What Causes Calcium Deposits On Mitral Valve . This can cause narrowing of the structures that support. Mitral valve prolapse is usually caused by problems with the tissues that join the mitral valve to the heart muscles. Mitral valve dysfunction increased mortality, regardless. Mitral annular calcification is a chronic process in which there is deposition of calcium in the mitral valve annulus. The presence of mitral annulus calcification was associated with higher mortality, after statistical adjustment. However, patients with disturbance in calcium and phosphate hemodynamics. The mitral annulus is typically flexible. Mitral annular calcification (mac) is a degenerative process with the deposition of calcium in and around the fibrous base of the mitral valve which frequently results in relevant mitral valve. As you age, calcium deposits can build up around the mitral valve.
from americasbestpics.com
Mitral valve dysfunction increased mortality, regardless. However, patients with disturbance in calcium and phosphate hemodynamics. Mitral annular calcification (mac) is a degenerative process with the deposition of calcium in and around the fibrous base of the mitral valve which frequently results in relevant mitral valve. This can cause narrowing of the structures that support. The presence of mitral annulus calcification was associated with higher mortality, after statistical adjustment. Mitral annular calcification is a chronic process in which there is deposition of calcium in the mitral valve annulus. The mitral annulus is typically flexible. As you age, calcium deposits can build up around the mitral valve. Mitral valve prolapse is usually caused by problems with the tissues that join the mitral valve to the heart muscles.
Mitral Valve Dysfunction Calcification ANNULAR DEPOSITS + Produces
What Causes Calcium Deposits On Mitral Valve Mitral valve dysfunction increased mortality, regardless. As you age, calcium deposits can build up around the mitral valve. This can cause narrowing of the structures that support. The presence of mitral annulus calcification was associated with higher mortality, after statistical adjustment. Mitral annular calcification is a chronic process in which there is deposition of calcium in the mitral valve annulus. Mitral valve prolapse is usually caused by problems with the tissues that join the mitral valve to the heart muscles. Mitral annular calcification (mac) is a degenerative process with the deposition of calcium in and around the fibrous base of the mitral valve which frequently results in relevant mitral valve. Mitral valve dysfunction increased mortality, regardless. However, patients with disturbance in calcium and phosphate hemodynamics. The mitral annulus is typically flexible.
From www.researchgate.net
Echocardiogram showing severe calcification of mitral valve, aortic What Causes Calcium Deposits On Mitral Valve The mitral annulus is typically flexible. Mitral valve dysfunction increased mortality, regardless. This can cause narrowing of the structures that support. The presence of mitral annulus calcification was associated with higher mortality, after statistical adjustment. As you age, calcium deposits can build up around the mitral valve. Mitral valve prolapse is usually caused by problems with the tissues that join. What Causes Calcium Deposits On Mitral Valve.
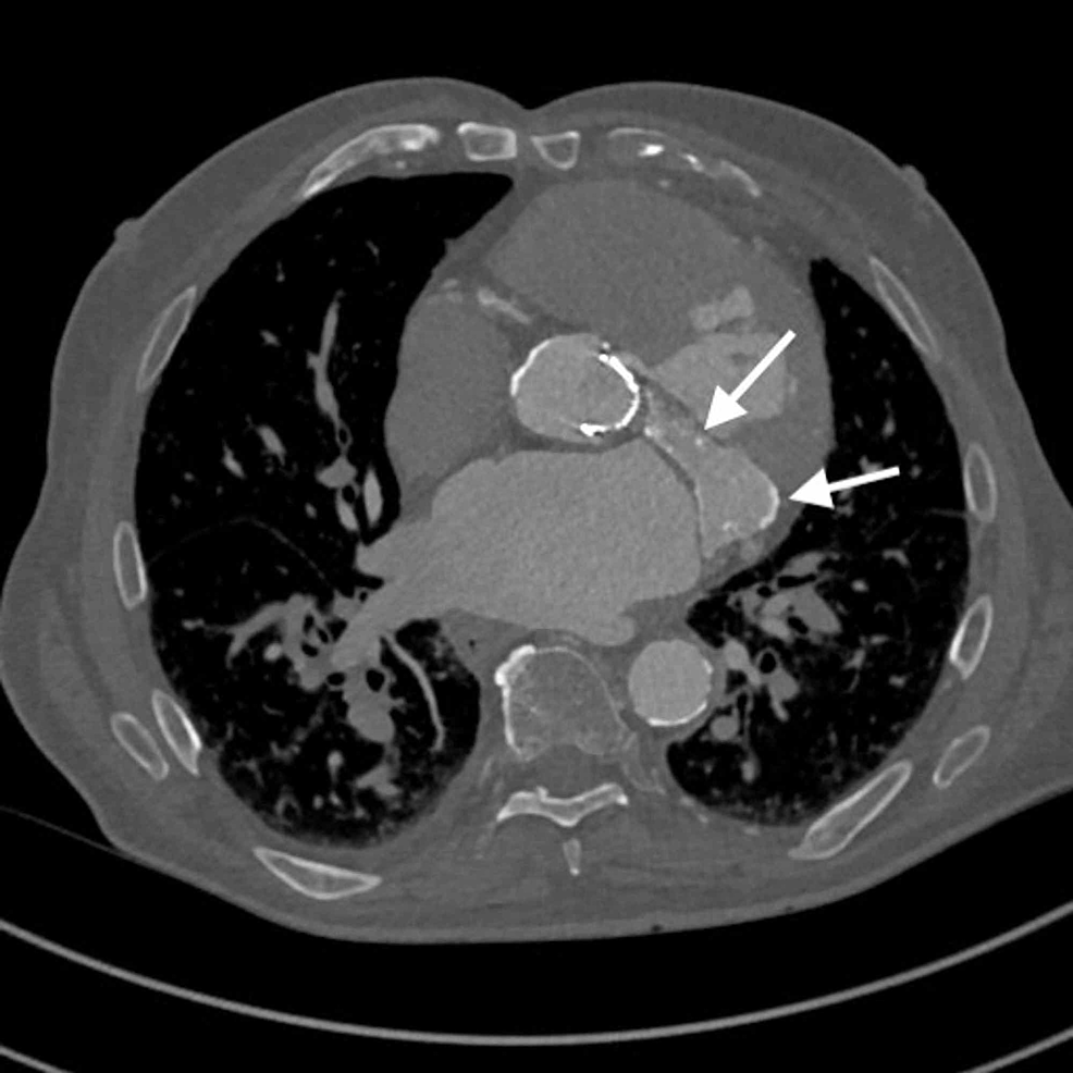
From www.cureus.com
Cureus Mitral Regurgitation Due to Caseous Calcification of the What Causes Calcium Deposits On Mitral Valve The presence of mitral annulus calcification was associated with higher mortality, after statistical adjustment. The mitral annulus is typically flexible. Mitral annular calcification (mac) is a degenerative process with the deposition of calcium in and around the fibrous base of the mitral valve which frequently results in relevant mitral valve. However, patients with disturbance in calcium and phosphate hemodynamics. Mitral. What Causes Calcium Deposits On Mitral Valve.
From americasbestpics.com
Mitral Valve Dysfunction Calcification ANNULAR DEPOSITS + Produces What Causes Calcium Deposits On Mitral Valve Mitral valve dysfunction increased mortality, regardless. As you age, calcium deposits can build up around the mitral valve. Mitral annular calcification (mac) is a degenerative process with the deposition of calcium in and around the fibrous base of the mitral valve which frequently results in relevant mitral valve. The mitral annulus is typically flexible. This can cause narrowing of the. What Causes Calcium Deposits On Mitral Valve.
From www.researchgate.net
Caseous calcification of the mitral annulus (A, B, circles) with an What Causes Calcium Deposits On Mitral Valve Mitral valve dysfunction increased mortality, regardless. Mitral annular calcification is a chronic process in which there is deposition of calcium in the mitral valve annulus. As you age, calcium deposits can build up around the mitral valve. However, patients with disturbance in calcium and phosphate hemodynamics. This can cause narrowing of the structures that support. Mitral annular calcification (mac) is. What Causes Calcium Deposits On Mitral Valve.
From www.researchgate.net
Aortic and Mitral valves calcification. MVC, Mitral valve What Causes Calcium Deposits On Mitral Valve However, patients with disturbance in calcium and phosphate hemodynamics. Mitral annular calcification is a chronic process in which there is deposition of calcium in the mitral valve annulus. This can cause narrowing of the structures that support. Mitral valve prolapse is usually caused by problems with the tissues that join the mitral valve to the heart muscles. Mitral valve dysfunction. What Causes Calcium Deposits On Mitral Valve.
From www.jacc.org
Severe Mitral Annular Calcification Multimodality Imaging for What Causes Calcium Deposits On Mitral Valve However, patients with disturbance in calcium and phosphate hemodynamics. This can cause narrowing of the structures that support. The presence of mitral annulus calcification was associated with higher mortality, after statistical adjustment. Mitral valve prolapse is usually caused by problems with the tissues that join the mitral valve to the heart muscles. As you age, calcium deposits can build up. What Causes Calcium Deposits On Mitral Valve.
From openheart.bmj.com
Calcific extension towards the mitral valve causes nonrheumatic mitral What Causes Calcium Deposits On Mitral Valve However, patients with disturbance in calcium and phosphate hemodynamics. The presence of mitral annulus calcification was associated with higher mortality, after statistical adjustment. As you age, calcium deposits can build up around the mitral valve. Mitral annular calcification is a chronic process in which there is deposition of calcium in the mitral valve annulus. Mitral annular calcification (mac) is a. What Causes Calcium Deposits On Mitral Valve.
From journal.medizzy.com
Caseous Calcification of Mitral Annulus What Causes Calcium Deposits On Mitral Valve However, patients with disturbance in calcium and phosphate hemodynamics. This can cause narrowing of the structures that support. Mitral valve dysfunction increased mortality, regardless. Mitral annular calcification is a chronic process in which there is deposition of calcium in the mitral valve annulus. The mitral annulus is typically flexible. As you age, calcium deposits can build up around the mitral. What Causes Calcium Deposits On Mitral Valve.
From www.criticalcare-sonography.com
Causes of Mitral Valve Regurgitation Critical Care Sonography What Causes Calcium Deposits On Mitral Valve This can cause narrowing of the structures that support. The presence of mitral annulus calcification was associated with higher mortality, after statistical adjustment. Mitral annular calcification is a chronic process in which there is deposition of calcium in the mitral valve annulus. Mitral annular calcification (mac) is a degenerative process with the deposition of calcium in and around the fibrous. What Causes Calcium Deposits On Mitral Valve.
From www.researchgate.net
Mitral valve annulus caseous calcification/necrosis. A 70yearold What Causes Calcium Deposits On Mitral Valve Mitral annular calcification (mac) is a degenerative process with the deposition of calcium in and around the fibrous base of the mitral valve which frequently results in relevant mitral valve. The presence of mitral annulus calcification was associated with higher mortality, after statistical adjustment. Mitral valve dysfunction increased mortality, regardless. The mitral annulus is typically flexible. Mitral annular calcification is. What Causes Calcium Deposits On Mitral Valve.
From www.jacc.org
Intraprocedural Mapping of the Mitral Calcium for Positioning and What Causes Calcium Deposits On Mitral Valve Mitral annular calcification (mac) is a degenerative process with the deposition of calcium in and around the fibrous base of the mitral valve which frequently results in relevant mitral valve. Mitral valve prolapse is usually caused by problems with the tissues that join the mitral valve to the heart muscles. This can cause narrowing of the structures that support. However,. What Causes Calcium Deposits On Mitral Valve.
From www.jacc.org
Severe Mitral Annular Calcification Multimodality Imaging for What Causes Calcium Deposits On Mitral Valve The mitral annulus is typically flexible. This can cause narrowing of the structures that support. Mitral valve prolapse is usually caused by problems with the tissues that join the mitral valve to the heart muscles. As you age, calcium deposits can build up around the mitral valve. However, patients with disturbance in calcium and phosphate hemodynamics. Mitral annular calcification (mac). What Causes Calcium Deposits On Mitral Valve.
From healthjade.com
Mitral Valve Prolapse Causes, Symptoms, Diagnosis, Treatment What Causes Calcium Deposits On Mitral Valve Mitral valve prolapse is usually caused by problems with the tissues that join the mitral valve to the heart muscles. This can cause narrowing of the structures that support. Mitral valve dysfunction increased mortality, regardless. Mitral annular calcification (mac) is a degenerative process with the deposition of calcium in and around the fibrous base of the mitral valve which frequently. What Causes Calcium Deposits On Mitral Valve.
From mavink.com
Mitral Valve And Aortic Valve What Causes Calcium Deposits On Mitral Valve As you age, calcium deposits can build up around the mitral valve. This can cause narrowing of the structures that support. The mitral annulus is typically flexible. The presence of mitral annulus calcification was associated with higher mortality, after statistical adjustment. Mitral annular calcification is a chronic process in which there is deposition of calcium in the mitral valve annulus.. What Causes Calcium Deposits On Mitral Valve.
From www.onlinejase.com
Calcification of the Mitral Valve and Annulus Systematic Evaluation of What Causes Calcium Deposits On Mitral Valve This can cause narrowing of the structures that support. However, patients with disturbance in calcium and phosphate hemodynamics. As you age, calcium deposits can build up around the mitral valve. The presence of mitral annulus calcification was associated with higher mortality, after statistical adjustment. The mitral annulus is typically flexible. Mitral annular calcification is a chronic process in which there. What Causes Calcium Deposits On Mitral Valve.
From www.researchgate.net
TEE showing a vegetation on the anterior mitral valve leaflet What Causes Calcium Deposits On Mitral Valve Mitral valve prolapse is usually caused by problems with the tissues that join the mitral valve to the heart muscles. Mitral valve dysfunction increased mortality, regardless. The mitral annulus is typically flexible. The presence of mitral annulus calcification was associated with higher mortality, after statistical adjustment. However, patients with disturbance in calcium and phosphate hemodynamics. Mitral annular calcification is a. What Causes Calcium Deposits On Mitral Valve.
From www.cardiology.theclinics.com
Calcific Mitral Stenosis Cardiology Clinics What Causes Calcium Deposits On Mitral Valve As you age, calcium deposits can build up around the mitral valve. Mitral valve prolapse is usually caused by problems with the tissues that join the mitral valve to the heart muscles. This can cause narrowing of the structures that support. Mitral valve dysfunction increased mortality, regardless. However, patients with disturbance in calcium and phosphate hemodynamics. Mitral annular calcification (mac). What Causes Calcium Deposits On Mitral Valve.
From www.mitraltherapies.com
MAC Mitral Annular Calcification — Mitral What Causes Calcium Deposits On Mitral Valve However, patients with disturbance in calcium and phosphate hemodynamics. Mitral valve dysfunction increased mortality, regardless. This can cause narrowing of the structures that support. The mitral annulus is typically flexible. The presence of mitral annulus calcification was associated with higher mortality, after statistical adjustment. Mitral valve prolapse is usually caused by problems with the tissues that join the mitral valve. What Causes Calcium Deposits On Mitral Valve.
From www.youtube.com
Posterior mitral valve leaflet thickening with calcification What Causes Calcium Deposits On Mitral Valve Mitral valve prolapse is usually caused by problems with the tissues that join the mitral valve to the heart muscles. The presence of mitral annulus calcification was associated with higher mortality, after statistical adjustment. Mitral valve dysfunction increased mortality, regardless. However, patients with disturbance in calcium and phosphate hemodynamics. The mitral annulus is typically flexible. As you age, calcium deposits. What Causes Calcium Deposits On Mitral Valve.
From mavink.com
Calcified Mitral Valve What Causes Calcium Deposits On Mitral Valve Mitral valve prolapse is usually caused by problems with the tissues that join the mitral valve to the heart muscles. However, patients with disturbance in calcium and phosphate hemodynamics. Mitral annular calcification is a chronic process in which there is deposition of calcium in the mitral valve annulus. As you age, calcium deposits can build up around the mitral valve.. What Causes Calcium Deposits On Mitral Valve.
From www.onlinejase.com
Mitral Annular Calcification and Calcific Mitral Stenosis Role of What Causes Calcium Deposits On Mitral Valve Mitral valve prolapse is usually caused by problems with the tissues that join the mitral valve to the heart muscles. The mitral annulus is typically flexible. This can cause narrowing of the structures that support. The presence of mitral annulus calcification was associated with higher mortality, after statistical adjustment. Mitral annular calcification is a chronic process in which there is. What Causes Calcium Deposits On Mitral Valve.
From www.researchgate.net
CT of the chest showing calcification of the mitral valve and no What Causes Calcium Deposits On Mitral Valve The mitral annulus is typically flexible. However, patients with disturbance in calcium and phosphate hemodynamics. Mitral valve dysfunction increased mortality, regardless. The presence of mitral annulus calcification was associated with higher mortality, after statistical adjustment. This can cause narrowing of the structures that support. Mitral valve prolapse is usually caused by problems with the tissues that join the mitral valve. What Causes Calcium Deposits On Mitral Valve.
From johnsonfrancis.org
Mitral valve calcification All About Cardiovascular System and Disorders What Causes Calcium Deposits On Mitral Valve The mitral annulus is typically flexible. Mitral annular calcification is a chronic process in which there is deposition of calcium in the mitral valve annulus. Mitral annular calcification (mac) is a degenerative process with the deposition of calcium in and around the fibrous base of the mitral valve which frequently results in relevant mitral valve. As you age, calcium deposits. What Causes Calcium Deposits On Mitral Valve.
From www.openaccessjournals.com
Aortic valve calcification using multislice CT What Causes Calcium Deposits On Mitral Valve As you age, calcium deposits can build up around the mitral valve. The mitral annulus is typically flexible. Mitral annular calcification (mac) is a degenerative process with the deposition of calcium in and around the fibrous base of the mitral valve which frequently results in relevant mitral valve. Mitral valve dysfunction increased mortality, regardless. Mitral valve prolapse is usually caused. What Causes Calcium Deposits On Mitral Valve.
From www.thekeyholeheartclinic.com
Mitral Stenosis The Keyhole Heart Clinic What Causes Calcium Deposits On Mitral Valve This can cause narrowing of the structures that support. However, patients with disturbance in calcium and phosphate hemodynamics. Mitral annular calcification is a chronic process in which there is deposition of calcium in the mitral valve annulus. Mitral valve prolapse is usually caused by problems with the tissues that join the mitral valve to the heart muscles. Mitral valve dysfunction. What Causes Calcium Deposits On Mitral Valve.
From www.templehealth.org
Mitral Valve Stenosis Temple Health What Causes Calcium Deposits On Mitral Valve This can cause narrowing of the structures that support. Mitral annular calcification is a chronic process in which there is deposition of calcium in the mitral valve annulus. Mitral annular calcification (mac) is a degenerative process with the deposition of calcium in and around the fibrous base of the mitral valve which frequently results in relevant mitral valve. As you. What Causes Calcium Deposits On Mitral Valve.
From www.medintensiva.org
Heart attack and something else Caseous degeneration of mitral anullus What Causes Calcium Deposits On Mitral Valve This can cause narrowing of the structures that support. As you age, calcium deposits can build up around the mitral valve. Mitral annular calcification (mac) is a degenerative process with the deposition of calcium in and around the fibrous base of the mitral valve which frequently results in relevant mitral valve. Mitral valve prolapse is usually caused by problems with. What Causes Calcium Deposits On Mitral Valve.
From www.cureus.com
Mitral Regurgitation Due to Caseous Calcification of the Mitral Annulus What Causes Calcium Deposits On Mitral Valve Mitral annular calcification (mac) is a degenerative process with the deposition of calcium in and around the fibrous base of the mitral valve which frequently results in relevant mitral valve. Mitral annular calcification is a chronic process in which there is deposition of calcium in the mitral valve annulus. The mitral annulus is typically flexible. Mitral valve dysfunction increased mortality,. What Causes Calcium Deposits On Mitral Valve.
From www.tinyscarvalvesurgery.com
What Is A Calcified Heart Valve? Dr. Peter Mikhail What Causes Calcium Deposits On Mitral Valve Mitral valve prolapse is usually caused by problems with the tissues that join the mitral valve to the heart muscles. However, patients with disturbance in calcium and phosphate hemodynamics. Mitral annular calcification is a chronic process in which there is deposition of calcium in the mitral valve annulus. As you age, calcium deposits can build up around the mitral valve.. What Causes Calcium Deposits On Mitral Valve.
From www.mayoclinic.org
Aortic valve stenosis Symptoms and causes Mayo Clinic What Causes Calcium Deposits On Mitral Valve Mitral annular calcification (mac) is a degenerative process with the deposition of calcium in and around the fibrous base of the mitral valve which frequently results in relevant mitral valve. This can cause narrowing of the structures that support. Mitral valve dysfunction increased mortality, regardless. However, patients with disturbance in calcium and phosphate hemodynamics. As you age, calcium deposits can. What Causes Calcium Deposits On Mitral Valve.
From pulmonarychronicles.com
View of Mitral annular calcification The Southwest Respiratory and What Causes Calcium Deposits On Mitral Valve Mitral valve dysfunction increased mortality, regardless. Mitral valve prolapse is usually caused by problems with the tissues that join the mitral valve to the heart muscles. Mitral annular calcification (mac) is a degenerative process with the deposition of calcium in and around the fibrous base of the mitral valve which frequently results in relevant mitral valve. The mitral annulus is. What Causes Calcium Deposits On Mitral Valve.
From www.jacc.org
Intraprocedural Mapping of the Mitral Calcium for Positioning and What Causes Calcium Deposits On Mitral Valve Mitral valve prolapse is usually caused by problems with the tissues that join the mitral valve to the heart muscles. This can cause narrowing of the structures that support. Mitral annular calcification (mac) is a degenerative process with the deposition of calcium in and around the fibrous base of the mitral valve which frequently results in relevant mitral valve. Mitral. What Causes Calcium Deposits On Mitral Valve.
From www.ahajournals.org
Liquefaction Necrosis of Mitral Annulus Calcification Circulation What Causes Calcium Deposits On Mitral Valve Mitral annular calcification (mac) is a degenerative process with the deposition of calcium in and around the fibrous base of the mitral valve which frequently results in relevant mitral valve. This can cause narrowing of the structures that support. Mitral valve dysfunction increased mortality, regardless. Mitral valve prolapse is usually caused by problems with the tissues that join the mitral. What Causes Calcium Deposits On Mitral Valve.
From drraghu.com
Mitral Valve Stenosis Symptoms, Diagnosis, Treatment in Hyderabad What Causes Calcium Deposits On Mitral Valve However, patients with disturbance in calcium and phosphate hemodynamics. Mitral valve dysfunction increased mortality, regardless. This can cause narrowing of the structures that support. The presence of mitral annulus calcification was associated with higher mortality, after statistical adjustment. Mitral annular calcification is a chronic process in which there is deposition of calcium in the mitral valve annulus. Mitral valve prolapse. What Causes Calcium Deposits On Mitral Valve.
From mavink.com
Mitral Valve Calcification What Causes Calcium Deposits On Mitral Valve Mitral annular calcification is a chronic process in which there is deposition of calcium in the mitral valve annulus. The presence of mitral annulus calcification was associated with higher mortality, after statistical adjustment. As you age, calcium deposits can build up around the mitral valve. Mitral valve prolapse is usually caused by problems with the tissues that join the mitral. What Causes Calcium Deposits On Mitral Valve.