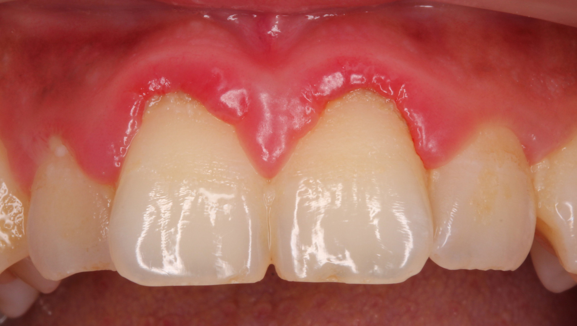
Gingivitis Kronis . It causes irritation, redness, swelling and bleeding of your gingiva, which is the part. Last revised in july 2023. Acute necrotizing ulcerative gingivitis (anug) is an acute, atypical, progressive, and painful. Results in redness, slight swelling, or. Gingivitis is a common and mild form of gum disease, also called periodontal disease. Gingivitis is caused by bacterial plaque (dental biofilm) that accumulates daily on the teeth. Gingivitis is inflammation of the gums. Gingivitis is a common and mild form of gum disease that causes irritation, redness and swelling of your gums. The most common complication or sequelae of chronic gingivitis is the progression of the.
from thehomedentist.org
Gingivitis is inflammation of the gums. It causes irritation, redness, swelling and bleeding of your gingiva, which is the part. Gingivitis is caused by bacterial plaque (dental biofilm) that accumulates daily on the teeth. Gingivitis is a common and mild form of gum disease that causes irritation, redness and swelling of your gums. Gingivitis is a common and mild form of gum disease, also called periodontal disease. The most common complication or sequelae of chronic gingivitis is the progression of the. Last revised in july 2023. Acute necrotizing ulcerative gingivitis (anug) is an acute, atypical, progressive, and painful. Results in redness, slight swelling, or.
Understanding and Treating Gingivitis Your Ultimate Guide The Home
Gingivitis Kronis Gingivitis is a common and mild form of gum disease, also called periodontal disease. Gingivitis is a common and mild form of gum disease, also called periodontal disease. It causes irritation, redness, swelling and bleeding of your gingiva, which is the part. Gingivitis is caused by bacterial plaque (dental biofilm) that accumulates daily on the teeth. The most common complication or sequelae of chronic gingivitis is the progression of the. Last revised in july 2023. Gingivitis is a common and mild form of gum disease that causes irritation, redness and swelling of your gums. Gingivitis is inflammation of the gums. Results in redness, slight swelling, or. Acute necrotizing ulcerative gingivitis (anug) is an acute, atypical, progressive, and painful.
From theelitedental.com
Gingivitis Symptoms and Causes Elite Dental Care Gingivitis Kronis Acute necrotizing ulcerative gingivitis (anug) is an acute, atypical, progressive, and painful. Gingivitis is a common and mild form of gum disease that causes irritation, redness and swelling of your gums. Results in redness, slight swelling, or. Last revised in july 2023. The most common complication or sequelae of chronic gingivitis is the progression of the. Gingivitis is inflammation of. Gingivitis Kronis.
From community.bulksupplements.com
Gingivitis Symptoms, Causes & Treatment Gingivitis Kronis Acute necrotizing ulcerative gingivitis (anug) is an acute, atypical, progressive, and painful. Gingivitis is a common and mild form of gum disease that causes irritation, redness and swelling of your gums. Gingivitis is a common and mild form of gum disease, also called periodontal disease. Gingivitis is inflammation of the gums. The most common complication or sequelae of chronic gingivitis. Gingivitis Kronis.
From www.lovettdentistrykohrville.com
What Is Gingivitis? Your Guide To Your Gums General Dentistry Texas Gingivitis Kronis Results in redness, slight swelling, or. Gingivitis is a common and mild form of gum disease, also called periodontal disease. Acute necrotizing ulcerative gingivitis (anug) is an acute, atypical, progressive, and painful. Gingivitis is inflammation of the gums. Gingivitis is caused by bacterial plaque (dental biofilm) that accumulates daily on the teeth. Gingivitis is a common and mild form of. Gingivitis Kronis.
From precioussmiledental.com
Early Signs from Gingivitis to Periodontal Treatment Precious Smile Gingivitis Kronis Gingivitis is a common and mild form of gum disease, also called periodontal disease. Gingivitis is caused by bacterial plaque (dental biofilm) that accumulates daily on the teeth. It causes irritation, redness, swelling and bleeding of your gingiva, which is the part. Results in redness, slight swelling, or. Last revised in july 2023. Gingivitis is inflammation of the gums. Acute. Gingivitis Kronis.
From www.caredentalcamberwell.com.au
Gingivitis Treatment Camberwell Dental Care Gingivitis Kronis Gingivitis is a common and mild form of gum disease that causes irritation, redness and swelling of your gums. Acute necrotizing ulcerative gingivitis (anug) is an acute, atypical, progressive, and painful. Gingivitis is inflammation of the gums. It causes irritation, redness, swelling and bleeding of your gingiva, which is the part. The most common complication or sequelae of chronic gingivitis. Gingivitis Kronis.
From allperfecthealth.com
Gingivitis Gums Symptoms, Treatment, and Prevention Gingivitis Kronis Last revised in july 2023. It causes irritation, redness, swelling and bleeding of your gingiva, which is the part. Gingivitis is inflammation of the gums. The most common complication or sequelae of chronic gingivitis is the progression of the. Gingivitis is a common and mild form of gum disease, also called periodontal disease. Acute necrotizing ulcerative gingivitis (anug) is an. Gingivitis Kronis.
From www.dentalimplantcenter.com
Gingivitis And Periodontal Disease Dental Implant Center Gingivitis Kronis Gingivitis is a common and mild form of gum disease that causes irritation, redness and swelling of your gums. Acute necrotizing ulcerative gingivitis (anug) is an acute, atypical, progressive, and painful. Gingivitis is caused by bacterial plaque (dental biofilm) that accumulates daily on the teeth. Gingivitis is inflammation of the gums. Gingivitis is a common and mild form of gum. Gingivitis Kronis.
From mydentaladvocate.com
What Does Gingivitis/Gum Disease Look Like? (20 Pictures) Gingivitis Kronis Gingivitis is caused by bacterial plaque (dental biofilm) that accumulates daily on the teeth. Gingivitis is a common and mild form of gum disease, also called periodontal disease. Results in redness, slight swelling, or. Last revised in july 2023. It causes irritation, redness, swelling and bleeding of your gingiva, which is the part. Gingivitis is a common and mild form. Gingivitis Kronis.
From www.thecosmeticchemist.com
The Cosmetic Chemist Gingivitis Kronis Last revised in july 2023. Gingivitis is a common and mild form of gum disease that causes irritation, redness and swelling of your gums. Acute necrotizing ulcerative gingivitis (anug) is an acute, atypical, progressive, and painful. The most common complication or sequelae of chronic gingivitis is the progression of the. Results in redness, slight swelling, or. Gingivitis is caused by. Gingivitis Kronis.
From kauveryhospital.com
What is Gingivitis? Infographic Gingivitis Kronis Acute necrotizing ulcerative gingivitis (anug) is an acute, atypical, progressive, and painful. The most common complication or sequelae of chronic gingivitis is the progression of the. Gingivitis is a common and mild form of gum disease, also called periodontal disease. Gingivitis is a common and mild form of gum disease that causes irritation, redness and swelling of your gums. Gingivitis. Gingivitis Kronis.
From www.aspendental.com
A Comprehensive Guide to Gingivitis Gingivitis Kronis Gingivitis is caused by bacterial plaque (dental biofilm) that accumulates daily on the teeth. Last revised in july 2023. The most common complication or sequelae of chronic gingivitis is the progression of the. Gingivitis is a common and mild form of gum disease that causes irritation, redness and swelling of your gums. Acute necrotizing ulcerative gingivitis (anug) is an acute,. Gingivitis Kronis.
From cdc.com.al
Gingivitis What is It and How is it Treated? Gingivitis Kronis Acute necrotizing ulcerative gingivitis (anug) is an acute, atypical, progressive, and painful. Gingivitis is a common and mild form of gum disease, also called periodontal disease. It causes irritation, redness, swelling and bleeding of your gingiva, which is the part. Last revised in july 2023. Gingivitis is a common and mild form of gum disease that causes irritation, redness and. Gingivitis Kronis.
From www.doccheck.com
Gingivitis DocCheck Gingivitis Kronis Gingivitis is caused by bacterial plaque (dental biofilm) that accumulates daily on the teeth. Gingivitis is a common and mild form of gum disease that causes irritation, redness and swelling of your gums. The most common complication or sequelae of chronic gingivitis is the progression of the. Gingivitis is inflammation of the gums. Acute necrotizing ulcerative gingivitis (anug) is an. Gingivitis Kronis.
From thehomedentist.org
Understanding and Treating Gingivitis Your Ultimate Guide The Home Gingivitis Kronis Acute necrotizing ulcerative gingivitis (anug) is an acute, atypical, progressive, and painful. The most common complication or sequelae of chronic gingivitis is the progression of the. Gingivitis is a common and mild form of gum disease, also called periodontal disease. It causes irritation, redness, swelling and bleeding of your gingiva, which is the part. Gingivitis is caused by bacterial plaque. Gingivitis Kronis.
From healthjade.com
Gingivitis Causes, Signs, Symptoms, How To Get Rid Of Gingivitis Gingivitis Kronis It causes irritation, redness, swelling and bleeding of your gingiva, which is the part. Results in redness, slight swelling, or. Gingivitis is inflammation of the gums. Gingivitis is a common and mild form of gum disease that causes irritation, redness and swelling of your gums. Gingivitis is caused by bacterial plaque (dental biofilm) that accumulates daily on the teeth. The. Gingivitis Kronis.
From www.animalia-life.club
Necrotizing Ulcerative Gingivitis Before And After Gingivitis Kronis It causes irritation, redness, swelling and bleeding of your gingiva, which is the part. Gingivitis is a common and mild form of gum disease, also called periodontal disease. The most common complication or sequelae of chronic gingivitis is the progression of the. Last revised in july 2023. Acute necrotizing ulcerative gingivitis (anug) is an acute, atypical, progressive, and painful. Gingivitis. Gingivitis Kronis.
From vita-center.com
Gingivitis Implant Clinic Gingivitis Kronis Gingivitis is inflammation of the gums. It causes irritation, redness, swelling and bleeding of your gingiva, which is the part. Last revised in july 2023. The most common complication or sequelae of chronic gingivitis is the progression of the. Gingivitis is a common and mild form of gum disease, also called periodontal disease. Acute necrotizing ulcerative gingivitis (anug) is an. Gingivitis Kronis.
From www.glowdental.co.nz
Signs of Gingivitis Gingivitis Causes Gingivitis Treatment & Cures Gingivitis Kronis Gingivitis is a common and mild form of gum disease that causes irritation, redness and swelling of your gums. Results in redness, slight swelling, or. Gingivitis is a common and mild form of gum disease, also called periodontal disease. Acute necrotizing ulcerative gingivitis (anug) is an acute, atypical, progressive, and painful. Gingivitis is caused by bacterial plaque (dental biofilm) that. Gingivitis Kronis.
From www.clinicalorenzo.com
Gingivitis Qué es y cómo evitarla Clínica Dental Lorenzo Gingivitis Kronis Gingivitis is a common and mild form of gum disease, also called periodontal disease. Acute necrotizing ulcerative gingivitis (anug) is an acute, atypical, progressive, and painful. Gingivitis is inflammation of the gums. Gingivitis is a common and mild form of gum disease that causes irritation, redness and swelling of your gums. Results in redness, slight swelling, or. It causes irritation,. Gingivitis Kronis.
From abchomeremedies.com
Home Remedies For GingivitisAbchomeremedies Gingivitis Kronis Gingivitis is inflammation of the gums. Gingivitis is a common and mild form of gum disease, also called periodontal disease. It causes irritation, redness, swelling and bleeding of your gingiva, which is the part. Gingivitis is caused by bacterial plaque (dental biofilm) that accumulates daily on the teeth. The most common complication or sequelae of chronic gingivitis is the progression. Gingivitis Kronis.
From www.clinicadentalsalvadorgarcia.com
¿Qué es la gingivitis dental y cómo se cura? Síntomas y tratamientos Gingivitis Kronis Results in redness, slight swelling, or. The most common complication or sequelae of chronic gingivitis is the progression of the. Acute necrotizing ulcerative gingivitis (anug) is an acute, atypical, progressive, and painful. Gingivitis is a common and mild form of gum disease that causes irritation, redness and swelling of your gums. It causes irritation, redness, swelling and bleeding of your. Gingivitis Kronis.
From www.fotocommunity.de
Gingivitis Foto & Bild körperdetails, fleischmann, mund Bilder auf Gingivitis Kronis Acute necrotizing ulcerative gingivitis (anug) is an acute, atypical, progressive, and painful. Gingivitis is a common and mild form of gum disease that causes irritation, redness and swelling of your gums. Gingivitis is inflammation of the gums. Last revised in july 2023. The most common complication or sequelae of chronic gingivitis is the progression of the. It causes irritation, redness,. Gingivitis Kronis.
From www.kauveryhospital.com
What is Gingivitis? Infographic Kauvery Hospital Gingivitis Kronis The most common complication or sequelae of chronic gingivitis is the progression of the. Gingivitis is a common and mild form of gum disease, also called periodontal disease. Last revised in july 2023. It causes irritation, redness, swelling and bleeding of your gingiva, which is the part. Results in redness, slight swelling, or. Acute necrotizing ulcerative gingivitis (anug) is an. Gingivitis Kronis.
From www.dreamstime.com
Gingivitis Vector Illustration. Medical Oral Mouth Illness Symptoms Gingivitis Kronis Gingivitis is caused by bacterial plaque (dental biofilm) that accumulates daily on the teeth. Acute necrotizing ulcerative gingivitis (anug) is an acute, atypical, progressive, and painful. Gingivitis is a common and mild form of gum disease, also called periodontal disease. Last revised in july 2023. It causes irritation, redness, swelling and bleeding of your gingiva, which is the part. Results. Gingivitis Kronis.
From www.health.com
Gingivitis Treatment Options Gingivitis Kronis Results in redness, slight swelling, or. Gingivitis is a common and mild form of gum disease that causes irritation, redness and swelling of your gums. Gingivitis is a common and mild form of gum disease, also called periodontal disease. The most common complication or sequelae of chronic gingivitis is the progression of the. Gingivitis is inflammation of the gums. Acute. Gingivitis Kronis.
From lookfordiagnosis.com
Gingival Diseases; Gingivosis; Epulis Gingivitis Kronis It causes irritation, redness, swelling and bleeding of your gingiva, which is the part. The most common complication or sequelae of chronic gingivitis is the progression of the. Results in redness, slight swelling, or. Acute necrotizing ulcerative gingivitis (anug) is an acute, atypical, progressive, and painful. Gingivitis is a common and mild form of gum disease, also called periodontal disease.. Gingivitis Kronis.
From dentalclinicshivpuri.com
Clinical Features of Gingivitis Dr Gourav Sharma Gingivitis Kronis Gingivitis is inflammation of the gums. It causes irritation, redness, swelling and bleeding of your gingiva, which is the part. Gingivitis is a common and mild form of gum disease that causes irritation, redness and swelling of your gums. Gingivitis is caused by bacterial plaque (dental biofilm) that accumulates daily on the teeth. Results in redness, slight swelling, or. Acute. Gingivitis Kronis.
From drquadri.com
How To Know If You Have Gingivitis? Dr.quadri Clinic Gingivitis Kronis Acute necrotizing ulcerative gingivitis (anug) is an acute, atypical, progressive, and painful. Last revised in july 2023. Gingivitis is inflammation of the gums. Gingivitis is caused by bacterial plaque (dental biofilm) that accumulates daily on the teeth. Results in redness, slight swelling, or. It causes irritation, redness, swelling and bleeding of your gingiva, which is the part. The most common. Gingivitis Kronis.
From estudidentalbarcelona.com
¿Cuáles son los síntomas de la gingivitis? Estudi Dental Barcelona Gingivitis Kronis Gingivitis is a common and mild form of gum disease, also called periodontal disease. The most common complication or sequelae of chronic gingivitis is the progression of the. Results in redness, slight swelling, or. Gingivitis is a common and mild form of gum disease that causes irritation, redness and swelling of your gums. It causes irritation, redness, swelling and bleeding. Gingivitis Kronis.
From dentalcareofvashon.com
Understanding the Stages of Periodontal Disease Gingivitis Kronis The most common complication or sequelae of chronic gingivitis is the progression of the. Gingivitis is inflammation of the gums. Acute necrotizing ulcerative gingivitis (anug) is an acute, atypical, progressive, and painful. Gingivitis is caused by bacterial plaque (dental biofilm) that accumulates daily on the teeth. Results in redness, slight swelling, or. It causes irritation, redness, swelling and bleeding of. Gingivitis Kronis.
From www.dreamstime.com
Gingivitis Inflammation of the Gums. Medically Accurate 3D Illustration Gingivitis Kronis Acute necrotizing ulcerative gingivitis (anug) is an acute, atypical, progressive, and painful. Gingivitis is a common and mild form of gum disease, also called periodontal disease. It causes irritation, redness, swelling and bleeding of your gingiva, which is the part. Gingivitis is caused by bacterial plaque (dental biofilm) that accumulates daily on the teeth. Gingivitis is a common and mild. Gingivitis Kronis.
From pediatricdentists.blogspot.com
Common Dental Problem And Solution Gingivitis Cause and Management Gingivitis Kronis Gingivitis is caused by bacterial plaque (dental biofilm) that accumulates daily on the teeth. Last revised in july 2023. The most common complication or sequelae of chronic gingivitis is the progression of the. Gingivitis is a common and mild form of gum disease, also called periodontal disease. Results in redness, slight swelling, or. It causes irritation, redness, swelling and bleeding. Gingivitis Kronis.
From onlinedentalcare.org
Gingivitis Online Dental Care Gingivitis Kronis Gingivitis is a common and mild form of gum disease that causes irritation, redness and swelling of your gums. Gingivitis is inflammation of the gums. Gingivitis is caused by bacterial plaque (dental biofilm) that accumulates daily on the teeth. Results in redness, slight swelling, or. Gingivitis is a common and mild form of gum disease, also called periodontal disease. It. Gingivitis Kronis.
From emergencydentist.co.uk
Periodontitis London Gingivitis Kronis Last revised in july 2023. The most common complication or sequelae of chronic gingivitis is the progression of the. Gingivitis is inflammation of the gums. Acute necrotizing ulcerative gingivitis (anug) is an acute, atypical, progressive, and painful. Gingivitis is a common and mild form of gum disease, also called periodontal disease. Gingivitis is a common and mild form of gum. Gingivitis Kronis.
From www.parodontax.com.my
What is Gingivitis parodontax Gingivitis Kronis Gingivitis is caused by bacterial plaque (dental biofilm) that accumulates daily on the teeth. It causes irritation, redness, swelling and bleeding of your gingiva, which is the part. Gingivitis is inflammation of the gums. Gingivitis is a common and mild form of gum disease that causes irritation, redness and swelling of your gums. Last revised in july 2023. Acute necrotizing. Gingivitis Kronis.