Ogilvie S Syndrome Decompression . Decompression of the colon is needed, before the colon dilates beyond a point of no return. Mortality rates associated w ith ogilvie syndrome are notably higher when these complications arise. It may be managed by addressing underlying conditions (ie,. Conservative management involves a trial of bowel rest, nasogastric tube decompression, and rectal tube placement. Many different approaches have been used to manage ogilvie's syndrome. Nasogastric suction or decompression can be helpful; Furthermore, rectal tube decompression can be therapeutic in some cases. Timely intervention, including deco mpressive pr ocedures,.
from reference.medscape.com
It may be managed by addressing underlying conditions (ie,. Conservative management involves a trial of bowel rest, nasogastric tube decompression, and rectal tube placement. Many different approaches have been used to manage ogilvie's syndrome. Decompression of the colon is needed, before the colon dilates beyond a point of no return. Mortality rates associated w ith ogilvie syndrome are notably higher when these complications arise. Nasogastric suction or decompression can be helpful; Timely intervention, including deco mpressive pr ocedures,. Furthermore, rectal tube decompression can be therapeutic in some cases.
Ogilvie Syndrome (Acute Colonic Pseudoobstruction) Early Recognition and Treatment Are Key
Ogilvie S Syndrome Decompression It may be managed by addressing underlying conditions (ie,. Nasogastric suction or decompression can be helpful; Decompression of the colon is needed, before the colon dilates beyond a point of no return. Furthermore, rectal tube decompression can be therapeutic in some cases. Many different approaches have been used to manage ogilvie's syndrome. It may be managed by addressing underlying conditions (ie,. Conservative management involves a trial of bowel rest, nasogastric tube decompression, and rectal tube placement. Timely intervention, including deco mpressive pr ocedures,. Mortality rates associated w ith ogilvie syndrome are notably higher when these complications arise.
From onlinelibrary.wiley.com
Novel technique of insertion of tube for Ogilvie's syndrome/colonic pseudo Ogilvie S Syndrome Decompression Many different approaches have been used to manage ogilvie's syndrome. Conservative management involves a trial of bowel rest, nasogastric tube decompression, and rectal tube placement. Nasogastric suction or decompression can be helpful; It may be managed by addressing underlying conditions (ie,. Furthermore, rectal tube decompression can be therapeutic in some cases. Mortality rates associated w ith ogilvie syndrome are notably. Ogilvie S Syndrome Decompression.
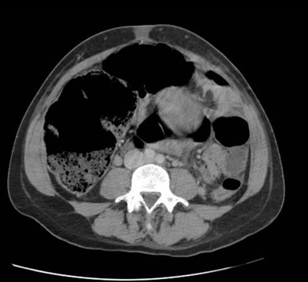
From radiopaedia.org
Ogilvie syndrome Image Ogilvie S Syndrome Decompression Mortality rates associated w ith ogilvie syndrome are notably higher when these complications arise. Many different approaches have been used to manage ogilvie's syndrome. Timely intervention, including deco mpressive pr ocedures,. Furthermore, rectal tube decompression can be therapeutic in some cases. Nasogastric suction or decompression can be helpful; Decompression of the colon is needed, before the colon dilates beyond a. Ogilvie S Syndrome Decompression.
From radiopaedia.org
Ogilvie syndrome Image Ogilvie S Syndrome Decompression Timely intervention, including deco mpressive pr ocedures,. Mortality rates associated w ith ogilvie syndrome are notably higher when these complications arise. It may be managed by addressing underlying conditions (ie,. Decompression of the colon is needed, before the colon dilates beyond a point of no return. Conservative management involves a trial of bowel rest, nasogastric tube decompression, and rectal tube. Ogilvie S Syndrome Decompression.
From www.semanticscholar.org
Controlled transperitoneal percutaneous cecostomy as a therapeutic alternative to the endoscopic Ogilvie S Syndrome Decompression Nasogastric suction or decompression can be helpful; Many different approaches have been used to manage ogilvie's syndrome. Decompression of the colon is needed, before the colon dilates beyond a point of no return. Timely intervention, including deco mpressive pr ocedures,. It may be managed by addressing underlying conditions (ie,. Conservative management involves a trial of bowel rest, nasogastric tube decompression,. Ogilvie S Syndrome Decompression.
From radiopaedia.org
Ogilvie syndrome Image Ogilvie S Syndrome Decompression Many different approaches have been used to manage ogilvie's syndrome. It may be managed by addressing underlying conditions (ie,. Mortality rates associated w ith ogilvie syndrome are notably higher when these complications arise. Timely intervention, including deco mpressive pr ocedures,. Decompression of the colon is needed, before the colon dilates beyond a point of no return. Nasogastric suction or decompression. Ogilvie S Syndrome Decompression.
From jmedicalcasereports.biomedcentral.com
Ogilvie's syndrome with caecal perforation after Caesarean section a case report Journal of Ogilvie S Syndrome Decompression Mortality rates associated w ith ogilvie syndrome are notably higher when these complications arise. Decompression of the colon is needed, before the colon dilates beyond a point of no return. It may be managed by addressing underlying conditions (ie,. Many different approaches have been used to manage ogilvie's syndrome. Nasogastric suction or decompression can be helpful; Conservative management involves a. Ogilvie S Syndrome Decompression.
From www.cureus.com
Cureus Ogilvie’s Syndrome Secondary to Narcotics Complicated by Colonic Perforation Ogilvie S Syndrome Decompression It may be managed by addressing underlying conditions (ie,. Many different approaches have been used to manage ogilvie's syndrome. Nasogastric suction or decompression can be helpful; Mortality rates associated w ith ogilvie syndrome are notably higher when these complications arise. Conservative management involves a trial of bowel rest, nasogastric tube decompression, and rectal tube placement. Furthermore, rectal tube decompression can. Ogilvie S Syndrome Decompression.
From www.wikidoc.org
Ogilvie syndrome CT wikidoc Ogilvie S Syndrome Decompression Timely intervention, including deco mpressive pr ocedures,. Many different approaches have been used to manage ogilvie's syndrome. It may be managed by addressing underlying conditions (ie,. Furthermore, rectal tube decompression can be therapeutic in some cases. Nasogastric suction or decompression can be helpful; Decompression of the colon is needed, before the colon dilates beyond a point of no return. Conservative. Ogilvie S Syndrome Decompression.
From radiopaedia.org
Ogilvie syndrome Image Ogilvie S Syndrome Decompression It may be managed by addressing underlying conditions (ie,. Many different approaches have been used to manage ogilvie's syndrome. Conservative management involves a trial of bowel rest, nasogastric tube decompression, and rectal tube placement. Decompression of the colon is needed, before the colon dilates beyond a point of no return. Nasogastric suction or decompression can be helpful; Timely intervention, including. Ogilvie S Syndrome Decompression.
From www.researchgate.net
(PDF) Colonoscopic should be used before neostigmine in the treatment of Ogilvie’s Ogilvie S Syndrome Decompression Decompression of the colon is needed, before the colon dilates beyond a point of no return. Timely intervention, including deco mpressive pr ocedures,. Furthermore, rectal tube decompression can be therapeutic in some cases. Nasogastric suction or decompression can be helpful; It may be managed by addressing underlying conditions (ie,. Mortality rates associated w ith ogilvie syndrome are notably higher when. Ogilvie S Syndrome Decompression.
From www.slideserve.com
PPT Ogilvie Syndrome A Gastrointestinal Clinical Case Study PowerPoint Presentation ID9679835 Ogilvie S Syndrome Decompression Many different approaches have been used to manage ogilvie's syndrome. Timely intervention, including deco mpressive pr ocedures,. Furthermore, rectal tube decompression can be therapeutic in some cases. It may be managed by addressing underlying conditions (ie,. Nasogastric suction or decompression can be helpful; Mortality rates associated w ith ogilvie syndrome are notably higher when these complications arise. Decompression of the. Ogilvie S Syndrome Decompression.
From www.ejog.org
The OSign early recognition of Oshaped abdominal distension avoids drastic surgical Ogilvie S Syndrome Decompression Timely intervention, including deco mpressive pr ocedures,. Nasogastric suction or decompression can be helpful; Decompression of the colon is needed, before the colon dilates beyond a point of no return. Many different approaches have been used to manage ogilvie's syndrome. Mortality rates associated w ith ogilvie syndrome are notably higher when these complications arise. Furthermore, rectal tube decompression can be. Ogilvie S Syndrome Decompression.
From www.cureus.com
Cureus Stretched to the Max The Successful Medical Management of Ogilvie Syndrome in a Ogilvie S Syndrome Decompression Many different approaches have been used to manage ogilvie's syndrome. Mortality rates associated w ith ogilvie syndrome are notably higher when these complications arise. Decompression of the colon is needed, before the colon dilates beyond a point of no return. Furthermore, rectal tube decompression can be therapeutic in some cases. Timely intervention, including deco mpressive pr ocedures,. Nasogastric suction or. Ogilvie S Syndrome Decompression.
From medicolearning.com
Ogilvie’s Syndrome (AcuteColonic Pseudo Obstruction) MedicoLearning Ogilvie S Syndrome Decompression Timely intervention, including deco mpressive pr ocedures,. Decompression of the colon is needed, before the colon dilates beyond a point of no return. Furthermore, rectal tube decompression can be therapeutic in some cases. Many different approaches have been used to manage ogilvie's syndrome. Conservative management involves a trial of bowel rest, nasogastric tube decompression, and rectal tube placement. Nasogastric suction. Ogilvie S Syndrome Decompression.
From rk.md
Ogilvie's Syndrome RK.MD Ogilvie S Syndrome Decompression Mortality rates associated w ith ogilvie syndrome are notably higher when these complications arise. Furthermore, rectal tube decompression can be therapeutic in some cases. Decompression of the colon is needed, before the colon dilates beyond a point of no return. It may be managed by addressing underlying conditions (ie,. Many different approaches have been used to manage ogilvie's syndrome. Timely. Ogilvie S Syndrome Decompression.
From www.cureus.com
Cureus Stretched to the Max The Successful Medical Management of Ogilvie Syndrome in a Ogilvie S Syndrome Decompression Nasogastric suction or decompression can be helpful; Timely intervention, including deco mpressive pr ocedures,. Conservative management involves a trial of bowel rest, nasogastric tube decompression, and rectal tube placement. It may be managed by addressing underlying conditions (ie,. Many different approaches have been used to manage ogilvie's syndrome. Mortality rates associated w ith ogilvie syndrome are notably higher when these. Ogilvie S Syndrome Decompression.
From www.slideshare.net
Ogilvie syndrom Ogilvie S Syndrome Decompression Mortality rates associated w ith ogilvie syndrome are notably higher when these complications arise. Decompression of the colon is needed, before the colon dilates beyond a point of no return. Furthermore, rectal tube decompression can be therapeutic in some cases. Conservative management involves a trial of bowel rest, nasogastric tube decompression, and rectal tube placement. Many different approaches have been. Ogilvie S Syndrome Decompression.
From jmedicalcasereports.biomedcentral.com
Ogilvie's syndrome with caecal perforation after Caesarean section a case report Journal of Ogilvie S Syndrome Decompression Nasogastric suction or decompression can be helpful; It may be managed by addressing underlying conditions (ie,. Timely intervention, including deco mpressive pr ocedures,. Conservative management involves a trial of bowel rest, nasogastric tube decompression, and rectal tube placement. Many different approaches have been used to manage ogilvie's syndrome. Furthermore, rectal tube decompression can be therapeutic in some cases. Mortality rates. Ogilvie S Syndrome Decompression.
From reference.medscape.com
Ogilvie Syndrome (Acute Colonic Pseudoobstruction) Early Recognition and Treatment Are Key Ogilvie S Syndrome Decompression Mortality rates associated w ith ogilvie syndrome are notably higher when these complications arise. Many different approaches have been used to manage ogilvie's syndrome. Conservative management involves a trial of bowel rest, nasogastric tube decompression, and rectal tube placement. Nasogastric suction or decompression can be helpful; Timely intervention, including deco mpressive pr ocedures,. It may be managed by addressing underlying. Ogilvie S Syndrome Decompression.
From www.rwkgoodman.com
What is Ogilvie syndrome? Symptoms, diagnosis, treatment and more, explained. RWK Goodman Ogilvie S Syndrome Decompression Nasogastric suction or decompression can be helpful; Timely intervention, including deco mpressive pr ocedures,. Conservative management involves a trial of bowel rest, nasogastric tube decompression, and rectal tube placement. Decompression of the colon is needed, before the colon dilates beyond a point of no return. It may be managed by addressing underlying conditions (ie,. Furthermore, rectal tube decompression can be. Ogilvie S Syndrome Decompression.
From www.ogmagazine.org.au
Ogilvie’s syndrome a fourth trimester reality O&G Magazine Ogilvie S Syndrome Decompression Mortality rates associated w ith ogilvie syndrome are notably higher when these complications arise. Decompression of the colon is needed, before the colon dilates beyond a point of no return. Many different approaches have been used to manage ogilvie's syndrome. Conservative management involves a trial of bowel rest, nasogastric tube decompression, and rectal tube placement. It may be managed by. Ogilvie S Syndrome Decompression.
From www.wikidoc.org
Ogilvie syndrome x ray wikidoc Ogilvie S Syndrome Decompression Mortality rates associated w ith ogilvie syndrome are notably higher when these complications arise. Conservative management involves a trial of bowel rest, nasogastric tube decompression, and rectal tube placement. Furthermore, rectal tube decompression can be therapeutic in some cases. Decompression of the colon is needed, before the colon dilates beyond a point of no return. It may be managed by. Ogilvie S Syndrome Decompression.
From www.cmaj.ca
Ogilvie syndrome acute pseudoobstruction of the colon CMAJ Ogilvie S Syndrome Decompression It may be managed by addressing underlying conditions (ie,. Nasogastric suction or decompression can be helpful; Decompression of the colon is needed, before the colon dilates beyond a point of no return. Conservative management involves a trial of bowel rest, nasogastric tube decompression, and rectal tube placement. Furthermore, rectal tube decompression can be therapeutic in some cases. Mortality rates associated. Ogilvie S Syndrome Decompression.
From www.researchgate.net
Flow chart indicating the suggested protocol of the management of... Download Scientific Diagram Ogilvie S Syndrome Decompression It may be managed by addressing underlying conditions (ie,. Many different approaches have been used to manage ogilvie's syndrome. Timely intervention, including deco mpressive pr ocedures,. Nasogastric suction or decompression can be helpful; Furthermore, rectal tube decompression can be therapeutic in some cases. Decompression of the colon is needed, before the colon dilates beyond a point of no return. Mortality. Ogilvie S Syndrome Decompression.
From ibimapublishing.com
IBIMA Publishing The Giant Caecum with No Apparent Reason Ogilvie’s Syndrome Ogilvie S Syndrome Decompression Conservative management involves a trial of bowel rest, nasogastric tube decompression, and rectal tube placement. Furthermore, rectal tube decompression can be therapeutic in some cases. It may be managed by addressing underlying conditions (ie,. Nasogastric suction or decompression can be helpful; Many different approaches have been used to manage ogilvie's syndrome. Timely intervention, including deco mpressive pr ocedures,. Decompression of. Ogilvie S Syndrome Decompression.
From www.slideserve.com
PPT Ogilvie Syndrome A Gastrointestinal Clinical Case Study PowerPoint Presentation ID9679835 Ogilvie S Syndrome Decompression Nasogastric suction or decompression can be helpful; It may be managed by addressing underlying conditions (ie,. Decompression of the colon is needed, before the colon dilates beyond a point of no return. Furthermore, rectal tube decompression can be therapeutic in some cases. Mortality rates associated w ith ogilvie syndrome are notably higher when these complications arise. Timely intervention, including deco. Ogilvie S Syndrome Decompression.
From jetem.org
Ogilvie's Syndrome, CT, Annotated. JETem 2020 JETem Ogilvie S Syndrome Decompression Conservative management involves a trial of bowel rest, nasogastric tube decompression, and rectal tube placement. Decompression of the colon is needed, before the colon dilates beyond a point of no return. It may be managed by addressing underlying conditions (ie,. Mortality rates associated w ith ogilvie syndrome are notably higher when these complications arise. Timely intervention, including deco mpressive pr. Ogilvie S Syndrome Decompression.
From twitter.com
Sthanu on Twitter "Dx acute colonic pseudoobstruction, or Ogilvie’s syndrome ♦️ initially Ogilvie S Syndrome Decompression Nasogastric suction or decompression can be helpful; Mortality rates associated w ith ogilvie syndrome are notably higher when these complications arise. Many different approaches have been used to manage ogilvie's syndrome. Decompression of the colon is needed, before the colon dilates beyond a point of no return. Timely intervention, including deco mpressive pr ocedures,. Conservative management involves a trial of. Ogilvie S Syndrome Decompression.
From www.youtube.com
Ogilvie syndrome YouTube Ogilvie S Syndrome Decompression It may be managed by addressing underlying conditions (ie,. Conservative management involves a trial of bowel rest, nasogastric tube decompression, and rectal tube placement. Timely intervention, including deco mpressive pr ocedures,. Decompression of the colon is needed, before the colon dilates beyond a point of no return. Nasogastric suction or decompression can be helpful; Many different approaches have been used. Ogilvie S Syndrome Decompression.
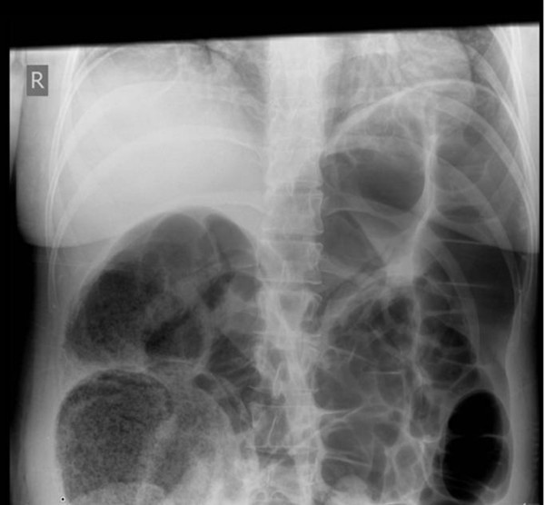
From jetem.org
Ogilvie's Syndrome, XRay, Annotated. JETem 2020 JETem Ogilvie S Syndrome Decompression Many different approaches have been used to manage ogilvie's syndrome. Mortality rates associated w ith ogilvie syndrome are notably higher when these complications arise. Decompression of the colon is needed, before the colon dilates beyond a point of no return. Timely intervention, including deco mpressive pr ocedures,. It may be managed by addressing underlying conditions (ie,. Conservative management involves a. Ogilvie S Syndrome Decompression.
From radiopaedia.org
Ogilvie syndrome Image Ogilvie S Syndrome Decompression Nasogastric suction or decompression can be helpful; Furthermore, rectal tube decompression can be therapeutic in some cases. Conservative management involves a trial of bowel rest, nasogastric tube decompression, and rectal tube placement. Mortality rates associated w ith ogilvie syndrome are notably higher when these complications arise. Decompression of the colon is needed, before the colon dilates beyond a point of. Ogilvie S Syndrome Decompression.
From www.researchgate.net
(PDF) A Rare Case of Ogilvie Syndrome Associated with Herpes Zoster Ogilvie S Syndrome Decompression Conservative management involves a trial of bowel rest, nasogastric tube decompression, and rectal tube placement. Furthermore, rectal tube decompression can be therapeutic in some cases. It may be managed by addressing underlying conditions (ie,. Decompression of the colon is needed, before the colon dilates beyond a point of no return. Mortality rates associated w ith ogilvie syndrome are notably higher. Ogilvie S Syndrome Decompression.
From www.researchgate.net
(PDF) Ogilvie's syndrome following caesarean section Ogilvie S Syndrome Decompression Decompression of the colon is needed, before the colon dilates beyond a point of no return. Conservative management involves a trial of bowel rest, nasogastric tube decompression, and rectal tube placement. Nasogastric suction or decompression can be helpful; Timely intervention, including deco mpressive pr ocedures,. Many different approaches have been used to manage ogilvie's syndrome. Mortality rates associated w ith. Ogilvie S Syndrome Decompression.
From www.slideshare.net
Ogilvies syndrome Ogilvie S Syndrome Decompression Furthermore, rectal tube decompression can be therapeutic in some cases. It may be managed by addressing underlying conditions (ie,. Decompression of the colon is needed, before the colon dilates beyond a point of no return. Conservative management involves a trial of bowel rest, nasogastric tube decompression, and rectal tube placement. Timely intervention, including deco mpressive pr ocedures,. Mortality rates associated. Ogilvie S Syndrome Decompression.
From casereports.bmj.com
Ogilvie’s syndrome following caesarean section BMJ Case Reports Ogilvie S Syndrome Decompression Conservative management involves a trial of bowel rest, nasogastric tube decompression, and rectal tube placement. Mortality rates associated w ith ogilvie syndrome are notably higher when these complications arise. Decompression of the colon is needed, before the colon dilates beyond a point of no return. Timely intervention, including deco mpressive pr ocedures,. It may be managed by addressing underlying conditions. Ogilvie S Syndrome Decompression.