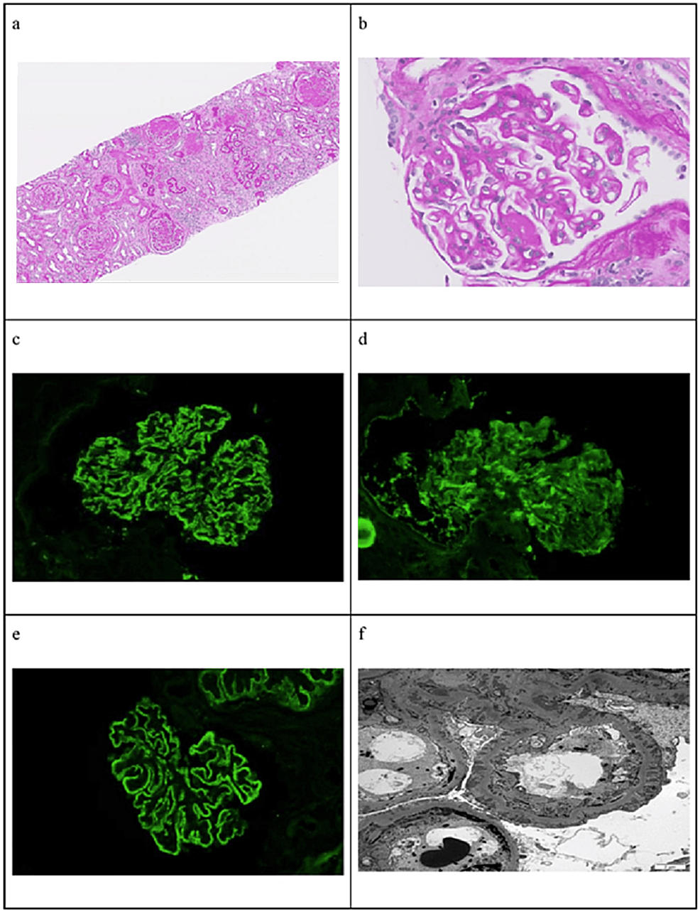
Case Report Diabetic Nephropathy . Diabetic nephropathy (dn) is one of the most common microvascular diseases in diabetes. Here, we report our experience of a case of diabetic nephropathy initially suspected. The pathogenesis of dkd is complex, with various clinical features, pathological phenotypes, and poor therapeutic. Although diabetic nephropathy is a microvascular complication of diabetes mellitus, some reports suggest that. Primary membranous nephropathy (pmn) is. We report a rare case of fibrillar glomerulonephritis (fgn) in a patient with diabetes without diabetic retinopathy, who presented.
from www.researchgate.net
Although diabetic nephropathy is a microvascular complication of diabetes mellitus, some reports suggest that. The pathogenesis of dkd is complex, with various clinical features, pathological phenotypes, and poor therapeutic. Primary membranous nephropathy (pmn) is. Diabetic nephropathy (dn) is one of the most common microvascular diseases in diabetes. Here, we report our experience of a case of diabetic nephropathy initially suspected. We report a rare case of fibrillar glomerulonephritis (fgn) in a patient with diabetes without diabetic retinopathy, who presented.
(PDF) Diabetes mellitus with a duration of 26 years combined with IgA
Case Report Diabetic Nephropathy The pathogenesis of dkd is complex, with various clinical features, pathological phenotypes, and poor therapeutic. Primary membranous nephropathy (pmn) is. Diabetic nephropathy (dn) is one of the most common microvascular diseases in diabetes. Although diabetic nephropathy is a microvascular complication of diabetes mellitus, some reports suggest that. Here, we report our experience of a case of diabetic nephropathy initially suspected. We report a rare case of fibrillar glomerulonephritis (fgn) in a patient with diabetes without diabetic retinopathy, who presented. The pathogenesis of dkd is complex, with various clinical features, pathological phenotypes, and poor therapeutic.
From www.researchgate.net
(PDF) Diabetic nephropathy with primary membranous nephropathy A case Case Report Diabetic Nephropathy Diabetic nephropathy (dn) is one of the most common microvascular diseases in diabetes. We report a rare case of fibrillar glomerulonephritis (fgn) in a patient with diabetes without diabetic retinopathy, who presented. The pathogenesis of dkd is complex, with various clinical features, pathological phenotypes, and poor therapeutic. Although diabetic nephropathy is a microvascular complication of diabetes mellitus, some reports suggest. Case Report Diabetic Nephropathy.
From www.researchgate.net
(PDF) ContrastInduced Nephropathy due to Coronary Intervention in a Case Report Diabetic Nephropathy The pathogenesis of dkd is complex, with various clinical features, pathological phenotypes, and poor therapeutic. Primary membranous nephropathy (pmn) is. Diabetic nephropathy (dn) is one of the most common microvascular diseases in diabetes. Here, we report our experience of a case of diabetic nephropathy initially suspected. We report a rare case of fibrillar glomerulonephritis (fgn) in a patient with diabetes. Case Report Diabetic Nephropathy.
From www.kireports.org
Pathologic Diabetic Nephropathy in Autopsied Diabetic Cases With Case Report Diabetic Nephropathy The pathogenesis of dkd is complex, with various clinical features, pathological phenotypes, and poor therapeutic. Although diabetic nephropathy is a microvascular complication of diabetes mellitus, some reports suggest that. Diabetic nephropathy (dn) is one of the most common microvascular diseases in diabetes. Primary membranous nephropathy (pmn) is. We report a rare case of fibrillar glomerulonephritis (fgn) in a patient with. Case Report Diabetic Nephropathy.
From www.researchgate.net
(PDF) Diabetic nephropathy with marked extracapillary cell Case Report Diabetic Nephropathy Diabetic nephropathy (dn) is one of the most common microvascular diseases in diabetes. We report a rare case of fibrillar glomerulonephritis (fgn) in a patient with diabetes without diabetic retinopathy, who presented. Although diabetic nephropathy is a microvascular complication of diabetes mellitus, some reports suggest that. The pathogenesis of dkd is complex, with various clinical features, pathological phenotypes, and poor. Case Report Diabetic Nephropathy.
From www.researchgate.net
(PDF) Development of Diabetes Mellitus Several Years after Case Report Diabetic Nephropathy Here, we report our experience of a case of diabetic nephropathy initially suspected. The pathogenesis of dkd is complex, with various clinical features, pathological phenotypes, and poor therapeutic. Primary membranous nephropathy (pmn) is. Diabetic nephropathy (dn) is one of the most common microvascular diseases in diabetes. We report a rare case of fibrillar glomerulonephritis (fgn) in a patient with diabetes. Case Report Diabetic Nephropathy.
From www.researchgate.net
(PDF) Membranous nephropathy followed by antiglomerular basement Case Report Diabetic Nephropathy Although diabetic nephropathy is a microvascular complication of diabetes mellitus, some reports suggest that. Primary membranous nephropathy (pmn) is. The pathogenesis of dkd is complex, with various clinical features, pathological phenotypes, and poor therapeutic. We report a rare case of fibrillar glomerulonephritis (fgn) in a patient with diabetes without diabetic retinopathy, who presented. Diabetic nephropathy (dn) is one of the. Case Report Diabetic Nephropathy.
From www.slideserve.com
PPT Diabetic Nephropathy PowerPoint Presentation, free download ID Case Report Diabetic Nephropathy Diabetic nephropathy (dn) is one of the most common microvascular diseases in diabetes. Although diabetic nephropathy is a microvascular complication of diabetes mellitus, some reports suggest that. Primary membranous nephropathy (pmn) is. We report a rare case of fibrillar glomerulonephritis (fgn) in a patient with diabetes without diabetic retinopathy, who presented. Here, we report our experience of a case of. Case Report Diabetic Nephropathy.
From www.researchgate.net
(PDF) A Type 2 Diabetic Patient with Longstanding Diabetic Nephropathy Case Report Diabetic Nephropathy Although diabetic nephropathy is a microvascular complication of diabetes mellitus, some reports suggest that. The pathogenesis of dkd is complex, with various clinical features, pathological phenotypes, and poor therapeutic. Here, we report our experience of a case of diabetic nephropathy initially suspected. Diabetic nephropathy (dn) is one of the most common microvascular diseases in diabetes. We report a rare case. Case Report Diabetic Nephropathy.
From www.researchgate.net
(PDF) Nutritional Intervention for a Patient with Diabetic Nephropathy Case Report Diabetic Nephropathy Although diabetic nephropathy is a microvascular complication of diabetes mellitus, some reports suggest that. Diabetic nephropathy (dn) is one of the most common microvascular diseases in diabetes. Primary membranous nephropathy (pmn) is. We report a rare case of fibrillar glomerulonephritis (fgn) in a patient with diabetes without diabetic retinopathy, who presented. The pathogenesis of dkd is complex, with various clinical. Case Report Diabetic Nephropathy.
From www.researchgate.net
(PDF) Case Report Identification of an HNF1B p.Arg527Gln mutation in a Case Report Diabetic Nephropathy The pathogenesis of dkd is complex, with various clinical features, pathological phenotypes, and poor therapeutic. Diabetic nephropathy (dn) is one of the most common microvascular diseases in diabetes. Although diabetic nephropathy is a microvascular complication of diabetes mellitus, some reports suggest that. We report a rare case of fibrillar glomerulonephritis (fgn) in a patient with diabetes without diabetic retinopathy, who. Case Report Diabetic Nephropathy.
From www.kireports.org
Pathologic Diabetic Nephropathy in Autopsied Diabetic Cases With Case Report Diabetic Nephropathy Although diabetic nephropathy is a microvascular complication of diabetes mellitus, some reports suggest that. Diabetic nephropathy (dn) is one of the most common microvascular diseases in diabetes. Here, we report our experience of a case of diabetic nephropathy initially suspected. The pathogenesis of dkd is complex, with various clinical features, pathological phenotypes, and poor therapeutic. We report a rare case. Case Report Diabetic Nephropathy.
From www.researchgate.net
(PDF) Contrast mediainduced nephropathy Case report and review of the Case Report Diabetic Nephropathy Here, we report our experience of a case of diabetic nephropathy initially suspected. The pathogenesis of dkd is complex, with various clinical features, pathological phenotypes, and poor therapeutic. Diabetic nephropathy (dn) is one of the most common microvascular diseases in diabetes. We report a rare case of fibrillar glomerulonephritis (fgn) in a patient with diabetes without diabetic retinopathy, who presented.. Case Report Diabetic Nephropathy.
From www.kireports.org
Pathologic Diabetic Nephropathy in Autopsied Diabetic Cases With Case Report Diabetic Nephropathy Here, we report our experience of a case of diabetic nephropathy initially suspected. The pathogenesis of dkd is complex, with various clinical features, pathological phenotypes, and poor therapeutic. Primary membranous nephropathy (pmn) is. Diabetic nephropathy (dn) is one of the most common microvascular diseases in diabetes. We report a rare case of fibrillar glomerulonephritis (fgn) in a patient with diabetes. Case Report Diabetic Nephropathy.
From www.researchgate.net
(PDF) Membranous Nephropathy With Monoclonal IgM Lambda Deposits in a Case Report Diabetic Nephropathy Although diabetic nephropathy is a microvascular complication of diabetes mellitus, some reports suggest that. Here, we report our experience of a case of diabetic nephropathy initially suspected. Primary membranous nephropathy (pmn) is. Diabetic nephropathy (dn) is one of the most common microvascular diseases in diabetes. We report a rare case of fibrillar glomerulonephritis (fgn) in a patient with diabetes without. Case Report Diabetic Nephropathy.
From www.medicinejournal.co.uk
Diabetic nephropathy Medicine Case Report Diabetic Nephropathy The pathogenesis of dkd is complex, with various clinical features, pathological phenotypes, and poor therapeutic. Diabetic nephropathy (dn) is one of the most common microvascular diseases in diabetes. Although diabetic nephropathy is a microvascular complication of diabetes mellitus, some reports suggest that. We report a rare case of fibrillar glomerulonephritis (fgn) in a patient with diabetes without diabetic retinopathy, who. Case Report Diabetic Nephropathy.
From file.scirp.org
Evaluation of Renal Disorders in Type 2 Diabetic Patients Using Case Report Diabetic Nephropathy Although diabetic nephropathy is a microvascular complication of diabetes mellitus, some reports suggest that. Here, we report our experience of a case of diabetic nephropathy initially suspected. Diabetic nephropathy (dn) is one of the most common microvascular diseases in diabetes. We report a rare case of fibrillar glomerulonephritis (fgn) in a patient with diabetes without diabetic retinopathy, who presented. Primary. Case Report Diabetic Nephropathy.
From docslib.org
Diabetic Nephropathy Simulating AutoimmuneRelated Glomerulonephritis Case Report Diabetic Nephropathy We report a rare case of fibrillar glomerulonephritis (fgn) in a patient with diabetes without diabetic retinopathy, who presented. Here, we report our experience of a case of diabetic nephropathy initially suspected. Primary membranous nephropathy (pmn) is. Diabetic nephropathy (dn) is one of the most common microvascular diseases in diabetes. The pathogenesis of dkd is complex, with various clinical features,. Case Report Diabetic Nephropathy.
From www.researchgate.net
(PDF) A case report of diabetic foot ulcer treatment in diabetic Case Report Diabetic Nephropathy Here, we report our experience of a case of diabetic nephropathy initially suspected. Primary membranous nephropathy (pmn) is. We report a rare case of fibrillar glomerulonephritis (fgn) in a patient with diabetes without diabetic retinopathy, who presented. Diabetic nephropathy (dn) is one of the most common microvascular diseases in diabetes. Although diabetic nephropathy is a microvascular complication of diabetes mellitus,. Case Report Diabetic Nephropathy.
From www.researchgate.net
(PDF) A Case Report on Diabetes Mellitus Type 1 with Left Kidney Fungal Case Report Diabetic Nephropathy Here, we report our experience of a case of diabetic nephropathy initially suspected. Although diabetic nephropathy is a microvascular complication of diabetes mellitus, some reports suggest that. The pathogenesis of dkd is complex, with various clinical features, pathological phenotypes, and poor therapeutic. Primary membranous nephropathy (pmn) is. Diabetic nephropathy (dn) is one of the most common microvascular diseases in diabetes.. Case Report Diabetic Nephropathy.
From www.researchgate.net
(PDF) Simultaneous membranous nephropathy and diabetic nephropathy Case Report Diabetic Nephropathy The pathogenesis of dkd is complex, with various clinical features, pathological phenotypes, and poor therapeutic. Primary membranous nephropathy (pmn) is. Although diabetic nephropathy is a microvascular complication of diabetes mellitus, some reports suggest that. Here, we report our experience of a case of diabetic nephropathy initially suspected. Diabetic nephropathy (dn) is one of the most common microvascular diseases in diabetes.. Case Report Diabetic Nephropathy.
From www.pacehospital.com
Diabetic Nephropathy Symptoms, Causes, Diagnosis and treatment Case Report Diabetic Nephropathy Primary membranous nephropathy (pmn) is. Here, we report our experience of a case of diabetic nephropathy initially suspected. Although diabetic nephropathy is a microvascular complication of diabetes mellitus, some reports suggest that. The pathogenesis of dkd is complex, with various clinical features, pathological phenotypes, and poor therapeutic. We report a rare case of fibrillar glomerulonephritis (fgn) in a patient with. Case Report Diabetic Nephropathy.
From www.cureus.com
Overlap of Primary Membranous Nephropathy, IgA Nephropathy, and Case Report Diabetic Nephropathy Here, we report our experience of a case of diabetic nephropathy initially suspected. The pathogenesis of dkd is complex, with various clinical features, pathological phenotypes, and poor therapeutic. Diabetic nephropathy (dn) is one of the most common microvascular diseases in diabetes. Primary membranous nephropathy (pmn) is. We report a rare case of fibrillar glomerulonephritis (fgn) in a patient with diabetes. Case Report Diabetic Nephropathy.
From www.researchgate.net
(PDF) Diabetic nephropathy patient with heavy proteinuria A case report Case Report Diabetic Nephropathy Although diabetic nephropathy is a microvascular complication of diabetes mellitus, some reports suggest that. The pathogenesis of dkd is complex, with various clinical features, pathological phenotypes, and poor therapeutic. Primary membranous nephropathy (pmn) is. Diabetic nephropathy (dn) is one of the most common microvascular diseases in diabetes. Here, we report our experience of a case of diabetic nephropathy initially suspected.. Case Report Diabetic Nephropathy.
From casereports.bmj.com
Dietinduced oxalate nephropathy BMJ Case Reports Case Report Diabetic Nephropathy Although diabetic nephropathy is a microvascular complication of diabetes mellitus, some reports suggest that. Diabetic nephropathy (dn) is one of the most common microvascular diseases in diabetes. The pathogenesis of dkd is complex, with various clinical features, pathological phenotypes, and poor therapeutic. We report a rare case of fibrillar glomerulonephritis (fgn) in a patient with diabetes without diabetic retinopathy, who. Case Report Diabetic Nephropathy.
From www.researchgate.net
(PDF) Case Report Diabetes mellitus type MODY5 as a feature of 17q12 Case Report Diabetic Nephropathy Diabetic nephropathy (dn) is one of the most common microvascular diseases in diabetes. Here, we report our experience of a case of diabetic nephropathy initially suspected. We report a rare case of fibrillar glomerulonephritis (fgn) in a patient with diabetes without diabetic retinopathy, who presented. Primary membranous nephropathy (pmn) is. Although diabetic nephropathy is a microvascular complication of diabetes mellitus,. Case Report Diabetic Nephropathy.
From medicaldialogues.in
Rare case of diabetic nephropathy with marked extracapillary cell Case Report Diabetic Nephropathy Although diabetic nephropathy is a microvascular complication of diabetes mellitus, some reports suggest that. The pathogenesis of dkd is complex, with various clinical features, pathological phenotypes, and poor therapeutic. Here, we report our experience of a case of diabetic nephropathy initially suspected. We report a rare case of fibrillar glomerulonephritis (fgn) in a patient with diabetes without diabetic retinopathy, who. Case Report Diabetic Nephropathy.
From onlinelibrary.wiley.com
Rapidly progressive crescentic diabetic nephropathy two case reports Case Report Diabetic Nephropathy The pathogenesis of dkd is complex, with various clinical features, pathological phenotypes, and poor therapeutic. Diabetic nephropathy (dn) is one of the most common microvascular diseases in diabetes. Although diabetic nephropathy is a microvascular complication of diabetes mellitus, some reports suggest that. We report a rare case of fibrillar glomerulonephritis (fgn) in a patient with diabetes without diabetic retinopathy, who. Case Report Diabetic Nephropathy.
From www.researchgate.net
(PDF) Diabetes Mellitus with Membranous Nephropathy and H.pylori Case Report Diabetic Nephropathy Diabetic nephropathy (dn) is one of the most common microvascular diseases in diabetes. Here, we report our experience of a case of diabetic nephropathy initially suspected. Although diabetic nephropathy is a microvascular complication of diabetes mellitus, some reports suggest that. The pathogenesis of dkd is complex, with various clinical features, pathological phenotypes, and poor therapeutic. Primary membranous nephropathy (pmn) is.. Case Report Diabetic Nephropathy.
From www.researchgate.net
(PDF) Acyclovir induced nephropathy A case report Case Report Diabetic Nephropathy Although diabetic nephropathy is a microvascular complication of diabetes mellitus, some reports suggest that. Primary membranous nephropathy (pmn) is. We report a rare case of fibrillar glomerulonephritis (fgn) in a patient with diabetes without diabetic retinopathy, who presented. Diabetic nephropathy (dn) is one of the most common microvascular diseases in diabetes. Here, we report our experience of a case of. Case Report Diabetic Nephropathy.
From www.researchgate.net
Case reports of Diabetic Nephropathy non Diabetes (DNND). Download Table Case Report Diabetic Nephropathy The pathogenesis of dkd is complex, with various clinical features, pathological phenotypes, and poor therapeutic. We report a rare case of fibrillar glomerulonephritis (fgn) in a patient with diabetes without diabetic retinopathy, who presented. Although diabetic nephropathy is a microvascular complication of diabetes mellitus, some reports suggest that. Here, we report our experience of a case of diabetic nephropathy initially. Case Report Diabetic Nephropathy.
From www.researchgate.net
(PDF) Treatment with Rituximab and Hydroxychloroquine in a Patient with Case Report Diabetic Nephropathy Primary membranous nephropathy (pmn) is. Here, we report our experience of a case of diabetic nephropathy initially suspected. We report a rare case of fibrillar glomerulonephritis (fgn) in a patient with diabetes without diabetic retinopathy, who presented. The pathogenesis of dkd is complex, with various clinical features, pathological phenotypes, and poor therapeutic. Diabetic nephropathy (dn) is one of the most. Case Report Diabetic Nephropathy.
From www.researchgate.net
(PDF) Case Report Diabetic nephropathy aggravates the progression and Case Report Diabetic Nephropathy Although diabetic nephropathy is a microvascular complication of diabetes mellitus, some reports suggest that. Here, we report our experience of a case of diabetic nephropathy initially suspected. Diabetic nephropathy (dn) is one of the most common microvascular diseases in diabetes. We report a rare case of fibrillar glomerulonephritis (fgn) in a patient with diabetes without diabetic retinopathy, who presented. The. Case Report Diabetic Nephropathy.
From www.researchgate.net
(PDF) Diabetic nephropathy with crescent A case report Case Report Diabetic Nephropathy Although diabetic nephropathy is a microvascular complication of diabetes mellitus, some reports suggest that. We report a rare case of fibrillar glomerulonephritis (fgn) in a patient with diabetes without diabetic retinopathy, who presented. Diabetic nephropathy (dn) is one of the most common microvascular diseases in diabetes. Here, we report our experience of a case of diabetic nephropathy initially suspected. Primary. Case Report Diabetic Nephropathy.
From www.researchgate.net
(PDF) Diabetes mellitus with a duration of 26 years combined with IgA Case Report Diabetic Nephropathy Here, we report our experience of a case of diabetic nephropathy initially suspected. Diabetic nephropathy (dn) is one of the most common microvascular diseases in diabetes. Although diabetic nephropathy is a microvascular complication of diabetes mellitus, some reports suggest that. Primary membranous nephropathy (pmn) is. We report a rare case of fibrillar glomerulonephritis (fgn) in a patient with diabetes without. Case Report Diabetic Nephropathy.
From www.researchgate.net
(PDF) Case Report IgA Nephropathy in a Patient With AntiTranscription Case Report Diabetic Nephropathy Although diabetic nephropathy is a microvascular complication of diabetes mellitus, some reports suggest that. Here, we report our experience of a case of diabetic nephropathy initially suspected. We report a rare case of fibrillar glomerulonephritis (fgn) in a patient with diabetes without diabetic retinopathy, who presented. The pathogenesis of dkd is complex, with various clinical features, pathological phenotypes, and poor. Case Report Diabetic Nephropathy.