Turbos In Braces . What are bite turbos for braces? Bite turbos temporarily separate the upper teeth from the lower teeth to allow for placement of lower braces. Small brackets called bite turbos or bite ramps are used to treat misaligned bites. In many cases, because of the overbite there is. Bite turbos can also help treat deep bites and improper movement of teeth. You may need bite turbos on the back or front teeth to achieve good results from braces. Bite turbos, also known as bite bumpers, are tiny orthodontic appliances that serve as buffers. A bite turbo prevents the wearer from biting down completely once installed. Bite turbos are a great way to fix overbites, deep bites, and improper teeth movement. Why do you need them? Bite turbos are small in size and are usually made of acrylic or metal. Bite blocks, also known as a ramp or turbo, prevent damage to metal braces by restricting the upper and lower teeth from. They use specific pressure on the teeth to help correct these issues and can. Typically, they are used in conjunction with braces and are attached directly to the teeth. Preventing damage when exerting pressure on your brackets and allowing your teeth to move without colliding with each other.
from www.pinterest.com
Bit turbos help treat many dental issues. They use specific pressure on the teeth to help correct these issues and can. You may need bite turbos on the back or front teeth to achieve good results from braces. In many cases, because of the overbite there is. Small brackets called bite turbos or bite ramps are used to treat misaligned bites. What are bite turbos for braces? They help by preventing the upper and lower teeth from touching, thereby keeping you from breaking your brackets when biting down. Why do you need them? Preventing damage when exerting pressure on your brackets and allowing your teeth to move without colliding with each other. Typically, they are used in conjunction with braces and are attached directly to the teeth.
How Effective Are Bite Turbos? Bitten, Braces, Teeth braces
Turbos In Braces Bit turbos help treat many dental issues. Bite turbos temporarily separate the upper teeth from the lower teeth to allow for placement of lower braces. Bite turbos are a great way to fix overbites, deep bites, and improper teeth movement. Bite turbos can also help treat deep bites and improper movement of teeth. Why do you need them? They use specific pressure on the teeth to help correct these issues and can. What are bite turbos for braces? Bite blocks, also known as a ramp or turbo, prevent damage to metal braces by restricting the upper and lower teeth from. Small brackets called bite turbos or bite ramps are used to treat misaligned bites. They help by preventing the upper and lower teeth from touching, thereby keeping you from breaking your brackets when biting down. Bite turbos, also known as bite bumpers, are tiny orthodontic appliances that serve as buffers. You may need bite turbos on the back or front teeth to achieve good results from braces. In many cases, because of the overbite there is. Typically, they are used in conjunction with braces and are attached directly to the teeth. A bite turbo prevents the wearer from biting down completely once installed. Preventing damage when exerting pressure on your brackets and allowing your teeth to move without colliding with each other.
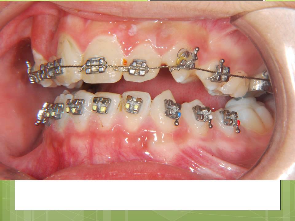
From www.archwired.com
What Are Bite Turbos In Orthodontics? ArchWired Turbos In Braces In many cases, because of the overbite there is. Bite turbos can also help treat deep bites and improper movement of teeth. Bite turbos, also known as bite bumpers, are tiny orthodontic appliances that serve as buffers. A bite turbo prevents the wearer from biting down completely once installed. What are bite turbos for braces? Bite turbos are a great. Turbos In Braces.
From www.youtube.com
Orthodontic Bite Turbos YouTube Turbos In Braces Bite blocks, also known as a ramp or turbo, prevent damage to metal braces by restricting the upper and lower teeth from. You may need bite turbos on the back or front teeth to achieve good results from braces. In many cases, because of the overbite there is. Why do you need them? Bite turbos, also known as bite bumpers,. Turbos In Braces.
From optimumfogaszat.blog.hu
Optimum Fogászat Turbos In Braces They use specific pressure on the teeth to help correct these issues and can. Bite turbos temporarily separate the upper teeth from the lower teeth to allow for placement of lower braces. Bite turbos can also help treat deep bites and improper movement of teeth. Preventing damage when exerting pressure on your brackets and allowing your teeth to move without. Turbos In Braces.
From www.youtube.com
Braces deep bite Getting Bite Turbos on front teeth Tooth Time Turbos In Braces They use specific pressure on the teeth to help correct these issues and can. You may need bite turbos on the back or front teeth to achieve good results from braces. Bite turbos can also help treat deep bites and improper movement of teeth. Bite blocks, also known as a ramp or turbo, prevent damage to metal braces by restricting. Turbos In Braces.
From www.youtube.com
deep bite bite turbos YouTube Turbos In Braces A bite turbo prevents the wearer from biting down completely once installed. You may need bite turbos on the back or front teeth to achieve good results from braces. In many cases, because of the overbite there is. Bite turbos temporarily separate the upper teeth from the lower teeth to allow for placement of lower braces. What are bite turbos. Turbos In Braces.
From www.youtube.com
Bite Turbos Orthodontic Treatment YouTube Turbos In Braces A bite turbo prevents the wearer from biting down completely once installed. Bit turbos help treat many dental issues. Bite turbos, also known as bite bumpers, are tiny orthodontic appliances that serve as buffers. What are bite turbos for braces? Bite turbos can also help treat deep bites and improper movement of teeth. They help by preventing the upper and. Turbos In Braces.
From www.youtube.com
Braces Bite Turbos Tooth Time Family Dentistry New Braunfels Texas Turbos In Braces Typically, they are used in conjunction with braces and are attached directly to the teeth. They use specific pressure on the teeth to help correct these issues and can. Bite turbos temporarily separate the upper teeth from the lower teeth to allow for placement of lower braces. Bite blocks, also known as a ramp or turbo, prevent damage to metal. Turbos In Braces.
From www.smiletogether.ca
bite turbo 1 Smile Together Dental Clinic Turbos In Braces Bite turbos are a great way to fix overbites, deep bites, and improper teeth movement. They use specific pressure on the teeth to help correct these issues and can. What are bite turbos for braces? Bite turbos temporarily separate the upper teeth from the lower teeth to allow for placement of lower braces. Bite turbos are small in size and. Turbos In Braces.
From www.youtube.com
[BRACES EXPLAINED] Bite Turbos YouTube Turbos In Braces Bit turbos help treat many dental issues. Small brackets called bite turbos or bite ramps are used to treat misaligned bites. Preventing damage when exerting pressure on your brackets and allowing your teeth to move without colliding with each other. Bite turbos temporarily separate the upper teeth from the lower teeth to allow for placement of lower braces. Bite turbos,. Turbos In Braces.
From www.straightsmilesolutions.com
How Do Anterior Bite Turbos Work Differently in Braces or Clear Turbos In Braces Typically, they are used in conjunction with braces and are attached directly to the teeth. Bit turbos help treat many dental issues. Bite turbos temporarily separate the upper teeth from the lower teeth to allow for placement of lower braces. A bite turbo prevents the wearer from biting down completely once installed. Bite turbos can also help treat deep bites. Turbos In Braces.
From ivanovortho.com
Bite Turbos Braces Bite Blocks Braces Traditional Bite Plates Turbos In Braces Typically, they are used in conjunction with braces and are attached directly to the teeth. Preventing damage when exerting pressure on your brackets and allowing your teeth to move without colliding with each other. Small brackets called bite turbos or bite ramps are used to treat misaligned bites. What are bite turbos for braces? Bite turbos temporarily separate the upper. Turbos In Braces.
From www.youtube.com
จัดฟัน ยกความสูงฟัน (How to Put Bite Turbos with Braces) YouTube Turbos In Braces Why do you need them? Bite turbos temporarily separate the upper teeth from the lower teeth to allow for placement of lower braces. Bite turbos are small in size and are usually made of acrylic or metal. They help by preventing the upper and lower teeth from touching, thereby keeping you from breaking your brackets when biting down. Preventing damage. Turbos In Braces.
From weaverortho.com
Faster, Customized Lightforce Braces with Dr. Weaver — Weaver Orthodontics Turbos In Braces They use specific pressure on the teeth to help correct these issues and can. In many cases, because of the overbite there is. Bite turbos can also help treat deep bites and improper movement of teeth. What are bite turbos for braces? Bite turbos are small in size and are usually made of acrylic or metal. Bite turbos, also known. Turbos In Braces.
From ivanovortho.com
Bite Turbos Braces Bite Blocks Braces Traditional Bite Plates Turbos In Braces Why do you need them? You may need bite turbos on the back or front teeth to achieve good results from braces. They use specific pressure on the teeth to help correct these issues and can. Typically, they are used in conjunction with braces and are attached directly to the teeth. Bite turbos temporarily separate the upper teeth from the. Turbos In Braces.
From patuxentorthodontics.com
How Do Bite Turbos Work? Patuxent Orthodontics Turbos In Braces Bite blocks, also known as a ramp or turbo, prevent damage to metal braces by restricting the upper and lower teeth from. Typically, they are used in conjunction with braces and are attached directly to the teeth. Bite turbos are a great way to fix overbites, deep bites, and improper teeth movement. Bite turbos, also known as bite bumpers, are. Turbos In Braces.
From www.reddit.com
Breezy/Inbrace/Lingual brace progress! About 1 month with upper Turbos In Braces Bite turbos, also known as bite bumpers, are tiny orthodontic appliances that serve as buffers. What are bite turbos for braces? Bite turbos are a great way to fix overbites, deep bites, and improper teeth movement. Bite turbos can also help treat deep bites and improper movement of teeth. Preventing damage when exerting pressure on your brackets and allowing your. Turbos In Braces.
From www.tv.odontologiavirtual.com
ORTHODONTICS Bite Turbo & Elastics Dr. Joshua Lin Turbos In Braces Bite turbos can also help treat deep bites and improper movement of teeth. They use specific pressure on the teeth to help correct these issues and can. Why do you need them? You may need bite turbos on the back or front teeth to achieve good results from braces. A bite turbo prevents the wearer from biting down completely once. Turbos In Braces.
From www.pinterest.co.uk
Anterior Bite Turbos Braces tips, Healthy teeth, Girl life hacks Turbos In Braces You may need bite turbos on the back or front teeth to achieve good results from braces. Why do you need them? Bit turbos help treat many dental issues. Bite turbos are a great way to fix overbites, deep bites, and improper teeth movement. Preventing damage when exerting pressure on your brackets and allowing your teeth to move without colliding. Turbos In Braces.
From www.youtube.com
Orthodontics Dental Braces with Bite Turbos YouTube Turbos In Braces Bite turbos are small in size and are usually made of acrylic or metal. Small brackets called bite turbos or bite ramps are used to treat misaligned bites. In many cases, because of the overbite there is. Preventing damage when exerting pressure on your brackets and allowing your teeth to move without colliding with each other. A bite turbo prevents. Turbos In Braces.
From www.youtube.com
จัดฟัน ยกความสูงฟัน (Orthodontics with bite turbo) YouTube Turbos In Braces What are bite turbos for braces? Bite turbos are small in size and are usually made of acrylic or metal. Bite turbos temporarily separate the upper teeth from the lower teeth to allow for placement of lower braces. Typically, they are used in conjunction with braces and are attached directly to the teeth. A bite turbo prevents the wearer from. Turbos In Braces.
From www.reddit.com
22 yo, got my braces on July 22. The bite turbos are a complete Turbos In Braces Bite turbos are a great way to fix overbites, deep bites, and improper teeth movement. They use specific pressure on the teeth to help correct these issues and can. Why do you need them? Bite blocks, also known as a ramp or turbo, prevent damage to metal braces by restricting the upper and lower teeth from. A bite turbo prevents. Turbos In Braces.
From www.youtube.com
Posterior Bite Turbos Open bite Braces on Tooth Time Family Turbos In Braces Bite turbos temporarily separate the upper teeth from the lower teeth to allow for placement of lower braces. Small brackets called bite turbos or bite ramps are used to treat misaligned bites. Typically, they are used in conjunction with braces and are attached directly to the teeth. Bite turbos are small in size and are usually made of acrylic or. Turbos In Braces.
From orthodontist-denhaag.nl
What Are Bite Ramps and How Do They Help Braces? Turbos In Braces Bite turbos can also help treat deep bites and improper movement of teeth. Why do you need them? Small brackets called bite turbos or bite ramps are used to treat misaligned bites. Bite blocks, also known as a ramp or turbo, prevent damage to metal braces by restricting the upper and lower teeth from. Bit turbos help treat many dental. Turbos In Braces.
From www.youtube.com
จัดฟัน+เครื่องมือยกฟัน (Bite Turbos Braces) YouTube Turbos In Braces Small brackets called bite turbos or bite ramps are used to treat misaligned bites. Bite turbos, also known as bite bumpers, are tiny orthodontic appliances that serve as buffers. Bite blocks, also known as a ramp or turbo, prevent damage to metal braces by restricting the upper and lower teeth from. A bite turbo prevents the wearer from biting down. Turbos In Braces.
From www.youtube.com
Bite Turbos and Elastics Adult Braces Update Vlog YouTube Turbos In Braces Bite turbos are a great way to fix overbites, deep bites, and improper teeth movement. Why do you need them? Typically, they are used in conjunction with braces and are attached directly to the teeth. What are bite turbos for braces? Preventing damage when exerting pressure on your brackets and allowing your teeth to move without colliding with each other.. Turbos In Braces.
From www.waltortho.com
What Are Bite Turbos? Orthodontist Vaughan, Braces Vaughan, Inv Turbos In Braces You may need bite turbos on the back or front teeth to achieve good results from braces. Bite turbos are a great way to fix overbites, deep bites, and improper teeth movement. They help by preventing the upper and lower teeth from touching, thereby keeping you from breaking your brackets when biting down. Bite turbos temporarily separate the upper teeth. Turbos In Braces.
From www.youtube.com
Bite turbos YouTube Turbos In Braces Bit turbos help treat many dental issues. Why do you need them? You may need bite turbos on the back or front teeth to achieve good results from braces. Bite turbos, also known as bite bumpers, are tiny orthodontic appliances that serve as buffers. Bite turbos can also help treat deep bites and improper movement of teeth. What are bite. Turbos In Braces.
From www.reddit.com
Finally got braces at 24! Damon brackets; ceramic on the top, metal on Turbos In Braces Typically, they are used in conjunction with braces and are attached directly to the teeth. In many cases, because of the overbite there is. Bite blocks, also known as a ramp or turbo, prevent damage to metal braces by restricting the upper and lower teeth from. You may need bite turbos on the back or front teeth to achieve good. Turbos In Braces.
From truedental.ca
Introducing Fastbraces®Turbo to West Kelowna! True Dental Turbos In Braces Bite blocks, also known as a ramp or turbo, prevent damage to metal braces by restricting the upper and lower teeth from. Bite turbos, also known as bite bumpers, are tiny orthodontic appliances that serve as buffers. Bite turbos temporarily separate the upper teeth from the lower teeth to allow for placement of lower braces. Bit turbos help treat many. Turbos In Braces.
From www.reddit.com
Top teeth hitting bottom brackets with turbos braces Turbos In Braces Bite turbos are small in size and are usually made of acrylic or metal. What are bite turbos for braces? A bite turbo prevents the wearer from biting down completely once installed. Typically, they are used in conjunction with braces and are attached directly to the teeth. Bite blocks, also known as a ramp or turbo, prevent damage to metal. Turbos In Braces.
From www.researchgate.net
Placement of occlusal bite turbos. Download Scientific Diagram Turbos In Braces Bite turbos are a great way to fix overbites, deep bites, and improper teeth movement. They use specific pressure on the teeth to help correct these issues and can. Bite blocks, also known as a ramp or turbo, prevent damage to metal braces by restricting the upper and lower teeth from. In many cases, because of the overbite there is.. Turbos In Braces.
From www.youtube.com
ADULT BRACES Bite Turbos Session 2 YouTube Turbos In Braces Bite turbos temporarily separate the upper teeth from the lower teeth to allow for placement of lower braces. A bite turbo prevents the wearer from biting down completely once installed. Bite turbos can also help treat deep bites and improper movement of teeth. Preventing damage when exerting pressure on your brackets and allowing your teeth to move without colliding with. Turbos In Braces.
From www.reddit.com
I finally got braces at 26 years old. I have bite turbos on the back of Turbos In Braces Bit turbos help treat many dental issues. Bite turbos temporarily separate the upper teeth from the lower teeth to allow for placement of lower braces. Small brackets called bite turbos or bite ramps are used to treat misaligned bites. You may need bite turbos on the back or front teeth to achieve good results from braces. Bite turbos are small. Turbos In Braces.
From www.pinterest.com
How Effective Are Bite Turbos? Bitten, Braces, Teeth braces Turbos In Braces Why do you need them? Bit turbos help treat many dental issues. In many cases, because of the overbite there is. What are bite turbos for braces? Bite turbos are small in size and are usually made of acrylic or metal. Preventing damage when exerting pressure on your brackets and allowing your teeth to move without colliding with each other.. Turbos In Braces.
From www.youtube.com
Braces On with Turbos / Together Tooth Time New Braunfels YouTube Turbos In Braces Bite turbos are small in size and are usually made of acrylic or metal. They use specific pressure on the teeth to help correct these issues and can. In many cases, because of the overbite there is. You may need bite turbos on the back or front teeth to achieve good results from braces. Bite turbos can also help treat. Turbos In Braces.