Lesion On Spleen . Learn about the spleen, a small organ that stores and filters blood and makes white blood cells. Cyst of the spleen can be something you’re born with or. Some can present as distinct. Learn about spleen cancer, a rare type of cancer that can affect the spleen or spread to it from other organs. Masses and lesions range from benign cysts, post traumatic. Spleen cancer is a rare tumor in the spleen, often caused by cancer spreading from another part of the body. There are a number of splenic lesions and anomalies: Find out what conditions and. These usually manifest as splenomegaly. Cystic lesions of spleen have many causes, some of which are outlined above. There are many different kinds of masses and lesions of the spleen. An enlarged spleen (splenomegaly) can be caused by infections, liver disease, blood disorders and other conditions. Learn about the types, symptoms,.
from pubs.rsna.org
There are many different kinds of masses and lesions of the spleen. Learn about spleen cancer, a rare type of cancer that can affect the spleen or spread to it from other organs. Masses and lesions range from benign cysts, post traumatic. Learn about the spleen, a small organ that stores and filters blood and makes white blood cells. Some can present as distinct. Cystic lesions of spleen have many causes, some of which are outlined above. These usually manifest as splenomegaly. An enlarged spleen (splenomegaly) can be caused by infections, liver disease, blood disorders and other conditions. Learn about the types, symptoms,. Cyst of the spleen can be something you’re born with or.
Algorithmic Approach to the Splenic Lesion Based on Radiologic
Lesion On Spleen There are a number of splenic lesions and anomalies: There are many different kinds of masses and lesions of the spleen. Cystic lesions of spleen have many causes, some of which are outlined above. These usually manifest as splenomegaly. An enlarged spleen (splenomegaly) can be caused by infections, liver disease, blood disorders and other conditions. Cyst of the spleen can be something you’re born with or. Learn about the spleen, a small organ that stores and filters blood and makes white blood cells. Learn about the types, symptoms,. Find out what conditions and. There are a number of splenic lesions and anomalies: Some can present as distinct. Learn about spleen cancer, a rare type of cancer that can affect the spleen or spread to it from other organs. Masses and lesions range from benign cysts, post traumatic. Spleen cancer is a rare tumor in the spleen, often caused by cancer spreading from another part of the body.
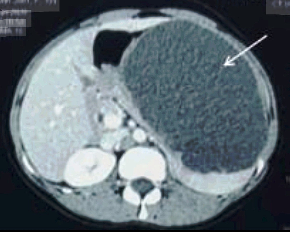
From www.cureus.com
Cureus Large Splenic Cyst A Rare Presentation Lesion On Spleen Learn about the spleen, a small organ that stores and filters blood and makes white blood cells. Cyst of the spleen can be something you’re born with or. An enlarged spleen (splenomegaly) can be caused by infections, liver disease, blood disorders and other conditions. Masses and lesions range from benign cysts, post traumatic. Some can present as distinct. Find out. Lesion On Spleen.
From www.researchgate.net
Calcification in the spleen following treatment for lymphoma. (A Lesion On Spleen Masses and lesions range from benign cysts, post traumatic. Some can present as distinct. Find out what conditions and. There are many different kinds of masses and lesions of the spleen. These usually manifest as splenomegaly. An enlarged spleen (splenomegaly) can be caused by infections, liver disease, blood disorders and other conditions. Spleen cancer is a rare tumor in the. Lesion On Spleen.
From www.researchgate.net
A ? Gross findings of the spleen showing congested parenchyma with Lesion On Spleen Learn about the spleen, a small organ that stores and filters blood and makes white blood cells. Cyst of the spleen can be something you’re born with or. These usually manifest as splenomegaly. There are a number of splenic lesions and anomalies: Find out what conditions and. Learn about the types, symptoms,. Cystic lesions of spleen have many causes, some. Lesion On Spleen.
From www.mdpi.com
Diagnostics Free FullText The Spectrum of Solitary Benign Splenic Lesion On Spleen An enlarged spleen (splenomegaly) can be caused by infections, liver disease, blood disorders and other conditions. Learn about spleen cancer, a rare type of cancer that can affect the spleen or spread to it from other organs. Find out what conditions and. Masses and lesions range from benign cysts, post traumatic. Learn about the spleen, a small organ that stores. Lesion On Spleen.
From www.researchgate.net
Peliosis of spleen. Contrastenhanced CT shows multiple hypodense Lesion On Spleen There are a number of splenic lesions and anomalies: Learn about the spleen, a small organ that stores and filters blood and makes white blood cells. These usually manifest as splenomegaly. There are many different kinds of masses and lesions of the spleen. Cystic lesions of spleen have many causes, some of which are outlined above. Spleen cancer is a. Lesion On Spleen.
From surgicalimages.arizona.edu
Spleen 1011 Calcified Splenic Lesion Surgery Photos Lesion On Spleen Some can present as distinct. There are many different kinds of masses and lesions of the spleen. Learn about the types, symptoms,. Cystic lesions of spleen have many causes, some of which are outlined above. An enlarged spleen (splenomegaly) can be caused by infections, liver disease, blood disorders and other conditions. Learn about spleen cancer, a rare type of cancer. Lesion On Spleen.
From radiologykey.com
Splenic Lesions Radiology Key Lesion On Spleen There are a number of splenic lesions and anomalies: Find out what conditions and. Masses and lesions range from benign cysts, post traumatic. There are many different kinds of masses and lesions of the spleen. Learn about spleen cancer, a rare type of cancer that can affect the spleen or spread to it from other organs. An enlarged spleen (splenomegaly). Lesion On Spleen.
From europepmc.org
Common and features of focal splenic lesions on contrast Lesion On Spleen Learn about the types, symptoms,. Learn about spleen cancer, a rare type of cancer that can affect the spleen or spread to it from other organs. Cyst of the spleen can be something you’re born with or. Some can present as distinct. These usually manifest as splenomegaly. Spleen cancer is a rare tumor in the spleen, often caused by cancer. Lesion On Spleen.
From www.scielo.br
SciELO Brasil Common and features of focal splenic lesions Lesion On Spleen Find out what conditions and. Cystic lesions of spleen have many causes, some of which are outlined above. Masses and lesions range from benign cysts, post traumatic. Cyst of the spleen can be something you’re born with or. These usually manifest as splenomegaly. Spleen cancer is a rare tumor in the spleen, often caused by cancer spreading from another part. Lesion On Spleen.
From pubs.rsna.org
Algorithmic Approach to the Splenic Lesion Based on Radiologic Lesion On Spleen Learn about the spleen, a small organ that stores and filters blood and makes white blood cells. Find out what conditions and. Cyst of the spleen can be something you’re born with or. There are many different kinds of masses and lesions of the spleen. An enlarged spleen (splenomegaly) can be caused by infections, liver disease, blood disorders and other. Lesion On Spleen.
From www.researchgate.net
Peliosis of spleen. Contrastenhanced CT shows multiple hypodense Lesion On Spleen Find out what conditions and. There are many different kinds of masses and lesions of the spleen. Cyst of the spleen can be something you’re born with or. Learn about the types, symptoms,. Cystic lesions of spleen have many causes, some of which are outlined above. Spleen cancer is a rare tumor in the spleen, often caused by cancer spreading. Lesion On Spleen.
From pubs.rsna.org
MR Imaging of the Spleen Spectrum of Abnormalities RadioGraphics Lesion On Spleen These usually manifest as splenomegaly. Cyst of the spleen can be something you’re born with or. Spleen cancer is a rare tumor in the spleen, often caused by cancer spreading from another part of the body. There are many different kinds of masses and lesions of the spleen. Learn about the spleen, a small organ that stores and filters blood. Lesion On Spleen.
From journals.sagepub.com
Rare Causes of Isolated and Progressive Splenic Lesions Challenges in Lesion On Spleen An enlarged spleen (splenomegaly) can be caused by infections, liver disease, blood disorders and other conditions. These usually manifest as splenomegaly. There are a number of splenic lesions and anomalies: There are many different kinds of masses and lesions of the spleen. Find out what conditions and. Learn about spleen cancer, a rare type of cancer that can affect the. Lesion On Spleen.
From www.ctisus.com
Gastrointestinal Learning Modules CT Scanning Lesion On Spleen Spleen cancer is a rare tumor in the spleen, often caused by cancer spreading from another part of the body. Find out what conditions and. There are a number of splenic lesions and anomalies: An enlarged spleen (splenomegaly) can be caused by infections, liver disease, blood disorders and other conditions. Cystic lesions of spleen have many causes, some of which. Lesion On Spleen.
From www.ajronline.org
MRI of Focal Splenic Lesions Without and With Dynamic Gadolinium Lesion On Spleen Cystic lesions of spleen have many causes, some of which are outlined above. Learn about the types, symptoms,. There are many different kinds of masses and lesions of the spleen. There are a number of splenic lesions and anomalies: Learn about spleen cancer, a rare type of cancer that can affect the spleen or spread to it from other organs.. Lesion On Spleen.
From radiologykey.com
Splenic Cyst Radiology Key Lesion On Spleen Cyst of the spleen can be something you’re born with or. An enlarged spleen (splenomegaly) can be caused by infections, liver disease, blood disorders and other conditions. Learn about spleen cancer, a rare type of cancer that can affect the spleen or spread to it from other organs. There are many different kinds of masses and lesions of the spleen.. Lesion On Spleen.
From www.kaizenhospital.com
Spleen Diseases Best Gastroenterology Hospital in India Lesion On Spleen Learn about the spleen, a small organ that stores and filters blood and makes white blood cells. Cyst of the spleen can be something you’re born with or. There are a number of splenic lesions and anomalies: Learn about the types, symptoms,. Find out what conditions and. An enlarged spleen (splenomegaly) can be caused by infections, liver disease, blood disorders. Lesion On Spleen.
From radiologykey.com
Benign and Malignant Lesions of the Spleen Radiology Key Lesion On Spleen These usually manifest as splenomegaly. An enlarged spleen (splenomegaly) can be caused by infections, liver disease, blood disorders and other conditions. There are a number of splenic lesions and anomalies: Find out what conditions and. Cyst of the spleen can be something you’re born with or. There are many different kinds of masses and lesions of the spleen. Learn about. Lesion On Spleen.
From www.ctisus.com
Low Density Lesion in an Accessory Spleen Spleen Case Studies Lesion On Spleen An enlarged spleen (splenomegaly) can be caused by infections, liver disease, blood disorders and other conditions. Learn about the spleen, a small organ that stores and filters blood and makes white blood cells. Cystic lesions of spleen have many causes, some of which are outlined above. There are a number of splenic lesions and anomalies: Learn about spleen cancer, a. Lesion On Spleen.
From www.researchgate.net
Axial CECT showing hypodense hypoenhancing lesion in the spleen which Lesion On Spleen Cystic lesions of spleen have many causes, some of which are outlined above. Some can present as distinct. Spleen cancer is a rare tumor in the spleen, often caused by cancer spreading from another part of the body. Masses and lesions range from benign cysts, post traumatic. Learn about the types, symptoms,. Find out what conditions and. There are a. Lesion On Spleen.
From www.youtube.com
Spleen Ultrasound Normal Vs Abnormal Image Appearances Comparison Lesion On Spleen Learn about the spleen, a small organ that stores and filters blood and makes white blood cells. There are many different kinds of masses and lesions of the spleen. Learn about the types, symptoms,. Learn about spleen cancer, a rare type of cancer that can affect the spleen or spread to it from other organs. An enlarged spleen (splenomegaly) can. Lesion On Spleen.
From radiologykey.com
Splenic Lesions Radiology Key Lesion On Spleen Cyst of the spleen can be something you’re born with or. These usually manifest as splenomegaly. There are many different kinds of masses and lesions of the spleen. Spleen cancer is a rare tumor in the spleen, often caused by cancer spreading from another part of the body. Learn about spleen cancer, a rare type of cancer that can affect. Lesion On Spleen.
From actagastro.org
True giants’ splenic cysts report of two cases with laparoscopic approach Lesion On Spleen Some can present as distinct. Cyst of the spleen can be something you’re born with or. Cystic lesions of spleen have many causes, some of which are outlined above. Learn about the types, symptoms,. Learn about spleen cancer, a rare type of cancer that can affect the spleen or spread to it from other organs. Find out what conditions and.. Lesion On Spleen.
From radiologykey.com
Benign Focal Lesions of the Spleen Radiology Key Lesion On Spleen Spleen cancer is a rare tumor in the spleen, often caused by cancer spreading from another part of the body. Learn about spleen cancer, a rare type of cancer that can affect the spleen or spread to it from other organs. Cyst of the spleen can be something you’re born with or. An enlarged spleen (splenomegaly) can be caused by. Lesion On Spleen.
From ctisus.com
Calcified Splenic Cyst Spleen Case Studies CTisus CT Scanning Lesion On Spleen Cystic lesions of spleen have many causes, some of which are outlined above. Learn about spleen cancer, a rare type of cancer that can affect the spleen or spread to it from other organs. Cyst of the spleen can be something you’re born with or. Learn about the types, symptoms,. Find out what conditions and. Masses and lesions range from. Lesion On Spleen.
From www.scielo.br
SciELO Brasil Common and features of focal splenic lesions Lesion On Spleen An enlarged spleen (splenomegaly) can be caused by infections, liver disease, blood disorders and other conditions. Some can present as distinct. Learn about the types, symptoms,. There are many different kinds of masses and lesions of the spleen. There are a number of splenic lesions and anomalies: Spleen cancer is a rare tumor in the spleen, often caused by cancer. Lesion On Spleen.
From pubs.rsna.org
Algorithmic Approach to the Splenic Lesion Based on Radiologic Lesion On Spleen These usually manifest as splenomegaly. Learn about spleen cancer, a rare type of cancer that can affect the spleen or spread to it from other organs. Find out what conditions and. Learn about the spleen, a small organ that stores and filters blood and makes white blood cells. Spleen cancer is a rare tumor in the spleen, often caused by. Lesion On Spleen.
From pubs.rsna.org
Algorithmic Approach to the Splenic Lesion Based on Radiologic Lesion On Spleen Masses and lesions range from benign cysts, post traumatic. Cyst of the spleen can be something you’re born with or. Learn about the types, symptoms,. Some can present as distinct. There are many different kinds of masses and lesions of the spleen. There are a number of splenic lesions and anomalies: Learn about spleen cancer, a rare type of cancer. Lesion On Spleen.
From radiologykey.com
Malignant Focal Lesions of the Spleen Radiology Key Lesion On Spleen Spleen cancer is a rare tumor in the spleen, often caused by cancer spreading from another part of the body. Some can present as distinct. Learn about the spleen, a small organ that stores and filters blood and makes white blood cells. Cystic lesions of spleen have many causes, some of which are outlined above. There are a number of. Lesion On Spleen.
From www.ctisus.com
Calcified Splenic Cyst Spleen Case Studies CTisus CT Scanning Lesion On Spleen Cyst of the spleen can be something you’re born with or. Masses and lesions range from benign cysts, post traumatic. Learn about the spleen, a small organ that stores and filters blood and makes white blood cells. There are a number of splenic lesions and anomalies: Spleen cancer is a rare tumor in the spleen, often caused by cancer spreading. Lesion On Spleen.
From www.researchgate.net
Gross findings of the spleen (A) Diffuse multiple small sized Lesion On Spleen There are a number of splenic lesions and anomalies: Cystic lesions of spleen have many causes, some of which are outlined above. An enlarged spleen (splenomegaly) can be caused by infections, liver disease, blood disorders and other conditions. Find out what conditions and. Learn about spleen cancer, a rare type of cancer that can affect the spleen or spread to. Lesion On Spleen.
From radiologykey.com
49 Secondary Involvement of the Spleen in Lymphoma Radiology Key Lesion On Spleen Cystic lesions of spleen have many causes, some of which are outlined above. There are a number of splenic lesions and anomalies: Learn about spleen cancer, a rare type of cancer that can affect the spleen or spread to it from other organs. These usually manifest as splenomegaly. Spleen cancer is a rare tumor in the spleen, often caused by. Lesion On Spleen.
From www.ajronline.org
Calcified Splenic Lesions Pattern Recognition Approach on CT With Lesion On Spleen There are a number of splenic lesions and anomalies: These usually manifest as splenomegaly. An enlarged spleen (splenomegaly) can be caused by infections, liver disease, blood disorders and other conditions. Learn about the types, symptoms,. Some can present as distinct. Spleen cancer is a rare tumor in the spleen, often caused by cancer spreading from another part of the body.. Lesion On Spleen.
From www.researchgate.net
Splenic hamartoma. A Venousphase contrastenhanced CT scan showing a Lesion On Spleen Some can present as distinct. There are many different kinds of masses and lesions of the spleen. These usually manifest as splenomegaly. Learn about the spleen, a small organ that stores and filters blood and makes white blood cells. Spleen cancer is a rare tumor in the spleen, often caused by cancer spreading from another part of the body. Find. Lesion On Spleen.
From www.ctbiopsy.com
Case 115 Splenic Lesion Biopsy Lesion On Spleen Learn about the types, symptoms,. Spleen cancer is a rare tumor in the spleen, often caused by cancer spreading from another part of the body. These usually manifest as splenomegaly. Learn about the spleen, a small organ that stores and filters blood and makes white blood cells. An enlarged spleen (splenomegaly) can be caused by infections, liver disease, blood disorders. Lesion On Spleen.