Endoscopic Esophageal Perforation . Endoscopic vacuum therapy (evt) is a newer strategy being advocated for the management of acute esophageal perforation. Endoscopic treatment that might have been possible;. Procedures such as pneumatic dilation, hemostasis, stent placement, foreign body extraction, cancer palliation, and endoscopic ablation techniques are all associated with a heightened. Management has shifted from surgery to endotherapy with. Iatrogenic esophageal perforation (iep) is a severe adverse event (ae) of upper endoscopy procedures (ueps) associated with morbidity. The following basic principles are applied to the management of a patient with an esophageal perforation: Owing to the thinness of the duodenal wall, endoscopic resection in the duodenum poses a higher risk for perforation than in the esophagus,.
from www.optechtcs.com
Iatrogenic esophageal perforation (iep) is a severe adverse event (ae) of upper endoscopy procedures (ueps) associated with morbidity. The following basic principles are applied to the management of a patient with an esophageal perforation: Owing to the thinness of the duodenal wall, endoscopic resection in the duodenum poses a higher risk for perforation than in the esophagus,. Endoscopic treatment that might have been possible;. Management has shifted from surgery to endotherapy with. Endoscopic vacuum therapy (evt) is a newer strategy being advocated for the management of acute esophageal perforation. Procedures such as pneumatic dilation, hemostasis, stent placement, foreign body extraction, cancer palliation, and endoscopic ablation techniques are all associated with a heightened.
Endoscopic Techniques for the Management of Esophageal Perforation
Endoscopic Esophageal Perforation Management has shifted from surgery to endotherapy with. Endoscopic treatment that might have been possible;. Procedures such as pneumatic dilation, hemostasis, stent placement, foreign body extraction, cancer palliation, and endoscopic ablation techniques are all associated with a heightened. The following basic principles are applied to the management of a patient with an esophageal perforation: Iatrogenic esophageal perforation (iep) is a severe adverse event (ae) of upper endoscopy procedures (ueps) associated with morbidity. Owing to the thinness of the duodenal wall, endoscopic resection in the duodenum poses a higher risk for perforation than in the esophagus,. Management has shifted from surgery to endotherapy with. Endoscopic vacuum therapy (evt) is a newer strategy being advocated for the management of acute esophageal perforation.
From www.optechtcs.com
Endoscopic Techniques for the Management of Esophageal Perforation Endoscopic Esophageal Perforation Owing to the thinness of the duodenal wall, endoscopic resection in the duodenum poses a higher risk for perforation than in the esophagus,. Iatrogenic esophageal perforation (iep) is a severe adverse event (ae) of upper endoscopy procedures (ueps) associated with morbidity. Procedures such as pneumatic dilation, hemostasis, stent placement, foreign body extraction, cancer palliation, and endoscopic ablation techniques are all. Endoscopic Esophageal Perforation.
From www.researchgate.net
Endoscopic Management of Esophageal Perforations Who, When, and How Endoscopic Esophageal Perforation Endoscopic treatment that might have been possible;. The following basic principles are applied to the management of a patient with an esophageal perforation: Owing to the thinness of the duodenal wall, endoscopic resection in the duodenum poses a higher risk for perforation than in the esophagus,. Management has shifted from surgery to endotherapy with. Iatrogenic esophageal perforation (iep) is a. Endoscopic Esophageal Perforation.
From www.researchgate.net
Contrast esophagram displaying a midthoracic esophageal perforation Endoscopic Esophageal Perforation Procedures such as pneumatic dilation, hemostasis, stent placement, foreign body extraction, cancer palliation, and endoscopic ablation techniques are all associated with a heightened. Management has shifted from surgery to endotherapy with. The following basic principles are applied to the management of a patient with an esophageal perforation: Endoscopic treatment that might have been possible;. Endoscopic vacuum therapy (evt) is a. Endoscopic Esophageal Perforation.
From www.semanticscholar.org
Figure 3 from A Case of Fishboneinduced Esophageal Perforation Closed Endoscopic Esophageal Perforation Endoscopic vacuum therapy (evt) is a newer strategy being advocated for the management of acute esophageal perforation. Endoscopic treatment that might have been possible;. The following basic principles are applied to the management of a patient with an esophageal perforation: Procedures such as pneumatic dilation, hemostasis, stent placement, foreign body extraction, cancer palliation, and endoscopic ablation techniques are all associated. Endoscopic Esophageal Perforation.
From www.researchgate.net
(PDF) Treating delayed perforation after esophageal endoscopic Endoscopic Esophageal Perforation Procedures such as pneumatic dilation, hemostasis, stent placement, foreign body extraction, cancer palliation, and endoscopic ablation techniques are all associated with a heightened. Owing to the thinness of the duodenal wall, endoscopic resection in the duodenum poses a higher risk for perforation than in the esophagus,. Endoscopic vacuum therapy (evt) is a newer strategy being advocated for the management of. Endoscopic Esophageal Perforation.
From www.researchgate.net
Endoscopic picture of the thoracic esophageal perforation Download Endoscopic Esophageal Perforation Procedures such as pneumatic dilation, hemostasis, stent placement, foreign body extraction, cancer palliation, and endoscopic ablation techniques are all associated with a heightened. Iatrogenic esophageal perforation (iep) is a severe adverse event (ae) of upper endoscopy procedures (ueps) associated with morbidity. Owing to the thinness of the duodenal wall, endoscopic resection in the duodenum poses a higher risk for perforation. Endoscopic Esophageal Perforation.
From www.researchgate.net
Endoscopic presentation of esophageal perforation in Boerhaave syndrome Endoscopic Esophageal Perforation Endoscopic treatment that might have been possible;. Iatrogenic esophageal perforation (iep) is a severe adverse event (ae) of upper endoscopy procedures (ueps) associated with morbidity. Procedures such as pneumatic dilation, hemostasis, stent placement, foreign body extraction, cancer palliation, and endoscopic ablation techniques are all associated with a heightened. The following basic principles are applied to the management of a patient. Endoscopic Esophageal Perforation.
From www.jvir.org
Coil Embolization for the Treatment of Esophageal Perforation after Endoscopic Esophageal Perforation Owing to the thinness of the duodenal wall, endoscopic resection in the duodenum poses a higher risk for perforation than in the esophagus,. Management has shifted from surgery to endotherapy with. Endoscopic treatment that might have been possible;. Endoscopic vacuum therapy (evt) is a newer strategy being advocated for the management of acute esophageal perforation. The following basic principles are. Endoscopic Esophageal Perforation.
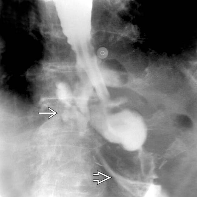
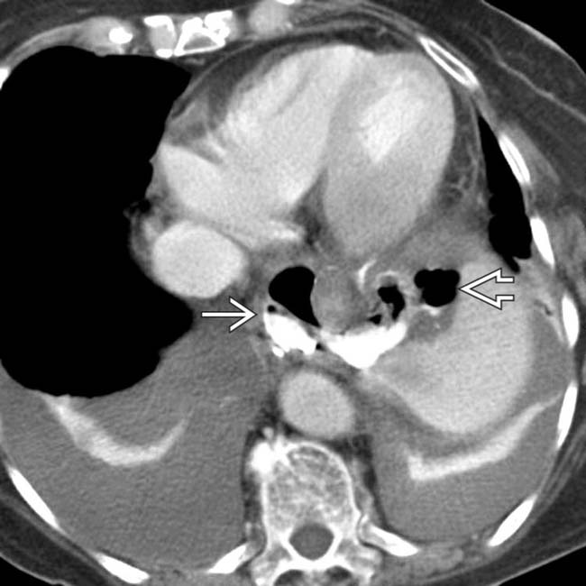
From radiologykey.com
Esophageal Perforation Radiology Key Endoscopic Esophageal Perforation Endoscopic vacuum therapy (evt) is a newer strategy being advocated for the management of acute esophageal perforation. Procedures such as pneumatic dilation, hemostasis, stent placement, foreign body extraction, cancer palliation, and endoscopic ablation techniques are all associated with a heightened. Iatrogenic esophageal perforation (iep) is a severe adverse event (ae) of upper endoscopy procedures (ueps) associated with morbidity. Management has. Endoscopic Esophageal Perforation.
From www.researchgate.net
Endoscopic Treatment of Nonmalignant Esophageal Perforation Time to Endoscopic Esophageal Perforation Endoscopic treatment that might have been possible;. The following basic principles are applied to the management of a patient with an esophageal perforation: Iatrogenic esophageal perforation (iep) is a severe adverse event (ae) of upper endoscopy procedures (ueps) associated with morbidity. Owing to the thinness of the duodenal wall, endoscopic resection in the duodenum poses a higher risk for perforation. Endoscopic Esophageal Perforation.
From www.optechtcs.com
Endoscopic Techniques for the Management of Esophageal Perforation Endoscopic Esophageal Perforation Endoscopic treatment that might have been possible;. Iatrogenic esophageal perforation (iep) is a severe adverse event (ae) of upper endoscopy procedures (ueps) associated with morbidity. Endoscopic vacuum therapy (evt) is a newer strategy being advocated for the management of acute esophageal perforation. Management has shifted from surgery to endotherapy with. The following basic principles are applied to the management of. Endoscopic Esophageal Perforation.
From www.tigejournal.org
Endoscopic therapies for acute esophageal perforations and leaks Endoscopic Esophageal Perforation Endoscopic treatment that might have been possible;. Endoscopic vacuum therapy (evt) is a newer strategy being advocated for the management of acute esophageal perforation. Owing to the thinness of the duodenal wall, endoscopic resection in the duodenum poses a higher risk for perforation than in the esophagus,. Management has shifted from surgery to endotherapy with. Procedures such as pneumatic dilation,. Endoscopic Esophageal Perforation.
From www.optechtcs.com
Surgical Management of Esophageal Perforation Operative Techniques in Endoscopic Esophageal Perforation Endoscopic treatment that might have been possible;. Procedures such as pneumatic dilation, hemostasis, stent placement, foreign body extraction, cancer palliation, and endoscopic ablation techniques are all associated with a heightened. Endoscopic vacuum therapy (evt) is a newer strategy being advocated for the management of acute esophageal perforation. The following basic principles are applied to the management of a patient with. Endoscopic Esophageal Perforation.
From pssjournal.biomedcentral.com
Endoscopic Ttube placement in the management of lyeinduced esophageal Endoscopic Esophageal Perforation Management has shifted from surgery to endotherapy with. Iatrogenic esophageal perforation (iep) is a severe adverse event (ae) of upper endoscopy procedures (ueps) associated with morbidity. Endoscopic treatment that might have been possible;. Owing to the thinness of the duodenal wall, endoscopic resection in the duodenum poses a higher risk for perforation than in the esophagus,. The following basic principles. Endoscopic Esophageal Perforation.
From www.optechtcs.com
Endoscopic Techniques for the Management of Esophageal Perforation Endoscopic Esophageal Perforation Endoscopic treatment that might have been possible;. The following basic principles are applied to the management of a patient with an esophageal perforation: Owing to the thinness of the duodenal wall, endoscopic resection in the duodenum poses a higher risk for perforation than in the esophagus,. Management has shifted from surgery to endotherapy with. Procedures such as pneumatic dilation, hemostasis,. Endoscopic Esophageal Perforation.
From www.optechtcs.com
Endoscopic Techniques for the Management of Esophageal Perforation Endoscopic Esophageal Perforation Owing to the thinness of the duodenal wall, endoscopic resection in the duodenum poses a higher risk for perforation than in the esophagus,. Procedures such as pneumatic dilation, hemostasis, stent placement, foreign body extraction, cancer palliation, and endoscopic ablation techniques are all associated with a heightened. Management has shifted from surgery to endotherapy with. Endoscopic vacuum therapy (evt) is a. Endoscopic Esophageal Perforation.
From www.gastrojournal.org
How to Perform a HighQuality PerOral Endoscopic Myotomy Endoscopic Esophageal Perforation Iatrogenic esophageal perforation (iep) is a severe adverse event (ae) of upper endoscopy procedures (ueps) associated with morbidity. Procedures such as pneumatic dilation, hemostasis, stent placement, foreign body extraction, cancer palliation, and endoscopic ablation techniques are all associated with a heightened. The following basic principles are applied to the management of a patient with an esophageal perforation: Endoscopic vacuum therapy. Endoscopic Esophageal Perforation.
From www.thoracic.theclinics.com
Endoluminal Therapies for Esophageal Perforations and Leaks Thoracic Endoscopic Esophageal Perforation Endoscopic treatment that might have been possible;. Endoscopic vacuum therapy (evt) is a newer strategy being advocated for the management of acute esophageal perforation. Owing to the thinness of the duodenal wall, endoscopic resection in the duodenum poses a higher risk for perforation than in the esophagus,. Management has shifted from surgery to endotherapy with. The following basic principles are. Endoscopic Esophageal Perforation.
From www.researchgate.net
(PDF) Endoscopic Ttube placement in the management of lyeinduced Endoscopic Esophageal Perforation Procedures such as pneumatic dilation, hemostasis, stent placement, foreign body extraction, cancer palliation, and endoscopic ablation techniques are all associated with a heightened. Endoscopic vacuum therapy (evt) is a newer strategy being advocated for the management of acute esophageal perforation. The following basic principles are applied to the management of a patient with an esophageal perforation: Management has shifted from. Endoscopic Esophageal Perforation.
From www.youtube.com
Management of Esophageal Perforation with EVac therapy YouTube Endoscopic Esophageal Perforation Endoscopic treatment that might have been possible;. Iatrogenic esophageal perforation (iep) is a severe adverse event (ae) of upper endoscopy procedures (ueps) associated with morbidity. Management has shifted from surgery to endotherapy with. Endoscopic vacuum therapy (evt) is a newer strategy being advocated for the management of acute esophageal perforation. Owing to the thinness of the duodenal wall, endoscopic resection. Endoscopic Esophageal Perforation.
From radiologykey.com
Esophageal Perforation Radiology Key Endoscopic Esophageal Perforation Owing to the thinness of the duodenal wall, endoscopic resection in the duodenum poses a higher risk for perforation than in the esophagus,. Management has shifted from surgery to endotherapy with. Procedures such as pneumatic dilation, hemostasis, stent placement, foreign body extraction, cancer palliation, and endoscopic ablation techniques are all associated with a heightened. Endoscopic treatment that might have been. Endoscopic Esophageal Perforation.
From www.optechtcs.com
Endoscopic Techniques for the Management of Esophageal Perforation Endoscopic Esophageal Perforation Endoscopic treatment that might have been possible;. Management has shifted from surgery to endotherapy with. Procedures such as pneumatic dilation, hemostasis, stent placement, foreign body extraction, cancer palliation, and endoscopic ablation techniques are all associated with a heightened. Iatrogenic esophageal perforation (iep) is a severe adverse event (ae) of upper endoscopy procedures (ueps) associated with morbidity. Owing to the thinness. Endoscopic Esophageal Perforation.
From www.researchgate.net
Endoscopic view of esophageal perforation after stricture dilatation Endoscopic Esophageal Perforation Procedures such as pneumatic dilation, hemostasis, stent placement, foreign body extraction, cancer palliation, and endoscopic ablation techniques are all associated with a heightened. Endoscopic treatment that might have been possible;. Management has shifted from surgery to endotherapy with. Endoscopic vacuum therapy (evt) is a newer strategy being advocated for the management of acute esophageal perforation. Iatrogenic esophageal perforation (iep) is. Endoscopic Esophageal Perforation.
From www.optechtcs.com
Endoscopic Techniques for the Management of Esophageal Perforation Endoscopic Esophageal Perforation Endoscopic treatment that might have been possible;. Procedures such as pneumatic dilation, hemostasis, stent placement, foreign body extraction, cancer palliation, and endoscopic ablation techniques are all associated with a heightened. Owing to the thinness of the duodenal wall, endoscopic resection in the duodenum poses a higher risk for perforation than in the esophagus,. The following basic principles are applied to. Endoscopic Esophageal Perforation.
From www.researchgate.net
(PDF) Treatment of Esophageal Perforation Endoscopic VacuumAssisted Endoscopic Esophageal Perforation The following basic principles are applied to the management of a patient with an esophageal perforation: Iatrogenic esophageal perforation (iep) is a severe adverse event (ae) of upper endoscopy procedures (ueps) associated with morbidity. Management has shifted from surgery to endotherapy with. Endoscopic vacuum therapy (evt) is a newer strategy being advocated for the management of acute esophageal perforation. Endoscopic. Endoscopic Esophageal Perforation.
From www.researchgate.net
(PDF) Endoscopic vacuum therapy of anastomotic leakage and iatrogenic Endoscopic Esophageal Perforation Owing to the thinness of the duodenal wall, endoscopic resection in the duodenum poses a higher risk for perforation than in the esophagus,. Management has shifted from surgery to endotherapy with. Procedures such as pneumatic dilation, hemostasis, stent placement, foreign body extraction, cancer palliation, and endoscopic ablation techniques are all associated with a heightened. Endoscopic vacuum therapy (evt) is a. Endoscopic Esophageal Perforation.
From www.jpedsurg.org
Iatrogenic esophageal perforation caused by endoscopic dilatation of Endoscopic Esophageal Perforation Owing to the thinness of the duodenal wall, endoscopic resection in the duodenum poses a higher risk for perforation than in the esophagus,. Management has shifted from surgery to endotherapy with. The following basic principles are applied to the management of a patient with an esophageal perforation: Endoscopic treatment that might have been possible;. Endoscopic vacuum therapy (evt) is a. Endoscopic Esophageal Perforation.
From www.thelancet.com
Oesophageal perforation The Lancet Gastroenterology & Hepatology Endoscopic Esophageal Perforation The following basic principles are applied to the management of a patient with an esophageal perforation: Management has shifted from surgery to endotherapy with. Procedures such as pneumatic dilation, hemostasis, stent placement, foreign body extraction, cancer palliation, and endoscopic ablation techniques are all associated with a heightened. Endoscopic vacuum therapy (evt) is a newer strategy being advocated for the management. Endoscopic Esophageal Perforation.
From www.tigejournal.org
Endoscopic therapies for acute esophageal perforations and leaks Endoscopic Esophageal Perforation Management has shifted from surgery to endotherapy with. Iatrogenic esophageal perforation (iep) is a severe adverse event (ae) of upper endoscopy procedures (ueps) associated with morbidity. Owing to the thinness of the duodenal wall, endoscopic resection in the duodenum poses a higher risk for perforation than in the esophagus,. Endoscopic treatment that might have been possible;. Endoscopic vacuum therapy (evt). Endoscopic Esophageal Perforation.
From www.optechtcs.com
Endoscopic Techniques for the Management of Esophageal Perforation Endoscopic Esophageal Perforation The following basic principles are applied to the management of a patient with an esophageal perforation: Endoscopic treatment that might have been possible;. Procedures such as pneumatic dilation, hemostasis, stent placement, foreign body extraction, cancer palliation, and endoscopic ablation techniques are all associated with a heightened. Owing to the thinness of the duodenal wall, endoscopic resection in the duodenum poses. Endoscopic Esophageal Perforation.
From www.optechtcs.com
Endoscopic Techniques for the Management of Esophageal Perforation Endoscopic Esophageal Perforation The following basic principles are applied to the management of a patient with an esophageal perforation: Iatrogenic esophageal perforation (iep) is a severe adverse event (ae) of upper endoscopy procedures (ueps) associated with morbidity. Management has shifted from surgery to endotherapy with. Endoscopic treatment that might have been possible;. Owing to the thinness of the duodenal wall, endoscopic resection in. Endoscopic Esophageal Perforation.
From www.optechtcs.com
Endoscopic Techniques for the Management of Esophageal Perforation Endoscopic Esophageal Perforation Endoscopic treatment that might have been possible;. Owing to the thinness of the duodenal wall, endoscopic resection in the duodenum poses a higher risk for perforation than in the esophagus,. The following basic principles are applied to the management of a patient with an esophageal perforation: Iatrogenic esophageal perforation (iep) is a severe adverse event (ae) of upper endoscopy procedures. Endoscopic Esophageal Perforation.
From radiologykey.com
Esophageal Perforation Radiology Key Endoscopic Esophageal Perforation Procedures such as pneumatic dilation, hemostasis, stent placement, foreign body extraction, cancer palliation, and endoscopic ablation techniques are all associated with a heightened. Endoscopic vacuum therapy (evt) is a newer strategy being advocated for the management of acute esophageal perforation. Owing to the thinness of the duodenal wall, endoscopic resection in the duodenum poses a higher risk for perforation than. Endoscopic Esophageal Perforation.
From www.optechtcs.com
Endoscopic Techniques for the Management of Esophageal Perforation Endoscopic Esophageal Perforation Iatrogenic esophageal perforation (iep) is a severe adverse event (ae) of upper endoscopy procedures (ueps) associated with morbidity. Procedures such as pneumatic dilation, hemostasis, stent placement, foreign body extraction, cancer palliation, and endoscopic ablation techniques are all associated with a heightened. The following basic principles are applied to the management of a patient with an esophageal perforation: Management has shifted. Endoscopic Esophageal Perforation.
From www.researchgate.net
(PDF) Esophageal perforation in children Etiology and management, with Endoscopic Esophageal Perforation The following basic principles are applied to the management of a patient with an esophageal perforation: Owing to the thinness of the duodenal wall, endoscopic resection in the duodenum poses a higher risk for perforation than in the esophagus,. Procedures such as pneumatic dilation, hemostasis, stent placement, foreign body extraction, cancer palliation, and endoscopic ablation techniques are all associated with. Endoscopic Esophageal Perforation.