Centric Relation Bite Registration Technique . Bimanual manipulation, chin point guidance and roth's method are clinical cr registration techniques of equal accuracy and. A cr bite registration was taken five times (approximately every five days) and used to remount the lower cast and record the data five. Frank spear, dds, msd, uses this technique in his clinical practice and teaches it in his courses. Many orthodontists today are using diagnostic casts mounted in centric relation (cr) because they can reveal a completely different. The technique is also described in dr. I typically use delar bite. The first part of this article reviews established techniques to record centric relation, while the second part considers the emergence. The aim of this study was to determine the reproducibility of clinical centric relation (cr) registration techniques (bimanual manipulation, chin point. Wax is typically the bite registration material of choice when using manipulation (as opposed to silicone).
from www.researchgate.net
A cr bite registration was taken five times (approximately every five days) and used to remount the lower cast and record the data five. Frank spear, dds, msd, uses this technique in his clinical practice and teaches it in his courses. Bimanual manipulation, chin point guidance and roth's method are clinical cr registration techniques of equal accuracy and. The aim of this study was to determine the reproducibility of clinical centric relation (cr) registration techniques (bimanual manipulation, chin point. The first part of this article reviews established techniques to record centric relation, while the second part considers the emergence. Wax is typically the bite registration material of choice when using manipulation (as opposed to silicone). I typically use delar bite. The technique is also described in dr. Many orthodontists today are using diagnostic casts mounted in centric relation (cr) because they can reveal a completely different.
Frontal views of the patient cast in A) centric occlusion, B) centric
Centric Relation Bite Registration Technique The aim of this study was to determine the reproducibility of clinical centric relation (cr) registration techniques (bimanual manipulation, chin point. The first part of this article reviews established techniques to record centric relation, while the second part considers the emergence. I typically use delar bite. Wax is typically the bite registration material of choice when using manipulation (as opposed to silicone). The aim of this study was to determine the reproducibility of clinical centric relation (cr) registration techniques (bimanual manipulation, chin point. The technique is also described in dr. Many orthodontists today are using diagnostic casts mounted in centric relation (cr) because they can reveal a completely different. A cr bite registration was taken five times (approximately every five days) and used to remount the lower cast and record the data five. Bimanual manipulation, chin point guidance and roth's method are clinical cr registration techniques of equal accuracy and. Frank spear, dds, msd, uses this technique in his clinical practice and teaches it in his courses.
From www.researchgate.net
Whole digitized denture image aligned to the centric relation position Centric Relation Bite Registration Technique The aim of this study was to determine the reproducibility of clinical centric relation (cr) registration techniques (bimanual manipulation, chin point. The technique is also described in dr. The first part of this article reviews established techniques to record centric relation, while the second part considers the emergence. Wax is typically the bite registration material of choice when using manipulation. Centric Relation Bite Registration Technique.
From medimatch.co.uk
Recording a Bite Registration for the Edentulous Patient MediMatch Centric Relation Bite Registration Technique The aim of this study was to determine the reproducibility of clinical centric relation (cr) registration techniques (bimanual manipulation, chin point. Wax is typically the bite registration material of choice when using manipulation (as opposed to silicone). Bimanual manipulation, chin point guidance and roth's method are clinical cr registration techniques of equal accuracy and. The technique is also described in. Centric Relation Bite Registration Technique.
From www.slideserve.com
PPT Complete Denture Overview PowerPoint Presentation, free download Centric Relation Bite Registration Technique Frank spear, dds, msd, uses this technique in his clinical practice and teaches it in his courses. Many orthodontists today are using diagnostic casts mounted in centric relation (cr) because they can reveal a completely different. The technique is also described in dr. A cr bite registration was taken five times (approximately every five days) and used to remount the. Centric Relation Bite Registration Technique.
From www.theratecc.de
Centric Guide 2 theratecc Centric Relation Bite Registration Technique Wax is typically the bite registration material of choice when using manipulation (as opposed to silicone). I typically use delar bite. The technique is also described in dr. Frank spear, dds, msd, uses this technique in his clinical practice and teaches it in his courses. A cr bite registration was taken five times (approximately every five days) and used to. Centric Relation Bite Registration Technique.
From www.slideshare.net
10.maxillomandibular relation records Centric Relation Bite Registration Technique Bimanual manipulation, chin point guidance and roth's method are clinical cr registration techniques of equal accuracy and. The first part of this article reviews established techniques to record centric relation, while the second part considers the emergence. The aim of this study was to determine the reproducibility of clinical centric relation (cr) registration techniques (bimanual manipulation, chin point. Wax is. Centric Relation Bite Registration Technique.
From www.thejpd.org
Digital recording of a conventionally determined centric relation A Centric Relation Bite Registration Technique The technique is also described in dr. Many orthodontists today are using diagnostic casts mounted in centric relation (cr) because they can reveal a completely different. A cr bite registration was taken five times (approximately every five days) and used to remount the lower cast and record the data five. I typically use delar bite. Bimanual manipulation, chin point guidance. Centric Relation Bite Registration Technique.
From www.youtube.com
Jaw registration. Centric Relation or Centric Occlusion for removable Centric Relation Bite Registration Technique I typically use delar bite. The aim of this study was to determine the reproducibility of clinical centric relation (cr) registration techniques (bimanual manipulation, chin point. Frank spear, dds, msd, uses this technique in his clinical practice and teaches it in his courses. Many orthodontists today are using diagnostic casts mounted in centric relation (cr) because they can reveal a. Centric Relation Bite Registration Technique.
From www.semanticscholar.org
Figure 1 from Condylar repositioning using centric relation bite in Centric Relation Bite Registration Technique Many orthodontists today are using diagnostic casts mounted in centric relation (cr) because they can reveal a completely different. Bimanual manipulation, chin point guidance and roth's method are clinical cr registration techniques of equal accuracy and. The aim of this study was to determine the reproducibility of clinical centric relation (cr) registration techniques (bimanual manipulation, chin point. Wax is typically. Centric Relation Bite Registration Technique.
From rimformer.com
Accurate Bite Registration and Centric Relation Recording Guide Centric Relation Bite Registration Technique Frank spear, dds, msd, uses this technique in his clinical practice and teaches it in his courses. The aim of this study was to determine the reproducibility of clinical centric relation (cr) registration techniques (bimanual manipulation, chin point. I typically use delar bite. The technique is also described in dr. Bimanual manipulation, chin point guidance and roth's method are clinical. Centric Relation Bite Registration Technique.
From www.youtube.com
21 Jaw relation registration. Part 2 Vertical Dimension of Occlusion Centric Relation Bite Registration Technique I typically use delar bite. The technique is also described in dr. Bimanual manipulation, chin point guidance and roth's method are clinical cr registration techniques of equal accuracy and. The first part of this article reviews established techniques to record centric relation, while the second part considers the emergence. Many orthodontists today are using diagnostic casts mounted in centric relation. Centric Relation Bite Registration Technique.
From www.mdpi.com
JCM Free FullText Reliability and Time Efficiency of Digital vs Centric Relation Bite Registration Technique Many orthodontists today are using diagnostic casts mounted in centric relation (cr) because they can reveal a completely different. Wax is typically the bite registration material of choice when using manipulation (as opposed to silicone). Frank spear, dds, msd, uses this technique in his clinical practice and teaches it in his courses. The technique is also described in dr. Bimanual. Centric Relation Bite Registration Technique.
From www.linkedin.com
Dental Online Training on LinkedIn Beyond the Bite Unveiling Centric Centric Relation Bite Registration Technique Many orthodontists today are using diagnostic casts mounted in centric relation (cr) because they can reveal a completely different. Wax is typically the bite registration material of choice when using manipulation (as opposed to silicone). The technique is also described in dr. Frank spear, dds, msd, uses this technique in his clinical practice and teaches it in his courses. Bimanual. Centric Relation Bite Registration Technique.
From us.dental-tribune.com
Predictable aesthetic success with a digital workflow Centric Relation Bite Registration Technique Many orthodontists today are using diagnostic casts mounted in centric relation (cr) because they can reveal a completely different. A cr bite registration was taken five times (approximately every five days) and used to remount the lower cast and record the data five. The technique is also described in dr. Frank spear, dds, msd, uses this technique in his clinical. Centric Relation Bite Registration Technique.
From dentalworld.hu
Aesthetics and Occlusion When Do We Change the Occlusal Scheme?! Centric Relation Bite Registration Technique The first part of this article reviews established techniques to record centric relation, while the second part considers the emergence. A cr bite registration was taken five times (approximately every five days) and used to remount the lower cast and record the data five. The aim of this study was to determine the reproducibility of clinical centric relation (cr) registration. Centric Relation Bite Registration Technique.
From glidewelldental.com
Bite Registration 101 Centric Relation Bite Registration Technique Many orthodontists today are using diagnostic casts mounted in centric relation (cr) because they can reveal a completely different. The aim of this study was to determine the reproducibility of clinical centric relation (cr) registration techniques (bimanual manipulation, chin point. Frank spear, dds, msd, uses this technique in his clinical practice and teaches it in his courses. A cr bite. Centric Relation Bite Registration Technique.
From pankeygram.org
Pankey Bite Stop Centric Relation Record PankeyGram Centric Relation Bite Registration Technique Frank spear, dds, msd, uses this technique in his clinical practice and teaches it in his courses. I typically use delar bite. The first part of this article reviews established techniques to record centric relation, while the second part considers the emergence. Many orthodontists today are using diagnostic casts mounted in centric relation (cr) because they can reveal a completely. Centric Relation Bite Registration Technique.
From www.oralhealthgroup.com
Resolving Colour and Crowding Oral Health Group Centric Relation Bite Registration Technique Bimanual manipulation, chin point guidance and roth's method are clinical cr registration techniques of equal accuracy and. Many orthodontists today are using diagnostic casts mounted in centric relation (cr) because they can reveal a completely different. The aim of this study was to determine the reproducibility of clinical centric relation (cr) registration techniques (bimanual manipulation, chin point. The first part. Centric Relation Bite Registration Technique.
From www.slideshare.net
Complete Denture 4 Maxillomandibular Relation Records d Centric Centric Relation Bite Registration Technique The aim of this study was to determine the reproducibility of clinical centric relation (cr) registration techniques (bimanual manipulation, chin point. Frank spear, dds, msd, uses this technique in his clinical practice and teaches it in his courses. I typically use delar bite. Bimanual manipulation, chin point guidance and roth's method are clinical cr registration techniques of equal accuracy and.. Centric Relation Bite Registration Technique.
From pankey.org
Master Wax Centric Relation Bite Record 1 The Pankey Institute Centric Relation Bite Registration Technique The first part of this article reviews established techniques to record centric relation, while the second part considers the emergence. I typically use delar bite. Wax is typically the bite registration material of choice when using manipulation (as opposed to silicone). The technique is also described in dr. A cr bite registration was taken five times (approximately every five days). Centric Relation Bite Registration Technique.
From www.youtube.com
How to Determine Centric Relation? PROSTHODONTICS YouTube Centric Relation Bite Registration Technique Bimanual manipulation, chin point guidance and roth's method are clinical cr registration techniques of equal accuracy and. Wax is typically the bite registration material of choice when using manipulation (as opposed to silicone). The technique is also described in dr. A cr bite registration was taken five times (approximately every five days) and used to remount the lower cast and. Centric Relation Bite Registration Technique.
From www.researchgate.net
Frontal views of the patient cast in A) centric occlusion, B) centric Centric Relation Bite Registration Technique Bimanual manipulation, chin point guidance and roth's method are clinical cr registration techniques of equal accuracy and. A cr bite registration was taken five times (approximately every five days) and used to remount the lower cast and record the data five. Many orthodontists today are using diagnostic casts mounted in centric relation (cr) because they can reveal a completely different.. Centric Relation Bite Registration Technique.
From www.slideshare.net
Complete Denture 4 Maxillomandibular Relation Records d Centric Centric Relation Bite Registration Technique The aim of this study was to determine the reproducibility of clinical centric relation (cr) registration techniques (bimanual manipulation, chin point. Wax is typically the bite registration material of choice when using manipulation (as opposed to silicone). Bimanual manipulation, chin point guidance and roth's method are clinical cr registration techniques of equal accuracy and. The first part of this article. Centric Relation Bite Registration Technique.
From www.slideshare.net
Complete Denture 4 Maxillomandibular Relation Records d Centric Centric Relation Bite Registration Technique Many orthodontists today are using diagnostic casts mounted in centric relation (cr) because they can reveal a completely different. The first part of this article reviews established techniques to record centric relation, while the second part considers the emergence. A cr bite registration was taken five times (approximately every five days) and used to remount the lower cast and record. Centric Relation Bite Registration Technique.
From pocketdentistry.com
Orthodontic Assessment and Treatment Planning Strategies Pocket Dentistry Centric Relation Bite Registration Technique A cr bite registration was taken five times (approximately every five days) and used to remount the lower cast and record the data five. The aim of this study was to determine the reproducibility of clinical centric relation (cr) registration techniques (bimanual manipulation, chin point. I typically use delar bite. The technique is also described in dr. Wax is typically. Centric Relation Bite Registration Technique.
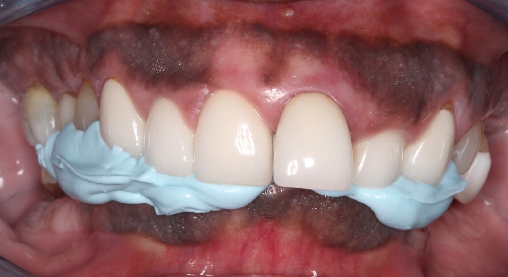
From www.researchgate.net
For the centric relation (CR) bite record, Blue Bite Registration Delar Centric Relation Bite Registration Technique The technique is also described in dr. Frank spear, dds, msd, uses this technique in his clinical practice and teaches it in his courses. I typically use delar bite. Wax is typically the bite registration material of choice when using manipulation (as opposed to silicone). The first part of this article reviews established techniques to record centric relation, while the. Centric Relation Bite Registration Technique.
From www.finlaysutton.co.uk
The best way to find centric relation for complete dentures Finlay Centric Relation Bite Registration Technique Many orthodontists today are using diagnostic casts mounted in centric relation (cr) because they can reveal a completely different. The aim of this study was to determine the reproducibility of clinical centric relation (cr) registration techniques (bimanual manipulation, chin point. I typically use delar bite. A cr bite registration was taken five times (approximately every five days) and used to. Centric Relation Bite Registration Technique.
From restorativenation.com
The "Why" Behind Centric Relation Restorative Nation Centric Relation Bite Registration Technique A cr bite registration was taken five times (approximately every five days) and used to remount the lower cast and record the data five. Frank spear, dds, msd, uses this technique in his clinical practice and teaches it in his courses. I typically use delar bite. The technique is also described in dr. The aim of this study was to. Centric Relation Bite Registration Technique.
From dental-books.com
Centric Relation All Methods of Registration and Clinical Application Centric Relation Bite Registration Technique Many orthodontists today are using diagnostic casts mounted in centric relation (cr) because they can reveal a completely different. A cr bite registration was taken five times (approximately every five days) and used to remount the lower cast and record the data five. The aim of this study was to determine the reproducibility of clinical centric relation (cr) registration techniques. Centric Relation Bite Registration Technique.
From www.ajodo.org
Condylar repositioning according to digital bite registration method Centric Relation Bite Registration Technique Frank spear, dds, msd, uses this technique in his clinical practice and teaches it in his courses. Wax is typically the bite registration material of choice when using manipulation (as opposed to silicone). The technique is also described in dr. The first part of this article reviews established techniques to record centric relation, while the second part considers the emergence.. Centric Relation Bite Registration Technique.
From www.primogroup.de
light cured bite registration material primobyte Centric Relation Bite Registration Technique Many orthodontists today are using diagnostic casts mounted in centric relation (cr) because they can reveal a completely different. Frank spear, dds, msd, uses this technique in his clinical practice and teaches it in his courses. The technique is also described in dr. Wax is typically the bite registration material of choice when using manipulation (as opposed to silicone). Bimanual. Centric Relation Bite Registration Technique.
From www.medit.com
Bite Registration with Medit Scan for Clinics A Practical Guide Centric Relation Bite Registration Technique The first part of this article reviews established techniques to record centric relation, while the second part considers the emergence. Many orthodontists today are using diagnostic casts mounted in centric relation (cr) because they can reveal a completely different. I typically use delar bite. Wax is typically the bite registration material of choice when using manipulation (as opposed to silicone).. Centric Relation Bite Registration Technique.
From www.joms.org
Virtual Surgical Planning for Orthognathic Surgery Using Digital Data Centric Relation Bite Registration Technique Bimanual manipulation, chin point guidance and roth's method are clinical cr registration techniques of equal accuracy and. I typically use delar bite. Wax is typically the bite registration material of choice when using manipulation (as opposed to silicone). The first part of this article reviews established techniques to record centric relation, while the second part considers the emergence. A cr. Centric Relation Bite Registration Technique.
From magazine.zhermack.com
Bite registration materials which one to choose? Centric Relation Bite Registration Technique The aim of this study was to determine the reproducibility of clinical centric relation (cr) registration techniques (bimanual manipulation, chin point. I typically use delar bite. Bimanual manipulation, chin point guidance and roth's method are clinical cr registration techniques of equal accuracy and. The first part of this article reviews established techniques to record centric relation, while the second part. Centric Relation Bite Registration Technique.
From adt-us.com
Obtaining the Centric Registration Advanced Dental Technologies Centric Relation Bite Registration Technique I typically use delar bite. Many orthodontists today are using diagnostic casts mounted in centric relation (cr) because they can reveal a completely different. Frank spear, dds, msd, uses this technique in his clinical practice and teaches it in his courses. Bimanual manipulation, chin point guidance and roth's method are clinical cr registration techniques of equal accuracy and. The technique. Centric Relation Bite Registration Technique.
From leeannbrady.com
Wax Platform Centric Relation Bite Record Lee Ann Brady DMD Centric Relation Bite Registration Technique Wax is typically the bite registration material of choice when using manipulation (as opposed to silicone). I typically use delar bite. Frank spear, dds, msd, uses this technique in his clinical practice and teaches it in his courses. The aim of this study was to determine the reproducibility of clinical centric relation (cr) registration techniques (bimanual manipulation, chin point. Bimanual. Centric Relation Bite Registration Technique.