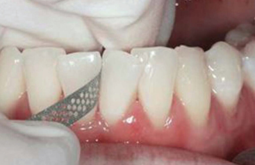
Apply Desensitize Resin . Most dentin resin bonding materials benefit from application. Contains hema to aid bonding primers penetrating etched dentin. Desensitizers are agents applied directly to the exposed dentin in the dental office. There are several different types of dentin. Application of desensitizing medicaments or resins is indicated for teeth with sensitivity that does not resolve with an over the counter. Ideal for abrasion, cervical erosions and preps. An antimicrobial rinse may also help prepare the. After diagnosis by a dentist, placement of a filling in the area of the defect can provide relief of hypersensitivity. The technique for treating dentinal hypersensitivity begins with cleaning the exposed dentin/cementum surface as best you can.
from www.mdpi.com
Application of desensitizing medicaments or resins is indicated for teeth with sensitivity that does not resolve with an over the counter. An antimicrobial rinse may also help prepare the. Ideal for abrasion, cervical erosions and preps. After diagnosis by a dentist, placement of a filling in the area of the defect can provide relief of hypersensitivity. There are several different types of dentin. Contains hema to aid bonding primers penetrating etched dentin. Most dentin resin bonding materials benefit from application. The technique for treating dentinal hypersensitivity begins with cleaning the exposed dentin/cementum surface as best you can. Desensitizers are agents applied directly to the exposed dentin in the dental office.
Materials Free FullText Bonding Performance of Universal Adhesives
Apply Desensitize Resin Desensitizers are agents applied directly to the exposed dentin in the dental office. Application of desensitizing medicaments or resins is indicated for teeth with sensitivity that does not resolve with an over the counter. Ideal for abrasion, cervical erosions and preps. There are several different types of dentin. After diagnosis by a dentist, placement of a filling in the area of the defect can provide relief of hypersensitivity. Contains hema to aid bonding primers penetrating etched dentin. An antimicrobial rinse may also help prepare the. Desensitizers are agents applied directly to the exposed dentin in the dental office. The technique for treating dentinal hypersensitivity begins with cleaning the exposed dentin/cementum surface as best you can. Most dentin resin bonding materials benefit from application.
From www.youtube.com
Desensitize what is DESENSITIZE definition YouTube Apply Desensitize Resin Desensitizers are agents applied directly to the exposed dentin in the dental office. After diagnosis by a dentist, placement of a filling in the area of the defect can provide relief of hypersensitivity. Most dentin resin bonding materials benefit from application. Ideal for abrasion, cervical erosions and preps. Contains hema to aid bonding primers penetrating etched dentin. Application of desensitizing. Apply Desensitize Resin.
From www.elexxion.com
Desensitization elexxion AG dental laser dentale Diodenlaser Apply Desensitize Resin Contains hema to aid bonding primers penetrating etched dentin. Ideal for abrasion, cervical erosions and preps. After diagnosis by a dentist, placement of a filling in the area of the defect can provide relief of hypersensitivity. The technique for treating dentinal hypersensitivity begins with cleaning the exposed dentin/cementum surface as best you can. There are several different types of dentin.. Apply Desensitize Resin.
From thecontentauthority.com
How To Use "Desensitize" In A Sentence How and When to Use Apply Desensitize Resin The technique for treating dentinal hypersensitivity begins with cleaning the exposed dentin/cementum surface as best you can. There are several different types of dentin. Most dentin resin bonding materials benefit from application. Contains hema to aid bonding primers penetrating etched dentin. Application of desensitizing medicaments or resins is indicated for teeth with sensitivity that does not resolve with an over. Apply Desensitize Resin.
From decisionsindentistry.com
Hypersensitivity in Orthodontic Treatment Apply Desensitize Resin Application of desensitizing medicaments or resins is indicated for teeth with sensitivity that does not resolve with an over the counter. Contains hema to aid bonding primers penetrating etched dentin. There are several different types of dentin. Ideal for abrasion, cervical erosions and preps. The technique for treating dentinal hypersensitivity begins with cleaning the exposed dentin/cementum surface as best you. Apply Desensitize Resin.
From ultrasyntecltd.co.uk
A Complete StepbyStep Guide for Resin Flooring Apply Desensitize Resin Application of desensitizing medicaments or resins is indicated for teeth with sensitivity that does not resolve with an over the counter. Contains hema to aid bonding primers penetrating etched dentin. The technique for treating dentinal hypersensitivity begins with cleaning the exposed dentin/cementum surface as best you can. After diagnosis by a dentist, placement of a filling in the area of. Apply Desensitize Resin.
From www.slideserve.com
PPT General Principles of Periodontal Surgery PowerPoint Presentation Apply Desensitize Resin Contains hema to aid bonding primers penetrating etched dentin. An antimicrobial rinse may also help prepare the. Application of desensitizing medicaments or resins is indicated for teeth with sensitivity that does not resolve with an over the counter. The technique for treating dentinal hypersensitivity begins with cleaning the exposed dentin/cementum surface as best you can. After diagnosis by a dentist,. Apply Desensitize Resin.
From www.tokuyama-us.com
Shield Force Plus Dental Desensitizer Tokuyama Densensitizer Apply Desensitize Resin Application of desensitizing medicaments or resins is indicated for teeth with sensitivity that does not resolve with an over the counter. The technique for treating dentinal hypersensitivity begins with cleaning the exposed dentin/cementum surface as best you can. After diagnosis by a dentist, placement of a filling in the area of the defect can provide relief of hypersensitivity. Contains hema. Apply Desensitize Resin.
From www.researchgate.net
(PDF) The Effect of Desensitizing Treatments on the Bond Strength of Apply Desensitize Resin Ideal for abrasion, cervical erosions and preps. Application of desensitizing medicaments or resins is indicated for teeth with sensitivity that does not resolve with an over the counter. Desensitizers are agents applied directly to the exposed dentin in the dental office. Most dentin resin bonding materials benefit from application. Contains hema to aid bonding primers penetrating etched dentin. After diagnosis. Apply Desensitize Resin.
From www.researchgate.net
(PDF) Effect of desensitizing treatments on bond strength of resin Apply Desensitize Resin Most dentin resin bonding materials benefit from application. Desensitizers are agents applied directly to the exposed dentin in the dental office. There are several different types of dentin. The technique for treating dentinal hypersensitivity begins with cleaning the exposed dentin/cementum surface as best you can. Application of desensitizing medicaments or resins is indicated for teeth with sensitivity that does not. Apply Desensitize Resin.
From www.outsourcestrategies.com
Podcast Billing for Dental Desensitizing Treatments Apply Desensitize Resin Desensitizers are agents applied directly to the exposed dentin in the dental office. Ideal for abrasion, cervical erosions and preps. Application of desensitizing medicaments or resins is indicated for teeth with sensitivity that does not resolve with an over the counter. An antimicrobial rinse may also help prepare the. There are several different types of dentin. Most dentin resin bonding. Apply Desensitize Resin.
From www.drbestprice.com
🦷 Explore Dental Code D9911 Application of Desensitizing Resin Apply Desensitize Resin Contains hema to aid bonding primers penetrating etched dentin. Desensitizers are agents applied directly to the exposed dentin in the dental office. There are several different types of dentin. Ideal for abrasion, cervical erosions and preps. Application of desensitizing medicaments or resins is indicated for teeth with sensitivity that does not resolve with an over the counter. Most dentin resin. Apply Desensitize Resin.
From www.semanticscholar.org
Figure 1 from Effects of Various Desensitizing Agents on the Apply Desensitize Resin After diagnosis by a dentist, placement of a filling in the area of the defect can provide relief of hypersensitivity. Ideal for abrasion, cervical erosions and preps. Most dentin resin bonding materials benefit from application. Desensitizers are agents applied directly to the exposed dentin in the dental office. There are several different types of dentin. Contains hema to aid bonding. Apply Desensitize Resin.
From www.researchgate.net
(PDF) The Effect of Desensitizing Treatments on the Bond Strength of Apply Desensitize Resin The technique for treating dentinal hypersensitivity begins with cleaning the exposed dentin/cementum surface as best you can. Contains hema to aid bonding primers penetrating etched dentin. Application of desensitizing medicaments or resins is indicated for teeth with sensitivity that does not resolve with an over the counter. An antimicrobial rinse may also help prepare the. After diagnosis by a dentist,. Apply Desensitize Resin.
From www.dsisrael.com
DSI SenseX Desensitizer DSI Dental Solutions Apply Desensitize Resin Desensitizers are agents applied directly to the exposed dentin in the dental office. The technique for treating dentinal hypersensitivity begins with cleaning the exposed dentin/cementum surface as best you can. Application of desensitizing medicaments or resins is indicated for teeth with sensitivity that does not resolve with an over the counter. After diagnosis by a dentist, placement of a filling. Apply Desensitize Resin.
From www.researchgate.net
(PDF) Effect of fluoridecontaining desensitizing agents on the bond Apply Desensitize Resin Desensitizers are agents applied directly to the exposed dentin in the dental office. The technique for treating dentinal hypersensitivity begins with cleaning the exposed dentin/cementum surface as best you can. Most dentin resin bonding materials benefit from application. An antimicrobial rinse may also help prepare the. There are several different types of dentin. After diagnosis by a dentist, placement of. Apply Desensitize Resin.
From www.dentaleconomics.com
10 years of clinical success with composite resin technology Case Apply Desensitize Resin There are several different types of dentin. Ideal for abrasion, cervical erosions and preps. An antimicrobial rinse may also help prepare the. After diagnosis by a dentist, placement of a filling in the area of the defect can provide relief of hypersensitivity. Desensitizers are agents applied directly to the exposed dentin in the dental office. Most dentin resin bonding materials. Apply Desensitize Resin.
From www.researchgate.net
(PDF) Microshear bond strength of resin cement to dentin after Apply Desensitize Resin The technique for treating dentinal hypersensitivity begins with cleaning the exposed dentin/cementum surface as best you can. Desensitizers are agents applied directly to the exposed dentin in the dental office. After diagnosis by a dentist, placement of a filling in the area of the defect can provide relief of hypersensitivity. An antimicrobial rinse may also help prepare the. Application of. Apply Desensitize Resin.
From www.semanticscholar.org
Figure 1 from Effectiveness of desensitizing agents in relieving the Apply Desensitize Resin Application of desensitizing medicaments or resins is indicated for teeth with sensitivity that does not resolve with an over the counter. There are several different types of dentin. Ideal for abrasion, cervical erosions and preps. An antimicrobial rinse may also help prepare the. Contains hema to aid bonding primers penetrating etched dentin. Most dentin resin bonding materials benefit from application.. Apply Desensitize Resin.
From thearchitecturedesigns.com
Ways to Apply and Use Epoxy Resin Apply Desensitize Resin The technique for treating dentinal hypersensitivity begins with cleaning the exposed dentin/cementum surface as best you can. There are several different types of dentin. Most dentin resin bonding materials benefit from application. Desensitizers are agents applied directly to the exposed dentin in the dental office. After diagnosis by a dentist, placement of a filling in the area of the defect. Apply Desensitize Resin.
From chillepoxy.com
How To Apply Multiple Layers Of Epoxy Resin CHILL EPOXY Apply Desensitize Resin After diagnosis by a dentist, placement of a filling in the area of the defect can provide relief of hypersensitivity. The technique for treating dentinal hypersensitivity begins with cleaning the exposed dentin/cementum surface as best you can. Most dentin resin bonding materials benefit from application. There are several different types of dentin. An antimicrobial rinse may also help prepare the.. Apply Desensitize Resin.
From www.thejpd.org
The effects of desensitizing resin, resin sealing, and provisional Apply Desensitize Resin There are several different types of dentin. Most dentin resin bonding materials benefit from application. Application of desensitizing medicaments or resins is indicated for teeth with sensitivity that does not resolve with an over the counter. An antimicrobial rinse may also help prepare the. After diagnosis by a dentist, placement of a filling in the area of the defect can. Apply Desensitize Resin.
From www.mdpi.com
Materials Free FullText The Effect of Commercially Available Apply Desensitize Resin An antimicrobial rinse may also help prepare the. Most dentin resin bonding materials benefit from application. Contains hema to aid bonding primers penetrating etched dentin. Ideal for abrasion, cervical erosions and preps. After diagnosis by a dentist, placement of a filling in the area of the defect can provide relief of hypersensitivity. Desensitizers are agents applied directly to the exposed. Apply Desensitize Resin.
From wewhiten.com
Desensitizing Gel Application We Whiten Teeth Whitening Apply Desensitize Resin Desensitizers are agents applied directly to the exposed dentin in the dental office. The technique for treating dentinal hypersensitivity begins with cleaning the exposed dentin/cementum surface as best you can. There are several different types of dentin. Contains hema to aid bonding primers penetrating etched dentin. Application of desensitizing medicaments or resins is indicated for teeth with sensitivity that does. Apply Desensitize Resin.
From www.mdpi.com
Materials Free FullText Bonding Performance of Universal Adhesives Apply Desensitize Resin There are several different types of dentin. Most dentin resin bonding materials benefit from application. Contains hema to aid bonding primers penetrating etched dentin. Desensitizers are agents applied directly to the exposed dentin in the dental office. An antimicrobial rinse may also help prepare the. After diagnosis by a dentist, placement of a filling in the area of the defect. Apply Desensitize Resin.
From www.researchgate.net
Desensitizing agents used in the study. Download Scientific Diagram Apply Desensitize Resin The technique for treating dentinal hypersensitivity begins with cleaning the exposed dentin/cementum surface as best you can. Application of desensitizing medicaments or resins is indicated for teeth with sensitivity that does not resolve with an over the counter. After diagnosis by a dentist, placement of a filling in the area of the defect can provide relief of hypersensitivity. Ideal for. Apply Desensitize Resin.
From exyrmyyqv.blob.core.windows.net
How To Remove Cured Epoxy Resin From Plastic at Mary Tinnin blog Apply Desensitize Resin After diagnosis by a dentist, placement of a filling in the area of the defect can provide relief of hypersensitivity. An antimicrobial rinse may also help prepare the. Most dentin resin bonding materials benefit from application. There are several different types of dentin. Ideal for abrasion, cervical erosions and preps. Application of desensitizing medicaments or resins is indicated for teeth. Apply Desensitize Resin.
From vistaapex.com
Desensitizing Gel for Dentistry Vista Apex Apply Desensitize Resin An antimicrobial rinse may also help prepare the. After diagnosis by a dentist, placement of a filling in the area of the defect can provide relief of hypersensitivity. Ideal for abrasion, cervical erosions and preps. The technique for treating dentinal hypersensitivity begins with cleaning the exposed dentin/cementum surface as best you can. Contains hema to aid bonding primers penetrating etched. Apply Desensitize Resin.
From www.pinterest.com
Exposed root surfaces can also be treated by applying bonding resin Apply Desensitize Resin Contains hema to aid bonding primers penetrating etched dentin. Most dentin resin bonding materials benefit from application. After diagnosis by a dentist, placement of a filling in the area of the defect can provide relief of hypersensitivity. An antimicrobial rinse may also help prepare the. The technique for treating dentinal hypersensitivity begins with cleaning the exposed dentin/cementum surface as best. Apply Desensitize Resin.
From www.heydent.com
Heydent GmbH Desensitizing Apply Desensitize Resin Application of desensitizing medicaments or resins is indicated for teeth with sensitivity that does not resolve with an over the counter. Ideal for abrasion, cervical erosions and preps. The technique for treating dentinal hypersensitivity begins with cleaning the exposed dentin/cementum surface as best you can. After diagnosis by a dentist, placement of a filling in the area of the defect. Apply Desensitize Resin.
From www.youtube.com
Desensitizing tooth surfaces using Brush&Bond or PainFree F. YouTube Apply Desensitize Resin Application of desensitizing medicaments or resins is indicated for teeth with sensitivity that does not resolve with an over the counter. There are several different types of dentin. Contains hema to aid bonding primers penetrating etched dentin. Ideal for abrasion, cervical erosions and preps. After diagnosis by a dentist, placement of a filling in the area of the defect can. Apply Desensitize Resin.
From littleredwindow.com
What is Resin and How Does it Work? Little Red Window Apply Desensitize Resin There are several different types of dentin. The technique for treating dentinal hypersensitivity begins with cleaning the exposed dentin/cementum surface as best you can. Desensitizers are agents applied directly to the exposed dentin in the dental office. An antimicrobial rinse may also help prepare the. After diagnosis by a dentist, placement of a filling in the area of the defect. Apply Desensitize Resin.
From fluid-painting.com
Best Polyester Resin A Guide on Fiberglass Resin Apply Desensitize Resin Application of desensitizing medicaments or resins is indicated for teeth with sensitivity that does not resolve with an over the counter. There are several different types of dentin. Contains hema to aid bonding primers penetrating etched dentin. The technique for treating dentinal hypersensitivity begins with cleaning the exposed dentin/cementum surface as best you can. Most dentin resin bonding materials benefit. Apply Desensitize Resin.
From wewhiten.com
Desensitizing Gel Application We Whiten Teeth Whitening Apply Desensitize Resin There are several different types of dentin. The technique for treating dentinal hypersensitivity begins with cleaning the exposed dentin/cementum surface as best you can. Application of desensitizing medicaments or resins is indicated for teeth with sensitivity that does not resolve with an over the counter. Desensitizers are agents applied directly to the exposed dentin in the dental office. Most dentin. Apply Desensitize Resin.
From fyoggqfza.blob.core.windows.net
What Is Resin And Lacquer at Christy Ramsey blog Apply Desensitize Resin An antimicrobial rinse may also help prepare the. After diagnosis by a dentist, placement of a filling in the area of the defect can provide relief of hypersensitivity. There are several different types of dentin. Desensitizers are agents applied directly to the exposed dentin in the dental office. Application of desensitizing medicaments or resins is indicated for teeth with sensitivity. Apply Desensitize Resin.
From typeset.io
(PDF) The effects of desensitizing resin, resin sealing, and Apply Desensitize Resin Most dentin resin bonding materials benefit from application. There are several different types of dentin. Application of desensitizing medicaments or resins is indicated for teeth with sensitivity that does not resolve with an over the counter. An antimicrobial rinse may also help prepare the. Contains hema to aid bonding primers penetrating etched dentin. Ideal for abrasion, cervical erosions and preps.. Apply Desensitize Resin.