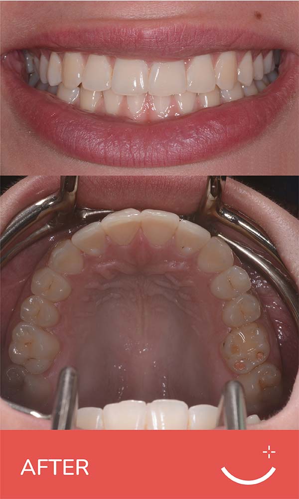
Teeth Retainer Cost Dubai . Curious about teeth retainers costs in dubai? The cost of teeth retainers in dubai depends on the type of treatment and type of retainer (clear retainer or metal retainer). Prices and costs are discussed individually. What is cost of dental retainers in dubai? The cost of retainers in dubai & abu dhabi usually ranges from aed 400 to aed 1000 depending on the type of retainer, the expertise. Get different types of retainers in dubai like hawley, essix, vivera and fixed retainer. Schedule a consultation with our expert orthodontists to discuss your specific needs. Retainer cost at easy dental clinic in dubai, we have the innovative tools, equipment and orthodontic solutions to tailor a comfortable. Retainers help retain teeth position after orthodontic treatment.
from www.slideserve.com
Retainer cost at easy dental clinic in dubai, we have the innovative tools, equipment and orthodontic solutions to tailor a comfortable. Retainers help retain teeth position after orthodontic treatment. What is cost of dental retainers in dubai? The cost of retainers in dubai & abu dhabi usually ranges from aed 400 to aed 1000 depending on the type of retainer, the expertise. Curious about teeth retainers costs in dubai? Prices and costs are discussed individually. The cost of teeth retainers in dubai depends on the type of treatment and type of retainer (clear retainer or metal retainer). Get different types of retainers in dubai like hawley, essix, vivera and fixed retainer. Schedule a consultation with our expert orthodontists to discuss your specific needs.
PPT Dental Retainers Cost in Dubai PowerPoint Presentation, free
Teeth Retainer Cost Dubai Schedule a consultation with our expert orthodontists to discuss your specific needs. Retainer cost at easy dental clinic in dubai, we have the innovative tools, equipment and orthodontic solutions to tailor a comfortable. Retainers help retain teeth position after orthodontic treatment. Prices and costs are discussed individually. Schedule a consultation with our expert orthodontists to discuss your specific needs. What is cost of dental retainers in dubai? The cost of teeth retainers in dubai depends on the type of treatment and type of retainer (clear retainer or metal retainer). The cost of retainers in dubai & abu dhabi usually ranges from aed 400 to aed 1000 depending on the type of retainer, the expertise. Curious about teeth retainers costs in dubai? Get different types of retainers in dubai like hawley, essix, vivera and fixed retainer.
From www.thedentalguide.net
Dental Retainers Costs & Information The Dental Guide Teeth Retainer Cost Dubai Get different types of retainers in dubai like hawley, essix, vivera and fixed retainer. Retainers help retain teeth position after orthodontic treatment. What is cost of dental retainers in dubai? Retainer cost at easy dental clinic in dubai, we have the innovative tools, equipment and orthodontic solutions to tailor a comfortable. Curious about teeth retainers costs in dubai? Prices and. Teeth Retainer Cost Dubai.
From bweisshealth.com
The Cost of Dental Retainers A Comprehensive Guide Teeth Retainer Cost Dubai Prices and costs are discussed individually. Curious about teeth retainers costs in dubai? What is cost of dental retainers in dubai? Get different types of retainers in dubai like hawley, essix, vivera and fixed retainer. Retainers help retain teeth position after orthodontic treatment. Retainer cost at easy dental clinic in dubai, we have the innovative tools, equipment and orthodontic solutions. Teeth Retainer Cost Dubai.
From starrysmileuae.com
Teeth Retainer in Dubai UAE Teeth Retainer Cost Dubai Retainers help retain teeth position after orthodontic treatment. The cost of teeth retainers in dubai depends on the type of treatment and type of retainer (clear retainer or metal retainer). Prices and costs are discussed individually. The cost of retainers in dubai & abu dhabi usually ranges from aed 400 to aed 1000 depending on the type of retainer, the. Teeth Retainer Cost Dubai.
From www.thedentalstudio.ae
Teeth Retainers Dubai Dental Studio Teeth Retainer Cost Dubai Schedule a consultation with our expert orthodontists to discuss your specific needs. Curious about teeth retainers costs in dubai? Prices and costs are discussed individually. What is cost of dental retainers in dubai? Retainer cost at easy dental clinic in dubai, we have the innovative tools, equipment and orthodontic solutions to tailor a comfortable. The cost of teeth retainers in. Teeth Retainer Cost Dubai.
From www.slideserve.com
PPT Best Dental Retainers in Dubai PowerPoint Presentation, free Teeth Retainer Cost Dubai Retainer cost at easy dental clinic in dubai, we have the innovative tools, equipment and orthodontic solutions to tailor a comfortable. Prices and costs are discussed individually. The cost of teeth retainers in dubai depends on the type of treatment and type of retainer (clear retainer or metal retainer). Get different types of retainers in dubai like hawley, essix, vivera. Teeth Retainer Cost Dubai.
From pbdc.ae
Teeth Retainers Dubai Retainers Cost Dubai Teeth Retainer Cost Dubai Retainers help retain teeth position after orthodontic treatment. What is cost of dental retainers in dubai? Curious about teeth retainers costs in dubai? Get different types of retainers in dubai like hawley, essix, vivera and fixed retainer. The cost of retainers in dubai & abu dhabi usually ranges from aed 400 to aed 1000 depending on the type of retainer,. Teeth Retainer Cost Dubai.
From www.teethtalkgirl.com
How Much Do Dental Retainers Cost? Teeth Retainer Cost Dubai The cost of retainers in dubai & abu dhabi usually ranges from aed 400 to aed 1000 depending on the type of retainer, the expertise. Retainer cost at easy dental clinic in dubai, we have the innovative tools, equipment and orthodontic solutions to tailor a comfortable. Schedule a consultation with our expert orthodontists to discuss your specific needs. Curious about. Teeth Retainer Cost Dubai.
From www.slideserve.com
PPT Dental Retainers in Dubai PowerPoint Presentation, free download Teeth Retainer Cost Dubai Prices and costs are discussed individually. Get different types of retainers in dubai like hawley, essix, vivera and fixed retainer. The cost of retainers in dubai & abu dhabi usually ranges from aed 400 to aed 1000 depending on the type of retainer, the expertise. Retainers help retain teeth position after orthodontic treatment. The cost of teeth retainers in dubai. Teeth Retainer Cost Dubai.
From www.verywellhealth.com
Retainers Pros, Cons, and Costs for Each Type Teeth Retainer Cost Dubai Schedule a consultation with our expert orthodontists to discuss your specific needs. Prices and costs are discussed individually. Retainer cost at easy dental clinic in dubai, we have the innovative tools, equipment and orthodontic solutions to tailor a comfortable. The cost of teeth retainers in dubai depends on the type of treatment and type of retainer (clear retainer or metal. Teeth Retainer Cost Dubai.
From www.thedentalstudio.ae
Teeth Retainers Dubai Dental Studio Teeth Retainer Cost Dubai What is cost of dental retainers in dubai? Retainers help retain teeth position after orthodontic treatment. Retainer cost at easy dental clinic in dubai, we have the innovative tools, equipment and orthodontic solutions to tailor a comfortable. The cost of retainers in dubai & abu dhabi usually ranges from aed 400 to aed 1000 depending on the type of retainer,. Teeth Retainer Cost Dubai.
From www.powershow.com
PPT Dental Retainer Cost in Dubai PowerPoint presentation free to Teeth Retainer Cost Dubai Retainers help retain teeth position after orthodontic treatment. The cost of retainers in dubai & abu dhabi usually ranges from aed 400 to aed 1000 depending on the type of retainer, the expertise. Curious about teeth retainers costs in dubai? Schedule a consultation with our expert orthodontists to discuss your specific needs. Get different types of retainers in dubai like. Teeth Retainer Cost Dubai.
From www.uslowcostdental.com
Teeth Retainer How It Works & How Much It Costs USLowCostDental Teeth Retainer Cost Dubai What is cost of dental retainers in dubai? Prices and costs are discussed individually. Curious about teeth retainers costs in dubai? Retainer cost at easy dental clinic in dubai, we have the innovative tools, equipment and orthodontic solutions to tailor a comfortable. Retainers help retain teeth position after orthodontic treatment. The cost of retainers in dubai & abu dhabi usually. Teeth Retainer Cost Dubai.
From www.smileneo.io
Clear Retainers Best Clear Teeth Retainers in Dubai, Abu Dhabi Teeth Retainer Cost Dubai Get different types of retainers in dubai like hawley, essix, vivera and fixed retainer. Retainers help retain teeth position after orthodontic treatment. Curious about teeth retainers costs in dubai? What is cost of dental retainers in dubai? Prices and costs are discussed individually. The cost of retainers in dubai & abu dhabi usually ranges from aed 400 to aed 1000. Teeth Retainer Cost Dubai.
From drroze.com
Teeth retainers in Dubai Dr Roze Biodental Clinic Teeth Retainer Cost Dubai Schedule a consultation with our expert orthodontists to discuss your specific needs. What is cost of dental retainers in dubai? Retainer cost at easy dental clinic in dubai, we have the innovative tools, equipment and orthodontic solutions to tailor a comfortable. Get different types of retainers in dubai like hawley, essix, vivera and fixed retainer. Retainers help retain teeth position. Teeth Retainer Cost Dubai.
From www.bubonortho.com
Teeth Retainers MKE Orthodontist Bubon Orthodontics Teeth Retainer Cost Dubai Curious about teeth retainers costs in dubai? Retainer cost at easy dental clinic in dubai, we have the innovative tools, equipment and orthodontic solutions to tailor a comfortable. Prices and costs are discussed individually. The cost of retainers in dubai & abu dhabi usually ranges from aed 400 to aed 1000 depending on the type of retainer, the expertise. Schedule. Teeth Retainer Cost Dubai.
From www.thedentalstudio.ae
Teeth Retainers Dubai Dental Studio Teeth Retainer Cost Dubai Schedule a consultation with our expert orthodontists to discuss your specific needs. Get different types of retainers in dubai like hawley, essix, vivera and fixed retainer. Curious about teeth retainers costs in dubai? Retainer cost at easy dental clinic in dubai, we have the innovative tools, equipment and orthodontic solutions to tailor a comfortable. Retainers help retain teeth position after. Teeth Retainer Cost Dubai.
From www.slideserve.com
PPT Teeth Retainers in Dubai PowerPoint Presentation, free download Teeth Retainer Cost Dubai The cost of teeth retainers in dubai depends on the type of treatment and type of retainer (clear retainer or metal retainer). Prices and costs are discussed individually. Curious about teeth retainers costs in dubai? Retainers help retain teeth position after orthodontic treatment. Get different types of retainers in dubai like hawley, essix, vivera and fixed retainer. The cost of. Teeth Retainer Cost Dubai.
From www.slideserve.com
PPT Teeth Retainers in Dubai PowerPoint Presentation, free download Teeth Retainer Cost Dubai The cost of teeth retainers in dubai depends on the type of treatment and type of retainer (clear retainer or metal retainer). Prices and costs are discussed individually. Curious about teeth retainers costs in dubai? Get different types of retainers in dubai like hawley, essix, vivera and fixed retainer. The cost of retainers in dubai & abu dhabi usually ranges. Teeth Retainer Cost Dubai.
From www.slideserve.com
PPT Dental Retainers In Dubai PowerPoint Presentation, free download Teeth Retainer Cost Dubai Get different types of retainers in dubai like hawley, essix, vivera and fixed retainer. What is cost of dental retainers in dubai? Curious about teeth retainers costs in dubai? Schedule a consultation with our expert orthodontists to discuss your specific needs. Retainer cost at easy dental clinic in dubai, we have the innovative tools, equipment and orthodontic solutions to tailor. Teeth Retainer Cost Dubai.
From www.slideserve.com
PPT Dental Braces Cost in Dubai PowerPoint Presentation, free Teeth Retainer Cost Dubai Prices and costs are discussed individually. The cost of teeth retainers in dubai depends on the type of treatment and type of retainer (clear retainer or metal retainer). What is cost of dental retainers in dubai? Curious about teeth retainers costs in dubai? Retainer cost at easy dental clinic in dubai, we have the innovative tools, equipment and orthodontic solutions. Teeth Retainer Cost Dubai.
From www.drjoydentalclinic.com
Teeth Retainers in Dubai Retainers after Braces Teeth Retainer Cost Dubai Curious about teeth retainers costs in dubai? The cost of retainers in dubai & abu dhabi usually ranges from aed 400 to aed 1000 depending on the type of retainer, the expertise. Schedule a consultation with our expert orthodontists to discuss your specific needs. Retainers help retain teeth position after orthodontic treatment. The cost of teeth retainers in dubai depends. Teeth Retainer Cost Dubai.
From www.thedentalstudio.ae
Teeth Retainers Dubai Dental Studio Teeth Retainer Cost Dubai Retainer cost at easy dental clinic in dubai, we have the innovative tools, equipment and orthodontic solutions to tailor a comfortable. Retainers help retain teeth position after orthodontic treatment. Prices and costs are discussed individually. The cost of retainers in dubai & abu dhabi usually ranges from aed 400 to aed 1000 depending on the type of retainer, the expertise.. Teeth Retainer Cost Dubai.
From www.nicolasandasp.com
Teeth Retainers Dubai Drs. Nicolas & Asp Teeth Retainer Cost Dubai Get different types of retainers in dubai like hawley, essix, vivera and fixed retainer. Retainer cost at easy dental clinic in dubai, we have the innovative tools, equipment and orthodontic solutions to tailor a comfortable. Curious about teeth retainers costs in dubai? What is cost of dental retainers in dubai? Schedule a consultation with our expert orthodontists to discuss your. Teeth Retainer Cost Dubai.
From thecurvedentalclinic.com
Orthodontic Retainers The Curve Dental Clinic Dubai Teeth Retainer Cost Dubai Retainers help retain teeth position after orthodontic treatment. Retainer cost at easy dental clinic in dubai, we have the innovative tools, equipment and orthodontic solutions to tailor a comfortable. What is cost of dental retainers in dubai? The cost of teeth retainers in dubai depends on the type of treatment and type of retainer (clear retainer or metal retainer). Prices. Teeth Retainer Cost Dubai.
From pbdc.ae
Teeth Retainers Dubai Retainers Cost Dubai Teeth Retainer Cost Dubai Get different types of retainers in dubai like hawley, essix, vivera and fixed retainer. The cost of retainers in dubai & abu dhabi usually ranges from aed 400 to aed 1000 depending on the type of retainer, the expertise. Retainer cost at easy dental clinic in dubai, we have the innovative tools, equipment and orthodontic solutions to tailor a comfortable.. Teeth Retainer Cost Dubai.
From www.slideserve.com
PPT Dental Retainers Dubai PowerPoint Presentation, free download Teeth Retainer Cost Dubai Prices and costs are discussed individually. Retainers help retain teeth position after orthodontic treatment. Schedule a consultation with our expert orthodontists to discuss your specific needs. The cost of teeth retainers in dubai depends on the type of treatment and type of retainer (clear retainer or metal retainer). Retainer cost at easy dental clinic in dubai, we have the innovative. Teeth Retainer Cost Dubai.
From care.dentalcenter.com
Teeth Retainer Cost How Much Do Retainers Cost? Teeth Retainer Cost Dubai What is cost of dental retainers in dubai? The cost of teeth retainers in dubai depends on the type of treatment and type of retainer (clear retainer or metal retainer). Schedule a consultation with our expert orthodontists to discuss your specific needs. Retainers help retain teeth position after orthodontic treatment. Retainer cost at easy dental clinic in dubai, we have. Teeth Retainer Cost Dubai.
From www.slideserve.com
PPT Dental Retainers Dubai PowerPoint Presentation, free download Teeth Retainer Cost Dubai Curious about teeth retainers costs in dubai? Schedule a consultation with our expert orthodontists to discuss your specific needs. The cost of retainers in dubai & abu dhabi usually ranges from aed 400 to aed 1000 depending on the type of retainer, the expertise. The cost of teeth retainers in dubai depends on the type of treatment and type of. Teeth Retainer Cost Dubai.
From www.slideserve.com
PPT Dental Retainers Cost in Dubai PowerPoint Presentation, free Teeth Retainer Cost Dubai What is cost of dental retainers in dubai? Prices and costs are discussed individually. Retainers help retain teeth position after orthodontic treatment. The cost of retainers in dubai & abu dhabi usually ranges from aed 400 to aed 1000 depending on the type of retainer, the expertise. Schedule a consultation with our expert orthodontists to discuss your specific needs. The. Teeth Retainer Cost Dubai.
From www.slideserve.com
PPT Teeth Retainers in Dubai PowerPoint Presentation, free download Teeth Retainer Cost Dubai Retainers help retain teeth position after orthodontic treatment. Curious about teeth retainers costs in dubai? Retainer cost at easy dental clinic in dubai, we have the innovative tools, equipment and orthodontic solutions to tailor a comfortable. The cost of teeth retainers in dubai depends on the type of treatment and type of retainer (clear retainer or metal retainer). What is. Teeth Retainer Cost Dubai.
From www.slideserve.com
PPT Dental Retainers in Abu Dhabi PowerPoint Presentation, free Teeth Retainer Cost Dubai The cost of retainers in dubai & abu dhabi usually ranges from aed 400 to aed 1000 depending on the type of retainer, the expertise. Get different types of retainers in dubai like hawley, essix, vivera and fixed retainer. Retainers help retain teeth position after orthodontic treatment. Curious about teeth retainers costs in dubai? Schedule a consultation with our expert. Teeth Retainer Cost Dubai.
From www.slideserve.com
PPT Dental Retainers in Dubai PowerPoint Presentation, free download Teeth Retainer Cost Dubai Get different types of retainers in dubai like hawley, essix, vivera and fixed retainer. The cost of retainers in dubai & abu dhabi usually ranges from aed 400 to aed 1000 depending on the type of retainer, the expertise. The cost of teeth retainers in dubai depends on the type of treatment and type of retainer (clear retainer or metal. Teeth Retainer Cost Dubai.
From www.slideserve.com
PPT Dental Retainers Cost in Dubai PowerPoint Presentation, free Teeth Retainer Cost Dubai Get different types of retainers in dubai like hawley, essix, vivera and fixed retainer. Prices and costs are discussed individually. The cost of teeth retainers in dubai depends on the type of treatment and type of retainer (clear retainer or metal retainer). The cost of retainers in dubai & abu dhabi usually ranges from aed 400 to aed 1000 depending. Teeth Retainer Cost Dubai.
From www.slideserve.com
PPT Dental Retainers in Dubai PowerPoint Presentation, free download Teeth Retainer Cost Dubai Curious about teeth retainers costs in dubai? Prices and costs are discussed individually. The cost of teeth retainers in dubai depends on the type of treatment and type of retainer (clear retainer or metal retainer). Retainers help retain teeth position after orthodontic treatment. What is cost of dental retainers in dubai? The cost of retainers in dubai & abu dhabi. Teeth Retainer Cost Dubai.
From dentalorangecounty.com
How Much Do Retainers Cost? OC Dental Center Teeth Retainer Cost Dubai Schedule a consultation with our expert orthodontists to discuss your specific needs. What is cost of dental retainers in dubai? Retainers help retain teeth position after orthodontic treatment. The cost of retainers in dubai & abu dhabi usually ranges from aed 400 to aed 1000 depending on the type of retainer, the expertise. Prices and costs are discussed individually. Curious. Teeth Retainer Cost Dubai.