Scalpel Gingivectomy . There are two main types of gingivectomy: Gingivectomy is the surgical removal of gum tissue. Scalpel gingivectomy is the current gold standard method for correcting gingival overgrowth (figs 4 and. Many people also choose gingivectomy to. Gingivectomy can be used to treat conditions like gingivitis. The alternative to scalpel excision was the laser gingivectomy, which offers several advantages as well as sterilization of the surgical. People with gingivitis or periodontitis may need gingivectomy to reduce bacteria and improve oral health. These methods include using gingivectomy knives or scalpel blade, electrosurgery or laser. Gingivectomy is surgical removal of gum tissue, or gingiva. Dentists and periodontists have traditionally. Gingivectomy can be performed by various methods. It may be performed to treat gum disease or as a cosmetic procedure to improve smiles. An extensive search was performed in the electronic database. It involves cutting through the tissue with a. Gingivectomy is the surgical removal of gum tissue.
from www.zenitdent.com
It may be performed to treat gum disease or as a cosmetic procedure to improve smiles. Dentists and periodontists have traditionally. It involves cutting through the tissue with a. Gingivectomy is the surgical removal of gum tissue. There are two main types of gingivectomy: Gingivectomy is surgical removal of gum tissue, or gingiva. Many people also choose gingivectomy to. Scalpel gingivectomy is the current gold standard method for correcting gingival overgrowth (figs 4 and. Gingivectomy can be used to treat conditions like gingivitis. These methods include using gingivectomy knives or scalpel blade, electrosurgery or laser.
Gingivectomy Procedure, Risks and Benefits Zenit Dent
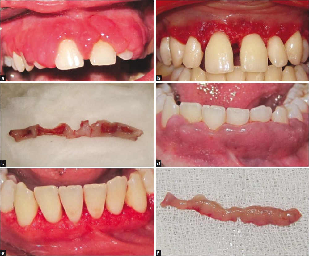
Scalpel Gingivectomy There are two main types of gingivectomy: Gingivectomy is the surgical removal of gum tissue. This review compared the prognosis of gingivectomy procedures carried out through a scalpel or alternative techniques. Gingivectomy is surgical removal of gum tissue, or gingiva. Scalpel gingivectomy is the current gold standard method for correcting gingival overgrowth (figs 4 and. An extensive search was performed in the electronic database. Dentists and periodontists have traditionally. There are two main types of gingivectomy: These methods include using gingivectomy knives or scalpel blade, electrosurgery or laser. A scalpel gingivectomy is the most traditional and commonly used procedure. It may be performed to treat gum disease or as a cosmetic procedure to improve smiles. Gingivectomy can be performed by various methods. Gingivectomy can be used to treat conditions like gingivitis. The alternative to scalpel excision was the laser gingivectomy, which offers several advantages as well as sterilization of the surgical. It involves cutting through the tissue with a. Many people also choose gingivectomy to.
From www.coleperiodontics.com
Gingivectomy Dubois PA Scalpel Gingivectomy Gingivectomy is the surgical removal of gum tissue. It may be performed to treat gum disease or as a cosmetic procedure to improve smiles. An extensive search was performed in the electronic database. These methods include using gingivectomy knives or scalpel blade, electrosurgery or laser. A scalpel gingivectomy is the most traditional and commonly used procedure. Scalpel gingivectomy is the. Scalpel Gingivectomy.
From www.semanticscholar.org
Figure 1 from Effect of lowlevel laser therapy on wound healing and Scalpel Gingivectomy There are two main types of gingivectomy: People with gingivitis or periodontitis may need gingivectomy to reduce bacteria and improve oral health. Many people also choose gingivectomy to. A scalpel gingivectomy is the most traditional and commonly used procedure. It involves cutting through the tissue with a. This review compared the prognosis of gingivectomy procedures carried out through a scalpel. Scalpel Gingivectomy.
From www.medesy.it
Sanders gingivectomy scalpel Medesy Scalpel Gingivectomy An extensive search was performed in the electronic database. It may be performed to treat gum disease or as a cosmetic procedure to improve smiles. Gingivectomy can be performed by various methods. Gingivectomy can be used to treat conditions like gingivitis. There are two main types of gingivectomy: Gingivectomy is the surgical removal of gum tissue. It involves cutting through. Scalpel Gingivectomy.
From leeannbrady.com
Laser Gingivectomy » Lee Ann Brady, DMD's Dental Blog Scalpel Gingivectomy Gingivectomy is the surgical removal of gum tissue. Gingivectomy is surgical removal of gum tissue, or gingiva. There are two main types of gingivectomy: The alternative to scalpel excision was the laser gingivectomy, which offers several advantages as well as sterilization of the surgical. An extensive search was performed in the electronic database. Gingivectomy can be used to treat conditions. Scalpel Gingivectomy.
From www.dentaltix.com
KM3 SCALPEL FOR GINGIVECTOMY HUFRIEDY Scalpel Gingivectomy Gingivectomy is the surgical removal of gum tissue. Scalpel gingivectomy is the current gold standard method for correcting gingival overgrowth (figs 4 and. An extensive search was performed in the electronic database. Dentists and periodontists have traditionally. A scalpel gingivectomy is the most traditional and commonly used procedure. The alternative to scalpel excision was the laser gingivectomy, which offers several. Scalpel Gingivectomy.
From www.youtube.com
Gingivectomy with NdYAG laser. Updated version. YouTube Scalpel Gingivectomy Many people also choose gingivectomy to. Scalpel gingivectomy is the current gold standard method for correcting gingival overgrowth (figs 4 and. There are two main types of gingivectomy: It involves cutting through the tissue with a. Gingivectomy is the surgical removal of gum tissue. It may be performed to treat gum disease or as a cosmetic procedure to improve smiles.. Scalpel Gingivectomy.
From www.slideshare.net
034.gingivectomy Scalpel Gingivectomy Gingivectomy is the surgical removal of gum tissue. It may be performed to treat gum disease or as a cosmetic procedure to improve smiles. Many people also choose gingivectomy to. An extensive search was performed in the electronic database. Gingivectomy can be used to treat conditions like gingivitis. This review compared the prognosis of gingivectomy procedures carried out through a. Scalpel Gingivectomy.
From medicaldialogues.in
Diode laser gingivectomy for orthodontic treatmentinduced gingival Scalpel Gingivectomy Gingivectomy can be performed by various methods. Dentists and periodontists have traditionally. An extensive search was performed in the electronic database. Gingivectomy is the surgical removal of gum tissue. It involves cutting through the tissue with a. This review compared the prognosis of gingivectomy procedures carried out through a scalpel or alternative techniques. People with gingivitis or periodontitis may need. Scalpel Gingivectomy.
From www.youtube.com
Gingivectomy (gummy smile surgery) YouTube Scalpel Gingivectomy These methods include using gingivectomy knives or scalpel blade, electrosurgery or laser. Gingivectomy can be used to treat conditions like gingivitis. Scalpel gingivectomy is the current gold standard method for correcting gingival overgrowth (figs 4 and. The alternative to scalpel excision was the laser gingivectomy, which offers several advantages as well as sterilization of the surgical. Gingivectomy is the surgical. Scalpel Gingivectomy.
From www.moazsurgicalinstruments.com
Precision Instruments for Dental Surgery Micro Scalpels, Gingivectomy Scalpel Gingivectomy It involves cutting through the tissue with a. There are two main types of gingivectomy: Scalpel gingivectomy is the current gold standard method for correcting gingival overgrowth (figs 4 and. It may be performed to treat gum disease or as a cosmetic procedure to improve smiles. This review compared the prognosis of gingivectomy procedures carried out through a scalpel or. Scalpel Gingivectomy.
From atriumdental.net
Gingivectomy near me in Ahwatukee, Phoenix, AZ Scalpel Gingivectomy An extensive search was performed in the electronic database. A scalpel gingivectomy is the most traditional and commonly used procedure. There are two main types of gingivectomy: Gingivectomy can be used to treat conditions like gingivitis. It may be performed to treat gum disease or as a cosmetic procedure to improve smiles. Dentists and periodontists have traditionally. It involves cutting. Scalpel Gingivectomy.
From prestige-dental-care.com.my
Gingivectomy Scalpel Gingivectomy People with gingivitis or periodontitis may need gingivectomy to reduce bacteria and improve oral health. Scalpel gingivectomy is the current gold standard method for correcting gingival overgrowth (figs 4 and. Gingivectomy is the surgical removal of gum tissue. There are two main types of gingivectomy: Dentists and periodontists have traditionally. Gingivectomy can be performed by various methods. These methods include. Scalpel Gingivectomy.
From www.muhadharaty.com
gingivectomy pptx د.هدى Muhadharaty Scalpel Gingivectomy Gingivectomy can be used to treat conditions like gingivitis. Gingivectomy is the surgical removal of gum tissue. It may be performed to treat gum disease or as a cosmetic procedure to improve smiles. Gingivectomy is surgical removal of gum tissue, or gingiva. The alternative to scalpel excision was the laser gingivectomy, which offers several advantages as well as sterilization of. Scalpel Gingivectomy.
From my.clevelandclinic.org
What is a Gingivectomy? Procedure & Recovery Scalpel Gingivectomy Many people also choose gingivectomy to. A scalpel gingivectomy is the most traditional and commonly used procedure. Dentists and periodontists have traditionally. It may be performed to treat gum disease or as a cosmetic procedure to improve smiles. Gingivectomy can be used to treat conditions like gingivitis. These methods include using gingivectomy knives or scalpel blade, electrosurgery or laser. It. Scalpel Gingivectomy.
From balidentalvoyage.com
Gingivectomy Cost, Healing Process, and the Procedure Scalpel Gingivectomy Scalpel gingivectomy is the current gold standard method for correcting gingival overgrowth (figs 4 and. Many people also choose gingivectomy to. The alternative to scalpel excision was the laser gingivectomy, which offers several advantages as well as sterilization of the surgical. A scalpel gingivectomy is the most traditional and commonly used procedure. An extensive search was performed in the electronic. Scalpel Gingivectomy.
From www.slideshare.net
GINGIVECTOMY AND GINGIVOPLASTY Scalpel Gingivectomy These methods include using gingivectomy knives or scalpel blade, electrosurgery or laser. Gingivectomy can be used to treat conditions like gingivitis. Gingivectomy is the surgical removal of gum tissue. There are two main types of gingivectomy: It may be performed to treat gum disease or as a cosmetic procedure to improve smiles. This review compared the prognosis of gingivectomy procedures. Scalpel Gingivectomy.
From www.coleperiodontics.com
Gingivectomy Dubois PA Scalpel Gingivectomy Gingivectomy is surgical removal of gum tissue, or gingiva. Scalpel gingivectomy is the current gold standard method for correcting gingival overgrowth (figs 4 and. Gingivectomy can be used to treat conditions like gingivitis. The alternative to scalpel excision was the laser gingivectomy, which offers several advantages as well as sterilization of the surgical. People with gingivitis or periodontitis may need. Scalpel Gingivectomy.
From periobasics.com
Gingivectomy and Gingivoplasty Scalpel Gingivectomy People with gingivitis or periodontitis may need gingivectomy to reduce bacteria and improve oral health. Gingivectomy is surgical removal of gum tissue, or gingiva. It involves cutting through the tissue with a. Gingivectomy can be used to treat conditions like gingivitis. These methods include using gingivectomy knives or scalpel blade, electrosurgery or laser. The alternative to scalpel excision was the. Scalpel Gingivectomy.
From www.semanticscholar.org
Esthetic Correction of Gummy Smile by Gingivectomy using Diode Laser Scalpel Gingivectomy People with gingivitis or periodontitis may need gingivectomy to reduce bacteria and improve oral health. It may be performed to treat gum disease or as a cosmetic procedure to improve smiles. Gingivectomy can be used to treat conditions like gingivitis. The alternative to scalpel excision was the laser gingivectomy, which offers several advantages as well as sterilization of the surgical.. Scalpel Gingivectomy.
From dentistry.com
Gingivectomy Scalpel Gingivectomy An extensive search was performed in the electronic database. It involves cutting through the tissue with a. Scalpel gingivectomy is the current gold standard method for correcting gingival overgrowth (figs 4 and. A scalpel gingivectomy is the most traditional and commonly used procedure. These methods include using gingivectomy knives or scalpel blade, electrosurgery or laser. There are two main types. Scalpel Gingivectomy.
From www.zenitdent.com
Gingivectomy Procedure, Risks and Benefits Zenit Dent Scalpel Gingivectomy People with gingivitis or periodontitis may need gingivectomy to reduce bacteria and improve oral health. Gingivectomy is the surgical removal of gum tissue. Dentists and periodontists have traditionally. Many people also choose gingivectomy to. A scalpel gingivectomy is the most traditional and commonly used procedure. It involves cutting through the tissue with a. Gingivectomy is surgical removal of gum tissue,. Scalpel Gingivectomy.
From app.emaze.com
Surgical Treatment on emaze Scalpel Gingivectomy It may be performed to treat gum disease or as a cosmetic procedure to improve smiles. Gingivectomy is the surgical removal of gum tissue. It involves cutting through the tissue with a. This review compared the prognosis of gingivectomy procedures carried out through a scalpel or alternative techniques. Many people also choose gingivectomy to. There are two main types of. Scalpel Gingivectomy.
From www.ariadental.net.au
Gingivectomy and Gingivoplasty Gum Contouring Surgery Scalpel Gingivectomy People with gingivitis or periodontitis may need gingivectomy to reduce bacteria and improve oral health. A scalpel gingivectomy is the most traditional and commonly used procedure. Scalpel gingivectomy is the current gold standard method for correcting gingival overgrowth (figs 4 and. Gingivectomy is the surgical removal of gum tissue. These methods include using gingivectomy knives or scalpel blade, electrosurgery or. Scalpel Gingivectomy.
From www.youtube.com
Gingivectomy incision procedure gum cutting YouTube Scalpel Gingivectomy It may be performed to treat gum disease or as a cosmetic procedure to improve smiles. An extensive search was performed in the electronic database. These methods include using gingivectomy knives or scalpel blade, electrosurgery or laser. Scalpel gingivectomy is the current gold standard method for correcting gingival overgrowth (figs 4 and. There are two main types of gingivectomy: Gingivectomy. Scalpel Gingivectomy.
From www.periodontistphoenix.com
Gingivectomy What It Is, Procedure, Aftercare Arizona Periodontal Group Scalpel Gingivectomy These methods include using gingivectomy knives or scalpel blade, electrosurgery or laser. It may be performed to treat gum disease or as a cosmetic procedure to improve smiles. Gingivectomy is surgical removal of gum tissue, or gingiva. Dentists and periodontists have traditionally. People with gingivitis or periodontitis may need gingivectomy to reduce bacteria and improve oral health. Gingivectomy can be. Scalpel Gingivectomy.
From www.youtube.com
gingivectomy_3 YouTube Scalpel Gingivectomy There are two main types of gingivectomy: It involves cutting through the tissue with a. This review compared the prognosis of gingivectomy procedures carried out through a scalpel or alternative techniques. Gingivectomy is the surgical removal of gum tissue. Gingivectomy can be performed by various methods. Gingivectomy can be used to treat conditions like gingivitis. A scalpel gingivectomy is the. Scalpel Gingivectomy.
From periobasics.com
Gingivectomy and Gingivoplasty Scalpel Gingivectomy It involves cutting through the tissue with a. Many people also choose gingivectomy to. Gingivectomy is the surgical removal of gum tissue. The alternative to scalpel excision was the laser gingivectomy, which offers several advantages as well as sterilization of the surgical. This review compared the prognosis of gingivectomy procedures carried out through a scalpel or alternative techniques. There are. Scalpel Gingivectomy.
From www.youtube.com
GingivoplastyGingivectomy YouTube Scalpel Gingivectomy An extensive search was performed in the electronic database. There are two main types of gingivectomy: Gingivectomy can be performed by various methods. A scalpel gingivectomy is the most traditional and commonly used procedure. These methods include using gingivectomy knives or scalpel blade, electrosurgery or laser. It may be performed to treat gum disease or as a cosmetic procedure to. Scalpel Gingivectomy.
From www.medesy.it
GoldmanFox gingivectomy scalpel Medesy Scalpel Gingivectomy The alternative to scalpel excision was the laser gingivectomy, which offers several advantages as well as sterilization of the surgical. A scalpel gingivectomy is the most traditional and commonly used procedure. It involves cutting through the tissue with a. Gingivectomy is surgical removal of gum tissue, or gingiva. Dentists and periodontists have traditionally. This review compared the prognosis of gingivectomy. Scalpel Gingivectomy.
From www.precisioninperio.com
Gingivectomy Washington DC & Alexandria VA Precision Periodontics Scalpel Gingivectomy An extensive search was performed in the electronic database. It may be performed to treat gum disease or as a cosmetic procedure to improve smiles. A scalpel gingivectomy is the most traditional and commonly used procedure. Gingivectomy can be performed by various methods. Gingivectomy is the surgical removal of gum tissue. Dentists and periodontists have traditionally. Gingivectomy is surgical removal. Scalpel Gingivectomy.
From www.youtube.com
gingivectomy for class V restoration 2 YouTube Scalpel Gingivectomy Gingivectomy can be used to treat conditions like gingivitis. There are two main types of gingivectomy: This review compared the prognosis of gingivectomy procedures carried out through a scalpel or alternative techniques. A scalpel gingivectomy is the most traditional and commonly used procedure. It may be performed to treat gum disease or as a cosmetic procedure to improve smiles. Gingivectomy. Scalpel Gingivectomy.
From www.youtube.com
Module 8 GingivectomyGingivoplasty YouTube Scalpel Gingivectomy It may be performed to treat gum disease or as a cosmetic procedure to improve smiles. Scalpel gingivectomy is the current gold standard method for correcting gingival overgrowth (figs 4 and. Gingivectomy can be performed by various methods. Dentists and periodontists have traditionally. It involves cutting through the tissue with a. There are two main types of gingivectomy: Many people. Scalpel Gingivectomy.
From www.biolase.com
Dental Surgery with Soft Tissue Dental Lasers BIOLASE Scalpel Gingivectomy People with gingivitis or periodontitis may need gingivectomy to reduce bacteria and improve oral health. Gingivectomy is surgical removal of gum tissue, or gingiva. A scalpel gingivectomy is the most traditional and commonly used procedure. It may be performed to treat gum disease or as a cosmetic procedure to improve smiles. The alternative to scalpel excision was the laser gingivectomy,. Scalpel Gingivectomy.
From www.moazsurgicalinstruments.com
Oral Surgery Precision Micro Scalpels, Gingivectomy Knives & Blade Scalpel Gingivectomy It may be performed to treat gum disease or as a cosmetic procedure to improve smiles. Scalpel gingivectomy is the current gold standard method for correcting gingival overgrowth (figs 4 and. An extensive search was performed in the electronic database. Gingivectomy can be used to treat conditions like gingivitis. The alternative to scalpel excision was the laser gingivectomy, which offers. Scalpel Gingivectomy.
From www.aosillinois.com
Gingivectomy Associated Oral & Maxillofacial Surgeons Scalpel Gingivectomy There are two main types of gingivectomy: The alternative to scalpel excision was the laser gingivectomy, which offers several advantages as well as sterilization of the surgical. Gingivectomy is surgical removal of gum tissue, or gingiva. Many people also choose gingivectomy to. Gingivectomy can be used to treat conditions like gingivitis. These methods include using gingivectomy knives or scalpel blade,. Scalpel Gingivectomy.