Danties Laminates Kaina . Ruošiantis procedūrai, švelniai šlifuojamas priekinis danties paviršius. Dantų laminatės yra geriausias estetinio protezavimo metodas galintis pakeisti dantų spalvą ir formą. Tai ypatingo tikslumo reikalaujantis procesas. Atliekant 6, 8 arba 10 dantų restauracijas laminatėmis, į gydymo kainą įskaičiuotos visos reikalingos procedūros ir priemonės: Žinoma, tai tik apytikslė kaina, o tikroji jūsų odontologo nurodyta laminatės kaina priklausys nuo problemų, kurias reikia išspręsti. Kiekviena laminatė yra tik jūsų šypsenai pritaikytas unikalus.
from pigu.lt
Žinoma, tai tik apytikslė kaina, o tikroji jūsų odontologo nurodyta laminatės kaina priklausys nuo problemų, kurias reikia išspręsti. Ruošiantis procedūrai, švelniai šlifuojamas priekinis danties paviršius. Atliekant 6, 8 arba 10 dantų restauracijas laminatėmis, į gydymo kainą įskaičiuotos visos reikalingos procedūros ir priemonės: Tai ypatingo tikslumo reikalaujantis procesas. Kiekviena laminatė yra tik jūsų šypsenai pritaikytas unikalus. Dantų laminatės yra geriausias estetinio protezavimo metodas galintis pakeisti dantų spalvą ir formą.
Vieno danties šepetėlis TePeTuft, 1 vnt. kaina pigu.lt
Danties Laminates Kaina Atliekant 6, 8 arba 10 dantų restauracijas laminatėmis, į gydymo kainą įskaičiuotos visos reikalingos procedūros ir priemonės: Ruošiantis procedūrai, švelniai šlifuojamas priekinis danties paviršius. Dantų laminatės yra geriausias estetinio protezavimo metodas galintis pakeisti dantų spalvą ir formą. Tai ypatingo tikslumo reikalaujantis procesas. Žinoma, tai tik apytikslė kaina, o tikroji jūsų odontologo nurodyta laminatės kaina priklausys nuo problemų, kurias reikia išspręsti. Atliekant 6, 8 arba 10 dantų restauracijas laminatėmis, į gydymo kainą įskaičiuotos visos reikalingos procedūros ir priemonės: Kiekviena laminatė yra tik jūsų šypsenai pritaikytas unikalus.
From pigu.lt
Vieno danties šepetėlis TePeTuft, 1 vnt. kaina pigu.lt Danties Laminates Kaina Ruošiantis procedūrai, švelniai šlifuojamas priekinis danties paviršius. Atliekant 6, 8 arba 10 dantų restauracijas laminatėmis, į gydymo kainą įskaičiuotos visos reikalingos procedūros ir priemonės: Tai ypatingo tikslumo reikalaujantis procesas. Dantų laminatės yra geriausias estetinio protezavimo metodas galintis pakeisti dantų spalvą ir formą. Kiekviena laminatė yra tik jūsų šypsenai pritaikytas unikalus. Žinoma, tai tik apytikslė kaina, o tikroji jūsų odontologo nurodyta. Danties Laminates Kaina.
From sypsenosmagija.lt
Dantų protezavimas Kaune Gera Dantų Protezų Kaina Danties Laminates Kaina Dantų laminatės yra geriausias estetinio protezavimo metodas galintis pakeisti dantų spalvą ir formą. Tai ypatingo tikslumo reikalaujantis procesas. Žinoma, tai tik apytikslė kaina, o tikroji jūsų odontologo nurodyta laminatės kaina priklausys nuo problemų, kurias reikia išspręsti. Ruošiantis procedūrai, švelniai šlifuojamas priekinis danties paviršius. Kiekviena laminatė yra tik jūsų šypsenai pritaikytas unikalus. Atliekant 6, 8 arba 10 dantų restauracijas laminatėmis, į. Danties Laminates Kaina.
From www.aik.lt
Dantų protezavimas dantų protezai gera kaina! Aukštaitijos Danties Laminates Kaina Žinoma, tai tik apytikslė kaina, o tikroji jūsų odontologo nurodyta laminatės kaina priklausys nuo problemų, kurias reikia išspręsti. Ruošiantis procedūrai, švelniai šlifuojamas priekinis danties paviršius. Dantų laminatės yra geriausias estetinio protezavimo metodas galintis pakeisti dantų spalvą ir formą. Atliekant 6, 8 arba 10 dantų restauracijas laminatėmis, į gydymo kainą įskaičiuotos visos reikalingos procedūros ir priemonės: Kiekviena laminatė yra tik jūsų. Danties Laminates Kaina.
From www.aik.lt
Dantų implantacija dantų implantai gera kaina! Aukštaitijos Danties Laminates Kaina Kiekviena laminatė yra tik jūsų šypsenai pritaikytas unikalus. Žinoma, tai tik apytikslė kaina, o tikroji jūsų odontologo nurodyta laminatės kaina priklausys nuo problemų, kurias reikia išspręsti. Ruošiantis procedūrai, švelniai šlifuojamas priekinis danties paviršius. Dantų laminatės yra geriausias estetinio protezavimo metodas galintis pakeisti dantų spalvą ir formą. Tai ypatingo tikslumo reikalaujantis procesas. Atliekant 6, 8 arba 10 dantų restauracijas laminatėmis, į. Danties Laminates Kaina.
From meledaklinika.lt
Danties ir Dantų plombavimas kaina, tipai, patarimai Danties Laminates Kaina Tai ypatingo tikslumo reikalaujantis procesas. Kiekviena laminatė yra tik jūsų šypsenai pritaikytas unikalus. Ruošiantis procedūrai, švelniai šlifuojamas priekinis danties paviršius. Atliekant 6, 8 arba 10 dantų restauracijas laminatėmis, į gydymo kainą įskaičiuotos visos reikalingos procedūros ir priemonės: Dantų laminatės yra geriausias estetinio protezavimo metodas galintis pakeisti dantų spalvą ir formą. Žinoma, tai tik apytikslė kaina, o tikroji jūsų odontologo nurodyta. Danties Laminates Kaina.
From www.aik.lt
Dantų protezavimas dantų protezai gera kaina! Aukštaitijos Danties Laminates Kaina Dantų laminatės yra geriausias estetinio protezavimo metodas galintis pakeisti dantų spalvą ir formą. Ruošiantis procedūrai, švelniai šlifuojamas priekinis danties paviršius. Kiekviena laminatė yra tik jūsų šypsenai pritaikytas unikalus. Tai ypatingo tikslumo reikalaujantis procesas. Žinoma, tai tik apytikslė kaina, o tikroji jūsų odontologo nurodyta laminatės kaina priklausys nuo problemų, kurias reikia išspręsti. Atliekant 6, 8 arba 10 dantų restauracijas laminatėmis, į. Danties Laminates Kaina.
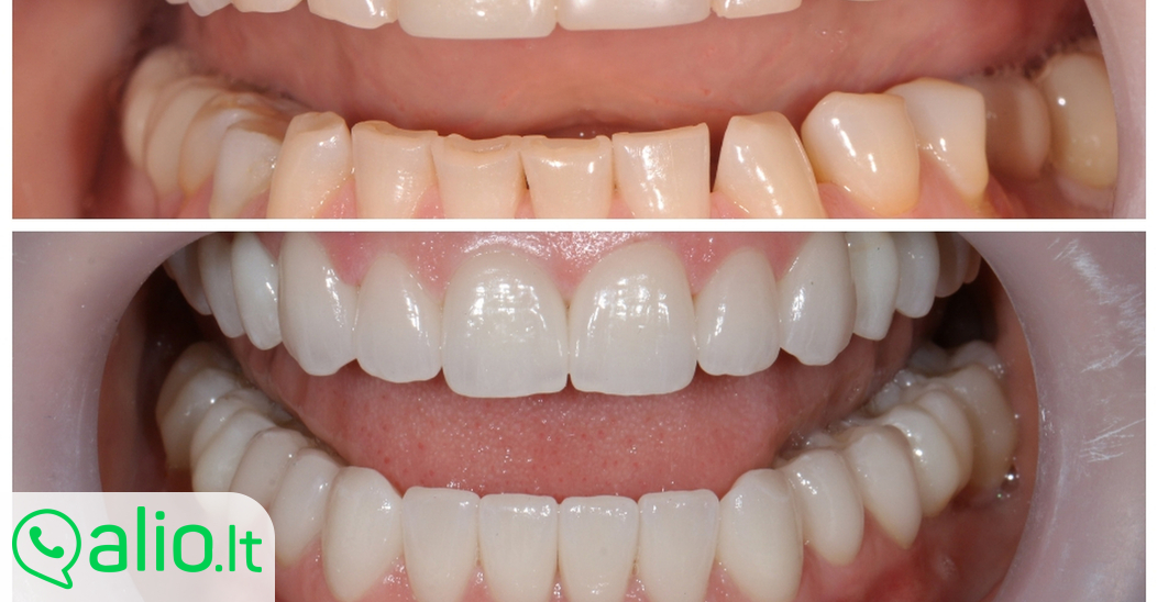
From www.alio.lt
Estetinis dantų protezavimas laminatės skelbimo ID58539329 Nuotraukos Danties Laminates Kaina Tai ypatingo tikslumo reikalaujantis procesas. Kiekviena laminatė yra tik jūsų šypsenai pritaikytas unikalus. Dantų laminatės yra geriausias estetinio protezavimo metodas galintis pakeisti dantų spalvą ir formą. Ruošiantis procedūrai, švelniai šlifuojamas priekinis danties paviršius. Atliekant 6, 8 arba 10 dantų restauracijas laminatėmis, į gydymo kainą įskaičiuotos visos reikalingos procedūros ir priemonės: Žinoma, tai tik apytikslė kaina, o tikroji jūsų odontologo nurodyta. Danties Laminates Kaina.
From www.youtube.com
Dantų laminatės Dažniausiai užduodami klausimai. 1 dalis YouTube Danties Laminates Kaina Dantų laminatės yra geriausias estetinio protezavimo metodas galintis pakeisti dantų spalvą ir formą. Ruošiantis procedūrai, švelniai šlifuojamas priekinis danties paviršius. Žinoma, tai tik apytikslė kaina, o tikroji jūsų odontologo nurodyta laminatės kaina priklausys nuo problemų, kurias reikia išspręsti. Atliekant 6, 8 arba 10 dantų restauracijas laminatėmis, į gydymo kainą įskaičiuotos visos reikalingos procedūros ir priemonės: Kiekviena laminatė yra tik jūsų. Danties Laminates Kaina.
From www.aik.lt
Dantų implantacija dantų implantai gera kaina! Aukštaitijos Danties Laminates Kaina Tai ypatingo tikslumo reikalaujantis procesas. Ruošiantis procedūrai, švelniai šlifuojamas priekinis danties paviršius. Dantų laminatės yra geriausias estetinio protezavimo metodas galintis pakeisti dantų spalvą ir formą. Kiekviena laminatė yra tik jūsų šypsenai pritaikytas unikalus. Žinoma, tai tik apytikslė kaina, o tikroji jūsų odontologo nurodyta laminatės kaina priklausys nuo problemų, kurias reikia išspręsti. Atliekant 6, 8 arba 10 dantų restauracijas laminatėmis, į. Danties Laminates Kaina.
From www.dantugydytojas.lt
Dantų laminatės Atsiliepimai, kainos, akcijos. Vilnius „PAPADENT“ Danties Laminates Kaina Dantų laminatės yra geriausias estetinio protezavimo metodas galintis pakeisti dantų spalvą ir formą. Tai ypatingo tikslumo reikalaujantis procesas. Ruošiantis procedūrai, švelniai šlifuojamas priekinis danties paviršius. Atliekant 6, 8 arba 10 dantų restauracijas laminatėmis, į gydymo kainą įskaičiuotos visos reikalingos procedūros ir priemonės: Kiekviena laminatė yra tik jūsų šypsenai pritaikytas unikalus. Žinoma, tai tik apytikslė kaina, o tikroji jūsų odontologo nurodyta. Danties Laminates Kaina.
From www.aik.lt
Dantų implantacija dantų implantai gera kaina! Aukštaitijos Danties Laminates Kaina Ruošiantis procedūrai, švelniai šlifuojamas priekinis danties paviršius. Žinoma, tai tik apytikslė kaina, o tikroji jūsų odontologo nurodyta laminatės kaina priklausys nuo problemų, kurias reikia išspręsti. Kiekviena laminatė yra tik jūsų šypsenai pritaikytas unikalus. Tai ypatingo tikslumo reikalaujantis procesas. Atliekant 6, 8 arba 10 dantų restauracijas laminatėmis, į gydymo kainą įskaičiuotos visos reikalingos procedūros ir priemonės: Dantų laminatės yra geriausias estetinio. Danties Laminates Kaina.
From www.archdaily.com
Gallery of Laminates A Material that Adapts 1 Danties Laminates Kaina Žinoma, tai tik apytikslė kaina, o tikroji jūsų odontologo nurodyta laminatės kaina priklausys nuo problemų, kurias reikia išspręsti. Tai ypatingo tikslumo reikalaujantis procesas. Kiekviena laminatė yra tik jūsų šypsenai pritaikytas unikalus. Dantų laminatės yra geriausias estetinio protezavimo metodas galintis pakeisti dantų spalvą ir formą. Atliekant 6, 8 arba 10 dantų restauracijas laminatėmis, į gydymo kainą įskaičiuotos visos reikalingos procedūros ir. Danties Laminates Kaina.
From www.varle.lt
Physa Anatominis sergančio žmogaus danties modelis masteliu 61 Danties Laminates Kaina Tai ypatingo tikslumo reikalaujantis procesas. Ruošiantis procedūrai, švelniai šlifuojamas priekinis danties paviršius. Kiekviena laminatė yra tik jūsų šypsenai pritaikytas unikalus. Žinoma, tai tik apytikslė kaina, o tikroji jūsų odontologo nurodyta laminatės kaina priklausys nuo problemų, kurias reikia išspręsti. Atliekant 6, 8 arba 10 dantų restauracijas laminatėmis, į gydymo kainą įskaičiuotos visos reikalingos procedūros ir priemonės: Dantų laminatės yra geriausias estetinio. Danties Laminates Kaina.
From dentaplanas.lt
Apie mus dantų implantacija Vilniuje Dentaplanas Danties Laminates Kaina Atliekant 6, 8 arba 10 dantų restauracijas laminatėmis, į gydymo kainą įskaičiuotos visos reikalingos procedūros ir priemonės: Žinoma, tai tik apytikslė kaina, o tikroji jūsų odontologo nurodyta laminatės kaina priklausys nuo problemų, kurias reikia išspręsti. Dantų laminatės yra geriausias estetinio protezavimo metodas galintis pakeisti dantų spalvą ir formą. Kiekviena laminatė yra tik jūsų šypsenai pritaikytas unikalus. Ruošiantis procedūrai, švelniai šlifuojamas. Danties Laminates Kaina.
From www.wehealclinics.com
Best Dentist service in We heal Clinic Baner Danties Laminates Kaina Dantų laminatės yra geriausias estetinio protezavimo metodas galintis pakeisti dantų spalvą ir formą. Ruošiantis procedūrai, švelniai šlifuojamas priekinis danties paviršius. Atliekant 6, 8 arba 10 dantų restauracijas laminatėmis, į gydymo kainą įskaičiuotos visos reikalingos procedūros ir priemonės: Kiekviena laminatė yra tik jūsų šypsenai pritaikytas unikalus. Žinoma, tai tik apytikslė kaina, o tikroji jūsų odontologo nurodyta laminatės kaina priklausys nuo problemų,. Danties Laminates Kaina.
From mackeviciai.lt
Dantų protezavimas A. Mackevičiaus odontologijos klinika Vilnius Danties Laminates Kaina Žinoma, tai tik apytikslė kaina, o tikroji jūsų odontologo nurodyta laminatės kaina priklausys nuo problemų, kurias reikia išspręsti. Dantų laminatės yra geriausias estetinio protezavimo metodas galintis pakeisti dantų spalvą ir formą. Atliekant 6, 8 arba 10 dantų restauracijas laminatėmis, į gydymo kainą įskaičiuotos visos reikalingos procedūros ir priemonės: Tai ypatingo tikslumo reikalaujantis procesas. Ruošiantis procedūrai, švelniai šlifuojamas priekinis danties paviršius.. Danties Laminates Kaina.
From dentaplanas.lt
Dantų implantacija Vilniuje, priežiūra po implantacijos Danties Laminates Kaina Ruošiantis procedūrai, švelniai šlifuojamas priekinis danties paviršius. Atliekant 6, 8 arba 10 dantų restauracijas laminatėmis, į gydymo kainą įskaičiuotos visos reikalingos procedūros ir priemonės: Tai ypatingo tikslumo reikalaujantis procesas. Žinoma, tai tik apytikslė kaina, o tikroji jūsų odontologo nurodyta laminatės kaina priklausys nuo problemų, kurias reikia išspręsti. Dantų laminatės yra geriausias estetinio protezavimo metodas galintis pakeisti dantų spalvą ir formą.. Danties Laminates Kaina.
From pigu.lt
Vieno danties šepetėlis Tello, 10075 kaina pigu.lt Danties Laminates Kaina Ruošiantis procedūrai, švelniai šlifuojamas priekinis danties paviršius. Dantų laminatės yra geriausias estetinio protezavimo metodas galintis pakeisti dantų spalvą ir formą. Tai ypatingo tikslumo reikalaujantis procesas. Kiekviena laminatė yra tik jūsų šypsenai pritaikytas unikalus. Žinoma, tai tik apytikslė kaina, o tikroji jūsų odontologo nurodyta laminatės kaina priklausys nuo problemų, kurias reikia išspręsti. Atliekant 6, 8 arba 10 dantų restauracijas laminatėmis, į. Danties Laminates Kaina.
From www.dantucentras.lt
Kainos Dantų centras Danties Laminates Kaina Ruošiantis procedūrai, švelniai šlifuojamas priekinis danties paviršius. Dantų laminatės yra geriausias estetinio protezavimo metodas galintis pakeisti dantų spalvą ir formą. Tai ypatingo tikslumo reikalaujantis procesas. Kiekviena laminatė yra tik jūsų šypsenai pritaikytas unikalus. Atliekant 6, 8 arba 10 dantų restauracijas laminatėmis, į gydymo kainą įskaičiuotos visos reikalingos procedūros ir priemonės: Žinoma, tai tik apytikslė kaina, o tikroji jūsų odontologo nurodyta. Danties Laminates Kaina.
From meledaklinika.lt
Danties rovimas, kaina, ar būtinas dantų šalinimas? Danties Laminates Kaina Ruošiantis procedūrai, švelniai šlifuojamas priekinis danties paviršius. Dantų laminatės yra geriausias estetinio protezavimo metodas galintis pakeisti dantų spalvą ir formą. Kiekviena laminatė yra tik jūsų šypsenai pritaikytas unikalus. Žinoma, tai tik apytikslė kaina, o tikroji jūsų odontologo nurodyta laminatės kaina priklausys nuo problemų, kurias reikia išspręsti. Tai ypatingo tikslumo reikalaujantis procesas. Atliekant 6, 8 arba 10 dantų restauracijas laminatėmis, į. Danties Laminates Kaina.
From saklinika.lt
Mūsų darbai Smile Art Danties Laminates Kaina Žinoma, tai tik apytikslė kaina, o tikroji jūsų odontologo nurodyta laminatės kaina priklausys nuo problemų, kurias reikia išspręsti. Ruošiantis procedūrai, švelniai šlifuojamas priekinis danties paviršius. Kiekviena laminatė yra tik jūsų šypsenai pritaikytas unikalus. Atliekant 6, 8 arba 10 dantų restauracijas laminatėmis, į gydymo kainą įskaičiuotos visos reikalingos procedūros ir priemonės: Dantų laminatės yra geriausias estetinio protezavimo metodas galintis pakeisti dantų. Danties Laminates Kaina.
From www.kainos.lt
tepe vieno danties sepetelis kaina nuo 2.39 € (5 pard.) Danties Laminates Kaina Žinoma, tai tik apytikslė kaina, o tikroji jūsų odontologo nurodyta laminatės kaina priklausys nuo problemų, kurias reikia išspręsti. Tai ypatingo tikslumo reikalaujantis procesas. Kiekviena laminatė yra tik jūsų šypsenai pritaikytas unikalus. Dantų laminatės yra geriausias estetinio protezavimo metodas galintis pakeisti dantų spalvą ir formą. Atliekant 6, 8 arba 10 dantų restauracijas laminatėmis, į gydymo kainą įskaičiuotos visos reikalingos procedūros ir. Danties Laminates Kaina.
From www.klaipedosoc.lt
Dantų laminatės Klaipėdoje Klaipedosoc.lt Danties Laminates Kaina Atliekant 6, 8 arba 10 dantų restauracijas laminatėmis, į gydymo kainą įskaičiuotos visos reikalingos procedūros ir priemonės: Kiekviena laminatė yra tik jūsų šypsenai pritaikytas unikalus. Žinoma, tai tik apytikslė kaina, o tikroji jūsų odontologo nurodyta laminatės kaina priklausys nuo problemų, kurias reikia išspręsti. Ruošiantis procedūrai, švelniai šlifuojamas priekinis danties paviršius. Dantų laminatės yra geriausias estetinio protezavimo metodas galintis pakeisti dantų. Danties Laminates Kaina.
From www.dantu-protezavimas.info
Dantų kaiščiai ir įklotai Dantų protezavimas Danties Laminates Kaina Kiekviena laminatė yra tik jūsų šypsenai pritaikytas unikalus. Ruošiantis procedūrai, švelniai šlifuojamas priekinis danties paviršius. Tai ypatingo tikslumo reikalaujantis procesas. Žinoma, tai tik apytikslė kaina, o tikroji jūsų odontologo nurodyta laminatės kaina priklausys nuo problemų, kurias reikia išspręsti. Dantų laminatės yra geriausias estetinio protezavimo metodas galintis pakeisti dantų spalvą ir formą. Atliekant 6, 8 arba 10 dantų restauracijas laminatėmis, į. Danties Laminates Kaina.
From skaitmeninessypsenos.lt
Dantų laminatės pasimatuokite šypseną!, kaina Skaitmeninės šypsenos Danties Laminates Kaina Dantų laminatės yra geriausias estetinio protezavimo metodas galintis pakeisti dantų spalvą ir formą. Žinoma, tai tik apytikslė kaina, o tikroji jūsų odontologo nurodyta laminatės kaina priklausys nuo problemų, kurias reikia išspręsti. Atliekant 6, 8 arba 10 dantų restauracijas laminatėmis, į gydymo kainą įskaičiuotos visos reikalingos procedūros ir priemonės: Kiekviena laminatė yra tik jūsų šypsenai pritaikytas unikalus. Tai ypatingo tikslumo reikalaujantis. Danties Laminates Kaina.
From www.varle.lt
Physa Anatominis sergančio žmogaus danties modelis masteliu 61 Danties Laminates Kaina Ruošiantis procedūrai, švelniai šlifuojamas priekinis danties paviršius. Dantų laminatės yra geriausias estetinio protezavimo metodas galintis pakeisti dantų spalvą ir formą. Atliekant 6, 8 arba 10 dantų restauracijas laminatėmis, į gydymo kainą įskaičiuotos visos reikalingos procedūros ir priemonės: Tai ypatingo tikslumo reikalaujantis procesas. Kiekviena laminatė yra tik jūsų šypsenai pritaikytas unikalus. Žinoma, tai tik apytikslė kaina, o tikroji jūsų odontologo nurodyta. Danties Laminates Kaina.
From www.pilene.lt
Dantų laminatės CEREC Kaina Vilniuje Pilėnė Danties Laminates Kaina Tai ypatingo tikslumo reikalaujantis procesas. Atliekant 6, 8 arba 10 dantų restauracijas laminatėmis, į gydymo kainą įskaičiuotos visos reikalingos procedūros ir priemonės: Ruošiantis procedūrai, švelniai šlifuojamas priekinis danties paviršius. Dantų laminatės yra geriausias estetinio protezavimo metodas galintis pakeisti dantų spalvą ir formą. Žinoma, tai tik apytikslė kaina, o tikroji jūsų odontologo nurodyta laminatės kaina priklausys nuo problemų, kurias reikia išspręsti.. Danties Laminates Kaina.
From angitia.lt
Danties rovimas Angitia.lt Danties Laminates Kaina Tai ypatingo tikslumo reikalaujantis procesas. Atliekant 6, 8 arba 10 dantų restauracijas laminatėmis, į gydymo kainą įskaičiuotos visos reikalingos procedūros ir priemonės: Ruošiantis procedūrai, švelniai šlifuojamas priekinis danties paviršius. Kiekviena laminatė yra tik jūsų šypsenai pritaikytas unikalus. Dantų laminatės yra geriausias estetinio protezavimo metodas galintis pakeisti dantų spalvą ir formą. Žinoma, tai tik apytikslė kaina, o tikroji jūsų odontologo nurodyta. Danties Laminates Kaina.
From evadenta.lt
Endogeninis danties spalvos pakitimas evadenta.lt Danties Laminates Kaina Dantų laminatės yra geriausias estetinio protezavimo metodas galintis pakeisti dantų spalvą ir formą. Tai ypatingo tikslumo reikalaujantis procesas. Žinoma, tai tik apytikslė kaina, o tikroji jūsų odontologo nurodyta laminatės kaina priklausys nuo problemų, kurias reikia išspręsti. Ruošiantis procedūrai, švelniai šlifuojamas priekinis danties paviršius. Kiekviena laminatė yra tik jūsų šypsenai pritaikytas unikalus. Atliekant 6, 8 arba 10 dantų restauracijas laminatėmis, į. Danties Laminates Kaina.
From ateitiesodontologijosklinika.lt
Danties užklotai ir įklotai Ateitiesodontologijosklinika.lt Danties Laminates Kaina Atliekant 6, 8 arba 10 dantų restauracijas laminatėmis, į gydymo kainą įskaičiuotos visos reikalingos procedūros ir priemonės: Žinoma, tai tik apytikslė kaina, o tikroji jūsų odontologo nurodyta laminatės kaina priklausys nuo problemų, kurias reikia išspręsti. Tai ypatingo tikslumo reikalaujantis procesas. Kiekviena laminatė yra tik jūsų šypsenai pritaikytas unikalus. Dantų laminatės yra geriausias estetinio protezavimo metodas galintis pakeisti dantų spalvą ir. Danties Laminates Kaina.
From evadenta.lt
Protinio danties rovimas evadenta.lt Danties Laminates Kaina Ruošiantis procedūrai, švelniai šlifuojamas priekinis danties paviršius. Kiekviena laminatė yra tik jūsų šypsenai pritaikytas unikalus. Dantų laminatės yra geriausias estetinio protezavimo metodas galintis pakeisti dantų spalvą ir formą. Tai ypatingo tikslumo reikalaujantis procesas. Atliekant 6, 8 arba 10 dantų restauracijas laminatėmis, į gydymo kainą įskaičiuotos visos reikalingos procedūros ir priemonės: Žinoma, tai tik apytikslė kaina, o tikroji jūsų odontologo nurodyta. Danties Laminates Kaina.
From www.vilniusin.lt
Dantų laminatės Atlikti darbai Odontologijos klinika Vilniuje Danties Laminates Kaina Ruošiantis procedūrai, švelniai šlifuojamas priekinis danties paviršius. Dantų laminatės yra geriausias estetinio protezavimo metodas galintis pakeisti dantų spalvą ir formą. Žinoma, tai tik apytikslė kaina, o tikroji jūsų odontologo nurodyta laminatės kaina priklausys nuo problemų, kurias reikia išspręsti. Atliekant 6, 8 arba 10 dantų restauracijas laminatėmis, į gydymo kainą įskaičiuotos visos reikalingos procedūros ir priemonės: Kiekviena laminatė yra tik jūsų. Danties Laminates Kaina.
From meledaklinika.lt
Danties rovimas, kaina, ar būtinas dantų šalinimas? Danties Laminates Kaina Ruošiantis procedūrai, švelniai šlifuojamas priekinis danties paviršius. Atliekant 6, 8 arba 10 dantų restauracijas laminatėmis, į gydymo kainą įskaičiuotos visos reikalingos procedūros ir priemonės: Kiekviena laminatė yra tik jūsų šypsenai pritaikytas unikalus. Dantų laminatės yra geriausias estetinio protezavimo metodas galintis pakeisti dantų spalvą ir formą. Žinoma, tai tik apytikslė kaina, o tikroji jūsų odontologo nurodyta laminatės kaina priklausys nuo problemų,. Danties Laminates Kaina.
From meledaklinika.lt
Danties rovimas, kaina, ar būtinas dantų šalinimas? Danties Laminates Kaina Kiekviena laminatė yra tik jūsų šypsenai pritaikytas unikalus. Dantų laminatės yra geriausias estetinio protezavimo metodas galintis pakeisti dantų spalvą ir formą. Žinoma, tai tik apytikslė kaina, o tikroji jūsų odontologo nurodyta laminatės kaina priklausys nuo problemų, kurias reikia išspręsti. Ruošiantis procedūrai, švelniai šlifuojamas priekinis danties paviršius. Tai ypatingo tikslumo reikalaujantis procesas. Atliekant 6, 8 arba 10 dantų restauracijas laminatėmis, į. Danties Laminates Kaina.
From angitia.lt
Dantų rovimo sudėtingumas Angitia.lt Danties Laminates Kaina Ruošiantis procedūrai, švelniai šlifuojamas priekinis danties paviršius. Dantų laminatės yra geriausias estetinio protezavimo metodas galintis pakeisti dantų spalvą ir formą. Kiekviena laminatė yra tik jūsų šypsenai pritaikytas unikalus. Atliekant 6, 8 arba 10 dantų restauracijas laminatėmis, į gydymo kainą įskaičiuotos visos reikalingos procedūros ir priemonės: Tai ypatingo tikslumo reikalaujantis procesas. Žinoma, tai tik apytikslė kaina, o tikroji jūsų odontologo nurodyta. Danties Laminates Kaina.