Tracheal Stenosis Following Endotracheal Intubation . Tracheal stenosis is a common complication of endotracheal intubation or tracheostomy, resulting in significant morbidity. Tracheal stenosis is usually acquired following intubation or tracheostomy. The most common procedure to correct postintubation tracheal stenosis was tracheal resection with an anastomosis between trachea. Bronchoscopy is standard of practice for. This condition is usually managed by surgical or endoscopic interventions. Tracheal stenosis can present following intubation and tracheostomy. Tracheal stenosis following prolonged intubation is a relatively rare but serious problem. It can also arise as part of the spectrum of. Although infraglottic stenosis most commonly results from endotracheal tube damage, it may occur after damage of the 1st tracheal ring or. Nonmalignant tracheal stenosis is a potentially life threatening conditions that develops as fibrotic healing from intubation,.
from rubbuy781.blogspot.com
This condition is usually managed by surgical or endoscopic interventions. Tracheal stenosis following prolonged intubation is a relatively rare but serious problem. Tracheal stenosis can present following intubation and tracheostomy. Tracheal stenosis is a common complication of endotracheal intubation or tracheostomy, resulting in significant morbidity. The most common procedure to correct postintubation tracheal stenosis was tracheal resection with an anastomosis between trachea. It can also arise as part of the spectrum of. Bronchoscopy is standard of practice for. Nonmalignant tracheal stenosis is a potentially life threatening conditions that develops as fibrotic healing from intubation,. Tracheal stenosis is usually acquired following intubation or tracheostomy. Although infraglottic stenosis most commonly results from endotracheal tube damage, it may occur after damage of the 1st tracheal ring or.
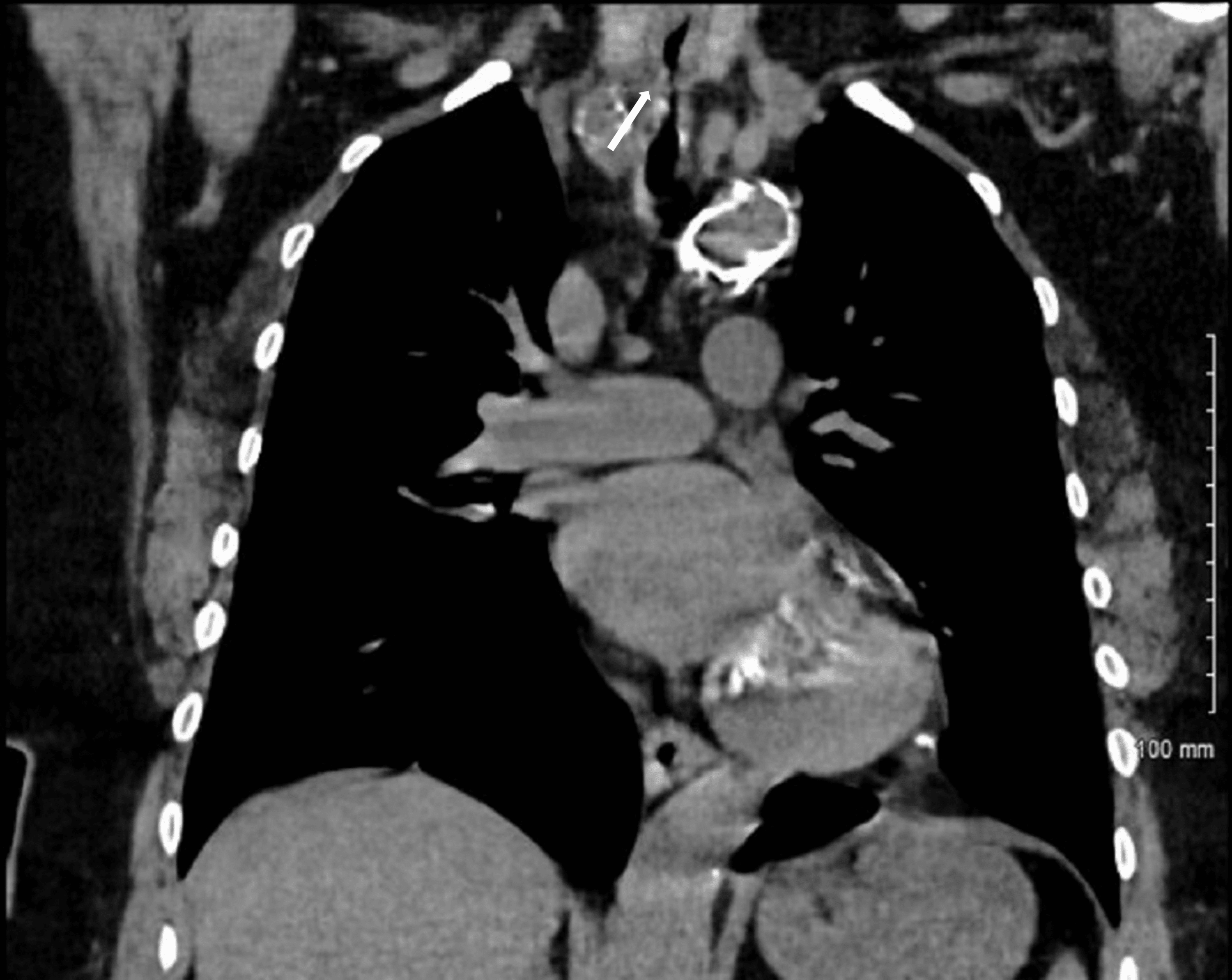
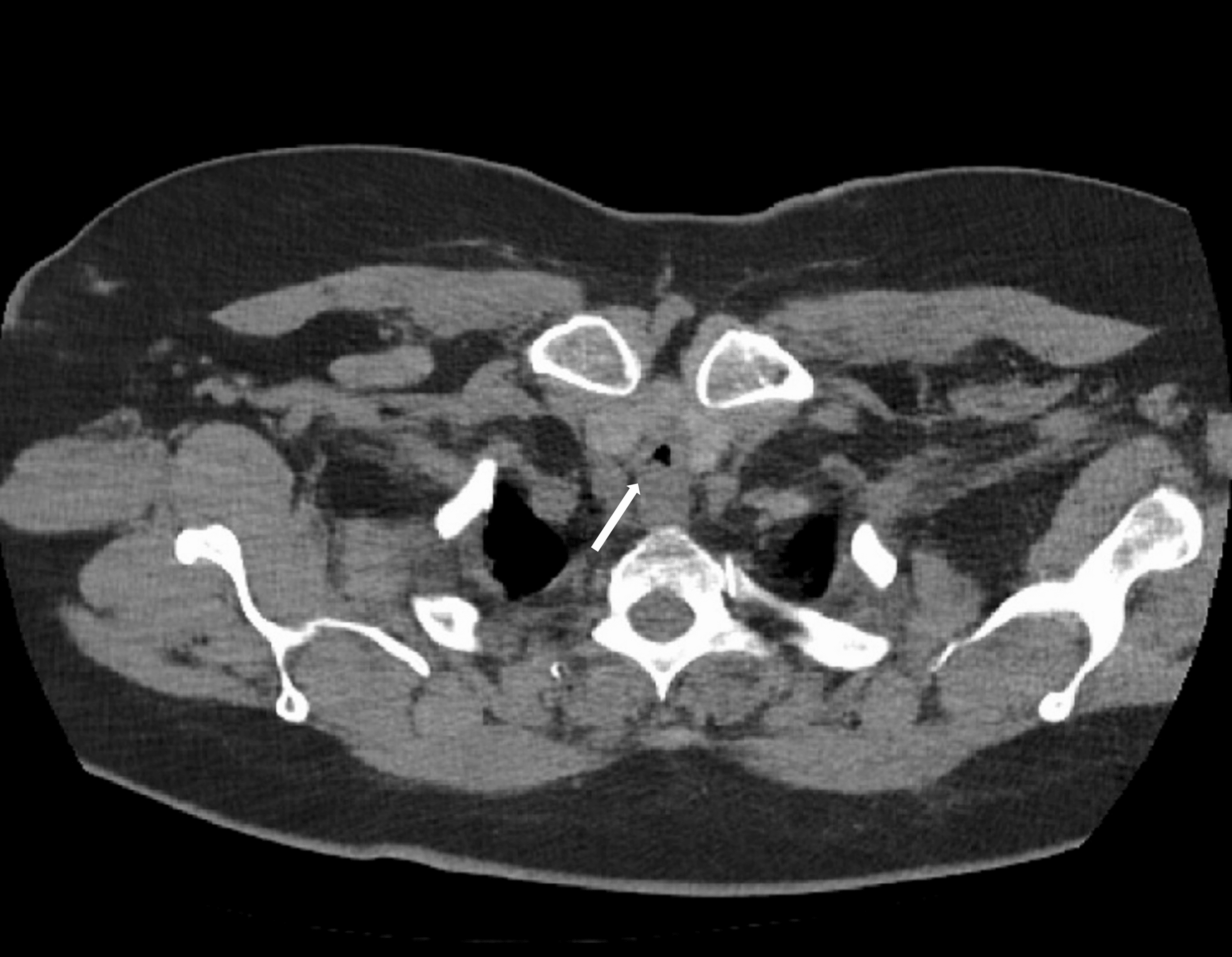
laryngeal tracheal stenosis grade IV . UPPER airway stenosis due to
Tracheal Stenosis Following Endotracheal Intubation Tracheal stenosis following prolonged intubation is a relatively rare but serious problem. It can also arise as part of the spectrum of. Nonmalignant tracheal stenosis is a potentially life threatening conditions that develops as fibrotic healing from intubation,. Bronchoscopy is standard of practice for. This condition is usually managed by surgical or endoscopic interventions. Tracheal stenosis is a common complication of endotracheal intubation or tracheostomy, resulting in significant morbidity. Although infraglottic stenosis most commonly results from endotracheal tube damage, it may occur after damage of the 1st tracheal ring or. The most common procedure to correct postintubation tracheal stenosis was tracheal resection with an anastomosis between trachea. Tracheal stenosis can present following intubation and tracheostomy. Tracheal stenosis following prolonged intubation is a relatively rare but serious problem. Tracheal stenosis is usually acquired following intubation or tracheostomy.
From www.researchgate.net
(PDF) Tracheal Stenosis and Tracheomalacia Presenting Simultaneously Tracheal Stenosis Following Endotracheal Intubation Tracheal stenosis can present following intubation and tracheostomy. The most common procedure to correct postintubation tracheal stenosis was tracheal resection with an anastomosis between trachea. Tracheal stenosis is a common complication of endotracheal intubation or tracheostomy, resulting in significant morbidity. This condition is usually managed by surgical or endoscopic interventions. It can also arise as part of the spectrum of.. Tracheal Stenosis Following Endotracheal Intubation.
From h15.beauty
Endotracheal Intubation Anatomy Tracheal Stenosis Following Endotracheal Intubation Nonmalignant tracheal stenosis is a potentially life threatening conditions that develops as fibrotic healing from intubation,. Tracheal stenosis is usually acquired following intubation or tracheostomy. This condition is usually managed by surgical or endoscopic interventions. Tracheal stenosis following prolonged intubation is a relatively rare but serious problem. Bronchoscopy is standard of practice for. The most common procedure to correct postintubation. Tracheal Stenosis Following Endotracheal Intubation.
From www.optechtcs.com
Congenital Tracheal Stenosis Tracheal Autograft Technique Operative Tracheal Stenosis Following Endotracheal Intubation Nonmalignant tracheal stenosis is a potentially life threatening conditions that develops as fibrotic healing from intubation,. Tracheal stenosis is a common complication of endotracheal intubation or tracheostomy, resulting in significant morbidity. It can also arise as part of the spectrum of. Although infraglottic stenosis most commonly results from endotracheal tube damage, it may occur after damage of the 1st tracheal. Tracheal Stenosis Following Endotracheal Intubation.
From www.researchgate.net
Spectrum of pathological phenotoypes of the tracheal cartilages. 1a Tracheal Stenosis Following Endotracheal Intubation Bronchoscopy is standard of practice for. Tracheal stenosis is a common complication of endotracheal intubation or tracheostomy, resulting in significant morbidity. The most common procedure to correct postintubation tracheal stenosis was tracheal resection with an anastomosis between trachea. Tracheal stenosis is usually acquired following intubation or tracheostomy. Nonmalignant tracheal stenosis is a potentially life threatening conditions that develops as fibrotic. Tracheal Stenosis Following Endotracheal Intubation.
From www.cureus.com
Cureus AngiotensinConverting Enzyme InhibitorInduced Angioedema Tracheal Stenosis Following Endotracheal Intubation Tracheal stenosis can present following intubation and tracheostomy. It can also arise as part of the spectrum of. Tracheal stenosis is usually acquired following intubation or tracheostomy. Tracheal stenosis following prolonged intubation is a relatively rare but serious problem. The most common procedure to correct postintubation tracheal stenosis was tracheal resection with an anastomosis between trachea. Bronchoscopy is standard of. Tracheal Stenosis Following Endotracheal Intubation.
From clinicalpub.com
Tracheal Lesions Clinical Tree Tracheal Stenosis Following Endotracheal Intubation Bronchoscopy is standard of practice for. This condition is usually managed by surgical or endoscopic interventions. Although infraglottic stenosis most commonly results from endotracheal tube damage, it may occur after damage of the 1st tracheal ring or. Tracheal stenosis is a common complication of endotracheal intubation or tracheostomy, resulting in significant morbidity. The most common procedure to correct postintubation tracheal. Tracheal Stenosis Following Endotracheal Intubation.
From www.researchgate.net
Diagram representing potential mechanism for tracheal mucosal perfusion Tracheal Stenosis Following Endotracheal Intubation It can also arise as part of the spectrum of. Although infraglottic stenosis most commonly results from endotracheal tube damage, it may occur after damage of the 1st tracheal ring or. Tracheal stenosis can present following intubation and tracheostomy. Nonmalignant tracheal stenosis is a potentially life threatening conditions that develops as fibrotic healing from intubation,. Bronchoscopy is standard of practice. Tracheal Stenosis Following Endotracheal Intubation.
From www.slideserve.com
PPT Postintubation tracheal stenosis and surgery PowerPoint Tracheal Stenosis Following Endotracheal Intubation Tracheal stenosis is usually acquired following intubation or tracheostomy. Tracheal stenosis following prolonged intubation is a relatively rare but serious problem. Tracheal stenosis is a common complication of endotracheal intubation or tracheostomy, resulting in significant morbidity. It can also arise as part of the spectrum of. The most common procedure to correct postintubation tracheal stenosis was tracheal resection with an. Tracheal Stenosis Following Endotracheal Intubation.
From www.slideserve.com
PPT Postintubation tracheal stenosis and surgery PowerPoint Tracheal Stenosis Following Endotracheal Intubation It can also arise as part of the spectrum of. The most common procedure to correct postintubation tracheal stenosis was tracheal resection with an anastomosis between trachea. Tracheal stenosis is usually acquired following intubation or tracheostomy. Bronchoscopy is standard of practice for. This condition is usually managed by surgical or endoscopic interventions. Although infraglottic stenosis most commonly results from endotracheal. Tracheal Stenosis Following Endotracheal Intubation.
From learningradiology.com
Learning Radiology Tracheal Stenosis Tracheal Stenosis Following Endotracheal Intubation It can also arise as part of the spectrum of. This condition is usually managed by surgical or endoscopic interventions. Tracheal stenosis is usually acquired following intubation or tracheostomy. Tracheal stenosis can present following intubation and tracheostomy. Bronchoscopy is standard of practice for. Nonmalignant tracheal stenosis is a potentially life threatening conditions that develops as fibrotic healing from intubation,. Tracheal. Tracheal Stenosis Following Endotracheal Intubation.
From www.researchgate.net
(PDF) Management of COVID19related postintubation tracheal stenosis Tracheal Stenosis Following Endotracheal Intubation Tracheal stenosis is a common complication of endotracheal intubation or tracheostomy, resulting in significant morbidity. This condition is usually managed by surgical or endoscopic interventions. Bronchoscopy is standard of practice for. Tracheal stenosis following prolonged intubation is a relatively rare but serious problem. Nonmalignant tracheal stenosis is a potentially life threatening conditions that develops as fibrotic healing from intubation,. The. Tracheal Stenosis Following Endotracheal Intubation.
From krixfert.blogspot.com
Complications Of Endotracheal Intubation / Endotracheal Intubation Tracheal Stenosis Following Endotracheal Intubation Nonmalignant tracheal stenosis is a potentially life threatening conditions that develops as fibrotic healing from intubation,. Bronchoscopy is standard of practice for. Tracheal stenosis is a common complication of endotracheal intubation or tracheostomy, resulting in significant morbidity. This condition is usually managed by surgical or endoscopic interventions. Tracheal stenosis is usually acquired following intubation or tracheostomy. Tracheal stenosis following prolonged. Tracheal Stenosis Following Endotracheal Intubation.
From file.scirp.org
Surgery for Acute Complicated Tracheal Stenosis Tracheal Stenosis Following Endotracheal Intubation Nonmalignant tracheal stenosis is a potentially life threatening conditions that develops as fibrotic healing from intubation,. Tracheal stenosis is a common complication of endotracheal intubation or tracheostomy, resulting in significant morbidity. This condition is usually managed by surgical or endoscopic interventions. Although infraglottic stenosis most commonly results from endotracheal tube damage, it may occur after damage of the 1st tracheal. Tracheal Stenosis Following Endotracheal Intubation.
From rubbuy781.blogspot.com
laryngeal tracheal stenosis grade IV . UPPER airway stenosis due to Tracheal Stenosis Following Endotracheal Intubation Tracheal stenosis is a common complication of endotracheal intubation or tracheostomy, resulting in significant morbidity. Nonmalignant tracheal stenosis is a potentially life threatening conditions that develops as fibrotic healing from intubation,. This condition is usually managed by surgical or endoscopic interventions. It can also arise as part of the spectrum of. Tracheal stenosis can present following intubation and tracheostomy. Tracheal. Tracheal Stenosis Following Endotracheal Intubation.
From journal.chestnet.org
Treatment of Tracheobronchial Injuries CHEST Tracheal Stenosis Following Endotracheal Intubation Tracheal stenosis following prolonged intubation is a relatively rare but serious problem. Although infraglottic stenosis most commonly results from endotracheal tube damage, it may occur after damage of the 1st tracheal ring or. Nonmalignant tracheal stenosis is a potentially life threatening conditions that develops as fibrotic healing from intubation,. The most common procedure to correct postintubation tracheal stenosis was tracheal. Tracheal Stenosis Following Endotracheal Intubation.
From study.com
Endotracheal Tubes Indications & Patient Management Lesson Tracheal Stenosis Following Endotracheal Intubation Tracheal stenosis is a common complication of endotracheal intubation or tracheostomy, resulting in significant morbidity. Bronchoscopy is standard of practice for. Although infraglottic stenosis most commonly results from endotracheal tube damage, it may occur after damage of the 1st tracheal ring or. Tracheal stenosis following prolonged intubation is a relatively rare but serious problem. Nonmalignant tracheal stenosis is a potentially. Tracheal Stenosis Following Endotracheal Intubation.
From www.researchgate.net
(PDF) TracheoEsophageal fistula and laryngotracheal stenosis following Tracheal Stenosis Following Endotracheal Intubation Tracheal stenosis is a common complication of endotracheal intubation or tracheostomy, resulting in significant morbidity. It can also arise as part of the spectrum of. Nonmalignant tracheal stenosis is a potentially life threatening conditions that develops as fibrotic healing from intubation,. The most common procedure to correct postintubation tracheal stenosis was tracheal resection with an anastomosis between trachea. Bronchoscopy is. Tracheal Stenosis Following Endotracheal Intubation.
From entokey.com
Subglottic Stenosis Ento Key Tracheal Stenosis Following Endotracheal Intubation Tracheal stenosis is a common complication of endotracheal intubation or tracheostomy, resulting in significant morbidity. Tracheal stenosis following prolonged intubation is a relatively rare but serious problem. This condition is usually managed by surgical or endoscopic interventions. Tracheal stenosis is usually acquired following intubation or tracheostomy. Although infraglottic stenosis most commonly results from endotracheal tube damage, it may occur after. Tracheal Stenosis Following Endotracheal Intubation.
From dokumen.tips
(PDF) Canine model of subglottic stenosis secondary to prolonged Tracheal Stenosis Following Endotracheal Intubation Tracheal stenosis following prolonged intubation is a relatively rare but serious problem. This condition is usually managed by surgical or endoscopic interventions. Bronchoscopy is standard of practice for. It can also arise as part of the spectrum of. Tracheal stenosis can present following intubation and tracheostomy. The most common procedure to correct postintubation tracheal stenosis was tracheal resection with an. Tracheal Stenosis Following Endotracheal Intubation.
From www.pinterest.co.kr
Laryngotracheal Stenosis (With images) Stenosis, Tracheal stenosis Tracheal Stenosis Following Endotracheal Intubation It can also arise as part of the spectrum of. Tracheal stenosis is a common complication of endotracheal intubation or tracheostomy, resulting in significant morbidity. The most common procedure to correct postintubation tracheal stenosis was tracheal resection with an anastomosis between trachea. This condition is usually managed by surgical or endoscopic interventions. Tracheal stenosis can present following intubation and tracheostomy.. Tracheal Stenosis Following Endotracheal Intubation.
From www.nejm.org
Postoperative Tracheal Stenosis — NEJM Tracheal Stenosis Following Endotracheal Intubation This condition is usually managed by surgical or endoscopic interventions. Tracheal stenosis is usually acquired following intubation or tracheostomy. Bronchoscopy is standard of practice for. Tracheal stenosis is a common complication of endotracheal intubation or tracheostomy, resulting in significant morbidity. Tracheal stenosis following prolonged intubation is a relatively rare but serious problem. Tracheal stenosis can present following intubation and tracheostomy.. Tracheal Stenosis Following Endotracheal Intubation.
From www.globalradiologycme.com
Post Intubation Tracheal Stenosis Tracheal Stenosis Following Endotracheal Intubation Tracheal stenosis following prolonged intubation is a relatively rare but serious problem. Although infraglottic stenosis most commonly results from endotracheal tube damage, it may occur after damage of the 1st tracheal ring or. Tracheal stenosis is a common complication of endotracheal intubation or tracheostomy, resulting in significant morbidity. Nonmalignant tracheal stenosis is a potentially life threatening conditions that develops as. Tracheal Stenosis Following Endotracheal Intubation.
From journals.sagepub.com
Difficult intubation and anesthetic management in an adult patient with Tracheal Stenosis Following Endotracheal Intubation Tracheal stenosis following prolonged intubation is a relatively rare but serious problem. Nonmalignant tracheal stenosis is a potentially life threatening conditions that develops as fibrotic healing from intubation,. Bronchoscopy is standard of practice for. Tracheal stenosis is usually acquired following intubation or tracheostomy. Tracheal stenosis can present following intubation and tracheostomy. Although infraglottic stenosis most commonly results from endotracheal tube. Tracheal Stenosis Following Endotracheal Intubation.
From holisticdoctoronline.com
Tracheal Extubation Holistic Doctor Online Tracheal Stenosis Following Endotracheal Intubation The most common procedure to correct postintubation tracheal stenosis was tracheal resection with an anastomosis between trachea. Tracheal stenosis is a common complication of endotracheal intubation or tracheostomy, resulting in significant morbidity. Tracheal stenosis can present following intubation and tracheostomy. Tracheal stenosis following prolonged intubation is a relatively rare but serious problem. Bronchoscopy is standard of practice for. Although infraglottic. Tracheal Stenosis Following Endotracheal Intubation.
From file.scirp.org
Different Approaches on Various Cases of Tracheal Stenosis Tracheal Stenosis Following Endotracheal Intubation Tracheal stenosis is a common complication of endotracheal intubation or tracheostomy, resulting in significant morbidity. Although infraglottic stenosis most commonly results from endotracheal tube damage, it may occur after damage of the 1st tracheal ring or. Tracheal stenosis can present following intubation and tracheostomy. Nonmalignant tracheal stenosis is a potentially life threatening conditions that develops as fibrotic healing from intubation,.. Tracheal Stenosis Following Endotracheal Intubation.
From www.criticalcareupdate.com
Post intubation tracheal stenosis Critical Care Update Tracheal Stenosis Following Endotracheal Intubation It can also arise as part of the spectrum of. Tracheal stenosis is a common complication of endotracheal intubation or tracheostomy, resulting in significant morbidity. Tracheal stenosis is usually acquired following intubation or tracheostomy. Tracheal stenosis can present following intubation and tracheostomy. The most common procedure to correct postintubation tracheal stenosis was tracheal resection with an anastomosis between trachea. Tracheal. Tracheal Stenosis Following Endotracheal Intubation.
From www.researchgate.net
(PDF) Management of severe tracheal stenosis caused by repeated Tracheal Stenosis Following Endotracheal Intubation Tracheal stenosis can present following intubation and tracheostomy. The most common procedure to correct postintubation tracheal stenosis was tracheal resection with an anastomosis between trachea. Although infraglottic stenosis most commonly results from endotracheal tube damage, it may occur after damage of the 1st tracheal ring or. Tracheal stenosis is usually acquired following intubation or tracheostomy. Bronchoscopy is standard of practice. Tracheal Stenosis Following Endotracheal Intubation.
From www.cureus.com
Cureus AngiotensinConverting Enzyme InhibitorInduced Angioedema Tracheal Stenosis Following Endotracheal Intubation The most common procedure to correct postintubation tracheal stenosis was tracheal resection with an anastomosis between trachea. Nonmalignant tracheal stenosis is a potentially life threatening conditions that develops as fibrotic healing from intubation,. Although infraglottic stenosis most commonly results from endotracheal tube damage, it may occur after damage of the 1st tracheal ring or. Tracheal stenosis is usually acquired following. Tracheal Stenosis Following Endotracheal Intubation.
From www.researchgate.net
The diagrammatic representation of the threeway procedure adapted for Tracheal Stenosis Following Endotracheal Intubation It can also arise as part of the spectrum of. Tracheal stenosis can present following intubation and tracheostomy. Tracheal stenosis is a common complication of endotracheal intubation or tracheostomy, resulting in significant morbidity. Tracheal stenosis following prolonged intubation is a relatively rare but serious problem. This condition is usually managed by surgical or endoscopic interventions. The most common procedure to. Tracheal Stenosis Following Endotracheal Intubation.
From openi.nlm.nih.gov
This chest Xray shows suspicious lesion of subglottic Openi Tracheal Stenosis Following Endotracheal Intubation Nonmalignant tracheal stenosis is a potentially life threatening conditions that develops as fibrotic healing from intubation,. The most common procedure to correct postintubation tracheal stenosis was tracheal resection with an anastomosis between trachea. Tracheal stenosis is usually acquired following intubation or tracheostomy. This condition is usually managed by surgical or endoscopic interventions. Tracheal stenosis following prolonged intubation is a relatively. Tracheal Stenosis Following Endotracheal Intubation.
From www.cureus.com
Cureus AngiotensinConverting Enzyme InhibitorInduced Angioedema Tracheal Stenosis Following Endotracheal Intubation It can also arise as part of the spectrum of. Tracheal stenosis can present following intubation and tracheostomy. Tracheal stenosis is a common complication of endotracheal intubation or tracheostomy, resulting in significant morbidity. The most common procedure to correct postintubation tracheal stenosis was tracheal resection with an anastomosis between trachea. Nonmalignant tracheal stenosis is a potentially life threatening conditions that. Tracheal Stenosis Following Endotracheal Intubation.
From www.researchgate.net
(PDF) Demographic Evaluation of LaryngoTracheal Stenosis Following Tracheal Stenosis Following Endotracheal Intubation Although infraglottic stenosis most commonly results from endotracheal tube damage, it may occur after damage of the 1st tracheal ring or. Tracheal stenosis is a common complication of endotracheal intubation or tracheostomy, resulting in significant morbidity. Tracheal stenosis can present following intubation and tracheostomy. This condition is usually managed by surgical or endoscopic interventions. Tracheal stenosis is usually acquired following. Tracheal Stenosis Following Endotracheal Intubation.
From www.semanticscholar.org
Figure 2 from Tracheal Stenosis After Endotracheal Intubation and Tracheal Stenosis Following Endotracheal Intubation Tracheal stenosis following prolonged intubation is a relatively rare but serious problem. This condition is usually managed by surgical or endoscopic interventions. Nonmalignant tracheal stenosis is a potentially life threatening conditions that develops as fibrotic healing from intubation,. The most common procedure to correct postintubation tracheal stenosis was tracheal resection with an anastomosis between trachea. Tracheal stenosis is usually acquired. Tracheal Stenosis Following Endotracheal Intubation.
From h15.beauty
Endotracheal Intubation Anatomy Tracheal Stenosis Following Endotracheal Intubation Although infraglottic stenosis most commonly results from endotracheal tube damage, it may occur after damage of the 1st tracheal ring or. Tracheal stenosis can present following intubation and tracheostomy. Nonmalignant tracheal stenosis is a potentially life threatening conditions that develops as fibrotic healing from intubation,. Tracheal stenosis following prolonged intubation is a relatively rare but serious problem. This condition is. Tracheal Stenosis Following Endotracheal Intubation.
From www.researchgate.net
(PDF) Post intubation tracheal stenosis Tracheal Stenosis Following Endotracheal Intubation Nonmalignant tracheal stenosis is a potentially life threatening conditions that develops as fibrotic healing from intubation,. It can also arise as part of the spectrum of. Tracheal stenosis is a common complication of endotracheal intubation or tracheostomy, resulting in significant morbidity. This condition is usually managed by surgical or endoscopic interventions. Tracheal stenosis following prolonged intubation is a relatively rare. Tracheal Stenosis Following Endotracheal Intubation.