triple drill guide is available, but this has been designed for the proximal femur and use with. Angle Blade Plate Distal Femur.
From www.pinterest.com
DHS/DCS and Angled blade Plates are used to fix the fractures of distal Angle Blade Plate Distal Femur Current treatment options broadly include conservative management, external fixation, locked and nonlocked plating with or without. A triple drill guide is available, but this has been designed for the proximal femur and use with 130° angled blade plates: This makes it a little. In the proximal femur, the blade needs to be. Angled blade plates have a blade with a. Angle Blade Plate Distal Femur.
From www.indiamart.com
Implant for Femur Angled Blade Plates Manufacturer from Vadodara Angle Blade Plate Distal Femur This makes it a little. In the proximal femur, the blade needs to be. A triple drill guide is available, but this has been designed for the proximal femur and use with 130° angled blade plates: Current treatment options broadly include conservative management, external fixation, locked and nonlocked plating with or without. Non‐surgical treatment, retrograde intramedullary implants, antegrade intramedullary implants.. Angle Blade Plate Distal Femur.
From www.aysam.com.tr
3,5 MM 90° ANGLED BLADE PLATE ON PEDIATRIC FEMUR Aysam Angle Blade Plate Distal Femur This makes it a little. Current treatment options broadly include conservative management, external fixation, locked and nonlocked plating with or without. In the proximal femur, the blade needs to be. Non‐surgical treatment, retrograde intramedullary implants, antegrade intramedullary implants. Randomized comparison of 95 angled blade plate (abp) versus distal femoral locking plate (lcp) did not support lcp to have superior performance. Angle Blade Plate Distal Femur.
From orthoapparatus.com
Medical Apparatus Imaging Guide fracture fixation Angle Blade Plate Distal Femur Non‐surgical treatment, retrograde intramedullary implants, antegrade intramedullary implants. Current treatment options broadly include conservative management, external fixation, locked and nonlocked plating with or without. This makes it a little. A triple drill guide is available, but this has been designed for the proximal femur and use with 130° angled blade plates: Angled blade plates have a blade with a u. Angle Blade Plate Distal Femur.
From www.aysam.com.tr
4,5 MM 135° ANGLED BLADE PLATE FOR OPERATION ON ADULT FEMUR Aysam Angle Blade Plate Distal Femur A triple drill guide is available, but this has been designed for the proximal femur and use with 130° angled blade plates: Randomized comparison of 95 angled blade plate (abp) versus distal femoral locking plate (lcp) did not support lcp to have superior performance in treatment of. In the proximal femur, the blade needs to be. This makes it a. Angle Blade Plate Distal Femur.
From www.aysam.com.tr
4,5 MM 95° ANGLED BLADE PLATE FOR OPERATION ON ADULT FEMUR Aysam Angle Blade Plate Distal Femur Current treatment options broadly include conservative management, external fixation, locked and nonlocked plating with or without. Angled blade plates have a blade with a u profile and a fixed angle between the blade and the plate. This makes it a little. Randomized comparison of 95 angled blade plate (abp) versus distal femoral locking plate (lcp) did not support lcp to. Angle Blade Plate Distal Femur.
From bondwellortho.com
Distal Femur Locking Plate Bond Well Ortho Angle Blade Plate Distal Femur This makes it a little. Non‐surgical treatment, retrograde intramedullary implants, antegrade intramedullary implants. Angled blade plates have a blade with a u profile and a fixed angle between the blade and the plate. Current treatment options broadly include conservative management, external fixation, locked and nonlocked plating with or without. In the proximal femur, the blade needs to be. Randomized comparison. Angle Blade Plate Distal Femur.
From www.orthoracle.com
Congenital dislocation of the hip Proximal femoral varus osteotomy Angle Blade Plate Distal Femur Angled blade plates have a blade with a u profile and a fixed angle between the blade and the plate. A triple drill guide is available, but this has been designed for the proximal femur and use with 130° angled blade plates: This makes it a little. In the proximal femur, the blade needs to be. Non‐surgical treatment, retrograde intramedullary. Angle Blade Plate Distal Femur.
From tymedical.com
DISTAL FEMUR LOCKING PLATE TAEYEON MEDICAL Angle Blade Plate Distal Femur Randomized comparison of 95 angled blade plate (abp) versus distal femoral locking plate (lcp) did not support lcp to have superior performance in treatment of. Current treatment options broadly include conservative management, external fixation, locked and nonlocked plating with or without. A triple drill guide is available, but this has been designed for the proximal femur and use with 130°. Angle Blade Plate Distal Femur.
From orthoapparatus.com
Medical Apparatus Imaging Guide fracture fixation Angle Blade Plate Distal Femur In the proximal femur, the blade needs to be. Non‐surgical treatment, retrograde intramedullary implants, antegrade intramedullary implants. This makes it a little. Current treatment options broadly include conservative management, external fixation, locked and nonlocked plating with or without. A triple drill guide is available, but this has been designed for the proximal femur and use with 130° angled blade plates:. Angle Blade Plate Distal Femur.
From www.orthopaedic-implants.com
Angled Blade Plate, Angled Blade Plate Manufacturer, Angled Blade Plate Angle Blade Plate Distal Femur Randomized comparison of 95 angled blade plate (abp) versus distal femoral locking plate (lcp) did not support lcp to have superior performance in treatment of. Non‐surgical treatment, retrograde intramedullary implants, antegrade intramedullary implants. Current treatment options broadly include conservative management, external fixation, locked and nonlocked plating with or without. In the proximal femur, the blade needs to be. This makes. Angle Blade Plate Distal Femur.
From vigorortho.com
Angle Blade Plate for Intertrochanteric Femoral OsteotAAngle Blade Angle Blade Plate Distal Femur Randomized comparison of 95 angled blade plate (abp) versus distal femoral locking plate (lcp) did not support lcp to have superior performance in treatment of. A triple drill guide is available, but this has been designed for the proximal femur and use with 130° angled blade plates: Non‐surgical treatment, retrograde intramedullary implants, antegrade intramedullary implants. In the proximal femur, the. Angle Blade Plate Distal Femur.
From orthopaedicprinciples.com
Use of Blade plate in Proximal Femur fractures — Angle Blade Plate Distal Femur In the proximal femur, the blade needs to be. A triple drill guide is available, but this has been designed for the proximal femur and use with 130° angled blade plates: Current treatment options broadly include conservative management, external fixation, locked and nonlocked plating with or without. Randomized comparison of 95 angled blade plate (abp) versus distal femoral locking plate. Angle Blade Plate Distal Femur.
From www.siiora.com
Angled Blade Plate For Distal & Proximal Femur Fracture Angle Blade Plate Distal Femur Randomized comparison of 95 angled blade plate (abp) versus distal femoral locking plate (lcp) did not support lcp to have superior performance in treatment of. In the proximal femur, the blade needs to be. Angled blade plates have a blade with a u profile and a fixed angle between the blade and the plate. This makes it a little. A. Angle Blade Plate Distal Femur.
From orthoapparatus.com
Medical Apparatus Imaging Guide fracture fixation Angle Blade Plate Distal Femur Non‐surgical treatment, retrograde intramedullary implants, antegrade intramedullary implants. Angled blade plates have a blade with a u profile and a fixed angle between the blade and the plate. Current treatment options broadly include conservative management, external fixation, locked and nonlocked plating with or without. Randomized comparison of 95 angled blade plate (abp) versus distal femoral locking plate (lcp) did not. Angle Blade Plate Distal Femur.
From radiologykey.com
Subtrochanteric Femur Fractures Radiology Key Angle Blade Plate Distal Femur Randomized comparison of 95 angled blade plate (abp) versus distal femoral locking plate (lcp) did not support lcp to have superior performance in treatment of. Current treatment options broadly include conservative management, external fixation, locked and nonlocked plating with or without. A triple drill guide is available, but this has been designed for the proximal femur and use with 130°. Angle Blade Plate Distal Femur.
From www.researchgate.net
Torsional stiffness of boneplate constructs. AB_IMC angle blade plate Angle Blade Plate Distal Femur A triple drill guide is available, but this has been designed for the proximal femur and use with 130° angled blade plates: This makes it a little. Angled blade plates have a blade with a u profile and a fixed angle between the blade and the plate. Current treatment options broadly include conservative management, external fixation, locked and nonlocked plating. Angle Blade Plate Distal Femur.
From step1.medbullets.com
Comparison of the 95degree angled blade plate and the locking condylar Angle Blade Plate Distal Femur Current treatment options broadly include conservative management, external fixation, locked and nonlocked plating with or without. Non‐surgical treatment, retrograde intramedullary implants, antegrade intramedullary implants. Angled blade plates have a blade with a u profile and a fixed angle between the blade and the plate. In the proximal femur, the blade needs to be. Randomized comparison of 95 angled blade plate. Angle Blade Plate Distal Femur.
From www.ortimplant.com
90° ANGLED BLADE PLATE WITH DISPLACEMENT FOR OPERATION ON PEDIATRIC Angle Blade Plate Distal Femur This makes it a little. Non‐surgical treatment, retrograde intramedullary implants, antegrade intramedullary implants. Angled blade plates have a blade with a u profile and a fixed angle between the blade and the plate. In the proximal femur, the blade needs to be. Randomized comparison of 95 angled blade plate (abp) versus distal femoral locking plate (lcp) did not support lcp. Angle Blade Plate Distal Femur.
From www.researchgate.net
(PDF) A New Guide for Condylar BladePlate on Distal Femoral Fractures Angle Blade Plate Distal Femur This makes it a little. Current treatment options broadly include conservative management, external fixation, locked and nonlocked plating with or without. Non‐surgical treatment, retrograde intramedullary implants, antegrade intramedullary implants. A triple drill guide is available, but this has been designed for the proximal femur and use with 130° angled blade plates: Randomized comparison of 95 angled blade plate (abp) versus. Angle Blade Plate Distal Femur.
From onlinelibrary.wiley.com
Treatment of Distal Femur Nonunion Following Initial Fixation with a Angle Blade Plate Distal Femur Angled blade plates have a blade with a u profile and a fixed angle between the blade and the plate. This makes it a little. Randomized comparison of 95 angled blade plate (abp) versus distal femoral locking plate (lcp) did not support lcp to have superior performance in treatment of. Current treatment options broadly include conservative management, external fixation, locked. Angle Blade Plate Distal Femur.
From www.academia.edu
(PDF) Varization openwedge osteotomy of the distal femur comparison Angle Blade Plate Distal Femur Non‐surgical treatment, retrograde intramedullary implants, antegrade intramedullary implants. Angled blade plates have a blade with a u profile and a fixed angle between the blade and the plate. Randomized comparison of 95 angled blade plate (abp) versus distal femoral locking plate (lcp) did not support lcp to have superior performance in treatment of. A triple drill guide is available, but. Angle Blade Plate Distal Femur.
From www.ortimplant.com
95° ANGLED BLADE PLATE FOR OPERATION ON ADULT FEMUR 4,5 MM Ortimplant Angle Blade Plate Distal Femur Angled blade plates have a blade with a u profile and a fixed angle between the blade and the plate. A triple drill guide is available, but this has been designed for the proximal femur and use with 130° angled blade plates: Non‐surgical treatment, retrograde intramedullary implants, antegrade intramedullary implants. Randomized comparison of 95 angled blade plate (abp) versus distal. Angle Blade Plate Distal Femur.
From www.researchgate.net
Angle blade plate with ''U'' shaped blade profile. The slot in the Angle Blade Plate Distal Femur Current treatment options broadly include conservative management, external fixation, locked and nonlocked plating with or without. This makes it a little. A triple drill guide is available, but this has been designed for the proximal femur and use with 130° angled blade plates: In the proximal femur, the blade needs to be. Angled blade plates have a blade with a. Angle Blade Plate Distal Femur.
From ortho.com.pk
110 Angle Blade Plate for Intertrochanteric Femoral Osteotomies in Angle Blade Plate Distal Femur This makes it a little. In the proximal femur, the blade needs to be. Randomized comparison of 95 angled blade plate (abp) versus distal femoral locking plate (lcp) did not support lcp to have superior performance in treatment of. Current treatment options broadly include conservative management, external fixation, locked and nonlocked plating with or without. A triple drill guide is. Angle Blade Plate Distal Femur.
From surgivalley.co.uk
110 Degree Angle Blade Plates For Intertrochanteric Femoral Angle Blade Plate Distal Femur This makes it a little. Angled blade plates have a blade with a u profile and a fixed angle between the blade and the plate. In the proximal femur, the blade needs to be. Non‐surgical treatment, retrograde intramedullary implants, antegrade intramedullary implants. Current treatment options broadly include conservative management, external fixation, locked and nonlocked plating with or without. Randomized comparison. Angle Blade Plate Distal Femur.