What Is Resin Laminate Veneers . Veneers are thin teeth covers that are attached to the front surface of your teeth to cover imperfections and protect enamel. Laminate veneers are thin shells made of. But what is the difference between the two? Laminate veneers are a type of veneers and a popular option in cosmetic dentistry. In general, veneers are currently the biggest trend in. Composite veneers are a thin shell of material made of resin, designed to improve the appearance of someone’s teeth, explains fatima khan, d.d.s., dentist at altus dental and co. They are becoming increasingly popular in the us thanks to their affordability compared to other restorative dentistry procedures. Dental veneers are most commonly made out of porcelain or composite resin and require intensive prep work. What are laminate veneers and how do they differ from traditional crowns or fillings? Dental laminates and dental veneers are two common procedures done to improve the overall appearances of someone's smile.
from www.researchgate.net
What are laminate veneers and how do they differ from traditional crowns or fillings? But what is the difference between the two? Dental laminates and dental veneers are two common procedures done to improve the overall appearances of someone's smile. Dental veneers are most commonly made out of porcelain or composite resin and require intensive prep work. In general, veneers are currently the biggest trend in. Laminate veneers are thin shells made of. Composite veneers are a thin shell of material made of resin, designed to improve the appearance of someone’s teeth, explains fatima khan, d.d.s., dentist at altus dental and co. They are becoming increasingly popular in the us thanks to their affordability compared to other restorative dentistry procedures. Veneers are thin teeth covers that are attached to the front surface of your teeth to cover imperfections and protect enamel. Laminate veneers are a type of veneers and a popular option in cosmetic dentistry.
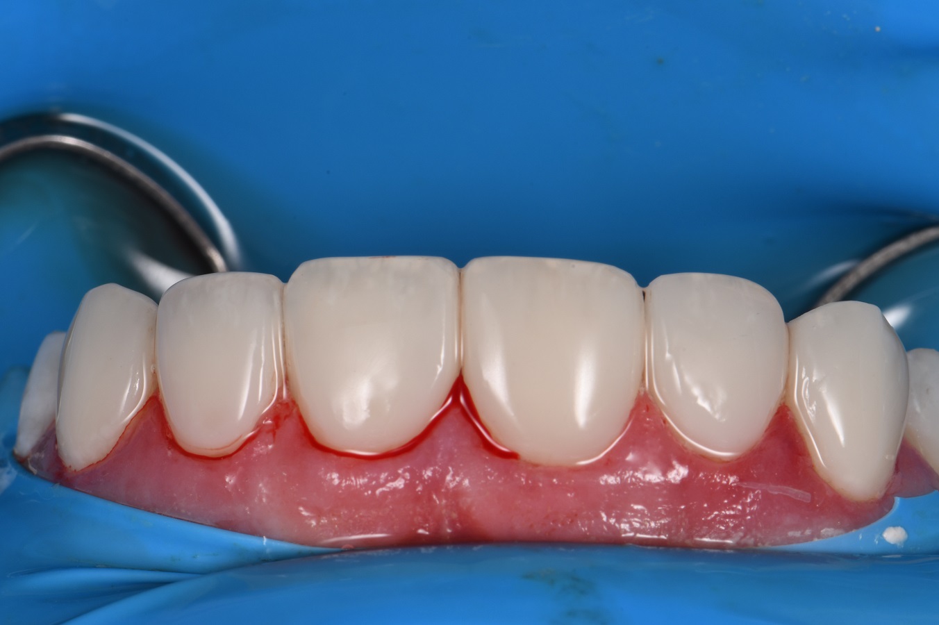
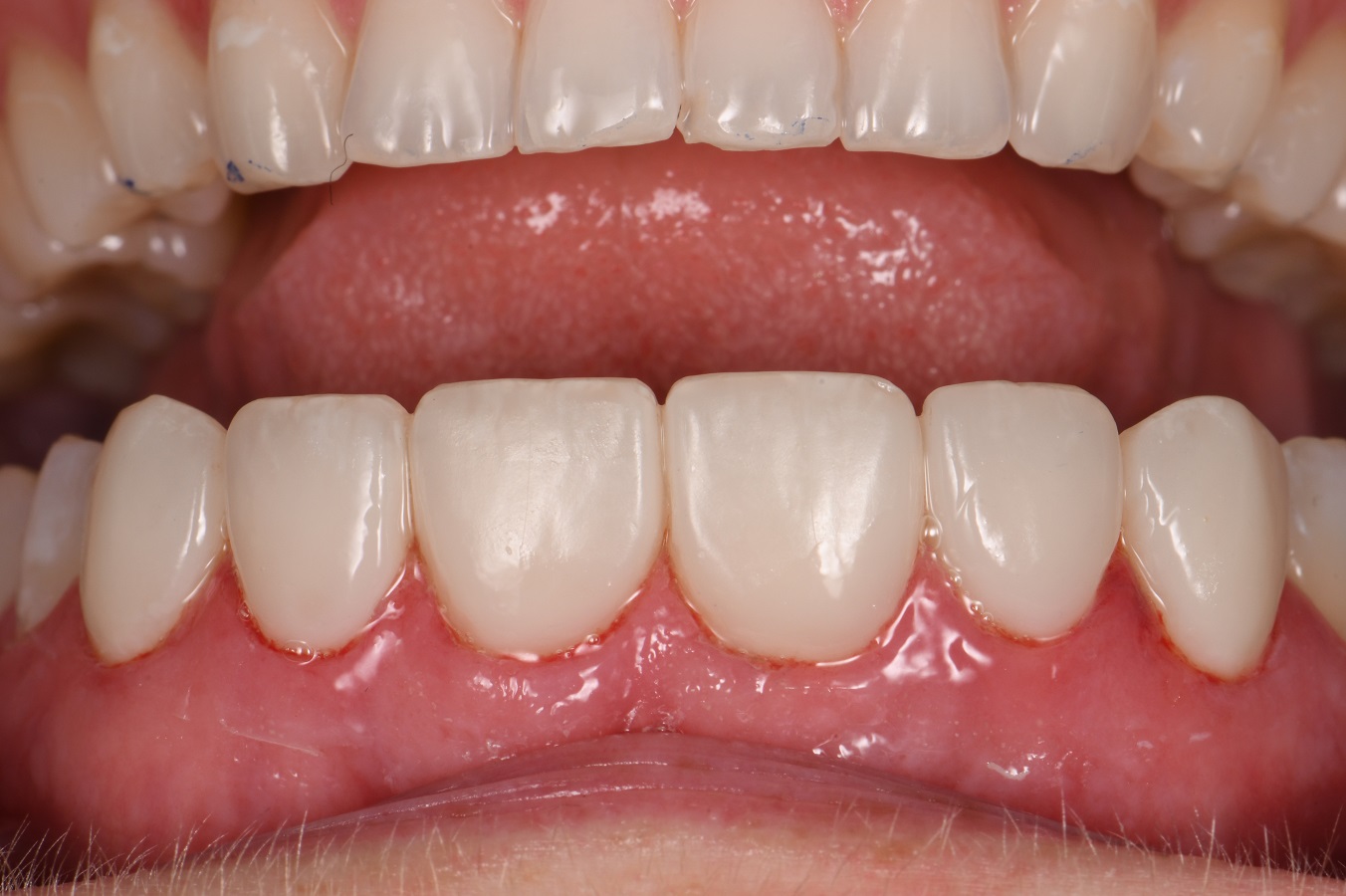
Facial view of the completed direct composite resin veneers for
What Is Resin Laminate Veneers Composite veneers are a thin shell of material made of resin, designed to improve the appearance of someone’s teeth, explains fatima khan, d.d.s., dentist at altus dental and co. But what is the difference between the two? Dental laminates and dental veneers are two common procedures done to improve the overall appearances of someone's smile. Dental veneers are most commonly made out of porcelain or composite resin and require intensive prep work. What are laminate veneers and how do they differ from traditional crowns or fillings? In general, veneers are currently the biggest trend in. Veneers are thin teeth covers that are attached to the front surface of your teeth to cover imperfections and protect enamel. Laminate veneers are a type of veneers and a popular option in cosmetic dentistry. Composite veneers are a thin shell of material made of resin, designed to improve the appearance of someone’s teeth, explains fatima khan, d.d.s., dentist at altus dental and co. Laminate veneers are thin shells made of. They are becoming increasingly popular in the us thanks to their affordability compared to other restorative dentistry procedures.
From www.northbrisbanedental.com.au
Composite Resin Veneers Wooloowin QLD Before & After Photos What Is Resin Laminate Veneers Laminate veneers are a type of veneers and a popular option in cosmetic dentistry. Laminate veneers are thin shells made of. Dental laminates and dental veneers are two common procedures done to improve the overall appearances of someone's smile. They are becoming increasingly popular in the us thanks to their affordability compared to other restorative dentistry procedures. Composite veneers are. What Is Resin Laminate Veneers.
From dentalclinicsturkey.com
Ceramic Laminate Veneer Dental Clinics Turkey What Is Resin Laminate Veneers What are laminate veneers and how do they differ from traditional crowns or fillings? Laminate veneers are thin shells made of. They are becoming increasingly popular in the us thanks to their affordability compared to other restorative dentistry procedures. Composite veneers are a thin shell of material made of resin, designed to improve the appearance of someone’s teeth, explains fatima. What Is Resin Laminate Veneers.
From www.clarencetam.co.nz
Resin Laminates Composite Veneers Auckland What Is Resin Laminate Veneers What are laminate veneers and how do they differ from traditional crowns or fillings? Composite veneers are a thin shell of material made of resin, designed to improve the appearance of someone’s teeth, explains fatima khan, d.d.s., dentist at altus dental and co. Laminate veneers are a type of veneers and a popular option in cosmetic dentistry. Dental veneers are. What Is Resin Laminate Veneers.
From www.clarencetam.co.nz
Resin Laminates Composite Veneers Auckland What Is Resin Laminate Veneers They are becoming increasingly popular in the us thanks to their affordability compared to other restorative dentistry procedures. Veneers are thin teeth covers that are attached to the front surface of your teeth to cover imperfections and protect enamel. What are laminate veneers and how do they differ from traditional crowns or fillings? Laminate veneers are thin shells made of.. What Is Resin Laminate Veneers.
From www.sachardental.com
Resin Bonding Veneers NYC Dr Sachar What Is Resin Laminate Veneers But what is the difference between the two? Dental veneers are most commonly made out of porcelain or composite resin and require intensive prep work. Composite veneers are a thin shell of material made of resin, designed to improve the appearance of someone’s teeth, explains fatima khan, d.d.s., dentist at altus dental and co. In general, veneers are currently the. What Is Resin Laminate Veneers.
From www.dfydental.com.au
Porcelain Dental Veneers Dental Veneers Treatment DFY Dental What Is Resin Laminate Veneers Laminate veneers are a type of veneers and a popular option in cosmetic dentistry. They are becoming increasingly popular in the us thanks to their affordability compared to other restorative dentistry procedures. Dental veneers are most commonly made out of porcelain or composite resin and require intensive prep work. Composite veneers are a thin shell of material made of resin,. What Is Resin Laminate Veneers.
From www.clarencetam.co.nz
Resin Laminates Composite Veneers Auckland What Is Resin Laminate Veneers But what is the difference between the two? Dental veneers are most commonly made out of porcelain or composite resin and require intensive prep work. Laminate veneers are a type of veneers and a popular option in cosmetic dentistry. What are laminate veneers and how do they differ from traditional crowns or fillings? Veneers are thin teeth covers that are. What Is Resin Laminate Veneers.
From smiledentistgoa.com
Ceramic Veneers Smile Dental Clinic Baga What Is Resin Laminate Veneers Laminate veneers are a type of veneers and a popular option in cosmetic dentistry. Dental veneers are most commonly made out of porcelain or composite resin and require intensive prep work. Dental laminates and dental veneers are two common procedures done to improve the overall appearances of someone's smile. Laminate veneers are thin shells made of. In general, veneers are. What Is Resin Laminate Veneers.
From elevatedental.ph
Things you need to know about Porcelain Laminate Veneer What Is Resin Laminate Veneers Veneers are thin teeth covers that are attached to the front surface of your teeth to cover imperfections and protect enamel. Dental laminates and dental veneers are two common procedures done to improve the overall appearances of someone's smile. They are becoming increasingly popular in the us thanks to their affordability compared to other restorative dentistry procedures. Dental veneers are. What Is Resin Laminate Veneers.
From www.dental123york.com
Laminate composite resin veneers Before & After Photos New Haven CT What Is Resin Laminate Veneers Laminate veneers are thin shells made of. Dental veneers are most commonly made out of porcelain or composite resin and require intensive prep work. Dental laminates and dental veneers are two common procedures done to improve the overall appearances of someone's smile. Veneers are thin teeth covers that are attached to the front surface of your teeth to cover imperfections. What Is Resin Laminate Veneers.
From burkettdentistry.com
Porcelain Veneers Mission TX McAllen Laminates Resin What Is Resin Laminate Veneers Dental laminates and dental veneers are two common procedures done to improve the overall appearances of someone's smile. Dental veneers are most commonly made out of porcelain or composite resin and require intensive prep work. But what is the difference between the two? What are laminate veneers and how do they differ from traditional crowns or fillings? They are becoming. What Is Resin Laminate Veneers.
From kerrisdaledental.com
Porcelain vs. Composite Veneers Cosmetic Dentistry What Is Resin Laminate Veneers Dental laminates and dental veneers are two common procedures done to improve the overall appearances of someone's smile. But what is the difference between the two? What are laminate veneers and how do they differ from traditional crowns or fillings? Composite veneers are a thin shell of material made of resin, designed to improve the appearance of someone’s teeth, explains. What Is Resin Laminate Veneers.
From masonsquaredental.com.au
Resin Veneers at Mason Square Dental, Moonee Ponds Dentist What Is Resin Laminate Veneers Veneers are thin teeth covers that are attached to the front surface of your teeth to cover imperfections and protect enamel. Dental veneers are most commonly made out of porcelain or composite resin and require intensive prep work. But what is the difference between the two? They are becoming increasingly popular in the us thanks to their affordability compared to. What Is Resin Laminate Veneers.
From www.clarencetam.co.nz
Resin Laminates Composite Veneers Auckland What Is Resin Laminate Veneers Composite veneers are a thin shell of material made of resin, designed to improve the appearance of someone’s teeth, explains fatima khan, d.d.s., dentist at altus dental and co. Dental veneers are most commonly made out of porcelain or composite resin and require intensive prep work. Laminate veneers are thin shells made of. But what is the difference between the. What Is Resin Laminate Veneers.
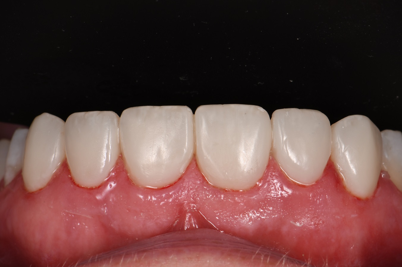
From www.researchgate.net
Facial view of the completed direct composite resin veneers for What Is Resin Laminate Veneers Veneers are thin teeth covers that are attached to the front surface of your teeth to cover imperfections and protect enamel. But what is the difference between the two? In general, veneers are currently the biggest trend in. Composite veneers are a thin shell of material made of resin, designed to improve the appearance of someone’s teeth, explains fatima khan,. What Is Resin Laminate Veneers.
From www.clarencetam.co.nz
Resin Laminates Composite Veneers Auckland What Is Resin Laminate Veneers They are becoming increasingly popular in the us thanks to their affordability compared to other restorative dentistry procedures. Laminate veneers are a type of veneers and a popular option in cosmetic dentistry. But what is the difference between the two? Composite veneers are a thin shell of material made of resin, designed to improve the appearance of someone’s teeth, explains. What Is Resin Laminate Veneers.
From www.drdc.co.uk
Veneers Dartford Veneer Teeth Cosmetic Dentist Crayford What Is Resin Laminate Veneers What are laminate veneers and how do they differ from traditional crowns or fillings? Veneers are thin teeth covers that are attached to the front surface of your teeth to cover imperfections and protect enamel. They are becoming increasingly popular in the us thanks to their affordability compared to other restorative dentistry procedures. Dental laminates and dental veneers are two. What Is Resin Laminate Veneers.
From www.dentalsquare.com.au
Composite Veneers Sydney Dental Bonding Sydney Dentist Ryde What Is Resin Laminate Veneers What are laminate veneers and how do they differ from traditional crowns or fillings? Composite veneers are a thin shell of material made of resin, designed to improve the appearance of someone’s teeth, explains fatima khan, d.d.s., dentist at altus dental and co. Dental laminates and dental veneers are two common procedures done to improve the overall appearances of someone's. What Is Resin Laminate Veneers.
From dentalcentervietnam.com
Laminate Porcelain Veneers Porcelain Dental Veneers What Is Resin Laminate Veneers But what is the difference between the two? In general, veneers are currently the biggest trend in. Laminate veneers are a type of veneers and a popular option in cosmetic dentistry. Dental veneers are most commonly made out of porcelain or composite resin and require intensive prep work. Dental laminates and dental veneers are two common procedures done to improve. What Is Resin Laminate Veneers.
From artofdentistryinstitute.com
Chairside Veneers Composite Resin Veneers in Irvine Dental Veneers What Is Resin Laminate Veneers Dental veneers are most commonly made out of porcelain or composite resin and require intensive prep work. Dental laminates and dental veneers are two common procedures done to improve the overall appearances of someone's smile. What are laminate veneers and how do they differ from traditional crowns or fillings? Laminate veneers are thin shells made of. Laminate veneers are a. What Is Resin Laminate Veneers.
From safarmedical.com
Dental veneers Types, Uses & Process Safar Medical What Is Resin Laminate Veneers Veneers are thin teeth covers that are attached to the front surface of your teeth to cover imperfections and protect enamel. Laminate veneers are a type of veneers and a popular option in cosmetic dentistry. In general, veneers are currently the biggest trend in. What are laminate veneers and how do they differ from traditional crowns or fillings? Laminate veneers. What Is Resin Laminate Veneers.
From adeptdentalgroup.com
Veneers • Adept Dental Group What Is Resin Laminate Veneers What are laminate veneers and how do they differ from traditional crowns or fillings? Laminate veneers are thin shells made of. In general, veneers are currently the biggest trend in. Composite veneers are a thin shell of material made of resin, designed to improve the appearance of someone’s teeth, explains fatima khan, d.d.s., dentist at altus dental and co. Laminate. What Is Resin Laminate Veneers.
From talkativedesigner.blogspot.com
Composite Resin Veneers Before And After Before And After What Is Resin Laminate Veneers In general, veneers are currently the biggest trend in. Veneers are thin teeth covers that are attached to the front surface of your teeth to cover imperfections and protect enamel. Laminate veneers are thin shells made of. What are laminate veneers and how do they differ from traditional crowns or fillings? They are becoming increasingly popular in the us thanks. What Is Resin Laminate Veneers.
From f004.backblazeb2.com
Understanding the Difference Veneers vs. Laminates. MolarMajesty Clinics What Is Resin Laminate Veneers In general, veneers are currently the biggest trend in. They are becoming increasingly popular in the us thanks to their affordability compared to other restorative dentistry procedures. Laminate veneers are thin shells made of. Composite veneers are a thin shell of material made of resin, designed to improve the appearance of someone’s teeth, explains fatima khan, d.d.s., dentist at altus. What Is Resin Laminate Veneers.
From toothhealth.org
Composite Veneers The Ultimate Guide Cost, Procedure, Benefits What Is Resin Laminate Veneers But what is the difference between the two? Laminate veneers are a type of veneers and a popular option in cosmetic dentistry. Dental laminates and dental veneers are two common procedures done to improve the overall appearances of someone's smile. Dental veneers are most commonly made out of porcelain or composite resin and require intensive prep work. In general, veneers. What Is Resin Laminate Veneers.
From www.inhousedentalstudio.com
Case 14, Feldspathic porcelain veneers for teeth 6, 8, 9, and 11 In What Is Resin Laminate Veneers Dental veneers are most commonly made out of porcelain or composite resin and require intensive prep work. In general, veneers are currently the biggest trend in. What are laminate veneers and how do they differ from traditional crowns or fillings? Laminate veneers are a type of veneers and a popular option in cosmetic dentistry. Laminate veneers are thin shells made. What Is Resin Laminate Veneers.
From www.clarencetam.co.nz
Resin Laminates Composite Veneers Auckland What Is Resin Laminate Veneers Composite veneers are a thin shell of material made of resin, designed to improve the appearance of someone’s teeth, explains fatima khan, d.d.s., dentist at altus dental and co. What are laminate veneers and how do they differ from traditional crowns or fillings? Laminate veneers are a type of veneers and a popular option in cosmetic dentistry. In general, veneers. What Is Resin Laminate Veneers.
From masonsquaredental.com.au
Resin Veneers at Mason Square Dental, Moonee Ponds Dentist What Is Resin Laminate Veneers Laminate veneers are a type of veneers and a popular option in cosmetic dentistry. But what is the difference between the two? Dental laminates and dental veneers are two common procedures done to improve the overall appearances of someone's smile. Laminate veneers are thin shells made of. Dental veneers are most commonly made out of porcelain or composite resin and. What Is Resin Laminate Veneers.
From www.clarencetam.co.nz
Resin Laminates Composite Veneers Auckland What Is Resin Laminate Veneers In general, veneers are currently the biggest trend in. Dental veneers are most commonly made out of porcelain or composite resin and require intensive prep work. Laminate veneers are a type of veneers and a popular option in cosmetic dentistry. Dental laminates and dental veneers are two common procedures done to improve the overall appearances of someone's smile. They are. What Is Resin Laminate Veneers.
From www.youtube.com
Creative Direct Resin Veneer YouTube What Is Resin Laminate Veneers Composite veneers are a thin shell of material made of resin, designed to improve the appearance of someone’s teeth, explains fatima khan, d.d.s., dentist at altus dental and co. Laminate veneers are a type of veneers and a popular option in cosmetic dentistry. But what is the difference between the two? Dental laminates and dental veneers are two common procedures. What Is Resin Laminate Veneers.
From www.youtube.com
Dental laminate veneer YouTube What Is Resin Laminate Veneers Composite veneers are a thin shell of material made of resin, designed to improve the appearance of someone’s teeth, explains fatima khan, d.d.s., dentist at altus dental and co. They are becoming increasingly popular in the us thanks to their affordability compared to other restorative dentistry procedures. Dental laminates and dental veneers are two common procedures done to improve the. What Is Resin Laminate Veneers.
From www.clarencetam.co.nz
Resin Laminates Composite Veneers Auckland What Is Resin Laminate Veneers In general, veneers are currently the biggest trend in. But what is the difference between the two? Dental laminates and dental veneers are two common procedures done to improve the overall appearances of someone's smile. Veneers are thin teeth covers that are attached to the front surface of your teeth to cover imperfections and protect enamel. Dental veneers are most. What Is Resin Laminate Veneers.
From www.clarencetam.co.nz
Resin Laminates Composite Veneers Auckland What Is Resin Laminate Veneers In general, veneers are currently the biggest trend in. Dental laminates and dental veneers are two common procedures done to improve the overall appearances of someone's smile. They are becoming increasingly popular in the us thanks to their affordability compared to other restorative dentistry procedures. What are laminate veneers and how do they differ from traditional crowns or fillings? Composite. What Is Resin Laminate Veneers.
From www.clarencetam.co.nz
Resin Laminates Composite Veneers Auckland What Is Resin Laminate Veneers But what is the difference between the two? What are laminate veneers and how do they differ from traditional crowns or fillings? Dental laminates and dental veneers are two common procedures done to improve the overall appearances of someone's smile. Laminate veneers are thin shells made of. Laminate veneers are a type of veneers and a popular option in cosmetic. What Is Resin Laminate Veneers.
From talkativedesigner.blogspot.com
Before And After Laminate Veneers Before And After What Is Resin Laminate Veneers Laminate veneers are thin shells made of. They are becoming increasingly popular in the us thanks to their affordability compared to other restorative dentistry procedures. Dental laminates and dental veneers are two common procedures done to improve the overall appearances of someone's smile. Laminate veneers are a type of veneers and a popular option in cosmetic dentistry. What are laminate. What Is Resin Laminate Veneers.