What Is Sclerosis Of Lunate Bone . Kienbock's disease is a condition in which the lunate bone, one of the small bones in the wrist, loses its blood supply, leading to death of the bone. Kienböck’s disease, is a rare, debilitating condition that can lead to chronic pain and dysfunction. Subchondral sclerosis is a thickening of bone that happens in joints affected by osteoarthritis. The lunate bone begins to harden due to the lack of blood supply during stage ii. Your wrist may be swollen, tender, and painful. It happens when one of the eight small. Diagnosis can be made with. Kienbock's disease is the avascular necrosis of the lunate which can lead to progressive wrist pain and abnormal carpal motion. The cutoff of blood to your lunate makes the bone harden. If you’ve been diagnosed with. This hardening process is called sclerosis and is an abnormal increase in bone density. Kienböck’s disease is the eponym for avascular necrosis of the lunate (figure 1), the bone between the scaphoid and triquetrum in the center of the.
from www.mdpi.com
Kienböck’s disease is the eponym for avascular necrosis of the lunate (figure 1), the bone between the scaphoid and triquetrum in the center of the. Diagnosis can be made with. This hardening process is called sclerosis and is an abnormal increase in bone density. Subchondral sclerosis is a thickening of bone that happens in joints affected by osteoarthritis. The lunate bone begins to harden due to the lack of blood supply during stage ii. The cutoff of blood to your lunate makes the bone harden. Kienbock's disease is the avascular necrosis of the lunate which can lead to progressive wrist pain and abnormal carpal motion. Your wrist may be swollen, tender, and painful. Kienböck’s disease, is a rare, debilitating condition that can lead to chronic pain and dysfunction. If you’ve been diagnosed with.
JCM Free FullText UlnarSided Sclerosis of the Lunate Does Not
What Is Sclerosis Of Lunate Bone Kienböck’s disease is the eponym for avascular necrosis of the lunate (figure 1), the bone between the scaphoid and triquetrum in the center of the. If you’ve been diagnosed with. Diagnosis can be made with. Your wrist may be swollen, tender, and painful. Kienböck’s disease is the eponym for avascular necrosis of the lunate (figure 1), the bone between the scaphoid and triquetrum in the center of the. Subchondral sclerosis is a thickening of bone that happens in joints affected by osteoarthritis. Kienbock's disease is the avascular necrosis of the lunate which can lead to progressive wrist pain and abnormal carpal motion. The lunate bone begins to harden due to the lack of blood supply during stage ii. Kienbock's disease is a condition in which the lunate bone, one of the small bones in the wrist, loses its blood supply, leading to death of the bone. Kienböck’s disease, is a rare, debilitating condition that can lead to chronic pain and dysfunction. This hardening process is called sclerosis and is an abnormal increase in bone density. The cutoff of blood to your lunate makes the bone harden. It happens when one of the eight small.
From www.pinterest.com
RiT radiology Lunate Dislocation Radiology, Dislocation, Medical What Is Sclerosis Of Lunate Bone It happens when one of the eight small. Kienbock's disease is the avascular necrosis of the lunate which can lead to progressive wrist pain and abnormal carpal motion. Your wrist may be swollen, tender, and painful. The lunate bone begins to harden due to the lack of blood supply during stage ii. Kienböck’s disease is the eponym for avascular necrosis. What Is Sclerosis Of Lunate Bone.
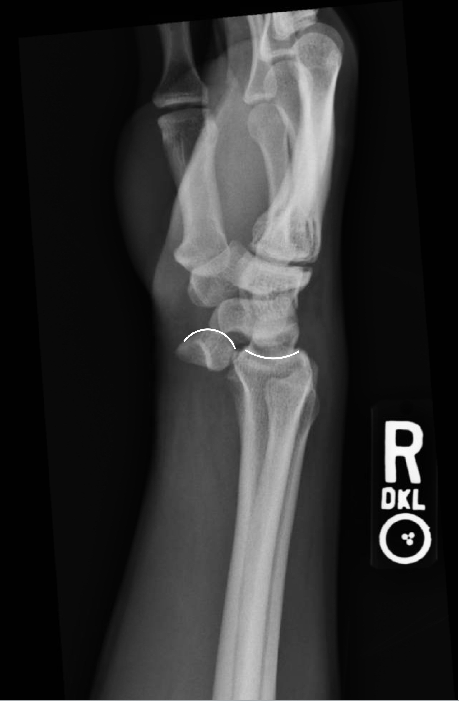
From www.wjgnet.com
Lunate dislocation with avulsed triquetral fracture A case report What Is Sclerosis Of Lunate Bone If you’ve been diagnosed with. Kienbock's disease is the avascular necrosis of the lunate which can lead to progressive wrist pain and abnormal carpal motion. This hardening process is called sclerosis and is an abnormal increase in bone density. Kienböck’s disease is the eponym for avascular necrosis of the lunate (figure 1), the bone between the scaphoid and triquetrum in. What Is Sclerosis Of Lunate Bone.
From www.researchgate.net
Computed tomographic scan of the wrist with sclerosis and fragmentation What Is Sclerosis Of Lunate Bone Kienbock's disease is a condition in which the lunate bone, one of the small bones in the wrist, loses its blood supply, leading to death of the bone. This hardening process is called sclerosis and is an abnormal increase in bone density. Diagnosis can be made with. Subchondral sclerosis is a thickening of bone that happens in joints affected by. What Is Sclerosis Of Lunate Bone.
From houstonhandandwrist.com
Avascular Necrosis of the Lunate (Kienbock’s Disease) What Is Sclerosis Of Lunate Bone Kienbock's disease is a condition in which the lunate bone, one of the small bones in the wrist, loses its blood supply, leading to death of the bone. Diagnosis can be made with. Kienböck’s disease, is a rare, debilitating condition that can lead to chronic pain and dysfunction. If you’ve been diagnosed with. This hardening process is called sclerosis and. What Is Sclerosis Of Lunate Bone.
From www.researchgate.net
(a) Posterioranterior left wrist radiographs demonstrated lunate bone What Is Sclerosis Of Lunate Bone Kienböck’s disease, is a rare, debilitating condition that can lead to chronic pain and dysfunction. The cutoff of blood to your lunate makes the bone harden. Kienböck’s disease is the eponym for avascular necrosis of the lunate (figure 1), the bone between the scaphoid and triquetrum in the center of the. Diagnosis can be made with. If you’ve been diagnosed. What Is Sclerosis Of Lunate Bone.
From www.pinterest.com
Kienbock diseaseOstenecrosis Lunate Lat. View Sclerosis and loss of What Is Sclerosis Of Lunate Bone Kienbock's disease is the avascular necrosis of the lunate which can lead to progressive wrist pain and abnormal carpal motion. The lunate bone begins to harden due to the lack of blood supply during stage ii. Kienböck’s disease is the eponym for avascular necrosis of the lunate (figure 1), the bone between the scaphoid and triquetrum in the center of. What Is Sclerosis Of Lunate Bone.
From www.svuhradiology.ie
Lunate dislocation Radiology at St. Vincent's University Hospital What Is Sclerosis Of Lunate Bone Diagnosis can be made with. Kienbock's disease is the avascular necrosis of the lunate which can lead to progressive wrist pain and abnormal carpal motion. If you’ve been diagnosed with. Subchondral sclerosis is a thickening of bone that happens in joints affected by osteoarthritis. The lunate bone begins to harden due to the lack of blood supply during stage ii.. What Is Sclerosis Of Lunate Bone.
From www.theskeletalsystem.net
Lunate Bone Definition, Location, Anatomy, Function, Diagram The What Is Sclerosis Of Lunate Bone Kienbock's disease is the avascular necrosis of the lunate which can lead to progressive wrist pain and abnormal carpal motion. Your wrist may be swollen, tender, and painful. Subchondral sclerosis is a thickening of bone that happens in joints affected by osteoarthritis. This hardening process is called sclerosis and is an abnormal increase in bone density. Diagnosis can be made. What Is Sclerosis Of Lunate Bone.
From www.globalradiologycme.com
Lunate Dislocation What Is Sclerosis Of Lunate Bone Kienböck’s disease, is a rare, debilitating condition that can lead to chronic pain and dysfunction. It happens when one of the eight small. The cutoff of blood to your lunate makes the bone harden. The lunate bone begins to harden due to the lack of blood supply during stage ii. Your wrist may be swollen, tender, and painful. If you’ve. What Is Sclerosis Of Lunate Bone.
From radiopaedia.org
Lunate dislocation Image What Is Sclerosis Of Lunate Bone Diagnosis can be made with. Kienbock's disease is the avascular necrosis of the lunate which can lead to progressive wrist pain and abnormal carpal motion. This hardening process is called sclerosis and is an abnormal increase in bone density. Your wrist may be swollen, tender, and painful. Subchondral sclerosis is a thickening of bone that happens in joints affected by. What Is Sclerosis Of Lunate Bone.
From www.elsevier.com
Dorsal Surface of Lunate Bone Complete Anatomy What Is Sclerosis Of Lunate Bone Subchondral sclerosis is a thickening of bone that happens in joints affected by osteoarthritis. The lunate bone begins to harden due to the lack of blood supply during stage ii. If you’ve been diagnosed with. The cutoff of blood to your lunate makes the bone harden. Kienbock's disease is a condition in which the lunate bone, one of the small. What Is Sclerosis Of Lunate Bone.
From www.pinterest.ca
Wrist xray abnormal density (sclerosis) of the lunate bone (Kienbock What Is Sclerosis Of Lunate Bone This hardening process is called sclerosis and is an abnormal increase in bone density. Kienböck’s disease, is a rare, debilitating condition that can lead to chronic pain and dysfunction. Kienbock's disease is the avascular necrosis of the lunate which can lead to progressive wrist pain and abnormal carpal motion. The cutoff of blood to your lunate makes the bone harden.. What Is Sclerosis Of Lunate Bone.
From 5minuteconsult.com
Lunate Dislocation, Emergency Medicine Diseases & Conditions What Is Sclerosis Of Lunate Bone The lunate bone begins to harden due to the lack of blood supply during stage ii. Kienbock's disease is a condition in which the lunate bone, one of the small bones in the wrist, loses its blood supply, leading to death of the bone. Diagnosis can be made with. It happens when one of the eight small. Kienböck’s disease is. What Is Sclerosis Of Lunate Bone.
From samarpanphysioclinic.com
Lunate Bone Anatomy, Function Samarpan What Is Sclerosis Of Lunate Bone Kienbock's disease is the avascular necrosis of the lunate which can lead to progressive wrist pain and abnormal carpal motion. Diagnosis can be made with. Subchondral sclerosis is a thickening of bone that happens in joints affected by osteoarthritis. This hardening process is called sclerosis and is an abnormal increase in bone density. The cutoff of blood to your lunate. What Is Sclerosis Of Lunate Bone.
From www.imageinterpretation.co.uk
The Wrist What Is Sclerosis Of Lunate Bone Kienböck’s disease is the eponym for avascular necrosis of the lunate (figure 1), the bone between the scaphoid and triquetrum in the center of the. Diagnosis can be made with. Subchondral sclerosis is a thickening of bone that happens in joints affected by osteoarthritis. If you’ve been diagnosed with. Your wrist may be swollen, tender, and painful. Kienbock's disease is. What Is Sclerosis Of Lunate Bone.
From www.researchgate.net
(PDF) Arthroscopic Treatment of Intraosseous Ganglion Cyst of the What Is Sclerosis Of Lunate Bone The lunate bone begins to harden due to the lack of blood supply during stage ii. Subchondral sclerosis is a thickening of bone that happens in joints affected by osteoarthritis. Kienbock's disease is a condition in which the lunate bone, one of the small bones in the wrist, loses its blood supply, leading to death of the bone. Diagnosis can. What Is Sclerosis Of Lunate Bone.
From www.longdom.org
orthopedicmuscularsystemradiographdemonstrates What Is Sclerosis Of Lunate Bone If you’ve been diagnosed with. Subchondral sclerosis is a thickening of bone that happens in joints affected by osteoarthritis. Kienbock's disease is the avascular necrosis of the lunate which can lead to progressive wrist pain and abnormal carpal motion. Kienböck’s disease is the eponym for avascular necrosis of the lunate (figure 1), the bone between the scaphoid and triquetrum in. What Is Sclerosis Of Lunate Bone.
From radiologykey.com
Kienböck’s Disease of the Lunate Radiology Key What Is Sclerosis Of Lunate Bone Diagnosis can be made with. Kienböck’s disease is the eponym for avascular necrosis of the lunate (figure 1), the bone between the scaphoid and triquetrum in the center of the. Your wrist may be swollen, tender, and painful. This hardening process is called sclerosis and is an abnormal increase in bone density. Kienbock's disease is the avascular necrosis of the. What Is Sclerosis Of Lunate Bone.
From www.researchgate.net
44yearold female with osteomalacia of the lunate bone. Relative What Is Sclerosis Of Lunate Bone Diagnosis can be made with. This hardening process is called sclerosis and is an abnormal increase in bone density. It happens when one of the eight small. Subchondral sclerosis is a thickening of bone that happens in joints affected by osteoarthritis. The cutoff of blood to your lunate makes the bone harden. The lunate bone begins to harden due to. What Is Sclerosis Of Lunate Bone.
From www.physiocheck.ca
Kienböck's disease Physio Check What Is Sclerosis Of Lunate Bone If you’ve been diagnosed with. Kienbock's disease is a condition in which the lunate bone, one of the small bones in the wrist, loses its blood supply, leading to death of the bone. Your wrist may be swollen, tender, and painful. Diagnosis can be made with. This hardening process is called sclerosis and is an abnormal increase in bone density.. What Is Sclerosis Of Lunate Bone.
From www.svuhradiology.ie
Avascular necrosis lunate Radiology at St. Vincent's University What Is Sclerosis Of Lunate Bone The lunate bone begins to harden due to the lack of blood supply during stage ii. Kienbock's disease is the avascular necrosis of the lunate which can lead to progressive wrist pain and abnormal carpal motion. The cutoff of blood to your lunate makes the bone harden. Your wrist may be swollen, tender, and painful. Diagnosis can be made with.. What Is Sclerosis Of Lunate Bone.
From www.researchgate.net
Global AVN of the lunate. (A and B) Global sclerosis of the lunate What Is Sclerosis Of Lunate Bone This hardening process is called sclerosis and is an abnormal increase in bone density. The cutoff of blood to your lunate makes the bone harden. If you’ve been diagnosed with. Diagnosis can be made with. The lunate bone begins to harden due to the lack of blood supply during stage ii. It happens when one of the eight small. Kienbock's. What Is Sclerosis Of Lunate Bone.
From www.semanticscholar.org
[PDF] Compound Dorsal Dislocation of Lunate with Trapezoid Fracture What Is Sclerosis Of Lunate Bone If you’ve been diagnosed with. Kienböck’s disease is the eponym for avascular necrosis of the lunate (figure 1), the bone between the scaphoid and triquetrum in the center of the. Subchondral sclerosis is a thickening of bone that happens in joints affected by osteoarthritis. The cutoff of blood to your lunate makes the bone harden. Kienbock's disease is a condition. What Is Sclerosis Of Lunate Bone.
From www.elsevier.com
Palmar Surface of Lunate Bone Complete Anatomy What Is Sclerosis Of Lunate Bone Your wrist may be swollen, tender, and painful. This hardening process is called sclerosis and is an abnormal increase in bone density. Kienbock's disease is a condition in which the lunate bone, one of the small bones in the wrist, loses its blood supply, leading to death of the bone. Subchondral sclerosis is a thickening of bone that happens in. What Is Sclerosis Of Lunate Bone.
From www.reumatologiaclinica.org
Osteonecrosis of the Lunate Associated With Systemic Sclerosis Report What Is Sclerosis Of Lunate Bone Kienböck’s disease, is a rare, debilitating condition that can lead to chronic pain and dysfunction. Kienböck’s disease is the eponym for avascular necrosis of the lunate (figure 1), the bone between the scaphoid and triquetrum in the center of the. This hardening process is called sclerosis and is an abnormal increase in bone density. The cutoff of blood to your. What Is Sclerosis Of Lunate Bone.
From www.theskeletalsystem.net
Lunate Bone Definition, Location, Anatomy, Function, Diagram What Is Sclerosis Of Lunate Bone Kienböck’s disease is the eponym for avascular necrosis of the lunate (figure 1), the bone between the scaphoid and triquetrum in the center of the. This hardening process is called sclerosis and is an abnormal increase in bone density. It happens when one of the eight small. Subchondral sclerosis is a thickening of bone that happens in joints affected by. What Is Sclerosis Of Lunate Bone.
From www.wjgnet.com
Lunate dislocation with avulsed triquetral fracture A case report What Is Sclerosis Of Lunate Bone Kienbock's disease is a condition in which the lunate bone, one of the small bones in the wrist, loses its blood supply, leading to death of the bone. The cutoff of blood to your lunate makes the bone harden. This hardening process is called sclerosis and is an abnormal increase in bone density. If you’ve been diagnosed with. Kienbock's disease. What Is Sclerosis Of Lunate Bone.
From www.researchgate.net
Kienböck disease. (a) PA radiograph of the right wrist demonstrates What Is Sclerosis Of Lunate Bone It happens when one of the eight small. Diagnosis can be made with. Kienbock's disease is a condition in which the lunate bone, one of the small bones in the wrist, loses its blood supply, leading to death of the bone. Kienböck’s disease, is a rare, debilitating condition that can lead to chronic pain and dysfunction. Your wrist may be. What Is Sclerosis Of Lunate Bone.
From www.mdpi.com
JCM Free FullText UlnarSided Sclerosis of the Lunate Does Not What Is Sclerosis Of Lunate Bone Kienböck’s disease, is a rare, debilitating condition that can lead to chronic pain and dysfunction. Kienbock's disease is a condition in which the lunate bone, one of the small bones in the wrist, loses its blood supply, leading to death of the bone. The lunate bone begins to harden due to the lack of blood supply during stage ii. Kienböck’s. What Is Sclerosis Of Lunate Bone.
From www.researchgate.net
Posteroanterior (PA) radiograph of the right wrist. Lunate sclerosis What Is Sclerosis Of Lunate Bone Kienbock's disease is a condition in which the lunate bone, one of the small bones in the wrist, loses its blood supply, leading to death of the bone. Subchondral sclerosis is a thickening of bone that happens in joints affected by osteoarthritis. The lunate bone begins to harden due to the lack of blood supply during stage ii. Kienböck’s disease,. What Is Sclerosis Of Lunate Bone.
From www.researchgate.net
CT giant interosseous ganglion of the scaphoid and sclerosis of the What Is Sclerosis Of Lunate Bone The cutoff of blood to your lunate makes the bone harden. Kienbock's disease is a condition in which the lunate bone, one of the small bones in the wrist, loses its blood supply, leading to death of the bone. Your wrist may be swollen, tender, and painful. Subchondral sclerosis is a thickening of bone that happens in joints affected by. What Is Sclerosis Of Lunate Bone.
From ajemjournal-test.com.marlin-prod.literatumonline.com
Avascular necrosis of lunate bone Kienbock disease The American What Is Sclerosis Of Lunate Bone Kienböck’s disease is the eponym for avascular necrosis of the lunate (figure 1), the bone between the scaphoid and triquetrum in the center of the. Your wrist may be swollen, tender, and painful. The cutoff of blood to your lunate makes the bone harden. If you’ve been diagnosed with. Kienbock's disease is the avascular necrosis of the lunate which can. What Is Sclerosis Of Lunate Bone.
From jetem.org
Lunate Dislocation JETem What Is Sclerosis Of Lunate Bone The lunate bone begins to harden due to the lack of blood supply during stage ii. Kienbock's disease is the avascular necrosis of the lunate which can lead to progressive wrist pain and abnormal carpal motion. If you’ve been diagnosed with. It happens when one of the eight small. Kienböck’s disease is the eponym for avascular necrosis of the lunate. What Is Sclerosis Of Lunate Bone.
From www.arthroscopytechniques.org
Arthroscopic Treatment of Intraosseous Ganglion Cyst of the Lunate Bone What Is Sclerosis Of Lunate Bone The lunate bone begins to harden due to the lack of blood supply during stage ii. Diagnosis can be made with. Kienböck’s disease is the eponym for avascular necrosis of the lunate (figure 1), the bone between the scaphoid and triquetrum in the center of the. It happens when one of the eight small. If you’ve been diagnosed with. Your. What Is Sclerosis Of Lunate Bone.
From radiopaedia.ir
Lunate cyst Radiopaedia What Is Sclerosis Of Lunate Bone The lunate bone begins to harden due to the lack of blood supply during stage ii. Kienbock's disease is a condition in which the lunate bone, one of the small bones in the wrist, loses its blood supply, leading to death of the bone. The cutoff of blood to your lunate makes the bone harden. This hardening process is called. What Is Sclerosis Of Lunate Bone.