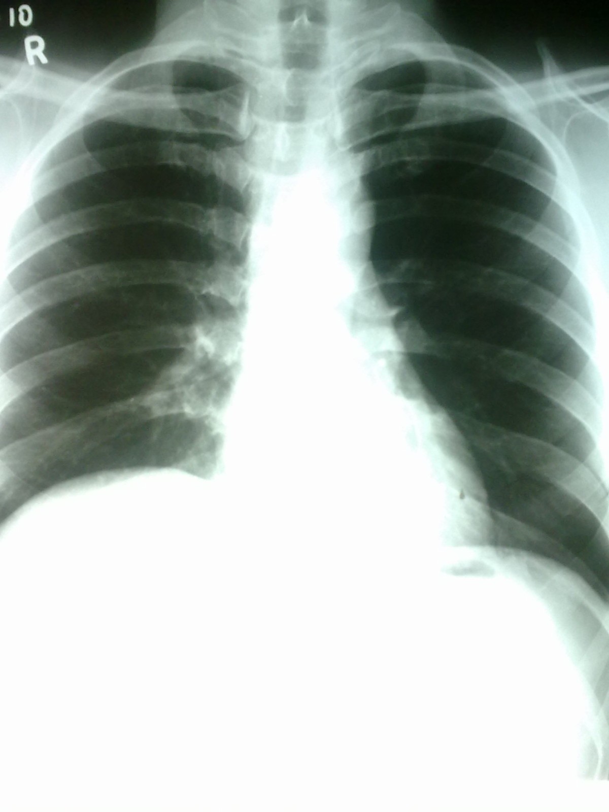
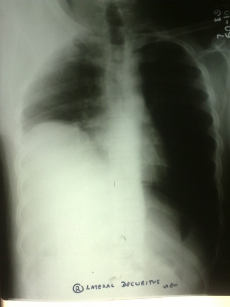
Chest X Ray For Dengue . Severe dengue fever is characterized by marked thrombocytopenia, severe hemorrhage, plasma leakage leading to. Diffuse alveolar hemorrhage (dah), commonly defined as the association of hemoptysis, new pulmonary infiltrates on chest. The most frequently used imaging methods in dengue are chest radiography and abdominal ultrasound, especially in emergency. Chest radiographs showed normal findings in 9 out of the 21 patients.
from www.mdpi.com
Chest radiographs showed normal findings in 9 out of the 21 patients. Severe dengue fever is characterized by marked thrombocytopenia, severe hemorrhage, plasma leakage leading to. The most frequently used imaging methods in dengue are chest radiography and abdominal ultrasound, especially in emergency. Diffuse alveolar hemorrhage (dah), commonly defined as the association of hemoptysis, new pulmonary infiltrates on chest.
Life Free FullText A Strange Case of Traumatic Pleural Effusion Pleural Empyema Due to
Chest X Ray For Dengue Severe dengue fever is characterized by marked thrombocytopenia, severe hemorrhage, plasma leakage leading to. Diffuse alveolar hemorrhage (dah), commonly defined as the association of hemoptysis, new pulmonary infiltrates on chest. Chest radiographs showed normal findings in 9 out of the 21 patients. The most frequently used imaging methods in dengue are chest radiography and abdominal ultrasound, especially in emergency. Severe dengue fever is characterized by marked thrombocytopenia, severe hemorrhage, plasma leakage leading to.
From ojrd.biomedcentral.com
Pulmonary hemorrhage syndrome associated with dengue fever, Highresolution computed tomography Chest X Ray For Dengue Severe dengue fever is characterized by marked thrombocytopenia, severe hemorrhage, plasma leakage leading to. Chest radiographs showed normal findings in 9 out of the 21 patients. The most frequently used imaging methods in dengue are chest radiography and abdominal ultrasound, especially in emergency. Diffuse alveolar hemorrhage (dah), commonly defined as the association of hemoptysis, new pulmonary infiltrates on chest. Chest X Ray For Dengue.
From www.scirp.org
MultiLabel Chest XRay Classification via Deep Learning Chest X Ray For Dengue Severe dengue fever is characterized by marked thrombocytopenia, severe hemorrhage, plasma leakage leading to. Diffuse alveolar hemorrhage (dah), commonly defined as the association of hemoptysis, new pulmonary infiltrates on chest. The most frequently used imaging methods in dengue are chest radiography and abdominal ultrasound, especially in emergency. Chest radiographs showed normal findings in 9 out of the 21 patients. Chest X Ray For Dengue.
From www.researchgate.net
(PDF) Management of severe dengue hemorrhagic fever and bleeding complications in a primigravida Chest X Ray For Dengue Severe dengue fever is characterized by marked thrombocytopenia, severe hemorrhage, plasma leakage leading to. Diffuse alveolar hemorrhage (dah), commonly defined as the association of hemoptysis, new pulmonary infiltrates on chest. Chest radiographs showed normal findings in 9 out of the 21 patients. The most frequently used imaging methods in dengue are chest radiography and abdominal ultrasound, especially in emergency. Chest X Ray For Dengue.
From bmcinfectdis.biomedcentral.com
Diaphragmatic paralysis a rare consequence of dengue fever BMC Infectious Diseases Full Text Chest X Ray For Dengue Diffuse alveolar hemorrhage (dah), commonly defined as the association of hemoptysis, new pulmonary infiltrates on chest. Chest radiographs showed normal findings in 9 out of the 21 patients. The most frequently used imaging methods in dengue are chest radiography and abdominal ultrasound, especially in emergency. Severe dengue fever is characterized by marked thrombocytopenia, severe hemorrhage, plasma leakage leading to. Chest X Ray For Dengue.
From www.mdpi.com
Diagnostics Free FullText Joint Diagnosis of Pneumonia, COVID19, and Tuberculosis from Chest X Ray For Dengue The most frequently used imaging methods in dengue are chest radiography and abdominal ultrasound, especially in emergency. Severe dengue fever is characterized by marked thrombocytopenia, severe hemorrhage, plasma leakage leading to. Chest radiographs showed normal findings in 9 out of the 21 patients. Diffuse alveolar hemorrhage (dah), commonly defined as the association of hemoptysis, new pulmonary infiltrates on chest. Chest X Ray For Dengue.
From www.bmj.com
Community acquired pneumonia in children The BMJ Chest X Ray For Dengue Chest radiographs showed normal findings in 9 out of the 21 patients. Severe dengue fever is characterized by marked thrombocytopenia, severe hemorrhage, plasma leakage leading to. The most frequently used imaging methods in dengue are chest radiography and abdominal ultrasound, especially in emergency. Diffuse alveolar hemorrhage (dah), commonly defined as the association of hemoptysis, new pulmonary infiltrates on chest. Chest X Ray For Dengue.
From www.researchgate.net
(PDF) Use of Chest XRay Examination as a Diagnostic Aid for Detection of Dengue Haemorrhagic Fever Chest X Ray For Dengue Chest radiographs showed normal findings in 9 out of the 21 patients. Diffuse alveolar hemorrhage (dah), commonly defined as the association of hemoptysis, new pulmonary infiltrates on chest. Severe dengue fever is characterized by marked thrombocytopenia, severe hemorrhage, plasma leakage leading to. The most frequently used imaging methods in dengue are chest radiography and abdominal ultrasound, especially in emergency. Chest X Ray For Dengue.
From medicalxpress.com
AI improves lung nodule detection on chest Xrays Chest X Ray For Dengue Diffuse alveolar hemorrhage (dah), commonly defined as the association of hemoptysis, new pulmonary infiltrates on chest. The most frequently used imaging methods in dengue are chest radiography and abdominal ultrasound, especially in emergency. Severe dengue fever is characterized by marked thrombocytopenia, severe hemorrhage, plasma leakage leading to. Chest radiographs showed normal findings in 9 out of the 21 patients. Chest X Ray For Dengue.
From www.researchgate.net
(PDF) Dengue shock syndrome Chest X Ray For Dengue Chest radiographs showed normal findings in 9 out of the 21 patients. The most frequently used imaging methods in dengue are chest radiography and abdominal ultrasound, especially in emergency. Severe dengue fever is characterized by marked thrombocytopenia, severe hemorrhage, plasma leakage leading to. Diffuse alveolar hemorrhage (dah), commonly defined as the association of hemoptysis, new pulmonary infiltrates on chest. Chest X Ray For Dengue.
From www.mdpi.com
Diagnostics Free FullText Longitudinal Chest Xray Scores and their Relations with Clinical Chest X Ray For Dengue Chest radiographs showed normal findings in 9 out of the 21 patients. The most frequently used imaging methods in dengue are chest radiography and abdominal ultrasound, especially in emergency. Severe dengue fever is characterized by marked thrombocytopenia, severe hemorrhage, plasma leakage leading to. Diffuse alveolar hemorrhage (dah), commonly defined as the association of hemoptysis, new pulmonary infiltrates on chest. Chest X Ray For Dengue.
From quizlet.com
Labeling lateral Chest xrays Diagram Quizlet Chest X Ray For Dengue Chest radiographs showed normal findings in 9 out of the 21 patients. Diffuse alveolar hemorrhage (dah), commonly defined as the association of hemoptysis, new pulmonary infiltrates on chest. Severe dengue fever is characterized by marked thrombocytopenia, severe hemorrhage, plasma leakage leading to. The most frequently used imaging methods in dengue are chest radiography and abdominal ultrasound, especially in emergency. Chest X Ray For Dengue.
From casereports.bmj.com
Acute pancreatitis and acute respiratory distress syndrome complicating dengue haemorrhagic Chest X Ray For Dengue Diffuse alveolar hemorrhage (dah), commonly defined as the association of hemoptysis, new pulmonary infiltrates on chest. The most frequently used imaging methods in dengue are chest radiography and abdominal ultrasound, especially in emergency. Severe dengue fever is characterized by marked thrombocytopenia, severe hemorrhage, plasma leakage leading to. Chest radiographs showed normal findings in 9 out of the 21 patients. Chest X Ray For Dengue.
From www.researchgate.net
A 40yearold woman with dengue hemorrhagic fever. Chest Xray (a)... Download Scientific Diagram Chest X Ray For Dengue Severe dengue fever is characterized by marked thrombocytopenia, severe hemorrhage, plasma leakage leading to. Diffuse alveolar hemorrhage (dah), commonly defined as the association of hemoptysis, new pulmonary infiltrates on chest. Chest radiographs showed normal findings in 9 out of the 21 patients. The most frequently used imaging methods in dengue are chest radiography and abdominal ultrasound, especially in emergency. Chest X Ray For Dengue.
From casereports.bmj.com
Unusual surgical emergency in a patient of dengue haemorrhagic fever spontaneous rectus sheath Chest X Ray For Dengue Diffuse alveolar hemorrhage (dah), commonly defined as the association of hemoptysis, new pulmonary infiltrates on chest. Severe dengue fever is characterized by marked thrombocytopenia, severe hemorrhage, plasma leakage leading to. The most frequently used imaging methods in dengue are chest radiography and abdominal ultrasound, especially in emergency. Chest radiographs showed normal findings in 9 out of the 21 patients. Chest X Ray For Dengue.
From www.mdpi.com
An Interesting Case of Allergic Bronchopulmonary Aspergillosis Resulting in Type II Respiratory Chest X Ray For Dengue Diffuse alveolar hemorrhage (dah), commonly defined as the association of hemoptysis, new pulmonary infiltrates on chest. The most frequently used imaging methods in dengue are chest radiography and abdominal ultrasound, especially in emergency. Severe dengue fever is characterized by marked thrombocytopenia, severe hemorrhage, plasma leakage leading to. Chest radiographs showed normal findings in 9 out of the 21 patients. Chest X Ray For Dengue.
From www.frontiersin.org
Frontiers Performance Evaluation of the Deep Learning Based Convolutional Neural Network Chest X Ray For Dengue Chest radiographs showed normal findings in 9 out of the 21 patients. Diffuse alveolar hemorrhage (dah), commonly defined as the association of hemoptysis, new pulmonary infiltrates on chest. The most frequently used imaging methods in dengue are chest radiography and abdominal ultrasound, especially in emergency. Severe dengue fever is characterized by marked thrombocytopenia, severe hemorrhage, plasma leakage leading to. Chest X Ray For Dengue.
From www.technologyreview.com
An AI used medical notes to teach itself to spot disease on chest xrays MIT Technology Review Chest X Ray For Dengue The most frequently used imaging methods in dengue are chest radiography and abdominal ultrasound, especially in emergency. Severe dengue fever is characterized by marked thrombocytopenia, severe hemorrhage, plasma leakage leading to. Chest radiographs showed normal findings in 9 out of the 21 patients. Diffuse alveolar hemorrhage (dah), commonly defined as the association of hemoptysis, new pulmonary infiltrates on chest. Chest X Ray For Dengue.
From www.thelancet.com
Algorithmic encoding of protected characteristics in chest Xray disease detection models Chest X Ray For Dengue Chest radiographs showed normal findings in 9 out of the 21 patients. Diffuse alveolar hemorrhage (dah), commonly defined as the association of hemoptysis, new pulmonary infiltrates on chest. The most frequently used imaging methods in dengue are chest radiography and abdominal ultrasound, especially in emergency. Severe dengue fever is characterized by marked thrombocytopenia, severe hemorrhage, plasma leakage leading to. Chest X Ray For Dengue.
From www.esneft.nhs.uk
Research study uses AI to ‘read’ chest xrays East Suffolk & North Essex NHS Foundation Trust Chest X Ray For Dengue Diffuse alveolar hemorrhage (dah), commonly defined as the association of hemoptysis, new pulmonary infiltrates on chest. Severe dengue fever is characterized by marked thrombocytopenia, severe hemorrhage, plasma leakage leading to. Chest radiographs showed normal findings in 9 out of the 21 patients. The most frequently used imaging methods in dengue are chest radiography and abdominal ultrasound, especially in emergency. Chest X Ray For Dengue.
From www.verywellhealth.com
Chest XRay for the Diagnosis of Lung Cancer Chest X Ray For Dengue Diffuse alveolar hemorrhage (dah), commonly defined as the association of hemoptysis, new pulmonary infiltrates on chest. The most frequently used imaging methods in dengue are chest radiography and abdominal ultrasound, especially in emergency. Chest radiographs showed normal findings in 9 out of the 21 patients. Severe dengue fever is characterized by marked thrombocytopenia, severe hemorrhage, plasma leakage leading to. Chest X Ray For Dengue.
From calgaryguide.ucalgary.ca
pleuraleffusionspathogenesisandanteriorposteriorchestxrayfindings Calgary Guide Chest X Ray For Dengue Chest radiographs showed normal findings in 9 out of the 21 patients. The most frequently used imaging methods in dengue are chest radiography and abdominal ultrasound, especially in emergency. Diffuse alveolar hemorrhage (dah), commonly defined as the association of hemoptysis, new pulmonary infiltrates on chest. Severe dengue fever is characterized by marked thrombocytopenia, severe hemorrhage, plasma leakage leading to. Chest X Ray For Dengue.
From press.rsna.org
AI Accurately Identifies Normal and Abnormal Chest Xrays Chest X Ray For Dengue Diffuse alveolar hemorrhage (dah), commonly defined as the association of hemoptysis, new pulmonary infiltrates on chest. The most frequently used imaging methods in dengue are chest radiography and abdominal ultrasound, especially in emergency. Severe dengue fever is characterized by marked thrombocytopenia, severe hemorrhage, plasma leakage leading to. Chest radiographs showed normal findings in 9 out of the 21 patients. Chest X Ray For Dengue.
From www.mdpi.com
Healthcare Free FullText Analyzing Overlaid Foreign Objects in Chest Xrays—Clinical Chest X Ray For Dengue Severe dengue fever is characterized by marked thrombocytopenia, severe hemorrhage, plasma leakage leading to. Chest radiographs showed normal findings in 9 out of the 21 patients. Diffuse alveolar hemorrhage (dah), commonly defined as the association of hemoptysis, new pulmonary infiltrates on chest. The most frequently used imaging methods in dengue are chest radiography and abdominal ultrasound, especially in emergency. Chest X Ray For Dengue.
From www.istockphoto.com
Dengue Hemorrhage Fever With Pulmonary Effusion Stock Photo Download Image Now Anatomy, Bone Chest X Ray For Dengue Chest radiographs showed normal findings in 9 out of the 21 patients. Severe dengue fever is characterized by marked thrombocytopenia, severe hemorrhage, plasma leakage leading to. The most frequently used imaging methods in dengue are chest radiography and abdominal ultrasound, especially in emergency. Diffuse alveolar hemorrhage (dah), commonly defined as the association of hemoptysis, new pulmonary infiltrates on chest. Chest X Ray For Dengue.
From www.scielo.br
SciELO Brasil Cardiac tamponade in a patient with severe dengue fever Cardiac tamponade in a Chest X Ray For Dengue Severe dengue fever is characterized by marked thrombocytopenia, severe hemorrhage, plasma leakage leading to. Chest radiographs showed normal findings in 9 out of the 21 patients. The most frequently used imaging methods in dengue are chest radiography and abdominal ultrasound, especially in emergency. Diffuse alveolar hemorrhage (dah), commonly defined as the association of hemoptysis, new pulmonary infiltrates on chest. Chest X Ray For Dengue.
From www.mdpi.com
Sensors Free FullText Weak Localization of Radiographic Manifestations in Pulmonary Chest X Ray For Dengue Severe dengue fever is characterized by marked thrombocytopenia, severe hemorrhage, plasma leakage leading to. Diffuse alveolar hemorrhage (dah), commonly defined as the association of hemoptysis, new pulmonary infiltrates on chest. Chest radiographs showed normal findings in 9 out of the 21 patients. The most frequently used imaging methods in dengue are chest radiography and abdominal ultrasound, especially in emergency. Chest X Ray For Dengue.
From journals.sagepub.com
Visible Apical Blebs on CXR Are Plain Radiographs UnderUtilized in Primary Spontaneous Chest X Ray For Dengue Diffuse alveolar hemorrhage (dah), commonly defined as the association of hemoptysis, new pulmonary infiltrates on chest. The most frequently used imaging methods in dengue are chest radiography and abdominal ultrasound, especially in emergency. Chest radiographs showed normal findings in 9 out of the 21 patients. Severe dengue fever is characterized by marked thrombocytopenia, severe hemorrhage, plasma leakage leading to. Chest X Ray For Dengue.
From bmcinfectdis.biomedcentral.com
Diaphragmatic paralysis a rare consequence of dengue fever BMC Infectious Diseases Full Text Chest X Ray For Dengue Chest radiographs showed normal findings in 9 out of the 21 patients. Severe dengue fever is characterized by marked thrombocytopenia, severe hemorrhage, plasma leakage leading to. The most frequently used imaging methods in dengue are chest radiography and abdominal ultrasound, especially in emergency. Diffuse alveolar hemorrhage (dah), commonly defined as the association of hemoptysis, new pulmonary infiltrates on chest. Chest X Ray For Dengue.
From www.researchgate.net
Pleural effusion A six years old boy with Dengue shock syndrome. The... Download Scientific Chest X Ray For Dengue The most frequently used imaging methods in dengue are chest radiography and abdominal ultrasound, especially in emergency. Severe dengue fever is characterized by marked thrombocytopenia, severe hemorrhage, plasma leakage leading to. Diffuse alveolar hemorrhage (dah), commonly defined as the association of hemoptysis, new pulmonary infiltrates on chest. Chest radiographs showed normal findings in 9 out of the 21 patients. Chest X Ray For Dengue.
From journals.sagepub.com
Successful treatment of severe Pneumocystis Jirovecii pneumonia in a diffuse large Bcell Chest X Ray For Dengue The most frequently used imaging methods in dengue are chest radiography and abdominal ultrasound, especially in emergency. Chest radiographs showed normal findings in 9 out of the 21 patients. Diffuse alveolar hemorrhage (dah), commonly defined as the association of hemoptysis, new pulmonary infiltrates on chest. Severe dengue fever is characterized by marked thrombocytopenia, severe hemorrhage, plasma leakage leading to. Chest X Ray For Dengue.
From reference.medscape.com
Chest XRays 16 Subtle But Key Findings You Need to Know Chest X Ray For Dengue Diffuse alveolar hemorrhage (dah), commonly defined as the association of hemoptysis, new pulmonary infiltrates on chest. Severe dengue fever is characterized by marked thrombocytopenia, severe hemorrhage, plasma leakage leading to. The most frequently used imaging methods in dengue are chest radiography and abdominal ultrasound, especially in emergency. Chest radiographs showed normal findings in 9 out of the 21 patients. Chest X Ray For Dengue.
From twitter.com
theRadiologist on Twitter "RIPEC Mnemonic to assess adequacy of a frontal Chest XRay 1/3 Chest X Ray For Dengue Chest radiographs showed normal findings in 9 out of the 21 patients. Diffuse alveolar hemorrhage (dah), commonly defined as the association of hemoptysis, new pulmonary infiltrates on chest. The most frequently used imaging methods in dengue are chest radiography and abdominal ultrasound, especially in emergency. Severe dengue fever is characterized by marked thrombocytopenia, severe hemorrhage, plasma leakage leading to. Chest X Ray For Dengue.
From www.mdpi.com
Life Free FullText A Strange Case of Traumatic Pleural Effusion Pleural Empyema Due to Chest X Ray For Dengue Severe dengue fever is characterized by marked thrombocytopenia, severe hemorrhage, plasma leakage leading to. The most frequently used imaging methods in dengue are chest radiography and abdominal ultrasound, especially in emergency. Chest radiographs showed normal findings in 9 out of the 21 patients. Diffuse alveolar hemorrhage (dah), commonly defined as the association of hemoptysis, new pulmonary infiltrates on chest. Chest X Ray For Dengue.
From www.cureus.com
Cureus Integrated Approach to Severe Dengue Complicated by GuillainBarré Syndrome and Multi Chest X Ray For Dengue Diffuse alveolar hemorrhage (dah), commonly defined as the association of hemoptysis, new pulmonary infiltrates on chest. Chest radiographs showed normal findings in 9 out of the 21 patients. The most frequently used imaging methods in dengue are chest radiography and abdominal ultrasound, especially in emergency. Severe dengue fever is characterized by marked thrombocytopenia, severe hemorrhage, plasma leakage leading to. Chest X Ray For Dengue.
From www.eurekalert.org
AI Accurately Identifies Norma [IMAGE] EurekAlert! Science News Releases Chest X Ray For Dengue The most frequently used imaging methods in dengue are chest radiography and abdominal ultrasound, especially in emergency. Chest radiographs showed normal findings in 9 out of the 21 patients. Diffuse alveolar hemorrhage (dah), commonly defined as the association of hemoptysis, new pulmonary infiltrates on chest. Severe dengue fever is characterized by marked thrombocytopenia, severe hemorrhage, plasma leakage leading to. Chest X Ray For Dengue.