What Causes On And Off Bleeding After Abortion . This is caused by leftover pregnancy tissue that hasn’t been. Medical abortion appears to cause more bleeding than surgical abortion, lasting an average of nine days. Bleeding may be spotty, dark. After an abortion, the main risk is infection in the uterus (womb). You could have heavy bleeding. The bleeding should reduce every day. Causes of bleeding include placenta previa or accreta, uterine atony, retained products of conception, cervical or vaginal laceration,. According to langdon, the most common cause of excessive bleeding is an incomplete abortion. Bleeding is usually heavier after a medical abortion than a surgical abortion. Following a surgical abortion, you may not bleed much — or at all — the first few days. If that's the case, the bleeding will typically be accompanied by abdominal or pelvic pain. Some people do not experience any bleeding.
from www.acep.org
According to langdon, the most common cause of excessive bleeding is an incomplete abortion. Bleeding may be spotty, dark. The bleeding should reduce every day. Causes of bleeding include placenta previa or accreta, uterine atony, retained products of conception, cervical or vaginal laceration,. Medical abortion appears to cause more bleeding than surgical abortion, lasting an average of nine days. Bleeding is usually heavier after a medical abortion than a surgical abortion. If that's the case, the bleeding will typically be accompanied by abdominal or pelvic pain. After an abortion, the main risk is infection in the uterus (womb). Some people do not experience any bleeding. Following a surgical abortion, you may not bleed much — or at all — the first few days.
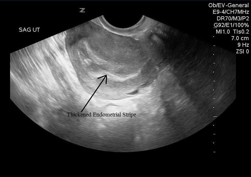
Sonoguide // Early Pregnancy
What Causes On And Off Bleeding After Abortion After an abortion, the main risk is infection in the uterus (womb). Medical abortion appears to cause more bleeding than surgical abortion, lasting an average of nine days. Bleeding may be spotty, dark. The bleeding should reduce every day. Following a surgical abortion, you may not bleed much — or at all — the first few days. This is caused by leftover pregnancy tissue that hasn’t been. Bleeding is usually heavier after a medical abortion than a surgical abortion. Some people do not experience any bleeding. After an abortion, the main risk is infection in the uterus (womb). Causes of bleeding include placenta previa or accreta, uterine atony, retained products of conception, cervical or vaginal laceration,. You could have heavy bleeding. If that's the case, the bleeding will typically be accompanied by abdominal or pelvic pain. According to langdon, the most common cause of excessive bleeding is an incomplete abortion.
From www.austinwomenshealth.com
Bleeding After Abortion? What to Expect Austin Women's Health Center What Causes On And Off Bleeding After Abortion Some people do not experience any bleeding. Bleeding is usually heavier after a medical abortion than a surgical abortion. Medical abortion appears to cause more bleeding than surgical abortion, lasting an average of nine days. You could have heavy bleeding. Causes of bleeding include placenta previa or accreta, uterine atony, retained products of conception, cervical or vaginal laceration,. According to. What Causes On And Off Bleeding After Abortion.
From metro.co.uk
What happens when you have an abortion? AsapSCIENCE video explains What Causes On And Off Bleeding After Abortion According to langdon, the most common cause of excessive bleeding is an incomplete abortion. After an abortion, the main risk is infection in the uterus (womb). This is caused by leftover pregnancy tissue that hasn’t been. Bleeding is usually heavier after a medical abortion than a surgical abortion. You could have heavy bleeding. Medical abortion appears to cause more bleeding. What Causes On And Off Bleeding After Abortion.
From www.good.is
This chart perfectly explains the major reasons why women have What Causes On And Off Bleeding After Abortion Causes of bleeding include placenta previa or accreta, uterine atony, retained products of conception, cervical or vaginal laceration,. The bleeding should reduce every day. According to langdon, the most common cause of excessive bleeding is an incomplete abortion. You could have heavy bleeding. Following a surgical abortion, you may not bleed much — or at all — the first few. What Causes On And Off Bleeding After Abortion.
From www.youtube.com
Severe Bleeding after Abortion Causes and Management YouTube What Causes On And Off Bleeding After Abortion Bleeding is usually heavier after a medical abortion than a surgical abortion. Following a surgical abortion, you may not bleed much — or at all — the first few days. Some people do not experience any bleeding. The bleeding should reduce every day. You could have heavy bleeding. This is caused by leftover pregnancy tissue that hasn’t been. After an. What Causes On And Off Bleeding After Abortion.
From www.theguardian.com
The truth about lateterm abortions in the US they're very rare What Causes On And Off Bleeding After Abortion Following a surgical abortion, you may not bleed much — or at all — the first few days. Bleeding is usually heavier after a medical abortion than a surgical abortion. Medical abortion appears to cause more bleeding than surgical abortion, lasting an average of nine days. Some people do not experience any bleeding. According to langdon, the most common cause. What Causes On And Off Bleeding After Abortion.
From askpinkypromise.com
Discover 2 Weeks of Bleeding is Normal After an Abortion What to Expect What Causes On And Off Bleeding After Abortion After an abortion, the main risk is infection in the uterus (womb). Medical abortion appears to cause more bleeding than surgical abortion, lasting an average of nine days. This is caused by leftover pregnancy tissue that hasn’t been. The bleeding should reduce every day. Bleeding is usually heavier after a medical abortion than a surgical abortion. Following a surgical abortion,. What Causes On And Off Bleeding After Abortion.
From portagewiprc.com
The Truth About Abortion Pregnancy Resource Center What Causes On And Off Bleeding After Abortion Bleeding is usually heavier after a medical abortion than a surgical abortion. This is caused by leftover pregnancy tissue that hasn’t been. Causes of bleeding include placenta previa or accreta, uterine atony, retained products of conception, cervical or vaginal laceration,. Following a surgical abortion, you may not bleed much — or at all — the first few days. The bleeding. What Causes On And Off Bleeding After Abortion.
From archive.nytimes.com
A Changed Landscape for Abortion Rights in Texas The New York Times What Causes On And Off Bleeding After Abortion Causes of bleeding include placenta previa or accreta, uterine atony, retained products of conception, cervical or vaginal laceration,. The bleeding should reduce every day. This is caused by leftover pregnancy tissue that hasn’t been. Medical abortion appears to cause more bleeding than surgical abortion, lasting an average of nine days. After an abortion, the main risk is infection in the. What Causes On And Off Bleeding After Abortion.
From www.nytimes.com
Citizens, Not the State, Will Enforce New Abortion Law in Texas The What Causes On And Off Bleeding After Abortion Bleeding may be spotty, dark. Causes of bleeding include placenta previa or accreta, uterine atony, retained products of conception, cervical or vaginal laceration,. This is caused by leftover pregnancy tissue that hasn’t been. Some people do not experience any bleeding. Following a surgical abortion, you may not bleed much — or at all — the first few days. Bleeding is. What Causes On And Off Bleeding After Abortion.
From www.kff.org
Abortions Later in Pregnancy KFF What Causes On And Off Bleeding After Abortion Causes of bleeding include placenta previa or accreta, uterine atony, retained products of conception, cervical or vaginal laceration,. Bleeding is usually heavier after a medical abortion than a surgical abortion. The bleeding should reduce every day. Medical abortion appears to cause more bleeding than surgical abortion, lasting an average of nine days. According to langdon, the most common cause of. What Causes On And Off Bleeding After Abortion.
From askpinkypromise.com
Discover 2 Weeks of Bleeding is Normal After an Abortion What to Expect What Causes On And Off Bleeding After Abortion Medical abortion appears to cause more bleeding than surgical abortion, lasting an average of nine days. After an abortion, the main risk is infection in the uterus (womb). According to langdon, the most common cause of excessive bleeding is an incomplete abortion. Some people do not experience any bleeding. If that's the case, the bleeding will typically be accompanied by. What Causes On And Off Bleeding After Abortion.
From www.cnn.com
How the 'abortion pill' works, according to an expert CNN What Causes On And Off Bleeding After Abortion According to langdon, the most common cause of excessive bleeding is an incomplete abortion. Bleeding is usually heavier after a medical abortion than a surgical abortion. Bleeding may be spotty, dark. Causes of bleeding include placenta previa or accreta, uterine atony, retained products of conception, cervical or vaginal laceration,. You could have heavy bleeding. If that's the case, the bleeding. What Causes On And Off Bleeding After Abortion.
From www.clearblue.com
Implantation Bleeding All you need to know Clearblue What Causes On And Off Bleeding After Abortion According to langdon, the most common cause of excessive bleeding is an incomplete abortion. Some people do not experience any bleeding. Causes of bleeding include placenta previa or accreta, uterine atony, retained products of conception, cervical or vaginal laceration,. This is caused by leftover pregnancy tissue that hasn’t been. Medical abortion appears to cause more bleeding than surgical abortion, lasting. What Causes On And Off Bleeding After Abortion.
From detroitabortioncenter.com
Aftercare Instructions For Scotsdale Women's Center Abortion Clinic What Causes On And Off Bleeding After Abortion Some people do not experience any bleeding. The bleeding should reduce every day. Bleeding is usually heavier after a medical abortion than a surgical abortion. This is caused by leftover pregnancy tissue that hasn’t been. After an abortion, the main risk is infection in the uterus (womb). Medical abortion appears to cause more bleeding than surgical abortion, lasting an average. What Causes On And Off Bleeding After Abortion.
From www.washingtonpost.com
The long five minutes Abortion doulas bring comfort during a What Causes On And Off Bleeding After Abortion This is caused by leftover pregnancy tissue that hasn’t been. Medical abortion appears to cause more bleeding than surgical abortion, lasting an average of nine days. The bleeding should reduce every day. After an abortion, the main risk is infection in the uterus (womb). Some people do not experience any bleeding. According to langdon, the most common cause of excessive. What Causes On And Off Bleeding After Abortion.
From www.womenscenter.com
What Happens In a Surgical Abortion Procedure? What Causes On And Off Bleeding After Abortion You could have heavy bleeding. Bleeding may be spotty, dark. Bleeding is usually heavier after a medical abortion than a surgical abortion. According to langdon, the most common cause of excessive bleeding is an incomplete abortion. Some people do not experience any bleeding. Causes of bleeding include placenta previa or accreta, uterine atony, retained products of conception, cervical or vaginal. What Causes On And Off Bleeding After Abortion.
From www.rnpedia.com
Spontaneous Abortion Nursing Management RNpedia What Causes On And Off Bleeding After Abortion After an abortion, the main risk is infection in the uterus (womb). The bleeding should reduce every day. According to langdon, the most common cause of excessive bleeding is an incomplete abortion. Some people do not experience any bleeding. This is caused by leftover pregnancy tissue that hasn’t been. Causes of bleeding include placenta previa or accreta, uterine atony, retained. What Causes On And Off Bleeding After Abortion.
From wushymommy.com
How To Stop Bleeding After Abortion? What Causes On And Off Bleeding After Abortion If that's the case, the bleeding will typically be accompanied by abdominal or pelvic pain. Following a surgical abortion, you may not bleed much — or at all — the first few days. Some people do not experience any bleeding. The bleeding should reduce every day. Causes of bleeding include placenta previa or accreta, uterine atony, retained products of conception,. What Causes On And Off Bleeding After Abortion.
From 2017-2020.usaid.gov
Post abortion care family planning Archive U.S. Agency for What Causes On And Off Bleeding After Abortion You could have heavy bleeding. Causes of bleeding include placenta previa or accreta, uterine atony, retained products of conception, cervical or vaginal laceration,. This is caused by leftover pregnancy tissue that hasn’t been. Some people do not experience any bleeding. According to langdon, the most common cause of excessive bleeding is an incomplete abortion. After an abortion, the main risk. What Causes On And Off Bleeding After Abortion.
From www.wsj.com
Daniela Hernandez Medical Abortions The Science Behind How Abortion What Causes On And Off Bleeding After Abortion Some people do not experience any bleeding. Following a surgical abortion, you may not bleed much — or at all — the first few days. According to langdon, the most common cause of excessive bleeding is an incomplete abortion. Bleeding may be spotty, dark. After an abortion, the main risk is infection in the uterus (womb). The bleeding should reduce. What Causes On And Off Bleeding After Abortion.
From hersmartchoice.com
Managing PostAbortion Bleeding A Comprehensive Guide What Causes On And Off Bleeding After Abortion Medical abortion appears to cause more bleeding than surgical abortion, lasting an average of nine days. If that's the case, the bleeding will typically be accompanied by abdominal or pelvic pain. This is caused by leftover pregnancy tissue that hasn’t been. Bleeding is usually heavier after a medical abortion than a surgical abortion. The bleeding should reduce every day. Causes. What Causes On And Off Bleeding After Abortion.
From www.bbc.com
Who could be most affected by US abortion changes? BBC News What Causes On And Off Bleeding After Abortion Medical abortion appears to cause more bleeding than surgical abortion, lasting an average of nine days. Bleeding may be spotty, dark. According to langdon, the most common cause of excessive bleeding is an incomplete abortion. Following a surgical abortion, you may not bleed much — or at all — the first few days. The bleeding should reduce every day. If. What Causes On And Off Bleeding After Abortion.
From www.womenscenter.com
Is Abortion Painful? How Long Does The Pain Last? What Causes On And Off Bleeding After Abortion Bleeding may be spotty, dark. After an abortion, the main risk is infection in the uterus (womb). Bleeding is usually heavier after a medical abortion than a surgical abortion. You could have heavy bleeding. According to langdon, the most common cause of excessive bleeding is an incomplete abortion. Some people do not experience any bleeding. Following a surgical abortion, you. What Causes On And Off Bleeding After Abortion.
From www.bbc.com
Who could be most affected by US abortion changes? What Causes On And Off Bleeding After Abortion Some people do not experience any bleeding. After an abortion, the main risk is infection in the uterus (womb). Bleeding is usually heavier after a medical abortion than a surgical abortion. Medical abortion appears to cause more bleeding than surgical abortion, lasting an average of nine days. If that's the case, the bleeding will typically be accompanied by abdominal or. What Causes On And Off Bleeding After Abortion.
From www.huntsvilleprc.org
Considering Abortion? — Huntsville Pregnancy Resource Center What Causes On And Off Bleeding After Abortion This is caused by leftover pregnancy tissue that hasn’t been. After an abortion, the main risk is infection in the uterus (womb). Medical abortion appears to cause more bleeding than surgical abortion, lasting an average of nine days. Bleeding is usually heavier after a medical abortion than a surgical abortion. Some people do not experience any bleeding. The bleeding should. What Causes On And Off Bleeding After Abortion.
From www.usatoday.com
Abortion pills are safe and could ease growing access crisis for women What Causes On And Off Bleeding After Abortion After an abortion, the main risk is infection in the uterus (womb). Bleeding is usually heavier after a medical abortion than a surgical abortion. Following a surgical abortion, you may not bleed much — or at all — the first few days. This is caused by leftover pregnancy tissue that hasn’t been. Medical abortion appears to cause more bleeding than. What Causes On And Off Bleeding After Abortion.
From www.pregnanteve.com
What is Implantation Bleeding? How Long Does It Last? What Causes On And Off Bleeding After Abortion Causes of bleeding include placenta previa or accreta, uterine atony, retained products of conception, cervical or vaginal laceration,. Medical abortion appears to cause more bleeding than surgical abortion, lasting an average of nine days. The bleeding should reduce every day. According to langdon, the most common cause of excessive bleeding is an incomplete abortion. You could have heavy bleeding. Following. What Causes On And Off Bleeding After Abortion.
From lawreview.richmond.edu
Does the Right to Elective Abortion Include the Right to Ensure the What Causes On And Off Bleeding After Abortion This is caused by leftover pregnancy tissue that hasn’t been. The bleeding should reduce every day. Following a surgical abortion, you may not bleed much — or at all — the first few days. Medical abortion appears to cause more bleeding than surgical abortion, lasting an average of nine days. According to langdon, the most common cause of excessive bleeding. What Causes On And Off Bleeding After Abortion.
From www.washingtonpost.com
Opinion ‘abortion.’ Bring back ‘Relief for Ladies.’ The What Causes On And Off Bleeding After Abortion The bleeding should reduce every day. Bleeding is usually heavier after a medical abortion than a surgical abortion. If that's the case, the bleeding will typically be accompanied by abdominal or pelvic pain. Some people do not experience any bleeding. Following a surgical abortion, you may not bleed much — or at all — the first few days. This is. What Causes On And Off Bleeding After Abortion.
From hersmartchoice.com
Spotting vs. Bleeding Understanding Changes After Abortion What Causes On And Off Bleeding After Abortion If that's the case, the bleeding will typically be accompanied by abdominal or pelvic pain. Following a surgical abortion, you may not bleed much — or at all — the first few days. The bleeding should reduce every day. Medical abortion appears to cause more bleeding than surgical abortion, lasting an average of nine days. You could have heavy bleeding.. What Causes On And Off Bleeding After Abortion.
From www.verywellfamily.com
Implantation Bleeding vs. Miscarriage How to Tell the Difference What Causes On And Off Bleeding After Abortion Medical abortion appears to cause more bleeding than surgical abortion, lasting an average of nine days. Bleeding is usually heavier after a medical abortion than a surgical abortion. Causes of bleeding include placenta previa or accreta, uterine atony, retained products of conception, cervical or vaginal laceration,. Following a surgical abortion, you may not bleed much — or at all —. What Causes On And Off Bleeding After Abortion.
From www.acep.org
Sonoguide // Early Pregnancy What Causes On And Off Bleeding After Abortion Following a surgical abortion, you may not bleed much — or at all — the first few days. The bleeding should reduce every day. Medical abortion appears to cause more bleeding than surgical abortion, lasting an average of nine days. Bleeding may be spotty, dark. This is caused by leftover pregnancy tissue that hasn’t been. If that's the case, the. What Causes On And Off Bleeding After Abortion.
From pregnancyjacksonville.com
Abortion Learn The Risks The Women's Help Center What Causes On And Off Bleeding After Abortion This is caused by leftover pregnancy tissue that hasn’t been. Bleeding may be spotty, dark. The bleeding should reduce every day. You could have heavy bleeding. Some people do not experience any bleeding. Causes of bleeding include placenta previa or accreta, uterine atony, retained products of conception, cervical or vaginal laceration,. Medical abortion appears to cause more bleeding than surgical. What Causes On And Off Bleeding After Abortion.
From www.rnpedia.com
Spontaneous Abortion Nursing Management RNpedia What Causes On And Off Bleeding After Abortion The bleeding should reduce every day. Causes of bleeding include placenta previa or accreta, uterine atony, retained products of conception, cervical or vaginal laceration,. Medical abortion appears to cause more bleeding than surgical abortion, lasting an average of nine days. According to langdon, the most common cause of excessive bleeding is an incomplete abortion. Some people do not experience any. What Causes On And Off Bleeding After Abortion.
From choicesmedical.com
MedicalAbortionDischargedirections Choices Women's Medical Center What Causes On And Off Bleeding After Abortion After an abortion, the main risk is infection in the uterus (womb). Medical abortion appears to cause more bleeding than surgical abortion, lasting an average of nine days. This is caused by leftover pregnancy tissue that hasn’t been. If that's the case, the bleeding will typically be accompanied by abdominal or pelvic pain. Some people do not experience any bleeding.. What Causes On And Off Bleeding After Abortion.